JavaScript is disabled in your browser. Please enable JavaScript to view this website.
AB76299

重组Anti-Erk1 (pT202/pY204) + Erk2 (pT185/pY187)抗体[EP197Y]

Anti-Erk1 (pT202/pY204) + Erk2 (pT185/pY187) antibody [EP197Y]

  • RabMAb
  • Recombinant
  • Lab Essentials
  • 20ul selling size
  • 了解详情

Be the first to review this product! Submit a review

|

(96 Publications)

Rabbit Recombinant Monoclonal ERK1 phospho T202 + Y204 antibody. Suitable for IP, Dot, WB, ELISA and reacts with Rat, Human, Mouse, Synthetic peptide samples. Cited in 96 publications.

查看别名

ERK1, PRKM3, MAPK3, Mitogen-activated protein kinase 3, MAP kinase 3, MAPK 3, ERT2, Extracellular signal-regulated kinase 1, Insulin-stimulated MAP2 kinase, MAP kinase isoform p44, Microtubule-associated protein 2 kinase, p44-ERK1, ERK-1, p44-MAPK

9 Images
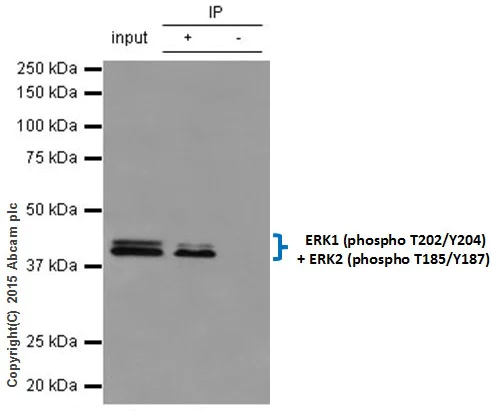
Immunoprecipitation - Anti-Erk1 (pT202/pY204) + Erk2 (pT185/pY187) antibody [EP197Y] (AB76299)
  • IP

Unknown

Immunoprecipitation - Anti-Erk1 (pT202/pY204) + Erk2 (pT185/pY187) antibody [EP197Y] (AB76299)

ab76299 at 1/80 immunoprecipitating Erk1 (pT202/pY204) + Erk2 (pT185/pY187) in A431 whole cell lysate.

Lane 1 (input) : A431 whole cell lysate - treated with 100ng/ml EGF for 10 min (10μg).

Lane 2 (+) : ab76299 + A431 whole cell lysate - treated with 100ng/ml EGF for 10 min.

Lane 3 (-) : Rabbit monoclonal IgG (ab172730) instead of ab76299 in A431 whole cell lysate - treated with 100ng/ml EGF for 10 min.

For western blotting, ab76299 was used at a dilution of 1/1000 and a HRP-conjugated anti-rabbit IgG, specific to the non-reduced form of IgG, was used as the secondary antibody (1/1500).

Blocking and dilution buffer : 5% NFDM/TBST.

All lanes:

Immunoprecipitation - Anti-Erk1 (pT202/pY204) + Erk2 (pT185/pY187) antibody [EP197Y] (ab76299)

Observed band size: 42 kDa,44 kDa

false

Exposure time: 3s

Immunoprecipitation - Anti-Erk1 (pT202/pY204) + Erk2 (pT185/pY187) antibody [EP197Y] (AB76299)
  • IP

Unknown

Immunoprecipitation - Anti-Erk1 (pT202/pY204) + Erk2 (pT185/pY187) antibody [EP197Y] (AB76299)

ab76299 at 1/80 immunoprecipitating Erk1 (pT202/pY204) + Erk2 (pT185/pY187) in PC-12 whole cell lysate.

Lane 1 (input) : PC-12 whole cell lysate - treated with 100ng/ml NGF for 10 min (10μg).

Lane 2 (+) : ab76299 + PC-12 whole cell lysate - treated with 100ng/ml NGF for 10 min.

Lane 3 (-) : Rabbit monoclonal IgG (ab172730) instead of ab76299 in PC-12 whole cell lysate - treated with 100ng/ml NGF for 10 min.

