JavaScript is disabled in your browser. Please enable JavaScript to view this website.
AB219364

重组Anti-EpCAM抗体[EPR677(2)] - BSA and Azide free

Anti-EpCAM antibody [EPR677(2)] - BSA and Azide free

Be the first to review this product! Submit a review

|

(4 Publications)

Rabbit Recombinant Monoclonal EPCAM antibody. Carrier free. Suitable for IHC-P, WB and reacts with Human samples. Cited in 4 publications.

查看别名

CD326, GA733-2, M1S2, M4S1, MIC18, TACSTD1, TROP1, EPCAM, Epithelial cell adhesion molecule, Ep-CAM, Adenocarcinoma-associated antigen, Cell surface glycoprotein Trop-1, Epithelial cell surface antigen, Epithelial glycoprotein, Epithelial glycoprotein 314, KS 1/4 antigen, KSA, Major gastrointestinal tumor-associated protein GA733-2, Tumor-associated calcium signal transducer 1, EGP, EGP314, hEGP314

11 Images
Immunohistochemistry (Formalin/PFA-fixed paraffin-embedded sections) - Anti-EpCAM antibody [EPR677(2)] - BSA and Azide free (AB219364)
  • IHC-P

Lab

Immunohistochemistry (Formalin/PFA-fixed paraffin-embedded sections) - Anti-EpCAM antibody [EPR677(2)] - BSA and Azide free (AB219364)

Tissue Microarrays stained for "Anti-EpCAM antibody [EPR677(2)]" using "ab124825"in immunohistochemical analysis. This table provides a detailed overview of positive (tick mark) and negative (cross mark) staining per sample type tested. The sections were pre-treated using Heat mediated antigen retrieval using Bond™ Epitope Retrieval Solution 2 (pH 9.0) for 20 minutes. The sections were incubated with ab124825 for 30 mins at room temperature followed by a ready to use Rabbit specific IHC polymer detection kit HRP/DAB (ab209101). The immunostaining was performed on a Leica Biosystems BOND® RX instrument.

Immunohistochemistry (Formalin/PFA-fixed paraffin-embedded sections) - Anti-EpCAM antibody [EPR677(2)] - BSA and Azide free (AB219364)
  • IHC-P

Unknown

Immunohistochemistry (Formalin/PFA-fixed paraffin-embedded sections) - Anti-EpCAM antibody [EPR677(2)] - BSA and Azide free (AB219364)

This IHC data was generated using the same anti-EpCAM antibody clone, EPR677(2), in a different buffer formulation (cat# ab124825). Heat mediated antigen retrieval was performed before commencing with IHC staining protocol.

ab124825 showing positive staining in Normal kidney tissue.

Immunohistochemistry (Formalin/PFA-fixed paraffin-embedded sections) - Anti-EpCAM antibody [EPR677(2)] - BSA and Azide free (AB219364)
  • IHC-P

Unknown

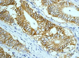
Immunohistochemistry (Formalin/PFA-fixed paraffin-embedded sections) - Anti-EpCAM antibody [EPR677(2)] - BSA and Azide free (AB219364)

ab124825, at 1/100 dilution, staining EpCAM in paraffin-embedded Human colon tissue by Immunohistochemistry. Heat mediated antigen retrieval was performed before commencing with IHC staining protocol.

This data was developed using the same antibody clone in a different buffer formulation containing PBS, BSA, glycerol, and sodium azide (ab124825).

Immunohistochemistry (Formalin/PFA-fixed paraffin-embedded sections) - Anti-EpCAM antibody [EPR677(2)] - BSA and Azide free (AB219364)
  • IHC-P

Unknown

Immunohistochemistry (Formalin/PFA-fixed paraffin-embedded sections) - Anti-EpCAM antibody [EPR677(2)] - BSA and Azide free (AB219364)

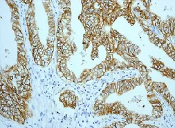
This IHC data was generated using the same anti-EpCAM antibody clone, EPR677(2), in a different buffer formulation (cat# ab124825). Heat mediated antigen retrieval was performed before commencing with IHC staining protocol.

ab124825, at 1/100 dilution, staining EpCAM in paraffin-embedded Human colon adenocarcinoma tissue by Immunohistochemistry.

