JavaScript is disabled in your browser. Please enable JavaScript to view this website.
AB201015

Anti-ERK1 (phospho T202) + ERK2 (phospho T185) 抗体 [EPR19401]

Anti-ERK1 (phospho T202) + ERK2 (phospho T185) antibody [EPR19401]

4

(4 Reviews)

|

(333 Publications)

Anti-ERK1 (phospho T202) + ERK2 (phospho T185) antibody [EPR19401] (ab201015) is a rabbit monoclonal antibody detecting ERK1 in Western Blot, IP, IHC-P, ICC/IF, Dot Blot. Suitable for Human, Mouse, Rat.

- Biophysical QC for unrivalled batch-batch consistency
- Over 210 publications

查看别名

ERK1, PRKM3, MAPK3, Mitogen-activated protein kinase 3, MAP kinase 3, MAPK 3, ERT2, Extracellular signal-regulated kinase 1, Insulin-stimulated MAP2 kinase, MAP kinase isoform p44, Microtubule-associated protein 2 kinase, p44-ERK1, ERK-1, p44-MAPK

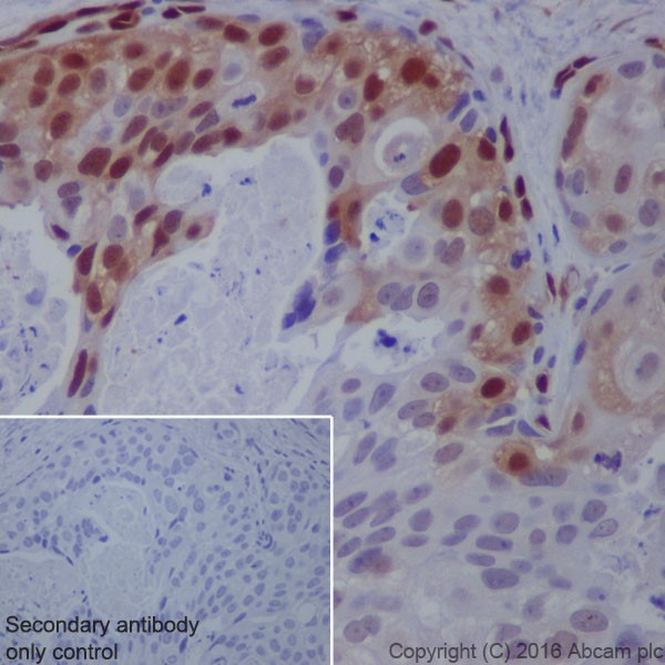
8 Images
Immunohistochemistry (Formalin/PFA-fixed paraffin-embedded sections) - Anti-ERK1 (phospho T202) + ERK2 (phospho T185) antibody [EPR19401] (AB201015)
  • IHC-P

Supplier Data

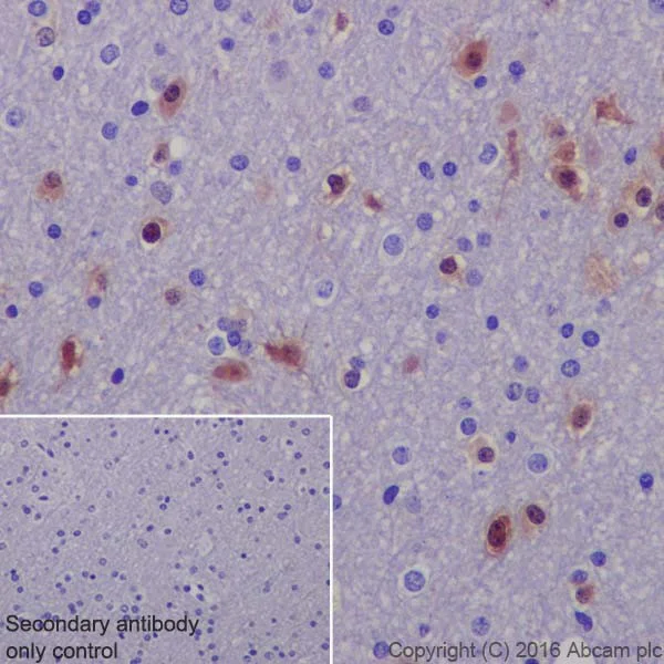
Immunohistochemistry (Formalin/PFA-fixed paraffin-embedded sections) - Anti-ERK1 (phospho T202) + ERK2 (phospho T185) antibody [EPR19401] (AB201015)

Immunohistochemical analysis of paraffin-embedded Human glioma tissue labeling ERK2 (phospho T185) with ab201015 at 1/100 dilution, followed by Goat Anti-Rabbit IgG H&L (HRP) (ab97051) at 1/500 dilution. Nuclear with weak cytoplasm staining on Human glioma is observed. Counter stained with Hematoxylin.

