JavaScript is disabled in your browser. Please enable JavaScript to view this website.
AB32024

重组Anti-eIF4EBP1抗体[Y329]

Anti-eIF4EBP1 antibody [Y329]

  • BOND RX™ Validated
  • 20ul selling size
  • RabMAb
  • Recombinant
  • KO Validated
  • 了解详情

Be the first to review this product! Submit a review

|

(40 Publications)

Rabbit Recombinant Monoclonal eIF4EBP1 antibody. Suitable for IHC-P, ICC/IF, IP, WB, Flow Cyt (Intra) and reacts with Mouse, Rat, Human samples. Cited in 40 publications.

查看别名

Eukaryotic translation initiation factor 4E-binding protein 1, 4E-BP1, eIF4E-binding protein 1, Phosphorylated heat- and acid-stable protein regulated by insulin 1, PHAS-I, EIF4EBP1

10 Images
Western blot - Anti-eIF4EBP1 antibody [Y329] (AB32024)
  • WB

Lab

Western blot - Anti-eIF4EBP1 antibody [Y329] (AB32024)

Lanes 1 - 4 : Merged signal (red and green). Green - ab32024 observed at 20 kDa. Red - loading control, ab8245, observed at 37 kDa.

ab32024 was shown to specifically react with elF4EBP1 in wild-type Hap1 cells. Wild-type and elF4EBP1 knockout samples were subjected to SDS-PAGE. ab32024 and ab8245 (loading control to GADPH) were diluted 1/5000 and 1/2000 respectively and incubated overnight at 4°C. Blots were developed with Goat anti-Rabbit IgG H&L (IRDye® 800CW) preadsorbed (ab216773) and Goat anti-Mouse IgG H&L (IRDye® 680RD) preadsorbed (ab216776) secondary antibodies at 1/10000 dilution for 1 h at room temperature before imaging.

All lanes:

Western blot - Anti-eIF4EBP1 antibody [Y329] (ab32024)

Lane 1:

Wild-type HAP1 cell lysate at 20 µg

Lane 2:

elF4EBP1 knockout HAP1 cell lysate at 20 µg

Lane 3:

HEK293 cell lysate at 20 µg

Lane 4:

K562 cell lysate at 20 µg

Predicted band size: 13 kDa

false

Western blot - Anti-eIF4EBP1 antibody [Y329] (AB32024)
  • WB

Unknown

Western blot - Anti-eIF4EBP1 antibody [Y329] (AB32024)

The molecular weights observed are consistent with what has been described in the literatures (PMID : 28613975, 20890458 and 27358481).

All lanes:

Western blot - Anti-eIF4EBP1 antibody [Y329] (ab32024) at 1/2000 dilution

Lane 1:

HEK-293 (Human embryonic kidney epithelial cell) whole cell lysate at 20 µg

Lane 2:

K-562 (Human chronic myelogenous leukemia lymphoblast) whole cell lysate at 20 µg

Lane 3:

Mouse skeletal muscle lysate at 20 µg

Lane 4:

Rat skeletal muscle lysate at 20 µg

Lane 5:

L6 (Rat skeletal muscle myoblast) whole cell lysate at 20 µg

Secondary

All lanes:

Goat Anti-Rabbit IgG (HRP) with minimal cross-reactivity with human IgG at 1/2000 dilution

Predicted band size: 13 kDa

Observed band size: 18 kDa

false

Western blot - Anti-eIF4EBP1 antibody [Y329] (AB32024)
  • WB

Lab

Western blot - Anti-eIF4EBP1 antibody [Y329] (AB32024)

Lanes 1-2 : Merged signal (red and green). Green - ab32024 observed at 13 kDa. Red - loading control ab8245 observed at 37 kDa.

