JavaScript is disabled in your browser. Please enable JavaScript to view this website.
AB166630

Anti-Fibrillarin+Fibrillarin-like protein 1 抗体 [EPR10823(B)] - Nucleolar Marker

Anti-Fibrillarin+Fibrillarin-like protein 1 antibody [EPR10823(B)] - Nucleolar Marker

5

(2 Reviews)

|

(36 Publications)

Anti-Fibrillarin+Fibrillarin-like protein 1 antibody [EPR10823(B)] - Nucleolar Marker (ab166630) is a rabbit monoclonal antibody detecting Fibrillarin and Fibrillarin-like protein 1 in Western Blot, Flow Cytometry (Intra), Flow Cytometry, ICC/IF. Suitable for Human, Mouse, Rat.

- Biophysical QC for unrivalled batch-batch consistency
- Over 20 publications

查看别名

FIB1, FLRN, FBL, rRNA 2'-O-methyltransferase fibrillarin, 34 kDa nucleolar scleroderma antigen, Histone-glutamine methyltransferase, U6 snRNA 2'-O-methyltransferase fibrillarin

8 Images
Flow Cytometry (Intracellular) - Anti-Fibrillarin+Fibrillarin-like protein 1 antibody [EPR10823(B)] - Nucleolar Marker (AB166630)
  • Flow Cyt (Intra)

Unknown

Flow Cytometry (Intracellular) - Anti-Fibrillarin+Fibrillarin-like protein 1 antibody [EPR10823(B)] - Nucleolar Marker (AB166630)

Intracellular flow cytometric analysis of permeabilized MOLT4 cells using ab166630 at a 1/10 dilution (red) or a Rabbit IgG (negative) (green).

Immunocytochemistry/ Immunofluorescence - Anti-Fibrillarin+Fibrillarin-like protein 1 antibody [EPR10823(B)] - Nucleolar Marker (AB166630)
  • ICC/IF

Unknown

Immunocytochemistry/ Immunofluorescence - Anti-Fibrillarin+Fibrillarin-like protein 1 antibody [EPR10823(B)] - Nucleolar Marker (AB166630)

Immunofluorescent analysis of HeLa cells labeling Fibrillarin with ab166630 at a 1/100 dilution.

Immunocytochemistry/ Immunofluorescence - Anti-Fibrillarin+Fibrillarin-like protein 1 antibody [EPR10823(B)] - Nucleolar Marker (AB166630)
  • ICC/IF

Lab

Immunocytochemistry/ Immunofluorescence - Anti-Fibrillarin+Fibrillarin-like protein 1 antibody [EPR10823(B)] - Nucleolar Marker (AB166630)

Immunocytochemistry/Immunofluorescence analysis of HT-29 (human colorectal adenocarcinoma) cells labelling Fibrillarin (green) with purified ab166630 at 1/5000. Cells were fixed with 4% Paraformaldehyde and permeabilized with 0.1% Triton X-100. ab150077, Alexa Fluor® 488-conjugated goat anti-rabbit IgG (1/1000) was used as the secondary antibody. DAPI (blue) was used as a nuclear counterstain.

Secondary Only Control : PBS was used instead of the primary antibody as the negative control.

Immunocytochemistry/ Immunofluorescence - Anti-Fibrillarin+Fibrillarin-like protein 1 antibody [EPR10823(B)] - Nucleolar Marker (AB166630)
  • ICC/IF

Lab

Immunocytochemistry/ Immunofluorescence - Anti-Fibrillarin+Fibrillarin-like protein 1 antibody [EPR10823(B)] - Nucleolar Marker (AB166630)

Immunofluorescent analysis of 4% Paraformaldehyde-fixed, 0.1% TritonX-100 permeabilized NIH/3T3 (mouse embryonic fibroblast) cells labelling Fibrillarin with ab166630 at 1/200 (0.5 μg/ml) dilution followed by secondary antibody ab150081 Goat Anti-Rabbit IgG H&L (Alexa Fluor® 488) preadsorbedused at 1/1000 dilution (2μg/ml) (Green). ab195889 Anti-alpha Tubulin mouse monoclonal antibody - Microtubule Marker (Alexa Fluor® 594) was used to counterstain tubulin at 1/200 dilution (2.5 μg/ml) (Red). The Nuclear counterstain was DAPI (Blue). Confocal image showing nuclear staining in NIH/3T3 cell line. Image was taken with a confocal microscope (Leica-Microsystems, TCS SP8).

