JavaScript is disabled in your browser. Please enable JavaScript to view this website.
AB207178

Anti-Fibroblast activation protein, alpha 抗体 [EPR20021]

Anti-Fibroblast activation protein, alpha antibody [EPR20021]

  • KO Validated
  • BOND RX™ Validated
  • RabMAb
  • Recombinant
  • 20ul selling size
  • 了解详情

4

(19 Reviews)

|

(149 Publications)

Anti-Fibroblast activation protein, alpha antibody [EPR20021] (ab207178) is a rabbit monoclonal antibody detecting Fibroblast activation protein, alpha in Western Blot, IHC-P. Suitable for Human.

- Biophysical QC for unrivalled batch-batch consistency
- Over 80 publications

查看别名

Prolyl endopeptidase FAP, 170 kDa melanoma membrane-bound gelatinase, Dipeptidyl peptidase FAP, Fibroblast activation protein alpha, Gelatine degradation protease FAP, Integral membrane serine protease, Post-proline cleaving enzyme, Serine integral membrane protease, Surface-expressed protease, FAPalpha, SIMP, Seprase, FAP

13 Images
Immunohistochemistry (Formalin/PFA-fixed paraffin-embedded sections) - Anti-Fibroblast activation protein, alpha antibody [EPR20021] (AB207178)
  • IHC-P

AbReview62299****

Immunohistochemistry (Formalin/PFA-fixed paraffin-embedded sections) - Anti-Fibroblast activation protein, alpha antibody [EPR20021] (AB207178)

Formalin-fixed paraffin-embedded human colon cancer tissue labeling Fibroblast activation protein alpha using ab207178 at 1/100 dilution in immunohistochemical analysis. Heat mediated antigen retieval using Citrate pH 6.0.

Courtesy of an anonymous abreview

Immunohistochemistry (Formalin/PFA-fixed paraffin-embedded sections) - Anti-Fibroblast activation protein, alpha antibody [EPR20021] (AB207178)
  • IHC-P

Lab

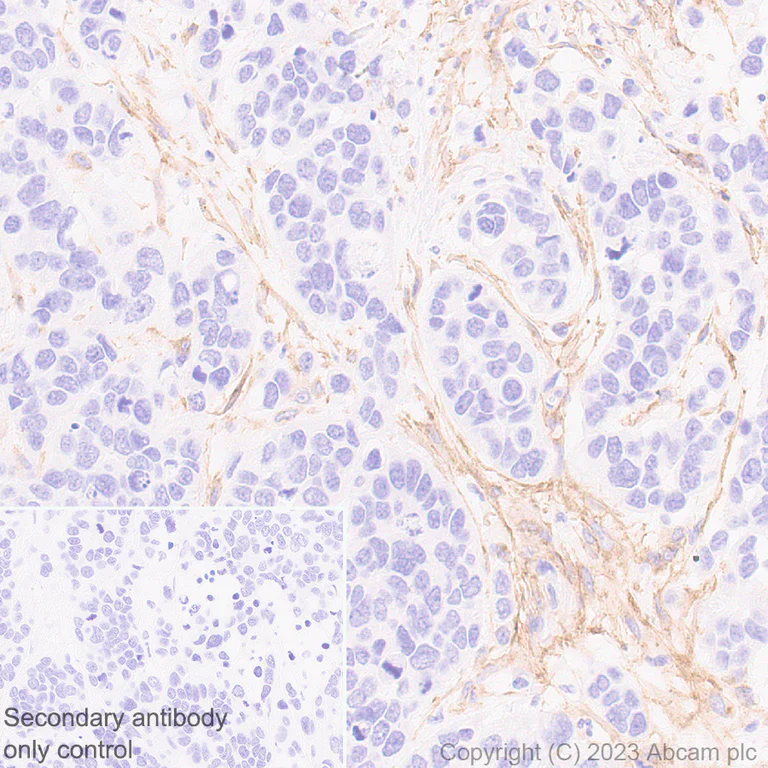
Immunohistochemistry (Formalin/PFA-fixed paraffin-embedded sections) - Anti-Fibroblast activation protein, alpha antibody [EPR20021] (AB207178)

