JavaScript is disabled in your browser. Please enable JavaScript to view this website.
AB221155

重组Anti-Filaggrin抗体[EPR21892]

Anti-Filaggrin antibody [EPR21892]

  • BOND RX™ Validated
  • 20ul selling size
  • Recombinant
  • Advanced Validation
  • RabMAb
  • 了解详情

5

(3 Reviews)

|

(7 Publications)

Anti-Filaggrin antibody [EPR21892] (ab221155) is a rabbit monoclonal antibody detecting Filaggrin in IHC-P, mIHC. Suitable for Human.

- Multiplex IHC validated on the Leica BOND® MAX using Opal reagents
- Biophysical QC for unrivalled batch-batch consistency

查看别名

Filaggrin, FLG

4 Images
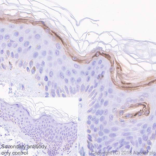
Immunohistochemistry (Formalin/PFA-fixed paraffin-embedded sections) - Anti-Filaggrin antibody [EPR21892] (AB221155)
  • IHC-P

Lab

Immunohistochemistry (Formalin/PFA-fixed paraffin-embedded sections) - Anti-Filaggrin antibody [EPR21892] (AB221155)

Immunohistochemical analysis of paraffin-embedded human skin tissue labeling Filaggrin with ab221155 at 1/1000 dilution followed by a Ready to use Rabbit specific IHC polymer detection kit (ab209101).

Positive staining on human skin.

The primary antibody was incubated for 30 mins at room temperature.

The immunostaining was performed on a Leica Biosystems BOND® RX instrument

Counterstained with Hematoxylin.

Heat mediated antigen retrieval was performed with Tris-EDTA buffer (pH 9.0, Epitope Retrieval Solution2) for 20 mins.

Multiplex immunohistochemistry - Anti-Filaggrin antibody [EPR21892] (AB221155)
  • mIHC

Lab

Multiplex immunohistochemistry - Anti-Filaggrin antibody [EPR21892] (AB221155)

Multiplex immunohistochemistry analysis of formalin/PFA-fixed paraffin-embedded human skin staining Collagen VII with ab309143 at a 1/100 dilution, ab307969 anti-Aquaporin 3 used at 1/5000 dilution and ab221155 anti-FLG used at a 1/1000 dilution.

Panel A : merged staining of anti-Collagen VII (green; Opal™520), anti-Aquaporin 3 (magenta; Opal™690) and anti-FLG (gray; Opal™570) on human skin.

Panel B : anti-Collagen VII staining basement membrane in human skin.

Panel C : anti-Aquaporin 3 staining squamous epithelium in human skin.

Panel D : anti-FLG staining maturing squamous cells in human skin.

Nuclear DNA was labeled with DAPI (shown in blue).

The section was incubated in three rounds of staining : in the order of ab309143, ab307969 and ab221155 for 30 mins at room temperature. Each round was followed by a separate fluorescent tyramide signal amplification system.

The immunostaining was performed on a Leica Biosystems BOND® RX instrument with an Opal™ 4-color kit. Image acquisition was performed with Leica SP8 confocal microscope.

Heat mediated antigen retrieval with Tris-EDTA buffer (pH 9.0, epitope retrieval solution2) for 20 mins.

Multiplex immunohistochemistry - Anti-Filaggrin antibody [EPR21892] (AB221155)
  • mIHC

Supplier Data

Multiplex immunohistochemistry - Anti-Filaggrin antibody [EPR21892] (AB221155)

Immunohistochemistry (Formalin/PFA-fixed paraffin-embedded sections) analysis of Human skin tissue labelling Aquaporin 3 with ab307969 at 1/5000 dilution (0.094 µg/mL) (B), Loricrin with ab176322 at 1/3000 dilution (0.031 μg/ml) (C) and Filaggrin with ab221155 at 1/2000 dilution (0.523 μg/ml) (D). Opal Polymer HRP Ms + Rb was used as a secondary antibody, and DAPI was used for a nuclear counter stain. Heat mediated antigen retrieval with Tris-EDTA buffer (pH 9.0, epitope retrieval solution2) for 20 mins. Panel A : merged staining of anti-Aquaporin 3 (magenta; Opal™690), anti-Loricrin (green; Opal™520) and anti-Filaggrin (red; Opal™570) on human skin. Panel B : anti-Aquaporin 3 stained on keratinocytes from the stratum basale to the stratum granulosum of the epidermis. Panel C : anti-Loricrin stained on stratum corneum. Panel D : anti-Filaggrin stained on the granular to stratum corneum transition. The section was incubated in three rounds of staining : in the order of ab307969, ab176322, and ab221155 for 30 mins at room temperature. Each round was followed by a separate fluorescent tyramide signal amplification system. The immunostaining was performed on a Leica Biosystems BOND® RX instrument with an Opal™ 4-color kit. Image acquisition was performed with Leica SP8 confocal microscope.

