JavaScript is disabled in your browser. Please enable JavaScript to view this website.
AB214168

重组Anti-ERK1抗体[Y72] - BSA and Azide free

Anti-ERK1 antibody [Y72] - BSA and Azide free

  • BOND RX™ Validated
  • RabMAb
  • Recombinant
  • KO Validated
  • 了解详情

Be the first to review this product! Submit a review

|

(5 Publications)

Rabbit Recombinant Monoclonal ERK1 antibody. Carrier free. Suitable for IHC-P, IP, WB, ICC/IF, Flow Cyt (Intra) and reacts with Human, Mouse, Synthetic peptide - Human samples. Cited in 5 publications.

查看别名

ERK1, PRKM3, MAPK3, Mitogen-activated protein kinase 3, MAP kinase 3, MAPK 3, ERT2, Extracellular signal-regulated kinase 1, Insulin-stimulated MAP2 kinase, MAP kinase isoform p44, Microtubule-associated protein 2 kinase, p44-ERK1, ERK-1, p44-MAPK

17 Images
Flow Cytometry (Intracellular) - Anti-ERK1 antibody [Y72] - BSA and Azide free (AB214168)
  • Flow Cyt (Intra)

Unknown

Flow Cytometry (Intracellular) - Anti-ERK1 antibody [Y72] - BSA and Azide free (AB214168)

Overlay histogram showing HeLa cells stained with ab32537 (red line). The cells were fixed with 4% formaldehyde (10 min) and then permeabilized with 0.1% PBS-Tween 20 for 20 min. The cells were then incubated in 1x PBS / 10% normal goat serum / 0.3M glycine to block non-specific protein-protein interactions followed by the antibody (ab32537, 1/11312) for 30 min at 22°C. The secondary antibody used was Alexa Fluor® 488 goat anti-rabbit IgG (H&L) (ab150081) at 1/2000 dilution for 30 min at 22°C. Isotype control antibody (black line) was rabbit IgG (monoclonal) (ab172730, 0.01μg/1x106 cells) used under the same conditions. Unlabelled sample (blue line) was also used as a control.

Acquisition of >5,000 events were collected using a 20mW Argon ion laser (488nm) and 525/30 bandpass filter.

This antibody gave a positive signal in HeLa cells fixed with 80% methanol (5 min)/permeabilized with 0.1% PBS-Tween 20 for 20 min used under the same conditions.

This data was developed using the same antibody clone in a different buffer formulation containing PBS, BSA, glycerol, and sodium azide (ab32537).

Immunocytochemistry/ Immunofluorescence - Anti-ERK1 antibody [Y72] - BSA and Azide free (AB214168)
  • ICC/IF

Unknown

Immunocytochemistry/ Immunofluorescence - Anti-ERK1 antibody [Y72] - BSA and Azide free (AB214168)

Immunocytochemistry/Immunofluorescence analysis of Jurkat cells labelling ERK1 with purified ab32537 at a dilution of 1/100. Cells were fixed with 4% paraformaldehyde and permeabilized with 0.1% Triton X-100. ab150077, an Alexa Fluor® 488-conjugated goat anti-rabbit IgG (1/1000) was used as the secondary antibody. DAPI (blue) was used as the nuclear counterstain. ab7291, a mouse anti-tubulin (1/1000) and ab150120, an Alexa Fluor® 594-conjugated goat anti-mouse IgG (1/1000) were also used.

Control 1 : primary antibody (1/100) and secondary antibody, ab150120, an Alexa Fluor® 594-conjugated goat anti-mouse IgG (1/1000).

Control 2 : ab7291 (1/1000) and secondary antibody, ab150077, an Alexa Fluor® 488-conjugated goat anti-rabbit IgG (1/1000).

This data was developed using the same antibody clone in a different buffer formulation containing PBS, BSA, glycerol, and sodium azide (ab32537).

Flow Cytometry (Intracellular) - Anti-ERK1 antibody [Y72] - BSA and Azide free (AB214168)
  • Flow Cyt (Intra)

Unknown

Flow Cytometry (Intracellular) - Anti-ERK1 antibody [Y72] - BSA and Azide free (AB214168)

Overlay histogram showing HAP1 wildtype (green line) and HAP1-MAPK3 knockout cells (red line) stained with ab32537. The cells were fixed with 80% methanol (5 min) and then permeabilized with 0.1% PBS-Triton X-100 for 15 min. The cells were then incubated in 1x PBS / 10% normal goat serum to block non-specific protein-protein interactions followed by the antibody (ab32537, 1μg/ml) for 30 min at 22°C. The secondary antibody used was Alexa Fluor® 488 goat anti-rabbit IgG (H&L) (ab150081) at 1/2000 dilution for 30 min at 22°C. A Rabbit IgG isotype control antibody (ab172730) was used at the same concentration and conditions as the primary antibody (HAP1 wildtype - black line, HAP1-MAPK3 knockout - grey line). Unlabelled sample was also used as a control (this line is not shown for the purpose of simplicity). Acquisition of >5,000 events were collected using a 50 mW Blue laser (488nm) and 530/30 bandpass filter. This data was developed using the same antibody clone in a different buffer formulation containing PBS, BSA, glycerol, and sodium azide (ab32537).

