JavaScript is disabled in your browser. Please enable JavaScript to view this website.
AB167410

重组Anti-ERAB抗体[EPR11839(B)]

Anti-ERAB antibody [EPR11839(B)]

Be the first to review this product! Submit a review

|

(5 Publications)

Rabbit Recombinant Monoclonal ERAB antibody. Suitable for IHC-P, WB, ICC/IF, Flow Cyt (Intra) and reacts with Human, Mouse, Rat samples. Cited in 5 publications.

查看别名

ERAB, HADH2, MRPP2, SCHAD, SDR5C1, XH98G2, HSD17B10, 3-hydroxyacyl-CoA dehydrogenase type-2, 17-beta-estradiol 17-dehydrogenase, 2-methyl-3-hydroxybutyryl-CoA dehydrogenase, 3-alpha-(17-beta)-hydroxysteroid dehydrogenase (NAD(+)), 3-hydroxy-2-methylbutyryl-CoA dehydrogenase, 3-hydroxyacyl-CoA dehydrogenase type II, 3alpha(or 20beta)-hydroxysteroid dehydrogenase, 7-alpha-hydroxysteroid dehydrogenase, Endoplasmic reticulum-associated amyloid beta-peptide-binding protein, Mitochondrial ribonuclease P protein 2, Short chain dehydrogenase/reductase family 5C member 1, Short-chain type dehydrogenase/reductase XH98G2, Type II HADH, MHBD, Mitochondrial RNase P protein 2

10 Images
Immunohistochemistry (Formalin/PFA-fixed paraffin-embedded sections) - Anti-ERAB antibody [EPR11839(B)] (AB167410)
  • IHC-P

Unknown

Immunohistochemistry (Formalin/PFA-fixed paraffin-embedded sections) - Anti-ERAB antibody [EPR11839(B)] (AB167410)

ab167410 showing +ve staining in Human endometrial carcinoma.

Perform heat mediated antigen retrieval with citrate buffer pH 6 before commencing with IHC staining protocol.

Flow Cytometry (Intracellular) - Anti-ERAB antibody [EPR11839(B)] (AB167410)
  • Flow Cyt (Intra)

Unknown

Flow Cytometry (Intracellular) - Anti-ERAB antibody [EPR11839(B)] (AB167410)

Intracellular flow cytometric analysis of permeabilized K562 cells labeling ERAB with ab167410 at 1/10 dilution (red) compared to a rabbit IgG negative control (green).

Immunocytochemistry/ Immunofluorescence - Anti-ERAB antibody [EPR11839(B)] (AB167410)
  • ICC/IF

Unknown

Immunocytochemistry/ Immunofluorescence - Anti-ERAB antibody [EPR11839(B)] (AB167410)

Immunocytochemistry/Immunofluorescence analysis of MCF-7 (human breast carcinoma) labelling ERAB with purified ab167410 at 1/500. Cells were fixed with 100% methanol. An Alexa Fluor® 488-conjugated goat anti-rabbit IgG (1/1000) was used as the secondary antibody (ab150077). Nuclei counterstained with DAPI (blue).

Control : PBS only

Immunohistochemistry (Formalin/PFA-fixed paraffin-embedded sections) - Anti-ERAB antibody [EPR11839(B)] (AB167410)
  • IHC-P

Unknown

Immunohistochemistry (Formalin/PFA-fixed paraffin-embedded sections) - Anti-ERAB antibody [EPR11839(B)] (AB167410)

Immunohistochemical analysis of paraffin-embedded Human brain tissue labeling ERAB with ab167410 at 1/50 dilution.

Perform heat mediated antigen retrieval with citrate buffer pH 6 before commencing with IHC staining protocol.

Immunohistochemistry (Formalin/PFA-fixed paraffin-embedded sections) - Anti-ERAB antibody [EPR11839(B)] (AB167410)
  • IHC-P

Unknown

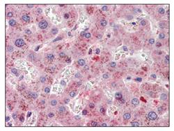
Immunohistochemistry (Formalin/PFA-fixed paraffin-embedded sections) - Anti-ERAB antibody [EPR11839(B)] (AB167410)

ab167410 showing +ve staining in Human normal liver.