Immunohistochemistry (Formalin/PFA-fixed paraffin-embedded sections) - Anti-EpCAM antibody [EPR677(2)] - BSA and Azide free (AB219364)
  • IHC-P

Unknown

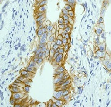
Immunohistochemistry (Formalin/PFA-fixed paraffin-embedded sections) - Anti-EpCAM antibody [EPR677(2)] - BSA and Azide free (AB219364)

ab124825, at 1/100 dilution, staining EpCAM in paraffin-embedded Human endometrial adenocarcinoma tissue by Immunohistochemistry. Heat mediated antigen retrieval was performed before commencing with IHC staining protocol.

This data was developed using the same antibody clone in a different buffer formulation containing PBS, BSA, glycerol, and sodium azide (ab124825).

Immunohistochemistry (Formalin/PFA-fixed paraffin-embedded sections) - Anti-EpCAM antibody [EPR677(2)] - BSA and Azide free (AB219364)
  • IHC-P

Unknown

Immunohistochemistry (Formalin/PFA-fixed paraffin-embedded sections) - Anti-EpCAM antibody [EPR677(2)] - BSA and Azide free (AB219364)

ab124825, at 1/100 dilution, staining EpCAM in paraffin-embedded Human stomach adenocarcinoma tissue by Immunohistochemistry. Heat mediated antigen retrieval was performed before commencing with IHC staining protocol.

This data was developed using the same antibody clone in a different buffer formulation containing PBS, BSA, glycerol, and sodium azide (ab124825).

Immunohistochemistry (Formalin/PFA-fixed paraffin-embedded sections) - Anti-EpCAM antibody [EPR677(2)] - BSA and Azide free (AB219364)
  • IHC-P

Unknown

Immunohistochemistry (Formalin/PFA-fixed paraffin-embedded sections) - Anti-EpCAM antibody [EPR677(2)] - BSA and Azide free (AB219364)

ab124825 showing positive staining in Urinary bladder transitional carcinoma tissue. Heat mediated antigen retrieval was performed before commencing with IHC staining protocol.

This data was developed using the same antibody clone in a different buffer formulation containing PBS, BSA, glycerol, and sodium azide (ab124825).

Immunohistochemistry (Formalin/PFA-fixed paraffin-embedded sections) - Anti-EpCAM antibody [EPR677(2)] - BSA and Azide free (AB219364)
  • IHC-P

Unknown

Immunohistochemistry (Formalin/PFA-fixed paraffin-embedded sections) - Anti-EpCAM antibody [EPR677(2)] - BSA and Azide free (AB219364)

ab124825 showing negative staining in Glioma tissue.

This data was developed using the same antibody clone in a different buffer formulation containing PBS, BSA, glycerol, and sodium azide (ab124825).

Heat mediated antigen retrieval was performed before commencing with IHC staining protocol.

Immunohistochemistry (Formalin/PFA-fixed paraffin-embedded sections) - Anti-EpCAM antibody [EPR677(2)] - BSA and Azide free (AB219364)
  • IHC-P

Unknown

Immunohistochemistry (Formalin/PFA-fixed paraffin-embedded sections) - Anti-EpCAM antibody [EPR677(2)] - BSA and Azide free (AB219364)

ab124825 showing negative staining in Normal tonsil tissue.

This data was developed using the same antibody clone in a different buffer formulation containing PBS, BSA, glycerol, and sodium azide (ab124825).

Heat mediated antigen retrieval was performed before commencing with IHC staining protocol.

Immunohistochemistry (Formalin/PFA-fixed paraffin-embedded sections) - Anti-EpCAM antibody [EPR677(2)] - BSA and Azide free (AB219364)
  • IHC-P

Unknown

Immunohistochemistry (Formalin/PFA-fixed paraffin-embedded sections) - Anti-EpCAM antibody [EPR677(2)] - BSA and Azide free (AB219364)

ab124825 showing negative staining in Skeletal muscle tissue.

This data was developed using the same antibody clone in a different buffer formulation containing PBS, BSA, glycerol, and sodium azide (ab124825).

Heat mediated antigen retrieval was performed before commencing with IHC staining protocol.

Immunohistochemistry (Formalin/PFA-fixed paraffin-embedded sections) - Anti-EpCAM antibody [EPR677(2)] - BSA and Azide free (AB219364)
  • IHC-P

Unknown

Immunohistochemistry (Formalin/PFA-fixed paraffin-embedded sections) - Anti-EpCAM antibody [EPR677(2)] - BSA and Azide free (AB219364)

ab124825 showing negative staining in Normal brain tissue. Heat mediated antigen retrieval was performed before commencing with IHC staining protocol.