Flow Cytometry (Intracellular) - Anti-ERK1 antibody [Y72] - BSA and Azide free (AB214168)
  • Flow Cyt (Intra)

Lab

Flow Cytometry (Intracellular) - Anti-ERK1 antibody [Y72] - BSA and Azide free (AB214168)

Clone Y72 (ab214168) has been successfully conjugated by Abcam. This image was generated using Anti-ERK1 antibody [Y72] (Alexa Fluor® 647). Please refer to ab190579 for protocol details.

Overlay histogram showing HeLa cells stained with ab190579 (red line). The cells were fixed with 4% formaldehyde and then permeabilized with 0.1% PBS-Triton X-100 for 15 min.

The cells were then incubated in 1x PBS / 10% normal goat serum to block non-specific protein-protein interactions followed by the antibody (ab190579, 1/5000 dilution) for 30 min at 22°C.

Isotype control antibody (black line) was Rabbit IgG (monoclonal) Alexa Fluor® 647 (ab199093) used at the same concentration and conditions as the primary antibody. Unlabelled sample (blue line) was also used as a control.

Acquisition of >5,000 events were collected using a 40 mW Red laser (640nm) and 670/14 bandpass filter.

This antibody gave a positive signal in HeLa cells fixed with 80% methanol (5 min), permeabilized with 0.1% PBS-Triton X-100 for 15 min used under the same conditions.

Immunocytochemistry/ Immunofluorescence - Anti-ERK1 antibody [Y72] - BSA and Azide free (AB214168)
  • ICC/IF

AbReview41593****

Immunocytochemistry/ Immunofluorescence - Anti-ERK1 antibody [Y72] - BSA and Azide free (AB214168)

Unpurified ab32537 staining ERK1 in HeLa cells by ICC/IF (Immunocytochemistry/immunofluorescence). Cells were fixed with paraformaldehyde and permeabilized with 0.5% Triton X-100 in PBS. Samples were incubated with primary antibody (1/500 in PBS) for 1 hour at 22°C. ab150081, a goat anti rabbit Alexa Fluor® 488 (1/200) was used as the secondary antibody. Counterstained with DAPI. Cytoplasmic and nuclear staining shown.

This data was developed using the same antibody clone in a different buffer formulation containing PBS, BSA, glycerol, and sodium azide (ab32537).

This image is courtesy of an Abreview submitted by Kirk McManus.

Flow Cytometry (Intracellular) - Anti-ERK1 antibody [Y72] - BSA and Azide free (AB214168)
  • Flow Cyt (Intra)

AbReview44028****

Flow Cytometry (Intracellular) - Anti-ERK1 antibody [Y72] - BSA and Azide free (AB214168)

Unpurified ab32537 staining ERK1 (green) in HEK293 cells by intracellular flow cytometry. Cells were fixed with paraformaldehyde and permeabilized with 70% methanol. The sample was incubated with the primary antibody (1/40 in PBS + 0.2% BSA + 0.1% sodium azide) for 1 hour at 22°C. A phycoerythrin-conjugated goat anti-rabbit IgG (1/100) was used as the secondary antibody. Gating Strategy : Live Cells. Purple plot represents isotype control.

This data was developed using the same antibody clone in a different buffer formulation containing PBS, BSA, glycerol, and sodium azide (ab32537).

This image is courtesy of an anonymous Abreview

Flow Cytometry (Intracellular) - Anti-ERK1 antibody [Y72] - BSA and Azide free (AB214168)
  • Flow Cyt (Intra)

Lab

Flow Cytometry (Intracellular) - Anti-ERK1 antibody [Y72] - BSA and Azide free (AB214168)

Clone Y72 (ab214168) has been successfully conjugated by Abcam. This image was generated using Anti-ERK1 antibody [Y72] (PE). Please refer to ab210828 for protocol details.

Overlay histogram showing Jurkat cells stained with ab210828 (red line). The cells were fixed with 4% formaldehyde and then permeabilized with 90% methanol at -20°C for 15 min. The cells were then incubated in 1x PBS / 10% normal goat serum to block non-specific protein-protein interactions followed by the antibody (ab210828, 1/5000 dilution) for 30 min at 22°C.