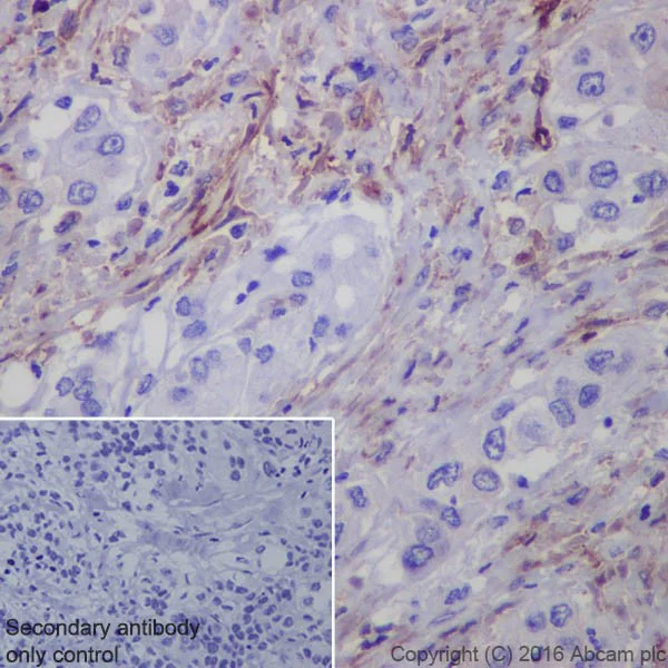
Immunohistochemical analysis of formalin fixed paraffin embedded human colon carcinoma labelling Fibroblast activation protein, alpha with ab207178 at a concentration of 3 µg/ml. The immunostaining was performed on a Ventana DISCOVERY ULTRA (Roche Tissue Diagnostics) instrument with an OptiView DAB IHC Detection Kit. Heat mediated antigen retrieval was conducted for 32 mins at 100°C with ULTRA cell conditioning solution (CC1, pH 8.5). ab207178 anti- Fibroblast activation protein, alpha [EPR20021] was incubated at 37°C for 16 mins. Sections were counterstained with Hematoxylin II. Image inset shows absence of staining in secondary antibody only control.

Immunohistochemistry (Formalin/PFA-fixed paraffin-embedded sections) - Anti-Fibroblast activation protein, alpha antibody [EPR20021] (AB207178)
  • IHC-P

Supplier Data

Immunohistochemistry (Formalin/PFA-fixed paraffin-embedded sections) - Anti-Fibroblast activation protein, alpha antibody [EPR20021] (AB207178)

Immunohistochemical analysis of paraffin-embedded human pancreatic cancer tissue labeling Fibroblast activation protein alpha with ab207178 at 1/250 dilution followed by Goat Anti-Rabbit IgG H&L (HRP) (ab97051) at 1/500 dilution. Cell surface staining on stromal cells of human pancreas cancer is observed [PMID : 2371645].

Counter stained with Hematoxylin.

Secondary antibody only control : Used PBS instead of primary antibody secondary antibody is Goat Anti-Rabbit IgG H&L (HRP) (ab97051) at 1/500 dilution.

Perform heat mediated antigen retrieval with Tris/EDTA buffer pH 9.0 before commencing with IHC staining protocol.

