JavaScript is disabled in your browser. Please enable JavaScript to view this website.
AB16660

Anti-Estrogen Receptor alpha 抗体 [SP1]

Anti-Estrogen Receptor alpha antibody [SP1]

  • BOND RX™ Validated
  • RabMAb
  • Recombinant
  • Lab Essentials
  • Advanced Validation
  • 了解详情

4

(7 Reviews)

|

(62 Publications)

Anti-Estrogen Receptor alpha antibody [SP1] (ab16660) is a rabbit monoclonal antibody detecting Estrogen Receptor alpha in Western Blot, Flow Cytometry (Intra), Flow Cytometry, IHC-P, ICC/IF, mIHC. Suitable for Human.

- Multiplex IHC validated on the Leica BOND® MAX using Opal reagents
- Biophysical QC for unrivalled batch-batch consistency
- Over 60 publications
- Trusted since 2005

查看别名

ESR, NR3A1, ESR1, Estrogen receptor, ER, ER-alpha, Estradiol receptor, Nuclear receptor subfamily 3 group A member 1

15 Images
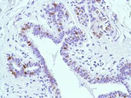
Immunohistochemistry (Formalin/PFA-fixed paraffin-embedded sections) - Anti-Estrogen Receptor alpha antibody [SP1] (AB16660)
  • IHC-P

Supplier Data

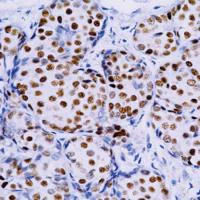
Immunohistochemistry (Formalin/PFA-fixed paraffin-embedded sections) - Anti-Estrogen Receptor alpha antibody [SP1] (AB16660)

Formalin-fixed paraffin-embedded human breast ductal carcinoma tissue stained for Estrogen Receptor alpha using ab16660 at 1/200 dilution in immunohistochemical analysis.

This image was generated using the hybridoma version of the product.

Immunohistochemistry (Formalin/PFA-fixed paraffin-embedded sections) - Anti-Estrogen Receptor alpha antibody [SP1] (AB16660)
  • IHC-P

Supplier Data

Immunohistochemistry (Formalin/PFA-fixed paraffin-embedded sections) - Anti-Estrogen Receptor alpha antibody [SP1] (AB16660)

Formalin-fixed paraffin-embedded human breast tissue stained for Estrogen Receptor alpha using ab16660 at 1/200 dilution in immunohistochemical analysis.

This image was generated using the hybridoma version of the product.

Immunohistochemistry (Formalin/PFA-fixed paraffin-embedded sections) - Anti-Estrogen Receptor alpha antibody [SP1] (AB16660)
  • IHC-P

Unknown

Immunohistochemistry (Formalin/PFA-fixed paraffin-embedded sections) - Anti-Estrogen Receptor alpha antibody [SP1] (AB16660)

Human breast carcinoma stained with ab16660.

This image was generated using the hybridoma version of the product.

Immunohistochemistry (Formalin/PFA-fixed paraffin-embedded sections) - Anti-Estrogen Receptor alpha antibody [SP1] (AB16660)
  • IHC-P

Lab

Immunohistochemistry (Formalin/PFA-fixed paraffin-embedded sections) - Anti-Estrogen Receptor alpha antibody [SP1] (AB16660)

