JavaScript is disabled in your browser. Please enable JavaScript to view this website.
AB245347

Anti-FANCD2抗体

Anti-FANCD2 antibody

Be the first to review this product! Submit a review

|

(1 Publication)

Rabbit Polyclonal FANCD2 antibody. Suitable for IHC-P, IP, WB and reacts with Human samples. Cited in 1 publication. Immunogen corresponding to Synthetic Peptide within Human FANCD2 aa 1400 to C-terminus.

查看别名

FACD, FANCD2, Fanconi anemia group D2 protein, Protein FACD2

3 Images
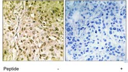
Immunohistochemistry (Formalin/PFA-fixed paraffin-embedded sections) - Anti-FANCD2 antibody (AB245347)
  • IHC-P

Supplier Data

Immunohistochemistry (Formalin/PFA-fixed paraffin-embedded sections) - Anti-FANCD2 antibody (AB245347)

Formalin-fixed, paraffin-embedded human prostate carcinoma tissue stained for FANCD2 with ab245347 at a 1/200 dilution in immunohistochemical analysis. DAB staining.

Immunoprecipitation - Anti-FANCD2 antibody (AB245347)
  • IP

Supplier Data

Immunoprecipitation - Anti-FANCD2 antibody (AB245347)

FANCD2 was immunoprecipitated from HEK-293T (human epithelial cell line from embryonic kidney transformed with large T antigen) whole cell lysate (1 mg per IP reaction; 20% of IP loaded).
ab245347 used for IP at 10 μg/mg lysate. For WB 1 μg/ml.

Lane 1 : ab245347 IP in HEK-293T whole cell lysate.
Lane 2 : Control IgG IP in HEK-293T whole cell lysate.

Chemiluminescence detection : 30 seconds.

All lanes:

Immunoprecipitation - Anti-FANCD2 antibody (ab245347)

Predicted band size: 166 kDa

false

Western blot - Anti-FANCD2 antibody (AB245347)
  • WB

Supplier Data

Western blot - Anti-FANCD2 antibody (AB245347)

All lanes:

Western blot - Anti-FANCD2 antibody (ab245347) at 0.04 µg/mL

Lane 1:

HeLa (Human epithelial cell line from cervix adenocarcinoma) whole cell lysate at 50 µg

Lane 2:

HeLa whole cell lysate at 15 µg

Lane 3:

HeLa whole cell lysate at 5 µg

Lane 4:

Jurkat (Human T cell leukemia cell line from peripheral blood) whole cell lysate at 50 µg

Predicted band size: 166 kDa

false

Exposure time: 3min

关键信息

宿主种属

Rabbit

克隆

Polyclonal

亚型

IgG

不含载体蛋白

No

反应种属

Human

应用

WB, IP, IHC-P

applications

免疫原

Synthetic Peptide within Human FANCD2 aa 1400 to C-terminus. The exact immunogen used to generate this antibody is proprietary information.

Q9BXW9

反应性数据

{ "title": "Reactivity Data", "filters": { "stats": ["", "Species", "Dilution Info", "Notes"], "tabs": { "all-applications": {"fullname" : "All Applications", "shortname": "All Applications"}, "IHCP" : {"fullname" : "Immunohistochemistry (Formalin/PFA-fixed paraffin-embedded sections)", "shortname":"IHC-P"}, "IP" : {"fullname" : "Immunoprecipitation", "shortname":"IP"}, "WB" : {"fullname" : "Western blot", "shortname":"WB"} }, "product-promise": { "all": "all", "testedAndGuaranteed": "tested", "guaranteed": "expected", "predicted": "predicted", "notRecommended": "not-recommended" } }, "values": { "Human": { "IHCP-species-checked": "testedAndGuaranteed", "IHCP-species-dilution-info": "1/100 - 1/500", "IHCP-species-notes": "<p></p> Perform heat-mediated antigen retrieval with citrate buffer pH 6 before commencing with IHC staining protocol.", "IP-species-checked": "testedAndGuaranteed", "IP-species-dilution-info": "5-15 µg/mg of lysate", "IP-species-notes": "<p></p>", "WB-species-checked": "testedAndGuaranteed", "WB-species-dilution-info": "1/2000 - 1/10000", "WB-species-notes": "<p></p>" }, "Gorilla": { "IHCP-species-checked": "predicted", "IHCP-species-dilution-info": "", "IHCP-species-notes": "", "IP-species-checked": "predicted", "IP-species-dilution-info": "", "IP-species-notes": "", "WB-species-checked": "predicted", "WB-species-dilution-info": "", "WB-species-notes": "" }, "Monkey": { "IHCP-species-checked": "predicted", "IHCP-species-dilution-info": "", "IHCP-species-notes": "", "IP-species-checked": "predicted", "IP-species-dilution-info": "", "IP-species-notes": "", "WB-species-checked": "predicted", "WB-species-dilution-info": "", "WB-species-notes": "" } } }