Western blot - Anti-Fibrillarin+Fibrillarin-like protein 1 antibody [EPR10823(B)] - Nucleolar Marker (AB166630)
  • WB

Lab

Western blot - Anti-Fibrillarin+Fibrillarin-like protein 1 antibody [EPR10823(B)] - Nucleolar Marker (AB166630)

Blocking and diluting buffer and concentration : 5% NFDM/TBST. The lysates were freshly made and used for Western Blotting immediately to minimize protein degradation.

All lanes:

Western blot - Anti-Fibrillarin+Fibrillarin-like protein 1 antibody [EPR10823(B)] - Nucleolar Marker (ab166630) at 1/1000 dilution

Lane 1:

HeLa (human cervical adenocarcinoma epithelial cell) whole cell lysate at 20 µg

Lane 2:

293T (human embryonic kidney epithelial cell) whole cell lysate at 20 µg

Lane 3:

NIH/3T3 (mouse embryonic fibroblast) whole cell lysate at 20 µg

Lane 4:

PC-12 (rat adrenal gland pheochromocytoma cell) whole cell lysate at 20 µg

Secondary

All lanes:

Western blot - Goat Anti-Rabbit IgG H&L (HRP) (<a href='/products/secondary-antibodies/goat-rabbit-igg-h-l-hrp-ab97051'>ab97051</a>) at 1/20000 dilution

Predicted band size: 33 kDa

Observed band size: 33 kDa

false

Exposure time: 10s

Western blot - Anti-Fibrillarin+Fibrillarin-like protein 1 antibody [EPR10823(B)] - Nucleolar Marker (AB166630)
  • WB

Unknown

Western blot - Anti-Fibrillarin+Fibrillarin-like protein 1 antibody [EPR10823(B)] - Nucleolar Marker (AB166630)

All lanes:

Western blot - Anti-Fibrillarin+Fibrillarin-like protein 1 antibody [EPR10823(B)] - Nucleolar Marker (ab166630) at 1/1000 dilution

All lanes:

immunoprecipitation pellet from HepG2 cell lysate at 10 µg

Predicted band size: 33 kDa

false

Western blot - Anti-Fibrillarin+Fibrillarin-like protein 1 antibody [EPR10823(B)] - Nucleolar Marker (AB166630)
  • WB

Lab

Western blot - Anti-Fibrillarin+Fibrillarin-like protein 1 antibody [EPR10823(B)] - Nucleolar Marker (AB166630)

Blocking and diluting buffer and concentration : 5% NFDM/TBST. The lysates were freshly made and used for Western Blotting immediately to minimize protein degradation.

All lanes:

Western blot - Anti-Fibrillarin+Fibrillarin-like protein 1 antibody [EPR10823(B)] - Nucleolar Marker (ab166630) at 1/1000 dilution

Lane 1:

Mouse liver tissue lysate at 20 µg

Lane 2:

Mouse testis tissue lysate at 20 µg

Lane 3:

Mouse spleen tissue lysate at 20 µg

Secondary

All lanes:

Western blot - Goat Anti-Rabbit IgG H&L (HRP) (<a href='/products/secondary-antibodies/goat-rabbit-igg-h-l-hrp-ab97051'>ab97051</a>) at 1/20000 dilution

