JavaScript is disabled in your browser. Please enable JavaScript to view this website.
AB17942

Anti-ERK1 + ERK2 抗体

Anti-ERK1 + ERK2 antibody

4

(25 Reviews)

|

(449 Publications)

Rabbit Polyclonal ERK1 antibody. Suitable for ICC, WB, IHC-P and reacts with Human, Mouse, Rat samples. Cited in 449 publications. Immunogen corresponding to Synthetic Peptide within Human MAPK3 aa 300-350.

查看别名

ERK1, PRKM3, MAPK3, Mitogen-activated protein kinase 3, MAP kinase 3, MAPK 3, ERT2, Extracellular signal-regulated kinase 1, Insulin-stimulated MAP2 kinase, MAP kinase isoform p44, Microtubule-associated protein 2 kinase, p44-ERK1, ERK-1, p44-MAPK

8 Images
Immunohistochemistry (Formalin/PFA-fixed paraffin-embedded sections) - Anti-ERK1 + ERK2 antibody (AB17942)
  • IHC-P

Unknown

Immunohistochemistry (Formalin/PFA-fixed paraffin-embedded sections) - Anti-ERK1 + ERK2 antibody (AB17942)

Immunohistochemistry analysis of ERK1/2 (pan) showing staining in the cytoplasm and nucleus of paraffin-embedded human breast carcinoma tissue (right) compared to a negative control without primary antibody (left). To expose target proteins, antigen retrieval was performed using 10mM sodium citrate (pH 6.0), microwaved for 8-15 min. Following antigen retrieval, tissues were blocked in 3% H2O2-methanol for 15 min at room temperature, washed with ddH2O and PBS, and then probed with ab17942 diluted in 3% BSA-PBS at a dilution of 1 : 100 overnight at 4°C in a humidified chamber. Tissues were washed extensively in PBST and detection was performed using an HRP-conjugated secondary antibody followed by colorimetric detection using a DAB kit. Tissues were counterstained with hematoxylin and dehydrated with ethanol and xylene to prep for mounting.

Immunohistochemistry (Formalin/PFA-fixed paraffin-embedded sections) - Anti-ERK1 + ERK2 antibody (AB17942)
  • IHC-P

Unknown

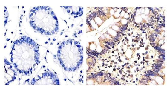
Immunohistochemistry (Formalin/PFA-fixed paraffin-embedded sections) - Anti-ERK1 + ERK2 antibody (AB17942)

Immunohistochemistry analysis of ERK1/2 (pan) showing staining in the cytoplasm and nucleus of paraffin-embedded human colon carcinoma tissue (right) compared to a negative control without primary antibody (left). To expose target proteins, antigen retrieval was performed using 10mM sodium citrate (pH 6.0), microwaved for 8-15 min. Following antigen retrieval, tissues were blocked in 3% H2O2-methanol for 15 min at room temperature, washed with ddH2O and PBS, and then probed with ab17942 diluted in 3% BSA-PBS at a dilution of 1 : 20 overnight at 4°C in a humidified chamber. Tissues were washed extensively in PBST and detection was performed using an HRP-conjugated secondary antibody followed by colorimetric detection using a DAB kit. Tissues were counterstained with hematoxylin and dehydrated with ethanol and xylene to prep for mounting.

Immunocytochemistry - Anti-ERK1 + ERK2 antibody (AB17942)
  • ICC

Unknown

Immunocytochemistry - Anti-ERK1 + ERK2 antibody (AB17942)

Immunofluorescent analysis of ERK1 + ERK2 Antibody was done on 70% confluent log phase U87-MG cells. The cells were fixed with 4% paraformaldehyde for 15 minutes, permeabilized with 0.25% Triton™ X-100 for 10 minutes, and blocked with 5% BSA for 1 hour at room temperature. The cells were labeled with ab17942 at 1 : 250 dilution in 1% BSA and incubated for 3 hours at room temperature and then labeled with Alexa Fluor 488 Goat Anti-Rabbit IgG Secondary Antibody at a dilution of 1 : 400 for 45 minutes at room temperature (Panel a : green). Nuclei (Panel b : blue) were stained with SlowFade® Gold Antifade Mountant with DAPI. F-actin (Panel c : red) was stained with Alexa Fluor 594 Phalloidin. Panel d is a merged image showing cytoplasmic and nuclear localization. Panel e is a no primary antibody control. The images were captured at 40X magnification.