Secondary antibody only control : Used PBS instead of primary antibody, secondary antibody is ab97051 at 1/500 dilution.

Perform heat mediated antigen retrieval with Tris/EDTA buffer pH 9.0 before commencing with IHC staining protocol.

Immunohistochemistry (Formalin/PFA-fixed paraffin-embedded sections) - Anti-ERK1 (phospho T202) + ERK2 (phospho T185) antibody [EPR19401] (AB201015)
  • IHC-P

Supplier Data

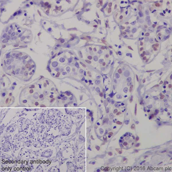
Immunohistochemistry (Formalin/PFA-fixed paraffin-embedded sections) - Anti-ERK1 (phospho T202) + ERK2 (phospho T185) antibody [EPR19401] (AB201015)

Immunohistochemical analysis of paraffin-embedded Human breast tissue labeling ERK2 (phospho T185) with ab201015 at 1/100 dilution, followed by Goat Anti-Rabbit IgG H&L (HRP) (ab97051) at 1/500 dilution. Nuclear staining on Human breast is observed. Counter stained with Hematoxylin.

Secondary antibody only control : Used PBS instead of primary antibody, secondary antibody is ab97051 at 1/500 dilution.

Perform heat mediated antigen retrieval with Tris/EDTA buffer pH 9.0 before commencing with IHC staining protocol.

Immunocytochemistry/ Immunofluorescence - Anti-ERK1 (phospho T202) + ERK2 (phospho T185) antibody [EPR19401] (AB201015)
  • ICC/IF

Supplier Data

Immunocytochemistry/ Immunofluorescence - Anti-ERK1 (phospho T202) + ERK2 (phospho T185) antibody [EPR19401] (AB201015)

Immunofluorescent analysis of 4% paraformaldehyde-fixed, 0.1% Triton X-100 permeabilized Jurkat (Human T cell leukemia cell line from peripheral blood) cells labeling ERK1 (phospho T202) and ERK2 (phospho T185)

ERK1 (phospho T202) + ERK2 (phospho T185) with ab201015 at 1/500 dilution, followed by Goat anti-rabbit IgG (Alexa Fluor® 488) (ab150077) secondary antibody at 1/1000 dilution (green).

Confocal image showing staining on M phase cells (PMID : 26529125). After PMA treatment (200 ng/ml, 30min), the staining was increased, and LP treatment decreased the PMA induced staining.

The nuclear counter stain is DAPI (blue).

Tubulin is detected with ab7291 (anti-Tubulin mouse mAb) at 1/1000 dilution and ab150120 (Alexa Fluor® 594 Goat anti-Mouse secondary) at 1/1000 dilution (red).

The negative controls are as follows :
-ve control 1 : ab201015 at 1/500 dilution followed by ab150120 (Alexa Fluor® 594 Goat anti-Mouse secondary) at 1/1000 dilution.
-ve control 2 : ab7291 (anti-Tubulin mouse mAb) at 1/1000 dilution followed by ab150077 (Alexa Fluor® 488 Goat Anti-Rabbit IgG H&L) at 1/1000 dilution.

Immunoprecipitation - Anti-ERK1 (phospho T202) + ERK2 (phospho T185) antibody [EPR19401] (AB201015)
  • IP

Supplier Data

Immunoprecipitation - Anti-ERK1 (phospho T202) + ERK2 (phospho T185) antibody [EPR19401] (AB201015)

ERK2 (phospho T185) was immunoprecipitated from 0.35 mg of NIH/3T3 (Mouse embryonic fibroblast cell line) treated with 50ng/ml PDGF for 40min whole cell lysate with ab201015 at 1/30 dilution. Western blot was performed from the immunoprecipitate using ab201015 at 1/1000 dilution. VeriBlot for IP Detection Reaction (HRP) (ab131366), was used for detection at 1/1000 dilution.

