JavaScript is disabled in your browser. Please enable JavaScript to view this website.
AB322553

Anti-FGFR2IIIb/FGFR2b antibody [EPR30797-567]

Anti-FGFR2IIIb/FGFR2b antibody [EPR30797-567]

  • 20ul selling size
  • BOND RX™ Validated
  • RabMAb
  • Recombinant
  • 了解详情

Be the first to review this product! Submit a review

|

(0 Publication)

Rabbit Recombinant Monoclonal FGFR2 antibody. Suitable for WB, IHC-P and reacts with Transfected cell lysate - Human, Human samples.

查看别名

CD332, BEK, KGFR, KSAM, Fibroblast growth factor receptor 2, FGFR-2, K-sam, Keratinocyte growth factor receptor

7 Images
Immunohistochemistry (Formalin/PFA-fixed paraffin-embedded sections) - Anti-FGFR2IIIb/FGFR2b antibody [EPR30797-567] (AB322553)
  • IHC-P

Supplier Data

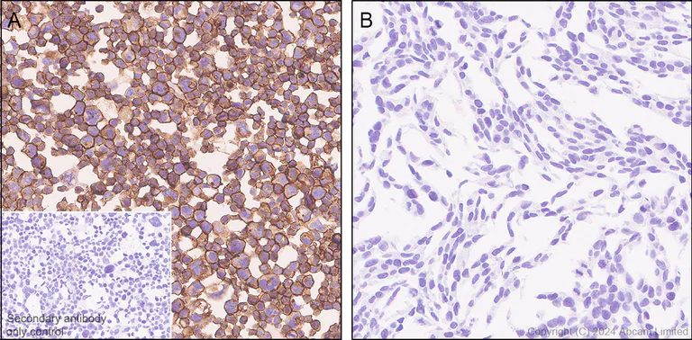
Immunohistochemistry (Formalin/PFA-fixed paraffin-embedded sections) - Anti-FGFR2IIIb/FGFR2b antibody [EPR30797-567] (AB322553)

Immunohistochemical analysis of paraffin-embedded (A) KATO III (human stomach spherical cell) cell pellet. (B) HepG2 (human hepatocellular carcinoma epithelial cell) cell pellet. tissue labeling FGFR2IIIb/FGFR2b with ab322553 at 1/500 (1.0 ug/ml) dilution, followed by a ready to use LeicaDS9800 (Bond™ Polymer Refine Detection).

Positive staining on KATO III (image A). Negative staining on HepG2 (image B). The section was incubated with ab322553 for 30 mins at room temperature.
The immunostaining was performed on a Leica Biosystems BOND® RX instrument

Counterstained with Hematoxylin.

Secondary antibody only control : Secondary antibody is a ready to use LeicaDS9800 (Bond™ Polymer Refine Detection).

Heat mediated antigen retrieval was performed with Tris-EDTA buffer (pH 9.0, Epitope Retrieval Solution2) for 20 mins

Immunohistochemistry (Formalin/PFA-fixed paraffin-embedded sections) - Anti-FGFR2IIIb/FGFR2b antibody [EPR30797-567] (AB322553)
  • IHC-P

Supplier Data

Immunohistochemistry (Formalin/PFA-fixed paraffin-embedded sections) - Anti-FGFR2IIIb/FGFR2b antibody [EPR30797-567] (AB322553)

