JavaScript is disabled in your browser. Please enable JavaScript to view this website.
AB21610

Anti-Elastin 抗体

Anti-Elastin antibody

5

(13 Reviews)

|

(117 Publications)

Anti-Elastin antibody (ab21610) is a rabbit polyclonal antibody detecting Elastin in IHC-P. Suitable for Mouse.

- Over 100 publications
- Trusted since 2005

查看别名

Elastin, Tropoelastin, ELN

2 Images
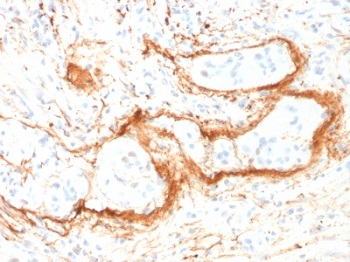
Immunohistochemistry (Formalin/PFA-fixed paraffin-embedded sections) - Anti-Elastin antibody (AB21610)
  • IHC-P

Collaborator

Immunohistochemistry (Formalin/PFA-fixed paraffin-embedded sections) - Anti-Elastin antibody (AB21610)

Immunohistochemical analysis of Bouin's solution fixed (25cm H2O pressure for 90 min) paraffin-embedded wild type mouse lung (12mo, female) tissue labeling Elastin with ab21610 at 1/50 dilution, followed by HRP-conjugated secondary antibody.

Left Panel : No antibody control.

Immunocytochemistry - Anti-Elastin antibody (AB21610)
  • ICC

Collaborator

Immunocytochemistry - Anti-Elastin antibody (AB21610)

Immunofluorescent analysis of 4% paraformaldehyde-fixed, 0.1% Triton X-100 permeabilized NIH-3T3 cells labeling Elastin with ab21610 at 1/200 dilution, followed by a FITC-conjugated secondary antibody. The nuclear counter stain is DAPI (blue).

关键信息

宿主种属

Rabbit

克隆

Polyclonal

亚型

IgG

不含载体蛋白

No

反应种属

Mouse

应用

IHC-P, ICC

applications

免疫原

Full Length Protein corresponding to Human ELN. The exact immunogen used to generate this antibody is proprietary information.

P15502

特异性

Interacts with tropoelastin and insoluble elastin (there are many shared epitopes between the two forms of the protein).

反应性数据

{ "title": "Reactivity Data", "filters": { "stats": ["", "Species", "Dilution Info", "Notes"], "tabs": { "all-applications": {"fullname" : "All Applications", "shortname": "All Applications"}, "ICC" : {"fullname" : "Immunocytochemistry", "shortname":"ICC"}, "WB" : {"fullname" : "Western blot", "shortname":"WB"}, "IHCP" : {"fullname" : "Immunohistochemistry (Formalin/PFA-fixed paraffin-embedded sections)", "shortname":"IHC-P"} }, "product-promise": { "all": "all", "testedAndGuaranteed": "tested", "guaranteed": "expected", "predicted": "predicted", "notRecommended": "not-recommended" } }, "values": { "Mouse": { "ICC-species-checked": "testedAndGuaranteed", "ICC-species-dilution-info": "", "ICC-species-notes": "<p></p>", "WB-species-checked": "notRecommended", "WB-species-dilution-info": "", "WB-species-notes": "<p></p>", "IHCP-species-checked": "testedAndGuaranteed", "IHCP-species-dilution-info": "", "IHCP-species-notes": "<p></p>" } } }

产品详情

What is this antibody validated in?
Anti-Elastin antibody (ab21610) is a rabbit polyclonal antibody and is validated for use in Immunohistochemistry (IHC-P) in Mouse samples.

Trusted by the scientific community
Anti-Elastin (ab21610) was first used in a scientific publication in 2005 and has been cited over 100 times in peer-reviewed journals.

Reviewed by scientists
Anti-Elastin (ab21610) has over 10 independent reviews from customers.

性能和储存信息

形式
Liquid
纯度
Whole antiserum
存储溶液
Constituents: Whole serum, 50% Glycerol (glycerin, glycerine)
运输条件
Blue Ice
推荐的短期储存时间
1-2 weeks
推荐的短期储存条件
+4°C
推荐的长期储存条件
-20°C
分装信息
Upon delivery aliquot
储存信息
Avoid freeze / thaw cycle

补充信息

This supplementary information is collated from multiple sources and compiled automatically.

Elastin also known as elastin protein is an essential component of the extracellular matrix known for imparting elasticity and resilience to tissues. With a molecular mass of approximately 60-70 kDa some scientists may also refer to it as elastin et. Elastin is expressed in elastic tissues such as the skin lungs and blood vessels. These tissues require the elastic properties provided by elastin. Additionally elastin forms the core of elastic fibers surrounded by a sheath of microfibrils.
Biological function summary

Elastin provides mechanical support and elasticity to tissues. It does so by being part of elastic fibers playing an important role in many connective tissue structures. The unique ability to stretch and return to its original shape allows tissues to resume their shape after stretching or contracting. Elastin is not part of larger protein complexes but interacts with other matrix proteins such as fibrillin to form a fibrous network required for the structural integrity of elastic tissues.

Pathways

Elastin plays an integral role in the extracellular matrix remodeling pathway which is important for maintaining tissue structure and function. It also participates in the TGF-beta signaling pathway where elastin interacts indirectly with proteins such as fibrillin-1 and fibulin. These interactions influence cellular processes like proliferation and differentiation highlighting elastin's involvement in both maintaining tissue elasticity and cell signaling.

