JavaScript is disabled in your browser. Please enable JavaScript to view this website.
AB76256

Anti-eIF4E (phospho S209) 抗体 [EP2151Y]

Anti-eIF4E (phospho S209) antibody [EP2151Y]

5

(2 Reviews)

|

(69 Publications)

Anti-eIF4E (phospho S209) antibody [EP2151Y] (ab76256) is a rabbit monoclonal antibody detecting eIF4E in Western Blot, IP, IHC-P, ICC/IF, Dot Blot. Suitable for Human, Mouse, Pig, Rat.

- Biophysical QC for unrivalled batch-batch consistency
- Over 50 publications
- Trusted since 2009

查看别名

EIF4EL1, EIF4F, EIF4E, Eukaryotic translation initiation factor 4E, eIF-4E, eIF4E, eIF-4F 25 kDa subunit, mRNA cap-binding protein

10 Images
Immunocytochemistry/ Immunofluorescence - Anti-eIF4E (phospho S209) antibody [EP2151Y] (AB76256)
  • ICC/IF

Unknown

Immunocytochemistry/ Immunofluorescence - Anti-eIF4E (phospho S209) antibody [EP2151Y] (AB76256)

Immunocytochemistry/Immunofluorescence analysis of serum starved HEK293 cells treated with CGP 57380 ab120365) labelling eIF4E (phospho S209) with unpurified ab32124 at 1/100. Decrease in eIF4E (phospho S209) expression correlates with increased concentration of CGP 57380, as described in literature.
The cells were incubated at 37°C for 1h in media containing different concentrations of ab120365 (CGP 57380) in DMSO, fixed with 100% methanol for 5 minutes at -20°C and blocked with PBS containing 10% goat serum, 0.3 M glycine, 1% BSA and 0.1% tween for 2h at room temperature. Staining of the treated cells with unpurified ab76256 was performed overnight at 4°C in PBS containing 1% BSA and 0.1% tween. A DyLight 488 goat anti-rabbit polyclonal antibody (ab96899) at 1/250 dilution was used as the secondary antibody. Nuclei were counterstained with DAPI and are shown in blue.

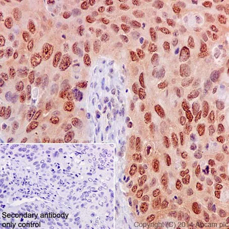
Immunohistochemistry (Formalin/PFA-fixed paraffin-embedded sections) - Anti-eIF4E (phospho S209) antibody [EP2151Y] (AB76256)
  • IHC-P

Unknown

Immunohistochemistry (Formalin/PFA-fixed paraffin-embedded sections) - Anti-eIF4E (phospho S209) antibody [EP2151Y] (AB76256)

Immunohistochemistry (Formalin/PFA-fixed paraffin-embedded sections) analysis of human cervix carcinoma tissue labelling eIF4E with purified ab76256 at 1/50. Heat mediated antigen retrieval was performed using Tris/EDTA buffer pH 9. ab97051, a goat anti-rabbit IgG H&L (HRP) was used as the secondary antibody (1/500). Negative control using PBS instead of primary antibody. Counterstained with hematoxylin.

Immunocytochemistry/ Immunofluorescence - Anti-eIF4E (phospho S209) antibody [EP2151Y] (AB76256)
  • ICC/IF

Unknown

Immunocytochemistry/ Immunofluorescence - Anti-eIF4E (phospho S209) antibody [EP2151Y] (AB76256)

Immunocytochemistry/Immunofluorescence analysis of untreated, 20% serum treated and 20% serum + LP treated NIH/3T3 cells labelling eIF4E (phospho S209) with ab76256 (left) and eIF4E with ab33766 (right) both at a dilution of 1/500.

Cells were fixed with 100% methanol. ab150077, an Alexa Fluor® 488-conjugated goat anti-rabbit IgG (1/1000) was used as the secondary antibody. DAPI (blue) was used as the nuclear counterstain. ab7291, a mouse anti-tubulin (1/1000) and ab150120, an Alexa Fluor® 594-conjugated goat anti-mouse IgG (1/1000) were also used.