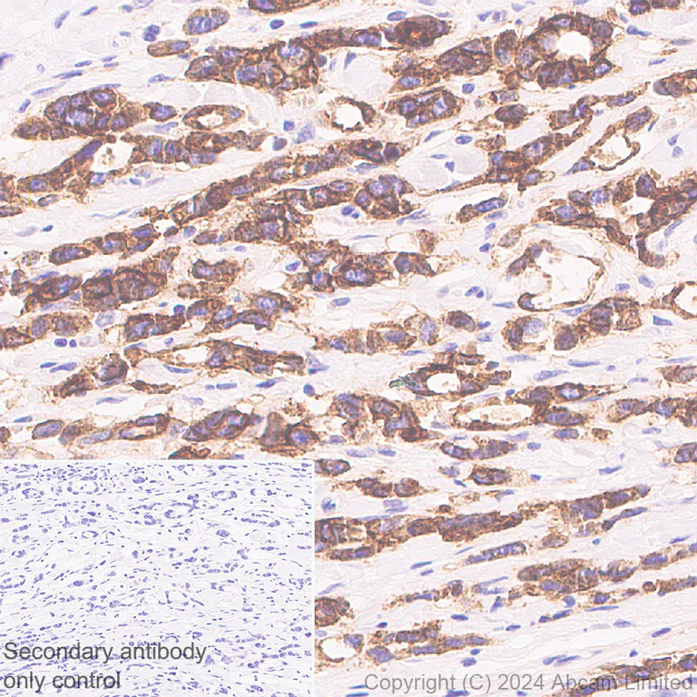
Immunohistochemical analysis of paraffin-embedded Human endometrial carcinoma tissue labeling FGFR2IIIb/FGFR2b with ab322553 at 1/100 (5.0 ug/ml) dilution, followed by a ready to use LeicaDS9800 (Bond™ Polymer Refine Detection).

Positive staining on human endometrial carcinoma. The section was incubated with ab322553 for 30 mins at room temperature.
The immunostaining was performed on a Leica Biosystems BOND® RX instrument

Counterstained with Hematoxylin.

Secondary antibody only control : Secondary antibody is a ready to use LeicaDS9800 (Bond™ Polymer Refine Detection).

Heat mediated antigen retrieval was performed with Tris-EDTA buffer (pH 9.0, Epitope Retrieval Solution2) for 20 mins

Immunohistochemistry (Formalin/PFA-fixed paraffin-embedded sections) - Anti-FGFR2IIIb/FGFR2b antibody [EPR30797-567] (AB322553)
  • IHC-P

Supplier Data

Immunohistochemistry (Formalin/PFA-fixed paraffin-embedded sections) - Anti-FGFR2IIIb/FGFR2b antibody [EPR30797-567] (AB322553)

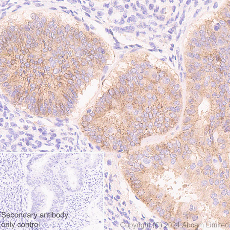
Immunohistochemical analysis of paraffin-embedded Human ovarian carcinoma tissue labeling FGFR2IIIb/FGFR2b with ab322553 at 1/100 (5.0 ug/ml) dilution, followed by a ready to use LeicaDS9800 (Bond™ Polymer Refine Detection).

Positive staining on human ovarian carcinoma. The section was incubated with ab322553 for 30 mins at room temperature.
The immunostaining was performed on a Leica Biosystems BOND® RX instrument

Counterstained with Hematoxylin.

Secondary antibody only control : Secondary antibody is a ready to use LeicaDS9800 (Bond™ Polymer Refine Detection).

Heat mediated antigen retrieval was performed with Tris-EDTA buffer (pH 9.0, Epitope Retrieval Solution2) for 20 mins

Immunohistochemistry (Formalin/PFA-fixed paraffin-embedded sections) - Anti-FGFR2IIIb/FGFR2b antibody [EPR30797-567] (AB322553)
  • IHC-P

Supplier Data

Immunohistochemistry (Formalin/PFA-fixed paraffin-embedded sections) - Anti-FGFR2IIIb/FGFR2b antibody [EPR30797-567] (AB322553)

