JavaScript is disabled in your browser. Please enable JavaScript to view this website.
AB32537

Anti-ERK1 抗体 [Y72]

Anti-ERK1 antibody [Y72]

  • BOND RX™ Validated
  • KO Validated
  • RabMAb
  • Recombinant
  • Lab Essentials
  • 20ul selling size
  • 了解详情

5

(4 Reviews)

|

(102 Publications)

Rabbit Recombinant Monoclonal ERK1 antibody. Suitable for IHC-P, IP, WB, ICC/IF, Flow Cyt (Intra) and reacts with Human, Mouse, Synthetic peptide - Human samples. Cited in 102 publications.

查看别名

ERK1, PRKM3, MAPK3, Mitogen-activated protein kinase 3, MAP kinase 3, MAPK 3, ERT2, Extracellular signal-regulated kinase 1, Insulin-stimulated MAP2 kinase, MAP kinase isoform p44, Microtubule-associated protein 2 kinase, p44-ERK1, ERK-1, p44-MAPK

19 Images
Immunohistochemistry (Formalin/PFA-fixed paraffin-embedded sections) - Anti-ERK1 antibody [Y72] (AB32537)
  • IHC-P

Unknown

Immunohistochemistry (Formalin/PFA-fixed paraffin-embedded sections) - Anti-ERK1 antibody [Y72] (AB32537)

Immunohistochemistry (Formalin/PFA-fixed paraffin-embedded sections) analysis of human lung carcinoma tissue labelling ERK1 with unpurified ab32537.

Perform heat mediated antigen retrieval before commencing with IHC staining protocol.

Immunocytochemistry/ Immunofluorescence - Anti-ERK1 antibody [Y72] (AB32537)
  • ICC/IF

Unknown

Immunocytochemistry/ Immunofluorescence - Anti-ERK1 antibody [Y72] (AB32537)

Immunocytochemistry/Immunofluorescence analysis of Jurkat cells labelling ERK1 with purified ab32537 at a dilution of 1/100. Cells were fixed with 4% paraformaldehyde and permeabilized with 0.1% Triton X-100. ab150077, an Alexa Fluor® 488-conjugated goat anti-rabbit IgG (1/1000) was used as the secondary antibody. DAPI (blue) was used as the nuclear counterstain. ab7291, a mouse anti-tubulin (1/1000) and ab150120, an Alexa Fluor® 594-conjugated goat anti-mouse IgG (1/1000) were also used.

Control 1 : primary antibody (1/100) and secondary antibody, ab150120, an Alexa Fluor® 594-conjugated goat anti-mouse IgG (1/1000).

Control 2 : ab7291 (1/1000) and secondary antibody, ab150077, an Alexa Fluor® 488-conjugated goat anti-rabbit IgG (1/1000).

Flow Cytometry (Intracellular) - Anti-ERK1 antibody [Y72] (AB32537)
  • Flow Cyt (Intra)

Unknown

Flow Cytometry (Intracellular) - Anti-ERK1 antibody [Y72] (AB32537)

Overlay histogram showing HAP1 wildtype (green line) and HAP1-MAPK3 knockout cells (red line) stained with ab32537. The cells were fixed with 80% methanol (5 min) and then permeabilized with 0.1% PBS-Triton X-100 for 15 min. The cells were then incubated in 1x PBS / 10% normal goat serum to block non-specific protein-protein interactions followed by the antibody (ab32537, 1μg/ml) for 30 min at 22°C. The secondary antibody used was Alexa Fluor® 488 goat anti-rabbit IgG (H&L) (ab150081) at 1/2000 dilution for 30 min at 22°C. A Rabbit IgG isotype control antibody (ab172730) was used at the same concentration and conditions as the primary antibody (HAP1 wildtype - black line, HAP1-MAPK3 knockout - grey line). Unlabelled sample was also used as a control (this line is not shown for the purpose of simplicity). Acquisition of >5,000 events were collected using a 50 mW Blue laser (488nm) and 530/30 bandpass filter.

Immunocytochemistry/ Immunofluorescence - Anti-ERK1 antibody [Y72] (AB32537)
  • ICC/IF

AbReview41593****

Immunocytochemistry/ Immunofluorescence - Anti-ERK1 antibody [Y72] (AB32537)

Unpurified ab32537 staining ERK1 in HeLa cells by ICC/IF (Immunocytochemistry/immunofluorescence). Cells were fixed with paraformaldehyde and permeabilized with 0.5% Triton X-100 in PBS. Samples were incubated with primary antibody (1/500 in PBS) for 1 hour at 22°C. ab150081, a goat anti rabbit Alexa Fluor® 488 (1/200) was used as the secondary antibody. Counterstained with DAPI. Cytoplasmic and nuclear staining shown.