The image shows increased cytoplasmic staining after 20% serum treatment on NIH3T3 cells when compared with no serum treated cells. The LP treatment decreased the increased cytoplasmic staining caused by 20% serum.

ab33766 was used as a Pan control for ab76256. The results showed cytoplasmic staining on no serum, 20% serum and 20% serum +LP treated NIH3T3 cells.

Western blot - Anti-eIF4E (phospho S209) antibody [EP2151Y] (AB76256)
  • WB

Lab

Western blot - Anti-eIF4E (phospho S209) antibody [EP2151Y] (AB76256)

Blocking buffer and concentration 2% BSA/TBST.
Diluting buffer and concentration 2% BSA/TBST.

All lanes:

Western blot - Anti-eIF4E (phospho S209) antibody [EP2151Y] (ab76256) at 1/100000 dilution

Lane 1:

Untreated HEK293 whole cell lysate at 10 µg

Lane 2:

HEK293 cells treated with 10uM dexamethasone for 1 hour whole cell lysate at 10 µg

Lane 3:

HEK293 cells treated with 10uM dexamethasone for 1 hour whole cell lysate.The membrane was then incubated with alkaline phosphatase. at 10 µg

Secondary

All lanes:

Western blot - Goat Anti-Rabbit IgG H&L (HRP) (<a href='/products/secondary-antibodies/goat-rabbit-igg-h-l-hrp-ab97051'>ab97051</a>) at 1/20000 dilution

Predicted band size: 25 kDa

Observed band size: 25 kDa

false

Exposure time: 30s

Western blot - Anti-eIF4E (phospho S209) antibody [EP2151Y] (AB76256)
  • WB

Lab

Western blot - Anti-eIF4E (phospho S209) antibody [EP2151Y] (AB76256)

Blocking and dilution buffer : 5% NFDM/TBST.

All lanes:

Western blot - Anti-eIF4E (phospho S209) antibody [EP2151Y] (ab76256) at 1/50000 dilution

Lane 1:

Untreated 293 cell lysate at 10 µg

Lane 2:

293 cell lysate treated with alkaline phosphatase at 10 µg

Secondary

All lanes:

Western blot - Goat Anti-Rabbit IgG H&L (HRP) (<a href='/products/secondary-antibodies/goat-rabbit-igg-h-l-hrp-ab97051'>ab97051</a>) at 1/20000 dilution

Predicted band size: 25 kDa

false

Exposure time: 1min

Western blot - Anti-eIF4E (phospho S209) antibody [EP2151Y] (AB76256)
  • WB

Lab

Western blot - Anti-eIF4E (phospho S209) antibody [EP2151Y] (AB76256)

Exposure time :

eIF4E pS209 : 15 seconds.

eIF4E : 3 minutes.

Blocking and dilution buffer : 5% NFDM/TBST.

All lanes:

Western blot - Anti-eIF4E (phospho S209) antibody [EP2151Y] (ab76256) at 1/100000 dilution

Lane 1:

Untreated HEK293 cell lysate at 10 µg

Lane 2:

HEK293 cell lysate - treated with Dexamethasone at 10 µg

Secondary

All lanes:

Western blot - Goat Anti-Rabbit IgG H&L (HRP) (<a href='/products/secondary-antibodies/goat-rabbit-igg-h-l-hrp-ab97051'>ab97051</a>) at 1/10000 dilution

Predicted band size: 25 kDa

false

Western blot - Anti-eIF4E (phospho S209) antibody [EP2151Y] (AB76256)
  • WB

Unknown

Western blot - Anti-eIF4E (phospho S209) antibody [EP2151Y] (AB76256)

Blocking buffer and concentration : 5% NFDM/TBST.
Diluting buffer and concentration : 5% NFDM /TBST.

