JavaScript is disabled in your browser. Please enable JavaScript to view this website.
AB307812

重组Anti-Eph receptor B2抗体[EPR22422-67] - BSA and Azide free

Anti-Eph receptor B2 antibody [EPR22422-67] - BSA and Azide free

Be the first to review this product! Submit a review

|

(0 Publication)

Rabbit Recombinant Monoclonal Eph receptor B2 antibody. Carrier free. Suitable for ICC/IF, WB, IP and reacts with Human, Mouse, Rat samples.

查看别名

DRT, EPHT3, EPTH3, ERK, HEK5, TYRO5, EPHB2, Ephrin type-B receptor 2, Developmentally-regulated Eph-related tyrosine kinase, ELK-related tyrosine kinase, EPH tyrosine kinase 3, EPH-like kinase 5, Renal carcinoma antigen NY-REN-47, Tyrosine-protein kinase TYRO5, Tyrosine-protein kinase receptor EPH-3, EK5, hEK5

5 Images
Immunocytochemistry/ Immunofluorescence - Anti-Eph receptor B2 antibody [EPR22422-67] - BSA and Azide free (AB307812)
  • ICC/IF

Supplier Data

Immunocytochemistry/ Immunofluorescence - Anti-Eph receptor B2 antibody [EPR22422-67] - BSA and Azide free (AB307812)

This data was developed using ab307811, the same antibody clone in a different buffer formulation. Immunofluorescent analysis of 80% Methanol-fixed, 0.1% TritonX-100 permeabilized COLO 205 (human colon adenocarcinoma tumor ascetic epithelial cell) cells labelling Eph receptor B2 with ab307811 at 1/1000 (0.518 ug/ml) dilution, followed by ab150081 Goat Anti-Rabbit IgG H&L (Alexa Fluor® 488) preabsorbed antibody at 1/1000 2ug/ml dilution (Green). Confocal image showing membranous staining in COLO 205 cell line. Negative control : K-562.Image was taken with a confocal microscope(Leica-Microsystems, TCS SP8). is observed. ab195889 Anti-alpha Tubulin mouse monoclonal antibody - Microtubule Marker (Alexa Fluor® 594) was used to counterstain tubulin at 1/200 2.5ug/ml dilution (Red). The Nuclear counterstain was DAPI (Blue). Secondary antibody only control : Secondary antibody is ab150081 Goat Anti-Rabbit IgG H&L (Alexa Fluor® 488) preabsorbed at 1/1000 2ug/ml dilution.

Immunoprecipitation - Anti-Eph receptor B2 antibody [EPR22422-67] - BSA and Azide free (AB307812)
  • IP

Supplier Data

Immunoprecipitation - Anti-Eph receptor B2 antibody [EPR22422-67] - BSA and Azide free (AB307812)

This data was developed using ab307811, the same antibody clone in a different buffer formulation. Eph receptor B2 was immunoprecipitated from 0.35 mg COLO 205 (human colorectal adenocarcinoma cell) whole cell lysate 10 ug with ab307811 at 1/30 dilution (2ug in 0.35mg lysates). Western blot was performed on the immunoprecipitate using ab307811 at 1/1000 dilution. VeriBlot for IP secondary antibody(HRP)(ab131366) was used at 1/5000 dilution. Lane 1 : COLO 205 (human colorectal adenocarcinoma cell) whole cell lysate 10 ug Lane 2 : ab307811 IP in COLO 205 whole cell lysate Lane 3 : Rabbit monoclonal IgG (ab172730) instead of ab307811 in COLO 205 whole cell lysate Blocking and dilution buffer and concentration : 5% NFDM/TBST. Exposure time : 3 seconds Lysates were freshly made and used for Western blotting immediately to minimize protein degradation.