Perform heat mediated antigen retrieval with citrate buffer pH 6 before commencing with IHC staining protocol.

Immunohistochemistry (Formalin/PFA-fixed paraffin-embedded sections) - Anti-ERAB antibody [EPR11839(B)] (AB167410)
  • IHC-P

Unknown

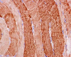
Immunohistochemistry (Formalin/PFA-fixed paraffin-embedded sections) - Anti-ERAB antibody [EPR11839(B)] (AB167410)

ab167410 showing +ve staining in Human heart.

Perform heat mediated antigen retrieval with citrate buffer pH 6 before commencing with IHC staining protocol.

Immunohistochemistry (Formalin/PFA-fixed paraffin-embedded sections) - Anti-ERAB antibody [EPR11839(B)] (AB167410)
  • IHC-P

Unknown

Immunohistochemistry (Formalin/PFA-fixed paraffin-embedded sections) - Anti-ERAB antibody [EPR11839(B)] (AB167410)

Immunohistochemical analysis of paraffin-embedded Human kidney tissue labeling ERAB with ab167410 at 1/50 dilution.

Perform heat mediated antigen retrieval with citrate buffer pH 6 before commencing with IHC staining protocol.

Immunohistochemistry (Formalin/PFA-fixed paraffin-embedded sections) - Anti-ERAB antibody [EPR11839(B)] (AB167410)
  • IHC-P

Unknown

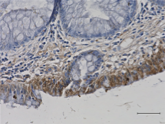
Immunohistochemistry (Formalin/PFA-fixed paraffin-embedded sections) - Anti-ERAB antibody [EPR11839(B)] (AB167410)

ab167410 showing +ve staining in Human gastric adenocarcinoma.

Perform heat mediated antigen retrieval with citrate buffer pH 6 before commencing with IHC staining protocol.

Immunocytochemistry/ Immunofluorescence - Anti-ERAB antibody [EPR11839(B)] (AB167410)
  • ICC/IF

Unknown

Immunocytochemistry/ Immunofluorescence - Anti-ERAB antibody [EPR11839(B)] (AB167410)

Immunofluorescent analysis of HeLa cells labeling ERAB with ab167410 at 1/100 dilution. DAPI nuclear staining (blue).

Western blot - Anti-ERAB antibody [EPR11839(B)] (AB167410)
  • WB

Unknown

Western blot - Anti-ERAB antibody [EPR11839(B)] (AB167410)

All lanes:

Western blot - Anti-ERAB antibody [EPR11839(B)] (ab167410) at 1/10000 dilution

Lane 1:

Jurkat cell lysate at 10 µg

Lane 2:

293T cell lysate at 10 µg

Lane 3:

K562 cell lysate at 10 µg

Lane 4:

HeLa cell lysate at 10 µg

Secondary

All lanes:

HRP labeled goat anti-rabbit at 1/2000 dilution

Predicted band size: 27 kDa

false

关键信息

宿主种属

Rabbit

克隆

Monoclonal

克隆号

EPR11839(B)

亚型

IgG

不含载体蛋白

No

反应种属

Human

应用

Flow Cyt (Intra), ICC/IF, IHC-P, WB

applications

免疫原

The exact immunogen used to generate this antibody is proprietary information.