This image is courtesy of an Abreview submitted by Kirk McManus.

Flow Cytometry (Intracellular) - Anti-ERK1 antibody [Y72] (AB32537)
  • Flow Cyt (Intra)

AbReview44028****

Flow Cytometry (Intracellular) - Anti-ERK1 antibody [Y72] (AB32537)

Unpurified ab32537 staining ERK1 (green) in HEK293 cells by intracellular flow cytometry. Cells were fixed with paraformaldehyde and permeabilized with 70% methanol. The sample was incubated with the primary antibody (1/40 in PBS + 0.2% BSA + 0.1% sodium azide) for 1 hour at 22°C. A phycoerythrin-conjugated goat anti-rabbit IgG (1/100) was used as the secondary antibody. Gating Strategy : Live Cells. Purple plot represents isotype control.

This image is courtesy of an anonymous Abreview

Immunocytochemistry/ Immunofluorescence - Anti-ERK1 antibody [Y72] (AB32537)
  • ICC/IF

Unknown

Immunocytochemistry/ Immunofluorescence - Anti-ERK1 antibody [Y72] (AB32537)

ab32537 staining ERK1 in wild-type HAP1 cells (top panel) and ERK1 knockout HAP1 cells (bottom panel). The cells were fixed with 100% methanol (5min), permeabilized with 0.1% Triton X-100 for 5 minutes and then blocked with 1% BSA/10% normal goat serum/0.3M glycine in 0.1% PBS-Tween for 1h. The cells were then incubated with ab32537 at 1/400 dilution and ab7291 at 1ug/ml concentration overnight at +4°C, followed by a further incubation at room temperature for 1h with a goat secondary antibody to Rabbit IgG (Alexa Fluor® 488) (ab150081) at 2 μg/ml (shown in green) and a goat secondary antibody to Mouse IgG (Alexa Fluor® 594) (ab150117) at 2ug/ml (shown in pseudo-color red). Nuclear DNA was labelled in blue with DAPI.

This product also gave a positive signal under the same testing conditions in HAP1 cells fixed with 4% formaldehyde (10 min).

Image was taken with a confocal microscope (Leica-Microsystems, TCS SP8).

Flow Cytometry (Intracellular) - Anti-ERK1 antibody [Y72] (AB32537)
  • Flow Cyt (Intra)

Unknown

Flow Cytometry (Intracellular) - Anti-ERK1 antibody [Y72] (AB32537)

Intracellular Flow Cytometry analysis ofJurkat cells labelling ERK1 with purified ab32537 at a dilution of 1/30 (red). Cells were fixed with 4% paraformaldehyde. A FITC-conjugated goat anti-rabbit IgG (1/150) was used as the secondary antibody. Black - Isotype control, rabbit monoclonal IgG. Blue - Unlabelled control, cells without incubation with primary and secondary antibodies.

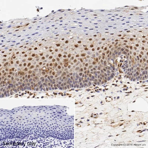
Immunohistochemistry (Formalin/PFA-fixed paraffin-embedded sections) - Anti-ERK1 antibody [Y72] (AB32537)
  • IHC-P

Unknown

Immunohistochemistry (Formalin/PFA-fixed paraffin-embedded sections) - Anti-ERK1 antibody [Y72] (AB32537)

IHC image of ab32537 staining ERK1 in Human tonsil formalin fixed paraffin embedded tissue sections, performed on a Leica Bond. The section was pre-treated using heat mediated antigen retrieval with sodium citrate buffer (pH6, epitope retrieval solution 1) for 20 mins. The section was then incubated with ab32537, 2μg/ml dilution, for 15 mins at room temperature and detected using an HRP conjugated compact polymer system. DAB was used as the chromogen. The section was then counterstained with haematoxylin and mounted with DPX. No primary antibody was used in the secondary only control (shown on the inset).
For other IHC staining systems (automated and non-automated) customers should optimize variable parameters such as antigen retrieval conditions, primary antibody concentration and antibody incubation times.

