JavaScript is disabled in your browser. Please enable JavaScript to view this website.
AB194776

Anti-ERK1 (phospho T202)抗体

Anti-ERK1 (phospho T202) antibody

Be the first to review this product! Submit a review

|

(7 Publications)

Rabbit Polyclonal ERK1 phospho T202 antibody. Suitable for WB, IHC-P, ICC/IF and reacts with Human samples. Cited in 7 publications. Immunogen corresponding to Synthetic Peptide within Human MAPK3 phospho T202.

查看别名

ERK1, PRKM3, MAPK3, Mitogen-activated protein kinase 3, MAP kinase 3, MAPK 3, ERT2, Extracellular signal-regulated kinase 1, Insulin-stimulated MAP2 kinase, MAP kinase isoform p44, Microtubule-associated protein 2 kinase, p44-ERK1, ERK-1, p44-MAPK

3 Images
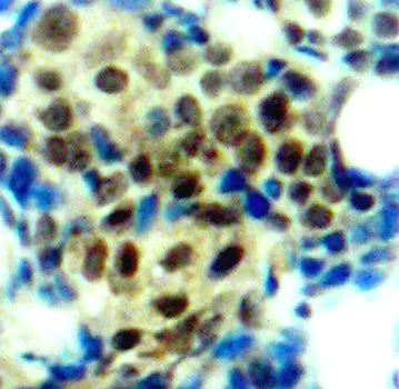
Immunohistochemistry (Formalin/PFA-fixed paraffin-embedded sections) - Anti-ERK1 (phospho T202) antibody (AB194776)
  • IHC-P

Supplier Data

Immunohistochemistry (Formalin/PFA-fixed paraffin-embedded sections) - Anti-ERK1 (phospho T202) antibody (AB194776)

Immunohistochemical analysis of paraffin-embedded Human breast carcinoma tissue labeling ERK1 (phospho T202) with ab194776 at 1/50 dilution.

Immunocytochemistry/ Immunofluorescence - Anti-ERK1 (phospho T202) antibody (AB194776)
  • ICC/IF

Supplier Data

Immunocytochemistry/ Immunofluorescence - Anti-ERK1 (phospho T202) antibody (AB194776)

Immunofluorescent analysis of methanol-fixed HeLa cells labeling ERK1 (phospho T202) with ab194776 at 1/100 dilution.

Western blot - Anti-ERK1 (phospho T202) antibody (AB194776)
  • WB

Supplier Data

Western blot - Anti-ERK1 (phospho T202) antibody (AB194776)

All lanes:

Western blot - Anti-ERK1 (phospho T202) antibody (ab194776) at 1/500 dilution

Lane 1:

293 cell extract, untreated

Lane 2:

293 cell extract, treated with PMA

Predicted band size: 43 kDa

false

关键信息

宿主种属

Rabbit

克隆

Polyclonal

亚型

IgG

不含载体蛋白

No

反应种属

Human

应用

ICC/IF, WB, IHC-P

applications

免疫原

Synthetic Peptide within Human MAPK3 phospho T202. The exact immunogen used to generate this antibody is proprietary information.

P27361

反应性数据

{ "title": "Reactivity Data", "filters": { "stats": ["", "Species", "Dilution Info", "Notes"], "tabs": { "all-applications": {"fullname" : "All Applications", "shortname": "All Applications"}, "WB" : {"fullname" : "Western blot", "shortname":"WB"}, "IHCP" : {"fullname" : "Immunohistochemistry (Formalin/PFA-fixed paraffin-embedded sections)", "shortname":"IHC-P"}, "ICCIF" : {"fullname" : "Immunocytochemistry/ Immunofluorescence", "shortname":"ICC/IF"} }, "product-promise": { "all": "all", "testedAndGuaranteed": "tested", "guaranteed": "expected", "predicted": "predicted", "notRecommended": "not-recommended" } }, "values": { "Human": { "WB-species-checked": "testedAndGuaranteed", "WB-species-dilution-info": "1/500 - 1/2000", "WB-species-notes": "<p></p>", "IHCP-species-checked": "testedAndGuaranteed", "IHCP-species-dilution-info": "1/50 - 1/100", "IHCP-species-notes": "<p></p>", "ICCIF-species-checked": "testedAndGuaranteed", "ICCIF-species-dilution-info": "1/100 - 1/200", "ICCIF-species-notes": "<p></p>" } } }

