JavaScript is disabled in your browser. Please enable JavaScript to view this website.
AB222493

重组Anti-ERK1 (phospho T202) + ERK2 (phospho T185)抗体[EPR18444] - BSA and Azide free

Anti-ERK1 (phospho T202) + ERK2 (phospho T185) antibody [EPR18444] - BSA and Azide free

Be the first to review this product! Submit a review

|

(2 Publications)

Rabbit Recombinant Monoclonal ERK1 phospho T202 antibody. Carrier free. Suitable for IP, Dot, WB, ICC/IF, IHC-P and reacts with Rat, Human, Mouse samples. Cited in 2 publications.

查看别名

ERK1, PRKM3, MAPK3, Mitogen-activated protein kinase 3, MAP kinase 3, MAPK 3, ERT2, Extracellular signal-regulated kinase 1, Insulin-stimulated MAP2 kinase, MAP kinase isoform p44, Microtubule-associated protein 2 kinase, p44-ERK1, ERK-1, p44-MAPK

11 Images
Immunohistochemistry (Formalin/PFA-fixed paraffin-embedded sections) - Anti-ERK1 (phospho T202) + ERK2 (phospho T185) antibody [EPR18444] - BSA and Azide free (AB222493)
  • IHC-P

Supplier Data

Immunohistochemistry (Formalin/PFA-fixed paraffin-embedded sections) - Anti-ERK1 (phospho T202) + ERK2 (phospho T185) antibody [EPR18444] - BSA and Azide free (AB222493)

Immunohistochemical analysis of paraffin-embedded human breast tissue labeling ERK1 (phospho T202) + ERK2 (phospho T185) with ab214036 at 1/500 dilution, followed by Goat Anti-Rabbit IgG H&L (HRP) (ab97051) at 1/500 dilution.

Nuclear staining on human normal breast tissue is observed.

Counter stained with Hematoxylin.

Secondary antibody only control : Used PBS instead of primary antibody, secondary antibody is Goat Anti-Rabbit IgG H&L (HRP) (ab97051) at 1/500 dilution.

This data was developed using the same antibody clone in a different buffer formulation containing PBS, BSA, glycerol, and sodium azide (ab214036).

Perform heat mediated antigen retrieval with EDTA buffer pH 9 before commencing with IHC staining protocol.

Immunohistochemistry (Formalin/PFA-fixed paraffin-embedded sections) - Anti-ERK1 (phospho T202) + ERK2 (phospho T185) antibody [EPR18444] - BSA and Azide free (AB222493)
  • IHC-P

Supplier Data

Immunohistochemistry (Formalin/PFA-fixed paraffin-embedded sections) - Anti-ERK1 (phospho T202) + ERK2 (phospho T185) antibody [EPR18444] - BSA and Azide free (AB222493)

Immunohistochemical analysis of paraffin-embedded human glioma tissue labeling ERK1 (phospho T202) + ERK2 (phospho T185) with ab214036 at 1/500 dilution, followed by Goat Anti-Rabbit IgG H&L (HRP) (ab97051) at 1/500 dilution.

Nuclear and weak cytoplasmic staining on human glioma is observed [PMID : 17487353].

Counter stained with Hematoxylin.

Secondary antibody only control : Used PBS instead of primary antibody, secondary antibody is Goat Anti-Rabbit IgG H&L (HRP) (ab97051) at 1/500 dilution.

This data was developed using the same antibody clone in a different buffer formulation containing PBS, BSA, glycerol, and sodium azide (ab214036).

Perform heat mediated antigen retrieval with EDTA buffer pH 9 before commencing with IHC staining protocol.