All lanes:

Immunoprecipitation - Anti-Eph receptor B2 antibody [EPR22422-67] (<a href='/products/primary-antibodies/eph-receptor-b2-antibody-epr22422-67-ab307811'>ab307811</a>) at 1/1000 dilution

All lanes:

COLO 205 cells

Secondary

All lanes:

Immunoprecipitation at 1/5000 dilution

Observed band size: 130 kDa

false

Exposure time: 3s

Western blot - Anti-Eph receptor B2 antibody [EPR22422-67] - BSA and Azide free (AB307812)
  • WB

Lab

Western blot - Anti-Eph receptor B2 antibody [EPR22422-67] - BSA and Azide free (AB307812)

This data was developed using the same antibody clone in a different buffer formulation (ab307811).

Western blot : Anti-EPHB2 antibody [EPR22422-67] (ab307811) staining at 1/1000 dilution, shown in green; Mouse anti-CANX [CANX/1543] (ab238078) loading control staining at 1/20000 dilution, shown in magenta. In Western blot, ab307811 was shown to bind specifically to EPHB2. A band was observed at 130 kDa in wild-type HCT 116 cell lysates with no signal observed at this size in EPHB2 knockout cell line. To generate this image, wild-type and EPHB2 knockout HCT 116 cell lysates were analysed. First, samples were run on an SDS-PAGE gel then transferred onto a nitrocellulose membrane. Membranes were blocked in 5 % milk in TBS-0.1 % Tween® 20 (TBS-T) before incubation with primary antibodies overnight at 4 °C. Blots were washed four times in TBS-T, incubated with secondary antibodies for 1 h at room temperature, washed again four times then imaged. Secondary antibodies used were Goat anti-Rabbit IgG H&L 800CW and Goat anti-Mouse IgG H&L 680RD at 1/20000 dilution.

All lanes:

Western blot - Anti-Eph receptor B2 antibody [EPR22422-67] (<a href='/products/primary-antibodies/eph-receptor-b2-antibody-epr22422-67-ab307811'>ab307811</a>) at 1/1000 dilution

Lane 1:

Wild-type HCT 116 cell lysate at 20 µg

Lane 2:

EPHB2 knockout HCT 116 cell lysate at 20 µg

Lane 3:

A549 cell lysate at 20 µg

Lane 4:

HepG2 cell lysate at 20 µg

Secondary

All lanes:

Goat anti-Rabbit IgG H&L 800CW and Goat anti-Mouse IgG H&L 680RD at 1/20000 dilution

Observed band size: 130 kDa

false

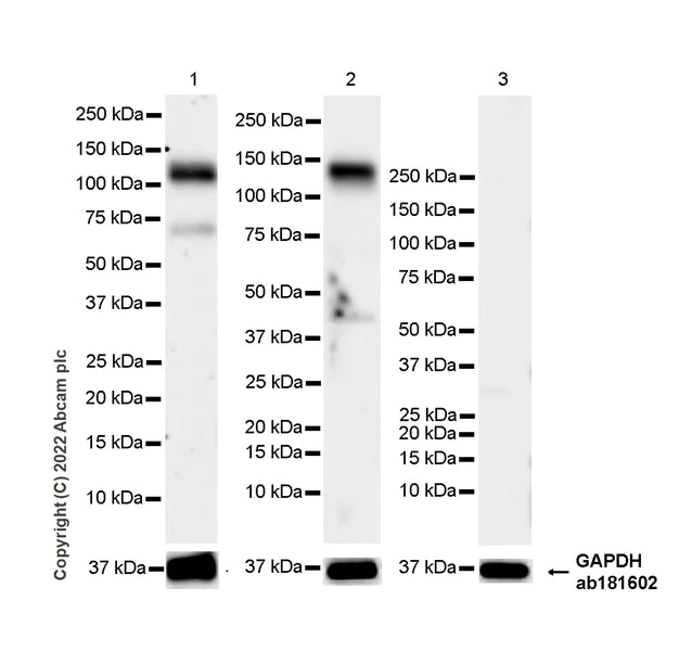
Western blot - Anti-Eph receptor B2 antibody [EPR22422-67] - BSA and Azide free (AB307812)
  • WB

Supplier Data

Western blot - Anti-Eph receptor B2 antibody [EPR22422-67] - BSA and Azide free (AB307812)

