JavaScript is disabled in your browser. Please enable JavaScript to view this website.
AB32419

Anti-Fibronectin 抗体 [F1]

Anti-Fibronectin antibody [F1]

5

(7 Reviews)

|

(131 Publications)

Rabbit Recombinant Monoclonal Fibronectin antibody. Suitable for WB, ICC/IF, Flow Cyt (Intra), IHC-P and reacts with Human samples. Cited in 131 publications.

查看别名

FN, FN1, Fibronectin, Cold-insoluble globulin, CIG

6 Images
Immunocytochemistry/ Immunofluorescence - Anti-Fibronectin antibody [F1] (AB32419)
  • ICC/IF

Unknown

Immunocytochemistry/ Immunofluorescence - Anti-Fibronectin antibody [F1] (AB32419)

ICC/IF image of unpurified ab32419 stained HepG2 (Human liver hepatocellular carcinoma cell line) cells. The cells were fixed in 4% formaldehyde (10 minutes) and then incubated in 1%BSA / 10% normal goat serum / 0.3M glycine in 0.1% PBS-Tween for 1 hour to permeabilize the cells and block non-specific protein-protein interactions. The cells were then incubated with the antibody ab32419 at 1/100 dilution overnight at +4°C. The secondary antibody (green) was DyLight® 488 goat anti- rabbit (ab96899) IgG (H+L) used at a 1/1000 dilution for 1 hour. Alexa Fluor® 594 WGA was used to label plasma membranes (red) at a 1/200 dilution for 1 hour. DAPI was used to stain the cell nuclei (blue) at a concentration of 1.43 μM.

Alexa Fluor® 488 (ab198933) and Alexa Fluor® 647 (ab198934) conjugated versions are available for this clone.

Immunocytochemistry/ Immunofluorescence - Anti-Fibronectin antibody [F1] (AB32419)
  • ICC/IF

AbReview31625****

Immunocytochemistry/ Immunofluorescence - Anti-Fibronectin antibody [F1] (AB32419)

ICC/IF image of unpurified ab32419 stained human mesenchymal stem cells. The cells were fixed in paraformaldehyde and then incubated in 0.1%BSA / 1% goat serum for 30 minutes, to block non-specific protein-protein interactions. The cells were then incubated with the antibody (ab32419, 1/100 dilution) for 2 hours at 22°C. The secondary antibody (green) was Alexa Fluor® 488 goat anti-rabbit IgG. DAPI was used to stain the cell nuclei (blue).

This image is courtesy of an anonymous Abreview.

Flow Cytometry (Intracellular) - Anti-Fibronectin antibody [F1] (AB32419)
  • Flow Cyt (Intra)

Unknown

Flow Cytometry (Intracellular) - Anti-Fibronectin antibody [F1] (AB32419)

Intracellular Flow Cytometry analysis of HepG2 (Human liver hepatocellular carcinoma cell line) cells labeling Fibronectin with purified ab32419 at 1/20 dilution (10μg/mL) (red). Cells were fixed with 4% paraformaldehyde and permeabilized with 90% methanol. A Goat anti rabbit IgG (Alexa Fluorr®488) at 1/2000 dilution was used as the secondary antibody. Rabbit monoclonal IgG (Black) was used as the isotype control, cells without incubation with primary antibody and secondary antibody (Blue) was used as the unlabeled control.

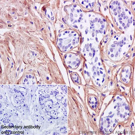
Immunohistochemistry (Formalin/PFA-fixed paraffin-embedded sections) - Anti-Fibronectin antibody [F1] (AB32419)
  • IHC-P

Unknown

Immunohistochemistry (Formalin/PFA-fixed paraffin-embedded sections) - Anti-Fibronectin antibody [F1] (AB32419)

Immunohistochemical staining of paraffin embedded human breast carcinoma with purified ab32419 at a dilution of 1/250. The secondary antibody used is ab97051 a HRP-conjugated goat anti-rabbit IgG (H+L) at a dilution of 1/500. The sample is counter-stained with hematoxylin. Antigen retrieval was perfomed using Tris-EDTA buffer pH 9.0. PBS was used instead of the primary antibody as the negative control and is shown in the inset.