Immunohistochemistry (Formalin/PFA-fixed paraffin-embedded sections) - Anti-ERK1 (phospho T202) + ERK2 (phospho T185) antibody [EPR18444] - BSA and Azide free (AB222493)
  • IHC-P

Supplier Data

Immunohistochemistry (Formalin/PFA-fixed paraffin-embedded sections) - Anti-ERK1 (phospho T202) + ERK2 (phospho T185) antibody [EPR18444] - BSA and Azide free (AB222493)

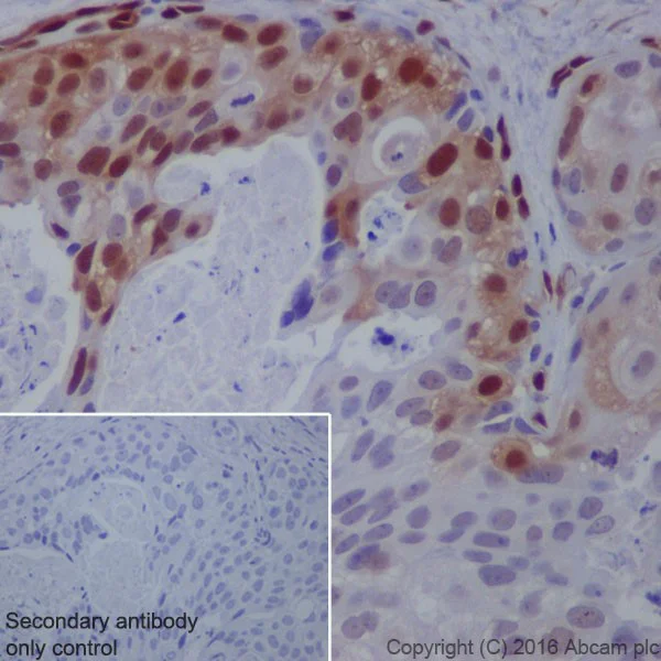
Immunohistochemical analysis of paraffin-embedded human breast cancer tissue labeling ERK1 (phospho T202) + ERK2 (phospho T185) with ab214036 at 1/500 dilution, followed by Goat Anti-Rabbit IgG H&L (HRP) (ab97051) at 1/500 dilution.

Nuclear and weak cytoplasmic staining on human breast tissue cancer is observed.

Counter stained with Hematoxylin.

Secondary antibody only control : Used PBS instead of primary antibody, secondary antibody is Goat Anti-Rabbit IgG H&L (HRP) (ab97051) at 1/500 dilution.

This data was developed using the same antibody clone in a different buffer formulation containing PBS, BSA, glycerol, and sodium azide (ab214036).

Perform heat mediated antigen retrieval with EDTA buffer pH 9 before commencing with IHC staining protocol.

Immunocytochemistry/ Immunofluorescence - Anti-ERK1 (phospho T202) + ERK2 (phospho T185) antibody [EPR18444] - BSA and Azide free (AB222493)
  • ICC/IF

Supplier Data

Immunocytochemistry/ Immunofluorescence - Anti-ERK1 (phospho T202) + ERK2 (phospho T185) antibody [EPR18444] - BSA and Azide free (AB222493)

Immunofluorescent analysis of 4% paraformaldehyde-fixed, 0.1% Triton X-100 permeabilized Jurkat (Human T cell leukemia cell line from peripheral blood) cells labeling ERK1 (phospho T202) + ERK2 (phospho T185) with ab214036 at 1/100 dilution, followed by Goat Anti-Rabbit IgG (Alexa Fluor® 488) (ab150077) secondary antibody at 1/1000 dilution (green). Confocal image showing cytoplasmic staining increased after PMA treatment (200 ng/ml, 30min), and LP treatment decreased the PMA induced staining. For the “pan” antibody, the signal is unchanged after PMA treatment (200 ng/ml, 30min), and LP treatment. The nuclear counterstain is DAPI (blue).

Tubulin is detected with Anti-alpha Tubulin mouse MAb (ab7291) at 1/1000 dilution and Goat Anti-Mouse IgG H&L (Alexa Fluor® 594) (ab150120) secondary antibody at 1/1000 dilution (red).

This data was developed using the same antibody clone in a different buffer formulation containing PBS, BSA, glycerol, and sodium azide (ab214036).