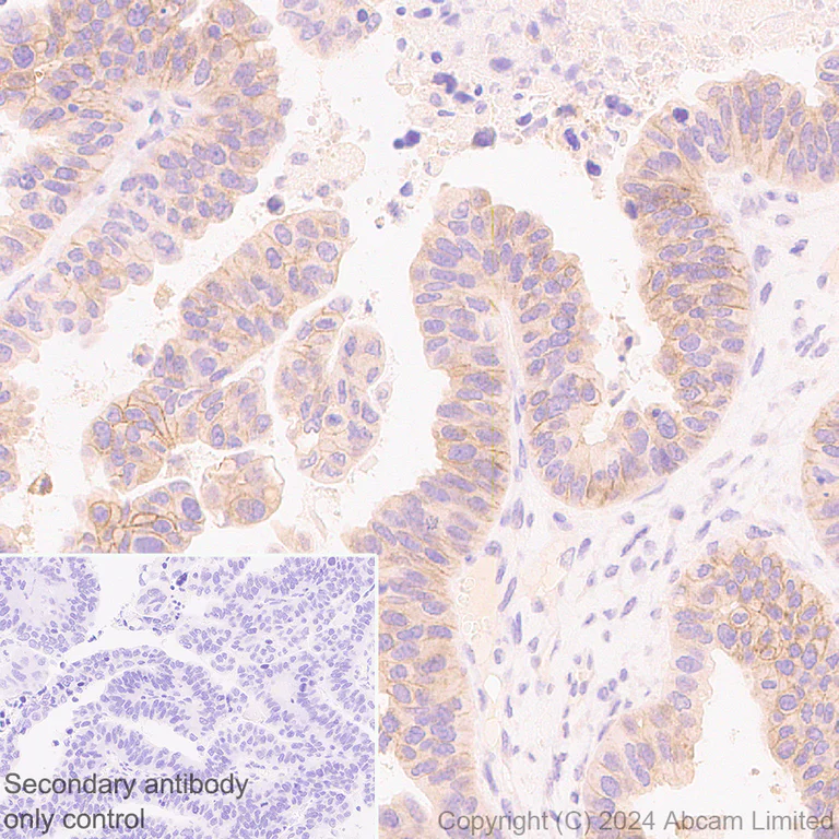
Immunohistochemical analysis of paraffin-embedded Human stomach adenocarcinoma tissue labeling FGFR2IIIb/FGFR2b with ab322553 at 1/100 (5.0 ug/ml) dilution, followed by a ready to use LeicaDS9800 (Bond™ Polymer Refine Detection).

Positive staining on human stomach adenocarcinoma (only one of 45 human stomach adenocarcinoma cases was positive). The section was incubated with ab322553 for 30 mins at room temperature.
The immunostaining was performed on a Leica Biosystems BOND® RX instrument

Counterstained with Hematoxylin.

Secondary antibody only control : Secondary antibody is a ready to use LeicaDS9800 (Bond™ Polymer Refine Detection).

Heat mediated antigen retrieval was performed with Tris-EDTA buffer (pH 9.0, Epitope Retrieval Solution2) for 20 mins

Immunohistochemistry (Formalin/PFA-fixed paraffin-embedded sections) - Anti-FGFR2IIIb/FGFR2b antibody [EPR30797-567] (AB322553)
  • IHC-P

Supplier Data

Immunohistochemistry (Formalin/PFA-fixed paraffin-embedded sections) - Anti-FGFR2IIIb/FGFR2b antibody [EPR30797-567] (AB322553)

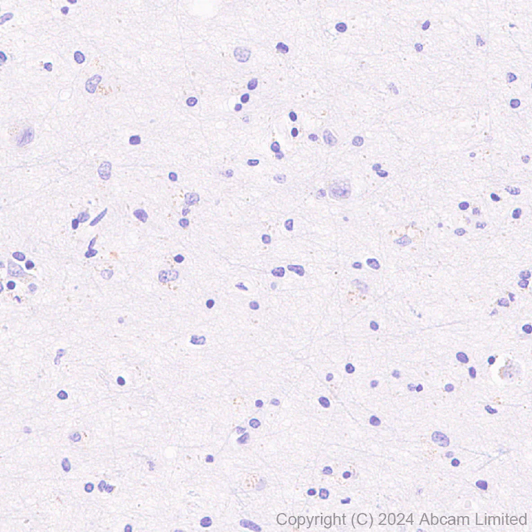
Immunohistochemical analysis of paraffin-embedded Human cerebrum tissue labeling FGFR2IIIb/FGFR2b with ab322553 at 1/100 (5.0 ug/ml) dilution, followed by a ready to use LeicaDS9800 (Bond™ Polymer Refine Detection).

