JavaScript is disabled in your browser. Please enable JavaScript to view this website.
AB179833

重组Anti-FAM98B抗体[EPR12872]

Anti-FAM98B antibody [EPR12872]

Be the first to review this product! Submit a review

|

(2 Publications)

Rabbit Recombinant Monoclonal FAM98B antibody. Suitable for IHC-P, WB, ICC/IF and reacts with Human samples. Cited in 2 publications.

查看别名

Protein FAM98B, FAM98B

4 Images
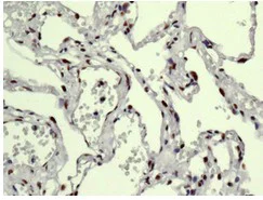
Immunohistochemistry (Formalin/PFA-fixed paraffin-embedded sections) - Anti-FAM98B antibody [EPR12872] (AB179833)
  • IHC-P

Supplier Data

Immunohistochemistry (Formalin/PFA-fixed paraffin-embedded sections) - Anti-FAM98B antibody [EPR12872] (AB179833)

Immunohistochemical analysis of paraffin-embedded Human lung tissue labeling FAM98B with ab179833 at 1/100 dilution.

Perform heat mediated antigen retrieval with citrate buffer pH 6 before commencing with IHC staining protocol.

Immunocytochemistry/ Immunofluorescence - Anti-FAM98B antibody [EPR12872] (AB179833)
  • ICC/IF

Supplier Data

Immunocytochemistry/ Immunofluorescence - Anti-FAM98B antibody [EPR12872] (AB179833)

Immunofluorescent analysis of Caco-2 cells labeling FAM98B with ab179833 at 1/50 dilution.

Immunohistochemistry (Formalin/PFA-fixed paraffin-embedded sections) - Anti-FAM98B antibody [EPR12872] (AB179833)
  • IHC-P

Supplier Data

Immunohistochemistry (Formalin/PFA-fixed paraffin-embedded sections) - Anti-FAM98B antibody [EPR12872] (AB179833)

Immunohistochemical analysis of paraffin-embedded Human pancreas tissue labeling FAM98B with ab179833 at 1/100 dilution.

Perform heat mediated antigen retrieval with citrate buffer pH 6 before commencing with IHC staining protocol.

Western blot - Anti-FAM98B antibody [EPR12872] (AB179833)
  • WB

Supplier Data

Western blot - Anti-FAM98B antibody [EPR12872] (AB179833)

All lanes:

Western blot - Anti-FAM98B antibody [EPR12872] (ab179833) at 1/1000 dilution

Lane 1:

Raji cell lysate at 10 µg

Lane 2:

Caco-2 cell lysate at 10 µg

Lane 3:

Human fetal brain tissue lysate at 10 µg

Secondary

All lanes:

Goat anti-rabbit HRP-conjugated at 1/2000 dilution

Predicted band size: 37 kDa

false

不同偶联物与剂型 (1)

  • Carrier free

    Anti-FAM98B antibody [EPR12872] - BSA and Azide free

关键信息

宿主种属

Rabbit

克隆

Monoclonal

克隆号

EPR12872

亚型

IgG

不含载体蛋白

No

反应种属

Human

应用

ICC/IF, WB, IHC-P

applications

免疫原

The exact immunogen used to generate this antibody is proprietary information.

反应性数据

{ "title": "Reactivity Data", "filters": { "stats": ["", "Species", "Dilution Info", "Notes"], "tabs": { "all-applications": {"fullname" : "All Applications", "shortname": "All Applications"}, "IHCP" : {"fullname" : "Immunohistochemistry (Formalin/PFA-fixed paraffin-embedded sections)", "shortname":"IHC-P"}, "IP" : {"fullname" : "Immunoprecipitation", "shortname":"IP"}, "FlowCyt" : {"fullname" : "Flow Cytometry", "shortname":"Flow Cyt"}, "WB" : {"fullname" : "Western blot", "shortname":"WB"}, "ICCIF" : {"fullname" : "Immunocytochemistry/ Immunofluorescence", "shortname":"ICC/IF"} }, "product-promise": { "all": "all", "testedAndGuaranteed": "tested", "guaranteed": "expected", "predicted": "predicted", "notRecommended": "not-recommended" } }, "values": { "Human": { "IHCP-species-checked": "testedAndGuaranteed", "IHCP-species-dilution-info": "1/100 - 1/250", "IHCP-species-notes": "<p></p>", "IP-species-checked": "notRecommended", "IP-species-dilution-info": "", "IP-species-notes": "<p></p>", "FlowCyt-species-checked": "notRecommended", "FlowCyt-species-dilution-info": "", "FlowCyt-species-notes": "<p></p>", "WB-species-checked": "testedAndGuaranteed", "WB-species-dilution-info": "1/1000 - 1/10000", "WB-species-notes": "<p></p>", "ICCIF-species-checked": "testedAndGuaranteed", "ICCIF-species-dilution-info": "1/50 - 1/100", "ICCIF-species-notes": "<p></p>" }, "Mouse": { "IHCP-species-checked": "predicted", "IHCP-species-dilution-info": "", "IHCP-species-notes": "", "IP-species-checked": "notRecommended", "IP-species-dilution-info": "", "IP-species-notes": "", "FlowCyt-species-checked": "notRecommended", "FlowCyt-species-dilution-info": "", "FlowCyt-species-notes": "", "WB-species-checked": "predicted", "WB-species-dilution-info": "", "WB-species-notes": "", "ICCIF-species-checked": "predicted", "ICCIF-species-dilution-info": "", "ICCIF-species-notes": "" }, "Rat": { "IHCP-species-checked": "predicted", "IHCP-species-dilution-info": "", "IHCP-species-notes": "", "IP-species-checked": "notRecommended", "IP-species-dilution-info": "", "IP-species-notes": "", "FlowCyt-species-checked": "notRecommended", "FlowCyt-species-dilution-info": "", "FlowCyt-species-notes": "", "WB-species-checked": "predicted", "WB-species-dilution-info": "", "WB-species-notes": "", "ICCIF-species-checked": "predicted", "ICCIF-species-dilution-info": "", "ICCIF-species-notes": "" } } }