Immunohistochemistry (Formalin/PFA-fixed paraffin-embedded sections) - Anti-ERK1 + ERK2 antibody (AB17942)
  • IHC-P

Unknown

Immunohistochemistry (Formalin/PFA-fixed paraffin-embedded sections) - Anti-ERK1 + ERK2 antibody (AB17942)

Immunohistochemistry analysis of ERK1/2 (pan) showing staining in the cytoplasm and nucleus of paraffin-embedded mouse stomach tissue (right) compared to a negative control without primary antibody (left). To expose target proteins, antigen retrieval was performed using 10mM sodium citrate (pH 6.0), microwaved for 8-15 min. Following antigen retrieval, tissues were blocked in 3% H2O2-methanol for 15 min at room temperature, washed with ddH2O and PBS, and then probed with ab17942 diluted in 3% BSA-PBS at a dilution of 1 : 20 overnight at 4°C in a humidified chamber. Tissues were washed extensively in PBST and detection was performed using an HRP-conjugated secondary antibody followed by colorimetric detection using a DAB kit. Tissues were counterstained with hematoxylin and dehydrated with ethanol and xylene to prep for mounting.

Western blot - Anti-ERK1 + ERK2 antibody (AB17942)
  • WB

Unknown

Western blot - Anti-ERK1 + ERK2 antibody (AB17942)

All lanes:

Western blot - Anti-ERK1 + ERK2 antibody (ab17942) at 1/1000 dilution

Lane 1:

K562 cells at 20 µg

Lane 2:

Daudi cells at 20 µg

Lane 3:

Hep G2 cells at 20 µg

Lane 4:

PC-3 cells at 20 µg

Lane 5:

NIH 3T3 cells at 20 µg

Secondary

All lanes:

Anti-Rabbit IgG - HRP Secondary Antibody at 1/5000 dilution

Predicted band size: 41 kDa

false

Western blot - Anti-ERK1 + ERK2 antibody (AB17942)
  • WB

AbReview11057****

Western blot - Anti-ERK1 + ERK2 antibody (AB17942)

The tissue was harvested seven days post surgery, sonicated with RIPA buffer and the protein estimate made by Lowry. A 10% SDS-PAGE gel was run for 1.5 hr at 100V and transfered to PVDF membrane for 1.5 hr at 274 mA. The blot was blocked with 5% BSA for 1 hour at 23°C. The primary antibody was incubated with the blot for 18 hours at 4°C.

All lanes:

Western blot - Anti-ERK1 + ERK2 antibody (ab17942) at 1/1000 dilution

Lane 1:

Rat spinal cord tissue homogenate from animals that underwent Sham surgery at 20 µg

Lanes 2 - 3:

Rat spinal cord tissue homogenate from animals that underwent L5 nerve transection at 20 µg

Secondary

All lanes:

HRP conjugated goat anti-rabbit antibody at 1/3000 dilution

Predicted band size: 41 kDa

Observed band size: 42 kDa,44 kDa

true

Exposure time: 5min

This image is courtesy of an anonymous Abreview

Western blot - Anti-ERK1 + ERK2 antibody (AB17942)
  • WB

PubMed

Western blot - Anti-ERK1 + ERK2 antibody (AB17942)

Western blot analysis of Mice retinas (40-50μg/lane) labelling with anti-ERK1/2 at 1∶300 (ab17942) and mouse monoclonal anti-phosphorylated ERK1/2 at 1∶300 (ab50011), in 5% nonfat milk in TBST overnight at 4°C. HRP conjugated antibodies were used as the secondary antibodies.

Data is expressed as percentage change in phosphorylated ERK1/2 (p-ERK1/2) over total ERK1/2 (t-ERK1/2) calculated in control and diabetic mice maintained with and without Edaravone treatment

Results are expressed as mean±SD. Values obtained from Normal group are considered as 100%. *P<0.05, ***P<0.001 vs. Normal, #P<0.05 vs. Edaravone

All lanes:

Western blot - Anti-ERK1 + ERK2 antibody (ab17942)

Predicted band size: 41 kDa

true

Image from PLoS One. 2014; 9(6): e99219. Fig3A, doi: 10.1371/journal.pone.0099219 Reproduced under the Creative Commons license http://creativecommons.org/licenses/by/4.0/

Western blot - Anti-ERK1 + ERK2 antibody (AB17942)
  • WB

Unknown

Western blot - Anti-ERK1 + ERK2 antibody (AB17942)

Western Blot for ab17942.