性能和储存信息

形式
Liquid
纯化工艺
Affinity purification Immunogen
存储溶液
pH: 7.3 Preservative: 0.02% Sodium azide Constituents: PBS, 50% Glycerol (glycerin, glycerine)
运输条件
Blue Ice
推荐的短期储存时间
1-2 weeks
推荐的短期储存条件
+4°C
推荐的长期储存条件
-20°C
分装信息
Upon delivery aliquot
储存信息
Avoid freeze / thaw cycle

补充信息

This supplementary information is collated from multiple sources and compiled automatically.

ERK1 also known as MAPK3 is an extracellular signal-regulated kinase involved in transmitting signals from the cell surface to the nucleus. This protein has a molecular mass of about 44 kDa. ERK1 expresses in various tissue types with higher expression in the brain heart and skeletal muscle. Researchers often study ERK1 in the context of its role in cellular signaling due to its involvement in critical regulatory functions.
Biological function summary

ERK1 plays a significant role in cell cycle regulation differentiation and proliferation. It forms part of the MAPK signaling cascade becoming activated through a phosphorylation event. In its activated form ERK1 translocates to the nucleus where it phosphorylates target substrates. ERK1 often functions in conjunction with its homolog ERK2 to mediate these cellular processes marking it as an essential player in growth factor signaling.

Pathways

ERK1 functions primarily within the MAPK/ERK signaling pathway a major conduit for transmitting proliferative signals from growth factor receptors. ERK1 interacts with proteins like MEK1/2 which phosphorylate and activate ERK1 in response to extracellular stimuli. Another critical pathway involving ERK1 is the Ras-Raf-MEK-ERK cascade which regulates various cellular outcomes. This connection to the Ras family highlights its importance in signal transduction and reinforces its position in critical cellular processes.

Aberrant activation of ERK1 connects to diseases such as cancer and cardiovascular disorders. In cancer the dysregulation of the MAPK/ERK pathway often through mutations affecting Ras or Raf proteins leads to uncontrolled cell proliferation. ERK1's involvement in cardiovascular diseases links to its role in hypertrophic signaling in cardiac cells where altered ERK1 activity can contribute to pathological cardiac remodeling. Understanding these interactions can aid in developing therapeutic strategies targeting the MAPK/ERK signaling pathway.

产品实验方案

For this product, it's our understanding that no specific protocols are required. You can visit:

靶点信息

Serine/threonine kinase which acts as an essential component of the MAP kinase signal transduction pathway (PubMed : 34497368). MAPK1/ERK2 and MAPK3/ERK1 are the 2 MAPKs which play an important role in the MAPK/ERK cascade. They participate also in a signaling cascade initiated by activated KIT and KITLG/SCF. Depending on the cellular context, the MAPK/ERK cascade mediates diverse biological functions such as cell growth, adhesion, survival and differentiation through the regulation of transcription, translation, cytoskeletal rearrangements. The MAPK/ERK cascade also plays a role in initiation and regulation of meiosis, mitosis, and postmitotic functions in differentiated cells by phosphorylating a number of transcription factors. About 160 substrates have already been discovered for ERKs. Many of these substrates are localized in the nucleus, and seem to participate in the regulation of transcription upon stimulation. However, other substrates are found in the cytosol as well as in other cellular organelles, and those are responsible for processes such as translation, mitosis and apoptosis. Moreover, the MAPK/ERK cascade is also involved in the regulation of the endosomal dynamics, including lysosome processing and endosome cycling through the perinuclear recycling compartment (PNRC); as well as in the fragmentation of the Golgi apparatus during mitosis. The substrates include transcription factors (such as ATF2, BCL6, ELK1, ERF, FOS, HSF4 or SPZ1), cytoskeletal elements (such as CANX, CTTN, GJA1, MAP2, MAPT, PXN, SORBS3 or STMN1), regulators of apoptosis (such as BAD, BTG2, CASP9, DAPK1, IER3, MCL1 or PPARG), regulators of translation (such as EIF4EBP1) and a variety of other signaling-related molecules (like ARHGEF2, DEPTOR, FRS2 or GRB10) (PubMed : 35216969). Protein kinases (such as RAF1, RPS6KA1/RSK1, RPS6KA3/RSK2, RPS6KA2/RSK3, RPS6KA6/RSK4, SYK, MKNK1/MNK1, MKNK2/MNK2, RPS6KA5/MSK1, RPS6KA4/MSK2, MAPKAPK3 or MAPKAPK5) and phosphatases (such as DUSP1, DUSP4, DUSP6 or DUSP16) are other substrates which enable the propagation the MAPK/ERK signal to additional cytosolic and nuclear targets, thereby extending the specificity of the cascade.
See full target information MAPK3 phospho T202