Immunocytochemistry/ Immunofluorescence - Anti-ERK1 (phospho T202) + ERK2 (phospho T185) antibody [EPR18444] - BSA and Azide free (AB222493)
  • ICC/IF

Supplier Data

Immunocytochemistry/ Immunofluorescence - Anti-ERK1 (phospho T202) + ERK2 (phospho T185) antibody [EPR18444] - BSA and Azide free (AB222493)

Immunofluorescent analysis of 4% paraformaldehyde-fixed, 0.1% Triton X-100 permeabilized Jurkat (Human T cell leukemia cell line from peripheral blood) cells labeling -ERK1 (phospho T202) + ERK2 (phospho T185) with ab214036 at 1/100 dilution, followed by Goat Anti-Rabbit IgG (Alexa Fluor® 488) (ab150077) secondary antibody at 1/1000 dilution (green). Confocal image showing cytoplasmic staining increased after PMA treatment (200 ng/ml, 30min), and LP treatment decreased the PMA induced staining.

The nuclear counterstain is DAPI (blue).

Tubulin is detected with Anti-alpha Tubulin mouse MAb (ab7291) at 1/1000 dilution, followed by Anti-Mouse IgG H&L (Alexa Fluor® 594) (ab150120) secondary antibody at 1/1000 dilution (red).

The negative controls are as follows : -

-ve control 1 : ab214036 at 1/100 dilution followed by Anti-Mouse IgG H&L (Alexa Fluor® 594) (ab150120) secondary antibody at 1/1000 dilution.

-ve control 2 : Anti-alpha Tubulin mouse MAb (ab7291) at 1/1000 dilution followed by Goat Anti-Rabbit IgG H&L (Alexa Fluor® 488) (ab150077) secondary antibody at 1/1000 dilution.

This data was developed using the same antibody clone in a different buffer formulation containing PBS, BSA, glycerol, and sodium azide (ab214036).

Immunohistochemistry (Formalin/PFA-fixed paraffin-embedded sections) - Anti-ERK1 (phospho T202) + ERK2 (phospho T185) antibody [EPR18444] - BSA and Azide free (AB222493)
  • IHC-P

Supplier Data

Immunohistochemistry (Formalin/PFA-fixed paraffin-embedded sections) - Anti-ERK1 (phospho T202) + ERK2 (phospho T185) antibody [EPR18444] - BSA and Azide free (AB222493)

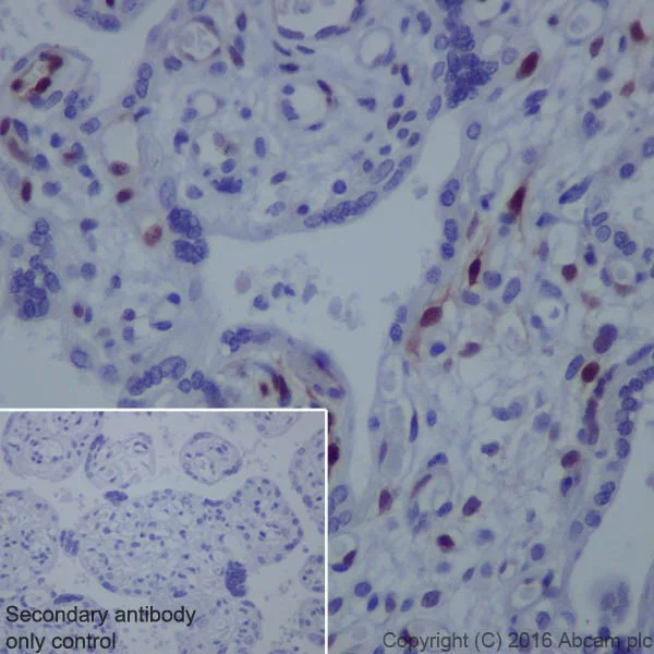
Immunohistochemical analysis of paraffin-embedded human placenta tissue labeling ERK1 (phospho T202) + ERK2 (phospho T185) with ab214036 at 1/500 dilution, followed by Goat Anti-Rabbit IgG H&L (HRP) (ab97051) at 1/500 dilution.

Nuclear and weak cytoplasmic staining on scattered cells of human placenta is observed.

Counter stained with Hematoxylin.