反应性数据

{ "title": "Reactivity Data", "filters": { "stats": ["", "Species", "Dilution Info", "Notes"], "tabs": { "all-applications": {"fullname" : "All Applications", "shortname": "All Applications"}, "IHCP" : {"fullname" : "Immunohistochemistry (Formalin/PFA-fixed paraffin-embedded sections)", "shortname":"IHC-P"}, "IP" : {"fullname" : "Immunoprecipitation", "shortname":"IP"}, "WB" : {"fullname" : "Western blot", "shortname":"WB"}, "ICCIF" : {"fullname" : "Immunocytochemistry/ Immunofluorescence", "shortname":"ICC/IF"}, "FlowCytIntra" : {"fullname" : "Flow Cytometry (Intracellular)", "shortname":"Flow Cyt (Intra)"} }, "product-promise": { "all": "all", "testedAndGuaranteed": "tested", "guaranteed": "expected", "predicted": "predicted", "notRecommended": "not-recommended" } }, "values": { "Human": { "IHCP-species-checked": "testedAndGuaranteed", "IHCP-species-dilution-info": "1/50 - 1/100", "IHCP-species-notes": "<p></p>", "IP-species-checked": "notRecommended", "IP-species-dilution-info": "", "IP-species-notes": "<p></p>", "WB-species-checked": "testedAndGuaranteed", "WB-species-dilution-info": "1/10000 - 1/50000", "WB-species-notes": "<p></p>", "ICCIF-species-checked": "testedAndGuaranteed", "ICCIF-species-dilution-info": "1/100 - 1/500", "ICCIF-species-notes": "<p></p>", "FlowCytIntra-species-checked": "testedAndGuaranteed", "FlowCytIntra-species-dilution-info": "1/10 - 1/100", "FlowCytIntra-species-notes": "<p><a href='/products/primary-antibodies/rabbit-igg-monoclonal-epr25a-isotype-control-ab172730'>ab172730</a> - Rabbit monoclonal IgG, is suitable for use as an isotype control with this antibody.</p>" }, "Mouse": { "IHCP-species-checked": "predicted", "IHCP-species-dilution-info": "", "IHCP-species-notes": "", "IP-species-checked": "notRecommended", "IP-species-dilution-info": "", "IP-species-notes": "", "WB-species-checked": "guaranteed", "WB-species-dilution-info": "", "WB-species-notes": "<p></p>", "ICCIF-species-checked": "predicted", "ICCIF-species-dilution-info": "", "ICCIF-species-notes": "", "FlowCytIntra-species-checked": "predicted", "FlowCytIntra-species-dilution-info": "", "FlowCytIntra-species-notes": "" }, "Rat": { "IHCP-species-checked": "predicted", "IHCP-species-dilution-info": "", "IHCP-species-notes": "", "IP-species-checked": "notRecommended", "IP-species-dilution-info": "", "IP-species-notes": "", "WB-species-checked": "guaranteed", "WB-species-dilution-info": "", "WB-species-notes": "<p></p>", "ICCIF-species-checked": "predicted", "ICCIF-species-dilution-info": "", "ICCIF-species-notes": "", "FlowCytIntra-species-checked": "predicted", "FlowCytIntra-species-dilution-info": "", "FlowCytIntra-species-notes": "" } } }

产品详情

Patented technology
Our RabMAb® technology is a patented hybridoma-based technology for making rabbit monoclonal antibodies. For details on our patents, please refer to RabMAb® patents.

What are the advantages of a recombinant monoclonal antibody?
This product is a recombinant monoclonal antibody, which offers several advantages including:

  • - High batch-to-batch consistency and reproducibility
  • - Improved sensitivity and specificity
  • - Long-term security of supply
  • - Animal-free batch production

For more information, read more on recombinant antibodies.

性能和储存信息

形式
Liquid
纯化工艺
Affinity purification Protein A
存储溶液
pH: 7.2 - 7.4 Preservative: 0.01% Sodium azide Constituents: PBS, 50% Tissue culture supernatant, 40% Glycerol (glycerin, glycerine), 0.05% BSA
运输条件
Blue Ice
推荐的短期储存时间
1-2 weeks
推荐的短期储存条件
+4°C
推荐的长期储存条件
-20°C
分装信息
Upon delivery aliquot

补充信息

This supplementary information is collated from multiple sources and compiled automatically.

ERAB also known as 17-beta-hydroxysteroid dehydrogenase type 10 (HSD10) or 3-hydroxyacyl-CoA dehydrogenase type II is a multifunctional mitochondrial enzyme. It has a molecular mass of approximately 27 kDa. This enzyme is expressed in various tissues with high expression in the liver kidney heart and brain. ERAB plays a role in several metabolic processes thanks to its ability to catalyze reactions involving the oxidation of hydroxyacyl-CoA to ketoacyl-CoA derivatives alongside other substrates like steroids.
Biological function summary

The function of this enzyme extends beyond its metabolic activities. ERAB is part of the mitochondrial enzyme complex responsible for fatty acid oxidation and energy production. This places it centrally in cellular energy homeostasis. Additionally ERAB participates in the metabolism of neurosteroids which impacts brain function. Through its interactions ERAB influences signaling pathways by modulating local steroid concentrations in the nervous system affecting cellular communication and response.