Flow Cytometry (Intracellular) - Anti-ERK1 antibody [Y72] (AB32537)
  • Flow Cyt (Intra)

Unknown

Flow Cytometry (Intracellular) - Anti-ERK1 antibody [Y72] (AB32537)

Overlay histogram showing HeLa cells stained with ab32537 (red line). The cells were fixed with 4% formaldehyde (10 min) and then permeabilized with 0.1% PBS-Tween 20 for 20 min. The cells were then incubated in 1x PBS / 10% normal goat serum / 0.3M glycine to block non-specific protein-protein interactions followed by the antibody (ab32537, 1/11312) for 30 min at 22°C. The secondary antibody used was Alexa Fluorr® 488 goat anti-rabbit IgG (H&L) (ab150081) at 1/2000 dilution for 30 min at 22°C. Isotype control antibody (black line) was rabbit IgG (monoclonal) (ab172730, 0.01μg/1x106 cells) used under the same conditions. Unlabelled sample (blue line) was also used as a control.

Acquisition of >5,000 events were collected using a 20mW Argon ion laser (488nm) and 525/30 bandpass filter.

This antibody gave a positive signal in HeLa cells fixed with 80% methanol (5 min)/permeabilized with 0.1% PBS-Tween 20 for 20 min used under the same conditions.

Immunohistochemistry (Formalin/PFA-fixed paraffin-embedded sections) - Anti-ERK1 antibody [Y72] (AB32537)
  • IHC-P

Unknown

Immunohistochemistry (Formalin/PFA-fixed paraffin-embedded sections) - Anti-ERK1 antibody [Y72] (AB32537)

Immunohistochemistry (Formalin/PFA-fixed paraffin-embedded sections) analysis of human cervix carcinoma tissue labelling ERK1 with purified ab32537 at a dilution of 1/50. Heat mediated antigen retrieval was performed using Tris/EDTA buffer pH 9. ab97051, a HRP-conjugated goat anti-rabbit IgG (H+L) was used as the secondary antibody (1/500). Negative control using PBS instead of primary antibody. Counterstained with hematoxylin.

Western blot - Anti-ERK1 antibody [Y72] (AB32537)
  • WB

Lab

Western blot - Anti-ERK1 antibody [Y72] (AB32537)

This blot was produced using a 4-12% Bis-tris gel under the MOPS buffer system. The gel was run at 200V for 50 minutes before being transferred onto a Nitrocellulose membrane at 30V for 70 minutes. The membrane was then blocked for an hour using Licor blocking buffer before being incubated with ab32537 overnight at 4°C. Antibody binding was detected using a goat anti-rabbit Alexa Fluor® 790 ab175781 at a 1 : 10,000 dilution for 1hr at room temperature and then imaged using the Licor Odyssey CLx.

All lanes:

Western blot - Anti-ERK1 antibody [Y72] (ab32537) at 1/1000 dilution

Lane 1:

HeLa (Human epithelial carcinoma cell line) Whole Cell Lysate at 20 µg

Lane 2:

HEK293 (Human embryonic kidney cell line) Whole Cell Lysate at 20 µg

Lane 3:

Recombinant Human ERK1 protein (<a href='/products/unavailable/recombinant-human-erk1-protein-ab43623-ab43623'>ab43623</a>) (<a href='/products/unavailable/recombinant-human-erk1-protein-ab43623-ab43623'>ab43623</a>) at 20 µg

Lane 4:

Western blot - Recombinant Human ERK2 protein (<a href='/products/proteins-peptides/recombinant-human-erk2-protein-ab43625'>ab43625</a>) at 20 µg

Secondary

All lanes:

Western blot - Goat Anti-Rabbit IgG H&L (Alexa Fluor® 790) (<a href='/products/secondary-antibodies/goat-rabbit-igg-h-l-alexa-fluor-790-ab175781'>ab175781</a>) at 1/10000 dilution

Predicted band size: 43 kDa

Observed band size: 44 kDa

false

Western blot - Anti-ERK1 antibody [Y72] (AB32537)
  • WB

Unknown

Western blot - Anti-ERK1 antibody [Y72] (AB32537)

All lanes:

Western blot - Anti-ERK1 antibody [Y72] (ab32537) at 1/1000 dilution

All lanes:

Jurkat cell lysate

Predicted band size: 43 kDa

Observed band size: 43 kDa

false

Western blot - Anti-ERK1 antibody [Y72] (AB32537)
  • WB

Lab

Western blot - Anti-ERK1 antibody [Y72] (AB32537)

