JavaScript is disabled in your browser. Please enable JavaScript to view this website.
AB196023

重组Anti-Factor X抗体[EPR16249]

Anti-Factor X antibody [EPR16249]

Be the first to review this product! Submit a review

|

(2 Publications)

Rabbit Recombinant Monoclonal Factor X antibody. Suitable for WB, IHC-P and reacts with Human samples. Cited in 2 publications.

查看别名

Coagulation factor X, Stuart factor, Stuart-Prower factor, F10

4 Images
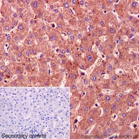
Immunohistochemistry (Formalin/PFA-fixed paraffin-embedded sections) - Anti-Factor X antibody [EPR16249] (AB196023)
  • IHC-P

Supplier Data

Immunohistochemistry (Formalin/PFA-fixed paraffin-embedded sections) - Anti-Factor X antibody [EPR16249] (AB196023)

Immunohistochemical analysis of paraffin-embedded Human liver tissue labeling Factor X with ab196023 at 1/1200 dilution, followed by Goat Anti-Rabbit IgG H&L (HRP) (ab97051) secondary antibody at 1/500 dilution. Cytoplasm staining on Human liver tissue is observed. Counter stained with Hematoxylin.

Secondary control : Used PBS instead of primary antibody, secondary antibody is Goat Anti-Rabbit IgG H&L (HRP) (ab97051) at 1/500 dilution.

Perform heat mediated antigen retrieval with Tris/EDTA buffer pH 9.0 before commencing with IHC staining protocol.

Western blot - Anti-Factor X antibody [EPR16249] (AB196023)
  • WB

Supplier Data

Western blot - Anti-Factor X antibody [EPR16249] (AB196023)

Blocking/Dilution buffer : 5% NFDM/TBST.

We hypothesis the 74 kDa band is the precursor of Factor X.
Factor X contains a number of potential glycosylation sites (SwissProt) which may explain its migration at a higher molecular weight than predicted. This is consistent with what has been seen in PMID : 19691479.

All lanes:

Western blot - Anti-Factor X antibody [EPR16249] (ab196023) at 1/20000 dilution

All lanes:

HepG2 (Human liver hepatocellular carcinoma) cell lysate at 20 µg

Secondary

All lanes:

Goat Anti-Rabbit IgG, (H+L), Peroxidase conjugated at 1/1000 dilution

Predicted band size: 54 kDa

Observed band size: 74 kDa

false

Western blot - Anti-Factor X antibody [EPR16249] (AB196023)
  • WB

Supplier Data

Western blot - Anti-Factor X antibody [EPR16249] (AB196023)

Blocking/Dilution buffer : 5% NFDM/TBST.

We hypothesis the 74 kDa band is the precursor of Factor X.
Factor X contains a number of potential glycosylation sites (SwissProt) which may explain its migration at a higher molecular weight than predicted. This is consistent with what has been seen in PMID : 19691479.

All lanes:

Western blot - Anti-Factor X antibody [EPR16249] (ab196023) at 1/20000 dilution

All lanes:

Human plasma lysate at 10 µg

Secondary

All lanes:

Anti-Rabbit IgG (HRP), specific to the non-reduced form of IgG at 1/1000 dilution

Predicted band size: 54 kDa

Observed band size: 74 kDa

false

Western blot - Anti-Factor X antibody [EPR16249] (AB196023)
  • WB

Supplier Data

Western blot - Anti-Factor X antibody [EPR16249] (AB196023)

Blocking/Dilution buffer : 5% NFDM/TBST.

We hypothesis the 74 kDa band is the precursor of Factor X.
Factor X contains a number of potential glycosylation sites (SwissProt) which may explain its migration at a higher molecular weight than predicted. This is consistent with what has been seen in PMID : 19691479.

All lanes:

Western blot - Anti-Factor X antibody [EPR16249] (ab196023) at 1/20000 dilution

Lane 1:

Human fetal liver lysate at 10 µg

Lane 2:

Human blood lysate at 10 µg

Secondary

All lanes:

Goat Anti-Rabbit IgG, (H+L), Peroxidase conjugated at 1/1000 dilution

Predicted band size: 54 kDa

Observed band size: 74 kDa

false

不同偶联物与剂型 (1)

  • Carrier free

    Anti-Factor X antibody [EPR16249] - BSA and Azide free

关键信息

宿主种属

Rabbit

克隆

Monoclonal

克隆号

EPR16249

亚型

IgG

不含载体蛋白

No

反应种属

Human

应用

WB, IHC-P

applications

免疫原

The exact immunogen used to generate this antibody is proprietary information.