Immunohistochemistry (Formalin/PFA-fixed paraffin-embedded sections) - Anti-Fibroblast activation protein, alpha antibody [EPR20021] (AB207178)
  • IHC-P

Supplier Data

Immunohistochemistry (Formalin/PFA-fixed paraffin-embedded sections) - Anti-Fibroblast activation protein, alpha antibody [EPR20021] (AB207178)

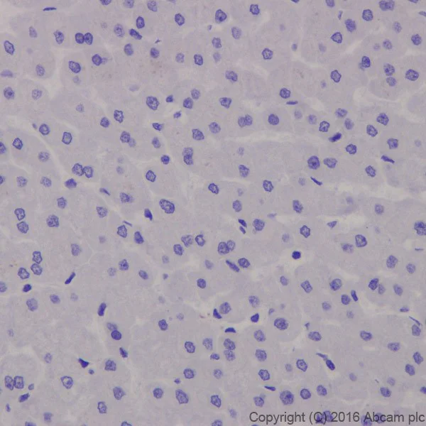
Immunohistochemical analysis of paraffin-embedded human liver tissue labeling Fibroblast activation protein alpha with ab207178 at 1/250 dilution followed by Goat Anti-Rabbit IgG H&L (HRP) (ab97051) at 1/500 dilution.

Negative control : no staining on human liver [PMID : 9139873].

Counter stained with Hematoxylin.

Perform heat mediated antigen retrieval with Tris/EDTA buffer pH 9.0 before commencing with IHC staining protocol.

Immunohistochemistry (Formalin/PFA-fixed paraffin-embedded sections) - Anti-Fibroblast activation protein, alpha antibody [EPR20021] (AB207178)
  • IHC-P

AbReview57315****

Immunohistochemistry (Formalin/PFA-fixed paraffin-embedded sections) - Anti-Fibroblast activation protein, alpha antibody [EPR20021] (AB207178)

Immunohistochemical analysis of formaldehyde fixed paraffin embedded human Ovarian carcinoma tissue sectioins labeling Fibroblast activation protein with ab207178 at 1/500. Biotin conjugated goat anti-rabbit IgG at 1/300 was used as the secondary antibody. Antigen retrieval was heat mediated using citric acid.

This image is of an Abreciew submitted byCarl Hobbs.

Immunohistochemistry (Formalin/PFA-fixed paraffin-embedded sections) - Anti-Fibroblast activation protein, alpha antibody [EPR20021] (AB207178)
  • IHC-P

Lab

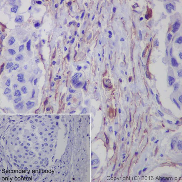
Immunohistochemistry (Formalin/PFA-fixed paraffin-embedded sections) - Anti-Fibroblast activation protein, alpha antibody [EPR20021] (AB207178)

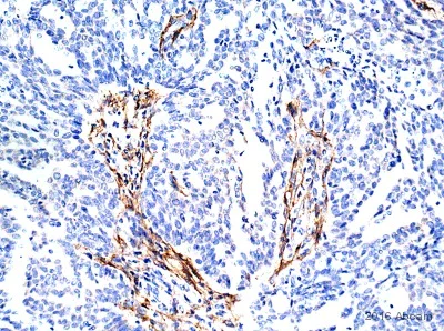
Immunohistochemical analysis of paraffin-embedded Human stomach cancer tissue labeling Fibroblast activation protein, alpha with ab207178 at 1/1000 (0.718 ug/ml) followed by a ready to use LeicaDS9800 (Bond™ Polymer Refine Detection). Positive staining on stromal fibroblast cells of human stomach cancer. The section was incubated with ab207178 for 30 mins at room temperature. The immunostaining was performed on a Leica Biosystems BOND® RX instrument. Counterstained with Hematoxylin. Secondary antibody only control : Secondary antibody is a ready to use LeicaDS9800 (Bond™ Polymer Refine Detection) Heat mediated antigen retrieval was performed with Tris-EDTA buffer (pH 9.0, Epitope Retrieval Solution2) for 20 mins.

Immunohistochemistry (Formalin/PFA-fixed paraffin-embedded sections) - Anti-Fibroblast activation protein, alpha antibody [EPR20021] (AB207178)
  • IHC-P

Supplier Data

Immunohistochemistry (Formalin/PFA-fixed paraffin-embedded sections) - Anti-Fibroblast activation protein, alpha antibody [EPR20021] (AB207178)

Immunohistochemical analysis of paraffin-embedded human pancreas tissue labeling Fibroblast activation protein alpha with ab207178 at 1/250 dilution followed by Goat Anti-Rabbit IgG H&L (HRP) (ab97051) at 1/500 dilution.