Pathways

ERAB associates with key biochemical pathways including the beta-oxidation of fatty acids and the steroid hormone metabolism pathway. It interacts with acetyl-CoA acyltransferase 2 (ACAA2) within these metabolic pathways facilitating the conversion of substrates vital for energy production and steroid synthesis. This involvement underpins the enzyme’s significance in maintaining metabolic equilibrium through its catalytic activities on essential biological molecules.

ERAB has links to Alzheimer's disease and rare mitochondrial disorders. Studies show that ERAB binds amyloid-beta peptides which accumulate in the brains of Alzheimer's disease patients. This interaction suggests ERAB's potential contribution to the pathogenesis of the disease. Additionally mutations affecting ERAB lead to HSD10 mitochondrial disease a disorder characterized by metabolic and neurological defects. One of the proteins that interacts with ERAB in the context of disease is amyloid precursor protein (APP) which further implicates ERAB in Alzheimer's disease through pathological pathways.

产品实验方案

For this product, it's our understanding that no specific protocols are required. You can visit:

靶点信息

Mitochondrial dehydrogenase involved in pathways of fatty acid, branched-chain amino acid and steroid metabolism (PubMed : 10600649, PubMed : 12917011, PubMed : 18996107, PubMed : 19706438, PubMed : 20077426, PubMed : 25925575, PubMed : 26950678, PubMed : 28888424, PubMed : 9553139). Acts as (S)-3-hydroxyacyl-CoA dehydrogenase in mitochondrial fatty acid beta-oxidation, a major degradation pathway of fatty acids. Catalyzes the third step in the beta-oxidation cycle, namely the reversible conversion of (S)-3-hydroxyacyl-CoA to 3-ketoacyl-CoA. Preferentially accepts straight medium- and short-chain acyl-CoA substrates with highest efficiency for (3S)-hydroxybutanoyl-CoA (PubMed : 10600649, PubMed : 12917011, PubMed : 25925575, PubMed : 26950678, PubMed : 9553139). Acts as 3-hydroxy-2-methylbutyryl-CoA dehydrogenase in branched-chain amino acid catabolic pathway. Catalyzes the oxidation of 3-hydroxy-2-methylbutanoyl-CoA into 2-methyl-3-oxobutanoyl-CoA, a step in isoleucine degradation pathway (PubMed : 18996107, PubMed : 19706438, PubMed : 20077426). Has hydroxysteroid dehydrogenase activity toward steroid hormones and bile acids. Catalyzes the oxidation of 3alpha-, 17beta-, 20beta- and 21-hydroxysteroids and 7alpha- and 7beta-hydroxy bile acids (PubMed : 10600649, PubMed : 12917011). Oxidizes allopregnanolone/brexanolone at the 3alpha-hydroxyl group, which is known to be critical for the activation of gamma-aminobutyric acid receptors (GABAARs) chloride channel (PubMed : 19706438, PubMed : 28888424). Has phospholipase C-like activity toward cardiolipin and its oxidized species. Likely oxidizes the 2'-hydroxyl in the head group of cardiolipin to form a ketone intermediate that undergoes nucleophilic attack by water and fragments into diacylglycerol, dihydroxyacetone and orthophosphate. Has higher affinity for cardiolipin with oxidized fatty acids and may degrade these species during the oxidative stress response to protect cells from apoptosis (PubMed : 26338420). By interacting with intracellular amyloid-beta, it may contribute to the neuronal dysfunction associated with Alzheimer disease (AD) (PubMed : 9338779). Essential for structural and functional integrity of mitochondria (PubMed : 20077426).. In addition to mitochondrial dehydrogenase activity, moonlights as a component of mitochondrial ribonuclease P, a complex that cleaves tRNA molecules in their 5'-ends (PubMed : 18984158, PubMed : 24549042, PubMed : 25925575, PubMed : 26950678, PubMed : 28888424). Together with TRMT10C/MRPP1, forms a subcomplex of the mitochondrial ribonuclease P, named MRPP1-MRPP2 subcomplex, which displays functions that are independent of the ribonuclease P activity (PubMed : 23042678, PubMed : 29040705). The MRPP1-MRPP2 subcomplex catalyzes the formation of N(1)-methylguanine and N(1)-methyladenine at position 9 (m1G9 and m1A9, respectively) in tRNAs; HSD17B10/MRPP2 acting as a non-catalytic subunit (PubMed : 23042678, PubMed : 25925575, PubMed : 28888424). The MRPP1-MRPP2 subcomplex also acts as a tRNA maturation platform : following 5'-end cleavage by the mitochondrial ribonuclease P complex, the MRPP1-MRPP2 subcomplex enhances the efficiency of 3'-processing catalyzed by ELAC2, retains the tRNA product after ELAC2 processing and presents the nascent tRNA to the mitochondrial CCA tRNA nucleotidyltransferase TRNT1 enzyme (PubMed : 29040705). Associates with mitochondrial DNA complexes at the nucleoids to initiate RNA processing and ribosome assembly.
See full target information HSD17B10