Isotype control antibody (black line) was rabbit IgG (monoclonal) Phycoerythrin (ab209478) used at the same concentration and conditions as the primary antibody. Unlabelled sample (blue line) was also used as a control.

Acquisition of >5,000 events were collected using a 50mW Yellow/Green laser (561nm) and 586/15 bandpass filter.

Flow Cytometry (Intracellular) - Anti-ERK1 antibody [Y72] - BSA and Azide free (AB214168)
  • Flow Cyt (Intra)

Lab

Flow Cytometry (Intracellular) - Anti-ERK1 antibody [Y72] - BSA and Azide free (AB214168)

Clone Y72 (ab214168) has been successfully conjugated by Abcam. This image was generated using Anti-ERK1 antibody [Y72] (Alexa Fluor® 488). Please refer to ab190200 for protocol details.

Overlay histogram showing HeLa cells stained with ab190200 (red line). The cells were fixed with 80% methanol (5 min) and then permeabilized with 0.1% PBS-Tween for 20 min. The cells were then incubated in 1x PBS / 10% normal goat serum / 0.3M glycine to block non-specific protein-protein interactions followed by the antibody (ab190200, 1/500 dilution) for 30 min at 22°C. Isotype control antibody (black line) was rabbit IgG (monoclonal) Alexa Fluor® 488 used at the same concentration and conditions as the primary antibody. Unlabelled sample (blue line) was also used as a control.

Acquisition of >5,000 events were collected using a 20mW Argon ion laser (488nm) and 525/30 bandpass filter.

This antibody gave a positive signal in HeLa fixed with 4% formaldehyde (10 min)/permeabilized with 0.1% PBS-Tween for 20 min used under the same conditions.

Immunocytochemistry/ Immunofluorescence - Anti-ERK1 antibody [Y72] - BSA and Azide free (AB214168)
  • ICC/IF

Unknown

Immunocytochemistry/ Immunofluorescence - Anti-ERK1 antibody [Y72] - BSA and Azide free (AB214168)

ab32537 staining ERK1 in wild-type HAP1 cells (top panel) and ERK1 knockout HAP1 cells (bottom panel). The cells were fixed with 100% methanol (5min), permeabilized with 0.1% Triton X-100 for 5 minutes and then blocked with 1% BSA/10% normal goat serum/0.3M glycine in 0.1% PBS-Tween for 1h. The cells were then incubated with ab32537 at 1/400 dilution and ab7291 at 1ug/ml concentration overnight at +4°C, followed by a further incubation at room temperature for 1h with a goat secondary antibody to Rabbit IgG (Alexa Fluor® 488) (ab150081) at 2 μg/ml (shown in green) and a goat secondary antibody to Mouse IgG (Alexa Fluor® 594) (ab150117) at 2ug/ml (shown in pseudo-color red). Nuclear DNA was labelled in blue with DAPI.

This product also gave a positive signal under the same testing conditions in HAP1 cells fixed with 4% formaldehyde (10 min).

Image was taken with a confocal microscope (Leica-Microsystems, TCS SP8).

This data was developed using the same antibody clone in a different buffer formulation containing PBS, BSA, glycerol, and sodium azide (ab32537).

Flow Cytometry (Intracellular) - Anti-ERK1 antibody [Y72] - BSA and Azide free (AB214168)
  • Flow Cyt (Intra)

Unknown

Flow Cytometry (Intracellular) - Anti-ERK1 antibody [Y72] - BSA and Azide free (AB214168)

Intracellular Flow Cytometry analysis of Jurkat cells labelling ERK1 with purified ab32537 at a dilution of 1/30 (red). Cells were fixed with 4% paraformaldehyde. A FITC-conjugated goat anti-rabbit IgG (1/150) was used as the secondary antibody. Black - Isotype control, rabbit monoclonal IgG. Blue - Unlabelled control, cells without incubation with primary and secondary antibodies.

This data was developed using the same antibody clone in a different buffer formulation containing PBS, BSA, glycerol, and sodium azide (ab32537).

