JavaScript is disabled in your browser. Please enable JavaScript to view this website.
AB241372

Anti-FAT/FAT1抗体

Anti-FAT/FAT1 antibody

Be the first to review this product! Submit a review

|

(2 Publications)

Rabbit Polyclonal FAT/FAT1 antibody. Suitable for WB and reacts with Mouse, Human samples. Cited in 2 publications. Immunogen corresponding to Synthetic Peptide within Human FAT1 aa 4450-4550.

查看别名

CDHF7, FAT, FAT1, Protocadherin Fat 1, Cadherin family member 7, Cadherin-related tumor suppressor homolog, Protein fat homolog

2 Images
Western blot - Anti-FAT/FAT1 antibody (AB241372)
  • WB

Supplier Data

Western blot - Anti-FAT/FAT1 antibody (AB241372)

Prepared using NETN lysis buffer.

All lanes:

Western blot - Anti-FAT/FAT1 antibody (ab241372) at 0.1 µg/mL

Lane 1:

HeLa (human epithelial cell line from cervix adenocarcinoma) whole cell lysate at 50 µg

Lane 2:

HEK-293T (human epithelial cell line from embryonic kidney transformed with large T antigen) whole cell lysate at 50 µg

Lane 3:

Jurkat (human T cell leukemia cell line from peripheral blood) whole cell lysate at 50 µg

Lane 4:

TCMK-1 (Mouse kidney epithelial cell line) whole cell lysate at 50 µg

Lane 5:

NIH/3T3 (Mouse embryo fibroblast cell line) whole cell lysate at 50 µg

Predicted band size: 506 kDa

true

Exposure time: 3min

Western blot - Anti-FAT/FAT1 antibody (AB241372)
  • WB

Lab

Western blot - Anti-FAT/FAT1 antibody (AB241372)

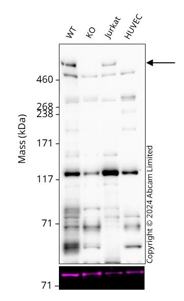
Western blot : Anti-FAT1 antibody (ab241372) staining at 1/2000 dilution, shown in black; Mouse anti-CANX [CANX/1543] (ab238078) loading control staining at 1/20000 dilution, shown in magenta. In Western blot, ab241372 was shown to bind specifically to FAT1. A band was observed at 506 kDa in wild-type A549 cell lysates with no signal observed at this size in FAT1 knockout cell line. To generate this image, wild-type and FAT1 knockout A549 cell lysates were analysed. First, samples were run on an SDS-PAGE gel then transferred onto a nitrocellulose membrane. Membranes were blocked in 3 % milk in TBS-0.1 % Tween® 20 (TBS-T) before incubation with primary antibodies overnight at 4 °C. Blots were washed four times in TBS-T, incubated with secondary antibodies for 1 h at room temperature, washed again four times before development with a high-sensitivity ECL substrate kit and imaged with 3 minutes exposure time. Secondary antibodies used were HRP conjugated Goat anti-Rabbit (H+L) and Goat anti-Mouse IgG H&L 680RD at 1/20000 dilution.

All lanes:

Western blot - Anti-FAT/FAT1 antibody (ab241372) at 1/2000 dilution

Lane 1:

Wild-type A549 cell lysate at 20 µg

Lanes 1 - 4:

Western blot - Human FAT1 Knockout A549 cell line (ab314987)

Lane 2:

FAT1 knockout A549 cell lysate at 20 µg

Lane 3:

Jurkat cell lysate at 20 µg

Lane 4:

HUVEC cell lysate at 20 µg

Secondary

Lanes 1 - 4:

HRP conjugated Goat anti-Rabbit (H+L) at 1/20000 dilution

Lanes 1 - 4:

Goat anti-Mouse IgG H&L 680RD at 1/20000 dilution

Observed band size: 506 kDa

false

关键信息

宿主种属

Rabbit

克隆

Polyclonal

亚型

IgG

不含载体蛋白

No

反应种属

Mouse, Human

应用

WB

applications

免疫原

Synthetic Peptide within Human FAT1 aa 4450-4550. The exact immunogen used to generate this antibody is proprietary information.