Negative control : no staining on human pancreas [PMID : 22371645].

Counter stained with Hematoxylin.

Perform heat mediated antigen retrieval with Tris/EDTA buffer pH 9.0 before commencing with IHC staining protocol.

Immunohistochemistry (Formalin/PFA-fixed paraffin-embedded sections) - Anti-Fibroblast activation protein, alpha antibody [EPR20021] (AB207178)
  • IHC-P

Supplier Data

Immunohistochemistry (Formalin/PFA-fixed paraffin-embedded sections) - Anti-Fibroblast activation protein, alpha antibody [EPR20021] (AB207178)

Immunohistochemical analysis of paraffin-embedded human breast cancer tissue labeling Fibroblast activation protein alpha with ab207178 at 1/250 dilution followed by Goat Anti-Rabbit IgG H&L (HRP) (ab97051) at 1/500 dilution. Cell surface staining on stromal cells of human breast cancer is observed [PMID : 18628473].

Counter stained with Hematoxylin.

Secondary antibody only control : Used PBS instead of primary antibody secondary antibody is Goat Anti-Rabbit IgG H&L (HRP) (ab97051) at 1/500 dilution.

Perform heat mediated antigen retrieval with Tris/EDTA buffer pH 9.0 before commencing with IHC staining protocol.

Immunohistochemistry (Formalin/PFA-fixed paraffin-embedded sections) - Anti-Fibroblast activation protein, alpha antibody [EPR20021] (AB207178)
  • IHC-P

Supplier Data

Immunohistochemistry (Formalin/PFA-fixed paraffin-embedded sections) - Anti-Fibroblast activation protein, alpha antibody [EPR20021] (AB207178)

Immunohistochemical analysis of paraffin-embedded Human sciatic nerve tissue labeling Fibroblast activation protein, alpha with ab207178 at 1/1000 (0.718 ug/ml) followed by a ready to use LeicaDS9800 (Bond™ Polymer Refine Detection). Negative control : no staining on human sciatic nerve. The section was incubated with ab207178 for 30 mins at room temperature. The immunostaining was performed on a Leica Biosystems BOND® RX instrument. Counterstained with Hematoxylin. Secondary antibody only control : Secondary antibody is a ready to use LeicaDS9800 (Bond™ Polymer Refine Detection) Heat mediated antigen retrieval was performed with Tris-EDTA buffer (pH 9.0, Epitope Retrieval Solution2) for 20 mins.

Western blot - Anti-Fibroblast activation protein, alpha antibody [EPR20021] (AB207178)
  • WB

Supplier Data

Western blot - Anti-Fibroblast activation protein, alpha antibody [EPR20021] (AB207178)

Blocking/Dilution buffer : 5% NFDM/TBST.

Exposure time : Lane 1 : 1 minute; Lane 2 : 3 minutes.

The molecular weight is consistent with the literature (PMID : 10593948).

All lanes:

Western blot - Anti-Fibroblast activation protein, alpha antibody [EPR20021] (ab207178) at 1/1000 dilution

Lane 1:

HFF-1 (Human forskin fibroblast cell line) whole cell lysate at 10 µg

Lane 2:

IMR-90 (Human lung fibroblast cell line) whole cell lysate at 10 µg

Secondary

All lanes:

Western blot - Goat Anti-Rabbit IgG H&L (HRP) (<a href='/products/secondary-antibodies/goat-rabbit-igg-h-l-hrp-ab97051'>ab97051</a>) at 1/100000 dilution

Predicted band size: 88 kDa

Observed band size: 95 kDa

false

Western blot - Anti-Fibroblast activation protein, alpha antibody [EPR20021] (AB207178)
  • WB

Lab

Western blot - Anti-Fibroblast activation protein, alpha antibody [EPR20021] (AB207178)

Different batches of ab207178 were tested on IMR-90 (Human lung fibroblast cell line) lysate at 1.0 µg/ml. 15 µg of lysate was loaded in each lane. Bands observed at 95 kDa.