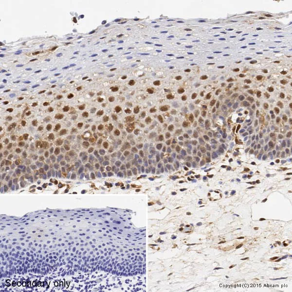
Immunohistochemistry (Formalin/PFA-fixed paraffin-embedded sections) - Anti-ERK1 antibody [Y72] - BSA and Azide free (AB214168)
  • IHC-P

Unknown

Immunohistochemistry (Formalin/PFA-fixed paraffin-embedded sections) - Anti-ERK1 antibody [Y72] - BSA and Azide free (AB214168)

IHC image of ab32537 staining ERK1 in Human tonsil formalin fixed paraffin embedded tissue sections, performed on a Leica Bond. The section was pre-treated using heat mediated antigen retrieval with sodium citrate buffer (pH6, epitope retrieval solution 1) for 20 mins. The section was then incubated with ab32537, 2μg/ml dilution, for 15 mins at room temperature and detected using an HRP conjugated compact polymer system. DAB was used as the chromogen. The section was then counterstained with haematoxylin and mounted with DPX. No primary antibody was used in the secondary only control (shown on the inset).
For other IHC staining systems (automated and non-automated) customers should optimize variable parameters such as antigen retrieval conditions, primary antibody concentration and antibody incubation times.

This data was developed using the same antibody clone in a different buffer formulation containing PBS, BSA, glycerol, and sodium azide (ab32537).

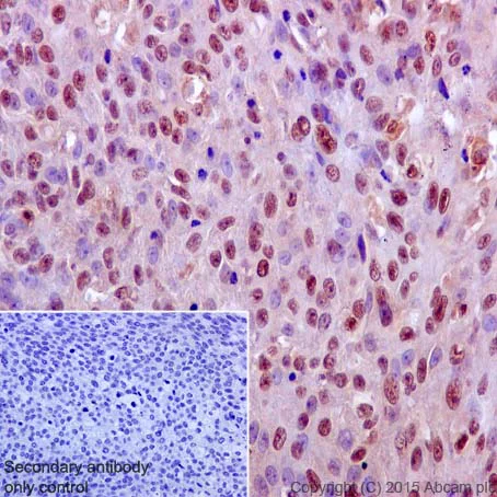
Immunohistochemistry (Formalin/PFA-fixed paraffin-embedded sections) - Anti-ERK1 antibody [Y72] - BSA and Azide free (AB214168)
  • IHC-P

Unknown

Immunohistochemistry (Formalin/PFA-fixed paraffin-embedded sections) - Anti-ERK1 antibody [Y72] - BSA and Azide free (AB214168)

Immunohistochemistry (Formalin/PFA-fixed paraffin-embedded sections) analysis of human cervix carcinoma tissue labelling ERK1 with purified ab32537 at a dilution of 1/50. Heat mediated antigen retrieval was performed using Tris/EDTA buffer pH 9. ab97051, a HRP-conjugated goat anti-rabbit IgG (H+L) was used as the secondary antibody (1/500). Negative control using PBS instead of primary antibody. Counterstained with hematoxylin.

This data was developed using the same antibody clone in a different buffer formulation containing PBS, BSA, glycerol, and sodium azide (ab32537).

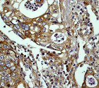
Immunohistochemistry (Formalin/PFA-fixed paraffin-embedded sections) - Anti-ERK1 antibody [Y72] - BSA and Azide free (AB214168)
  • IHC-P

Unknown

Immunohistochemistry (Formalin/PFA-fixed paraffin-embedded sections) - Anti-ERK1 antibody [Y72] - BSA and Azide free (AB214168)

Immunohistochemistry (Formalin/PFA-fixed paraffin-embedded sections) analysis of human lung carcinoma tissue labelling ERK1 with unpurified ab32537.

This data was developed using the same antibody clone in a different buffer formulation containing PBS, BSA, glycerol, and sodium azide (ab32537).

Heat mediated antigen retrieval was performed before commencing with IHC staining protocol.

Western blot - Anti-ERK1 antibody [Y72] - BSA and Azide free (AB214168)
  • WB

Supplier Data

Western blot - Anti-ERK1 antibody [Y72] - BSA and Azide free (AB214168)

Blocking buffer and concentration :  5% NFDM/TBST.  Diluting buffer and concentration :  5% NFDM/TBST. This blot was developed using a high sensitivity ECL substrate. ab181602 was used as a loading control. This data was developed using the same antibody clone in a different buffer formulation (ab32537).