Blocking and dilution buffer : 5% NFDM/TBST

All lanes:

Western blot - Anti-ERK1 antibody [Y72] (ab32537) at 1/10000 dilution

Lane 1:

293T whole cell lysate at 10 µg

Lane 2:

HeLa whole cell lysate at 10 µg

Lane 3:

Jurkat whole cell lysate at 10 µg

Secondary

All lanes:

Western blot - Goat Anti-Rabbit IgG H&L (HRP) (<a href='/products/secondary-antibodies/goat-rabbit-igg-h-l-hrp-ab97051'>ab97051</a>) at 1/20000 dilution

Predicted band size: 43 kDa

Observed band size: 44 kDa

false

Western blot - Anti-ERK1 antibody [Y72] (AB32537)
  • WB

Supplier Data

Western blot - Anti-ERK1 antibody [Y72] (AB32537)

Blocking buffer and concentration :  5% NFDM/TBST.  Diluting buffer and concentration :  5% NFDM/TBST. This blot was developed using a high sensitivity ECL substrate. ab181602 was used as a loading control.

All lanes:

Western blot - Anti-ERK1 antibody [Y72] (ab32537) at 1/1000 dilution

Lane 1:

Mouse brain lysate at 20 µg

Lane 2:

Mouse heart lysate at 20 µg

Lane 3:

Mouse kidney lysate at 20 µg

Lane 4:

Mouse spleen lysate at 20 µg

Lane 5:

Raw 264.7 (Mouse Abelson murine leukemia virus-induced tumor macrophage) whole cell lysate at 20 µg

Lane 6:

NIH/3T3 (Mouse embryonic fibroblast) whole cell lysate at 20 µg

Secondary

All lanes:

Western blot - Goat Anti-Rabbit IgG H&L (HRP) (<a href='/products/secondary-antibodies/goat-rabbit-igg-h-l-hrp-ab97051'>ab97051</a>) at 1/20000 dilution

Predicted band size: 43 kDa

Observed band size: 43 kDa

false

Exposure time: 180s

Immunoprecipitation - Anti-ERK1 antibody [Y72] (AB32537)
  • IP

Unknown

Immunoprecipitation - Anti-ERK1 antibody [Y72] (AB32537)

ab32537 (purified) at a dilution of 1/20 immunoprecipitating ERK1 in Jurkat whole cell lysate.

Lane 1 (input) : Jurkat whole cell lysate (10μg)

Lane 2 (+) : ab32537 + Jurkat whole cell lysate.

Lane 3 (-) : Rabbit monoclonal IgG (ab172730) instead of ab32537 in Jurkat whole cell lysate.

For western blotting, ab131366 VeriBlot for IP (HRP) was used for detection (1/10000).

Blocking buffer and concentration : 5% NFDM/TBST.

Diluting buffer and concentration : 5% NFDM /TBST.

All lanes:

Immunoprecipitation - Anti-ERK1 antibody [Y72] (ab32537)

Predicted band size: 43 kDa

Observed band size: 44 kDa

false

Western blot - Anti-ERK1 antibody [Y72] (AB32537)
  • WB

Lab

Western blot - Anti-ERK1 antibody [Y72] (AB32537)

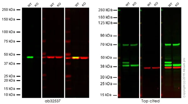
Lanes 1, 3 and 5 : Wild-type HAP1 cell lysate (20 μg)
Lanes 2, 4 and 6 : ERK1 knockout HAP1 cell lysate (20 μg)
Lanes 1 and 2 : Green signal from target
Lanes 3 and 4 : Red signal from loading control
Lanes 5 and 6 : Merged (red and green) signal

Red - loading control, ab8226 observed at 42 kDa or ab8245, observed at 37 kDa

This western blot image is a comparison between ab32537 and a competitor's top cited rabbit polyclonal antibody.