For western blotting, ab76299 was used at a dilution of 1/1000 and a HRP-conjugated anti-rabbit IgG, specific to the non-reduced form of IgG, was used as the secondary antibody (1/1500).

Blocking and dilution buffer : 5% NFDM/TBST.

All lanes:

Immunoprecipitation - Anti-Erk1 (pT202/pY204) + Erk2 (pT185/pY187) antibody [EP197Y] (ab76299)

Observed band size: 42 kDa,44 kDa

false

Exposure time: 1s

Western blot - Anti-Erk1 (pT202/pY204) + Erk2 (pT185/pY187) antibody [EP197Y] (AB76299)
  • WB

Lab

Western blot - Anti-Erk1 (pT202/pY204) + Erk2 (pT185/pY187) antibody [EP197Y] (AB76299)

Blocking and dilution buffer : 5% NFDM/TBST.

All lanes:

Western blot - Anti-Erk1 (pT202/pY204) + Erk2 (pT185/pY187) antibody [EP197Y] (ab76299) at 1/5000 dilution

Lane 1:

A431 whole cell lysate - untreated at 10 µg

Lane 2:

A431 whole cell lysate - treated with 100ng/ml EGF for 10 minutes at 10 µg

Secondary

All lanes:

Western blot - Goat Anti-Rabbit IgG H&L (HRP) (<a href='/products/secondary-antibodies/goat-rabbit-igg-h-l-hrp-ab97051'>ab97051</a>) at 1/50000 dilution

Predicted band size: 41 kDa,43 kDa

Observed band size: 42 kDa,44 kDa

false

Exposure time: 3min

Western blot - Anti-Erk1 (pT202/pY204) + Erk2 (pT185/pY187) antibody [EP197Y] (AB76299)
  • WB

Lab

Western blot - Anti-Erk1 (pT202/pY204) + Erk2 (pT185/pY187) antibody [EP197Y] (AB76299)

Blocking and dilution buffer : 5% NFDM/TBST.

All lanes:

Western blot - Anti-Erk1 (pT202/pY204) + Erk2 (pT185/pY187) antibody [EP197Y] (ab76299) at 1/10000 dilution

Lane 1:

SH-SY5Y whole cell lysate - untreated at 10 µg

Lane 2:

SH-SY5Y whole cell lysate - treated with 100ng/ml NGF for 10 minutes at 10 µg

Secondary

All lanes:

Western blot - Goat Anti-Rabbit IgG H&L (HRP) (<a href='/products/secondary-antibodies/goat-rabbit-igg-h-l-hrp-ab97051'>ab97051</a>) at 1/50000 dilution

Predicted band size: 41 kDa,43 kDa

Observed band size: 42 kDa,44 kDa

false

Exposure time: 15s

Western blot - Anti-Erk1 (pT202/pY204) + Erk2 (pT185/pY187) antibody [EP197Y] (AB76299)
  • WB

Lab

Western blot - Anti-Erk1 (pT202/pY204) + Erk2 (pT185/pY187) antibody [EP197Y] (AB76299)

Blocking and dilution buffer : 5% NFDM/TBST.

All lanes:

Western blot - Anti-Erk1 (pT202/pY204) + Erk2 (pT185/pY187) antibody [EP197Y] (ab76299) at 1/10000 dilution

Lane 1:

HeLa whole cell lysate - untreated at 10 µg

Lane 2:

HeLa whole cell lysate - treated with Lambda Phosphatase at 10 µg

Secondary

All lanes:

Western blot - Goat Anti-Rabbit IgG H&L (HRP) (<a href='/products/secondary-antibodies/goat-rabbit-igg-h-l-hrp-ab97051'>ab97051</a>) at 1/50000 dilution

Predicted band size: 41 kDa,43 kDa

Observed band size: 42 kDa,44 kDa

false

Exposure time: 30s

Western blot - Anti-Erk1 (pT202/pY204) + Erk2 (pT185/pY187) antibody [EP197Y] (AB76299)
  • WB

Lab

Western blot - Anti-Erk1 (pT202/pY204) + Erk2 (pT185/pY187) antibody [EP197Y] (AB76299)

Blocking and dilution buffer : 5% NFDM/TBST.