This data was developed using ab307811, the same antibody clone in a different buffer formulation. Negative control : K562 The lower band around 70 kDa could be non-specific band or cleaved fragment(PMID : 18713744, PMID : 21508957). Lysates were freshly made and used for Western blotting immediately to minimize protein degradation. In Western blot, anti-GAPDH antibody (ab181602) loading control staining at 1/200000 dilution. Exposure time : Lane 1 : 125 seconds, Lane 2 and 3 : 48 seconds

All lanes:

Western blot - Anti-Eph receptor B2 antibody [EPR22422-67] (<a href='/products/primary-antibodies/eph-receptor-b2-antibody-epr22422-67-ab307811'>ab307811</a>) at 1/1000 dilution

Lane 1:

HT-1080 (human fibrosarcoma epithelial cell)whole cell lysate at 50 µg

Lane 2:

COLO 205 (human colon adenocarcinoma tumor ascetic epithelial cell) whole cell lysate at 20 µg

Lane 3:

K562 (human chronic myelogenous leukemia lymphoblast) whole cell lysate at 20 µg

Secondary

All lanes:

Western blot - Goat Anti-Rabbit IgG H&L (HRP) (<a href='/products/secondary-antibodies/goat-rabbit-igg-h-l-hrp-ab97051'>ab97051</a>) at 1/100000 dilution

Observed band size: 130 kDa

false

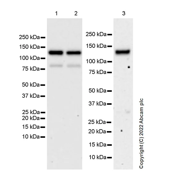
Western blot - Anti-Eph receptor B2 antibody [EPR22422-67] - BSA and Azide free (AB307812)
  • WB

Supplier Data

Western blot - Anti-Eph receptor B2 antibody [EPR22422-67] - BSA and Azide free (AB307812)

This data was developed using ab307811, the same antibody clone in a different buffer formulation. Lane 3 was freshly made and used immediately to minimize protein degradation. The lower band around 80 kDa could be non-specific band or cleaved fragment (PMID : 18713744). Lanes 1 and 2 are non-boiled as boiling may cause protein aggregation. Exposure time : Lanes 1 and 2 : 136 seconds, Lane 3 : 180 seconds

All lanes:

Western blot - Anti-Eph receptor B2 antibody [EPR22422-67] (<a href='/products/primary-antibodies/eph-receptor-b2-antibody-epr22422-67-ab307811'>ab307811</a>) at 1/1000 dilution

Lane 1:

Mouse brain tissue lysate at 40 µg

Lane 2:

Rat brain tissue lysate at 40 µg

Lane 3:

NIH/3T3 (mouse embryonic fibroblast) whole cell lysate at 20 µg

Secondary

All lanes:

Western blot - Goat Anti-Rabbit IgG H&L (HRP) (<a href='/products/secondary-antibodies/goat-rabbit-igg-h-l-hrp-ab97051'>ab97051</a>) at 1/100000 dilution

Observed band size: 130 kDa

false

关键信息

宿主种属

Rabbit

克隆

Monoclonal

克隆号

EPR22422-67

亚型

IgG

不含载体蛋白

Yes

反应种属

Human, Mouse, Rat

应用

ICC/IF, IP, WB

applications

免疫原

The exact immunogen used to generate this antibody is proprietary information.