Western blot - Anti-Fibronectin antibody [F1] (AB32419)
  • WB

Unknown

Western blot - Anti-Fibronectin antibody [F1] (AB32419)

Blocking/Dilution buffer : 5% NFDM/TBST

All lanes:

Western blot - Anti-Fibronectin antibody [F1] (ab32419) at 1/5000 dilution

Lane 1:

Human serum at 20 µg

Lane 2:

Human plasma at 20 µg

Lane 3:

SK-OV-3 (Human ovarian cancer cell line) cell lysate at 20 µg

Secondary

All lanes:

HRP goat anti-rabbit (H+L) at 1/1000 dilution

Predicted band size: 262 kDa

Observed band size: 263 kDa

false

Western blot - Anti-Fibronectin antibody [F1] (AB32419)
  • WB

Unknown

Western blot - Anti-Fibronectin antibody [F1] (AB32419)

Blocking/Dilution buffer : 5% NFDM/TBST

All lanes:

Western blot - Anti-Fibronectin antibody [F1] (ab32419) at 1/1000 dilution

All lanes:

HepG2 (Human liver hepatocellular carcinoma cell line) cell lysate at 20 µg

Secondary

All lanes:

HRP goat anti-rabbit (H+L) at 1/1000 dilution

Predicted band size: 262 kDa

Observed band size: 263 kDa

false

不同偶联物与剂型 (6)

关键信息

宿主种属

Rabbit

克隆

Monoclonal

克隆号

F1

亚型

IgG

不含载体蛋白

No

反应种属

Human

应用

Flow Cyt (Intra), IHC-P, WB, ICC/IF

applications

免疫原

The exact immunogen used to generate this antibody is proprietary information.

反应性数据

{ "title": "Reactivity Data", "filters": { "stats": ["", "Species", "Dilution Info", "Notes"], "tabs": { "all-applications": {"fullname" : "All Applications", "shortname": "All Applications"}, "WB" : {"fullname" : "Western blot", "shortname":"WB"}, "ICCIF" : {"fullname" : "Immunocytochemistry/ Immunofluorescence", "shortname":"ICC/IF"}, "FlowCytIntra" : {"fullname" : "Flow Cytometry (Intracellular)", "shortname":"Flow Cyt (Intra)"}, "IHCP" : {"fullname" : "Immunohistochemistry (Formalin/PFA-fixed paraffin-embedded sections)", "shortname":"IHC-P"} }, "product-promise": { "all": "all", "testedAndGuaranteed": "tested", "guaranteed": "expected", "predicted": "predicted", "notRecommended": "not-recommended" } }, "values": { "Human": { "WB-species-checked": "testedAndGuaranteed", "WB-species-dilution-info": "1/1000", "WB-species-notes": "<p></p>", "ICCIF-species-checked": "testedAndGuaranteed", "ICCIF-species-dilution-info": "1/150", "ICCIF-species-notes": "<p></p>", "FlowCytIntra-species-checked": "testedAndGuaranteed", "FlowCytIntra-species-dilution-info": "1/20", "FlowCytIntra-species-notes": "<p><a href='/products/primary-antibodies/rabbit-igg-monoclonal-epr25a-isotype-control-low-endotoxin-azide-free-ab199376'>ab199376</a> - Rabbit monoclonal IgG, is suitable for use as an isotype control with this antibody.</p>", "IHCP-species-checked": "testedAndGuaranteed", "IHCP-species-dilution-info": "1/250 - 1/500", "IHCP-species-notes": "<p></p> Perform heat-mediated antigen retrieval with Tris/EDTA buffer pH 9.0 before commencing with IHC staining protocol." } } }

产品详情

Species reactivity
Mouse, Rat: We have preliminary internal testing data to indicate this antibody may not react with these species.
Please contact us for more information.