产品详情

Patented technology
Our RabMAb® technology is a patented hybridoma-based technology for making rabbit monoclonal antibodies. For details on our patents, please refer to RabMAb® patents.

What are the advantages of a recombinant monoclonal antibody?
This product is a recombinant monoclonal antibody, which offers several advantages including:

  • - High batch-to-batch consistency and reproducibility
  • - Improved sensitivity and specificity
  • - Long-term security of supply
  • - Animal-free batch production

For more information, read more on recombinant antibodies.

性能和储存信息

形式
Liquid
纯度
Tissue culture supernatant
存储溶液
pH: 7.2 - 7.4 Preservative: 0.01% Sodium azide Constituents: PBS, 50% Tissue culture supernatant, 40% Glycerol (glycerin, glycerine), 0.05% BSA
运输条件
Blue Ice
推荐的短期储存时间
1-2 weeks
推荐的短期储存条件
+4°C
推荐的长期储存条件
-20°C
分装信息
Upon delivery aliquot
储存信息
Avoid freeze / thaw cycle

补充信息

This supplementary information is collated from multiple sources and compiled automatically.

FAM98B also known as 'family with sequence similarity 98 member B' is a protein with an approximate mass of 55 kDa. It shows expression in several human tissues with notable levels in the brain liver and lungs. Mechanically FAM98B binds RNA and potentially acts as a scaffold for other protein interactions suggesting roles in RNA processing or regulation.
Biological function summary

FAM98B takes part in various cellular processes including the assembly of RNA-protein complexes. It associates with the CCR4-NOT complex a critical regulator of mRNA deadenylation and decay. Through these interactions FAM98B possibly influences mRNA stability and gene expression impacting cell growth and differentiation.

Pathways

Researchers have linked FAM98B to pathways like mRNA surveillance and cell cycle regulation. It interacts with proteins such as CNOT1 and other components of the CCR4-NOT complex. This association plays a role in monitoring mRNA integrity and the promotion of mRNA decay affecting cell proliferation and response to stress.

Alterations in FAM98B expression or function relate to cancer and neurodegenerative disease. In cancer abnormal levels of FAM98B might influence tumor growth by interacting with proteins like DDX20 affecting cell cycle regulation. In neurodegenerative disorders disruptions in pathways involving FAM98B could impact neuronal function possibly interacting with proteins within the CCR4-NOT complex to influence cognitive outcomes.

产品实验方案

For this product, it's our understanding that no specific protocols are required. You can visit:

靶点信息

Positively stimulates PRMT1-induced protein arginine dimethylated arginine methylation (PubMed : 28040436).
See full target information FAM98B

文献 (2)

Recent publications for all applications. Explore the full list and refine your search

Breast cancer research and treatment 184:237-248 PubMed32757134

2020

Effect of functional variant rs11466313 on breast cancer susceptibility and TGFB1 promoter activity.

Applications

Unspecified application

Species

Unspecified reactive species

Yan-Ting Zhou,Li-Yuan Zheng,Ya-Jun Wang,Li Yang,Yun-Tao Xie,Ipsita Panda,Xin-Xia Tian,Wei-Gang Fang

Frontiers in physiology 10:92 PubMed30833903

2019

hCLE/RTRAF-HSPC117-DDX1-FAM98B: A New Cap-Binding Complex That Activates mRNA Translation.

Applications

Unspecified application

Species

Unspecified reactive species

Alejandra Pazo,Alicia Pérez-González,Juan Carlos Oliveros,Maite Huarte,Juan Pablo Chavez,Amelia Nieto
View all publications

Abcam Product Promise

我们致力于为您的研究提供高质量的试剂,为您科研的每一步提供支持。若我们的产品未能达到预期性能,我们向您提供 Abcam Product Promise 保障。
详情请参阅我们的条款与条件。

Please note: All products are 'FOR RESEARCH USE ONLY. NOT FOR USE IN DIAGNOSTIC OR THERAPEUTIC PROCEDURES'.

For licensing inquiries, please contact partnerships@abcam.com