反应性数据

{ "title": "Reactivity Data", "filters": { "stats": ["", "Species", "Dilution Info", "Notes"], "tabs": { "all-applications": {"fullname" : "All Applications", "shortname": "All Applications"}, "ICCIF" : {"fullname" : "Immunocytochemistry/ Immunofluorescence", "shortname":"ICC/IF"}, "WB" : {"fullname" : "Western blot", "shortname":"WB"}, "IP" : {"fullname" : "Immunoprecipitation", "shortname":"IP"}, "IHCP" : {"fullname" : "Immunohistochemistry (Formalin/PFA-fixed paraffin-embedded sections)", "shortname":"IHC-P"}, "FlowCytIntra" : {"fullname" : "Flow Cytometry (Intracellular)", "shortname":"Flow Cyt (Intra)"} }, "product-promise": { "all": "all", "testedAndGuaranteed": "tested", "guaranteed": "expected", "predicted": "predicted", "notRecommended": "not-recommended" } }, "values": { "Human": { "ICCIF-species-checked": "testedAndGuaranteed", "ICCIF-species-dilution-info": "", "ICCIF-species-notes": "<p></p>", "WB-species-checked": "testedAndGuaranteed", "WB-species-dilution-info": "", "WB-species-notes": "<p></p>", "IP-species-checked": "testedAndGuaranteed", "IP-species-dilution-info": "", "IP-species-notes": "<p></p>", "IHCP-species-checked": "notRecommended", "IHCP-species-dilution-info": "", "IHCP-species-notes": "<p></p> Perform heat-mediated antigen retrieval with Tris/EDTA buffer pH 9.0 before commencing with IHC staining protocol.", "FlowCytIntra-species-checked": "notRecommended", "FlowCytIntra-species-dilution-info": "", "FlowCytIntra-species-notes": "<p></p>" }, "Mouse": { "ICCIF-species-checked": "guaranteed", "ICCIF-species-dilution-info": "", "ICCIF-species-notes": "", "WB-species-checked": "testedAndGuaranteed", "WB-species-dilution-info": "", "WB-species-notes": "<p></p>", "IP-species-checked": "guaranteed", "IP-species-dilution-info": "", "IP-species-notes": "", "IHCP-species-checked": "notRecommended", "IHCP-species-dilution-info": "", "IHCP-species-notes": "<p></p> Perform heat-mediated antigen retrieval with Tris/EDTA buffer pH 9.0 before commencing with IHC staining protocol.", "FlowCytIntra-species-checked": "notRecommended", "FlowCytIntra-species-dilution-info": "", "FlowCytIntra-species-notes": "<p></p>" }, "Rat": { "ICCIF-species-checked": "guaranteed", "ICCIF-species-dilution-info": "", "ICCIF-species-notes": "", "WB-species-checked": "testedAndGuaranteed", "WB-species-dilution-info": "", "WB-species-notes": "<p></p>", "IP-species-checked": "guaranteed", "IP-species-dilution-info": "", "IP-species-notes": "", "IHCP-species-checked": "notRecommended", "IHCP-species-dilution-info": "", "IHCP-species-notes": "<p></p> Perform heat-mediated antigen retrieval with Tris/EDTA buffer pH 9.0 before commencing with IHC staining protocol.", "FlowCytIntra-species-checked": "notRecommended", "FlowCytIntra-species-dilution-info": "", "FlowCytIntra-species-notes": "<p></p>" } } }

产品详情

Patented technology
Our RabMAb® technology is a patented hybridoma-based technology for making rabbit monoclonal antibodies. For details on our patents, please refer to RabMAb® patents.

What are the advantages of a recombinant monoclonal antibody?
This product is a recombinant monoclonal antibody, which offers several advantages including:

  • - High batch-to-batch consistency and reproducibility
  • - Improved sensitivity and specificity
  • - Long-term security of supply
  • - Animal-free batch production

For more information, read more on recombinant antibodies.

Conjugation ready
Our carrier-free antibodies are typically supplied in a PBS-only formulation, purified and free of BSA, sodium azide and glycerol. This conjugation-ready format is designed for use with fluorochromes, metal isotopes, oligonucleotides, and enzymes, which makes them ideal for antibody labelling, functional and cell-based assays, flow-based assays (e.g. mass cytometry) and Multiplex Imaging applications.

Use our conjugation kits for antibody conjugates that are ready-to-use in as little as 20 minutes with 1 minute hands-on-time and 100% antibody recovery: available for fluorescent dyes, HRP, biotin and gold.

Compatibility
This product is compatible with the Maxpar® Antibody Labeling Kit from Fluidigm, without the need for antibody preparation. Maxpar® is a trademark of Fluidigm Canada Inc.