反应性数据

{ "title": "Reactivity Data", "filters": { "stats": ["", "Species", "Dilution Info", "Notes"], "tabs": { "all-applications": {"fullname" : "All Applications", "shortname": "All Applications"}, "WB" : {"fullname" : "Western blot", "shortname":"WB"}, "IHCP" : {"fullname" : "Immunohistochemistry (Formalin/PFA-fixed paraffin-embedded sections)", "shortname":"IHC-P"} }, "product-promise": { "all": "all", "testedAndGuaranteed": "tested", "guaranteed": "expected", "predicted": "predicted", "notRecommended": "not-recommended" } }, "values": { "Human": { "WB-species-checked": "testedAndGuaranteed", "WB-species-dilution-info": "1/20000", "WB-species-notes": "<p></p>", "IHCP-species-checked": "testedAndGuaranteed", "IHCP-species-dilution-info": "1/1200", "IHCP-species-notes": "<p></p>" } } }

产品详情

Patented technology
Our RabMAb® technology is a patented hybridoma-based technology for making rabbit monoclonal antibodies. For details on our patents, please refer to RabMAb® patents.

What are the advantages of a recombinant monoclonal antibody?
This product is a recombinant monoclonal antibody, which offers several advantages including:

  • - High batch-to-batch consistency and reproducibility
  • - Improved sensitivity and specificity
  • - Long-term security of supply
  • - Animal-free batch production

For more information, read more on recombinant antibodies.

性能和储存信息

形式
Liquid
纯化工艺
Affinity purification Protein A
存储溶液
pH: 7.2 - 7.4 Preservative: 0.01% Sodium azide Constituents: PBS, 40% Glycerol (glycerin, glycerine), 0.05% BSA
运输条件
Blue Ice
推荐的短期储存时间
1-2 weeks
推荐的短期储存条件
+4°C
推荐的长期储存条件
-20°C
分装信息
Upon delivery aliquot
储存信息
Avoid freeze / thaw cycle

补充信息

This supplementary information is collated from multiple sources and compiled automatically.

Factor X also known as Stuart-Prower Factor is a critical component in the coagulation cascade. It has a molecular weight of approximately 59 kDa and is expressed mainly in the liver. This serine protease plays an important role in the conversion of prothrombin to thrombin an essential step in blood clot formation. Factor X circulates in the plasma as an inactive zymogen and becomes activated to its enzyme form factor Xa in response to specific physiological signals.
Biological function summary

Factor X contributes significantly to the coagulation process by activating prothrombin into thrombin. It is not part of a larger complex but functions closely with other components of the coagulation cascade to maintain hemostasis. Factor X interacts with calcium ions and phospholipids on the surface of platelets enhancing its enzymatic activity. This activation ensures proper regulation of blood clotting preventing excessive bleeding or uncontrolled clot formation.

Pathways

Factor X is central to both the intrinsic and extrinsic coagulation pathways. It interacts with proteins such as factor VIIa in the extrinsic pathway and factor IXa in the intrinsic pathway both pathways leading to the activation of factor Xa. In turn factor Xa is key in the common pathway which combines inputs from the intrinsic and extrinsic pathways to produce thrombin essential for fibrin clot formation.

Factor X is associated with bleeding disorders such as hemophilia and liver disease. Deficiencies or dysfunctions in factor X result in inadequate clot formation leading to prolonged bleeding episodes. Furthermore increased factor X activity as in cases of thrombophilia can raise the risk of abnormal blood clots. Factor X works alongside proteins like factor V with both deficiencies playing roles in hemophilia. Monitoring factor X activity is important in diagnosing and managing these coagulation-related conditions.