Negative control : no staining on human cerebrum. The section was incubated with ab322553 for 30 mins at room temperature.
The immunostaining was performed on a Leica Biosystems BOND® RX instrument

Counterstained with Hematoxylin.

Secondary antibody only control : Secondary antibody is a ready to use LeicaDS9800 (Bond™ Polymer Refine Detection).

Heat mediated antigen retrieval was performed with Tris-EDTA buffer (pH 9.0, Epitope Retrieval Solution2) for 20 mins

Western blot - Anti-FGFR2IIIb/FGFR2b antibody [EPR30797-567] (AB322553)
  • WB

Supplier Data

Western blot - Anti-FGFR2IIIb/FGFR2b antibody [EPR30797-567] (AB322553)

Blocking and diluting buffer and concentration : 5% NFDM/TBST.

Negative control : HepG2(PMID : 20093481)

Low expression : LoVo(PMID : PMID : 22701813)

The expression profile/ molecular weight observed is consistent with what has been described in the literature (PMID : 24968263).

In Western blot, Anti-GAPDH antibody [EPR16891] - Loading Control (ab181602) staining at 1/200000 dilution.

All lanes:

Western blot - Anti-FGFR2IIIb/FGFR2b antibody [EPR30797-567] (ab322553) at 1/1000 dilution

Lane 1:

KATO III (human stomach spherical) whole cell lysate at 40 µg

Lane 2:

HepG2 (human hepatocelullar carcinoma epithelial cell) whole cell lysate at 40 µg

Lane 3:

LoVo (human colorectal adenocarcinoma epithelial cell) whole cell lysate at 40 µg

Secondary

All lanes:

Western blot - Goat Anti-Rabbit IgG H&L (HRP) (<a href='/products/secondary-antibodies/goat-rabbit-igg-h-l-hrp-ab97051'>ab97051</a>) at 1/20000 dilution

Observed band size: 85-135 kDa,36 kDa

false

Exposure time: 3s

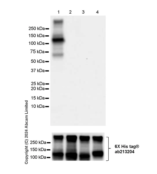
Western blot - Anti-FGFR2IIIb/FGFR2b antibody [EPR30797-567] (AB322553)
  • WB

Supplier Data

Western blot - Anti-FGFR2IIIb/FGFR2b antibody [EPR30797-567] (AB322553)

Blocking and diluting buffer and concentration : 5% NFDM/TBST.

This antibody does not cross-react with human FGFR2IIIc, FGFR3IIIb and FGFR1IIIb.

Samples are non-boiled as boiling may cause protein aggregation.

In Western blot, Anti-6X His tag® antibody [EPR20547] - ChIP Grade (ab213204) staining at 1/5000 dilution.

All lanes:

Western blot - Anti-FGFR2IIIb/FGFR2b antibody [EPR30797-567] (ab322553) at 1/1000 dilution

Lane 1:

293T cells transfected with a human FGFR2IIIb expression vector containing a His-tag, whole cell lysate at 20 µg

Lane 2:

293T cells transfected with a human FGFR2IIIc expression vector containing a His-tag, whole cell lysate at 20 µg

Lane 3:

293T cells transfected with a human FGFR3IIIb expression vector containing a His-tag, whole cell lysate at 20 µg

Lane 4:

293T cells transfected with a human FGFR1IIIb expression vector containing a His-tag, whole cell lysate at 20 µg

Secondary

All lanes:

Western blot - Goat Anti-Rabbit IgG H&L (HRP) (<a href='/products/secondary-antibodies/goat-rabbit-igg-h-l-hrp-ab97051'>ab97051</a>) at 1/100000 dilution

Observed band size: 135 kDa

false

Exposure time: 3s

关键信息

宿主种属

Rabbit

克隆

Monoclonal

克隆号

EPR30797-567

亚型

IgG

不含载体蛋白

No

反应种属

Human

应用

IHC-P, WB

applications

免疫原

The exact immunogen used to generate this antibody is proprietary information.