Extracts prepared from PC12 cells not stimulated (-), or stimulated with NGF (+) were resolved by SDS-PAGE on a 10% polyacrylamide gel and transferred to nitrocellulose. Membranes were blocked with a 5% BSA-TBST buffer overnight at 4C, then were incubated with ERK1&2 pan antibody for two hours at room temperature in a 3% BSA-TBST buffer. After washing, membranes were incubated with goat anti-rabbit IgG alkaline phosphatase.

These data show that ab17942 ERK1&2 antibody allows the total amount of ERK1&2 to be measured.

All lanes:

Western blot - Anti-ERK1 + ERK2 antibody (ab17942)

Predicted band size: 41 kDa

false

关键信息

宿主种属

Rabbit

克隆

Polyclonal

亚型

IgG

不含载体蛋白

No

反应种属

Mouse, Rat, Human

应用

ICC, IHC-P, WB

applications

免疫原

Synthetic Peptide within Human MAPK3 aa 300-350. The exact immunogen used to generate this antibody is proprietary information.

P27361

反应性数据

{ "title": "Reactivity Data", "filters": { "stats": ["", "Species", "Dilution Info", "Notes"], "tabs": { "all-applications": {"fullname" : "All Applications", "shortname": "All Applications"}, "ICC" : {"fullname" : "Immunocytochemistry", "shortname":"ICC"}, "WB" : {"fullname" : "Western blot", "shortname":"WB"}, "IHCP" : {"fullname" : "Immunohistochemistry (Formalin/PFA-fixed paraffin-embedded sections)", "shortname":"IHC-P"} }, "product-promise": { "all": "all", "testedAndGuaranteed": "tested", "guaranteed": "expected", "predicted": "predicted", "notRecommended": "not-recommended" } }, "values": { "Human": { "ICC-species-checked": "testedAndGuaranteed", "ICC-species-dilution-info": "1 µg/mL", "ICC-species-notes": "<p></p>", "WB-species-checked": "testedAndGuaranteed", "WB-species-dilution-info": "1/1000", "WB-species-notes": "<p></p>", "IHCP-species-checked": "testedAndGuaranteed", "IHCP-species-dilution-info": "1/10 - 1/100", "IHCP-species-notes": "<p></p>" }, "Mouse": { "ICC-species-checked": "guaranteed", "ICC-species-dilution-info": "", "ICC-species-notes": "", "WB-species-checked": "testedAndGuaranteed", "WB-species-dilution-info": "1/1000", "WB-species-notes": "<p></p>", "IHCP-species-checked": "guaranteed", "IHCP-species-dilution-info": "", "IHCP-species-notes": "" }, "Rat": { "ICC-species-checked": "guaranteed", "ICC-species-dilution-info": "", "ICC-species-notes": "", "WB-species-checked": "testedAndGuaranteed", "WB-species-dilution-info": "1/1000", "WB-species-notes": "<p></p>", "IHCP-species-checked": "guaranteed", "IHCP-species-dilution-info": "", "IHCP-species-notes": "" } } }

产品详情

Please note that this is an intracellular epitope.

性能和储存信息

形式
Liquid
纯化工艺
Affinity purification Immunogen
存储溶液
pH: 7.3 Preservative: 0.05% Sodium azide Constituents: PBS, 50% Glycerol (glycerin, glycerine), 0.1% BSA
运输条件
Blue Ice
推荐的短期储存时间
1-2 weeks
推荐的短期储存条件
+4°C
推荐的长期储存条件
-20°C
分装信息
Upon delivery aliquot
储存信息
Avoid freeze / thaw cycle

补充信息

This supplementary information is collated from multiple sources and compiled automatically.

ERK1 and ERK2 also known as MAPK3 and MAPK1 respectively are protein kinases involved in the mitogen-activated protein kinase (MAPK) signaling pathway. They share high sequence identity and exhibit similar functions. ERK1 has a molecular weight of approximately 44 kDa while ERK2 weighs around 42 kDa. Both are expressed ubiquitously in various tissues playing roles in diverse cellular processes. These proteins often detected through ERK1/2 western blot analyses present similar ERK protein size and ERK molecular weight characteristics relevant during protein expression studies.
Biological function summary

ERK1 and ERK2 play key roles in cell proliferation differentiation and survival. They form part of a cascade that includes upstream activators such as MEK1/2 and downstream targets including transcription factors. As components of the MAPK signaling complex ERK1/2 regulate gene expression through phosphorylation events impacting cellular responses to various stimuli. Their activation often hinges on growth factors cytokines and stress signals facilitating cellular adaptation to environmental changes.