Secondary antibody only control : Used PBS instead of primary antibody, secondary antibody is Goat Anti-Rabbit IgG H&L (HRP) (ab97051) at 1/500 dilution.

This data was developed using the same antibody clone in a different buffer formulation containing PBS, BSA, glycerol, and sodium azide (ab214036).

Perform heat mediated antigen retrieval with EDTA buffer pH 9 before commencing with IHC staining protocol.

Immunoprecipitation - Anti-ERK1 (phospho T202) + ERK2 (phospho T185) antibody [EPR18444] - BSA and Azide free (AB222493)
  • IP

Supplier Data

Immunoprecipitation - Anti-ERK1 (phospho T202) + ERK2 (phospho T185) antibody [EPR18444] - BSA and Azide free (AB222493)

ERK1 (phospho T202) + ERK2 (phospho T185) was immunoprecipitated from 0.35 mg of Jurkat (Human T cell leukemia cell line from peripheral blood) treated with 200 ng/ml PMA for 30 minutes whole cell lysate with ab214036 at 1/40 dilution.

Western blot was performed from the immunoprecipitate using ab214036 at 1/1000 dilution.

VeriBlot for IP Detection Reagent (HRP) (ab131366), was used for detection at 1/10000 dilution.

Lane 1 : Jurkat treated with 200 ng/ml PMA for 30 minutes whole cell lysate 10μg (Input).

Lane 2 : ab214036 IP in Jurkat treated with 200 ng/ml PMA for 30 minutes whole cell lysate.

Lane 3 : Rabbit IgG, monoclonal [EPR25A] - Isotype Control (ab172730) instead of ab214036 in Jurkat treated with 200 ng/ml PMA for 30 minutes whole cell lysate.

Blocking and dilution buffer and concentration : 5% NFDM/TBST.

Exposure time : 3 minutes.

This data was developed using the same antibody clone in a different buffer formulation containing PBS, BSA, glycerol, and sodium azide (ab214036).

All lanes:

Immunoprecipitation - Anti-ERK1 (phospho T202) + ERK2 (phospho T185) antibody [EPR18444] (<a href='/products/primary-antibodies/erk1-phospho-t202-erk2-phospho-t185-antibody-epr18444-ab214036'>ab214036</a>)

false

Immunohistochemistry (Formalin/PFA-fixed paraffin-embedded sections) - Anti-ERK1 (phospho T202) + ERK2 (phospho T185) antibody [EPR18444] - BSA and Azide free (AB222493)
  • IHC-P

Supplier Data

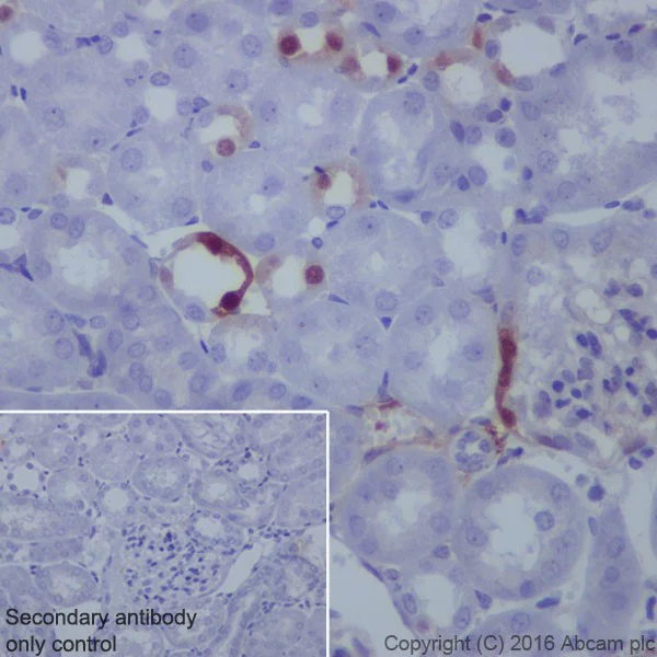
Immunohistochemistry (Formalin/PFA-fixed paraffin-embedded sections) - Anti-ERK1 (phospho T202) + ERK2 (phospho T185) antibody [EPR18444] - BSA and Azide free (AB222493)