文献 (7)

Recent publications for all applications. Explore the full list and refine your search

Biology 12: PubMed37998017

2023

Acetylcholine, Another Factor in Breast Cancer.

Applications

Unspecified application

Species

Unspecified reactive species

Juan P Muñoz,Gloria M Calaf

Molecular medicine reports 25: PubMed35191517

2022

NR3C2 suppresses the proliferation, migration, invasion and angiogenesis of colon cancer cells by inhibiting the AKT/ERK signaling pathway.

Applications

Unspecified application

Species

Unspecified reactive species

Jia Li,Zhao Xu

Molecular medicine reports 24: PubMed34676879

2021

MicroRNA‑200c‑3p suppresses intervertebral disc degeneration by targeting RAP2C/ERK signaling.

Applications

Unspecified application

Species

Unspecified reactive species

Jianping Cao,Meng Jiang,Huafeng Ren,Kai Xu

Annals of translational medicine 9:148 PubMed33569450

2021

Tumor necrosis factor receptor type 1-associated death domain (TRADD) regulates epithelial-mesenchymal transition (EMT), M1/M2 macrophage polarization and ectopic endometrial cysts formation in endometriosis.

Applications

Unspecified application

Species

Unspecified reactive species

Chang Lu,Yong Liu,Xiaodan Wang,Haili Jiang,Zhaohui Liu

Cell & bioscience 9:86 PubMed31649814

2019

Angiotensin II receptor blocker LCZ696 attenuates cardiac remodeling through the inhibition of the ERK signaling pathway in mice with pregnancy-associated cardiomyopathy.

Applications

Unspecified application

Species

Unspecified reactive species

Yi Wang,Zhiheng Guo,Yongmei Gao,Ping Liang,Yanhong Shan,Jin He

Artificial cells, nanomedicine, and biotechnology 47:4038-4045 PubMed31608699

2019

Circ_0026344 restrains metastasis of human colorectal cancer cells via miR-183.

Applications

Unspecified application

Species

Unspecified reactive species

Tao Shen,Xianshuo Cheng,Xin Liu,Cuifeng Xia,Hongtao Zhang,Dingguo Pan,Xuan Zhang,Yunfeng Li

Artificial cells, nanomedicine, and biotechnology 47:2866-2874 PubMed31299862

2019

Lidocaine inhibits proliferation and metastasis of lung cancer cell via regulation of miR-539/EGFR axis.

Applications

Unspecified application

Species

Unspecified reactive species

Hai Sun,Yan Sun
View all publications

Abcam Product Promise

我们致力于为您的研究提供高质量的试剂,为您科研的每一步提供支持。若我们的产品未能达到预期性能,我们向您提供 Abcam Product Promise 保障。
详情请参阅我们的条款与条件。

Please note: All products are 'FOR RESEARCH USE ONLY. NOT FOR USE IN DIAGNOSTIC OR THERAPEUTIC PROCEDURES'.

For licensing inquiries, please contact partnerships@abcam.com