Pathways

Regarding pathways ERK1/2 sit within the MAPK/ERK pathway and are significant in the Ras/Raf/MEK/ERK cascade one of the foremost signaling mechanisms in cells. They interact with several proteins including Ras and Raf which modulate their activation. This pathway is important for transmitting signals from the cell surface to the DNA in the cell nucleus impacting gene regulation and cell fate decisions. ERK1/2 proteins therefore serve as critical nodes linking extracellular signals to cellular responses ensuring balanced cell function.

ERK1/2 play significant roles in cancer and neurodegenerative diseases. Their overactivation is often linked to oncogenic processes contributing to cell proliferation in cancers. Mutations or dysregulation within the MAPK/ERK pathway including ERK1/2 frequently associate with tumorigenesis. Additionally in neurodegenerative disorders like Alzheimer's disease altered ERK1/2 activity may impact neuronal survival and function often through interaction with amyloid-beta and tau proteins further illustrating their importance in disease pathophysiology.

产品实验方案

For this product, it's our understanding that no specific protocols are required. You can visit:

靶点信息

Serine/threonine kinase which acts as an essential component of the MAP kinase signal transduction pathway (PubMed : 34497368). MAPK1/ERK2 and MAPK3/ERK1 are the 2 MAPKs which play an important role in the MAPK/ERK cascade. They participate also in a signaling cascade initiated by activated KIT and KITLG/SCF. Depending on the cellular context, the MAPK/ERK cascade mediates diverse biological functions such as cell growth, adhesion, survival and differentiation through the regulation of transcription, translation, cytoskeletal rearrangements. The MAPK/ERK cascade also plays a role in initiation and regulation of meiosis, mitosis, and postmitotic functions in differentiated cells by phosphorylating a number of transcription factors. About 160 substrates have already been discovered for ERKs. Many of these substrates are localized in the nucleus, and seem to participate in the regulation of transcription upon stimulation. However, other substrates are found in the cytosol as well as in other cellular organelles, and those are responsible for processes such as translation, mitosis and apoptosis. Moreover, the MAPK/ERK cascade is also involved in the regulation of the endosomal dynamics, including lysosome processing and endosome cycling through the perinuclear recycling compartment (PNRC); as well as in the fragmentation of the Golgi apparatus during mitosis. The substrates include transcription factors (such as ATF2, BCL6, ELK1, ERF, FOS, HSF4 or SPZ1), cytoskeletal elements (such as CANX, CTTN, GJA1, MAP2, MAPT, PXN, SORBS3 or STMN1), regulators of apoptosis (such as BAD, BTG2, CASP9, DAPK1, IER3, MCL1 or PPARG), regulators of translation (such as EIF4EBP1) and a variety of other signaling-related molecules (like ARHGEF2, DEPTOR, FRS2 or GRB10) (PubMed : 35216969). Protein kinases (such as RAF1, RPS6KA1/RSK1, RPS6KA3/RSK2, RPS6KA2/RSK3, RPS6KA6/RSK4, SYK, MKNK1/MNK1, MKNK2/MNK2, RPS6KA5/MSK1, RPS6KA4/MSK2, MAPKAPK3 or MAPKAPK5) and phosphatases (such as DUSP1, DUSP4, DUSP6 or DUSP16) are other substrates which enable the propagation the MAPK/ERK signal to additional cytosolic and nuclear targets, thereby extending the specificity of the cascade.
See full target information MAPK3

其他靶点

MAPK1

文献 (449)

Recent publications for all applications. Explore the full list and refine your search

Scientific reports 15:33520 PubMed41023048

2025

SETD5 in glioma cells conferred TRAIL resistance induction.

Applications

Unspecified application

Species

Unspecified reactive species

Lakshay Taneja,Sachin Bhardwaj,Ajay Kumar Yadav

Cancer cell international 25:315 PubMed40859234

2025

AZD5153 enhances the chemo-sensitivity of gemcitabine on pancreatic cancer cells in vitro and in vivo.