All lanes:

Western blot - Anti-eIF4E (phospho S209) antibody [EP2151Y] (ab76256) at 1/1000 dilution

Lane 1:

Mouse spleen lysate at 20 µg

Lane 2:

Rat brain lysate at 20 µg

Lane 3:

Pig heart lysate at 20 µg

Secondary

All lanes:

Western blot - Goat Anti-Rabbit IgG H&L (HRP) (<a href='/products/secondary-antibodies/goat-rabbit-igg-h-l-hrp-ab97051'>ab97051</a>) at 1/1000 dilution

Predicted band size: 25 kDa

false

Immunoprecipitation - Anti-eIF4E (phospho S209) antibody [EP2151Y] (AB76256)
  • IP

Unknown

Immunoprecipitation - Anti-eIF4E (phospho S209) antibody [EP2151Y] (AB76256)

ab76256 (purified) at 1/40 immunoprecipitating eIF4E (phospho S209) in HEK293 whole cell lysate. 10 ug of cell lysate was present in the input. For western blotting, a HRP-conjugated Veriblot for IP Detection Reagent (ab131366) (1/1,500) was used for detection. A rabbit monoclonal IgG (ab172730) was used intead of ab128913 as a negative control (Lane 3).

Blocking buffer and concentration : 5% NFDM/TBST.

Diluting buffer and concentration : 5% NFDM /TBST.

All lanes:

Immunoprecipitation - Anti-eIF4E (phospho S209) antibody [EP2151Y] (ab76256)

Predicted band size: 25 kDa

false

Western blot - Anti-eIF4E (phospho S209) antibody [EP2151Y] (AB76256)
  • WB

Lab

Western blot - Anti-eIF4E (phospho S209) antibody [EP2151Y] (AB76256)

Blocking buffer and concentration : 5% NFDM/TBST.
Diluting buffer and concentration : 5% NFDM /TBST.

All lanes:

Western blot - Anti-eIF4E (phospho S209) antibody [EP2151Y] (ab76256) at 1/50000 dilution

Lane 1:

Untreated HEK293 cell lysate at 10 µg

Lane 2:

HEK293 treated with 10mM Dexamethasone 1 hour lysate at 10 µg

Secondary

All lanes:

Western blot - Goat Anti-Rabbit IgG H&L (HRP) (<a href='/products/secondary-antibodies/goat-rabbit-igg-h-l-hrp-ab97051'>ab97051</a>) at 1/10000 dilution

Predicted band size: 25 kDa

false

Dot Blot - Anti-eIF4E (phospho S209) antibody [EP2151Y] (AB76256)
  • Dot

Unknown

Dot Blot - Anti-eIF4E (phospho S209) antibody [EP2151Y] (AB76256)

Dot blot analysis of eIF4E (pS209) peptide (Lane 1) and eIF4E non-phospho peptide (Lane 2) labelling eIF4E (pS209) with purified ab76256 at a dilution of 1/1000. ab97051 (Peroxidase conjugated goat anti-rabbit IgG (H+L)) was used as the secondary antibody at a dilution of 1/100000.

Blocking and dilution buffer : 5% NFDM/TBST.

Exposure time : 3 minutes.

关键信息

宿主种属

Rabbit

克隆

Monoclonal

克隆号

EP2151Y

亚型

IgG

不含载体蛋白

No

反应种属

Mouse, Rat, Human, Pig

应用

IHC-P, IP, WB, ICC/IF, Dot

applications

免疫原

The exact immunogen used to generate this antibody is proprietary information.