性能和储存信息

形式
Liquid
纯化工艺
Affinity purification Protein A
存储溶液
pH: 7.2 - 7.4 Constituents: PBS
运输条件
Blue Ice
推荐的短期储存条件
+4°C
推荐的长期储存条件
+4°C

补充信息

This supplementary information is collated from multiple sources and compiled automatically.

Eph receptor B2 also known as EphB2 is a member of the Eph receptor family which includes a number of receptor tyrosine kinases. It has a molecular weight of approximately 110 kDa. The B2 receptor is strongly expressed in various tissues including the brain spinal cord and developing embryos. These proteins include the Eph protein as well as other B2 proteins. The receptor plays a mechanical role in guiding cell positioning and tissue patterning by interacting with Ephrin ligands specifically ephrin-B2 and ephrin-B3.
Biological function summary

Eph receptor B2 functions in cell-cell communication and is involved in neuronal navigation and synaptic plasticity. It forms part of a complex that brings together ligand-receptor pairs on adjacent cells facilitating bidirectional signaling. The receptor's activation influences neuronal circuitry remodeling and helps in the differentiation of numerous cell types. The B2 protein acting as anti B2 modulates various cell signaling mechanisms essential for normal physiological functioning especially in the nervous system where it contributes to the intricate network of the eph protein interactions.

Pathways

These interactions place Eph receptor B2 in significant signaling pathways such as the MAPK/ERK and PI3K/Akt pathways. These play influential roles in cell proliferation survival and migration. The receptor interacts with numerous proteins including AB25AP through these pathways affecting developmental processes and mature cellular functions. The precise regulation of these pathways is necessary for maintaining homeostasis in complex biological systems especially within the context of the nervous system.

Alterations in Eph receptor B2 expressions have been linked to conditions such as cancer and Alzheimer’s disease. In cancers overexpression of the B2 receptor can contribute to the abnormal growth and metastasis of tumor cells often through mechanisms involving interactions with other tumorigenic proteins like Eph receptor A2. In Alzheimer's disease changes in B2 receptor signaling are associated with disrupted synaptic plasticity leading to cognitive deficits highlighting the importance of the Eph B2 receptor and its interplay with related signaling proteins in disease pathways.

产品实验方案

For this product, it's our understanding that no specific protocols are required. You can visit:

靶点信息

Receptor tyrosine kinase which binds promiscuously transmembrane ephrin-B family ligands residing on adjacent cells, leading to contact-dependent bidirectional signaling into neighboring cells. The signaling pathway downstream of the receptor is referred to as forward signaling while the signaling pathway downstream of the ephrin ligand is referred to as reverse signaling. Functions in axon guidance during development. Involved in the guidance of commissural axons, that form a major interhemispheric connection between the 2 temporal lobes of the cerebral cortex. Also involved in guidance of contralateral inner ear efferent growth cones at the midline and of retinal ganglion cell axons to the optic disk. In addition to axon guidance, also regulates dendritic spines development and maturation and stimulates the formation of excitatory synapses. Upon activation by EFNB1, abolishes the ARHGEF15-mediated negative regulation on excitatory synapse formation. Controls other aspects of development including angiogenesis, palate development and in inner ear development through regulation of endolymph production. Forward and reverse signaling through the EFNB2/EPHB2 complex regulate movement and adhesion of cells that tubularize the urethra and septate the cloaca. May function as a tumor suppressor. May be involved in the regulation of platelet activation and blood coagulation (PubMed : 30213874).
See full target information EPHB2

Abcam Product Promise

我们致力于为您的研究提供高质量的试剂,为您科研的每一步提供支持。若我们的产品未能达到预期性能,我们向您提供 Abcam Product Promise 保障。
详情请参阅我们的条款与条件。

Please note: All products are 'FOR RESEARCH USE ONLY. NOT FOR USE IN DIAGNOSTIC OR THERAPEUTIC PROCEDURES'.

For licensing inquiries, please contact partnerships@abcam.com