Lane 1 : NIH/3T3 treated with 50ng/ml PDGF for 40min whole cell lysate, 10μg (Input).

Lane 2 : ab201015 IP in NIH/3T3 treated with 50ng/ml PDGF for 40min whole cell lysate.

Lane 3 : Rabbit IgG,monoclonal [EPR25A]-Isotype Control (ab172730) instead of ab201015 in NIH/3T3 treated with 50ng/ml PDGF for 40min whole cell lysate.

Blocking and dilution buffer and concentration : 5% NFDM/TBST.

Exposure time : 3 minutes.

All lanes:

Immunoprecipitation - Anti-ERK1 (phospho T202) + ERK2 (phospho T185) antibody [EPR19401] (ab201015)

false

Immunoprecipitation - Anti-ERK1 (phospho T202) + ERK2 (phospho T185) antibody [EPR19401] (AB201015)
  • IP

Supplier Data

Immunoprecipitation - Anti-ERK1 (phospho T202) + ERK2 (phospho T185) antibody [EPR19401] (AB201015)

ERK2 (phospho T185) was immunoprecipitated from 0.35 mg of PC-12 (Rat adrenal gland pheochromocytoma cell line) treated with 100ng/ml NGF for 10min whole cell lysate with ab201015 at 1/30 dilution. Western blot was performed from the immunoprecipitate using ab201015 at 1/1000 dilution. VeriBlot for IP Detection Reaction (HRP) (ab131366), was used for detection at 1/1000 dilution.

Lane 1 : PC-12 treated with 100ng/ml NGF for 10min whole cell lysate, 10μg (Input).

Lane 2 : ab201015 IP in PC-12 treated with 100ng/ml NGF for 10min whole cell lysate.

Lane 3 : Rabbit IgG,monoclonal [EPR25A]-Isotype Control (ab172730) instead of ab201015 in PC-12 treated with 100ng/ml NGF for 10min whole cell lysate

Blocking and dilution buffer and concentration : 5% NFDM/TBST.

Exposure time : 3 minutes.

All lanes:

Immunoprecipitation - Anti-ERK1 (phospho T202) + ERK2 (phospho T185) antibody [EPR19401] (ab201015)

false

Western blot - Anti-ERK1 (phospho T202) + ERK2 (phospho T185) antibody [EPR19401] (AB201015)
  • WB

Supplier Data

Western blot - Anti-ERK1 (phospho T202) + ERK2 (phospho T185) antibody [EPR19401] (AB201015)

Blocking/Dilution buffer : 5% NFDM/TBST.

All lanes:

Western blot - Anti-ERK1 (phospho T202) + ERK2 (phospho T185) antibody [EPR19401] (ab201015) at 1/1000 dilution

Lane 1:

Untreated Jurkat (Human T cell leukemia cell line from peripheral blood) whole cell lysate at 20 µg

Lane 2:

Jurkat (Human T cell leukemia cell line from peripheral blood) treated with 200 ng/ml PMA for 30 minutes whole cell lysate at 20 µg

Secondary

All lanes:

Western blot - Goat Anti-Rabbit IgG H&L (HRP) (<a href='/products/secondary-antibodies/goat-rabbit-igg-h-l-hrp-ab97051'>ab97051</a>) at 1/100000 dilution

Observed band size: 42 kDa,44 kDa

false

Exposure time: 15s

Western blot - Anti-ERK1 (phospho T202) + ERK2 (phospho T185) antibody [EPR19401] (AB201015)
  • WB

Supplier Data

Western blot - Anti-ERK1 (phospho T202) + ERK2 (phospho T185) antibody [EPR19401] (AB201015)

Blocking/Dilution buffer : 5% NFDM/TBST.

The induction conditions refer to PMID : 12454035; PMID : 17026715; PMID : 22206868.