All lanes:

Western blot - Anti-Fibroblast activation protein, alpha antibody [EPR20021] (ab207178)

Predicted band size: 88 kDa

Observed band size: 95 kDa

false

Western blot - Anti-Fibroblast activation protein, alpha antibody [EPR20021] (AB207178)
  • WB

Lab

Western blot - Anti-Fibroblast activation protein, alpha antibody [EPR20021] (AB207178)

Western blot : Anti-Fibroblast activation protein, alpha antibody [EPR20021] ab207178 staining at 1/1000 dilution, shown in green; Mouse anti GAPDH ab8245 loading control staining at 1/20000 dilution, shown in magenta. A band was observed at 80-100 kDa. To generate this image, samples were run on an SDS-PAGE gel then transferred onto a nitrocellulose membrane. Membranes were blocked in 3pc Milk in TBS-0.1 % Tween 20 (TBS-T) before incubation with primary antibodies overnight at 4 C. Blots were washed four times in TBS-T, incubated with secondary antibodies for 1 h at room temperature, washed again four times then imaged. Secondary antibodies used were Goat anti-Rabbit 800CW and Goat anti-Mouse 680RD at 1/20,000 dilution.

All lanes:

Western blot - Anti-Fibroblast activation protein, alpha antibody [EPR20021] (ab207178) at 1/1000 dilution

Lane 1:

Wild-type MCF7 BFA (5 g/mL, 6h) at 20 µg

Lane 2:

Wild-type MCF7 BFA (0 g/mL, 6h) at 20 µg

Lane 3:

FAP knockout MCF7 BFA (5 g/mL, 6 h) at 20 µg

Lane 4:

FAP knockout MCF7 BFA (0 g/mL, 6 h) at 20 µg

Secondary

All lanes:

Goat anti-Rabbit 800CW & Goat anti-Mouse 680RD at 1/20000 dilution

Predicted band size: 80-100 kDa

Observed band size: 80-100 kDa

false

Western blot - Anti-Fibroblast activation protein, alpha antibody [EPR20021] (AB207178)
  • WB

Supplier Data

Western blot - Anti-Fibroblast activation protein, alpha antibody [EPR20021] (AB207178)

Blocking/Dilution buffer : 5% NFDM/TBST.

The molecular weight is consistent with the literature.

Negative control : Human fetal liver (PMID : 10593948, PMID : 9139873).

All lanes:

Western blot - Anti-Fibroblast activation protein, alpha antibody [EPR20021] (ab207178) at 1/1000 dilution

Lane 1:

WI-38 (Human fetal lung fibroblast cell line) whole cell lysate at 10 µg

Lane 2:

U-87 MG (Human glioblastoma-astrocytoma epithelial cell line) whole cell lysate at 10 µg

Lane 3:

Human fetal liver lysate at 10 µg

Secondary

All lanes:

Western blot - Goat Anti-Rabbit IgG H&L (HRP) (<a href='/products/secondary-antibodies/goat-rabbit-igg-h-l-hrp-ab97051'>ab97051</a>) at 1/100000 dilution

Predicted band size: 88 kDa

Observed band size: 95 kDa

false

Exposure time: 3min

不同偶联物与剂型 (2)

  • Carrier free

    Anti-Fibroblast activation protein, alpha antibody [EPR20021] - BSA and Azide free

  • Carrier free

    Anti-Fibroblast activation protein, alpha antibody [EPR20021] - Low endotoxin, Azide free

关键信息

宿主种属

Rabbit

克隆

Monoclonal

克隆号

EPR20021

亚型

IgG

不含载体蛋白

No

反应种属

Human

应用

WB, IHC-P

applications

免疫原

The exact immunogen used to generate this antibody is proprietary information.