ab32024 Anti-eIF4EBP1 antibody [Y329] was shown to specifically react with eIF4EBP1 in wild-type HeLa cells. Loss of signal was observed when knockout cell line ab264784 (knockout cell lysate ab257146) was used. Wild-type and eIF4EBP1 knockout samples were subjected to SDS-PAGE. ab32024 and Anti-GAPDH antibody [6C5] - Loading Control (ab8245) were incubated overnight at 4°C at 1 in 5000 Dilution and 1 in 20000 dilution respectively. Blots were developed with Goat anti-Rabbit IgG H&L (IRDye® 800CW) preadsorbed (ab216773) and Goat anti-Mouse IgG H&L (IRDye® 680RD) preadsorbed (ab216776) secondary antibodies at 1 in 20000 dilution for 1 hour at room temperature before imaging.

All lanes:

Western blot - Anti-eIF4EBP1 antibody [Y329] (ab32024) at 1/5000 dilution

Lane 1:

Wild-type HeLa cell lysate at 20 µg

Lane 2:

Western blot - Human EIF4EBP1 knockout HeLa cell lysate (<a href='/products/cell-lysates/human-eif4ebp1-knockout-hela-cell-lysate-ab257146'>ab257146</a>) at 20 µg

Secondary

Lanes 1 - 2:

Western blot - Goat anti-Mouse IgG H&L (IRDye® 680RD) preadsorbed (<a href='/products/secondary-antibodies/goat-mouse-igg-h-l-irdye-680rd-preadsorbed-ab216776'>ab216776</a>) at 1/20000 dilution

Lanes 1 - 3:

Western blot - Goat anti-Rabbit IgG H&L (IRDye® 800CW) preadsorbed (<a href='/products/secondary-antibodies/goat-rabbit-igg-h-l-irdye-800cw-preadsorbed-ab216773'>ab216773</a>) at 1/20000 dilution

Predicted band size: 13 kDa

Observed band size: 13 kDa,37 kDa

false

Flow Cytometry (Intracellular) - Anti-eIF4EBP1 antibody [Y329] (AB32024)
  • Flow Cyt (Intra)

Unknown

Flow Cytometry (Intracellular) - Anti-eIF4EBP1 antibody [Y329] (AB32024)

Overlay histogram showing HAP1 wildtype (green line) and HAP1-EIF4EBP1 knockout cells (red line) stained with ab32024. The cells were fixed with 80% methanol (5 min) and then permeabilized with 0.1% PBS-Triton X-100 for 15 min. The cells were then incubated in 1x PBS / 10% normal goat serum to block non-specific protein-protein interactions followed by the antibody (ab32024, 0.1μg/ml) for 30 min at 22°C. The secondary antibody used was Alexa Fluor® 488 goat anti-rabbit IgG (H&L) presorbed (ab150081) at 1/2000 dilution for 30 min at 22°C. A rabbit IgG isotype control antibody (ab172730) was used at the same concentration and conditions as the primary antibody (HAP1 wildtype - black line, HAP1-EIF4EBP1 knockout - grey line). Unlabelled sample was also used as a control (this line is not shown for the purpose of simplicity). Acquisition of >5,000 events were collected using a 50 mW Blue laser (488nm) and 530/30 bandpass filter. This antibody can also be used in HAP1 cells fixed with 4% formaldehyde (10 min) , permeabilized with 0.1% PBS-Triton X-100 for 15 min under the same conditions.

Immunohistochemistry (Formalin/PFA-fixed paraffin-embedded sections) - Anti-eIF4EBP1 antibody [Y329] (AB32024)
  • IHC-P

Unknown

Immunohistochemistry (Formalin/PFA-fixed paraffin-embedded sections) - Anti-eIF4EBP1 antibody [Y329] (AB32024)

Immunohistochemistry (Formalin/PFA-fixed paraffin-embedded sections) analysis of mouse spleen tissue sections labeling eIF4EBP1 with purified ab32024 at 1/200 dilution (0.53 µg/mL). Heat mediated antigen retrieval using Bond™ Epitope Retrieval Solution 2 (pH 9.0). Rabbit specific IHC polymer detection kit HRP/DAB (ab209101) was used as the secondary antibody. Negative control : PBS instead of the primary antibody. Hematoxylin was used as a counterstain.