All lanes:

Western blot - Anti-ERK1 (phospho T202) + ERK2 (phospho T185) antibody [EPR19401] (ab201015) at 1/1000 dilution

Lane 1:

Untreated NIH/3T3 (Mouse embryonic fibroblast cell line) whole cell lysate at 20 µg

Lane 2:

NIH/3T3 (Mouse embryonic fibroblast cell line) treated with 50 ng/ml PDGF for 40 minutes whole cell lysate at 20 µg

Lane 3:

Untreated PC-12 (Rat adrenal gland pheochromocytoma cell line) whole cell lysate at 20 µg

Lane 4:

PC-12 (Rat adrenal gland pheochromocytoma cell line) treated with 200 ng/ml NGF for 4 days whole cell lysate at 20 µg

Secondary

All lanes:

Western blot - Goat Anti-Rabbit IgG H&L (HRP) (<a href='/products/secondary-antibodies/goat-rabbit-igg-h-l-hrp-ab97051'>ab97051</a>) at 1/100000 dilution

Observed band size: 42 kDa,44 kDa

false

Exposure time: 10s

Dot Blot - Anti-ERK1 (phospho T202) + ERK2 (phospho T185) antibody [EPR19401] (AB201015)
  • Dot

Supplier Data

Dot Blot - Anti-ERK1 (phospho T202) + ERK2 (phospho T185) antibody [EPR19401] (AB201015)

Dot blot analysis of ERK2 (phospho T185) labeled with ab201015 at 1/1000 dilution. **Lane 1 : ** ERK2 (pT185) phospho peptide : DHTGFLT(p)EYVATR aa179-191 peptide. **Lane 2 : ** ERK2 Non-phospho peptide : DHTGFLTEYVATR aa179-191 peptide. **Lane 3 : ** ERK2 (pY187) phospho peptide : DHTGFLTEY(p)VATR aa179-191 peptide. Goat Anti-Rabbit IgG, (H+L),Peroxidase conjugated (ab97051) at 1/100000 dilution was used as secondary antibody. **Blocking/Dilution buffer : ** 5% NFDM/TBST. **Exposure time : ** 3 minutes.

不同偶联物与剂型 (1)

  • Carrier free

    Anti-ERK1 (phospho T202) + ERK2 (phospho T185) antibody [EPR19401] - BSA and Azide free

关键信息

宿主种属

Rabbit

克隆

Monoclonal

克隆号

EPR19401

亚型

IgG

不含载体蛋白

No

反应种属

Mouse, Rat, Human

应用

IHC-P, IP, Dot, ICC/IF, WB

applications

免疫原

The exact immunogen used to generate this antibody is proprietary information.

特异性

Mouse and Rat is not recommended in IHC-P.

反应性数据

{ "title": "Reactivity Data", "filters": { "stats": ["", "Species", "Dilution Info", "Notes"], "tabs": { "all-applications": {"fullname" : "All Applications", "shortname": "All Applications"}, "IP" : {"fullname" : "Immunoprecipitation", "shortname":"IP"}, "Dot" : {"fullname" : "Dot Blot", "shortname":"Dot"}, "WB" : {"fullname" : "Western blot", "shortname":"WB"}, "ICCIF" : {"fullname" : "Immunocytochemistry/ Immunofluorescence", "shortname":"ICC/IF"}, "IHCP" : {"fullname" : "Immunohistochemistry (Formalin/PFA-fixed paraffin-embedded sections)", "shortname":"IHC-P"} }, "product-promise": { "all": "all", "testedAndGuaranteed": "tested", "guaranteed": "expected", "predicted": "predicted", "notRecommended": "not-recommended" } }, "values": { "Human": { "IP-species-checked": "guaranteed", "IP-species-dilution-info": "", "IP-species-notes": "", "Dot-species-checked": "guaranteed", "Dot-species-dilution-info": "", "Dot-species-notes": "", "WB-species-checked": "testedAndGuaranteed", "WB-species-dilution-info": "1/1000", "WB-species-notes": "<p></p>", "ICCIF-species-checked": "testedAndGuaranteed", "ICCIF-species-dilution-info": "", "ICCIF-species-notes": "<p></p>", "IHCP-species-checked": "testedAndGuaranteed", "IHCP-species-dilution-info": "1/100", "IHCP-species-notes": "<p>IHC is recommended for human only.</p> Perform heat-mediated antigen retrieval with Tris/EDTA buffer pH 9.0 before commencing with IHC staining protocol." }, "Mouse": { "IP-species-checked": "testedAndGuaranteed", "IP-species-dilution-info": "1/30", "IP-species-notes": "<p></p>", "Dot-species-checked": "guaranteed", "Dot-species-dilution-info": "", "Dot-species-notes": "", "WB-species-checked": "testedAndGuaranteed", "WB-species-dilution-info": "1/1000", "WB-species-notes": "<p></p>", "ICCIF-species-checked": "guaranteed", "ICCIF-species-dilution-info": "", "ICCIF-species-notes": "", "IHCP-species-checked": "notRecommended", "IHCP-species-dilution-info": "", "IHCP-species-notes": "<p></p>" }, "Rat": { "IP-species-checked": "testedAndGuaranteed", "IP-species-dilution-info": "1/30", "IP-species-notes": "<p></p>", "Dot-species-checked": "guaranteed", "Dot-species-dilution-info": "", "Dot-species-notes": "", "WB-species-checked": "testedAndGuaranteed", "WB-species-dilution-info": "1/1000", "WB-species-notes": "<p></p>", "ICCIF-species-checked": "guaranteed", "ICCIF-species-dilution-info": "", "ICCIF-species-notes": "", "IHCP-species-checked": "notRecommended", "IHCP-species-dilution-info": "", "IHCP-species-notes": "<p></p>" }, "Synthetic peptide - Human": { "IP-species-checked": "notRecommended", "IP-species-dilution-info": "", "IP-species-notes": "", "Dot-species-checked": "testedAndGuaranteed", "Dot-species-dilution-info": "1/1000", "Dot-species-notes": "<p></p>", "WB-species-checked": "notRecommended", "WB-species-dilution-info": "", "WB-species-notes": "", "ICCIF-species-checked": "notRecommended", "ICCIF-species-dilution-info": "", "ICCIF-species-notes": "", "IHCP-species-checked": "notRecommended", "IHCP-species-dilution-info": "", "IHCP-species-notes": "" } } }

