JavaScript is disabled in your browser. Please enable JavaScript to view this website.
AB109020

重组Anti-FBP1 + FBP2抗体[EPR4619]

Anti-FBP1 + FBP2 antibody [EPR4619]

Be the first to review this product! Submit a review

|

(17 Publications)

Rabbit Recombinant Monoclonal FBP1 antibody. Suitable for IHC-P, WB and reacts with Mouse, Human, Rat samples. Cited in 17 publications.

查看别名

FBP, FBP1, FBPase 1, Liver FBPase

8 Images
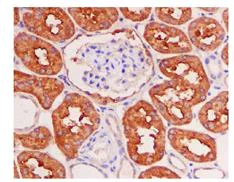
Immunohistochemistry (Formalin/PFA-fixed paraffin-embedded sections) - Anti-FBP1 + FBP2 antibody [EPR4619] (AB109020)
  • IHC-P

Unknown

Immunohistochemistry (Formalin/PFA-fixed paraffin-embedded sections) - Anti-FBP1 + FBP2 antibody [EPR4619] (AB109020)

Unpurified ab109020 at 1/50 dilution staining FBP1 in Human Kidney by immunohistochemistry paraffin-embedded tissue.

Perform heat mediated antigen retrieval with citrate buffer pH 6 before commencing with IHC staining protocol.

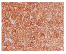
Immunohistochemistry (Formalin/PFA-fixed paraffin-embedded sections) - Anti-FBP1 + FBP2 antibody [EPR4619] (AB109020)
  • IHC-P

Unknown

Immunohistochemistry (Formalin/PFA-fixed paraffin-embedded sections) - Anti-FBP1 + FBP2 antibody [EPR4619] (AB109020)

Unpurified ab109020 at 1/50 dilution staining FBP1 in Human liver by immunohistochemistry paraffin-embedded tissue.

Perform heat mediated antigen retrieval with citrate buffer pH 6 before commencing with IHC staining protocol.

Immunohistochemistry (Formalin/PFA-fixed paraffin-embedded sections) - Anti-FBP1 + FBP2 antibody [EPR4619] (AB109020)
  • IHC-P

Lab

Immunohistochemistry (Formalin/PFA-fixed paraffin-embedded sections) - Anti-FBP1 + FBP2 antibody [EPR4619] (AB109020)

ab109020 at 1 : 500 staining Anti-FBP1 antibody in human liver tissue by immunohistochemistry (FFPE). Immunohistochemical analysis of paraffin-embedded human liver tissue labeling FBP1 with ab109020 at 1/500 dilution followed by Goat Anti-Rabbit IgG H&L (HRP). Counter stained with hematoxylin.

Perform heat mediated antigen retrieval with citrate buffer pH 6 before commencing with IHC staining protocol.

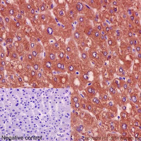
Immunohistochemistry (Formalin/PFA-fixed paraffin-embedded sections) - Anti-FBP1 + FBP2 antibody [EPR4619] (AB109020)
  • IHC-P

Lab

Immunohistochemistry (Formalin/PFA-fixed paraffin-embedded sections) - Anti-FBP1 + FBP2 antibody [EPR4619] (AB109020)

ab109020 at 1 : 500 staining Anti-FBP1 antibody in mouse kidney tissue by immunohistochemistry (FFPE). Immunohistochemical analysis of paraffin-embedded mouse kidney tissue labeling FBP1 with ab109020 at 1/500 dilution followed by Goat Anti-Rabbit IgG H&L (HRP). Counter stained with hematoxylin.

Perform heat mediated antigen retrieval with citrate buffer pH 6 before commencing with IHC staining protocol.