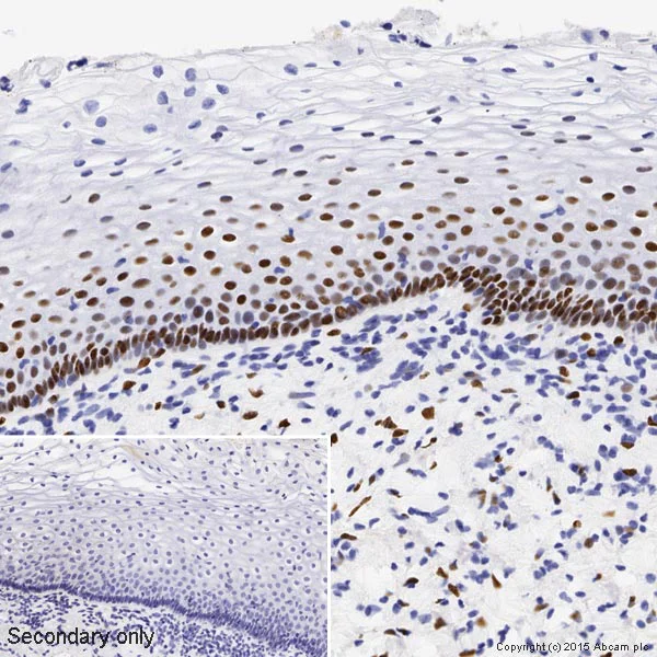
IHC image of ab16660 staining Estrogen Receptor alpha in normal human cervix formalin-fixed paraffin-embedded tissue sections* performed on a Leica Bond. The section was pre-treated using heat mediated antigen retrieval with sodium citrate buffer (pH6 epitope retrieval solution 1) for 20 mins. The section was then incubated with ab16660 1/250 dilution for 15 mins at room temperature and detected using an HRP conjugated compact polymer system. DAB was used as the chromogen. The section was then counterstained with haematoxylin and mounted with DPX. No primary antibody was used in the negative control (shown on the inset).

This image was generated using the hybridoma version of the product.

For other IHC staining systems (automated and non-automated) customers should optimize variable parameters such as antigen retrieval conditions primary antibody concentration and antibody incubation times.

*Tissue obtained from the Human Research Tissue Bank supported by the NIHR Cambridge Biomedical Research Centre

Immunohistochemistry (Formalin/PFA-fixed paraffin-embedded sections) - Anti-Estrogen Receptor alpha antibody [SP1] (AB16660)
  • IHC-P

Supplier Data

Immunohistochemistry (Formalin/PFA-fixed paraffin-embedded sections) - Anti-Estrogen Receptor alpha antibody [SP1] (AB16660)

Formalin-fixed paraffin-embedded human breast carcinoma tissue stained for Estrogen Receptor alpha using ab16660 at 1/200 dilution in immunohistochemical analysis.

This image was generated using the hybridoma version of the product.

Immunohistochemistry (Formalin/PFA-fixed paraffin-embedded sections) - Anti-Estrogen Receptor alpha antibody [SP1] (AB16660)
  • IHC-P

Supplier Data

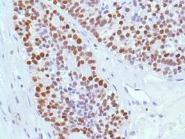
Immunohistochemistry (Formalin/PFA-fixed paraffin-embedded sections) - Anti-Estrogen Receptor alpha antibody [SP1] (AB16660)

Formalin-fixed paraffin-embedded human ovarian adenocarcinoma tissue stained for Estrogen Receptor alpha using ab16660 at 1/200 dilution in immunohistochemical analysis.

This image was generated using the hybridoma version of the product.

Multiplex immunohistochemistry - Anti-Estrogen Receptor alpha antibody [SP1] (AB16660)
  • mIHC

Supplier Data

Multiplex immunohistochemistry - Anti-Estrogen Receptor alpha antibody [SP1] (AB16660)

Multiplex immunohistochemistry (Formalin/PFA-fixed paraffin-embedded sections) analysis of Human triple-positive breast carcinoma tissue sections labeling Estrogen Receptor (ER) with ab16660, at a 1/200 dilution ( 0.07 μg/ml). Heat mediated antigen retrieval with Citrate buffer (pH 6.0, epitope retrieval solution 1) for 20 mins and Opal Polymer HRP Ms + Rb was used as the secondary antibody. DAPI was used as the nuclear counterstain. Panel A : merged staining of anti-Progesterone Receptor (PR) (magenta; Opal™690), anti-HER2 (red; Opal™570) and anti-Estrogen Receptor (ER) (green; Opal™520) on human triple-positive breast carcinoma. Panel B : anti-PR stained on nucleus of cancer cells. Panel C : anti-HER2 stained on membrane of cancer cells. Panel D : anti-ER stained on nucleus of cancer cells. The section was incubated in three rounds of staining : in the order of ab16661 for 30 mins, then ab16660 and ab231438 for 10 mins at room temperature. Each round was followed by a separate fluorescent tyramide signal amplification system. The immunostaining was performed on a Leica Biosystems BOND® RX instrument with an Opal™ 4-color kit. Image acquisition was performed with Leica SP8 confocal microscope.