反应性数据

{ "title": "Reactivity Data", "filters": { "stats": ["", "Species", "Dilution Info", "Notes"], "tabs": { "all-applications": {"fullname" : "All Applications", "shortname": "All Applications"}, "WB" : {"fullname" : "Western blot", "shortname":"WB"}, "IHCP" : {"fullname" : "Immunohistochemistry (Formalin/PFA-fixed paraffin-embedded sections)", "shortname":"IHC-P"} }, "product-promise": { "all": "all", "testedAndGuaranteed": "tested", "guaranteed": "expected", "predicted": "predicted", "notRecommended": "not-recommended" } }, "values": { "Human": { "WB-species-checked": "testedAndGuaranteed", "WB-species-dilution-info": "1/1000", "WB-species-notes": "<p></p>", "IHCP-species-checked": "testedAndGuaranteed", "IHCP-species-dilution-info": "1/100 - 1/500", "IHCP-species-notes": "<p></p> Perform heat-mediated antigen retrieval with Tris/EDTA buffer pH 9.0 before commencing with IHC staining protocol." }, "Transfected cell lysate - Human": { "WB-species-checked": "testedAndGuaranteed", "WB-species-dilution-info": "1/1000", "WB-species-notes": "<p></p>", "IHCP-species-checked": "notRecommended", "IHCP-species-dilution-info": "", "IHCP-species-notes": "" } } }

产品详情

Patented technology
Our RabMAb® technology is a patented hybridoma-based technology for making rabbit monoclonal antibodies. For details on our patents, please refer to RabMAb® patents.

What are the advantages of a recombinant monoclonal antibody?
This product is a recombinant monoclonal antibody, which offers several advantages including:

  • - High batch-to-batch consistency and reproducibility
  • - Improved sensitivity and specificity
  • - Long-term security of supply
  • - Animal-free batch production

For more information, read more on recombinant antibodies.

性能和储存信息

形式
Liquid
纯化工艺
Affinity purification Protein A
存储溶液
pH: 7.2 - 7.4 Preservative: 0.01% Sodium azide Constituents: PBS, 40% Glycerol (glycerin, glycerine), 0.05% BSA
运输条件
Blue Ice
推荐的短期储存时间
1-2 weeks
推荐的短期储存条件
+4°C
推荐的长期储存条件
-20°C
分装信息
Upon delivery aliquot
储存信息
Avoid freeze / thaw cycle

产品实验方案

For this product, it's our understanding that no specific protocols are required. You can visit:

靶点信息

Tyrosine-protein kinase that acts as a cell-surface receptor for fibroblast growth factors and plays an essential role in the regulation of cell proliferation, differentiation, migration and apoptosis, and in the regulation of embryonic development. Required for normal embryonic patterning, trophoblast function, limb bud development, lung morphogenesis, osteogenesis and skin development. Plays an essential role in the regulation of osteoblast differentiation, proliferation and apoptosis, and is required for normal skeleton development. Promotes cell proliferation in keratinocytes and immature osteoblasts, but promotes apoptosis in differentiated osteoblasts. Phosphorylates PLCG1, FRS2 and PAK4. Ligand binding leads to the activation of several signaling cascades. Activation of PLCG1 leads to the production of the cellular signaling molecules diacylglycerol and inositol 1,4,5-trisphosphate. Phosphorylation of FRS2 triggers recruitment of GRB2, GAB1, PIK3R1 and SOS1, and mediates activation of RAS, MAPK1/ERK2, MAPK3/ERK1 and the MAP kinase signaling pathway, as well as of the AKT1 signaling pathway. FGFR2 signaling is down-regulated by ubiquitination, internalization and degradation. Mutations that lead to constitutive kinase activation or impair normal FGFR2 maturation, internalization and degradation lead to aberrant signaling. Over-expressed FGFR2 promotes activation of STAT1.
See full target information Fibroblast growth factor receptor 2

Abcam Product Promise

我们致力于为您的研究提供高质量的试剂,为您科研的每一步提供支持。若我们的产品未能达到预期性能,我们向您提供 Abcam Product Promise 保障。
详情请参阅我们的条款与条件。

Please note: All products are 'FOR RESEARCH USE ONLY. NOT FOR USE IN DIAGNOSTIC OR THERAPEUTIC PROCEDURES'.

For licensing inquiries, please contact partnerships@abcam.com