产品详情

What is this antibody validated in?
Anti-ERK1 (phospho T202) + ERK2 (phospho T185) antibody [EPR19401] (ab201015) is a rabbit recombinant monoclonal antibody and is validated for use in Western Blot (WB), Immunoprecipitation (IP), Immunohistochemistry (IHC-P), Immunocytochemistry/immunofluorescence (ICC/IF), Dot Blot in Human, Mouse, Rat samples.

What is the molecular weight of ERK1?
Anti-ERK1 (phospho T202) + ERK2 (phospho T185) [EPR19401] (ab201015) specifically detects a band for ERK1 (UniProt: P28482) at a molecular weight of 41kDa.

Trusted by the scientific community
Anti-ERK1 (phospho T202) + ERK2 (phospho T185) [EPR19401] (ab201015) was first used in a scientific publication in 2016 and has been cited over 210 times in peer-reviewed journals.

Trial sizes available!
Test your antibody or perform pre-screening before committing to a larger quantity. Sold in 10µl. Discover our selection of trial-size antibodies.

Patented technology
Our RabMAb® technology is a patented hybridoma-based technology for making rabbit monoclonal antibodies. For details on our patents, please refer to RabMAb® patents.

What are the advantages of a recombinant monoclonal antibody?
This product is a recombinant monoclonal antibody, which offers several advantages including:

  • - High batch-to-batch consistency and reproducibility
  • - Improved sensitivity and specificity
  • - Long-term security of supply
  • - Animal-free batch production

For more information, read more on recombinant antibodies.

性能和储存信息

形式
Liquid
纯化工艺
Affinity purification Protein A
存储溶液
pH: 7.2 - 7.4 Preservative: 0.01% Sodium azide Constituents: PBS, 40% Glycerol (glycerin, glycerine), 0.05% BSA
运输条件
Blue Ice
推荐的短期储存时间
1-2 weeks
推荐的短期储存条件
+4°C
推荐的长期储存条件
-20°C
分装信息
Upon delivery aliquot
储存信息
Avoid freeze / thaw cycle

补充信息

This supplementary information is collated from multiple sources and compiled automatically.

ERK1 and ERK2 also known as p44 and p42 MAPK respectively are important proteins in the MAP kinase signaling pathway. They are expressed in various tissues with significant presence in the brain lungs and skin. ERK1 has a molecular weight of approximately 44 kDa while ERK2 has a molecular weight of around 42 kDa. Both proteins become activated through phosphorylation which is essential for their function in cellular processes.
Biological function summary

ERK1 and ERK2 serve as key players in cellular growth differentiation and survival. They form part of a complex cascade where they transduce signals from the cell membrane to the nucleus after activation by phosphorylation. This phosphorylation enables them to modify various downstream targets involved in regulating gene expression and cellular response to external stimuli.