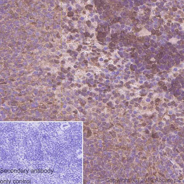
Immunohistochemistry (Formalin/PFA-fixed paraffin-embedded sections) - Anti-eIF4EBP1 antibody [Y329] (AB32024)
  • IHC-P

Unknown

Immunohistochemistry (Formalin/PFA-fixed paraffin-embedded sections) - Anti-eIF4EBP1 antibody [Y329] (AB32024)

Immunohistochemistry (Formalin/PFA-fixed paraffin-embedded sections) analysis of rat spleen tissue sections labeling eIF4EBP1 with purified ab32024 at 1/200 dilution (0.53 µg/mL). Heat mediated antigen retrieval using Bond™ Epitope Retrieval Solution 2 (pH 9.0). Rabbit specific IHC polymer detection kit HRP/DAB (ab209101) was used as the secondary antibody. Negative control : PBS instead of the primary antibody. Hematoxylin was used as a counterstain.

Immunohistochemistry (Formalin/PFA-fixed paraffin-embedded sections) - Anti-eIF4EBP1 antibody [Y329] (AB32024)
  • IHC-P

Unknown

Immunohistochemistry (Formalin/PFA-fixed paraffin-embedded sections) - Anti-eIF4EBP1 antibody [Y329] (AB32024)

Immunohistochemistry (Formalin/PFA-fixed paraffin-embedded sections) analysis of human colon cancer tissue sections labeling eIF4EBP1 with purified ab32024 at 1/200 dilution (0.53 µg/mL). Heat mediated antigen retrieval using Bond™ Epitope Retrieval Solution 2 (pH 9.0). Rabbit specific IHC polymer detection kit HRP/DAB (ab209101) was used as the secondary antibody. Negative control : PBS instead of the primary antibody. Hematoxylin was used as a counterstain.

Immunocytochemistry/ Immunofluorescence - Anti-eIF4EBP1 antibody [Y329] (AB32024)
  • ICC/IF

Unknown

Immunocytochemistry/ Immunofluorescence - Anti-eIF4EBP1 antibody [Y329] (AB32024)

Immunocytochemistry/Immunofluorescence analysis of HeLa (Human epithelial cell line from cervix adenocarcinoma) labeling eIF4EBP1 with Purified ab32024 at 1/500 dilution (5 μg/ml). Cells were fixed with 4% PFA and permeabilized with 0.1% tritonX-100. ab150077 Goat anti rabbit IgG(Alexa Fluor® 488) at 1/1000 dilution was used as the secondary antibody. Nuclei were counterstained with DAPI. PBS was used instead of the primary antibody as the negative control.

Flow Cytometry (Intracellular) - Anti-eIF4EBP1 antibody [Y329] (AB32024)
  • Flow Cyt (Intra)

Unknown

Flow Cytometry (Intracellular) - Anti-eIF4EBP1 antibody [Y329] (AB32024)

Intracellular Flow Cytometry analysis of HEK-293 (Human embryonic kidney epithelial cell) cells labeling eIF4EBP1 with purified ab32024 at 1/20 dilution (10 μg/mL) (Red). Cells were fixed with 4% Paraformaldehyde and permeabilised with 90% Methanol. A Goat anti rabbit IgG (Alexa Fluor® 488, ab150077) secondary antibody was used at 1/2000. Isotype control - Rabbit monoclonal IgG (Black). Unlabeled control - Cell without incubation with primary antibody and secondary antibody (Blue).