Multiplex immunohistochemistry - Anti-Estrogen Receptor alpha antibody [SP1] (AB16660)
  • mIHC

Supplier Data

Multiplex immunohistochemistry - Anti-Estrogen Receptor alpha antibody [SP1] (AB16660)

Multiplex immunohistochemistry (Formalin/PFA-fixed paraffin-embedded sections) analysis of Human mammary gland tissue sections labeling Estrogen Receptor (ER) with ab16660, at a 1/200 dilution ( 0.07 μg/ml). Heat mediated antigen retrieval with Citrate buffer (pH 6.0, epitope retrieval solution 1) for 20 mins and Opal Polymer HRP Ms + Rb was used as the secondary antibody. DAPI was used as the nuclear counterstain. Panel A : merged staining of anti-Progesterone Receptor (PR) (magenta; Opal™690), anti-HER2 (red; Opal™570) and anti-Estrogen Receptor (ER) (green; Opal™520) on human mammary gland. Panel B : anti-PR stained on nucleus of some ductal cells. Panel C : anti-HER2 stained on no cells. Panel D : anti-ER stained on nucleus of some ductal cells. The section was incubated in three rounds of staining : in the order of ab16661 for 30 mins, then ab16660 and ab231438 for 10 mins at room temperature. Each round was followed by a separate fluorescent tyramide signal amplification system. The immunostaining was performed on a Leica Biosystems BOND® RX instrument with an Opal™ 4-color kit. Image acquisition was performed with Leica SP8 confocal microscope.

Multiplex immunohistochemistry - Anti-Estrogen Receptor alpha antibody [SP1] (AB16660)
  • mIHC

Supplier Data

Multiplex immunohistochemistry - Anti-Estrogen Receptor alpha antibody [SP1] (AB16660)

Multiplex immunohistochemistry (Formalin/PFA-fixed paraffin-embedded sections) analysis of Human triple-negative breast carcinoma tissue sections labeling Estrogen Receptor (ER) with ab16660, at a 1/200 dilution ( 0.07 μg/ml). Heat mediated antigen retrieval with Citrate buffer (pH 6.0, epitope retrieval solution 1) for 20 mins and Opal Polymer HRP Ms + Rb was used as the secondary antibody. DAPI was used as the nuclear counterstain. Panel A : merged staining of anti-Progesterone Receptor (PR) (magenta; Opal™690), anti-HER2 (red; Opal™570) and anti-Estrogen Receptor (ER) (green; Opal™520) on human triple-negative breast carcinoma. Panel B : anti-PR stained on no cells. Panel C : anti-HER2 stained on no cells. Panel D : anti-ER stained on no cells. The section was incubated in three rounds of staining : in the order of ab16661 for 30 mins, then ab16660 and ab231438 for 10 mins at room temperature. Each round was followed by a separate fluorescent tyramide signal amplification system. The immunostaining was performed on a Leica Biosystems BOND® RX instrument with an Opal™ 4-color kit. Image acquisition was performed with Leica SP8 confocal microscope.

Western blot - Anti-Estrogen Receptor alpha antibody [SP1] (AB16660)
  • WB

Lab

Western blot - Anti-Estrogen Receptor alpha antibody [SP1] (AB16660)

Blocking and diluting buffer and concentration : 5% NFDM/TBST.

The expression profile/molecular weight observed is consistent with what has been described in the literature (PMID : 16165085, PMID : 31036290). The identity of the lower MW band below 37kDa is unknown.

All lanes:

Western blot - Anti-Estrogen Receptor alpha antibody [SP1] (ab16660) at 1/1000 dilution

All lanes:

T-47D (human mammary gland ductal carcinoma epithelial cell) whole cell lysates at 20 µg

Secondary

All lanes:

Western blot - Goat Anti-Rabbit IgG H&L (HRP) (<a href='/products/secondary-antibodies/goat-rabbit-igg-h-l-hrp-ab97051'>ab97051</a>) at 1/20000 dilution

Observed band size: 46-66 kDa

false

Exposure time: 180s

Immunohistochemistry (Formalin/PFA-fixed paraffin-embedded sections) - Anti-Estrogen Receptor alpha antibody [SP1] (AB16660)
  • IHC-P