Pathways

ERK1 and ERK2 are critical components of the MAPK/ERK pathway and the Ras-Raf-MEK-ERK signaling cascade. These pathways regulate a multitude of cellular activities including proliferation and differentiation. In the MAPK/ERK pathway proteins like Ras and Raf serve as upstream activators of ERK1 and ERK2. Both ERK1 and ERK2 also interact with other signaling proteins such as MEK1/2 which directly phosphorylates and activates them.

Dysregulation of ERK1 and ERK2 is associated with various pathologies including cancer and neurodegenerative diseases. Abnormal activation of these proteins often leads to uncontrolled cell proliferation contributing to oncogenesis. For instance mutations in proteins like Ras which regulate ERK1 and ERK2 can result in continuous activation and lead to tumor formation. Furthermore altered ERK1 and ERK2 signaling is linked to neurodegeneration impacting neuronal survival and function.

产品实验方案

For this product, it's our understanding that no specific protocols are required. You can visit:

靶点信息

Serine/threonine kinase which acts as an essential component of the MAP kinase signal transduction pathway (PubMed : 34497368). MAPK1/ERK2 and MAPK3/ERK1 are the 2 MAPKs which play an important role in the MAPK/ERK cascade. They participate also in a signaling cascade initiated by activated KIT and KITLG/SCF. Depending on the cellular context, the MAPK/ERK cascade mediates diverse biological functions such as cell growth, adhesion, survival and differentiation through the regulation of transcription, translation, cytoskeletal rearrangements. The MAPK/ERK cascade also plays a role in initiation and regulation of meiosis, mitosis, and postmitotic functions in differentiated cells by phosphorylating a number of transcription factors. About 160 substrates have already been discovered for ERKs. Many of these substrates are localized in the nucleus, and seem to participate in the regulation of transcription upon stimulation. However, other substrates are found in the cytosol as well as in other cellular organelles, and those are responsible for processes such as translation, mitosis and apoptosis. Moreover, the MAPK/ERK cascade is also involved in the regulation of the endosomal dynamics, including lysosome processing and endosome cycling through the perinuclear recycling compartment (PNRC); as well as in the fragmentation of the Golgi apparatus during mitosis. The substrates include transcription factors (such as ATF2, BCL6, ELK1, ERF, FOS, HSF4 or SPZ1), cytoskeletal elements (such as CANX, CTTN, GJA1, MAP2, MAPT, PXN, SORBS3 or STMN1), regulators of apoptosis (such as BAD, BTG2, CASP9, DAPK1, IER3, MCL1 or PPARG), regulators of translation (such as EIF4EBP1) and a variety of other signaling-related molecules (like ARHGEF2, DEPTOR, FRS2 or GRB10) (PubMed : 35216969). Protein kinases (such as RAF1, RPS6KA1/RSK1, RPS6KA3/RSK2, RPS6KA2/RSK3, RPS6KA6/RSK4, SYK, MKNK1/MNK1, MKNK2/MNK2, RPS6KA5/MSK1, RPS6KA4/MSK2, MAPKAPK3 or MAPKAPK5) and phosphatases (such as DUSP1, DUSP4, DUSP6 or DUSP16) are other substrates which enable the propagation the MAPK/ERK signal to additional cytosolic and nuclear targets, thereby extending the specificity of the cascade.
See full target information MAPK3 phospho T202

文献 (333)

Recent publications for all applications. Explore the full list and refine your search

ACS omega 10:36994-37003 PubMed40893218

2025

Potential Antiphotoaging Effect of Human Cathelicidin LL-37 Fragments and KR-12 Analogs on UVB-Induced HaCaT Cells and UVA-Induced HDF Cells.

Applications

Unspecified application

Species

Unspecified reactive species

Menggeng Li,Jing Wang,Peng Shu,Xueqing Chen,Yizhen Yan,Jiangming Zhong,Nan Zhao,Ling Liang,Zhao Liu

International journal of ophthalmology 18:1426-1432 PubMed40827285

2025

Obtusifolin ameliorates dry eye model in rats by reducing inflammation and blocking MAPK/NF-κB pathways.