Western blot - Anti-FBP1 + FBP2 antibody [EPR4619] (AB109020)
  • WB

Lab

Western blot - Anti-FBP1 + FBP2 antibody [EPR4619] (AB109020)

Blocking buffer : 5% NFDM/TBST

Dilution buffer : 5% NFDM/TBST

All lanes:

Western blot - Anti-FBP1 + FBP2 antibody [EPR4619] (ab109020) at 1/2000 dilution

Lane 1:

MCF7 cell lysate at 20 µg

Lane 2:

HL-60 cell lysate treated with vitamin D3 at 20 µg

Secondary

All lanes:

HRP goat anti-rabbit (H+L) at 1/2000 dilution

Predicted band size: 37 kDa

Observed band size: 37 kDa

false

Western blot - Anti-FBP1 + FBP2 antibody [EPR4619] (AB109020)
  • WB

Unknown

Western blot - Anti-FBP1 + FBP2 antibody [EPR4619] (AB109020)

Blocking buffer : 5% NFDM/TBST

Dilution buffer : 5% NFDM/TBST

All lanes:

Western blot - Anti-FBP1 + FBP2 antibody [EPR4619] (ab109020) at 1/1000 dilution

Lane 1:

MCF7 cell lysate at 10 µg

Lane 2:

Human fetal liver tissue lysate at 10 µg

Lane 3:

HL60 cell lysate, treated with vitamin D3 at 10 µg

Predicted band size: 22 kDa,37 kDa

false

Western blot - Anti-FBP1 + FBP2 antibody [EPR4619] (AB109020)
  • WB

Lab

Western blot - Anti-FBP1 + FBP2 antibody [EPR4619] (AB109020)

Blocking buffer : 5% NFDM/TBST

Dilution buffer : 5% NFDM/TBST

All lanes:

Western blot - Anti-FBP1 + FBP2 antibody [EPR4619] (ab109020) at 1/10000 dilution

Lane 1:

Mouse liver at 20 µg

Lane 2:

Rat liver at 20 µg

Secondary

All lanes:

HRP goat anti-rabbit (H+L) at 1/1000 dilution

Predicted band size: 37 kDa

Observed band size: 37 kDa

false

Western blot - Anti-FBP1 + FBP2 antibody [EPR4619] (AB109020)
  • WB

Lab

Western blot - Anti-FBP1 + FBP2 antibody [EPR4619] (AB109020)

Blocking/Diluting buffer and concentration : 5% NFDM/TBST

Lanes 1 - 2:

Western blot - Anti-FBP1 + FBP2 antibody [EPR4619] (ab109020) at 1/10000 dilution

Lanes 1 - 2:

Western blot - Anti-FBP1 + FBP2 antibody [EPR4619] - BSA and Azide free (<a href='/products/primary-antibodies/fbp1-fbp2-antibody-epr4619-bsa-and-azide-free-ab247749'>ab247749</a>)

Lane 1:

C-Myc/DDK-tagged human FBP1 full length recombinant protein at 10 ng

Lane 2:

C-Myc/DDK-tagged human FBP2 full length recombinant protein at 10 ng

Secondary

All lanes:

Western blot - Goat Anti-Rabbit IgG H&L (HRP) (<a href='/products/secondary-antibodies/goat-rabbit-igg-h-l-hrp-ab97051'>ab97051</a>) at 1/20000 dilution

Observed band size: 37 kDa

false

Exposure time: 180s

不同偶联物与剂型 (1)

  • Carrier free

    Anti-FBP1 + FBP2 antibody [EPR4619] - BSA and Azide free

关键信息

宿主种属

Rabbit

克隆

Monoclonal

克隆号

EPR4619

亚型

IgG

不含载体蛋白

No

反应种属

Mouse, Rat, Human

应用

WB, IHC-P

applications

免疫原

The exact immunogen used to generate this antibody is proprietary information.