This data was developed using the same antibody clone in a different buffer formulation containing PBS, BSA, glycerol, and sodium azide (ab124825).

不同偶联物与剂型 (6)

关键信息

宿主种属

Rabbit

克隆

Monoclonal

克隆号

EPR677(2)

亚型

IgG

不含载体蛋白

Yes

反应种属

Human

应用

WB, IHC-P

applications

免疫原

The exact immunogen used to generate this antibody is proprietary information.

反应性数据

{ "title": "Reactivity Data", "filters": { "stats": ["", "Species", "Dilution Info", "Notes"], "tabs": { "all-applications": {"fullname" : "All Applications", "shortname": "All Applications"}, "IHCP" : {"fullname" : "Immunohistochemistry (Formalin/PFA-fixed paraffin-embedded sections)", "shortname":"IHC-P"}, "ICCIF" : {"fullname" : "Immunocytochemistry/ Immunofluorescence", "shortname":"ICC/IF"}, "IP" : {"fullname" : "Immunoprecipitation", "shortname":"IP"}, "FlowCyt" : {"fullname" : "Flow Cytometry", "shortname":"Flow Cyt"}, "WB" : {"fullname" : "Western blot", "shortname":"WB"} }, "product-promise": { "all": "all", "testedAndGuaranteed": "tested", "guaranteed": "expected", "predicted": "predicted", "notRecommended": "not-recommended" } }, "values": { "Human": { "IHCP-species-checked": "testedAndGuaranteed", "IHCP-species-dilution-info": "", "IHCP-species-notes": "<p>Heat up to 98 degrees C, below boiling, and then let cool for 10-20 min.</p>", "ICCIF-species-checked": "notRecommended", "ICCIF-species-dilution-info": "", "ICCIF-species-notes": "<p></p>", "IP-species-checked": "notRecommended", "IP-species-dilution-info": "", "IP-species-notes": "<p></p>", "FlowCyt-species-checked": "notRecommended", "FlowCyt-species-dilution-info": "", "FlowCyt-species-notes": "<p></p>", "WB-species-checked": "guaranteed", "WB-species-dilution-info": "", "WB-species-notes": "<p>Western blots of mouse and rat samples are negative.</p>" } } }

产品详情

ab219364 is the carrier-free version of ab124825.

Produced using a non-baculovirus eukaryotic cell expression system.

Patented technology
Our RabMAb® technology is a patented hybridoma-based technology for making rabbit monoclonal antibodies. For details on our patents, please refer to RabMAb® patents.

What are the advantages of a recombinant monoclonal antibody?
This product is a recombinant monoclonal antibody, which offers several advantages including:

  • - High batch-to-batch consistency and reproducibility
  • - Improved sensitivity and specificity
  • - Long-term security of supply
  • - Animal-free batch production

For more information, read more on recombinant antibodies.

Conjugation ready
Our carrier-free antibodies are typically supplied in a PBS-only formulation, purified and free of BSA, sodium azide and glycerol. This conjugation-ready format is designed for use with fluorochromes, metal isotopes, oligonucleotides, and enzymes, which makes them ideal for antibody labelling, functional and cell-based assays, flow-based assays (e.g. mass cytometry) and Multiplex Imaging applications.

Use our conjugation kits for antibody conjugates that are ready-to-use in as little as 20 minutes with 1 minute hands-on-time and 100% antibody recovery: available for fluorescent dyes, HRP, biotin and gold.

Compatibility
This product is compatible with the Maxpar® Antibody Labeling Kit from Fluidigm, without the need for antibody preparation. Maxpar® is a trademark of Fluidigm Canada Inc.

性能和储存信息

形式
Liquid
纯化工艺
Affinity purification Protein A
存储溶液
pH: 7.2 - 7.4 Constituents: PBS
运输条件
Blue Ice
推荐的短期储存条件
+4°C
推荐的长期储存条件
+4°C
储存信息
Do Not Freeze

补充信息

This supplementary information is collated from multiple sources and compiled automatically.

