JavaScript is disabled in your browser. Please enable JavaScript to view this website.
AB134401

Anti-Fas Ligand抗体

Anti-Fas Ligand antibody

5

(2 Reviews)

|

(4 Publications)

Rabbit Polyclonal Fas Ligand antibody. Suitable for IHC-P, ICC/IF and reacts with Human samples. Cited in 4 publications.

查看别名

CD178, APT1LG1, CD95L, FASL, TNFSF6, FASLG, Tumor necrosis factor ligand superfamily member 6, Apoptosis antigen ligand, CD95 ligand, Fas antigen ligand, APTL, CD95-L, Fas ligand, FasL

2 Images
Immunocytochemistry/ Immunofluorescence - Anti-Fas Ligand antibody (AB134401)
  • ICC/IF

Ap

Immunocytochemistry/ Immunofluorescence - Anti-Fas Ligand antibody (AB134401)

ICC/IF image of ab134401 stained HeLa cells. The cells were 4% formaldehyde fixed (10 min) and then incubated in 1%BSA / 10% normal goat serum / 0.3M glycine in 0.1% PBS-Tween for 1h to permeabilise the cells and block non-specific protein-protein interactions. The cells were then incubated with the antibody ab134401 at 5μg/ml overnight at +4°C. The secondary antibody (green) was DyLight® 488 goat anti- rabbit (ab96899) IgG (H+L) used at a 1/250 dilution for 1h. Alexa Fluor® 594 WGA was used to label plasma membranes (red) at a 1/200 dilution for 1h. DAPI was used to stain the cell nuclei (blue) at a concentration of 1.43μM.

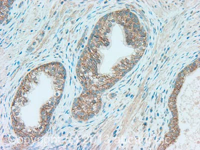
Immunohistochemistry (Formalin/PFA-fixed paraffin-embedded sections) - Anti-Fas Ligand antibody (AB134401)
  • IHC-P

Ap

Immunohistochemistry (Formalin/PFA-fixed paraffin-embedded sections) - Anti-Fas Ligand antibody (AB134401)

IHC image of Fas Ligand staining in Human normal prostate formalin fixed paraffin embedded tissue section, performed on a Leica Bond™ system using the standard protocol F. The section was pre-treated using heat mediated antigen retrieval with sodium citrate buffer (pH6, epitope retrieval solution 1) for 20 mins. The section was then incubated with ab134401, 1μg/ml, for 15 mins at room temperature and detected using an HRP conjugated compact polymer system. DAB was used as the chromogen. The section was then counterstained with haematoxylin and mounted with DPX.

For other IHC staining systems (automated and non-automated) customers should optimize variable parameters such as antigen retrieval conditions, primary antibody concentration and antibody incubation times.

关键信息

宿主种属

Rabbit

克隆

Polyclonal

亚型

IgG

不含载体蛋白

No

反应种属

Human

应用

ICC/IF, IHC-P

applications

免疫原

The exact immunogen used to generate this antibody is proprietary information.

反应性数据

{ "title": "Reactivity Data", "filters": { "stats": ["", "Species", "Dilution Info", "Notes"], "tabs": { "all-applications": {"fullname" : "All Applications", "shortname": "All Applications"}, "IHCP" : {"fullname" : "Immunohistochemistry (Formalin/PFA-fixed paraffin-embedded sections)", "shortname":"IHC-P"}, "ICCIF" : {"fullname" : "Immunocytochemistry/ Immunofluorescence", "shortname":"ICC/IF"} }, "product-promise": { "all": "all", "testedAndGuaranteed": "tested", "guaranteed": "expected", "predicted": "predicted", "notRecommended": "not-recommended" } }, "values": { "Human": { "IHCP-species-checked": "testedAndGuaranteed", "IHCP-species-dilution-info": "1 µg/mL", "IHCP-species-notes": "<p></p>", "ICCIF-species-checked": "testedAndGuaranteed", "ICCIF-species-dilution-info": "5 µg/mL", "ICCIF-species-notes": "<p></p>" }, "Chimpanzee": { "IHCP-species-checked": "predicted", "IHCP-species-dilution-info": "", "IHCP-species-notes": "", "ICCIF-species-checked": "predicted", "ICCIF-species-dilution-info": "", "ICCIF-species-notes": "" }, "Gorilla": { "IHCP-species-checked": "predicted", "IHCP-species-dilution-info": "", "IHCP-species-notes": "", "ICCIF-species-checked": "predicted", "ICCIF-species-dilution-info": "", "ICCIF-species-notes": "" }, "Macaque monkey": { "IHCP-species-checked": "predicted", "IHCP-species-dilution-info": "", "IHCP-species-notes": "", "ICCIF-species-checked": "predicted", "ICCIF-species-dilution-info": "", "ICCIF-species-notes": "" }, "Orangutan": { "IHCP-species-checked": "predicted", "IHCP-species-dilution-info": "", "IHCP-species-notes": "", "ICCIF-species-checked": "predicted", "ICCIF-species-dilution-info": "", "ICCIF-species-notes": "" } } }