反应性数据

{ "title": "Reactivity Data", "filters": { "stats": ["", "Species", "Dilution Info", "Notes"], "tabs": { "all-applications": {"fullname" : "All Applications", "shortname": "All Applications"}, "IHCP" : {"fullname" : "Immunohistochemistry (Formalin/PFA-fixed paraffin-embedded sections)", "shortname":"IHC-P"}, "WB" : {"fullname" : "Western blot", "shortname":"WB"}, "ICCIF" : {"fullname" : "Immunocytochemistry/ Immunofluorescence", "shortname":"ICC/IF"} }, "product-promise": { "all": "all", "testedAndGuaranteed": "tested", "guaranteed": "expected", "predicted": "predicted", "notRecommended": "not-recommended" } }, "values": { "Human": { "IHCP-species-checked": "testedAndGuaranteed", "IHCP-species-dilution-info": "1/50 - 1/100", "IHCP-species-notes": "<p>Heat up to 98 °C, below boiling, and then let cool for 10-20 min.</p>", "WB-species-checked": "testedAndGuaranteed", "WB-species-dilution-info": "1/1000 - 1/10000", "WB-species-notes": "<p></p>", "ICCIF-species-checked": "notRecommended", "ICCIF-species-dilution-info": "", "ICCIF-species-notes": "<p></p>" }, "Mouse": { "IHCP-species-checked": "testedAndGuaranteed", "IHCP-species-dilution-info": "1/50 - 1/100", "IHCP-species-notes": "<p>Heat up to 98 °C, below boiling, and then let cool for 10-20 min.</p>", "WB-species-checked": "testedAndGuaranteed", "WB-species-dilution-info": "1/1000 - 1/10000", "WB-species-notes": "<p></p>", "ICCIF-species-checked": "notRecommended", "ICCIF-species-dilution-info": "", "ICCIF-species-notes": "<p></p>" }, "Rat": { "IHCP-species-checked": "guaranteed", "IHCP-species-dilution-info": "", "IHCP-species-notes": "", "WB-species-checked": "testedAndGuaranteed", "WB-species-dilution-info": "1/1000 - 1/10000", "WB-species-notes": "<p></p>", "ICCIF-species-checked": "notRecommended", "ICCIF-species-dilution-info": "", "ICCIF-species-notes": "<p></p>" } } }

产品详情

Patented technology
Our RabMAb® technology is a patented hybridoma-based technology for making rabbit monoclonal antibodies. For details on our patents, please refer to RabMAb® patents.

What are the advantages of a recombinant monoclonal antibody?
This product is a recombinant monoclonal antibody, which offers several advantages including:

  • - High batch-to-batch consistency and reproducibility
  • - Improved sensitivity and specificity
  • - Long-term security of supply
  • - Animal-free batch production

For more information, read more on recombinant antibodies.

性能和储存信息

形式
Liquid
纯化工艺
Affinity purification Protein A
存储溶液
pH: 7.2 - 7.4 Preservative: 0.01% Sodium azide Constituents: PBS, 40% Glycerol (glycerin, glycerine), 0.05% BSA
运输条件
Blue Ice
推荐的短期储存条件
+4°C
推荐的长期储存条件
-20°C
储存信息
Stable for 12 months at -20°C

补充信息

This supplementary information is collated from multiple sources and compiled automatically.

Fructose-16-bisphosphatase (FBP1) and fructose-16-bisphosphatase 2 (FBP2) are enzymes that play an important role in gluconeogenesis. They catalyze the conversion of fructose-16-bisphosphate to fructose-6-phosphate an important metabolic step in glucose production. FBP1 sometimes called liver FBPase is a protein of approximately 37 kDa and it is mainly expressed in the liver kidneys and adipose tissue. FBP2 also known as muscle FBPase is primarily found in muscle tissues. These enzymes share similar enzymatic functions but differ in their regulation and tissue distribution.
Biological function summary

These enzymes help regulate glucose levels in the body. They function as part of a larger enzyme complex involved in energy homeostasis. FBP1 plays a significant role in balancing blood sugar levels during fasting by promoting gluconeogenesis in the liver. FBP2 on the other hand contributes to muscle energy management. The activity of these enzymes is tightly regulated by allosteric inhibitors and activators and they interact with other metabolic enzymes to maintain homeostasis.