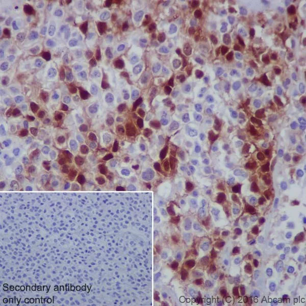
Immunohistochemical analysis of paraffin-embedded mouse kidney tissue labeling ERK1 (phospho T202) + ERK2 (phospho T185) with ab214036 at 1/500 dilution, followed by Goat Anti-Rabbit IgG H&L (HRP) (ab97051) at 1/500 dilution.

Nuclear and weak cytoplasmic staining on scattered cells of mouse kidney is observed.

Counter stained with Hematoxylin.

Secondary antibody only control : Used PBS instead of primary antibody, secondary antibody is Goat Anti-Rabbit IgG H&L (HRP) (ab97051) at 1/500 dilution.

This data was developed using the same antibody clone in a different buffer formulation containing PBS, BSA, glycerol, and sodium azide (ab214036).

Perform heat mediated antigen retrieval with EDTA buffer pH 9 before commencing with IHC staining protocol.

Immunohistochemistry (Formalin/PFA-fixed paraffin-embedded sections) - Anti-ERK1 (phospho T202) + ERK2 (phospho T185) antibody [EPR18444] - BSA and Azide free (AB222493)
  • IHC-P

Supplier Data

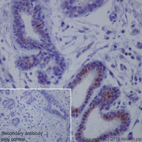
Immunohistochemistry (Formalin/PFA-fixed paraffin-embedded sections) - Anti-ERK1 (phospho T202) + ERK2 (phospho T185) antibody [EPR18444] - BSA and Azide free (AB222493)

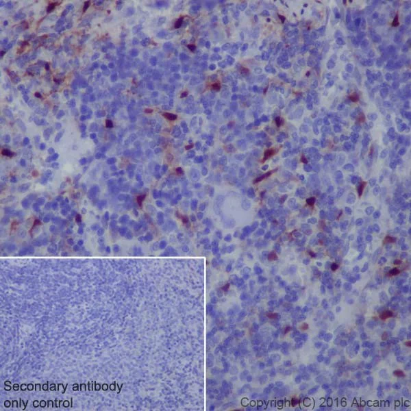
Immunohistochemical analysis of paraffin-embedded rat spleen tissue labeling ERK1 (phospho T202) + ERK2 (phospho T185) with ab214036 at 1/500 dilution, followed by Goat Anti-Rabbit IgG H&L (HRP) (ab97051) at 1/500 dilution.

Nuclear and weak cytoplasmic staining on scattered cells of rat spleen is observed.

Counter stained with Hematoxylin.

Secondary antibody only control : Used PBS instead of primary antibody, secondary antibody is Goat Anti-Rabbit IgG H&L (HRP) (ab97051) at 1/500 dilution.

This data was developed using the same antibody clone in a different buffer formulation containing PBS, BSA, glycerol, and sodium azide (ab214036).

Perform heat mediated antigen retrieval with EDTA buffer pH 9 before commencing with IHC staining protocol.

Immunoprecipitation - Anti-ERK1 (phospho T202) + ERK2 (phospho T185) antibody [EPR18444] - BSA and Azide free (AB222493)
  • IP

Supplier Data

Immunoprecipitation - Anti-ERK1 (phospho T202) + ERK2 (phospho T185) antibody [EPR18444] - BSA and Azide free (AB222493)

ERK1 (phospho T202) + ERK2 (phospho T185) was immunoprecipitated from 0.35 mg of PC-12 (Rat adrenal gland pheochromocytoma cell line) treated with 200 ng/ml NGF for 4 days whole cell lysate with ab214036 at 1/40 dilution.

Western blot was performed from the immunoprecipitate using ab214036 at 1/1000 dilution.

VeriBlot for IP Detection Reagent (HRP) (ab131366), was used for detection at 1/1000 dilution.

