JavaScript is disabled in your browser. Please enable JavaScript to view this website.
AB313849

重组Anti-FcRgamma抗体[HL1418] - BSA and Azide free

Anti-FcRgamma antibody [HL1418] - BSA and Azide free

Be the first to review this product! Submit a review

|

(1 Publication)

Rabbit Recombinant Monoclonal FcRgamma antibody. Carrier free. Suitable for WB, ICC/IF, IHC-P and reacts with Mouse, Transfected cell lysate, Human, Cat, Dog samples. Cited in 1 publication. Immunogen corresponding to Synthetic Peptide within Human FCER1G conjugated to Keyhole Limpet Haemocyanin.

查看别名

Fce1g, Fcer1g, High affinity immunoglobulin epsilon receptor subunit gamma, Fc receptor gamma-chain, Fc-epsilon RI-gamma, IgE Fc receptor subunit gamma, FcRgamma, FceRI gamma

6 Images
Immunocytochemistry/ Immunofluorescence - Anti-FcRgamma antibody [HL1418] - BSA and Azide free (AB313849)
  • ICC/IF

Supplier Data

Immunocytochemistry/ Immunofluorescence - Anti-FcRgamma antibody [HL1418] - BSA and Azide free (AB313849)

Immunofluorescence analysis of 4% paraformaldehyde fixed THP-1 cells labelling FcRgamma protein at cell membrane using ab313849 at a 1/500 dilution at RT for 15 min (Green). The nuclear counter stain is DAPI (Blue).

Immunohistochemistry (Formalin/PFA-fixed paraffin-embedded sections) - Anti-FcRgamma antibody [HL1418] - BSA and Azide free (AB313849)
  • IHC-P

Supplier Data

Immunohistochemistry (Formalin/PFA-fixed paraffin-embedded sections) - Anti-FcRgamma antibody [HL1418] - BSA and Azide free (AB313849)

Paraffin-embedded mouse spleen tissue stained for FcRgamma protein at cell membrane with ab313849 at a 1/100 dilution in immunohistochemical analysis.

Antigen Retrieval : Citrate buffer, pH 6.0, 15 min.

Western blot - Anti-FcRgamma antibody [HL1418] - BSA and Azide free (AB313849)
  • WB

Supplier Data

Western blot - Anti-FcRgamma antibody [HL1418] - BSA and Azide free (AB313849)

Samples were separated by 15% SDS-PAGE.

All lanes:

Western blot - Anti-FcRgamma antibody [HL1418] - BSA and Azide free (ab313849) at 1/1000 dilution

All lanes:

Raw264.7 whole cell extract at 30 µg

Secondary

All lanes:

HRP-conjugated anti-rabbit IgG antibody

Predicted band size: 9 kDa

false

Immunohistochemistry (Formalin/PFA-fixed paraffin-embedded sections) - Anti-FcRgamma antibody [HL1418] - BSA and Azide free (AB313849)
  • IHC-P

Supplier Data

Immunohistochemistry (Formalin/PFA-fixed paraffin-embedded sections) - Anti-FcRgamma antibody [HL1418] - BSA and Azide free (AB313849)

Paraffin-embedded dog cerebellum tissue stained for FcRgamma protein at cell membrane with ab313849 at a 1/100 dilution in immunohistochemical analysis.

Antigen Retrieval : Citrate buffer, pH 6.0, 15 min.

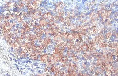
Immunohistochemistry (Formalin/PFA-fixed paraffin-embedded sections) - Anti-FcRgamma antibody [HL1418] - BSA and Azide free (AB313849)
  • IHC-P

Supplier Data

Immunohistochemistry (Formalin/PFA-fixed paraffin-embedded sections) - Anti-FcRgamma antibody [HL1418] - BSA and Azide free (AB313849)

Paraffin-embedded cat cerebellum tissue stained for FcRgamma protein at cell membrane with ab313849 at a 1/100 dilution in immunohistochemical analysis.

Antigen Retrieval : Citrate buffer, pH 6.0, 15 min.

Western blot - Anti-FcRgamma antibody [HL1418] - BSA and Azide free (AB313849)
  • WB

Supplier Data

Western blot - Anti-FcRgamma antibody [HL1418] - BSA and Azide free (AB313849)

All lanes:

Western blot - Anti-FcRgamma antibody [HL1418] - BSA and Azide free (ab313849) at 1/5000 dilution

Lane 1:

Untransfected HEK-293T (Human epithelial cell line from embryonic kidney transformed with large T antigen) cell lysate at 30 µg

Lane 2:

DDDDK-tag tagged FcRgamma (FCER1G) transfected HEK293T cell lysate at 30 µg

Secondary

All lanes:

HRP-conjugated anti-rabbit IgG antibody

false

关键信息

宿主种属

Rabbit

克隆

Monoclonal

克隆号

HL1418

亚型

IgG

不含载体蛋白

Yes

反应种属

Mouse, Human, Cat, Dog

应用

ICC/IF, IHC-P, WB

applications

免疫原

Synthetic Peptide within Human FCER1G conjugated to Keyhole Limpet Haemocyanin.