Q14517

反应性数据

{ "title": "Reactivity Data", "filters": { "stats": ["", "Species", "Dilution Info", "Notes"], "tabs": { "all-applications": {"fullname" : "All Applications", "shortname": "All Applications"}, "WB" : {"fullname" : "Western blot", "shortname":"WB"} }, "product-promise": { "all": "all", "testedAndGuaranteed": "tested", "guaranteed": "expected", "predicted": "predicted", "notRecommended": "not-recommended" } }, "values": { "Human": { "WB-species-checked": "testedAndGuaranteed", "WB-species-dilution-info": "1/2000 - 1/10000", "WB-species-notes": "<p></p>" }, "Mouse": { "WB-species-checked": "testedAndGuaranteed", "WB-species-dilution-info": "1/2000 - 1/10000", "WB-species-notes": "<p></p>" } } }

性能和储存信息

形式
Liquid
纯化工艺
Affinity purification Immunogen
纯化说明
Antibody was affinity purified using an epitope specific to FAT/FAT1 immobilized on solid support.
存储溶液
pH: 7 - 8 Preservative: 0.09% Sodium azide Constituents: Tris citrate/phosphate
运输条件
Blue Ice
推荐的短期储存时间
1-2 weeks
推荐的短期储存条件
+4°C
推荐的长期储存条件
+4°C
分装信息
Upon delivery aliquot
储存信息
Avoid freeze / thaw cycle

补充信息

This supplementary information is collated from multiple sources and compiled automatically.

FAT/FAT1 also known as FAT1 cadherin is a large transmembrane protein encoded by the FAT1 gene. It has a molecular weight of roughly 506 kDa. This protein is characterized by its cadherin-like domains and is widely expressed in various tissues including the brain kidney and skin. FAT1 is involved in cell adhesion processes and plays a critical role in the maintenance of cell shape and polarity.
Biological function summary

This protein participates in development and morphogenesis. FAT1 functions as a part of the cell adhesion complex interacting with actin cytoskeleton components. It also influences cellular behavior such as migration and proliferation. Through its interactions FAT1 contributes to the mechanical stability and structural integrity of cells within tissues.

Pathways

FAT1 interacts with signaling cascades implicated in cytoskeletal reorganization and cellular communication. It is notably involved in the Wnt signaling pathway and the Hippo pathway which are key in cell proliferation and growth regulation. Other related proteins in these pathways include beta-catenin and YAP/TAZ which mediate the downstream effects of these signaling pathways.

Alterations in FAT1 expression or function have been associated with cancer and renal disorders. Mutations or dysregulation of FAT1 can lead to disrupted cellular processes contributing to tumorigenesis and kidney disease. It is closely connected to proteins such as p53 in the context of cancer where p53 plays a role in controlling cell cycle progression and apoptosis in response to genomic instability.

产品实验方案

For this product, it's our understanding that no specific protocols are required. You can visit:

靶点信息

Protocadherin Fat 1. Plays an essential role for cellular polarization, directed cell migration and modulating cell-cell contact.
See full target information FAT1

文献 (2)

Recent publications for all applications. Explore the full list and refine your search

eLife 11: PubMed36066346

2022

A specific role for importin-5 and NASP in the import and nuclear hand-off of monomeric H3.

Applications

Unspecified application

Species

Unspecified reactive species

Alonso Javier Pardal,Andrew James Bowman

Genetics 221: PubMed35731217

2022

FMRP-dependent production of large dosage-sensitive proteins is highly conserved.

Applications

Unspecified application

Species

Unspecified reactive species

Keegan Flanagan,Alireza Baradaran-Heravi,Qi Yin,Khanh Dao Duc,Allan C Spradling,Ethan J Greenblatt
View all publications

Abcam Product Promise

我们致力于为您的研究提供高质量的试剂,为您科研的每一步提供支持。若我们的产品未能达到预期性能,我们向您提供 Abcam Product Promise 保障。
详情请参阅我们的条款与条件。

Please note: All products are 'FOR RESEARCH USE ONLY. NOT FOR USE IN DIAGNOSTIC OR THERAPEUTIC PROCEDURES'.

For licensing inquiries, please contact partnerships@abcam.com