Supplier Data

Immunohistochemistry (Formalin/PFA-fixed paraffin-embedded sections) - Anti-Estrogen Receptor alpha antibody [SP1] (AB16660)

Tissue Microarrays stained for Anti-Estrogen Receptor alpha antibody [SP1] using ab16660 in immunohistochemical analysis. This table provides a detailed overview of positive (tick mark) and negaive (cross mark) staining per sample type tested. The section was incubated with ab16660 for 10 mins at room temperature followed by a ready to use Rabbit specific IHC polymer detection kit HRP/DAB (ab209101). The immunostaining was performed on a Leica Biosystems BOND® RX instrument. Heat mediated antigen retrieval was performed with Citrate buffer (pH 6.0, Epitope Retrieval Solution 1) for 10 mins.

Flow Cytometry (Intracellular) - Anti-Estrogen Receptor alpha antibody [SP1] (AB16660)
  • Flow Cyt (Intra)

Unknown

Flow Cytometry (Intracellular) - Anti-Estrogen Receptor alpha antibody [SP1] (AB16660)

Intracellular flow cytometry analysis of MCF7 (human breast adenocarcinoma epithelial cell) labeling Estrogen Receptor alpha with purified ab16660 at 1/200 dilution (1.06 μg/ml) (red). Cells were fixed with 4% paraformaldehyde and permeabilised with 90% methanol. Goat anti rabbit IgG (Alexa Fluor® 488 ab150077) at 1/2000 dilution was used as a secondary antibody. Isotype control - Rabbit monoclonal IgG (ab172730) (black). Unlableled control - Unlabelled cells (blue).This image was generated using the hybridoma version of the product.

Immunocytochemistry/ Immunofluorescence - Anti-Estrogen Receptor alpha antibody [SP1] (AB16660)
  • ICC/IF

Unknown

Immunocytochemistry/ Immunofluorescence - Anti-Estrogen Receptor alpha antibody [SP1] (AB16660)

Immunocytochemistry/ Immunofluorescence analysis of MCF7 (human breast adenocarcinoma epithelial cell) cells labeling Estrogen Receptor alpha with purified ab16660 at 1/25 dilution (8.5 μg/ml). Cells were fixed in 100% Methanol. Cells were counterstained with ab195889 Anti-alpha Tubulin antibody [DM1A] - Microtubule Marker (Alexa Fluor® 594) at 1/200 dilution (2.5 μg/ml). Goat anti rabbit IgG (Alexa Fluor® 488 ab150077) was used as the secondary antibody at 1/1000 (2 μg/ml) dilution. DAPI was used as nuclear counterstain. PBS instead of the primary antibody was used as the secondary antibody only control.

This image was generated using the hybridoma version of the product.

Immunocytochemistry/ Immunofluorescence - Anti-Estrogen Receptor alpha antibody [SP1] (AB16660)
  • ICC/IF

Lab

Immunocytochemistry/ Immunofluorescence - Anti-Estrogen Receptor alpha antibody [SP1] (AB16660)

ab16660 staining Estrogen Receptor alpha in MCF7 cells. The cells were fixed with 4% formaldehyde (10min) permeabilized with 0.1% Triton X-100 for 5 minutes and then blocked with 1% BSA/10% normal goat serum/0.3M glycine in 0.1% PBS-Tween for 1h. The cells were then incubated overnight at +4°C with ab16660 at 1/250 dilution (shown in green) and ab195889 Mouse monoclonal [DM1A] to alpha Tubulin (Alexa Fluor® 594) at 2μg/ml (shown in red). Nuclear DNA was labelled with DAPI (shown in blue).
Image was taken with a confocal microscope (Leica-Microsystems TCS SP8).

This image was generated using the hybridoma version of the product.

Western blot - Anti-Estrogen Receptor alpha antibody [SP1] (AB16660)
  • WB

CiteAb

Western blot - Anti-Estrogen Receptor alpha antibody [SP1] (AB16660)

Estrogen Receptor alpha western blot using anti-Estrogen Receptor alpha antibody [SP1] ab16660. Publication image and figure legend from Kangaspeska, S., Hultsch, S., et al., 2016, BMC Cancer, PubMed 27378269.

ab16660 was used in this publication in western blot. This may not be the same as the application(s) guaranteed by Abcam. For a full list of applications guaranteed by Abcam for ab16660 please see the product overview.