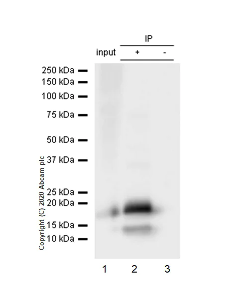
Immunoprecipitation - Anti-eIF4EBP1 antibody [Y329] (AB32024)
  • IP

Unknown

Immunoprecipitation - Anti-eIF4EBP1 antibody [Y329] (AB32024)

Purified ab32024 at 1/20 dilution (2μg) immunoprecipitating eIF4EBP1 in HEK-293 whole cell lysate.
Lane 1 (input) : HEK-293 (Human embryonic kidney epithelial cell) whole cell lysate 10μg
Lane 2 (+) : ab32024 + HEK-293 whole cell lysate.
Lane 3 (-) : Rabbit monoclonal IgG (ab172730) instead of ab32024 in HEK-293 whole cell lysate.
VeriBlot for IP Detection Reagent (HRP) (ab131366) (1/1000 dilution) was used for Western blotting.
Blocking Buffer and concentration : 5% NFDM/TBST.
Diluting buffer and concentration : 5% NFDM/TBST.
Observed band size : 15-20 kDa

All lanes:

Immunoprecipitation - Anti-eIF4EBP1 antibody [Y329] (ab32024)

Predicted band size: 13 kDa

false

不同偶联物与剂型 (1)

  • Carrier free

    Anti-eIF4EBP1 antibody [Y329] - BSA and Azide free

关键信息

宿主种属

Rabbit

克隆

Monoclonal

克隆号

Y329

亚型

IgG

不含载体蛋白

No

反应种属

Mouse, Rat, Human

应用

WB, IP, Flow Cyt (Intra), IHC-P, ICC/IF

applications

免疫原

The exact immunogen used to generate this antibody is proprietary information.

反应性数据

{ "title": "Reactivity Data", "filters": { "stats": ["", "Species", "Dilution Info", "Notes"], "tabs": { "all-applications": {"fullname" : "All Applications", "shortname": "All Applications"}, "IHCP" : {"fullname" : "Immunohistochemistry (Formalin/PFA-fixed paraffin-embedded sections)", "shortname":"IHC-P"}, "ICCIF" : {"fullname" : "Immunocytochemistry/ Immunofluorescence", "shortname":"ICC/IF"}, "IP" : {"fullname" : "Immunoprecipitation", "shortname":"IP"}, "WB" : {"fullname" : "Western blot", "shortname":"WB"}, "FlowCytIntra" : {"fullname" : "Flow Cytometry (Intracellular)", "shortname":"Flow Cyt (Intra)"} }, "product-promise": { "all": "all", "testedAndGuaranteed": "tested", "guaranteed": "expected", "predicted": "predicted", "notRecommended": "not-recommended" } }, "values": { "Human": { "IHCP-species-checked": "testedAndGuaranteed", "IHCP-species-dilution-info": "1/100 - 1/250", "IHCP-species-notes": "<p></p> Perform heat-mediated antigen retrieval with citrate buffer pH 6 before commencing with IHC staining protocol.", "ICCIF-species-checked": "testedAndGuaranteed", "ICCIF-species-dilution-info": "1/500", "ICCIF-species-notes": "<p></p>", "IP-species-checked": "testedAndGuaranteed", "IP-species-dilution-info": "1/20", "IP-species-notes": "<p></p>", "WB-species-checked": "testedAndGuaranteed", "WB-species-dilution-info": "1/2000", "WB-species-notes": "<p></p>", "FlowCytIntra-species-checked": "testedAndGuaranteed", "FlowCytIntra-species-dilution-info": "1/20", "FlowCytIntra-species-notes": "<p></p>" }, "Mouse": { "IHCP-species-checked": "testedAndGuaranteed", "IHCP-species-dilution-info": "1/100 - 1/250", "IHCP-species-notes": "<p></p> Perform heat-mediated antigen retrieval with citrate buffer pH 6 before commencing with IHC staining protocol.", "ICCIF-species-checked": "guaranteed", "ICCIF-species-dilution-info": "", "ICCIF-species-notes": "", "IP-species-checked": "guaranteed", "IP-species-dilution-info": "", "IP-species-notes": "", "WB-species-checked": "testedAndGuaranteed", "WB-species-dilution-info": "1/2000", "WB-species-notes": "<p></p>", "FlowCytIntra-species-checked": "guaranteed", "FlowCytIntra-species-dilution-info": "", "FlowCytIntra-species-notes": "" }, "Rat": { "IHCP-species-checked": "testedAndGuaranteed", "IHCP-species-dilution-info": "1/100 - 1/250", "IHCP-species-notes": "<p></p> Perform heat-mediated antigen retrieval with citrate buffer pH 6 before commencing with IHC staining protocol.", "ICCIF-species-checked": "guaranteed", "ICCIF-species-dilution-info": "", "ICCIF-species-notes": "", "IP-species-checked": "guaranteed", "IP-species-dilution-info": "", "IP-species-notes": "", "WB-species-checked": "testedAndGuaranteed", "WB-species-dilution-info": "1/2000", "WB-species-notes": "<p></p>", "FlowCytIntra-species-checked": "guaranteed", "FlowCytIntra-species-dilution-info": "", "FlowCytIntra-species-notes": "" } } }