All lanes:

Western blot - Anti-ERK1 antibody [Y72] (<a href='/products/primary-antibodies/erk1-antibody-y72-ab32537'>ab32537</a>) at 1/1000 dilution

Lane 1:

Mouse brain lysate at 20 µg

Lane 2:

Mouse heart lysate at 20 µg

Lane 3:

Mouse kidney lysate at 20 µg

Lane 4:

Mouse spleen lysate at 20 µg

Lane 5:

Raw 264.7 (Mouse Abelson murine leukemia virus-induced tumor macrophage) whole cell lysate at 20 µg

Lane 6:

NIH/3T3 (Mouse embryonic fibroblast) whole cell lysate at 20 µg

Secondary

All lanes:

Western blot - Goat Anti-Rabbit IgG H&L (HRP) (<a href='/products/secondary-antibodies/goat-rabbit-igg-h-l-hrp-ab97051'>ab97051</a>) at 1/20000 dilution

Predicted band size: 43 kDa

Observed band size: 43 kDa

false

Exposure time: 180s

Immunoprecipitation - Anti-ERK1 antibody [Y72] - BSA and Azide free (AB214168)
  • IP

Unknown

Immunoprecipitation - Anti-ERK1 antibody [Y72] - BSA and Azide free (AB214168)

ab32537 (purified) at a dilution of 1/20 immunoprecipitating ERK1 in Jurkat whole cell lysate.

Lane 1 (input) : Jurkat whole cell lysate (10μg)

Lane 2 (+) : ab32537 + Jurkat whole cell lysate.

Lane 3 (-) : Rabbit monoclonal IgG (ab172730) instead of ab32537 in Jurkat whole cell lysate.

For western blotting, VeriBlot for IP Detection Reagent (HRP) (ab131366), was used for detection at 1/10,000 dilution.

Blocking buffer and concentration : 5% NFDM/TBST.

Diluting buffer and concentration : 5% NFDM /TBST.

This data was developed using the same antibody clone in a different buffer formulation containing PBS, BSA, glycerol, and sodium azide (ab32537).

All lanes:

Immunoprecipitation - Anti-ERK1 antibody [Y72] (<a href='/products/primary-antibodies/erk1-antibody-y72-ab32537'>ab32537</a>)

Predicted band size: 43 kDa

Observed band size: 44 kDa

false

Western blot - Anti-ERK1 antibody [Y72] - BSA and Azide free (AB214168)
  • WB

Lab

Western blot - Anti-ERK1 antibody [Y72] - BSA and Azide free (AB214168)

This data was developed using the same antibody clone in a different buffer formulation (ab32537).

Lanes 1- 2 : Merged signal (red and green). Green - ab32537 observed at 43 kDa. Red - Anti-GAPDH antibody [6C5] - Loading Control (ab8245) observed at 37 kDa.

ab32537 was shown to react with ERK1 in wild-type HEK-293T cells in western blot. Loss of signal was observed when knockout cell line ab266519 (knockout cell lysate ab257099) was used. Wild-type HEK-293T and MAPK3 knockout HEK-293T cell lysates were subjected to SDS-PAGE. Membrane was blocked for 1 hour at room temperature in 0.1% TBST with 3% non-fat dried milk. ab32537 and Anti-GAPDH antibody [6C5] - Loading Control (ab8245) overnight at 4°C at a 1 in 1000 dilution and a 1 in 20000 dilution respectively. Blots were developed with Goat anti-Rabbit IgG H&L (IRDye®800CW) preadsorbed (ab216773) and Goat anti-Mouse IgG H&L (IRDye®680RD) preadsorbed (ab216776) secondary antibodies at 1 in 20000 dilution for 1 hour at room temperature before imaging.

All lanes:

Western blot - Anti-ERK1 antibody [Y72] (<a href='/products/primary-antibodies/erk1-antibody-y72-ab32537'>ab32537</a>) at 1/1000 dilution

Lane 1:

Wild-type HEK-293T cell lysate at 20 µg

Lane 2:

MAPK3 knockout HEK-293T cell lysate at 20 µg

Lane 2:

Western blot - Human MAPK3 (ERK1) knockout HEK-293T cell line (<a href='/products/cell-lines/human-mapk3-erk1-knockout-hek-293t-cell-line-ab266519'>ab266519</a>)

Predicted band size: 43 kDa

Observed band size: 43 kDa

false

Western blot - Anti-ERK1 antibody [Y72] - BSA and Azide free (AB214168)
  • WB

CiteAb

Western blot - Anti-ERK1 antibody [Y72] - BSA and Azide free (AB214168)

ERK1 western blot using anti-ERK1 antibody [Y72] - BSA and Azide free ab214168. Publication image and figure legend from Clift, D., McEwan, W. A., et al., 2017, Cell, PubMed 29153837.

ab214168 was used in this publication in western blot. This may not be the same as the application(s) guaranteed by Abcam. For a full list of applications guaranteed by Abcam for ab214168 please see the product overview.