All lanes:

Western blot - Anti-Erk1 (pT202/pY204) + Erk2 (pT185/pY187) antibody [EP197Y] (ab76299) at 1/10000 dilution

Lane 1:

PC-12 whole cell lysate - untreated at 10 µg

Lane 2:

PC-12 whole cell lysate - treated with 100ng/ml NGF for 10 minutes at 10 µg

Secondary

All lanes:

Western blot - Goat Anti-Rabbit IgG H&L (HRP) (<a href='/products/secondary-antibodies/goat-rabbit-igg-h-l-hrp-ab97051'>ab97051</a>) at 1/50000 dilution

Predicted band size: 41 kDa,43 kDa

Observed band size: 42 kDa,44 kDa

false

Exposure time: 15s

Western blot - Anti-Erk1 (pT202/pY204) + Erk2 (pT185/pY187) antibody [EP197Y] (AB76299)
  • WB

Lab

Western blot - Anti-Erk1 (pT202/pY204) + Erk2 (pT185/pY187) antibody [EP197Y] (AB76299)

Blocking and dilution buffer : 5% NFDM/TBST.

All lanes:

Western blot - Anti-Erk1 (pT202/pY204) + Erk2 (pT185/pY187) antibody [EP197Y] (ab76299) at 1/10000 dilution

All lanes:

NIH/3T3 whole cell lysate at 10 µg

Secondary

All lanes:

Western blot - Goat Anti-Rabbit IgG H&L (HRP) (<a href='/products/secondary-antibodies/goat-rabbit-igg-h-l-hrp-ab97051'>ab97051</a>) at 1/50000 dilution

Predicted band size: 41 kDa,43 kDa

Observed band size: 42 kDa,44 kDa

false

Exposure time: 3min

ELISA - Anti-Erk1 (pT202/pY204) + Erk2 (pT185/pY187) antibody [EP197Y] (AB76299)
  • ELISA

Unknown

ELISA - Anti-Erk1 (pT202/pY204) + Erk2 (pT185/pY187) antibody [EP197Y] (AB76299)

ELISA analysis of various phospho and non-phospho peptides (0-250 ng/ml) labelling Erk1 (pT202/pY204) + Erk2 (pT185/pY187) with ab76299 at a dilution of 1/1000. An Alkaline Phosphatase-conjugated goat anti-rabbit IgG (H+L) was used as the secondary antibody (1/2500).

ab76299 has stronger affinity for the double phospho peptide Y204/Y187 than to single phospho peptides T202 or Y204.

Dot Blot - Anti-Erk1 (pT202/pY204) + Erk2 (pT185/pY187) antibody [EP197Y] (AB76299)
  • Dot

Lab

Dot Blot - Anti-Erk1 (pT202/pY204) + Erk2 (pT185/pY187) antibody [EP197Y] (AB76299)

Dot blot analysis of single phospho peptide pT202 (Lane 1), single phospho peptide pY204 (Lane 2), double phospho peptide pT202/pY204 (Lane 3) and non-phospho peptide (Lane 4) labelling Erk1 (pT202/pY204) + Erk2 (p185/pY187) with ab76299 at a dilution of 1/1000. A peroxidase-conjugated goat anti-rabbit IgG (H+L) was used as the secondary antibody at a dilution of 1/1000.

Blocking and dilution buffer : 5% NFDM/TBST.

Exposure time : 3 minutes.

不同偶联物与剂型 (1)

  • Carrier free

    Anti-Erk1 (pT202/pY204) + Erk2 (pT185/pY187) antibody [EP197Y] - BSA and Azide free

关键信息

宿主种属

Rabbit

克隆

Monoclonal

克隆号

EP197Y

亚型

IgG

不含载体蛋白

No

反应种属

Mouse, Rat, Human

应用

ELISA, IP, WB, Dot

applications

免疫原

The exact immunogen used to generate this antibody is proprietary information.