性能和储存信息

形式
Liquid
纯化工艺
Affinity purification Immunogen
存储溶液
pH: 7.4 Preservative: 0.02% Sodium azide Constituents: PBS, 1% BSA
运输条件
Blue Ice
推荐的短期储存时间
1-2 weeks
推荐的短期储存条件
+4°C
推荐的长期储存条件
-20°C
分装信息
Upon delivery aliquot
储存信息
Avoid freeze / thaw cycle

产品实验方案

For this product, it's our understanding that no specific protocols are required. You can visit:

靶点信息

Cytokine that binds to TNFRSF6/FAS, a receptor that transduces the apoptotic signal into cells (PubMed : 26334989, PubMed : 9228058). Involved in cytotoxic T-cell-mediated apoptosis, natural killer cell-mediated apoptosis and in T-cell development (PubMed : 7528780, PubMed : 9228058, PubMed : 9427603). Initiates fratricidal/suicidal activation-induced cell death (AICD) in antigen-activated T-cells contributing to the termination of immune responses (By similarity). TNFRSF6/FAS-mediated apoptosis also has a role in the induction of peripheral tolerance (By similarity). Binds to TNFRSF6B/DcR3, a decoy receptor that blocks apoptosis (PubMed : 27806260).. Tumor necrosis factor ligand superfamily member 6, soluble form. Induces FAS-mediated activation of NF-kappa-B, initiating non-apoptotic signaling pathways (By similarity). Can induce apoptosis but does not appear to be essential for this process (PubMed : 27806260).. FasL intracellular domain. Cytoplasmic form induces gene transcription inhibition.
See full target information FASLG

文献 (4)

Recent publications for all applications. Explore the full list and refine your search

Scientific reports 15:18859 PubMed40442395

2025

Platelet aggregation elicits FasL expression and hepatocyte apoptosis in sinusoidal obstruction syndrome.

Applications

Unspecified application

Species

Unspecified reactive species

Yuri Higashi,Seiichi Munesue,Masakazu Saeki,Ai Harashima,Kumi Kimura,Yu Oshima,Ryohei Takei,Satoshi Takada,Shinichi Nakanuma,Isamu Makino,Tetsuo Ohta,Shintaro Yagi,Hidehiro Tajima,Yasuhiko Yamamoto

Stem cell reports 17:507-521 PubMed35148847

2022

Expanding homogeneous culture of human primordial germ cell-like cells maintaining germline features without serum or feeder layers.

Applications

Unspecified application

Species

Unspecified reactive species

Mutsumi Kobayashi,Misato Kobayashi,Junko Odajima,Keiko Shioda,Young Sun Hwang,Kotaro Sasaki,Pranam Chatterjee,Christian Kramme,Richie E Kohman,George M Church,Amanda R Loehr,Robert S Weiss,Harald Jüppner,Joanna J Gell,Ching C Lau,Toshi Shioda

Frontiers in immunology 12:683396 PubMed34177929

2021

Characterization of Human Lymphoid Tissue Immune Cells by Multispectral Confocal Imaging and Quantitative Image Analysis; Implications for HIV Reservoir Characterization.

Applications

Unspecified application

Species

Unspecified reactive species

Eirini Moysi,Perla M Del Rio Estrada,Fernanda Torres-Ruiz,Gustavo Reyes-Terán,Richard A Koup,Constantinos Petrovas

Poultry science 99:6084-6093 PubMed33142528

2020

Heat stress decreases egg production of laying hens by inducing apoptosis of follicular cells via activating the FasL/Fas and TNF-α systems.

Applications

Unspecified application

Species

Unspecified reactive species

Gui-Ming Li,Li-Ping Liu,Bin Yin,Yue-Yue Liu,Wen-Wen Dong,Shuai Gong,Jie Zhang,Jing-He Tan
View all publications

Abcam Product Promise

我们致力于为您的研究提供高质量的试剂,为您科研的每一步提供支持。若我们的产品未能达到预期性能,我们向您提供 Abcam Product Promise 保障。
详情请参阅我们的条款与条件。

Please note: All products are 'FOR RESEARCH USE ONLY. NOT FOR USE IN DIAGNOSTIC OR THERAPEUTIC PROCEDURES'.

For licensing inquiries, please contact partnerships@abcam.com