您可能对以下产品感兴趣:

AB289651

Human eIF4eBP1 ELISA Kit

0

0 Reviews

查看产品
为什么推荐这个?

我们推荐这个产品,因为它经常被用于相同的实验或相关的研究。

我们建议您务必查阅产品说明书,以确认其是否符合您的实验需求;若有疑问,也可联系我们的技术团队获取协助。

产品详情

性能和储存信息

形式
Liquid
纯化工艺
Affinity purification Protein A
存储溶液
pH: 7.2 - 7.4 Preservative: 0.01% Sodium azide Constituents: 59% PBS, 40% Glycerol (glycerin, glycerine), 0.05% BSA
运输条件
Blue Ice
推荐的短期储存时间
1-2 weeks
推荐的短期储存条件
+4°C
推荐的长期储存条件
-20°C
分装信息
Upon delivery aliquot
储存信息
Avoid freeze / thaw cycle

补充信息

This supplementary information is collated from multiple sources and compiled automatically.

EIF4EBP1 also known as 4EBP1 or p4EBP1 is an important protein that acts as a translational repressor by binding to eIF4E therefore inhibiting cap-dependent translation. The molecular weight of 4EBP1 is approximately 12 kDa. This protein is ubiquitously expressed in various tissues indicating its widespread involvement in cellular functions. eIF4EBP1 can be detected and quantified using techniques like the eIF4EBP1 ELISA making it a common target in research for its role in translation regulation.
Biological function summary

EIF4EBP1 plays an important role in regulating cell growth and proliferation by modulating protein synthesis. It is a part of the eIF4F complex which is responsible for the initiation of mRNA translation. When hypophosphorylated eIF4EBP1 binds tightly to eIF4E and prevents the assembly of the active eIF4F complex leading to reduced translation initiation of mRNAs involved in growth and survival. This regulation is important in conditions where cells need to adapt to metabolic stress or external signals.

Pathways

The mammalian target of rapamycin (mTOR) pathway regulates eIF4EBP1 through phosphorylation. In response to growth signals mTOR phosphorylates eIF4EBP1 causing the release of eIF4E and allowing mRNA translation to proceed. This interaction links eIF4EBP1 to the PI3K/AKT/mTOR signaling pathway which influences cell cycle progression and survival. Related proteins in this pathway include ribosomal protein S6 kinase (S6K1) which is also phosphorylated by mTOR to promote protein synthesis.