All lanes:

Western blot - Anti-ERK1 antibody [Y72] (ab32537)

Predicted band size: 43 kDa

false

Western blot - Anti-ERK1 antibody [Y72] (AB32537)
  • WB

Lab

Western blot - Anti-ERK1 antibody [Y72] (AB32537)

Blocking and dilution buffer : 5% NFDM/TBST

All lanes:

Western blot - Anti-ERK1 antibody [Y72] (ab32537) at 1/1000 dilution

All lanes:

RAW264.7 whole cell lysate at 20 µg

Secondary

All lanes:

Western blot - Goat Anti-Rabbit IgG H&L (HRP) (<a href='/products/secondary-antibodies/goat-rabbit-igg-h-l-hrp-ab97051'>ab97051</a>) at 1/10000 dilution

Predicted band size: 43 kDa

Observed band size: 44 kDa

false

Western blot - Anti-ERK1 antibody [Y72] (AB32537)
  • WB

Lab

Western blot - Anti-ERK1 antibody [Y72] (AB32537)

Lanes 1- 2 : Merged signal (red and green). Green - ab32537 observed at 43 kDa. Red - Anti-GAPDH antibody [6C5] - Loading Control (ab8245) observed at 37 kDa.

ab32537 was shown to react with ERK1 in wild-type HEK-293T cells in western blot. Loss of signal was observed when knockout cell line ab266519 (knockout cell lysate ab257099) was used. Wild-type HEK-293T and MAPK3 knockout HEK-293T cell lysates were subjected to SDS-PAGE. Membrane was blocked for 1 hour at room temperature in 0.1% TBST with 3% non-fat dried milk. ab32537 and Anti-GAPDH antibody [6C5] - Loading Control (ab8245) overnight at 4°C at a 1 in 1000 dilution and a 1 in 20000 dilution respectively. Blots were developed with Goat anti-Rabbit IgG H&L (IRDye®800CW) preadsorbed (ab216773) and Goat anti-Mouse IgG H&L (IRDye®680RD) preadsorbed (ab216776) secondary antibodies at 1 in 20000 dilution for 1 hour at room temperature before imaging.

All lanes:

Western blot - Anti-ERK1 antibody [Y72] (ab32537) at 1/1000 dilution

Lane 1:

Wild-type HEK-293T cell lysate at 20 µg

Lane 2:

MAPK3 knockout HEK-293T cell lysate at 20 µg

Lane 2:

Western blot - Human MAPK3 (ERK1) knockout HEK-293T cell line (<a href='/products/cell-lines/human-mapk3-erk1-knockout-hek-293t-cell-line-ab266519'>ab266519</a>)

Predicted band size: 43 kDa

Observed band size: 43 kDa

false

Western blot - Anti-ERK1 antibody [Y72] (AB32537)
  • WB

Unknown

Western blot - Anti-ERK1 antibody [Y72] (AB32537)

Lanes 1, 3 and 5 : Wild-type HAP1 cell lysate (20 μg)
Lanes 2, 4 and 6 : ERK1 knockout HAP1 cell lysate (20 μg)
Lanes 1 and 2 : Green signal from target - ab32537 observed at 42 kDa
Lanes 3 and 4 : Red signal from loading control - ab8226 observed at 42 kDa
Lanes 5 and 6 : Merged (red and green) signal
ab32537 was shown to specifically react with ERK1 when ERK1 knockout samples were used.
Wild-type and ERK1 knockout samples were subjected to SDS-PAGE. ab32537 and ab8226 (loading control to beta actin) were both diluted 1/1000 and incubated overnight at 4°C. Blots were developed with Goat anti-Rabbit IgG H&L (IRDye® 800CW) preadsorbed (ab216773) andGoat anti-Mouse IgG H&L (IRDye® 680RD) preadsorbed (ab216776) secondary antibodies at 1/10000 dilution for 1 h at room temperature before imaging.

All lanes:

Western blot - Anti-ERK1 antibody [Y72] (ab32537)

Predicted band size: 43 kDa

false

关键信息

宿主种属

Rabbit

克隆

Monoclonal

克隆号

Y72

亚型

IgG

不含载体蛋白

No

反应种属

Mouse, Human

应用

IHC-P, Flow Cyt (Intra), IP, WB, ICC/IF

applications

免疫原

The exact immunogen used to generate this antibody is proprietary information.

表位

ab32537 reacts with an epitope located in the N terminal region of ERK1.

特异性

This antibody recognises ERK1.The antibody does not cross-react with other MAP kinases.