Pathways

Fructose-16-bisphosphatase is involved in the gluconeogenesis pathway and is closely linked with the glycolysis pathway. In gluconeogenesis FBP1 and FBP2 convert fructose-16-bisphosphate to fructose-6-phosphate with dihydroxyacetone phosphate as an important relay. They work in tandem with other enzymes like phosphoenolpyruvate carboxykinase to facilitate glucose production. This makes them integral to metabolic pathways that provide glucose during periods of low carbohydrate intake.

Dysregulation of FBP1 and FBP2 contributes to metabolic disorders such as type 2 diabetes and hypoglycemia. Overactivity of FBP1 can lead to increased glucose production complicating glucose management in diabetes mellitus. On the other hand FBP2 mutations may impair muscle function and energy utilization. The proteins' imbalances also relate to insulin resistance as their activity influences insulin signaling pathways within metabolic disorders.

产品实验方案

For this product, it's our understanding that no specific protocols are required. You can visit:

靶点信息

Catalyzes the hydrolysis of fructose 1,6-bisphosphate to fructose 6-phosphate in the presence of divalent cations, acting as a rate-limiting enzyme in gluconeogenesis. Plays a role in regulating glucose sensing and insulin secretion of pancreatic beta-cells. Appears to modulate glycerol gluconeogenesis in liver. Important regulator of appetite and adiposity; increased expression of the protein in liver after nutrient excess increases circulating satiety hormones and reduces appetite-stimulating neuropeptides and thus seems to provide a feedback mechanism to limit weight gain.
See full target information FBP1

其他靶点

FBP2

文献 (17)

Recent publications for all applications. Explore the full list and refine your search

Environmental toxicology 39:341-356 PubMed37713600

2023

FOXP2 suppresses the proliferation, invasion, and aerobic glycolysis of hepatocellular carcinoma cells by regulating the KDM5A/FBP1 axis.

Applications

Unspecified application

Species

Unspecified reactive species

Lijing Yan,Huanhuan Sun,Yuling Chen,Xiaohui Yu,Jingru Zhang,Peijie Li

Biology direct 17:23 PubMed36050791

2022

The role of LINC01419 in regulating the cell stemness in lung adenocarcinoma through recruiting EZH2 and regulating FBP1 expression.

Applications

Unspecified application

Species

Unspecified reactive species

Zhao Chen,Weijian Tang,Yuhan Zhou,Zhengfu He

Molecular therapy : the journal of the American Society of Gene Therapy 30:606-620 PubMed34601133

2021

Extracellular vesicle-mediated communication between hepatocytes and natural killer cells promotes hepatocellular tumorigenesis.

Applications

Unspecified application

Species

Unspecified reactive species

Zhijun Liu,Yuyu You,Qiyi Chen,Guobang Li,Wenfeng Pan,Qing Yang,Jiajun Dong,Yi Wu,Jin-Xin Bei,Chaoyun Pan,Fuming Li,Bo Li

Cell metabolism 33:411-423.e4 PubMed33306983

2020

Neutrophils Fuel Effective Immune Responses through Gluconeogenesis and Glycogenesis.

Applications

Unspecified application

Species

Unspecified reactive species

Pranvera Sadiku,Joseph A Willson,Eilise M Ryan,David Sammut,Patricia Coelho,Emily R Watts,Robert Grecian,Jason M Young,Martin Bewley,Simone Arienti,Ananda S Mirchandani,Manuel A Sanchez Garcia,Tyler Morrison,Ailing Zhang,Leila Reyes,Tobias Griessler,Privjyot Jheeta,Gordon G Paterson,Christopher J Graham,John P Thomson,Kenneth Baillie,A A Roger Thompson,Jessie-May Morgan,Abel Acosta-Sanchez,Veronica M Dardé,Jordi Duran,Joan J Guinovart,Gio Rodriguez-Blanco,Alex Von Kriegsheim,Richard R Meehan,Massimiliano Mazzone,David H Dockrell,Bart Ghesquiere,Peter Carmeliet,Moira K B Whyte,Sarah R Walmsley

Environmental health perspectives 128:127006 PubMed33296241

2020

Characterization of the Toxicological Properties of DPhP, One of the Main Degradation Products of Aryl Phosphate Esters.