性能和储存信息

形式
Liquid
纯化工艺
Affinity purification Immunogen
纯化说明
ab245347 was affinity purified using an epitope specific to FANCD2 immobilized on solid support.
存储溶液
pH: 6.8 - 7.4 Preservative: 0.09% Sodium azide Constituents: Tris buffered saline, 0.1% BSA
运输条件
Blue Ice
推荐的短期储存时间
1-2 weeks
推荐的短期储存条件
+4°C
推荐的长期储存条件
-20°C
分装信息
Upon delivery aliquot
储存信息
Avoid freeze / thaw cycle

补充信息

This supplementary information is collated from multiple sources and compiled automatically.

FANCD2 also known as Fanconi anemia group D2 functions mechanically in DNA repair processes. This protein plays a role in the cellular response to DNA damage specifically interstrand crosslinks. FANCD2 has a molecular weight of approximately 164 kDa. Expression of FANCD2 occurs broadly in various tissues but reaches higher levels in cells that undergo rapid division such as hematopoietic cells.
Biological function summary

FANCD2 collaborates with multiple proteins as part of the Fanconi anemia (FA) complex to ensure genomic stability. The FA complex operates by facilitating the repair of DNA interstrand crosslinks that impede replication. FANCD2 becomes activated through monoubiquitination which serves as a signal for recruitment to DNA damage sites. It essentially functions as a coordinator that brings together important components for repair.

Pathways

FANCD2 integrates into the Fanconi anemia pathway and the homologous recombination repair pathway. These pathways are critical for maintaining DNA integrity and preventing chromosomal instability. Within these pathways interactions with proteins such as BRCA1 and BRCA2 reinforce the repair processes. FANCD2's connection to these proteins exemplifies its role in complex mechanisms that preserve genomic fidelity.

FANCD2 links significantly to Fanconi anemia a genetic disorder that causes bone marrow failure and increased cancer susceptibility. Damage or malfunction of FANCD2 can disrupt DNA repair leading to cellular dysfunction seen in this condition. Additionally there is a connection to breast cancer whereby FANCD2 interacts with BRCA2 indicating a shared pathway involved in tumor suppressor functions. These associations underline the importance of FANCD2 in disease pathology and its potential as a therapeutic target.

产品实验方案

For this product, it's our understanding that no specific protocols are required. You can visit:

靶点信息

Required for maintenance of chromosomal stability. Promotes accurate and efficient pairing of homologs during meiosis. Involved in the repair of DNA double-strand breaks, both by homologous recombination and single-strand annealing. May participate in S phase and G2 phase checkpoint activation upon DNA damage. Plays a role in preventing breakage and loss of missegregating chromatin at the end of cell division, particularly after replication stress. Required for the targeting, or stabilization, of BLM to non-centromeric abnormal structures induced by replicative stress. Promotes BRCA2/FANCD1 loading onto damaged chromatin. May also be involved in B-cell immunoglobulin isotype switching.
See full target information FANCD2

文献 (1)

Recent publications for all applications. Explore the full list and refine your search

Bioscience reports 39: PubMed31239367

2019

Down-regulation of microRNA-142-3p inhibits the aggressive phenotypes of rheumatoid arthritis fibroblast-like synoviocytes through inhibiting nuclear factor-κB signaling.

Applications

Unspecified application

Species

Unspecified reactive species

Jianhong Qiang,Tingting Lv,Zhenbiao Wu,Xichao Yang
View all publications

Abcam Product Promise

我们致力于为您的研究提供高质量的试剂,为您科研的每一步提供支持。若我们的产品未能达到预期性能,我们向您提供 Abcam Product Promise 保障。
详情请参阅我们的条款与条件。

Please note: All products are 'FOR RESEARCH USE ONLY. NOT FOR USE IN DIAGNOSTIC OR THERAPEUTIC PROCEDURES'.

For licensing inquiries, please contact partnerships@abcam.com