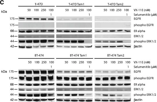
Tamoxifen-resistant cells develop common drug sensitivities and co-resistances. a Venn diagrams illustrate shared drug sensitivities and co-resistances of drugs with a DSS difference of at least 5. b Rank-product analysis of Drug Sensitivity Scores (DSS) between tamoxifen-resistant and parental cell lines identified statistically significant shared sensitizing and desensitizing drugs. c Western blot of EGFR, pEGFR, ERK1/2, pERK1/2, ERα and βactin under increasing concentrations of VX-11E and 1 μM selumetinib of T-47D and BT-474 isogenic cell lines. Resistant cell lines were cultured in media supplemented with 1 μM tamoxifen

false

不同偶联物与剂型 (9)

  • 665 Alexa Fluor® 647

    Alexa Fluor® 647 Anti-Estrogen Receptor alpha antibody [SP1]

  • Carrier free

    Anti-Estrogen Receptor alpha antibody [SP1] - BSA and Azide free

  • 578 PE

    PE Anti-Estrogen Receptor alpha antibody [SP1]

  • 660 APC

    APC Anti-Estrogen Receptor alpha antibody [SP1]

  • HRP

    HRP Anti-Estrogen Receptor alpha antibody [SP1]

  • 603 Alexa Fluor® 568

    Alexa Fluor® 568 Anti-Estrogen Receptor alpha antibody [SP1]

  • 617 Alexa Fluor® 594

    Alexa Fluor® 594 Anti-Estrogen Receptor alpha antibody [SP1]

  • 565 Alexa Fluor® 555

    Alexa Fluor® 555 Anti-Estrogen Receptor alpha antibody [SP1]

  • 775 Alexa Fluor® 750

    Alexa Fluor® 750 Anti-Estrogen Receptor alpha antibody [SP1]

关键信息

宿主种属

Rabbit

克隆

Monoclonal

克隆号

SP1

亚型

IgG

不含载体蛋白

No

反应种属

Human

应用

WB, ICC/IF, Flow Cyt (Intra), IHC-P, mIHC

applications

免疫原

The exact immunogen used to generate this antibody is proprietary information.

表位

C-terminal

反应性数据

{ "title": "Reactivity Data", "filters": { "stats": ["", "Species", "Dilution Info", "Notes"], "tabs": { "all-applications": {"fullname" : "All Applications", "shortname": "All Applications"}, "IHCP" : {"fullname" : "Immunohistochemistry (Formalin/PFA-fixed paraffin-embedded sections)", "shortname":"IHC-P"}, "WB" : {"fullname" : "Western blot", "shortname":"WB"}, "mIHC" : {"fullname" : "Multiplex immunohistochemistry", "shortname":"mIHC"}, "ICCIF" : {"fullname" : "Immunocytochemistry/ Immunofluorescence", "shortname":"ICC/IF"}, "FlowCytIntra" : {"fullname" : "Flow Cytometry (Intracellular)", "shortname":"Flow Cyt (Intra)"} }, "product-promise": { "all": "all", "testedAndGuaranteed": "tested", "guaranteed": "expected", "predicted": "predicted", "notRecommended": "not-recommended" } }, "values": { "Human": { "IHCP-species-checked": "testedAndGuaranteed", "IHCP-species-dilution-info": "1/200", "IHCP-species-notes": "<p></p>", "WB-species-checked": "testedAndGuaranteed", "WB-species-dilution-info": "1/25", "WB-species-notes": "<p>Incubate for 1 hour at room temperature.</p>", "mIHC-species-checked": "testedAndGuaranteed", "mIHC-species-dilution-info": "1/200", "mIHC-species-notes": "<p></p>", "ICCIF-species-checked": "testedAndGuaranteed", "ICCIF-species-dilution-info": "1/25 - 1/250", "ICCIF-species-notes": "<p></p>", "FlowCytIntra-species-checked": "testedAndGuaranteed", "FlowCytIntra-species-dilution-info": "1/200", "FlowCytIntra-species-notes": "<p></p>" }, "Mouse": { "IHCP-species-checked": "notRecommended", "IHCP-species-dilution-info": "", "IHCP-species-notes": "<p></p>", "WB-species-checked": "notRecommended", "WB-species-dilution-info": "1/25", "WB-species-notes": "<p>Incubate for 1 hour at room temperature.</p>", "mIHC-species-checked": "predicted", "mIHC-species-dilution-info": "", "mIHC-species-notes": "", "ICCIF-species-checked": "predicted", "ICCIF-species-dilution-info": "", "ICCIF-species-notes": "", "FlowCytIntra-species-checked": "predicted", "FlowCytIntra-species-dilution-info": "", "FlowCytIntra-species-notes": "" }, "Rat": { "IHCP-species-checked": "notRecommended", "IHCP-species-dilution-info": "", "IHCP-species-notes": "", "WB-species-checked": "notRecommended", "WB-species-dilution-info": "1/25", "WB-species-notes": "<p>Incubate for 1 hour at room temperature.</p>", "mIHC-species-checked": "notRecommended", "mIHC-species-dilution-info": "", "mIHC-species-notes": "", "ICCIF-species-checked": "notRecommended", "ICCIF-species-dilution-info": "", "ICCIF-species-notes": "", "FlowCytIntra-species-checked": "notRecommended", "FlowCytIntra-species-dilution-info": "", "FlowCytIntra-species-notes": "" } } }