Time Frame for Protein Depletion by Trim-Away, Related to Figure 5(A–F) NIH 3T3-mCherry-TRIM21 cells were taken up into the Neon Pipette Tip and either electroporated or not (mock). Percentage of dead cells was determined using the trypan blue exclusion assay (A). For long-term analysis of cellular behavior cells were imaged every 15 min for 70 h following electroporation (B-F). For the growth curves cell density was normalized to the initial density once cells had adhered (D). For adherence analysis the percentage of spread cells was quantified in each frame (B and C). Doubling times (E and F) were calculated taking the 5 h time point as reference, because cells were fully adhered then. Data from three independent experiments. Error bars show s.d. P values were calculated with Student’s t test. See also Movie S4.(G and H) HEK293T-mCherry-TRIM21 cells were electroporated with either control IgG, anti-ERK1 or anti-IKKα antibodies and whole cell lysates harvested at the indicated times after electroporation for immunoblot.(I–M) NIH 3T3-mCherry-TRIM21 cells were electroporated with control IgG or anti-Pericentrin antibody (BD611815) and 3 hours later analyzed for Pericentrin (I and K) or Cdk5rap2 (J and L) localization or cell lysates were immunoblotted for the indicated proteins (M). Merge also shows DNA stained with Hoechst. Number of cells in brackets. Scale bars, 5 μm. Data from two independent experiments. P values were calculated with Fisher’s exact (K) or Student’s t test (L).

false

关键信息

宿主种属

Rabbit

克隆

Monoclonal

克隆号

Y72

亚型

IgG

不含载体蛋白

Yes

反应种属

Mouse, Human

应用

IHC-P, ICC/IF, Flow Cyt (Intra), IP, WB

applications

免疫原

The exact immunogen used to generate this antibody is proprietary information.

表位

ab214168 reacts with an epitope located in the N terminal region of ERK1.

特异性

This antibody recognises ERK1.The antibody does not cross-react with other MAP kinases.

反应性数据

{ "title": "Reactivity Data", "filters": { "stats": ["", "Species", "Dilution Info", "Notes"], "tabs": { "all-applications": {"fullname" : "All Applications", "shortname": "All Applications"}, "IHCP" : {"fullname" : "Immunohistochemistry (Formalin/PFA-fixed paraffin-embedded sections)", "shortname":"IHC-P"}, "IP" : {"fullname" : "Immunoprecipitation", "shortname":"IP"}, "WB" : {"fullname" : "Western blot", "shortname":"WB"}, "ICCIF" : {"fullname" : "Immunocytochemistry/ Immunofluorescence", "shortname":"ICC/IF"}, "FlowCytIntra" : {"fullname" : "Flow Cytometry (Intracellular)", "shortname":"Flow Cyt (Intra)"} }, "product-promise": { "all": "all", "testedAndGuaranteed": "tested", "guaranteed": "expected", "predicted": "predicted", "notRecommended": "not-recommended" } }, "values": { "Human": { "IHCP-species-checked": "testedAndGuaranteed", "IHCP-species-dilution-info": "", "IHCP-species-notes": "<p></p>", "IP-species-checked": "testedAndGuaranteed", "IP-species-dilution-info": "", "IP-species-notes": "<p></p>", "WB-species-checked": "testedAndGuaranteed", "WB-species-dilution-info": "", "WB-species-notes": "<p>Can be blocked with <a href='/products/unavailable/erk1-peptide-ab204281'>ab204281</a>.</p>", "ICCIF-species-checked": "testedAndGuaranteed", "ICCIF-species-dilution-info": "", "ICCIF-species-notes": "<p>This product gave a positive signal in HAP1 cells fixed with 4% formaldehyde (10 min) and 100% methanol (5 min).</p>", "FlowCytIntra-species-checked": "testedAndGuaranteed", "FlowCytIntra-species-dilution-info": "", "FlowCytIntra-species-notes": "<p><a href='/products/primary-antibodies/rabbit-igg-monoclonal-epr25a-isotype-control-low-endotoxin-azide-free-ab199376'>ab199376</a> - Rabbit monoclonal IgG, is suitable for use as an isotype control.</p>" }, "Mouse": { "IHCP-species-checked": "guaranteed", "IHCP-species-dilution-info": "", "IHCP-species-notes": "", "IP-species-checked": "guaranteed", "IP-species-dilution-info": "", "IP-species-notes": "", "WB-species-checked": "testedAndGuaranteed", "WB-species-dilution-info": "", "WB-species-notes": "<p>Can be blocked with <a href='/products/unavailable/erk1-peptide-ab204281'>ab204281</a>.</p>", "ICCIF-species-checked": "guaranteed", "ICCIF-species-dilution-info": "", "ICCIF-species-notes": "", "FlowCytIntra-species-checked": "guaranteed", "FlowCytIntra-species-dilution-info": "", "FlowCytIntra-species-notes": "" }, "Synthetic peptide - Human": { "IHCP-species-checked": "notRecommended", "IHCP-species-dilution-info": "", "IHCP-species-notes": "", "IP-species-checked": "notRecommended", "IP-species-dilution-info": "", "IP-species-notes": "", "WB-species-checked": "testedAndGuaranteed", "WB-species-dilution-info": "", "WB-species-notes": "<p></p>", "ICCIF-species-checked": "notRecommended", "ICCIF-species-dilution-info": "", "ICCIF-species-notes": "", "FlowCytIntra-species-checked": "notRecommended", "FlowCytIntra-species-dilution-info": "", "FlowCytIntra-species-notes": "" } } }