反应性数据

{ "title": "Reactivity Data", "filters": { "stats": ["", "Species", "Dilution Info", "Notes"], "tabs": { "all-applications": {"fullname" : "All Applications", "shortname": "All Applications"}, "IHCP" : {"fullname" : "Immunohistochemistry (Formalin/PFA-fixed paraffin-embedded sections)", "shortname":"IHC-P"}, "IP" : {"fullname" : "Immunoprecipitation", "shortname":"IP"}, "ICCIF" : {"fullname" : "Immunocytochemistry/ Immunofluorescence", "shortname":"ICC/IF"}, "Dot" : {"fullname" : "Dot Blot", "shortname":"Dot"}, "WB" : {"fullname" : "Western blot", "shortname":"WB"} }, "product-promise": { "all": "all", "testedAndGuaranteed": "tested", "guaranteed": "expected", "predicted": "predicted", "notRecommended": "not-recommended" } }, "values": { "Human": { "IHCP-species-checked": "testedAndGuaranteed", "IHCP-species-dilution-info": "1/50 - 1/250", "IHCP-species-notes": "<p></p> Perform heat-mediated antigen retrieval before commencing with IHC staining protocol.", "IP-species-checked": "testedAndGuaranteed", "IP-species-dilution-info": "1/40 - 1/60", "IP-species-notes": "<p></p>", "ICCIF-species-checked": "testedAndGuaranteed", "ICCIF-species-dilution-info": "1/500", "ICCIF-species-notes": "<p></p>", "Dot-species-checked": "guaranteed", "Dot-species-dilution-info": "", "Dot-species-notes": "", "WB-species-checked": "testedAndGuaranteed", "WB-species-dilution-info": "1/1000 - 1/100000", "WB-species-notes": "<p></p>" }, "Mouse": { "IHCP-species-checked": "guaranteed", "IHCP-species-dilution-info": "1/50 - 1/250", "IHCP-species-notes": "<p></p> Perform heat-mediated antigen retrieval before commencing with IHC staining protocol.", "IP-species-checked": "guaranteed", "IP-species-dilution-info": "1/40 - 1/60", "IP-species-notes": "<p></p>", "ICCIF-species-checked": "testedAndGuaranteed", "ICCIF-species-dilution-info": "1/500", "ICCIF-species-notes": "<p></p>", "Dot-species-checked": "guaranteed", "Dot-species-dilution-info": "", "Dot-species-notes": "", "WB-species-checked": "testedAndGuaranteed", "WB-species-dilution-info": "1/1000 - 1/100000", "WB-species-notes": "<p></p>" }, "Rat": { "IHCP-species-checked": "guaranteed", "IHCP-species-dilution-info": "1/50 - 1/250", "IHCP-species-notes": "<p></p> Perform heat-mediated antigen retrieval before commencing with IHC staining protocol.", "IP-species-checked": "guaranteed", "IP-species-dilution-info": "1/40 - 1/60", "IP-species-notes": "<p></p>", "ICCIF-species-checked": "guaranteed", "ICCIF-species-dilution-info": "1/500", "ICCIF-species-notes": "<p></p>", "Dot-species-checked": "guaranteed", "Dot-species-dilution-info": "", "Dot-species-notes": "", "WB-species-checked": "testedAndGuaranteed", "WB-species-dilution-info": "1/1000 - 1/100000", "WB-species-notes": "<p></p>" }, "Pig": { "IHCP-species-checked": "guaranteed", "IHCP-species-dilution-info": "1/50 - 1/250", "IHCP-species-notes": "<p></p> Perform heat-mediated antigen retrieval before commencing with IHC staining protocol.", "IP-species-checked": "guaranteed", "IP-species-dilution-info": "1/40 - 1/60", "IP-species-notes": "<p></p>", "ICCIF-species-checked": "guaranteed", "ICCIF-species-dilution-info": "1/500", "ICCIF-species-notes": "<p></p>", "Dot-species-checked": "guaranteed", "Dot-species-dilution-info": "", "Dot-species-notes": "", "WB-species-checked": "testedAndGuaranteed", "WB-species-dilution-info": "1/1000 - 1/100000", "WB-species-notes": "<p></p>" }, "Synthetic peptide": { "IHCP-species-checked": "notRecommended", "IHCP-species-dilution-info": "", "IHCP-species-notes": "", "IP-species-checked": "notRecommended", "IP-species-dilution-info": "", "IP-species-notes": "", "ICCIF-species-checked": "notRecommended", "ICCIF-species-dilution-info": "", "ICCIF-species-notes": "", "Dot-species-checked": "testedAndGuaranteed", "Dot-species-dilution-info": "1/1000", "Dot-species-notes": "<p></p>", "WB-species-checked": "notRecommended", "WB-species-dilution-info": "", "WB-species-notes": "" } } }