Lane 1 : PC-12 treated with 200 ng/ml NGF for 4 days whole cell lysate 10μg (Input).

Lane 2 : ab214036 IP in PC-12 treated with 200 ng/ml NGF for 4 days whole cell lysate.

Lane 3 : Rabbit IgG, monoclonal [EPR25A] - Isotype Control (ab172730) instead of ab214036 in PC-12 treated with 200 ng/ml NGF for 4 days whole cell lysate.

Blocking and dilution buffer and concentration : 5% NFDM/TBST.

Exposure time : 30 seconds.

This data was developed using the same antibody clone in a different buffer formulation containing PBS, BSA, glycerol, and sodium azide (ab214036).

All lanes:

Immunoprecipitation - Anti-ERK1 (phospho T202) + ERK2 (phospho T185) antibody [EPR18444] (<a href='/products/primary-antibodies/erk1-phospho-t202-erk2-phospho-t185-antibody-epr18444-ab214036'>ab214036</a>)

false

Dot Blot - Anti-ERK1 (phospho T202) + ERK2 (phospho T185) antibody [EPR18444] - BSA and Azide free (AB222493)
  • Dot

Lab

Dot Blot - Anti-ERK1 (phospho T202) + ERK2 (phospho T185) antibody [EPR18444] - BSA and Azide free (AB222493)

Dot blot analysis of ERK1 (pT202) peptide (Lane 1), ERK1 (pT204) peptide (Lane 2), ERK1 (pT202 + pT204) peptide (Lane 3) and ERK1 non-phospho peptide (Lane 4) labelling ERK1 (pT202) with ab214036.

Exposure time : 3 minutes.

This data was developed using the same antibody clone in a different buffer formulation containing PBS, BSA, glycerol, and sodium azide (ab214036).

不同偶联物与剂型 (1)

  • Unconjugated

    Anti-ERK1 (phospho T202) + ERK2 (phospho T185) antibody [EPR18444]

关键信息

宿主种属

Rabbit

克隆

Monoclonal

克隆号

EPR18444

亚型

IgG

不含载体蛋白

Yes

反应种属

Mouse, Rat, Human

应用

IHC-P, WB, ICC/IF, Dot, IP

applications

免疫原

The exact immunogen used to generate this antibody is proprietary information.

特异性

ab222493 does not react with a peptide containing ERK1 pY204 or ERK2 pY187

反应性数据

{ "title": "Reactivity Data", "filters": { "stats": ["", "Species", "Dilution Info", "Notes"], "tabs": { "all-applications": {"fullname" : "All Applications", "shortname": "All Applications"}, "IP" : {"fullname" : "Immunoprecipitation", "shortname":"IP"}, "Dot" : {"fullname" : "Dot Blot", "shortname":"Dot"}, "WB" : {"fullname" : "Western blot", "shortname":"WB"}, "ICCIF" : {"fullname" : "Immunocytochemistry/ Immunofluorescence", "shortname":"ICC/IF"}, "IHCP" : {"fullname" : "Immunohistochemistry (Formalin/PFA-fixed paraffin-embedded sections)", "shortname":"IHC-P"} }, "product-promise": { "all": "all", "testedAndGuaranteed": "tested", "guaranteed": "expected", "predicted": "predicted", "notRecommended": "not-recommended" } }, "values": { "Human": { "IP-species-checked": "testedAndGuaranteed", "IP-species-dilution-info": "", "IP-species-notes": "<p></p>", "Dot-species-checked": "testedAndGuaranteed", "Dot-species-dilution-info": "", "Dot-species-notes": "<p></p>", "WB-species-checked": "testedAndGuaranteed", "WB-species-dilution-info": "", "WB-species-notes": "<p></p>", "ICCIF-species-checked": "testedAndGuaranteed", "ICCIF-species-dilution-info": "", "ICCIF-species-notes": "<p></p>", "IHCP-species-checked": "testedAndGuaranteed", "IHCP-species-dilution-info": "", "IHCP-species-notes": "<p></p>" }, "Mouse": { "IP-species-checked": "guaranteed", "IP-species-dilution-info": "", "IP-species-notes": "", "Dot-species-checked": "guaranteed", "Dot-species-dilution-info": "", "Dot-species-notes": "", "WB-species-checked": "testedAndGuaranteed", "WB-species-dilution-info": "", "WB-species-notes": "<p></p>", "ICCIF-species-checked": "guaranteed", "ICCIF-species-dilution-info": "", "ICCIF-species-notes": "", "IHCP-species-checked": "testedAndGuaranteed", "IHCP-species-dilution-info": "", "IHCP-species-notes": "<p></p>" }, "Rat": { "IP-species-checked": "testedAndGuaranteed", "IP-species-dilution-info": "", "IP-species-notes": "<p></p>", "Dot-species-checked": "guaranteed", "Dot-species-dilution-info": "", "Dot-species-notes": "", "WB-species-checked": "testedAndGuaranteed", "WB-species-dilution-info": "", "WB-species-notes": "<p></p>", "ICCIF-species-checked": "guaranteed", "ICCIF-species-dilution-info": "", "ICCIF-species-notes": "", "IHCP-species-checked": "testedAndGuaranteed", "IHCP-species-dilution-info": "", "IHCP-species-notes": "<p></p>" } } }