Applications

Unspecified application

Species

Unspecified reactive species

Samia Selmi-Ruby,Jesús Marín-Sáez,Aurélie Fildier,Audrey Buleté,Myriam Abdallah,Jessica Garcia,Julie Deverchère,Loïc Spinner,Barbara Giroud,Sébastien Ibanez,Thierry Granjon,Claire Bardel,Alain Puisieux,Béatrice Fervers,Emmanuelle Vulliet,Léa Payen,Arnaud M Vigneron

Cellular physiology and biochemistry : international journal of experimental cellular physiology, biochemistry, and pharmacology 54:682-695 PubMed32678535

2020

Acid Loading Unmasks Glucose Homeostatic Instability in Proximal-Tubule-Targeted Insulin/Insulin-Like-Growth-Factor-1 Receptor Dual Knockout Mice.

Applications

Unspecified application

Species

Unspecified reactive species

Abdullah Aljaylani,Maurice Fluitt,Alexandra Piselli,Blythe D Shepard,Swasti Tiwari,Carolyn M Ecelbarger

Cell reports 31:107701 PubMed32492417

2020

Epigenetic Reprogramming of Cancer-Associated Fibroblasts Deregulates Glucose Metabolism and Facilitates Progression of Breast Cancer.

Applications

Unspecified application

Species

Unspecified reactive species

Lisa M Becker,Joyce T O'Connell,Annie P Vo,Margo P Cain,Desiree Tampe,Lauren Bizarro,Hikaru Sugimoto,Anna K McGow,John M Asara,Sara Lovisa,Kathleen M McAndrews,Rafal Zielinski,Philip L Lorenzi,Michael Zeisberg,Sughra Raza,Valerie S LeBleu,Raghu Kalluri

Oncology reports 43:1641-1649 PubMed32323822

2020

LOXL2 upregulates hypoxia‑inducible factor‑1α signaling through Snail‑FBP1 axis in hepatocellular carcinoma cells.

Applications

Unspecified application

Species

Unspecified reactive species

Zhiyong Fan,Wei Zheng,Hui Li,Wujun Wu,Xiaogang Liu,Zhongjie Sun,Haitian Hu,Lixue Du,Qingan Jia,Qingguang Liu

OncoTargets and therapy 11:8025-8032 PubMed30519044

2018

miR-517a promotes Warburg effect in HCC by directly targeting FBP1.

Applications

Unspecified application

Species

Unspecified reactive species

Delin Zhang,Zhu Li,Tao Li,Dan Luo,Xinfu Feng,Yan Liu,Jianzhao Huang

Saudi journal of gastroenterology : official journal of the Saudi Gastroenterology Association 24:157-164 PubMed29652027

2018

Pokeweed antiviral protein attenuates liver fibrosis in mice through regulating Wnt/Jnk mediated glucose metabolism.

Applications

Unspecified application

Species

Unspecified reactive species

Yonghong Zhang,Xiaolan Yu,Zheng Wang,Ming Yin,Zonghao Zhao,Yi Li,Wenting Li
View all publications

Abcam Product Promise

我们致力于为您的研究提供高质量的试剂,为您科研的每一步提供支持。若我们的产品未能达到预期性能,我们向您提供 Abcam Product Promise 保障。
详情请参阅我们的条款与条件。

Please note: All products are 'FOR RESEARCH USE ONLY. NOT FOR USE IN DIAGNOSTIC OR THERAPEUTIC PROCEDURES'.

For licensing inquiries, please contact partnerships@abcam.com