您可能对以下产品感兴趣:

AB207203

Estrogen Receptor Transcription Factor Assay Kit (Colorimetric)

0

0 Reviews

查看产品
为什么推荐这个?

我们推荐这个产品,因为它经常被用于相同的实验或相关的研究。

我们建议您务必查阅产品说明书,以确认其是否符合您的实验需求;若有疑问,也可联系我们的技术团队获取协助。

产品详情

性能和储存信息

形式
Liquid
纯化工艺
Affinity purification Protein A
存储溶液
pH: 7.2 - 7.4 Preservative: 0.1% Sodium azide Constituents: PBS, 1% BSA
运输条件
Blue Ice
推荐的短期储存时间
1-2 weeks
推荐的短期储存条件
+4°C
推荐的长期储存条件
-20°C
分装信息
Upon delivery aliquot
储存信息
Avoid freeze / thaw cycle

补充信息

This supplementary information is collated from multiple sources and compiled automatically.

Estrogen Receptor alpha (ER alpha) also known by the gene symbol ESR1 and the antibody clone names 6F11 is a nuclear hormone receptor with a molecular weight of approximately 66 kDa. It functions in the regulation of gene expression by binding to estrogen response elements (EREs) within DNA. This receptor is expressed in various tissues including breast ovary uterus and brain. ER alpha plays an important role in the physiological effects of estrogens impacting the development and maintenance of female reproductive tissues and secondary sexual characteristics.
Biological function summary

Estrogen Receptor alpha functions as part of a large transcriptional complex. Upon binding estrogen it undergoes a conformational change that allows interaction with other transcriptional regulators like ER SP1. This interaction facilitates the recruitment of coactivators or corepressors influencing the transcription of target genes involved in proliferation differentiation and cell survival. It is critical in mediating estrogen signaling pathways that contribute to normal development and function of female reproductive organs as well as cardiovascular and skeletal systems.

Pathways

Estrogen Receptor alpha engages in estrogen signaling and PI3K/AKT pathways. In estrogen signaling ER alpha interacts with proteins such as AP1 enhancing transcriptional activity related to cell growth and survival. Within the PI3K/AKT pathway ER alpha coordinates with proteins like SRC promoting cell proliferation and survival. Its actions in these pathways impact a wide variety of cellular processes influencing tissue homeostasis and growth regulation.

Estrogen Receptor alpha is linked to breast cancer and osteoporosis. In breast cancer ER alpha expression is a significant factor in tumor development and progression often determining the response to hormonal treatments like tamoxifen. It collaborates with proteins like HER2 in some breast cancer subtypes affecting disease outcomes. In osteoporosis altered estrogen signaling through ER alpha leads to reduced bone density highlighting its important role in maintaining bone health and its potential as a therapeutic target.