文献 (5)

Recent publications for all applications. Explore the full list and refine your search

Alzheimer's research & therapy 17:170 PubMed40702546

2025

New insights into the 17β-hydroxysteroid dehydrogenase type 10 and amyloid-β 42 derived cytotoxicity relevant to Alzheimer's disease.

Applications

Unspecified application

Species

Unspecified reactive species

Aneta Houfková,Monika Schmidt,Ondřej Benek,Ivo Fabrik,Rudolf Andrýs,Lucie Zemanová,Ondřej Soukup,Kamil Musílek

Cell metabolism 36:1411-1429.e10 PubMed38701776

2024

The mitochondrial multi-omic response to exercise training across rat tissues.

Applications

Unspecified application

Species

Unspecified reactive species

David Amar,Nicole R Gay,David Jimenez-Morales,Pierre M Jean Beltran,Megan E Ramaker,Archana Natarajan Raja,Bingqing Zhao,Yifei Sun,Shruti Marwaha,David A Gaul,Steven G Hershman,Alexis Ferrasse,Ashley Xia,Ian Lanza,Facundo M Fernández,Stephen B Montgomery,Andrea L Hevener,Euan A Ashley,Martin J Walsh,Lauren M Sparks,Charles F Burant,R Scott Rector,John Thyfault,Matthew T Wheeler,Bret H Goodpaster,Paul M Coen,Simon Schenk,Sue C Bodine,Malene E Lindholm

eNeuro 9: PubMed36096650

2022

The Mitochondrial Enzyme 17βHSD10 Modulates Ischemic and Amyloid-β-Induced Stress in Primary Mouse Astrocytes.

Applications

Unspecified application

Species

Unspecified reactive species

Vanya Metodieva,Terry Smith,Frank Gunn-Moore

Neurotoxicity research 36:27-38 PubMed30993548

2019

Divergent Expression Patterns of Drp1 and HSD10 in the Nigro-Striatum of Two Mice Strains Based on their MPTP Susceptibility.

Applications

Unspecified application

Species

Unspecified reactive species

Akshaya Seshadri,Phalguni Anand Alladi

Clinical and experimental medicine 18:399-411 PubMed29777390

2018

Synergistic effect of TRAIL and irradiation in elimination of glioblastoma stem-like cells.

Applications

Unspecified application

Species

Unspecified reactive species

Junfeng Liu,Qinglei Gao,Tao Xie,Yu Liu,Longjun Luo,Cheng Xu,Lu Shen,Feng Wan,Ting Lei,Fei Ye
View all publications

Abcam Product Promise

我们致力于为您的研究提供高质量的试剂,为您科研的每一步提供支持。若我们的产品未能达到预期性能,我们向您提供 Abcam Product Promise 保障。
详情请参阅我们的条款与条件。

Please note: All products are 'FOR RESEARCH USE ONLY. NOT FOR USE IN DIAGNOSTIC OR THERAPEUTIC PROCEDURES'.

For licensing inquiries, please contact partnerships@abcam.com