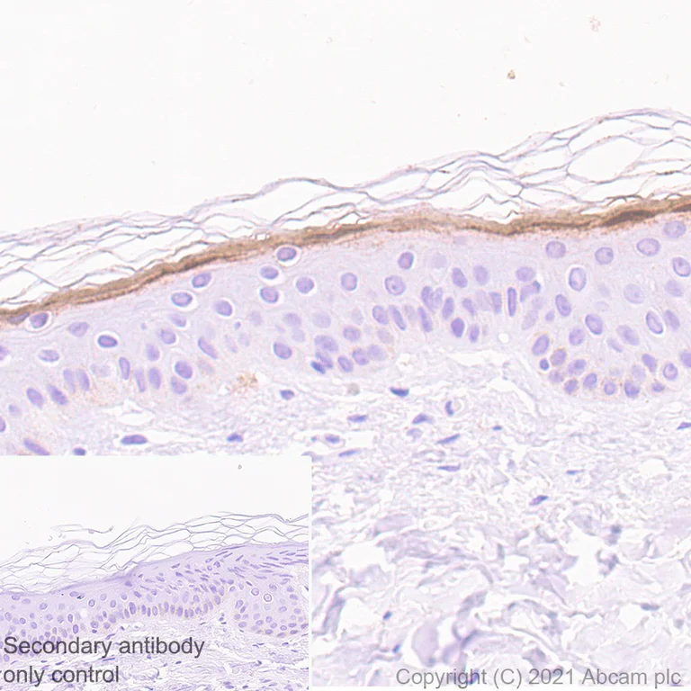
Immunohistochemistry (Formalin/PFA-fixed paraffin-embedded sections) - Anti-Filaggrin antibody [EPR21892] (AB221155)
  • IHC-P

Supplier Data

Immunohistochemistry (Formalin/PFA-fixed paraffin-embedded sections) - Anti-Filaggrin antibody [EPR21892] (AB221155)

Immunohistochemical analysis of paraffin-embedded human skin tissue labeling Filaggrin with ab221155 at 1/1000 dilution, followed by Goat Anti-Rabbit IgG H&L (HRP) ready to use. Cytoplasmic staining in epidermis of human skin (PMID : 23152869) is observed. Counter stained with Hematoxylin.

Secondary antibody only control : Used PBS instead of primary antibody, secondary antibody is Goat Anti-Rabbit IgG H&L (HRP) ready to use.

Perform heat mediated antigen retrieval using ab93684 (Tris/EDTA buffer, pH 9.0).

不同偶联物与剂型 (1)

  • Carrier free

    Anti-Filaggrin antibody [EPR21892] - BSA and Azide free

关键信息

宿主种属

Rabbit

克隆

Monoclonal

克隆号

EPR21892

亚型

IgG

不含载体蛋白

No

反应种属

Human

应用

mIHC, IHC-P

applications

免疫原

The exact immunogen used to generate this antibody is proprietary information.

反应性数据

{ "title": "Reactivity Data", "filters": { "stats": ["", "Species", "Dilution Info", "Notes"], "tabs": { "all-applications": {"fullname" : "All Applications", "shortname": "All Applications"}, "mIHC" : {"fullname" : "Multiplex immunohistochemistry", "shortname":"mIHC"}, "ICCIF" : {"fullname" : "Immunocytochemistry/ Immunofluorescence", "shortname":"ICC/IF"}, "WB" : {"fullname" : "Western blot", "shortname":"WB"}, "IHCP" : {"fullname" : "Immunohistochemistry (Formalin/PFA-fixed paraffin-embedded sections)", "shortname":"IHC-P"} }, "product-promise": { "all": "all", "testedAndGuaranteed": "tested", "guaranteed": "expected", "predicted": "predicted", "notRecommended": "not-recommended" } }, "values": { "Human": { "mIHC-species-checked": "testedAndGuaranteed", "mIHC-species-dilution-info": "1/2000", "mIHC-species-notes": "<p></p>", "ICCIF-species-checked": "notRecommended", "ICCIF-species-dilution-info": "1/50", "ICCIF-species-notes": "<p></p>", "WB-species-checked": "notRecommended", "WB-species-dilution-info": "1/1000", "WB-species-notes": "<p></p>", "IHCP-species-checked": "testedAndGuaranteed", "IHCP-species-dilution-info": "1/1000", "IHCP-species-notes": "<p></p>" } } }

产品详情

What is this antibody validated in?
Anti-Filaggrin antibody [EPR21892] (ab221155) is a rabbit recombinant monoclonal antibody and is validated for use in Immunohistochemistry (IHC-P), Multiplex IHC (mIHC) in Human samples.

Trial sizes available!
Test your antibody or perform pre-screening before committing to a larger quantity. Sold in 10µl. Discover our selection of trial-size antibodies.