产品实验方案

For this product, it's our understanding that no specific protocols are required. You can visit:

靶点信息

The protein expressed by the gene ESR1 functions as a nuclear hormone receptor involved in regulating eukaryotic gene expression, affecting cellular proliferation and differentiation in target tissues. It mediates ligand-dependent nuclear transactivation either through direct homodimer binding to estrogen response elements (ERE) or by associating with other transcription factors like AP-1/c-Jun, c-Fos, ATF-2, Sp1, and Sp3, allowing ERE-independent signaling. Ligand binding triggers a conformational change, facilitating the interaction with coactivator complexes through LXXLL motifs. This interaction leads to mutual transrepression with NF-kappa-B in a cell-type-specific manner, reducing NF-kappa-B DNA-binding activity and transcription from the IL6 promoter while displacing coregulators like RELA/p65. It can antagonistically or synergistically interact with NF-kappa-B for transcription activation, involving recruitment to adjacent response elements, working with CREBBP. Additionally, it activates the transcription of TFF1 and mediates membrane-initiated signaling through kinase cascades. It's crucial for MTA1-mediated transcriptional regulation of BRCA1 and BCAS3. Isoform 3 specifically activates NOS3 and endothelial nitric oxide production, while isoforms lacking certain functional domains modulate transcriptional activity by competitive ligand or DNA binding and heterodimerization with the full-length receptor, capable of binding to ERE and inhibiting isoform 1. This supplementary information is collated from multiple sources and compiled automatically.
See full target information ESR1

文献 (62)

Recent publications for all applications. Explore the full list and refine your search

Fujita medical journal 9:236-239 PubMed37554941

2023

A clinicopathological analysis of forkhead box A1 (FOXA1) and estrogen receptor alpha expression in extramammary Paget's disease.

Applications

Unspecified application

Species

Unspecified reactive species

Chiho Sumitomo,Yohei Iwata,Masaru Arima,Kazumitsu Sugiura

JCI insight 8: PubMed36729672

2023

The different natural estrogens promote endothelial healing through distinct cell targets.

Applications

Unspecified application

Species

Unspecified reactive species

Morgane Davezac,Rana Zahreddine,Melissa Buscato,Natalia F Smirnova,Chanaelle Febrissy,Henrik Laurell,Silveric Gilardi-Bresson,Marine Adlanmerini,Philippe Liere,Gilles Flouriot,Rachida Guennoun,Muriel Laffargue,Jean-Michel Foidart,Françoise Lenfant,Jean-François Arnal,Raphaël Métivier,Coralie Fontaine

Journal of oncology 2022:9390912 PubMed36046364

2022

Combining Organoid Models with Next-Generation Sequencing to Reveal Tumor Heterogeneity and Predict Therapeutic Response in Breast Cancer.

Applications

Unspecified application

Species

Unspecified reactive species

Yuhong Liu,Yixiang Gan,NiJiati AiErken,Wei Chen,Shiwei Zhang,Jie Ouyang,Leli Zeng,Di Tang

Stem cell research & therapy 13:17 PubMed35022063

2022

Human amniotic mesenchymal stem cells combined with PPCNg facilitate injured endometrial regeneration.

Applications

Unspecified application

Species

Unspecified reactive species

Jiayue Huang,Wenwen Zhang,Jie Yu,Yating Gou,Nizhou Liu,Tingting Wang,Congcong Sun,Benyuan Wu,Changjiang Li,Xinpei Chen,Yanhua Mao,Yingfeng Zhang,Jia Wang

Cancers 13: PubMed34944995

2021

Influence of Estrogen Treatment on and Cells in ER Breast Cancer: Insights from Single-Cell Analysis of Patient-Derived Xenograft Models.

Applications

Unspecified application

Species

Unspecified reactive species

Hitomi Mori,Kohei Saeki,Gregory Chang,Jinhui Wang,Xiwei Wu,Pei-Yin Hsu,Noriko Kanaya,Xiaoqiang Wang,George Somlo,Masafumi Nakamura,Andrea Bild,Shiuan Chen

Oncology letters 23:9 PubMed34820008

2021

Role of Lamin A and emerin in maintaining nuclear morphology in different subtypes of ovarian epithelial cancer.

Applications

Unspecified application

Species

Unspecified reactive species

Shiori Watabe,Sayaka Kobayashi,Mizuho Hatori,Yoshimi Nishijima,Naoki Inoue,Hayato Ikota,Akira Iwase,Hideaki Yokoo,Masanao Saio

Advanced science (Weinheim, Baden-Wurttemberg, Germany) 8:e2101176 PubMed34605222

2021

Patient-Derived Organoids Can Guide Personalized-Therapies for Patients with Advanced Breast Cancer.