Elastin is linked to pathologies like Williams-Beuren syndrome and cutis laxa. Williams-Beuren syndrome associated with elastin deletions leads to cardiovascular issues while cutis laxa results in reduced elasticity of the skin due to elastin mutations. In these conditions elastin interacts with proteins such as fibrillin and fibulin contributing to the observed clinical manifestations. Understanding these interactions helps in diagnosing and developing therapeutic approaches for such disorders.

产品实验方案

For this product, it's our understanding that no specific protocols are required. You can visit:

靶点信息

Major structural protein of tissues such as aorta and nuchal ligament, which must expand rapidly and recover completely. Molecular determinant of the late arterial morphogenesis, stabilizing arterial structure by regulating proliferation and organization of vascular smooth muscle (By similarity).
See full target information ELN

文献 (117)

Recent publications for all applications. Explore the full list and refine your search

Advanced science (Weinheim, Baden-Wurttemberg, Germany) 12:e2410808 PubMed39555675

2024

Reconstructing the Stem Leydig Cell Niche via the Testicular Extracellular Matrix for the Treatment of Testicular Leydig Cell Dysfunction.

Applications

Unspecified application

Species

Unspecified reactive species

Ani Chi,Chao Yang,Jie Liu,Zhichen Zhai,Xuetao Shi

American journal of physiology. Lung cellular and molecular physiology 328:L1-L14 PubMed39437762

2024

Mice with lymphatic dysfunction develop pathogenic lung tertiary lymphoid organs that model an autoimmune emphysema phenotype of COPD.

Applications

Unspecified application

Species

Unspecified reactive species

Barbara Summers,Kihwan Kim,Anjali Trivedi,Tyler M Lu,Sean Houghton,Jade Palmer-Johnson,Joselyn Rojas-Quintero,Juan Cala-Garcia,Tania Pannellini,Francesca Polverino,Raphaël Lis,Hasina Outtz Reed

Scientific reports 14:23380 PubMed39379568

2024

Deprivation of loading during rat Achilles tendon healing affects extracellular matrix composition and structure, and reduces cell density and alignment.

Applications

Unspecified application

Species

Unspecified reactive species

Malin Hammerman,Maria Pierantoni,Hanna Isaksson,Pernilla Eliasson

Matrix biology plus 23:100158 PubMed39188294

2024

Proteomic profiling of the extracellular matrix in the human adrenal cortex.

Applications

Unspecified application

Species

Unspecified reactive species

Jean Lucas Kremer,Henrique Sanchez Ortega,Talita Souza-Siqueira,Claudia Blanes Angeli,Leo Kei Iwai,Giuseppe Palmisano,Claudimara Ferini Pacicco Lotfi

Cells 13: PubMed39120288

2024

ADAR1 Is Essential for Smooth Muscle Homeostasis and Vascular Integrity.

Applications

Unspecified application

Species

Unspecified reactive species

Dunpeng Cai,Shi-You Chen

American journal of physiology. Cell physiology 325:C940-C950 PubMed37642238

2023

Long noncoding RNA TUG1 regulates smooth muscle cell differentiation via KLF4-myocardin axis.

Applications

Unspecified application

Species

Unspecified reactive species

Ravi Abishek Bharadhwaj,Regalla Kumarswamy

Journal of developmental biology 11: PubMed37606491

2023

Immunolocalization of Some Epidermal Proteins and Glycoproteins in the Growing Skin of the Australian Lungfish ().

Applications

Unspecified application

Species

Unspecified reactive species

Lorenzo Alibardi

Genes & diseases 10:2540-2556 PubMed37554187

2023

Dynamic human retinal pigment epithelium (RPE) and choroid architecture based on single-cell transcriptomic landscape analysis.

Applications

Unspecified application

Species

Unspecified reactive species

Lulin Huang,Lin Ye,Runze Li,Shanshan Zhang,Chao Qu,Shujin Li,Jie Li,Mu Yang,Biao Wu,Ran Chen,Guo Huang,Bo Gong,Zheng Li,Hongjie Yang,Man Yu,Yi Shi,Changguan Wang,Wei Chen,Zhenglin Yang

Clinical anatomy (New York, N.Y.) 37:383-389 PubMed37329174

2023

Anatomical study of the sacrotuberous ligament and the hamstring muscles: A histomorphological analysis.

Applications

Unspecified application

Species

Unspecified reactive species

Miri Kim,Hun-Mu Yang,In-Seung Yeo

Disease models & mechanisms 16: PubMed37283037

2023

Lack of expression of miR-29a/b1 impairs bladder function in male mice.

Applications

Unspecified application

Species

Unspecified reactive species

Zunyi Wang,Robert Spitz,Chad Vezina,Jianghui Hou,Dale E Bjorling
View all publications

Abcam Product Promise

我们致力于为您的研究提供高质量的试剂,为您科研的每一步提供支持。若我们的产品未能达到预期性能,我们向您提供 Abcam Product Promise 保障。
详情请参阅我们的条款与条件。

Please note: All products are 'FOR RESEARCH USE ONLY. NOT FOR USE IN DIAGNOSTIC OR THERAPEUTIC PROCEDURES'.

For licensing inquiries, please contact partnerships@abcam.com