特异性

This antibody detects Erk1 phosphorylated at Threonine 202 and Tyrosine 204 and Erk2 phosphorylated at Threonine 185 and Tyrosine 187.

反应性数据

{ "title": "Reactivity Data", "filters": { "stats": ["", "Species", "Dilution Info", "Notes"], "tabs": { "all-applications": {"fullname" : "All Applications", "shortname": "All Applications"}, "ICCIF" : {"fullname" : "Immunocytochemistry/ Immunofluorescence", "shortname":"ICC/IF"}, "IHCP" : {"fullname" : "Immunohistochemistry (Formalin/PFA-fixed paraffin-embedded sections)", "shortname":"IHC-P"}, "FlowCyt" : {"fullname" : "Flow Cytometry", "shortname":"Flow Cyt"}, "IP" : {"fullname" : "Immunoprecipitation", "shortname":"IP"}, "Dot" : {"fullname" : "Dot Blot", "shortname":"Dot"}, "WB" : {"fullname" : "Western blot", "shortname":"WB"}, "ELISA" : {"fullname" : "ELISA", "shortname":"ELISA"} }, "product-promise": { "all": "all", "testedAndGuaranteed": "tested", "guaranteed": "expected", "predicted": "predicted", "notRecommended": "not-recommended" } }, "values": { "Human": { "ICCIF-species-checked": "notRecommended", "ICCIF-species-dilution-info": "", "ICCIF-species-notes": "<p></p>", "IHCP-species-checked": "notRecommended", "IHCP-species-dilution-info": "", "IHCP-species-notes": "<p></p>", "FlowCyt-species-checked": "notRecommended", "FlowCyt-species-dilution-info": "", "FlowCyt-species-notes": "<p></p>", "IP-species-checked": "testedAndGuaranteed", "IP-species-dilution-info": "1/80", "IP-species-notes": "<p></p>", "Dot-species-checked": "guaranteed", "Dot-species-dilution-info": "", "Dot-species-notes": "", "WB-species-checked": "testedAndGuaranteed", "WB-species-dilution-info": "1/5000 - 1/10000", "WB-species-notes": "<p></p>", "ELISA-species-checked": "guaranteed", "ELISA-species-dilution-info": "", "ELISA-species-notes": "" }, "Mouse": { "ICCIF-species-checked": "notRecommended", "ICCIF-species-dilution-info": "", "ICCIF-species-notes": "<p></p>", "IHCP-species-checked": "notRecommended", "IHCP-species-dilution-info": "", "IHCP-species-notes": "<p></p>", "FlowCyt-species-checked": "notRecommended", "FlowCyt-species-dilution-info": "", "FlowCyt-species-notes": "<p></p>", "IP-species-checked": "guaranteed", "IP-species-dilution-info": "", "IP-species-notes": "", "Dot-species-checked": "guaranteed", "Dot-species-dilution-info": "", "Dot-species-notes": "", "WB-species-checked": "testedAndGuaranteed", "WB-species-dilution-info": "1/5000 - 1/10000", "WB-species-notes": "<p></p>", "ELISA-species-checked": "guaranteed", "ELISA-species-dilution-info": "", "ELISA-species-notes": "" }, "Rat": { "ICCIF-species-checked": "notRecommended", "ICCIF-species-dilution-info": "", "ICCIF-species-notes": "<p></p>", "IHCP-species-checked": "notRecommended", "IHCP-species-dilution-info": "", "IHCP-species-notes": "<p></p>", "FlowCyt-species-checked": "notRecommended", "FlowCyt-species-dilution-info": "", "FlowCyt-species-notes": "<p></p>", "IP-species-checked": "testedAndGuaranteed", "IP-species-dilution-info": "1/80", "IP-species-notes": "<p></p>", "Dot-species-checked": "guaranteed", "Dot-species-dilution-info": "", "Dot-species-notes": "", "WB-species-checked": "testedAndGuaranteed", "WB-species-dilution-info": "1/5000 - 1/10000", "WB-species-notes": "<p></p>", "ELISA-species-checked": "guaranteed", "ELISA-species-dilution-info": "", "ELISA-species-notes": "" }, "Synthetic peptide": { "ICCIF-species-checked": "notRecommended", "ICCIF-species-dilution-info": "", "ICCIF-species-notes": "", "IHCP-species-checked": "notRecommended", "IHCP-species-dilution-info": "", "IHCP-species-notes": "", "FlowCyt-species-checked": "notRecommended", "FlowCyt-species-dilution-info": "", "FlowCyt-species-notes": "", "IP-species-checked": "notRecommended", "IP-species-dilution-info": "", "IP-species-notes": "", "Dot-species-checked": "testedAndGuaranteed", "Dot-species-dilution-info": "", "Dot-species-notes": "<p></p>", "WB-species-checked": "notRecommended", "WB-species-dilution-info": "", "WB-species-notes": "", "ELISA-species-checked": "testedAndGuaranteed", "ELISA-species-dilution-info": "", "ELISA-species-notes": "<p></p>" } } }