Predicted band size: 33 kDa

Observed band size: 33 kDa

false

Exposure time: 81s

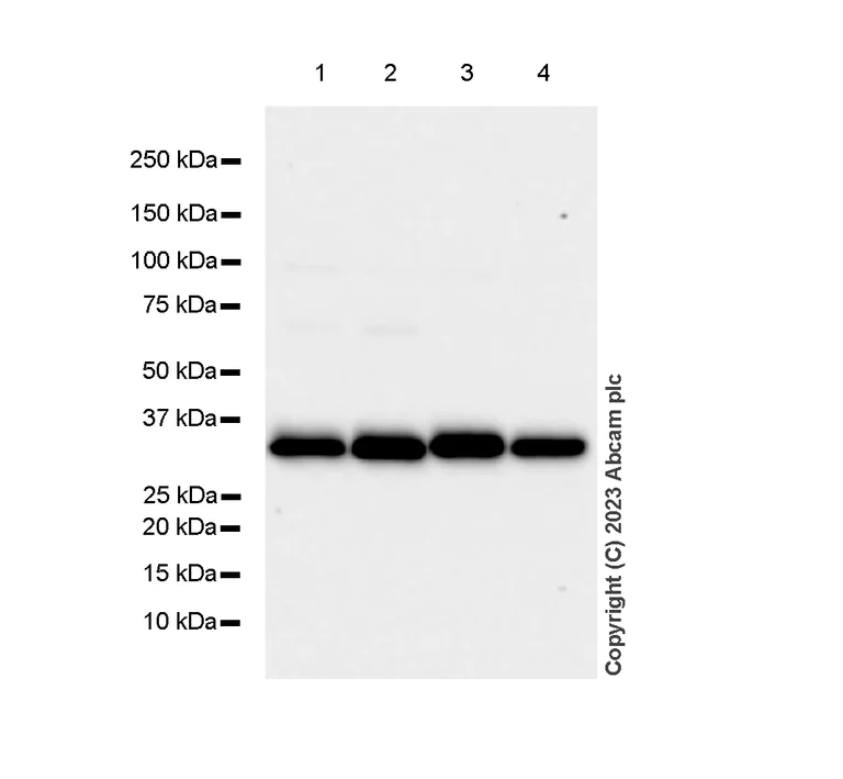
Western blot - Anti-Fibrillarin+Fibrillarin-like protein 1 antibody [EPR10823(B)] - Nucleolar Marker (AB166630)
  • WB

Unknown

Western blot - Anti-Fibrillarin+Fibrillarin-like protein 1 antibody [EPR10823(B)] - Nucleolar Marker (AB166630)

All lanes:

Western blot - Anti-Fibrillarin+Fibrillarin-like protein 1 antibody [EPR10823(B)] - Nucleolar Marker (ab166630) at 1/1000 dilution

Lane 1:

293T cell lysate at 10 µg

Lane 2:

HeLa cell lysate at 10 µg

Lane 3:

HepG2 cell lysate at 10 µg

Lane 4:

MOLT4 cell lysate at 10 µg

Predicted band size: 33 kDa

Observed band size: 33 kDa

false

不同偶联物与剂型 (6)

  • 603 Alexa Fluor® 568

    Alexa Fluor® 568 Anti-Fibrillarin+Fibrillarin-like protein 1 antibody [EPR10823(B)]-Nucleolar Marker

  • 617 Alexa Fluor® 594

    Alexa Fluor® 594 Anti-Fibrillarin+Fibrillarin-like protein 1 antibody [EPR10823(B)]-Nucleolar Marker

  • 565 Alexa Fluor® 555

    Alexa Fluor® 555 Anti-Fibrillarin+Fibrillarin-like protein 1 antibody [EPR10823(B)]-Nucleolar Marker

  • HRP

    HRP Anti-Fibrillarin antibody+Fibrillarin-like protein 1 [EPR10823(B)] - Nucleolar Marker

  • 519 Alexa Fluor® 488

    Alexa Fluor® 488 Anti-Fibrillarin+Fibrillarin-like protein 1 antibody [EPR10823(B)]-Nucleolar Marker

  • Carrier free

    Anti-Fibrillarin+Fibrillarin-like protein 1 antibody [EPR10823(B)] - BSA and Azide free

关键信息

宿主种属

Rabbit

克隆

Monoclonal

克隆号

EPR10823(B)

亚型

IgG

不含载体蛋白

No

反应种属

Mouse, Rat, Human

应用

Flow Cyt (Intra), ICC/IF, WB

applications

免疫原

The exact immunogen used to generate this antibody is proprietary information.