产品实验方案

For this product, it's our understanding that no specific protocols are required. You can visit:

靶点信息

Factor Xa is a vitamin K-dependent glycoprotein that converts prothrombin to thrombin in the presence of factor Va, calcium and phospholipid during blood clotting (PubMed : 22409427, PubMed : 39880037). Factor Xa activates pro-inflammatory signaling pathways in a protease-activated receptor (PAR)-dependent manner (PubMed : 24041930, PubMed : 30568593, PubMed : 34831181, PubMed : 18202198). Up-regulates expression of protease-activated receptors (PARs) F2R, F2RL1 and F2RL2 in dermal microvascular endothelial cells (PubMed : 35738824). Triggers the production of pro-inflammatory cytokines, such as MCP-1/CCL2 and IL6, in cardiac fibroblasts and umbilical vein endothelial cells in PAR-1/F2R-dependent manner (PubMed : 30568593, PubMed : 34831181). Triggers the production of pro-inflammatory cytokines, such as MCP-1/CCL2, IL6, TNF/TNF, IL-1beta/IL1B, IL8/CXCL8 and IL18, in endothelial cells and atrial tissues (PubMed : 24041930, PubMed : 35738824, PubMed : 9780208). Induces expression of adhesion molecules, such as ICAM1, VCAM1 and SELE, in endothelial cells and atrial tissues (PubMed : 24041930, PubMed : 35738824, PubMed : 9780208). Increases expression of phosphorylated ERK1/2 in dermal microvascular endothelial cells and atrial tissues (PubMed : 24041930, PubMed : 35738824). Triggers activation of the transcription factor NF-kappa-B in dermal microvascular endothelial cells and atrial tissues (PubMed : 24041930, PubMed : 35738824). Activates pro-inflammatory and pro-fibrotic responses in dermal fibroblasts and enhances wound healing probably via PAR-2/F2RL1-dependent mechanism (PubMed : 18202198). Activates barrier protective signaling responses in endothelial cells in PAR-2/F2RL1-dependent manner; the activity depends on the cleavage of PAR-2/F2RL1 by factor Xa (PubMed : 22409427). Up-regulates expression of plasminogen activator inhibitor 1 (SERPINE1) in atrial tissues (PubMed : 24041930).
See full target information F10

文献 (2)

Recent publications for all applications. Explore the full list and refine your search

Cancer research 83:3920-3939 PubMed37729394

2023

Fatty Acid Oxidation Mediated by Malonyl-CoA Decarboxylase Represses Renal Cell Carcinoma Progression.

Applications

Unspecified application

Species

Unspecified reactive species

Lijie Zhou,Yongbo Luo,Yuenan Liu,Youmiao Zeng,Junwei Tong,Mengting Li,Yaxin Hou,Kaixuan Du,Yabin Qi,Wenbang Pan,Yuanhao Liu,Rongli Wang,Fengyan Tian,Chaohui Gu,Ke Chen

EMBO molecular medicine 15:e17376 PubMed37534622

2023

Viral anti-inflammatory serpin reduces immuno-coagulopathic pathology in SARS-CoV-2 mouse models of infection.

Applications

Unspecified application

Species

Unspecified reactive species

Liqiang Zhang,Yize Henry Li,Karen Kibler,Simona Kraberger,Arvind Varsani,Julie Turk,Nora Elmadbouly,Emily Aliskevich,Laurel Spaccarelli,Bereket Estifanos,Junior Enow,Isabela Rivabem Zanetti,Nicholas Saldevar,Efrem Lim,Jessika Schlievert,Kyle Browder,Anjali Wilson,Fernando Arcos Juan,Aubrey Pinteric,Aman Garg,Henna Monder,Rohan Saju,Savanah Gisriel,Bertram Jacobs,Timothy L Karr,Esther Borges Florsheim,Vivek Kumar,John Wallen,Masmudur Rahman,Grant McFadden,Brenda G Hogue,Alexandra R Lucas
View all publications

Abcam Product Promise

我们致力于为您的研究提供高质量的试剂,为您科研的每一步提供支持。若我们的产品未能达到预期性能,我们向您提供 Abcam Product Promise 保障。
详情请参阅我们的条款与条件。

Please note: All products are 'FOR RESEARCH USE ONLY. NOT FOR USE IN DIAGNOSTIC OR THERAPEUTIC PROCEDURES'.

For licensing inquiries, please contact partnerships@abcam.com