产品详情

What is this antibody validated in?
Anti-eIF4E (phospho S209) antibody [EP2151Y] (ab76256) is a rabbit recombinant monoclonal antibody and is validated for use in Western Blot (WB), Immunoprecipitation (IP), Immunohistochemistry (IHC-P), Immunocytochemistry/immunofluorescence (ICC/IF), Dot Blot in Human, Mouse, Pig, Rat samples.

What is the molecular weight of eIF4E?
Anti-eIF4E (phospho S209) [EP2151Y] (ab76256) specifically detects a band for eIF4E (UniProt: P06730) at a molecular weight of 25kDa.

Trusted by the scientific community
Anti-eIF4E (phospho S209) [EP2151Y] (ab76256) was first used in a scientific publication in 2009 and has been cited over 50 times in peer-reviewed journals.

Trial sizes available!
Test your antibody or perform pre-screening before committing to a larger quantity. Sold in 10µl. Discover our selection of trial-size antibodies.

Other related products
We have a range of other formats of antibody clone [EP2151Y] also available for your convenience: ab76256, Carrier free - ab183301, Biotin - ab201471, Carrier free - ab277240

Patented technology
Our RabMAb® technology is a patented hybridoma-based technology for making rabbit monoclonal antibodies. For details on our patents, please refer to RabMAb® patents.

What are the advantages of a recombinant monoclonal antibody?
This product is a recombinant monoclonal antibody, which offers several advantages including:

  • - High batch-to-batch consistency and reproducibility
  • - Improved sensitivity and specificity
  • - Long-term security of supply
  • - Animal-free batch production

For more information, read more on recombinant antibodies.

性能和储存信息

形式
Liquid
纯化工艺
Affinity purification Protein A
存储溶液
pH: 7.2 - 7.4 Preservative: 0.01% Sodium azide Constituents: PBS, 40% Glycerol (glycerin, glycerine), 0.05% BSA
运输条件
Blue Ice
推荐的短期储存时间
1-2 weeks
推荐的短期储存条件
+4°C
推荐的长期储存条件
-20°C
分装信息
Upon delivery aliquot
储存信息
Stable for 12 months at -20°C

补充信息

This supplementary information is collated from multiple sources and compiled automatically.

The eIF4E protein also known as the eukaryotic translation initiation factor 4E functions mainly in the initiation phase of mRNA translation. It plays a role by binding to the 7-methylguanylate cap structure at the 5' end of mRNA facilitating ribosome assembly on mRNA. The molecular weight of eIF4E is approximately 25 kDa and it is ubiquitously expressed in various tissues across eukaryotic organisms. Additionally phosphorylation of eIF4E affects its activity and is an important post-translational modification.
Biological function summary

EIF4E regulates gene expression at the translational level and is a part of the eIF4F complex which also includes eIF4A and eIF4G. This complex is essential for the recruitment of ribosomes to the mRNA impacting the rate of protein synthesis. Changes in eIF4E levels can alter the translational efficiency of specific mRNAs thereby influencing cellular growth and proliferation.

Pathways

EIF4E directly involves in the mTOR signaling pathway which regulates cell growth proliferation and survival. Within this pathway eIF4E interacts with proteins such as 4EBP1 which binds to eIF4E and inhibits its function in the absence of phosphorylation by mTOR. This interaction illustrates the control mechanism of protein synthesis under different cellular conditions connecting it to various signaling cascades.

EIF4E has been linked to cancer and neurodegenerative conditions. In cancer overexpression of eIF4E leads to increased translation of oncogenes facilitating tumorigenesis. The mTOR pathway proteins like mTOR and 4EBP1 are often dysregulated in these cases. Conversely its role in neurological disorders involves the aberrant regulation of synaptic proteins like PSD95 impacting neuronal communication and function.