反应性数据

{ "title": "Reactivity Data", "filters": { "stats": ["", "Species", "Dilution Info", "Notes"], "tabs": { "all-applications": {"fullname" : "All Applications", "shortname": "All Applications"}, "IHCP" : {"fullname" : "Immunohistochemistry (Formalin/PFA-fixed paraffin-embedded sections)", "shortname":"IHC-P"}, "IP" : {"fullname" : "Immunoprecipitation", "shortname":"IP"}, "WB" : {"fullname" : "Western blot", "shortname":"WB"}, "ICCIF" : {"fullname" : "Immunocytochemistry/ Immunofluorescence", "shortname":"ICC/IF"}, "FlowCytIntra" : {"fullname" : "Flow Cytometry (Intracellular)", "shortname":"Flow Cyt (Intra)"} }, "product-promise": { "all": "all", "testedAndGuaranteed": "tested", "guaranteed": "expected", "predicted": "predicted", "notRecommended": "not-recommended" } }, "values": { "Human": { "IHCP-species-checked": "testedAndGuaranteed", "IHCP-species-dilution-info": "2 µg/mL", "IHCP-species-notes": "<p></p> Perform heat-mediated antigen retrieval before commencing with IHC staining protocol.", "IP-species-checked": "testedAndGuaranteed", "IP-species-dilution-info": "1/20 - 1/40", "IP-species-notes": "<p></p>", "WB-species-checked": "testedAndGuaranteed", "WB-species-dilution-info": "1/1000", "WB-species-notes": "<p></p>", "ICCIF-species-checked": "testedAndGuaranteed", "ICCIF-species-dilution-info": "1/400", "ICCIF-species-notes": "<p>This product gave a positive signal in HAP1 cells fixed with 4% formaldehyde (10 min) and 100% methanol (5 min).</p>", "FlowCytIntra-species-checked": "testedAndGuaranteed", "FlowCytIntra-species-dilution-info": "1/30 - 1/40", "FlowCytIntra-species-notes": "<p><a href='/products/primary-antibodies/rabbit-igg-monoclonal-epr25a-isotype-control-ab172730'>ab172730</a> - Rabbit monoclonal IgG, is suitable for use as an isotype control with this antibody.</p>" }, "Mouse": { "IHCP-species-checked": "guaranteed", "IHCP-species-dilution-info": "", "IHCP-species-notes": "", "IP-species-checked": "guaranteed", "IP-species-dilution-info": "", "IP-species-notes": "", "WB-species-checked": "testedAndGuaranteed", "WB-species-dilution-info": "1/1000", "WB-species-notes": "<p>Can be blocked with <a href='/products/unavailable/erk1-peptide-ab204281'>ab204281</a>.</p>", "ICCIF-species-checked": "guaranteed", "ICCIF-species-dilution-info": "", "ICCIF-species-notes": "", "FlowCytIntra-species-checked": "guaranteed", "FlowCytIntra-species-dilution-info": "", "FlowCytIntra-species-notes": "" }, "Synthetic peptide - Human": { "IHCP-species-checked": "notRecommended", "IHCP-species-dilution-info": "", "IHCP-species-notes": "", "IP-species-checked": "notRecommended", "IP-species-dilution-info": "", "IP-species-notes": "", "WB-species-checked": "testedAndGuaranteed", "WB-species-dilution-info": "1/1000", "WB-species-notes": "<p></p>", "ICCIF-species-checked": "notRecommended", "ICCIF-species-dilution-info": "", "ICCIF-species-notes": "", "FlowCytIntra-species-checked": "notRecommended", "FlowCytIntra-species-dilution-info": "", "FlowCytIntra-species-notes": "" } } }

产品详情

Patented technology
Our RabMAb® technology is a patented hybridoma-based technology for making rabbit monoclonal antibodies. For details on our patents, please refer to RabMAb® patents.

What are the advantages of a recombinant monoclonal antibody?
This product is a recombinant monoclonal antibody, which offers several advantages including:

  • - High batch-to-batch consistency and reproducibility
  • - Improved sensitivity and specificity
  • - Long-term security of supply
  • - Animal-free batch production

For more information, read more on recombinant antibodies.

Species reactivity
Rat: We have preliminary internal testing data to indicate this antibody may not react with this species.
Please contact us for more information.

性能和储存信息

形式
Liquid
纯化工艺
Affinity purification Protein A
存储溶液
pH: 7.2 - 7.4 Preservative: 0.01% Sodium azide Constituents: PBS, 40% Glycerol (glycerin, glycerine), 0.05% BSA
运输条件
Blue Ice
推荐的短期储存时间
1-2 weeks
推荐的短期储存条件
+4°C
推荐的长期储存条件
-20°C
分装信息
Upon delivery aliquot
储存信息
Avoid freeze / thaw cycle

补充信息

This supplementary information is collated from multiple sources and compiled automatically.