产品详情

ab214168 is the carrier-free version of ab32537.

Patented technology
Our RabMAb® technology is a patented hybridoma-based technology for making rabbit monoclonal antibodies. For details on our patents, please refer to RabMAb® patents.

What are the advantages of a recombinant monoclonal antibody?
This product is a recombinant monoclonal antibody, which offers several advantages including:

  • - High batch-to-batch consistency and reproducibility
  • - Improved sensitivity and specificity
  • - Long-term security of supply
  • - Animal-free batch production

For more information, read more on recombinant antibodies.

Species reactivity
Rat: We have preliminary internal testing data to indicate this antibody may not react with this species.
Please contact us for more information.

Conjugation ready
Our carrier-free antibodies are typically supplied in a PBS-only formulation, purified and free of BSA, sodium azide and glycerol. This conjugation-ready format is designed for use with fluorochromes, metal isotopes, oligonucleotides, and enzymes, which makes them ideal for antibody labelling, functional and cell-based assays, flow-based assays (e.g. mass cytometry) and Multiplex Imaging applications.

Use our conjugation kits for antibody conjugates that are ready-to-use in as little as 20 minutes with 1 minute hands-on-time and 100% antibody recovery: available for fluorescent dyes, HRP, biotin and gold.

Compatibility
This product is compatible with the Maxpar® Antibody Labeling Kit from Fluidigm, without the need for antibody preparation. Maxpar® is a trademark of Fluidigm Canada Inc.

性能和储存信息

形式
Liquid
纯化工艺
Affinity purification Protein A
存储溶液
pH: 7.2 - 7.4 Constituents: PBS
运输条件
Blue Ice
推荐的短期储存条件
+4°C
推荐的长期储存条件
+4°C
储存信息
Do Not Freeze

补充信息

This supplementary information is collated from multiple sources and compiled automatically.

ERK1 also known as MAPK3 is an extracellular signal-regulated kinase involved in transmitting signals from the cell surface to the nucleus. This protein has a molecular mass of about 44 kDa. ERK1 expresses in various tissue types with higher expression in the brain heart and skeletal muscle. Researchers often study ERK1 in the context of its role in cellular signaling due to its involvement in critical regulatory functions.
Biological function summary

ERK1 plays a significant role in cell cycle regulation differentiation and proliferation. It forms part of the MAPK signaling cascade becoming activated through a phosphorylation event. In its activated form ERK1 translocates to the nucleus where it phosphorylates target substrates. ERK1 often functions in conjunction with its homolog ERK2 to mediate these cellular processes marking it as an essential player in growth factor signaling.

Pathways

ERK1 functions primarily within the MAPK/ERK signaling pathway a major conduit for transmitting proliferative signals from growth factor receptors. ERK1 interacts with proteins like MEK1/2 which phosphorylate and activate ERK1 in response to extracellular stimuli. Another critical pathway involving ERK1 is the Ras-Raf-MEK-ERK cascade which regulates various cellular outcomes. This connection to the Ras family highlights its importance in signal transduction and reinforces its position in critical cellular processes.

Aberrant activation of ERK1 connects to diseases such as cancer and cardiovascular disorders. In cancer the dysregulation of the MAPK/ERK pathway often through mutations affecting Ras or Raf proteins leads to uncontrolled cell proliferation. ERK1's involvement in cardiovascular diseases links to its role in hypertrophic signaling in cardiac cells where altered ERK1 activity can contribute to pathological cardiac remodeling. Understanding these interactions can aid in developing therapeutic strategies targeting the MAPK/ERK signaling pathway.