Deregulation of eIF4EBP1 has been implicated in cancer and neurological disorders. In cancer hyperactive mTOR signaling can lead to excessive phosphorylation of 4EBP1 decreasing its ability to inhibit eIF4E and enhancing translation of oncogenic proteins. In neurological disorders imbalanced eIF4EBP1 activity can disrupt synaptic plasticity and memory formation. Proteins such as p70S6K which are also part of the mTOR pathway share connections with eIF4EBP1 in these pathological conditions.

产品实验方案

For this product, it's our understanding that no specific protocols are required. You can visit:

靶点信息

Repressor of translation initiation that regulates EIF4E activity by preventing its assembly into the eIF4F complex : hypophosphorylated form competes with EIF4G1/EIF4G3 and strongly binds to EIF4E, leading to repress translation. In contrast, hyperphosphorylated form dissociates from EIF4E, allowing interaction between EIF4G1/EIF4G3 and EIF4E, leading to initiation of translation. Mediates the regulation of protein translation by hormones, growth factors and other stimuli that signal through the MAP kinase and mTORC1 pathways.
See full target information EIF4EBP1

文献 (40)

Recent publications for all applications. Explore the full list and refine your search

Environmental toxicology 39:421-434 PubMed37792549

2023

Spleen tyrosine kinase facilitates the progression of papillary thyroid cancer regulated by the hsa_circ_0006417/miR-377-3p axis.

Applications

Unspecified application

Species

Unspecified reactive species

Guangmou Tan,Shiyang Zheng,Boxuan Zhou,Zhaohong Mo,Qiong Zhang,Donghui Zhang,Aimin Li,Xinhui Liu

Cancer science 114:855-869 PubMed36403197

2022

TTI1 promotes non-small-cell lung cancer progression by regulating the mTOR signaling pathway.

Applications

Unspecified application

Species

Unspecified reactive species

Ling-Xian Zhang,Xin Yang,Zhi-Bo Wu,Zhong-Min Liao,Ding-Guo Wang,Shi-Wei Chen,Feng Lu,Yong-Bing Wu,Shu-Qiang Zhu

Frontiers in pharmacology 13:922477 PubMed36188592

2022

Inhibitory effects of total triterpenoids isolated from the willd on H1975 cells.

Applications

Unspecified application

Species

Unspecified reactive species

Kenan Wu,Xue Wu,Yanni Liang,Ting Wang,Dongzhi Wu,Luhan Li,Zheng Wang

Cellular oncology (Dordrecht) 45:355-365 PubMed35579750

2022

Bioactive peptide inhibits acute myeloid leukemia cell proliferation by downregulating ALKBH5-mediated mA demethylation of EIF4EBP1 and MLST8 mRNA.

Applications

WB

Species

Human

Le Zhang,Xiulan Su

Cell death discovery 8:157 PubMed35379801

2022

EIF4EBP1 is transcriptionally upregulated by MYCN and associates with poor prognosis in neuroblastoma.

Applications

Unspecified application

Species

Unspecified reactive species

Kai Voeltzke,Katerina Scharov,Cornelius Maximilian Funk,Alisa Kahler,Daniel Picard,Laura Hauffe,Martin F Orth,Marc Remke,Irene Esposito,Thomas Kirchner,Alexander Schramm,Barak Rotblat,Thomas G P Grünewald,Guido Reifenberger,Gabriel Leprivier

Frontiers in cell and developmental biology 10:800925 PubMed35419359

2022

SLC1A5 Prefers to Play as an Accomplice Rather Than an Opponent in Pancreatic Adenocarcinoma.

Applications

Unspecified application

Species

Unspecified reactive species

Fangshi Xu,Hai Wang,Honghong Pei,Zhengliang Zhang,Liangliang Liu,Long Tang,Shuang Wang,Bin-Cheng Ren

Cell communication and signaling : CCS 20:25 PubMed35248054

2022

Energy deprivation-induced AMPK activation inhibits milk synthesis by targeting PrlR and PGC-1α.

