JavaScript is disabled in your browser. Please enable JavaScript to view this website.
AB128048

Anti-Factor IX/PTC抗体

Anti-Factor IX/PTC antibody

Be the first to review this product! Submit a review

|

(1 Publication)

Sheep Polyclonal Factor IX/PTC antibody. Suitable for IHC-P and reacts with Human samples. Cited in 1 publication. Immunogen corresponding to Native Full Length Protein corresponding to Human Coagulation factor IX.

查看别名

Coagulation factor IX, Christmas factor, Plasma thromboplastin component, PTC, F9

1 Images
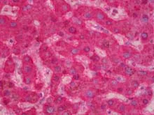
Immunohistochemistry (Formalin/PFA-fixed paraffin-embedded sections) - Anti-Factor IX/PTC antibody (AB128048)
  • IHC-P

Unknown

Immunohistochemistry (Formalin/PFA-fixed paraffin-embedded sections) - Anti-Factor IX/PTC antibody (AB128048)

ab128048, at a concentration of 2.5 μg/ml, staining Factor IX/PTC in paraffin-embedded Human liver tissue by Immunohistochemistry.

关键信息

宿主种属

Sheep

克隆

Polyclonal

亚型

IgG

不含载体蛋白

No

反应种属

Human

应用

IHC-P

applications

免疫原

Native Full Length Protein corresponding to Human Coagulation factor IX.

P00740

反应性数据

{ "title": "Reactivity Data", "filters": { "stats": ["", "Species", "Dilution Info", "Notes"], "tabs": { "all-applications": {"fullname" : "All Applications", "shortname": "All Applications"}, "IHCP" : {"fullname" : "Immunohistochemistry (Formalin/PFA-fixed paraffin-embedded sections)", "shortname":"IHC-P"} }, "product-promise": { "all": "all", "testedAndGuaranteed": "tested", "guaranteed": "expected", "predicted": "predicted", "notRecommended": "not-recommended" } }, "values": { "Human": { "IHCP-species-checked": "testedAndGuaranteed", "IHCP-species-dilution-info": "2.5 µg/mL", "IHCP-species-notes": "<p></p>" } } }

性能和储存信息

形式
Liquid
纯化工艺
Affinity purification Immunogen
存储溶液
pH: 7.4 Constituents: 50% Glycerol (glycerin, glycerine), 0.88% Sodium chloride, 0.24% HEPES
运输条件
Blue Ice
推荐的短期储存时间
1-2 weeks
推荐的短期储存条件
+4°C
推荐的长期储存条件
-20°C
分装信息
Upon delivery aliquot

补充信息

This supplementary information is collated from multiple sources and compiled automatically.

Factor IX also known as Christmas factor or PTC is an important clotting protein in the coagulation cascade. It is a 415 amino acid protein with a mass of approximately 55 kDa. Factor IX is mainly expressed in the liver and then released into the bloodstream where it plays a significant role in blood clotting processes. The recombinant version of this protein referred to as factor IX recombinant is used therapeutically especially in patients who require coagulation support due to factor deficiencies.
Biological function summary

The function of factor IX involves its role in the amplification phase of the coagulation cascade. It participates as part of the intrinsic tenase complex which forms on negatively charged phospholipids in the presence of calcium ions. This complex significantly enhances the conversion of factor X to its active form factor Xa an important step in the clotting process. The activity of factor IX can be assessed using assays such as the factor IX activity assay and ELISA allowing for precise measurement of its function and quantity.

Pathways

Factor IX is integral within the intrinsic pathway of blood coagulation. It interacts with proteins such as factor VIII and factor X. When activated factor IXa forms a complex with the cofactor factor VIIIa on membrane surfaces intensifying the transformation of factor X to factor Xa which then catalyzes the conversion of prothrombin to thrombin. This series of reactions leads to fibrin formation important for stable clot production. Factor IXa also relates to the pathways influencing cellular signaling and hemostasis.

Factor IX deficiencies cause hemophilia B a genetic disorder that leads to improper blood clotting. This disorder is mainly characterized by spontaneous bleeding or severe bleeding after injury. Patients with hemophilia B usually have mutations in the factor IX gene on the X chromosome affecting the protein's function. Successful treatment often involves replacement therapy using factor IX concentrates or the recombinant form. The interaction with proteases such as factor VIIa highlights its importance in therapeutic strategies for bleeding disorders.

产品实验方案

For this product, it's our understanding that no specific protocols are required. You can visit:

靶点信息

Factor IX is a vitamin K-dependent plasma protein that participates in the intrinsic pathway of blood coagulation by converting factor X to its active form in the presence of Ca(2+) ions, phospholipids, and factor VIIIa.
See full target information Coagulation factor IX

文献 (1)

Recent publications for all applications. Explore the full list and refine your search

Frontiers in oncology 10:162 PubMed32133296

2020

Validation of Novel Prognostic Biomarkers for Early-Stage Clear-Cell, Endometrioid and Mucinous Ovarian Carcinomas Using Immunohistochemistry.

Applications

Unspecified application

Species

Unspecified reactive species

Hanna Engqvist,Toshima Z Parris,Anikó Kovács,Elisabeth Werner Rönnerman,Karin Sundfeldt,Per Karlsson,Khalil Helou
View all publications

Abcam Product Promise

我们致力于为您的研究提供高质量的试剂,为您科研的每一步提供支持。若我们的产品未能达到预期性能,我们向您提供 Abcam Product Promise 保障。
详情请参阅我们的条款与条件。

Please note: All products are 'FOR RESEARCH USE ONLY. NOT FOR USE IN DIAGNOSTIC OR THERAPEUTIC PROCEDURES'.

For licensing inquiries, please contact partnerships@abcam.com