产品实验方案

For this product, it's our understanding that no specific protocols are required. You can visit:

靶点信息

Serine/threonine kinase which acts as an essential component of the MAP kinase signal transduction pathway (PubMed : 34497368). MAPK1/ERK2 and MAPK3/ERK1 are the 2 MAPKs which play an important role in the MAPK/ERK cascade. They participate also in a signaling cascade initiated by activated KIT and KITLG/SCF. Depending on the cellular context, the MAPK/ERK cascade mediates diverse biological functions such as cell growth, adhesion, survival and differentiation through the regulation of transcription, translation, cytoskeletal rearrangements. The MAPK/ERK cascade also plays a role in initiation and regulation of meiosis, mitosis, and postmitotic functions in differentiated cells by phosphorylating a number of transcription factors. About 160 substrates have already been discovered for ERKs. Many of these substrates are localized in the nucleus, and seem to participate in the regulation of transcription upon stimulation. However, other substrates are found in the cytosol as well as in other cellular organelles, and those are responsible for processes such as translation, mitosis and apoptosis. Moreover, the MAPK/ERK cascade is also involved in the regulation of the endosomal dynamics, including lysosome processing and endosome cycling through the perinuclear recycling compartment (PNRC); as well as in the fragmentation of the Golgi apparatus during mitosis. The substrates include transcription factors (such as ATF2, BCL6, ELK1, ERF, FOS, HSF4 or SPZ1), cytoskeletal elements (such as CANX, CTTN, GJA1, MAP2, MAPT, PXN, SORBS3 or STMN1), regulators of apoptosis (such as BAD, BTG2, CASP9, DAPK1, IER3, MCL1 or PPARG), regulators of translation (such as EIF4EBP1) and a variety of other signaling-related molecules (like ARHGEF2, DEPTOR, FRS2 or GRB10) (PubMed : 35216969). Protein kinases (such as RAF1, RPS6KA1/RSK1, RPS6KA3/RSK2, RPS6KA2/RSK3, RPS6KA6/RSK4, SYK, MKNK1/MNK1, MKNK2/MNK2, RPS6KA5/MSK1, RPS6KA4/MSK2, MAPKAPK3 or MAPKAPK5) and phosphatases (such as DUSP1, DUSP4, DUSP6 or DUSP16) are other substrates which enable the propagation the MAPK/ERK signal to additional cytosolic and nuclear targets, thereby extending the specificity of the cascade.
See full target information MAPK3

文献 (5)

Recent publications for all applications. Explore the full list and refine your search

Cellular immunology 353:104115 PubMed32388054

2020

TAK1 lessens the activity of the paracaspase MALT1 during T cell receptor signaling.

Applications

Unspecified application

Species

Unspecified reactive species

Carolina Alves Nicolau,Julie Gavard,Nicolas Bidère

RSC advances 9:1717-1725 PubMed35518051

2019

Retracted Article: MiR-206 reduced the malignancy of hepatocellular carcinoma cells by inhibiting MET and CTNNB1 gene expressions.

Applications

Unspecified application

Species

Unspecified reactive species

Qiang He,Haiyan Du,Yundong Li

Cell 171:1692-1706.e18 PubMed29153837

2017

A Method for the Acute and Rapid Degradation of Endogenous Proteins.

Applications

Unspecified application

Species

Unspecified reactive species

Dean Clift,William A McEwan,Larisa I Labzin,Vera Konieczny,Binyam Mogessie,Leo C James,Melina Schuh

PloS one 10:e0127441 PubMed26047480

2015

Induction of Apoptosis in MCF-7 Cells via Oxidative Stress Generation, Mitochondria-Dependent and Caspase-Independent Pathway by Ethyl Acetate Extract of Dillenia suffruticosa and Its Chemical Profile.

Applications

WB

Species

Human

Yin Sim Tor,Latifah Saiful Yazan,Jhi Biau Foo,Agustono Wibowo,Norsharina Ismail,Yoke Kqueen Cheah,Rasedee Abdullah,Maznah Ismail,Intan Safinar Ismail,Swee Keong Yeap

Clinical cancer research : an official journal of 15:3979-89 PubMed19509179

2009

Global gene expression analysis of reactive stroma in prostate cancer.

Applications

IHC

Species

Human

Olga Dakhova,Mustafa Ozen,Chad J Creighton,Rile Li,Gustavo Ayala,David Rowley,Michael Ittmann
View all publications

Abcam Product Promise

我们致力于为您的研究提供高质量的试剂,为您科研的每一步提供支持。若我们的产品未能达到预期性能,我们向您提供 Abcam Product Promise 保障。
详情请参阅我们的条款与条件。

Please note: All products are 'FOR RESEARCH USE ONLY. NOT FOR USE IN DIAGNOSTIC OR THERAPEUTIC PROCEDURES'.

For licensing inquiries, please contact partnerships@abcam.com