Applications

Unspecified application

Species

Unspecified reactive species

Dan Zhu,Xiao-Yang Wu,Liang-Chang Li

Scientific reports 15:29488 PubMed40796933

2025

GPER1 is involved in shaping tumor immune microenvironment and its expression is decreased in NSCLC tumorigenesis.

Applications

Unspecified application

Species

Unspecified reactive species

Zhenhua Li,Chao Xie,Jingjing Cui,Hui Xu,Dingbiao Li

Scientific reports 15:29357 PubMed40789940

2025

ELABELA targets the MEK/ERK axis to enhance trophoblast invasion in early-onset preeclampsia.

Applications

Unspecified application

Species

Unspecified reactive species

Lijing Wang,Xue Wang,Ningning He,Lin Yang,Yang Zou,Zhanping Weng,Li Guo

Inflammation : PubMed40586852

2025

Mac-1 Promotes Neutrophil Extracellular Traps Formation via ERK Phosphorylation in Renal Ischemia-Reperfusion Injury.

Applications

Unspecified application

Species

Unspecified reactive species

Luna He,Jialin Wang,Yang Li,Shuan Zhao,Yan Yang,Nana Song,Xiaoyi Zou,Shengzhuo You,Yi Fang,Tsuboi Naotake,Shi Jin,Xiaoqiang Ding,Yiqin Shi

American journal of cancer research 15:2353-2374 PubMed40520857

2025

Circular RNA hsa_circ_103089 modulates metabolic glycolysis and influences migration, invasion, and cisplatin sensitivity in non-small cell lung cancer cells via the miR-876-5p/EGFR axis.

Applications

Unspecified application

Species

Unspecified reactive species

Yong Zhou,Xiaoxiao Zhu,Zhongkai Tong,Cenli Wang,Xiaofei Liang,Zhenyan Li,Lin He,Chunli Wu,Zhaoxing Dong

Frontiers in chemistry 13:1551722 PubMed40405896

2025

Mechanism of hedysari radix praeparata cum melle and curcumae rhizoma herb pair in colitis-associated colorectal cancer through the MAPK/NF-κB signaling pathway: an investigation and .

Applications

Unspecified application

Species

Unspecified reactive species

Ting Liu,Yugui Zhang,Feiyun Gao,Zhuanhong Zhang,Maomao Wang,Cui Ma,Yanjun Wang,Dingcai Ma,Zhe Wang,Xingke Yan,Yuefeng Li

PLoS pathogens 21:e1013184 PubMed40367285

2025

Virus and cell specific HMGB1 secretion and subepithelial infiltrate formation in adenovirus keratitis.

Applications

Unspecified application

Species

Unspecified reactive species

Amrita Saha,Mohammad Mirazul Islam,Rahul Kumar,Ashrafali Mohamed Ismail,Emanuel Garcia,Rama R Gullapali,James Chodosh,Jaya Rajaiya

Frontiers in immunology 16:1562700 PubMed40313959

2025

BTG2-deficient mast cells remodel the tumor and tumor-draining lymph node microenvironment leading to chemotherapy resistance in breast cancer.

Applications

Unspecified application

Species

Unspecified reactive species

Xiaoqian Zhang,Jiayi Wang,Ziyu Liu,Jiahuai Wen,Mengling Kang,Chen Fang,Liping Ren

Journal of ovarian research 18:81 PubMed40259316

2025

NCAPH promotes glucose metabolism reprogramming and cell stemness in ovarian cancer cells through the MEK/ERK/PD-L1 pathway.

Applications

Unspecified application

Species

Unspecified reactive species

Yingying Qi,Aiping Wang,Silin Chen,Wei Chen
View all publications

Abcam Product Promise

我们致力于为您的研究提供高质量的试剂,为您科研的每一步提供支持。若我们的产品未能达到预期性能,我们向您提供 Abcam Product Promise 保障。
详情请参阅我们的条款与条件。

Please note: All products are 'FOR RESEARCH USE ONLY. NOT FOR USE IN DIAGNOSTIC OR THERAPEUTIC PROCEDURES'.

For licensing inquiries, please contact partnerships@abcam.com