Patented technology
Our RabMAb® technology is a patented hybridoma-based technology for making rabbit monoclonal antibodies. For details on our patents, please refer to RabMAb® patents.

What are the advantages of a recombinant monoclonal antibody?
This product is a recombinant monoclonal antibody, which offers several advantages including:

  • - High batch-to-batch consistency and reproducibility
  • - Improved sensitivity and specificity
  • - Long-term security of supply
  • - Animal-free batch production

For more information, read more on recombinant antibodies.

性能和储存信息

形式
Liquid
纯化工艺
Affinity purification Protein A
存储溶液
pH: 7.2 - 7.4 Preservative: 0.01% Sodium azide Constituents: PBS, 40% Glycerol (glycerin, glycerine), 0.05% BSA
运输条件
Blue Ice
推荐的短期储存时间
1-2 weeks
推荐的短期储存条件
+4°C
推荐的长期储存条件
-20°C
分装信息
Upon delivery aliquot
储存信息
Avoid freeze / thaw cycle

产品实验方案

For this product, it's our understanding that no specific protocols are required. You can visit:

靶点信息

Fibronectins bind cell surfaces and various compounds including collagen, fibrin, heparin, DNA, and actin (PubMed : 3024962, PubMed : 3593230, PubMed : 3900070, PubMed : 7989369). Fibronectins are involved in cell adhesion, cell motility, opsonization, wound healing, and maintenance of cell shape (PubMed : 3024962, PubMed : 3593230, PubMed : 3900070, PubMed : 7989369). Involved in osteoblast compaction through the fibronectin fibrillogenesis cell-mediated matrix assembly process, essential for osteoblast mineralization (By similarity). Participates in the regulation of type I collagen deposition by osteoblasts (By similarity). Acts as a ligand for the LILRB4 receptor, inhibiting FCGR1A/CD64-mediated monocyte activation (PubMed : 34089617).. Anastellin. Binds fibronectin and induces fibril formation. This fibronectin polymer, named superfibronectin, exhibits enhanced adhesive properties. Both anastellin and superfibronectin inhibit tumor growth, angiogenesis and metastasis. Anastellin activates p38 MAPK and inhibits lysophospholipid signaling.. Secreted by contracting muscle, induces liver autophagy, a degradative pathway for nutrient mobilization and damage removal, and systemic insulin sensitization via hepatic ITGA5 : ITGB1 integrin receptor signaling.
See full target information FN1

文献 (131)

Recent publications for all applications. Explore the full list and refine your search

The Tohoku journal of experimental medicine : PubMed40128950

2025

Tubacin Decelerates TGF-β1-Induced Pro-Fibrotic Effects on Human Dermal Fibroblasts by Regulating HDAC6-Mediated Deacetylation of α-Tubulin and Hsp90.

Applications

Unspecified application

Species

Unspecified reactive species

Yanli Wang,Liu Yang,Tao Wang,Xiuli Li,Xin Zhang

BMJ open ophthalmology 9: PubMed39721966

2024

Endoplasmic reticulum protein TXNDC5 modulates thyroid eye disease TGF-β1-induced myofibroblast transdifferentiation.

Applications

Unspecified application

Species

Unspecified reactive species

Hsun-I Chiu,Shi-Bei Wu,Albert Y Wu,Chieh-Chih Tsai

Journal of dental sciences 19:1983-1990 PubMed39347031

2024

Protein inhibitor of activated signal transducer and activator of transcription 2 is an oncoprotein in oral squamous cell carcinoma and related to cigarette smoking - An in vitro study.

Applications

Unspecified application

Species

Unspecified reactive species

Szu-Yu Chen,Chi-Fu Chiang,Yu-Fu Su,Che-Yi Lin,Yi-Jen Hung,Tsai-Wang Huang,Yi-Shing Shieh

Cancer letters 600:217180 PubMed39154702

2024

Single-cell RNA sequencing of OSCC primary tumors and lymph nodes reveals distinct origin and phenotype of fibroblasts.