产品详情

Patented technology
Our RabMAb® technology is a patented hybridoma-based technology for making rabbit monoclonal antibodies. For details on our patents, please refer to RabMAb® patents.

What are the advantages of a recombinant monoclonal antibody?
This product is a recombinant monoclonal antibody, which offers several advantages including:

  • - High batch-to-batch consistency and reproducibility
  • - Improved sensitivity and specificity
  • - Long-term security of supply
  • - Animal-free batch production

For more information, read more on recombinant antibodies.

性能和储存信息

形式
Liquid
纯化工艺
Affinity purification Protein A
存储溶液
pH: 7.2 - 7.4 Preservative: 0.01% Sodium azide Constituents: PBS, 40% Glycerol (glycerin, glycerine), 0.05% BSA
运输条件
Blue Ice
推荐的短期储存时间
1-2 weeks
推荐的短期储存条件
+4°C
推荐的长期储存条件
-20°C
分装信息
Upon delivery aliquot
储存信息
Avoid freeze / thaw cycle

补充信息

This supplementary information is collated from multiple sources and compiled automatically.

Erk1 and Erk2 also known as MAPK3 and MAPK1 are part of the mitogen-activated protein kinase family. These proteins play an important role in signal transduction. Erk1 has a mass of about 44 kDa while Erk2 is slightly smaller at approximately 42 kDa. Both proteins are widely expressed in a variety of tissues contributing to the transmission of signals from the cell surface to the DNA in the cell nucleus. Specifically Erk1 and Erk2 are activated through dual phosphorylation at threonine 202 and tyrosine 204 for Erk1 and threonine 185 and tyrosine 187 for Erk2.
Biological function summary

Erk1 and Erk2 are involved in several essential cellular processes including proliferation differentiation and survival. They often operate as part of a larger complex engaging with other proteins to drive cellular responses. Upon activation they move from the cytoplasm to the nucleus where they regulate the activity of various transcription factors. Erk signaling can adjust gene expression by phosphorylating nuclear targets which influences cell cycle progression and apoptosis.

Pathways

Both Erk1 and Erk2 mainly operate within the MAPK/ERK pathway. This signaling pathway is important for transmitting signals from growth factors and other extracellular stimulants. Related proteins such as Ras and Raf are upstream activators in the pathway. Downstream Erk proteins can impact other cascades including those governing cellular growth and division. By interacting with multiple proteins within these pathways Erk1 and Erk2 ensure accurate cellular responses to environmental changes.

Alterations in the function of Erk1 and Erk2 can contribute to cancer development such as colorectal cancer and melanoma. Misregulation of Erk signaling can lead to uncontrolled cell proliferation and tumor growth. These proteins also connect to neurodegenerative disorders like Alzheimer's disease where disrupted Erk signaling may contribute to neuronal damage. Erk1 and Erk2 interact with other disease-related proteins like BRAF in cancer and APP in Alzheimer's highlighting their role in disease pathophysiology.