产品实验方案

For this product, it's our understanding that no specific protocols are required. You can visit:

靶点信息

Acts in the cytoplasm to initiate and regulate protein synthesis and is required in the nucleus for export of a subset of mRNAs from the nucleus to the cytoplasm which promotes processes such as RNA capping, processing and splicing (PubMed : 11606200, PubMed : 22578813, PubMed : 22684010, PubMed : 24335285, PubMed : 29987188). Component of the protein complex eIF4F, which is involved in the recognition of the mRNA cap, ATP-dependent unwinding of 5'-terminal secondary structure and recruitment of mRNA to the ribosome (By similarity). This protein recognizes and binds the 7-methylguanosine (m7G)-containing mRNA cap during an early step in the initiation of protein synthesis and facilitates ribosome binding by inducing the unwinding of the mRNAs secondary structures (PubMed : 16271312, PubMed : 22578813). Together with EIF4G1, antagonizes the scanning promoted by EIF1-EIF4G1 and is required for TISU translation, a process where the TISU element recognition makes scanning unnecessary (PubMed : 29987188). In addition to its role in translation initiation, also acts as a regulator of translation and stability in the cytoplasm (PubMed : 24335285). Component of the CYFIP1-EIF4E-FMR1 complex which binds to the mRNA cap and mediates translational repression : in the complex, EIF4E mediates the binding to the mRNA cap (By similarity). Component of a multiprotein complex that sequesters and represses translation of proneurogenic factors during neurogenesis (By similarity). In P-bodies, component of a complex that mediates the storage of translationally inactive mRNAs in the cytoplasm and prevents their degradation (PubMed : 24335285). May play an important role in spermatogenesis through translational regulation of stage-specific mRNAs during germ cell development (By similarity). As well as its roles in translation, also involved in mRNA nucleocytoplasmic transport (By similarity). Its role in mRNA export from the nucleus to the cytoplasm relies on its ability to bind the m7G cap of RNAs and on the presence of the 50-nucleotide EIF4E sensitivity element (4ESE) in the 3'UTR of sensitive transcripts (By similarity). Interaction with the 4ESE is mediated by LRPPRC which binds simultaneously to both EIF4E and the 4ESE, thereby acting as a platform for assembly for the RNA export complex (By similarity). EIF4E-dependent mRNA export is independent of ongoing protein or RNA synthesis and is also NFX1-independent but is XPO1-dependent with LRPPRC interacting with XPO1 to form an EIF4E-dependent mRNA export complex (By similarity). Alters the composition of the cytoplasmic face of the nuclear pore to promote RNA export by reducing RANBP2 expression, relocalizing nucleoporin NUP214 and increasing expression of RANBP1 and RNA export factors DDX19 and GLE1 (By similarity). Promotes the nuclear export of cyclin CCND1 mRNA (By similarity). Promotes the nuclear export of NOS2/iNOS mRNA (PubMed : 23471078). Promotes the nuclear export of MDM2 mRNA (PubMed : 22684010). Promotes the export of additional mRNAs, including others involved in the cell cycle (By similarity). In the nucleus, binds to capped splice factor-encoding mRNAs and stimulates their nuclear export to enhance splice factor production by increasing their cytoplasmic availability to the translation machinery (By similarity). May also regulate splicing through interaction with the spliceosome in an RNA and m7G cap-dependent manner (By similarity). Also binds to some pre-mRNAs and may play a role in their recruitment to the spliceosome (By similarity). Promotes steady-state capping of a subset of coding and non-coding RNAs by mediating nuclear export of capping machinery mRNAs including RNMT, RNGTT and RAMAC to enhance their translation (By similarity). Stimulates mRNA 3'-end processing by promoting the expression of several core cleavage complex factors required for mRNA cleavage and polyadenylation, and may also have a direct effect through its interaction with the CPSF3 cleavage enzyme (By similarity). Rescues cells from apoptosis by promoting activation of serine/threonine-protein kinase AKT1 through mRNA export of NBS1 which potentiates AKT1 phosphorylation and also through mRNA export of AKT1 effectors, allowing for increased production of these proteins (By similarity).
See full target information EIF4E phospho S209