Other related products
We have a range of other formats of antibody clone [EPR21892] also available for your convenience: ab221155, Carrier free - ab231821

Patented technology
Our RabMAb® technology is a patented hybridoma-based technology for making rabbit monoclonal antibodies. For details on our patents, please refer to RabMAb® patents.

What are the advantages of a recombinant monoclonal antibody?
This product is a recombinant monoclonal antibody, which offers several advantages including:

  • - High batch-to-batch consistency and reproducibility
  • - Improved sensitivity and specificity
  • - Long-term security of supply
  • - Animal-free batch production

For more information, read more on recombinant antibodies.

性能和储存信息

形式
Liquid
纯化工艺
Affinity purification Protein A
存储溶液
pH: 7.2 - 7.4 Preservative: 0.01% Sodium azide Constituents: PBS, 40% Glycerol (glycerin, glycerine), 0.05% BSA
运输条件
Blue Ice
推荐的短期储存时间
1-2 weeks
推荐的短期储存条件
+4°C
推荐的长期储存条件
-20°C
分装信息
Upon delivery aliquot
储存信息
Avoid freeze / thaw cycle

产品实验方案

For this product, it's our understanding that no specific protocols are required. You can visit:

靶点信息

Aggregates keratin intermediate filaments and promotes disulfide-bond formation among the intermediate filaments during terminal differentiation of mammalian epidermis.
See full target information FLG

文献 (7)

Recent publications for all applications. Explore the full list and refine your search

Cell & bioscience 15:62 PubMed40399921

2025

Tie2-expressing monocytes/macrophages promote angiogenesis in chronically ischaemic brain tissue.

Applications

Unspecified application

Species

Unspecified reactive species

Chuyang Tai,Cong Ling,Yang Yang,Baoyu Zhang,Jun Sun,Ni Mo,Tao Sun,Lixin Huang,Cian Yao,Hui Wang,Chuan Chen

Biofabrication 17: PubMed39622178

2024

Development of immunocompetent full thickness skin tissue constructs to model skin fibrosis for high-throughput drug screening.

Applications

Unspecified application

Species

Unspecified reactive species

Yi Wei Lim,Russell Quinn,Kapil Bharti,Marc Ferrer,Hoda Zarkoob,Min Jae Song

Cell death & disease 15:759 PubMed39424623

2024

NLRP10 maintains epidermal homeostasis by promoting keratinocyte survival and P63-dependent differentiation and barrier function.

Applications

Unspecified application

Species

Unspecified reactive species

Yeonhee Cho,Zhongzheng Cao,Xin Luo,Jennifer J Tian,Renee R Hukkanen,Rajaa Hussien,Belinda Cancilla,Priyanka Chowdhury,Fei Li,Shining Ma,Edward L LaGory,Mark Schroeder,Amanda Dusenberry,Leslie Marshall,Jenn Hawkins,Menno van Lookeren Campagne,Yi Zhou

Nature communications 14:2478 PubMed37120459

2023

Hydrogel dressing integrating FAK inhibition and ROS scavenging for mechano-chemical treatment of atopic dermatitis.

Applications

Unspecified application

Species

Unspecified reactive species

Yuanbo Jia,Jiahui Hu,Keli An,Qiang Zhao,Yang Dang,Hao Liu,Zhao Wei,Songmei Geng,Feng Xu

Science advances 9:eade2514 PubMed36706190

2023

Engineering edgeless human skin with enhanced biomechanical properties.

Applications

Unspecified application

Species

Unspecified reactive species

Alberto Pappalardo,David Alvarez Cespedes,Shuyang Fang,Abigail R Herschman,Eun Young Jeon,Kristin M Myers,Jeffrey W Kysar,Hasan Erbil Abaci

Experimental dermatology 32:30-40 PubMed36134503

2022

RNA sequencing reveals the transcriptome profile of the atopic prurigo nodularis with severe itching.

Applications

Unspecified application

Species

Unspecified reactive species

Yixin Shao,Yiqi Zhu,Zijing Xiao,Yanyun Shen,Beiying Dai,Hui Tang,Duoqin Wang

Biomedicines 10: PubMed35884945

2022

Optical Behavior of Human Skin Substitutes: Absorbance in the 200-400 nm UV Range.

Applications

Unspecified application

Species

Unspecified reactive species

Javier Ruiz-López,Juan C Cardona,Ingrid Garzón,María M Pérez,Miguel Alaminos,Jesus Chato-Astrain,Ana M Ionescu
View all publications

Abcam Product Promise

我们致力于为您的研究提供高质量的试剂,为您科研的每一步提供支持。若我们的产品未能达到预期性能,我们向您提供 Abcam Product Promise 保障。
详情请参阅我们的条款与条件。

Please note: All products are 'FOR RESEARCH USE ONLY. NOT FOR USE IN DIAGNOSTIC OR THERAPEUTIC PROCEDURES'.

For licensing inquiries, please contact partnerships@abcam.com