ERK1 also known as MAPK3 is an extracellular signal-regulated kinase involved in transmitting signals from the cell surface to the nucleus. This protein has a molecular mass of about 44 kDa. ERK1 expresses in various tissue types with higher expression in the brain heart and skeletal muscle. Researchers often study ERK1 in the context of its role in cellular signaling due to its involvement in critical regulatory functions.
Biological function summary

ERK1 plays a significant role in cell cycle regulation differentiation and proliferation. It forms part of the MAPK signaling cascade becoming activated through a phosphorylation event. In its activated form ERK1 translocates to the nucleus where it phosphorylates target substrates. ERK1 often functions in conjunction with its homolog ERK2 to mediate these cellular processes marking it as an essential player in growth factor signaling.

Pathways

ERK1 functions primarily within the MAPK/ERK signaling pathway a major conduit for transmitting proliferative signals from growth factor receptors. ERK1 interacts with proteins like MEK1/2 which phosphorylate and activate ERK1 in response to extracellular stimuli. Another critical pathway involving ERK1 is the Ras-Raf-MEK-ERK cascade which regulates various cellular outcomes. This connection to the Ras family highlights its importance in signal transduction and reinforces its position in critical cellular processes.

Aberrant activation of ERK1 connects to diseases such as cancer and cardiovascular disorders. In cancer the dysregulation of the MAPK/ERK pathway often through mutations affecting Ras or Raf proteins leads to uncontrolled cell proliferation. ERK1's involvement in cardiovascular diseases links to its role in hypertrophic signaling in cardiac cells where altered ERK1 activity can contribute to pathological cardiac remodeling. Understanding these interactions can aid in developing therapeutic strategies targeting the MAPK/ERK signaling pathway.

产品实验方案

For this product, it's our understanding that no specific protocols are required. You can visit:

靶点信息

Serine/threonine kinase which acts as an essential component of the MAP kinase signal transduction pathway (PubMed : 34497368). MAPK1/ERK2 and MAPK3/ERK1 are the 2 MAPKs which play an important role in the MAPK/ERK cascade. They participate also in a signaling cascade initiated by activated KIT and KITLG/SCF. Depending on the cellular context, the MAPK/ERK cascade mediates diverse biological functions such as cell growth, adhesion, survival and differentiation through the regulation of transcription, translation, cytoskeletal rearrangements. The MAPK/ERK cascade also plays a role in initiation and regulation of meiosis, mitosis, and postmitotic functions in differentiated cells by phosphorylating a number of transcription factors. About 160 substrates have already been discovered for ERKs. Many of these substrates are localized in the nucleus, and seem to participate in the regulation of transcription upon stimulation. However, other substrates are found in the cytosol as well as in other cellular organelles, and those are responsible for processes such as translation, mitosis and apoptosis. Moreover, the MAPK/ERK cascade is also involved in the regulation of the endosomal dynamics, including lysosome processing and endosome cycling through the perinuclear recycling compartment (PNRC); as well as in the fragmentation of the Golgi apparatus during mitosis. The substrates include transcription factors (such as ATF2, BCL6, ELK1, ERF, FOS, HSF4 or SPZ1), cytoskeletal elements (such as CANX, CTTN, GJA1, MAP2, MAPT, PXN, SORBS3 or STMN1), regulators of apoptosis (such as BAD, BTG2, CASP9, DAPK1, IER3, MCL1 or PPARG), regulators of translation (such as EIF4EBP1) and a variety of other signaling-related molecules (like ARHGEF2, DEPTOR, FRS2 or GRB10) (PubMed : 35216969). Protein kinases (such as RAF1, RPS6KA1/RSK1, RPS6KA3/RSK2, RPS6KA2/RSK3, RPS6KA6/RSK4, SYK, MKNK1/MNK1, MKNK2/MNK2, RPS6KA5/MSK1, RPS6KA4/MSK2, MAPKAPK3 or MAPKAPK5) and phosphatases (such as DUSP1, DUSP4, DUSP6 or DUSP16) are other substrates which enable the propagation the MAPK/ERK signal to additional cytosolic and nuclear targets, thereby extending the specificity of the cascade.
See full target information MAPK3

文献 (102)

Recent publications for all applications. Explore the full list and refine your search

Open medicine (Warsaw, Poland) 20:20251206 PubMed40918165

2025

Peptide CCAT1-70aa promotes hepatocellular carcinoma proliferation and invasion via the MAPK/ERK pathway.