产品详情

ab222493 is the carrier-free version of ab214036.

Patented technology
Our RabMAb® technology is a patented hybridoma-based technology for making rabbit monoclonal antibodies. For details on our patents, please refer to RabMAb® patents.

Conjugation ready
Our carrier-free antibodies are typically supplied in a PBS-only formulation, purified and free of BSA, sodium azide and glycerol. This conjugation-ready format is designed for use with fluorochromes, metal isotopes, oligonucleotides, and enzymes, which makes them ideal for antibody labelling, functional and cell-based assays, flow-based assays (e.g. mass cytometry) and Multiplex Imaging applications.

Use our conjugation kits for antibody conjugates that are ready-to-use in as little as 20 minutes with 1 minute hands-on-time and 100% antibody recovery: available for fluorescent dyes, HRP, biotin and gold.

Compatibility
This product is compatible with the Maxpar® Antibody Labeling Kit from Fluidigm, without the need for antibody preparation. Maxpar® is a trademark of Fluidigm Canada Inc.

性能和储存信息

形式
Liquid
纯化工艺
Affinity purification Protein A
存储溶液
pH: 7.2 - 7.4 Constituents: PBS
运输条件
Blue Ice
推荐的短期储存条件
+4°C
推荐的长期储存条件
+4°C
储存信息
Do Not Freeze

补充信息

This supplementary information is collated from multiple sources and compiled automatically.

ERK1 and ERK2 also known as p44 and p42 MAPK respectively are important proteins in the MAP kinase signaling pathway. They are expressed in various tissues with significant presence in the brain lungs and skin. ERK1 has a molecular weight of approximately 44 kDa while ERK2 has a molecular weight of around 42 kDa. Both proteins become activated through phosphorylation which is essential for their function in cellular processes.
Biological function summary

ERK1 and ERK2 serve as key players in cellular growth differentiation and survival. They form part of a complex cascade where they transduce signals from the cell membrane to the nucleus after activation by phosphorylation. This phosphorylation enables them to modify various downstream targets involved in regulating gene expression and cellular response to external stimuli.

Pathways

ERK1 and ERK2 are critical components of the MAPK/ERK pathway and the Ras-Raf-MEK-ERK signaling cascade. These pathways regulate a multitude of cellular activities including proliferation and differentiation. In the MAPK/ERK pathway proteins like Ras and Raf serve as upstream activators of ERK1 and ERK2. Both ERK1 and ERK2 also interact with other signaling proteins such as MEK1/2 which directly phosphorylates and activates them.

Dysregulation of ERK1 and ERK2 is associated with various pathologies including cancer and neurodegenerative diseases. Abnormal activation of these proteins often leads to uncontrolled cell proliferation contributing to oncogenesis. For instance mutations in proteins like Ras which regulate ERK1 and ERK2 can result in continuous activation and lead to tumor formation. Furthermore altered ERK1 and ERK2 signaling is linked to neurodegeneration impacting neuronal survival and function.