P30273

反应性数据

{ "title": "Reactivity Data", "filters": { "stats": ["", "Species", "Dilution Info", "Notes"], "tabs": { "all-applications": {"fullname" : "All Applications", "shortname": "All Applications"}, "WB" : {"fullname" : "Western blot", "shortname":"WB"}, "ICCIF" : {"fullname" : "Immunocytochemistry/ Immunofluorescence", "shortname":"ICC/IF"}, "IHCP" : {"fullname" : "Immunohistochemistry (Formalin/PFA-fixed paraffin-embedded sections)", "shortname":"IHC-P"} }, "product-promise": { "all": "all", "testedAndGuaranteed": "tested", "guaranteed": "expected", "predicted": "predicted", "notRecommended": "not-recommended" } }, "values": { "Human": { "WB-species-checked": "guaranteed", "WB-species-dilution-info": "", "WB-species-notes": "", "ICCIF-species-checked": "testedAndGuaranteed", "ICCIF-species-dilution-info": "", "ICCIF-species-notes": "<p></p>", "IHCP-species-checked": "guaranteed", "IHCP-species-dilution-info": "", "IHCP-species-notes": "" }, "Mouse": { "WB-species-checked": "testedAndGuaranteed", "WB-species-dilution-info": "1/1000 - 1/10000", "WB-species-notes": "<p></p>", "ICCIF-species-checked": "guaranteed", "ICCIF-species-dilution-info": "", "ICCIF-species-notes": "", "IHCP-species-checked": "testedAndGuaranteed", "IHCP-species-dilution-info": "", "IHCP-species-notes": "<p></p>" }, "Cat": { "WB-species-checked": "guaranteed", "WB-species-dilution-info": "", "WB-species-notes": "", "ICCIF-species-checked": "guaranteed", "ICCIF-species-dilution-info": "", "ICCIF-species-notes": "", "IHCP-species-checked": "testedAndGuaranteed", "IHCP-species-dilution-info": "", "IHCP-species-notes": "<p></p>" }, "Dog": { "WB-species-checked": "guaranteed", "WB-species-dilution-info": "", "WB-species-notes": "", "ICCIF-species-checked": "guaranteed", "ICCIF-species-dilution-info": "", "ICCIF-species-notes": "", "IHCP-species-checked": "testedAndGuaranteed", "IHCP-species-dilution-info": "", "IHCP-species-notes": "<p></p>" }, "Transfected cell lysate": { "WB-species-checked": "testedAndGuaranteed", "WB-species-dilution-info": "1/1000 - 1/10000", "WB-species-notes": "<p></p>", "ICCIF-species-checked": "notRecommended", "ICCIF-species-dilution-info": "", "ICCIF-species-notes": "", "IHCP-species-checked": "notRecommended", "IHCP-species-dilution-info": "", "IHCP-species-notes": "" } } }

产品详情

What are the advantages of a recombinant monoclonal antibody?
This product is a recombinant monoclonal antibody, which offers several advantages including:

  • - High batch-to-batch consistency and reproducibility
  • - Improved sensitivity and specificity
  • - Long-term security of supply
  • - Animal-free batch production

For more information, read more on recombinant antibodies.

Conjugation ready
Our carrier-free antibodies are typically supplied in a PBS-only formulation, purified and free of BSA, sodium azide and glycerol. This conjugation-ready format is designed for use with fluorochromes, metal isotopes, oligonucleotides, and enzymes, which makes them ideal for antibody labelling, functional and cell-based assays, flow-based assays (e.g. mass cytometry) and Multiplex Imaging applications.

Use our conjugation kits for antibody conjugates that are ready-to-use in as little as 20 minutes with 1 minute hands-on-time and 100% antibody recovery: available for fluorescent dyes, HRP, biotin and gold.

性能和储存信息

形式
Liquid
纯化工艺
Affinity purification Protein A
存储溶液
pH: 7.4 Constituents: PBS
运输条件
Blue Ice
推荐的短期储存条件
+4°C
推荐的长期储存条件
+4°C
分装信息
Upon delivery aliquot

产品实验方案

For this product, it's our understanding that no specific protocols are required. You can visit:

靶点信息

Adapter protein containing an immunoreceptor tyrosine-based activation motif (ITAM) that transduces activation signals from various immunoreceptors. As a component of the high-affinity immunoglobulin E (IgE) receptor, mediates allergic inflammatory signaling in mast cells (PubMed : 14764707). As a constitutive component of interleukin-3 receptor complex, selectively mediates interleukin 4/IL4 production by basophils, priming T-cells toward effector T-helper 2 subset (PubMed : 19098920). Associates with pattern recognition receptors CLEC4D and CLEC4E to form a functional signaling complex in myeloid cells. Binding of mycobacterial trehalose 6,6'-dimycolate (TDM) to this receptor complex leads to phosphorylation of ITAM, triggering activation of SYK, CARD9 and NF-kappa-B, consequently driving maturation of antigen-presenting cells and shaping antigen-specific priming of T-cells toward effector T-helper 1 and T-helper 17 cell subtypes (Probable) (PubMed : 23602766). May function cooperatively with other activating receptors. Functionally linked to integrin beta-2/ITGB2-mediated neutrophil activation (PubMed : 17086186). Also involved in integrin alpha-2/ITGA2-mediated platelet activation (PubMed : 9171347).
See full target information Fcer1g

文献 (1)

Recent publications for all applications. Explore the full list and refine your search

Scientific reports 15:15583 PubMed40320408

2025

Irisin suppressed the progression of TBI via modulating AMPK/MerTK/autophagy and SYK/ROS/inflammatory signaling.

Applications

Unspecified application

Species

Unspecified reactive species

Kuo Zhang,Yihui Du,Sihui Yang,Guozhu Sun
View all publications

Abcam Product Promise

我们致力于为您的研究提供高质量的试剂,为您科研的每一步提供支持。若我们的产品未能达到预期性能,我们向您提供 Abcam Product Promise 保障。
详情请参阅我们的条款与条件。

Please note: All products are 'FOR RESEARCH USE ONLY. NOT FOR USE IN DIAGNOSTIC OR THERAPEUTIC PROCEDURES'.

For licensing inquiries, please contact partnerships@abcam.com