Applications

Unspecified application

Species

Unspecified reactive species

Xianjian Wu,Ruifeng Liang,Guoman Liu,Quan Fang,Zuoming Xu,Wenchuan Li,Chuan Tan,Jian Pu

Hereditas 162:119 PubMed40604895

2025

TIMP1 promotes microglia M2 polarization through MAPK pathway to ameliorate early brain injury after ischemia.

Applications

Unspecified application

Species

Unspecified reactive species

Kangkang Zhao,Zizhao Huang

Scientific reports 15:4902 PubMed39929852

2025

ESM1 promote proliferation, invasion and angiogenesis via Akt/mTOR and Ras pathway in kidney renal clear cell carcinoma.

Applications

Unspecified application

Species

Unspecified reactive species

Jianjun Luo,Ting Yi,Yong Wang,Wei Song,Zhiyong Gao,Jiansong Wang,Yukun Li

Molecular medicine reports 31: PubMed39540350

2024

Silencing PPAP2C inhibits lung adenocarcinoma migration and invasion via the ERK/JNK pathway.

Applications

Unspecified application

Species

Unspecified reactive species

Yi Li,Wenhui Dang,Ting Jiao,Mengying Zhang,Wei Li

Journal of leukocyte biology 117: PubMed39119796

2024

STING coordinates resolution of inflammation during wound repair by modulating macrophage trafficking through STAT3.

Applications

Unspecified application

Species

Unspecified reactive species

Cheng Chen,Xin Cai,Zhihui Liu,Weiguang Zhang,Jiacai Yang,Yuanyang Tang,Yunxia Chen,Yong Huang,Wengang Hu,Xiaorong Zhang,Junyi Zhou,Yanjun Wu,Wenjing Yin,Ruoyu Shang,Qudong Lu,Hao Sheng,Zhenyu Ju,Gaoxing Luo,Weifeng He

Journal of extracellular biology 3:e141 PubMed38939899

2024

RAB31 drives extracellular vesicle fusion and cancer-associated fibroblast formation leading to oxaliplatin resistance in colorectal cancer.

Applications

Unspecified application

Species

Unspecified reactive species

Yu-Chan Chang,Yi-Fang Yang,Chien-Hsiu Li,Ming-Hsien Chan,Meng-Lun Lu,Ming-Huang Chen,Chi-Long Chen,Michael Hsiao

Cellular and molecular biology (Noisy-le-Grand, France) 70:85-91 PubMed38836676

2024

The combination of tetramethylpyrazine and vitamin A acid in the treatment of skin photoaging by activating the HIF-1α pathway.

Applications

Unspecified application

Species

Unspecified reactive species

Weijun Chen,Jianyong Fan,Xuelian Zou,Yuansheng Wu

BMC cancer 24:650 PubMed38802739

2024

CD276 enhances sunitinib resistance in clear cell renal cell carcinoma by promoting DNA damage repair and activation of FAK-MAPK signaling pathway.

Applications

Unspecified application

Species

Unspecified reactive species

Zhi-Yu Zhang,Jian-Hao Xu,Jiang-Lei Zhang,Yu-Xin Lin,Jun Ou-Yang

Brain sciences 14: PubMed38790466

2024

Intranasal Administration of Apelin-13 Ameliorates Cognitive Deficit in Streptozotocin-Induced Alzheimer's Disease Model via Enhancement of Nrf2-HO1 Pathways.

Applications

Unspecified application

Species

Unspecified reactive species

Hai Lu,Ming Chen,Cuiqing Zhu

Histology and histopathology 39:1643-1658 PubMed38666295

2024

Protection of Qingfei Xieding prescription from idiopathic pulmonary fibrosis by regulating renin-angiotensin and ferroptosis in MLE-12 cells.

Applications

Unspecified application

Species

Unspecified reactive species

Lifang Sun,Xinxin He,Jiao Kong,Jianying Zhou
View all publications

Abcam Product Promise

我们致力于为您的研究提供高质量的试剂,为您科研的每一步提供支持。若我们的产品未能达到预期性能,我们向您提供 Abcam Product Promise 保障。
详情请参阅我们的条款与条件。

Please note: All products are 'FOR RESEARCH USE ONLY. NOT FOR USE IN DIAGNOSTIC OR THERAPEUTIC PROCEDURES'.

For licensing inquiries, please contact partnerships@abcam.com