产品实验方案

For this product, it's our understanding that no specific protocols are required. You can visit:

靶点信息

Serine/threonine kinase which acts as an essential component of the MAP kinase signal transduction pathway (PubMed : 34497368). MAPK1/ERK2 and MAPK3/ERK1 are the 2 MAPKs which play an important role in the MAPK/ERK cascade. They participate also in a signaling cascade initiated by activated KIT and KITLG/SCF. Depending on the cellular context, the MAPK/ERK cascade mediates diverse biological functions such as cell growth, adhesion, survival and differentiation through the regulation of transcription, translation, cytoskeletal rearrangements. The MAPK/ERK cascade also plays a role in initiation and regulation of meiosis, mitosis, and postmitotic functions in differentiated cells by phosphorylating a number of transcription factors. About 160 substrates have already been discovered for ERKs. Many of these substrates are localized in the nucleus, and seem to participate in the regulation of transcription upon stimulation. However, other substrates are found in the cytosol as well as in other cellular organelles, and those are responsible for processes such as translation, mitosis and apoptosis. Moreover, the MAPK/ERK cascade is also involved in the regulation of the endosomal dynamics, including lysosome processing and endosome cycling through the perinuclear recycling compartment (PNRC); as well as in the fragmentation of the Golgi apparatus during mitosis. The substrates include transcription factors (such as ATF2, BCL6, ELK1, ERF, FOS, HSF4 or SPZ1), cytoskeletal elements (such as CANX, CTTN, GJA1, MAP2, MAPT, PXN, SORBS3 or STMN1), regulators of apoptosis (such as BAD, BTG2, CASP9, DAPK1, IER3, MCL1 or PPARG), regulators of translation (such as EIF4EBP1) and a variety of other signaling-related molecules (like ARHGEF2, DEPTOR, FRS2 or GRB10) (PubMed : 35216969). Protein kinases (such as RAF1, RPS6KA1/RSK1, RPS6KA3/RSK2, RPS6KA2/RSK3, RPS6KA6/RSK4, SYK, MKNK1/MNK1, MKNK2/MNK2, RPS6KA5/MSK1, RPS6KA4/MSK2, MAPKAPK3 or MAPKAPK5) and phosphatases (such as DUSP1, DUSP4, DUSP6 or DUSP16) are other substrates which enable the propagation the MAPK/ERK signal to additional cytosolic and nuclear targets, thereby extending the specificity of the cascade.
See full target information MAPK3 phospho T202 + Y204

文献 (96)

Recent publications for all applications. Explore the full list and refine your search

Nature communications 16:2511 PubMed40087285

2025

Deep learning prioritizes cancer mutations that alter protein nucleocytoplasmic shuttling to drive tumorigenesis.

Applications

Unspecified application

Species

Unspecified reactive species

Yongqiang Zheng,Kai Yu,Jin-Fei Lin,Zhuoran Liang,Qingfeng Zhang,Junteng Li,Qi-Nian Wu,Cai-Yun He,Mei Lin,Qi Zhao,Zhi-Xiang Zuo,Huai-Qiang Ju,Rui-Hua Xu,Ze-Xian Liu

Cell death discovery 10:167 PubMed38589400

2024

Thrombomodulin reduces α-synuclein generation and ameliorates neuropathology in a mouse model of Parkinson's disease.

Applications

Unspecified application

Species

Unspecified reactive species

Xiao-Yun Niu,Xi-Xiu Xie,Hou-Zhen Tuo,Cui-Ping Lv,Ya-Ru Huang,Jie Zhu,Shi-Yu Liang,Xiao-Yu Du,Cheng-Gang Yang,Sheng-Jie Hou,Xiao-Ying Sun,Ling-Jie Li,Fang Cui,Qi-Xin Huang,Ying-Bo Jia,Yu-Jiong Wang,Rui-Tian Liu

Frontiers in molecular neuroscience 16:1214150 PubMed37609072

2023

Huntingtin-associated protein 1 ameliorates neurological function rehabilitation by facilitating neurite elongation through TrKA-MAPK pathway in mice spinal cord injury.