Applications

Unspecified application

Species

Unspecified reactive species

Ping Chen,Xu Zhang,Renbo Ding,Linglin Yang,Xueying Lyu,Jianming Zeng,Josh Haipeng Lei,Lijian Wang,Jiong Bi,Nan Shao,Ditian Shu,Bin Wu,Jingbo Wu,Zhihui Yang,Haiyan Wang,Biqiong Wang,Kang Xiong,Yun Lu,Shaozhi Fu,Tak Kan Choi,Ng Wai Lon,Aiping Zhang,Dongyang Tang,Yingyao Quan,Ya Meng,Kai Miao,Heng Sun,Ming Zhao,Jiaolin Bao,Lei Zhang,Xiaoling Xu,Yanxia Shi,Ying Lin,Chuxia Deng

Frontiers in cell and developmental biology 9:728057 PubMed34589491

2021

Hlf Expression Marks Early Emergence of Hematopoietic Stem Cell Precursors With Adult Repopulating Potential and Fate.

Applications

Unspecified application

Species

Unspecified reactive species

Wanbo Tang,Jian He,Tao Huang,Zhijie Bai,Chaojie Wang,Haizhen Wang,Ruichuang Yang,Yanli Ni,Jun Hou,Junliang Wang,Jie Zhou,Yingpeng Yao,Yandong Gong,Siyuan Hou,Bing Liu,Yu Lan

Journal of orthopaedics 27:1-8 PubMed34413582

2021

Estrogen receptor Alpha in human knee articular cartilage of healthy and osteoarthritic females.

Applications

Unspecified application

Species

Unspecified reactive species

Marissa L Hughbanks,Francisco Rodriguez-Fontan,Christopher J Kleck,Evalina Burger-Van der Walt

PLoS biology 19:e3001200 PubMed33999917

2021

Ventricular, atrial, and outflow tract heart progenitors arise from spatially and molecularly distinct regions of the primitive streak.

Applications

Unspecified application

Species

Unspecified reactive species

Kenzo Ivanovitch,Pablo Soro-Barrio,Probir Chakravarty,Rebecca A Jones,Donald M Bell,S Neda Mousavy Gharavy,Despina Stamataki,Julien Delile,James C Smith,James Briscoe
View all publications

Abcam Product Promise

我们致力于为您的研究提供高质量的试剂,为您科研的每一步提供支持。若我们的产品未能达到预期性能,我们向您提供 Abcam Product Promise 保障。
详情请参阅我们的条款与条件。

关联产品

Select an associated product type
Alternative Product
Primary Antibodies

AB167610

Anti-Estrogen Receptor alpha antibody [EPR4097] - BSA and Azide free

primary-antibodies

estrogen-receptor-alpha-antibody-epr4097-bsa-and-azide-free-ab167610

5

(2 reviews)

Alternative Product
Primary Antibodies

AB32063

Anti-Estrogen Receptor alpha antibody [E115] - ChIP Grade

primary-antibodies

estrogen-receptor-alpha-antibody-e115-chip-grade-ab32063

4

(21 reviews)

Alternative Product
Primary Antibodies

AB108398

Anti-Estrogen Receptor alpha antibody [EPR4097]

primary-antibodies

estrogen-receptor-alpha-antibody-epr4097-ab108398

5

(12 reviews)

Alternative Product
Primary Antibodies

AB79413

Anti-Estrogen Receptor alpha antibody [EPR703(2)]

primary-antibodies

estrogen-receptor-alpha-antibody-epr7032-ab79413

4

(7 reviews)

Alternative Product
Primary Antibodies

AB32396

Anti-Estrogen Receptor alpha (phospho S118) antibody [E91]

primary-antibodies

estrogen-receptor-alpha-phospho-s118-antibody-e91-ab32396

4

(2 reviews)

Please note: All products are 'FOR RESEARCH USE ONLY. NOT FOR USE IN DIAGNOSTIC OR THERAPEUTIC PROCEDURES'.

For licensing inquiries, please contact partnerships@abcam.com