EpCAM also known as epithelial cell adhesion molecule is a transmembrane glycoprotein with a molecular weight of around 40 kDa. Alternative names include CD326 and TACSTD1. This protein is expressed on the surface of most epithelial cells and plays a role in cell adhesion. It is involved in maintaining the integrity of epithelial tissues by mediating homotypic cell-cell interactions which are important for the structure and function of tissues.
Biological function summary

EpCAM facilitates signaling pathways that impact cellular processes like proliferation and differentiation. It is not a part of a larger protein complex but interacts directly with other cellular machinery to transmit intracellular signals. EpCAM influences stem cell behavior and is important in tissue homeostasis assisting in both normal regenerative processes and wound healing.

Pathways

EpCAM participates in regulatory mechanisms involving the Wnt/β-catenin signaling pathway which affects gene expression and cell fate decisions. Through its action EpCAM modulates components like E-cadherin which is important for cell adhesion and the maintenance of the epithelial layer. It indirectly influences pathways relating to MYC a transcription factor that regulates cell cycle progression and apoptosis.

EpCAM is associated with various types of cancer including colorectal and breast cancer. Its overexpression often correlates with aggressive cancer phenotypes and poor prognosis. Besides cancers EpCAM mutations can lead to congenital tufting enteropathy a rare condition affecting intestinal epithelial structure and function. Aberrant EpCAM expression affects β-catenin levels impacting cellular pathways linked to tumor progression and epithelial integrity.

产品实验方案

For this product, it's our understanding that no specific protocols are required. You can visit:

靶点信息

May act as a physical homophilic interaction molecule between intestinal epithelial cells (IECs) and intraepithelial lymphocytes (IELs) at the mucosal epithelium for providing immunological barrier as a first line of defense against mucosal infection. Plays a role in embryonic stem cells proliferation and differentiation. Up-regulates the expression of FABP5, MYC and cyclins A and E.
See full target information EPCAM

文献 (4)

Recent publications for all applications. Explore the full list and refine your search

Journal of comparative pathology 155:299-304 PubMed27567927

2016

Epithelial Cell Adhesion Molecule Expression in Canine Tumours.

Applications

Unspecified application

Species

Unspecified reactive species

D H Thamm,D F Hayes,T Meuten,T Laver,D G Thomas

International journal of cancer 137:991-8 PubMed25622566

2015

Analysis of circulating tumor cells derived from advanced gastric cancer.

Applications

Unspecified application

Species

Unspecified reactive species

Kosei Toyoshima,Akira Hayashi,Masahide Kashiwagi,Naoko Hayashi,Masaaki Iwatsuki,Takatsugu Ishimoto,Yoshifumi Baba,Hideo Baba,Yoshikazu Ohta

Tumour biology : the journal of the International Society for Oncodevelopmental Biology and Medicine 35:6695-700 PubMed24705864

2014

Correlation between overexpression of EpCAM in prostate tissues and genesis of androgen-dependent prostate cancer.

Applications

Unspecified application

Species

Unspecified reactive species

Yuan Xu,Hu Zhao,Jianquan Hou

Proceedings of the National Academy of Sciences of 110:11982-7 PubMed23818604

2013

Highly multiplexed single-cell analysis of formalin-fixed, paraffin-embedded cancer tissue.

Applications

Unspecified application

Species

Unspecified reactive species

Michael J Gerdes,Christopher J Sevinsky,Anup Sood,Sudeshna Adak,Musodiq O Bello,Alexander Bordwell,Ali Can,Alex Corwin,Sean Dinn,Robert J Filkins,Denise Hollman,Vidya Kamath,Sireesha Kaanumalle,Kevin Kenny,Melinda Larsen,Michael Lazare,Qing Li,Christina Lowes,Colin C McCulloch,Elizabeth McDonough,Michael C Montalto,Zhengyu Pang,Jens Rittscher,Alberto Santamaria-Pang,Brion D Sarachan,Maximilian L Seel,Antti Seppo,Kashan Shaikh,Yunxia Sui,Jingyu Zhang,Fiona Ginty
View all publications

Abcam Product Promise

我们致力于为您的研究提供高质量的试剂,为您科研的每一步提供支持。若我们的产品未能达到预期性能,我们向您提供 Abcam Product Promise 保障。
详情请参阅我们的条款与条件。

Please note: All products are 'FOR RESEARCH USE ONLY. NOT FOR USE IN DIAGNOSTIC OR THERAPEUTIC PROCEDURES'.

For licensing inquiries, please contact partnerships@abcam.com