Applications

Unspecified application

Species

Unspecified reactive species

Haixin Zhu,Minmin Shen,Yiqian Zhu,Ruoqi Wang,Rong Dong,Yuyu Huang,Lulin Zhu,Ying Li,Youyou Yan,Jiang Lou,Bo Zhang,Nengming Lin,Biqin Tan

Food science & nutrition 13:e70484 PubMed40548179

2025

The Alleviative Effect of Naringin Against Cardiovascular Dysfunction and Remodeling in Hypertensive Rats by Suppressing the Angiotensin II Pathway.

Applications

Unspecified application

Species

Unspecified reactive species

Juthamas Khamseekaew,Metee Iampanichakul,Prapassorn Potue,Putcharawipa Maneesai,Panot Tangsucharit,Siwayu Rattanakanokchai,Poungrat Pakdeechote

Journal of biomedical research :1-14 PubMed40441854

2025

Remote neuromuscular electrical stimulation upregulates MDK to enhance macrophage efferocytosis LRP1 in wound healing.

Applications

Unspecified application

Species

Unspecified reactive species

Lijuan Zong,Chong Liu,Li Zhang,Xueyou Tao,Qingyan Tian,Xiaokai Zhou,Yu Wang,Na Shen,Jiaming Gong,Qingyuan Zhuang,Tong Wang,Wentao Liu,Ying Shen,Liang Hu

Journal of experimental & clinical cancer research : CR 44:139 PubMed40336047

2025

Targeted inhibition of PDGFRA with avapritinib, markedly enhances lenvatinib efficacy in hepatocellular carcinoma in vitro and in vivo: clinical implications.

Applications

Unspecified application

Species

Unspecified reactive species

Bixing Zhao,Yang Zhou,Niangmei Cheng,Xiaoyuan Zheng,Geng Chen,Xin Qi,Xiangzhi Zhang,Fei Wang,Qiuyu Zhuang,Yehuda G Assaraf,Xiaolong Liu,Yingchao Wang,Yongyi Zeng

International journal of molecular sciences 26: PubMed39941052

2025

Skin Telocyte Secretome as Conditioned Medium Prevents Profibrotic Differentiation of Skin Fibroblasts into Myofibroblasts.

Applications

Unspecified application

Species

Unspecified reactive species

Irene Rosa,Bianca Saveria Fioretto,Elena Andreucci,Alessio Biagioni,Eloisa Romano,Mirko Manetti

Oncology research 33:199-212 PubMed39735670

2024

Lenalidomide regulates the CCL21/CCR7/ERK1/2 axis to inhibit migration and proliferation in diffuse large B-cell lymphoma.

Applications

Unspecified application

Species

Unspecified reactive species

Wen Yang,Bin Tang,Dan Xu,Wenxiu Yang

American journal of hematology 100:52-65 PubMed39558179

2024

RAS signaling pathway is essential in regulating PIEZO1-mediated hepatic iron overload in dehydrated hereditary stomatocytosis.

Applications

Unspecified application

Species

Unspecified reactive species

Barbara Eleni Rosato,Vanessa D'Onofrio,Roberta Marra,Antonella Nostroso,Federica Maria Esposito,Anthony Iscaro,Vito Alessandro Lasorsa,Mario Capasso,Achille Iolascon,Roberta Russo,Immacolata Andolfo

Frontiers in oncology 14:1427029 PubMed39206154

2024

Fer governs mTORC1 regulating pathways and sustains viability of pancreatic ductal adenocarcinoma cells.

Applications

Unspecified application

Species

Unspecified reactive species

Ilan Schrier,Orel Slotki-Itzchakov,Yoav Elkis,Nofar Most-Menachem,Orit Adato,Debora Fitoussi-Allouche,Sally Shpungin,Ron Unger,Uri Nir

Cell death discovery 10:308 PubMed38961068

2024

Plac8-ERK pathway modulation of monocyte function in sepsis.

Applications

Unspecified application

Species

Unspecified reactive species

Teng Zhang,Jing-Nan Fu,Gui-Bing Chen,Xiu Zhang
View all publications

Abcam Product Promise

我们致力于为您的研究提供高质量的试剂,为您科研的每一步提供支持。若我们的产品未能达到预期性能,我们向您提供 Abcam Product Promise 保障。
详情请参阅我们的条款与条件。

Please note: All products are 'FOR RESEARCH USE ONLY. NOT FOR USE IN DIAGNOSTIC OR THERAPEUTIC PROCEDURES'.

For licensing inquiries, please contact partnerships@abcam.com