Applications

Unspecified application

Species

Unspecified reactive species

Zhihui Wu,Qihui Li,Siwang Yang,Tenghui Zheng,Jiayuan Shao,Wutai Guan,Fang Chen,Shihai Zhang

Neurology international 14:212-244 PubMed35225888

2022

Hypomyelinating Leukodystrophy 8 (HLD8)-Associated Mutation of POLR3B Leads to Defective Oligodendroglial Morphological Differentiation Whose Effect Is Reversed by Ibuprofen.

Applications

Unspecified application

Species

Unspecified reactive species

Sui Sawaguchi,Rimi Suzuki,Hiroaki Oizumi,Katsuya Ohbuchi,Kazushige Mizoguchi,Masahiro Yamamoto,Yuki Miyamoto,Junji Yamauchi

The Journal of endocrinology 252:179-193 PubMed34874016

2022

mTOR inhibitor improves testosterone-induced myocardial hypertrophy in hypertensive rats.

Applications

Unspecified application

Species

Unspecified reactive species

Jianshu Chen,Jing Yu,Ruowen Yuan,Ningyin Li,Caie Li,Xiaofang Zhang

Molecular therapy : the journal of the American Society of Gene Therapy 30:1054-1070 PubMed35038580

2022

Exosome-derived circTRPS1 promotes malignant phenotype and CD8+ T cell exhaustion in bladder cancer microenvironments.

Applications

Unspecified application

Species

Unspecified reactive species

Chen Yang,Siqi Wu,Zezhong Mou,Quan Zhou,Xiyu Dai,Yuxi Ou,Xinan Chen,Yiling Chen,Chenyang Xu,Yun Hu,Limin Zhang,Lujia Zou,Shengming Jin,Jimeng Hu,Shanhua Mao,Haowen Jiang
View all publications

Abcam Product Promise

我们致力于为您的研究提供高质量的试剂,为您科研的每一步提供支持。若我们的产品未能达到预期性能,我们向您提供 Abcam Product Promise 保障。
详情请参阅我们的条款与条件。

关联产品

Select an associated product type
Alternative Product
Primary Antibodies

AB111421

Anti-eIF4EBP1 (phospho T70) antibody

primary-antibodies

eif4ebp1-phospho-t70-antibody-ab111421

0

(0 reviews)

Alternative Product
Primary Antibodies

AB47365

Anti-eIF4EBP1 (phospho T36) antibody

primary-antibodies

eif4ebp1-phospho-t36-antibody-ab47365

0

(0 reviews)

Alternative Product
Primary Antibodies

AB27792

Anti-eIF4EBP1 (phospho T46) antibody

primary-antibodies

eif4ebp1-phospho-t46-antibody-ab27792

0

(0 reviews)

Alternative Product
Primary Antibodies

AB75831

Anti-eIF4EBP1 (phospho T70) antibody [EPR654(2)A]

primary-antibodies

eif4ebp1-phospho-t70-antibody-epr6542a-ab75831

0

(0 reviews)

Alternative Product
Primary Antibodies

AB2606

Anti-eIF4EBP1 antibody

primary-antibodies

eif4ebp1-antibody-ab2606

5

(4 reviews)

Alternative Product
Primary Antibodies

AB32130

Anti-eIF4EBP1 antibody [Y330]

primary-antibodies

eif4ebp1-antibody-y330-ab32130

0

(0 reviews)

Alternative Product
Primary Antibodies

AB173321

Anti-eIF4EBP1 (phospho T37) antibody [EPR729(2)Y] - BSA and Azide free

primary-antibodies

eif4ebp1-phospho-t37-antibody-epr7292y-bsa-and-azide-free-ab173321

0

(0 reviews)

Please note: All products are 'FOR RESEARCH USE ONLY. NOT FOR USE IN DIAGNOSTIC OR THERAPEUTIC PROCEDURES'.

For licensing inquiries, please contact partnerships@abcam.com