Applications

Unspecified application

Species

Unspecified reactive species

Li Miao,Sun Wan Qing,Lu Tao

Acta biochimica et biophysica Sinica 55:1630-1639 PubMed37381672

2023

CH02 peptide promotes expansion of umbilical cord blood-derived CD34 hematopoietic stem/progenitor cells.

Applications

Unspecified application

Species

Unspecified reactive species

Yiqi Yang,Bihui Zhang,Junye Xie,Jingsheng Li,Jia Liu,Rongzhan Liu,Linhao Zhang,Jinting Zhang,Zijian Su,Fu Li,Leisheng Zhang,An Hong,Xiaojia Chen

International journal of molecular sciences 24: PubMed37373466

2023

Evidence That DDR1 Promotes Oligodendrocyte Differentiation during Development and Myelin Repair after Injury.

Applications

Unspecified application

Species

Unspecified reactive species

Ruyi Mei,Wanwan Qiu,Yingying Yang,Siyu Xu,Yueyu Rao,Qingxin Li,Yuhao Luo,Hao Huang,Aifen Yang,Huaping Tao,Mengsheng Qiu,Xiaofeng Zhao

Materials today. Bio 20:100682 PubMed37304578

2023

Stiffened fibre-like microenvironment based on patterned equidistant micropillars directs chondrocyte hypertrophy.

Applications

Unspecified application

Species

Unspecified reactive species

Mengmeng Duan,Shuang Xia,Yang Liu,Xiaohua Pu,Yukun Chen,Yilin Zhou,Minglei Huang,Caixia Pi,Demao Zhang,Jing Xie

American journal of cancer research 13:1786-1805 PubMed37293168

2023

Alcohol remodels the immunosuppressive tumor microenvironment by targeting myeloid-derived suppressor cells.

Applications

Unspecified application

Species

Unspecified reactive species

Xueyan Li,Xue Deng,Xiaoqi Luo,Jiahui Zhong,Hui Wu,Siru Chen,Jiayi Chen,Xuhui Huang,Changjun Wang

Cell death & disease 14:212 PubMed36966163

2023

ZNF582 overexpression restrains the progression of clear cell renal cell carcinoma by enhancing the binding of TJP2 and ERK2 and inhibiting ERK2 phosphorylation.

Applications

Unspecified application

Species

Unspecified reactive species

Wuping Yang,Zedan Zhang,Lei Li,Kenan Zhang,Yawei Xu,Mancheng Xia,Jingcheng Zhou,Yanqing Gong,Jinchao Chen,Kan Gong

Neural regeneration research 18:1976-1982 PubMed36926722

2023

C-X-C chemokine receptor type 7 antibody enhances neural plasticity after ischemic stroke.

Applications

Unspecified application

Species

Unspecified reactive species

Xiao-Qian Zhang,Xiao-Yin Wang,Bing-Chao Dong,Mei-Xuan Li,Yu Wang,Ting Xiao,Shan-Shan Zhao

Bioscience trends 17:136-147 PubMed36823043

2023

FOXA2 plays a critical role in hepatocellular carcinoma progression and lenvatinib-associated drug resistance.

Applications

Unspecified application

Species

Unspecified reactive species

Zhengxia Wang,Junyi Shen,Chuwen Chen,Tianfu Wen,Chuan Li
View all publications

Abcam Product Promise

我们致力于为您的研究提供高质量的试剂,为您科研的每一步提供支持。若我们的产品未能达到预期性能,我们向您提供 Abcam Product Promise 保障。
详情请参阅我们的条款与条件。

Please note: All products are 'FOR RESEARCH USE ONLY. NOT FOR USE IN DIAGNOSTIC OR THERAPEUTIC PROCEDURES'.

For licensing inquiries, please contact partnerships@abcam.com