特异性

Except for the 95kDa form, 100-120kDa or even higher molecular weights were also observed due to glycosylation (PMID: 24551161, PMID: 28452380).

反应性数据

{ "title": "Reactivity Data", "filters": { "stats": ["", "Species", "Dilution Info", "Notes"], "tabs": { "all-applications": {"fullname" : "All Applications", "shortname": "All Applications"}, "WB" : {"fullname" : "Western blot", "shortname":"WB"}, "IHCP" : {"fullname" : "Immunohistochemistry (Formalin/PFA-fixed paraffin-embedded sections)", "shortname":"IHC-P"} }, "product-promise": { "all": "all", "testedAndGuaranteed": "tested", "guaranteed": "expected", "predicted": "predicted", "notRecommended": "not-recommended" } }, "values": { "Human": { "WB-species-checked": "testedAndGuaranteed", "WB-species-dilution-info": "1/1000", "WB-species-notes": "<p></p>", "IHCP-species-checked": "testedAndGuaranteed", "IHCP-species-dilution-info": "1/250", "IHCP-species-notes": "<p></p> Perform heat-mediated antigen retrieval before commencing with IHC staining protocol." } } }

产品详情

Anti-Fibroblast activation protein, alpha antibody [EPR20021] (ab207178) was developed by Abcam using patented rabbit monoclonal antibody technology and is validated for use in IHC-P, WB in human samples.

Anti-Fibroblast activation protein, alpha antibody [EPR20021] (ab207178) has been cited over 85 times in peer reviewed journals and is trusted by the scientific community.

Abcams high quality manufacturing and validation processes ensure Anti-Fibroblast activation protein, alpha antibody [EPR20021] (ab207178) has high sensitivity and specificity alongside high lot-to-lot consistency and reproducibility.

Anti-Fibroblast activation protein, alpha antibody [EPR20021] (ab207178) has 16 independent reviews from customers.

Anti-Fibroblast activation protein, alpha antibody [EPR20021] (ab207178) specifically detects Fibroblast activation protein, alpha (UniProt ID: Q12884; Molecular weight: 88kDa) and is sold in 100 uL and 1 mL selling sizes.

Conjugation-ready, carrier free format available for antibody clone EPR20021 - ab271976.

Fibroblast activation protein-alpha (FAP) is a serine protease predominantly expressed by cancer-associated fibroblasts (CAFs) in the tumor microenvironment. It promotes tumor growth, invasion, and immunosuppression by remodeling the extracellular matrix and influencing intracellular signaling pathways.

Patented technology
Our RabMAb® technology is a patented hybridoma-based technology for making rabbit monoclonal antibodies. For details on our patents, please refer to RabMAb® patents.

What are the advantages of a recombinant monoclonal antibody?
This product is a recombinant monoclonal antibody, which offers several advantages including:

  • - High batch-to-batch consistency and reproducibility
  • - Improved sensitivity and specificity
  • - Long-term security of supply
  • - Animal-free batch production

For more information, read more on recombinant antibodies.

性能和储存信息

形式
Liquid
纯化工艺
Affinity purification Protein A
存储溶液
pH: 7.2 - 7.4 Preservative: 0.01% Sodium azide Constituents: PBS, 40% Glycerol (glycerin, glycerine), 0.05% BSA
运输条件
Blue Ice
推荐的短期储存时间
1-2 weeks
推荐的短期储存条件
+4°C
推荐的长期储存条件
-20°C
分装信息
Upon delivery aliquot
储存信息
Avoid freeze / thaw cycle

产品实验方案

For this product, it's our understanding that no specific protocols are required. You can visit:

靶点信息

Cell surface glycoprotein serine protease that participates in extracellular matrix degradation and involved in many cellular processes including tissue remodeling, fibrosis, wound healing, inflammation and tumor growth. Both plasma membrane and soluble forms exhibit post-proline cleaving endopeptidase activity, with a marked preference for Ala/Ser-Gly-Pro-Ser/Asn/Ala consensus sequences, on substrate such as alpha-2-antiplasmin SERPINF2 and SPRY2 (PubMed : 14751930, PubMed : 16223769, PubMed : 16410248, PubMed : 16480718, PubMed : 17381073, PubMed : 18095711, PubMed : 21288888, PubMed : 24371721). Degrade also gelatin, heat-denatured type I collagen, but not native collagen type I and IV, vitronectin, tenascin, laminin, fibronectin, fibrin or casein (PubMed : 10347120, PubMed : 10455171, PubMed : 12376466, PubMed : 16223769, PubMed : 16651416, PubMed : 18095711, PubMed : 2172980, PubMed : 7923219, PubMed : 9065413). Also has dipeptidyl peptidase activity, exhibiting the ability to hydrolyze the prolyl bond two residues from the N-terminus of synthetic dipeptide substrates provided that the penultimate residue is proline, with a preference for Ala-Pro, Ile-Pro, Gly-Pro, Arg-Pro and Pro-Pro (PubMed : 10347120, PubMed : 10593948, PubMed : 16175601, PubMed : 16223769, PubMed : 16410248, PubMed : 16651416, PubMed : 17381073, PubMed : 21314817, PubMed : 24371721, PubMed : 24717288). Natural neuropeptide hormones for dipeptidyl peptidase are the neuropeptide Y (NPY), peptide YY (PYY), substance P (TAC1) and brain natriuretic peptide 32 (NPPB) (PubMed : 21314817). The plasma membrane form, in association with either DPP4, PLAUR or integrins, is involved in the pericellular proteolysis of the extracellular matrix (ECM), and hence promotes cell adhesion, migration and invasion through the ECM. Plays a role in tissue remodeling during development and wound healing. Participates in the cell invasiveness towards the ECM in malignant melanoma cancers. Enhances tumor growth progression by increasing angiogenesis, collagen fiber degradation and apoptosis and by reducing antitumor response of the immune system. Promotes glioma cell invasion through the brain parenchyma by degrading the proteoglycan brevican. Acts as a tumor suppressor in melanocytic cells through regulation of cell proliferation and survival in a serine protease activity-independent manner.
See full target information FAP

文献 (149)

Recent publications for all applications. Explore the full list and refine your search

Respiratory research 26:283 PubMed41044547

2025

GLUT and FAPα as molecular markers for interstitial lung disease in systemic sclerosis.

Applications

Unspecified application

Species

Unspecified reactive species

Bo Broens,Conny J van der Laken,Teodora Radonic,Esther J Nossent,Xue D Manz,Douwe J Mulder,Yehya Al-Adwi,C Tji Gan,Wim Timens,Alexandre E Voskuyl,Jan Willem Duitman

Brazilian journal of otorhinolaryngology 91:101703 PubMed40916258

2025

Effects of fibroblasts-derived exosomal FAP in regulating EMT in epithelial cells from chronic rhinosinusitis.

Applications

Unspecified application

Species

Unspecified reactive species

Li-Fang Shen,Zi-Ming Fu,Hai-Hong Chen

Genome medicine 17:89 PubMed40814001

2025

SCAN-ACT: adoptive T cell therapy target discovery through single-cell transcriptomics.

Applications

Unspecified application

Species

Unspecified reactive species

Stefano Testa,Aastha Pal,Ajay Subramanian,Sushama Varma,Jack Pengfei Tang,Danielle Graham,Sara Arfan,Minggui Pan,Nam Q Bui,Kristen N Ganjoo,Sarah Dry,Paul Huang,Matt van de Rijn,Wei Jiang,Anusha Kalbasi,Everett J Moding

Translational lung cancer research 14:2646-2669 PubMed40799444

2025

Single-cell and spatial transcriptomics profile the interaction of macrophages and fibroblasts in non-small cell lung cancer.