反应性数据

{ "title": "Reactivity Data", "filters": { "stats": ["", "Species", "Dilution Info", "Notes"], "tabs": { "all-applications": {"fullname" : "All Applications", "shortname": "All Applications"}, "IHCP" : {"fullname" : "Immunohistochemistry (Formalin/PFA-fixed paraffin-embedded sections)", "shortname":"IHC-P"}, "WB" : {"fullname" : "Western blot", "shortname":"WB"}, "ICCIF" : {"fullname" : "Immunocytochemistry/ Immunofluorescence", "shortname":"ICC/IF"}, "FlowCytIntra" : {"fullname" : "Flow Cytometry (Intracellular)", "shortname":"Flow Cyt (Intra)"} }, "product-promise": { "all": "all", "testedAndGuaranteed": "tested", "guaranteed": "expected", "predicted": "predicted", "notRecommended": "not-recommended" } }, "values": { "Human": { "IHCP-species-checked": "notRecommended", "IHCP-species-dilution-info": "1/100 - 1/250", "IHCP-species-notes": "<p></p> Perform heat-mediated antigen retrieval with citrate buffer pH 6 before commencing with IHC staining protocol.", "WB-species-checked": "testedAndGuaranteed", "WB-species-dilution-info": "1/1000 - 1/5000", "WB-species-notes": "<p></p>", "ICCIF-species-checked": "testedAndGuaranteed", "ICCIF-species-dilution-info": "1/5000", "ICCIF-species-notes": "<p><strong>For unpurified use at 1/100 - 1/250</strong></p>", "FlowCytIntra-species-checked": "testedAndGuaranteed", "FlowCytIntra-species-dilution-info": "1/10 - 1/100", "FlowCytIntra-species-notes": "<p><a href='/products/primary-antibodies/rabbit-igg-monoclonal-epr25a-isotype-control-ab172730'>ab172730</a> - Rabbit monoclonal IgG, is suitable for use as an isotype control with this antibody.</p>" }, "Mouse": { "IHCP-species-checked": "notRecommended", "IHCP-species-dilution-info": "", "IHCP-species-notes": "", "WB-species-checked": "testedAndGuaranteed", "WB-species-dilution-info": "1/1000 - 1/5000", "WB-species-notes": "<p></p>", "ICCIF-species-checked": "testedAndGuaranteed", "ICCIF-species-dilution-info": "1/5000", "ICCIF-species-notes": "<p><strong>For unpurified use at 1/100 - 1/250</strong></p>", "FlowCytIntra-species-checked": "guaranteed", "FlowCytIntra-species-dilution-info": "", "FlowCytIntra-species-notes": "" }, "Rat": { "IHCP-species-checked": "notRecommended", "IHCP-species-dilution-info": "", "IHCP-species-notes": "", "WB-species-checked": "testedAndGuaranteed", "WB-species-dilution-info": "1/1000 - 1/5000", "WB-species-notes": "<p></p>", "ICCIF-species-checked": "guaranteed", "ICCIF-species-dilution-info": "", "ICCIF-species-notes": "", "FlowCytIntra-species-checked": "guaranteed", "FlowCytIntra-species-dilution-info": "", "FlowCytIntra-species-notes": "" } } }

产品详情

What is this antibody validated in?
Anti-Fibrillarin+Fibrillarin-like protein 1 antibody [EPR10823(B)] - Nucleolar Marker (ab166630) is a rabbit recombinant monoclonal antibody and is validated for use in Western Blot (WB), Flow Cytometry (Intra), Flow Cytometry (Flow Cyt), Immunocytochemistry/immunofluorescence (ICC/IF) in Human, Mouse, Rat samples.

What is the molecular weight of Fibrillarin?
Anti-Fibrillarin+Fibrillarin-like protein 1 [EPR10823(B)] - Nucleolar Marker (ab166630) specifically detects a band for Fibrillarin and Fibrillarin-like protein 1 (UniProt: P22087) at a molecular weight of 33kDa.

Trusted by the scientific community
Anti-Fibrillarin+Fibrillarin-like protein 1 [EPR10823(B)] - Nucleolar Marker (ab166630) was first used in a scientific publication in 2013 and has been cited over 20 times in peer-reviewed journals.