Applications

Unspecified application

Species

Unspecified reactive species

Qian Zhang,Liang Ding,Jingyi Li,Kunyu Liu,Chengwan Xia,Sheng Chen,Xiaofeng Huang,Yumei Pu,Yuxian Song,Qingang Hu,Yuxin Wang

Cells & development 179:203941 PubMed39038657

2024

Identification of a fibronectin-binding protein signature associated with idiopathic pulmonary fibrosis.

Applications

Unspecified application

Species

Unspecified reactive species

Yu Sun,Benjamin King,Aaron J Hamlin,Mersedeh Saniepay,Kirill Gorshkov,Gregory Barker,Milinda Ziegler,Shilpaa Mukundan,Mary Ellen Cvijic,Jean E Schwarzbauer

STAR protocols 4:102735 PubMed37991921

2023

Protocol for establishing primary human lung organoid-derived air-liquid interface cultures from cryopreserved human lung tissue.

Applications

Unspecified application

Species

Unspecified reactive species

Diana Cadena Castaneda,Sonia Jangra,Marina Yurieva,Jan Martinek,Megan Callender,Matthew Coxe,Angela Choi,Juan García-Bernalt Diego,Te-Chia Wu,Florentina Marches,Damien Chaussabel,Adolfo García-Sastre,Michael Schotsaert,Adam Williams,Karolina Palucka

Theranostics 13:5130-5150 PubMed37771777

2023

mRNA 3'-UTR supersedes traditional fibronectin 1 in facilitating the invasion and metastasis of gastric cancer through the 3'-UTR-let-7i-5p-THBS1 axis.

Applications

Unspecified application

Species

Unspecified reactive species

Siwei Pan,Jiaming Zhu,Pengfei Liu,Qiaochu Wei,Siyu Zhang,Wen An,Yuxin Tong,Zhenguo Cheng,Funan Liu

ACS applied materials & interfaces 15:38323-38334 PubMed37549382

2023

Delivery of miR-200c-3p Using Tumor-Targeted Mesoporous Silica Nanoparticles for Breast Cancer Therapy.

Applications

Unspecified application

Species

Unspecified reactive species

Iris Garrido-Cano,Anna Adam-Artigues,Ana Lameirinhas,Juan F Blandez,Vicente Candela-Noguera,Ana Lluch,Begoña Bermejo,Felix Sancenón,Juan Miguel Cejalvo,Ramón Martínez-Máñez,Pilar Eroles

Journal of diabetes investigation 14:940-952 PubMed37309277

2023

Long non-coding ribonucleic acid zinc finger E-box binding homeobox 1 antisense RNA 1 regulates myocardial fibrosis in diabetes through the Hippo-Yes-associated protein signaling pathway.

Applications

Unspecified application

Species

Unspecified reactive species

Jing Wu,Rui Lyu,Shumin Chen,Xiaoguang Wang

International journal of molecular sciences 24: PubMed37240272

2023

αvβ3 Integrin as a Link between the Development of Fibrosis and Thyroid Hormones in Systemic Sclerosis.

Applications

Unspecified application

Species

Unspecified reactive species

Maia Yamila Kohon,Mor Zaaroor Levy,Tzipi Hornik-Lurie,Avshalom Shalom,Ariel Berl,Liat Drucker,Yair Levy,Shelly Tartakover Matalon
View all publications

Abcam Product Promise

我们致力于为您的研究提供高质量的试剂,为您科研的每一步提供支持。若我们的产品未能达到预期性能,我们向您提供 Abcam Product Promise 保障。
详情请参阅我们的条款与条件。

Please note: All products are 'FOR RESEARCH USE ONLY. NOT FOR USE IN DIAGNOSTIC OR THERAPEUTIC PROCEDURES'.

For licensing inquiries, please contact partnerships@abcam.com