产品实验方案

For this product, it's our understanding that no specific protocols are required. You can visit:

靶点信息

Serine/threonine kinase which acts as an essential component of the MAP kinase signal transduction pathway (PubMed : 34497368). MAPK1/ERK2 and MAPK3/ERK1 are the 2 MAPKs which play an important role in the MAPK/ERK cascade. They participate also in a signaling cascade initiated by activated KIT and KITLG/SCF. Depending on the cellular context, the MAPK/ERK cascade mediates diverse biological functions such as cell growth, adhesion, survival and differentiation through the regulation of transcription, translation, cytoskeletal rearrangements. The MAPK/ERK cascade also plays a role in initiation and regulation of meiosis, mitosis, and postmitotic functions in differentiated cells by phosphorylating a number of transcription factors. About 160 substrates have already been discovered for ERKs. Many of these substrates are localized in the nucleus, and seem to participate in the regulation of transcription upon stimulation. However, other substrates are found in the cytosol as well as in other cellular organelles, and those are responsible for processes such as translation, mitosis and apoptosis. Moreover, the MAPK/ERK cascade is also involved in the regulation of the endosomal dynamics, including lysosome processing and endosome cycling through the perinuclear recycling compartment (PNRC); as well as in the fragmentation of the Golgi apparatus during mitosis. The substrates include transcription factors (such as ATF2, BCL6, ELK1, ERF, FOS, HSF4 or SPZ1), cytoskeletal elements (such as CANX, CTTN, GJA1, MAP2, MAPT, PXN, SORBS3 or STMN1), regulators of apoptosis (such as BAD, BTG2, CASP9, DAPK1, IER3, MCL1 or PPARG), regulators of translation (such as EIF4EBP1) and a variety of other signaling-related molecules (like ARHGEF2, DEPTOR, FRS2 or GRB10) (PubMed : 35216969). Protein kinases (such as RAF1, RPS6KA1/RSK1, RPS6KA3/RSK2, RPS6KA2/RSK3, RPS6KA6/RSK4, SYK, MKNK1/MNK1, MKNK2/MNK2, RPS6KA5/MSK1, RPS6KA4/MSK2, MAPKAPK3 or MAPKAPK5) and phosphatases (such as DUSP1, DUSP4, DUSP6 or DUSP16) are other substrates which enable the propagation the MAPK/ERK signal to additional cytosolic and nuclear targets, thereby extending the specificity of the cascade.
See full target information MAPK3 phospho T202

其他靶点

MAPK1 phospho T185

文献 (2)

Recent publications for all applications. Explore the full list and refine your search

Molecular medicine reports 20:4943-4952 PubMed31638207

2019

Exopolysaccharide from Paecilomyces lilacinus modulates macrophage activities through the TLR4/NF‑κB/MAPK pathway.

Applications

Unspecified application

Species

Unspecified reactive species

Chao He,Hai-Yan Lin,Cai-Chun Wang,Ming Zhang,Ying-Ying Lin,Feng-Ying Huang,Ying-Zi Lin,Guang-Hong Tan

Experimental and therapeutic medicine 17:1537-1544 PubMed30783419

2019

miR-181b-5p promotes proliferation and inhibits apoptosis of hypertrophic scar fibroblasts through regulating the MEK/ERK/p21 pathway.

Applications

Unspecified application

Species

Unspecified reactive species

Bo Liu,Zhe Guo,Weiming Gao
View all publications

Abcam Product Promise

我们致力于为您的研究提供高质量的试剂,为您科研的每一步提供支持。若我们的产品未能达到预期性能,我们向您提供 Abcam Product Promise 保障。
详情请参阅我们的条款与条件。

Please note: All products are 'FOR RESEARCH USE ONLY. NOT FOR USE IN DIAGNOSTIC OR THERAPEUTIC PROCEDURES'.

For licensing inquiries, please contact partnerships@abcam.com