Other related products
We have a range of other formats of antibody clone [EPR10823(B)] also available for your convenience: ab166630, Alexa Fluor® 488 - ab184817, HRP - ab196980, Alexa Fluor® 568 - ab202540, Alexa Fluor® 594 - ab203400, Alexa Fluor® 555 - ab203410, Carrier free - ab240147

Patented technology
Our RabMAb® technology is a patented hybridoma-based technology for making rabbit monoclonal antibodies. For details on our patents, please refer to RabMAb® patents.

What are the advantages of a recombinant monoclonal antibody?
This product is a recombinant monoclonal antibody, which offers several advantages including:

  • - High batch-to-batch consistency and reproducibility
  • - Improved sensitivity and specificity
  • - Long-term security of supply
  • - Animal-free batch production

For more information, read more on recombinant antibodies.

性能和储存信息

形式
Liquid
纯度
Tissue culture supernatant
存储溶液
pH: 7.2 - 7.4 Preservative: 0.01% Sodium azide Constituents: PBS, 50% Tissue culture supernatant, 40% Glycerol (glycerin, glycerine), 0.05% BSA
运输条件
Blue Ice
推荐的短期储存时间
1-2 weeks
推荐的短期储存条件
+4°C
推荐的长期储存条件
-20°C
分装信息
Upon delivery aliquot
储存信息
Avoid freeze / thaw cycle

产品实验方案

For this product, it's our understanding that no specific protocols are required. You can visit:

靶点信息

S-adenosyl-L-methionine-dependent methyltransferase that has the ability to methylate both RNAs and proteins (PubMed : 24352239, PubMed : 30540930, PubMed : 32017898). Involved in pre-rRNA processing by catalyzing the site-specific 2'-hydroxyl methylation of ribose moieties in pre-ribosomal RNA (PubMed : 30540930). Site specificity is provided by a guide RNA that base pairs with the substrate (By similarity). Methylation occurs at a characteristic distance from the sequence involved in base pairing with the guide RNA (By similarity). Probably catalyzes 2'-O-methylation of U6 snRNAs in box C/D RNP complexes (PubMed : 32017898). U6 snRNA 2'-O-methylation is required for mRNA splicing fidelity (PubMed : 32017898). Also acts as a protein methyltransferase by mediating methylation of 'Gln-105' of histone H2A (H2AQ104me), a modification that impairs binding of the FACT complex and is specifically present at 35S ribosomal DNA locus (PubMed : 24352239, PubMed : 30540930). Part of the small subunit (SSU) processome, first precursor of the small eukaryotic ribosomal subunit. During the assembly of the SSU processome in the nucleolus, many ribosome biogenesis factors, an RNA chaperone and ribosomal proteins associate with the nascent pre-rRNA and work in concert to generate RNA folding, modifications, rearrangements and cleavage as well as targeted degradation of pre-ribosomal RNA by the RNA exosome (PubMed : 34516797).
See full target information FBL

文献 (36)

Recent publications for all applications. Explore the full list and refine your search

Nature communications 16:8018 PubMed40866413

2025

Hypoxic stress incites HIF1α-driven ribosome biogenesis that can be exploited by targeting RNA Polymerase I.

Applications

Unspecified application

Species

Unspecified reactive species

Amr Elhamamsy,Brandon J Metge,Courtney A Swain,Mohamed H Elbahoty,Dominique C Hinshaw,Sarah C Kammerud,Dongquan Chen,Rajeev S Samant,Lalita A Shevde

Nature 643:1372-1380 PubMed40500448

2025

SP140-RESIST pathway regulates interferon mRNA stability and antiviral immunity.

Applications

Unspecified application

Species

Unspecified reactive species

Kristen C Witt,Adam Dziulko,Joohyun An,Filip Pekovic,Arthur Xiuyuan Cheng,Grace Y Liu,Ophelia Vosshall Lee,David J Turner,Azra Lari,Moritz M Gaidt,Roberto Chavez,Stefan A Fattinger,Preethy Abraham,Harmandeep Dhaliwal,Angus Y Lee,Dmitri I Kotov,Laurent Coscoy,Britt A Glaunsinger,Eugene Valkov,Edward B Chuong,Russell E Vance

Cell death & disease 16:348 PubMed40289107

2025

FBL promotes hepatocellular carcinoma tumorigenesis and progression by recruiting YY1 to enhance CAD gene expression.