Applications

Unspecified application

Species

Unspecified reactive species

Minqin Xiao,Yiqi Deng,Hang Guo,Zhixiang Ren,Yajiao He,Xia Ren,Li-Bin Huang,Wei-Han Zhang,Hai-Ning Chen,Yang Shu,Fanxin Zeng,Yan Zhang,Heng Xu,Lanlan Wang

EJNMMI research 15:89 PubMed40690085

2025

Evaluation of myocardial fibrosis and wall motion abnormality with Ga-FAPI PET/MR in coronary heart disease.

Applications

Unspecified application

Species

Unspecified reactive species

Rui Luo,Zhenyu Zhao,Chuan Zhang,Ru-Shuai Li,Yanrong Wang,Qingle Meng,Yudan Ni,Bolin Wang,Lanhua Li,Luan Feng,Rui Yang,Lin Xie,Xin Chen,Ming-Rong Zhang,Feng Wang

European journal of nuclear medicine and molecular imaging : PubMed40540027

2025

PET/CT imaging of esophageal cancer targeting tumor cell specific αvβ6-integrin expression.

Applications

Unspecified application

Species

Unspecified reactive species

Kateřina Dvořáková Bendová,Tanja Groll,Barbora Neužilová,Kristýna Krasulová,Zbyněk Nový,Falco Reissig,Katja Steiger,Melanie Boxberg,Elisabeth Eppard,Jan Wuestemann,Marián Hajdúch,Moritz Jesinghaus,Jakub Šimeček,Michael C Kreissl,Miloš Petřík,Johannes Notni

Cancer & metabolism 13:28 PubMed40524253

2025

Cancer-associated fibroblasts promote drug resistance in ALK-driven lung adenocarcinoma cells by upregulating lipid biosynthesis.

Applications

Unspecified application

Species

Unspecified reactive species

Ann-Kathrin Daum,Lisa Schlicker,Marc A Schneider,Thomas Muley,Ursula Klingmüller,Almut Schulze,Michael Thomas,Petros Christopoulos,Holger Sültmann

BJC reports 3:44 PubMed40523922

2025

The influence of clinical risk factors on the classification of human cancer-associated fibroblasts in PDAC and pancreatitis patients.

Applications

Unspecified application

Species

Unspecified reactive species

Viktoria Boeker,Lena Wilke,Ana Mansourkiaei,Van Manh H Le,Kaira A Church,Zoltan Czigany,Bo Kong,Fernanda G Kugeratski,Jörg Kleeff,Jürgen Weitz,Christoph Kahlert

International journal of medical sciences 22:2816-2829 PubMed40520892

2025

PDGF-BB/EGR1 Axis Drives Fibroblast Activation Protein Expression to Promote Abdominal Aortic Aneurysm.

Applications

Unspecified application

Species

Unspecified reactive species

Zhihao Zhou,Lin Huang,Hui Luo,Rongzhou He,Ridong Wu,Rui Wang,Kangjie Wang,Chen Yao

Neoplasia (New York, N.Y.) 66:101193 PubMed40472740

2025

EGFRvIII-driven microenvironmental fibroblast activation and transformation accelerate oral cancer progression via lipocalin-2/STAT3 axis.

Applications

Unspecified application

Species

Unspecified reactive species

Hsuan-Yu Peng,Kwang-Yu Chang,Wei-Min Chang,Chia-Yu Wu,Hsin-Lun Lee,Yung-Chieh Chang,Ko-Jiunn Liu,Shine-Gwo Shiah,Ching-Chuan Kuo,Jang-Yang Chang
View all publications

Abcam Product Promise

我们致力于为您的研究提供高质量的试剂,为您科研的每一步提供支持。若我们的产品未能达到预期性能,我们向您提供 Abcam Product Promise 保障。
详情请参阅我们的条款与条件。

Please note: All products are 'FOR RESEARCH USE ONLY. NOT FOR USE IN DIAGNOSTIC OR THERAPEUTIC PROCEDURES'.

For licensing inquiries, please contact partnerships@abcam.com