Applications

Unspecified application

Species

Unspecified reactive species

Yafei Zhi,Yan Guo,Shiliang Li,Xinyu He,Huifang Wei,Kyle Laster,Qiong Wu,Dengyun Zhao,Jinxin Xie,Shanshan Ruan,Nicholas R Lemoine,Honglin Li,Zigang Dong,Kangdong Liu

eLife 13: PubMed40223701

2025

Treacle's ability to form liquid-like phase condensates is essential for nucleolar fibrillar center assembly, efficient rRNA transcription and processing, and rRNA gene repair.

Applications

Unspecified application

Species

Unspecified reactive species

Artem K Velichko,Nadezhda V Petrova,Dmitry A Deriglazov,Anastasia P Kovina,Artem V Luzhin,Eugene P Kazakov,Igor I Kireev,Sergey Razin,Omar L Kantidze

Journal of virology 98:e0105524 PubMed39212382

2024

Activation of ATF3 via the integrated stress response pathway regulates innate immune response to restrict Zika virus.

Applications

Unspecified application

Species

Unspecified reactive species

Pheonah Badu,Gabriele Baniulyte,Morgan A Sammons,Cara T Pager

The EMBO journal 43:3968-3999 PubMed39103492

2024

PQBP3 prevents senescence by suppressing PSME3-mediated proteasomal Lamin B1 degradation.

Applications

Unspecified application

Species

Unspecified reactive species

Yuki Yoshioka,Yong Huang,Xiaocen Jin,Kien Xuan Ngo,Tomohiro Kumaki,Meihua Jin,Saori Toyoda,Sumire Takayama,Maiko Inotsume,Kyota Fujita,Hidenori Homma,Toshio Ando,Hikari Tanaka,Hitoshi Okazawa

The Journal of cell biology 223: PubMed38197897

2024

IκB kinase phosphorylates cytoplasmic TDP-43 and promotes its proteasome degradation.

Applications

Unspecified application

Species

Unspecified reactive species

Yohei Iguchi,Yuhei Takahashi,Jiayi Li,Kunihiko Araki,Yoshinobu Amakusa,Yu Kawakami,Kenta Kobayashi,Satoshi Yokoi,Masahisa Katsuno

Nature biotechnology : PubMed37932420

2023

Integrated vector genomes may contribute to long-term expression in primate liver after AAV administration.

Applications

Unspecified application

Species

Unspecified reactive species

Jenny A Greig,Kelly M Martins,Camilo Breton,R Jason Lamontagne,Yanqing Zhu,Zhenning He,John White,Jing-Xu Zhu,Jessica A Chichester,Qi Zheng,Zhe Zhang,Peter Bell,Lili Wang,James M Wilson

Human molecular genetics 32:3153-3165 PubMed37565816

2023

The role of the FSGS disease gene product and nuclear pore protein NUP205 in regulating nuclear localization and activity of transcriptional regulators YAP and TAZ.

Applications

Unspecified application

Species

Unspecified reactive species

Lioba Ester,Inês Cabrita,Michel Ventzke,Emilia Kieckhöfer,Marita Christodoulou,Amrei M Mandel,Paul Diefenhardt,Francesca Fabretti,Thomas Benzing,Sandra Habbig,Bernhard Schermer

Cell 186:3307-3324.e30 PubMed37385249

2023

Dynamic mapping of proteome trafficking within and between living cells by TransitID.

Applications

Unspecified application

Species

Unspecified reactive species

Wei Qin,Joleen S Cheah,Charles Xu,James Messing,Brian D Freibaum,Steven Boeynaems,J Paul Taylor,Namrata D Udeshi,Steven A Carr,Alice Y Ting
View all publications

Abcam Product Promise

我们致力于为您的研究提供高质量的试剂,为您科研的每一步提供支持。若我们的产品未能达到预期性能,我们向您提供 Abcam Product Promise 保障。
详情请参阅我们的条款与条件。

Please note: All products are 'FOR RESEARCH USE ONLY. NOT FOR USE IN DIAGNOSTIC OR THERAPEUTIC PROCEDURES'.

For licensing inquiries, please contact partnerships@abcam.com