文献 (69)

Recent publications for all applications. Explore the full list and refine your search

eLife 14: PubMed40879330

2025

Cap-independent co-expression of dsRNA-sensing and NF-κB pathway inhibitors enables controllable self-amplifying RNA expression with reduced immunotoxicity.

Applications

Unspecified application

Species

Unspecified reactive species

Tony K Y Lim,Anne Ritoux,Luke W Paine,Larissa Ferguson,Tawab Abdul,Laura J Grundy,Ewan St John Smith

Cancer gene therapy 32:1008-1017 PubMed40702333

2025

Rapamycin rescues APC-mutated colon organoid differentiation.

Applications

Unspecified application

Species

Unspecified reactive species

Aline Habib,Rose Mamistvalov,Dalit Ben-Yosef

Nucleic acids research 52:12534-12548 PubMed39351862

2024

Ribosome Quality Control mitigates the cytotoxicity of ribosome collisions induced by 5-Fluorouracil.

Applications

Unspecified application

Species

Unspecified reactive species

Susanta Chatterjee,Parisa Naeli,Okan Onar,Nicole Simms,Aitor Garzia,Angela Hackett,Kelsey Coyle,Patric Harris Snell,Tom McGirr,Tanvi Nitin Sawant,Kexin Dang,Zornitsa Vasileva Stoichkova,Yumna Azam,Mark P Saunders,Michael Braun,Tommy Alain,Thomas Tuschl,Simon S McDade,Daniel B Longley,Christos G Gkogkas,Colin Adrain,John R P Knight,Seyed Mehdi Jafarnejad

Neurobiology of pain (Cambridge, Mass.) 16:100159 PubMed39156884

2024

Interleukin-6 induces nascent protein synthesis in human dorsal root ganglion nociceptors primarily via MNK-eIF4E signaling.

Applications

Unspecified application

Species

Unspecified reactive species

Molly E Mitchell,Gema Torrijos,Lauren F Cook,Juliet M Mwirigi,Lucy He,Stephanie Shiers,Theodore J Price

Brain : a journal of neurology 147:2991-2997 PubMed39046204

2024

Tomivosertib reduces ectopic activity in dorsal root ganglion neurons from patients with radiculopathy.

Applications

Unspecified application

Species

Unspecified reactive species

Yan Li,Megan L Uhelski,Robert Y North,Juliet M Mwirigi,Claudio E Tatsui,Kathleen E McDonough,Juan P Cata,German Corrales,Greg Dussor,Theodore J Price,Patrick M Dougherty

Advanced science (Weinheim, Baden-Wurttemberg, Germany) 11:e2402284 PubMed38994917

2024

Hyperactivation of mTOR/eIF4E Signaling Pathway Promotes the Production of Tryptophan-To-Phenylalanine Substitutants in EBV-Positive Gastric Cancer.

Applications

Unspecified application

Species

Unspecified reactive species

Zi-Qi Zheng,Cheng-Rui Zhong,Cheng-Zhi Wei,Xiao-Jiang Chen,Guo-Ming Chen,Run-Cong Nie,Ze-Wei Chen,Fei-Yang Zhang,Yuan-Fang Li,Zhi-Wei Zhou,Yong-Ming Chen,Ye-Lin Liang

iScience 27:108808 PubMed38303713

2024

Vinorelbine causes a neuropathic pain-like state in mice via STING and MNK1 signaling associated with type I interferon induction.

Applications

Unspecified application

Species

Unspecified reactive species

Úrzula Franco-Enzástiga,Keerthana Natarajan,Eric T David,Krish Patel,Abhira Ravirala,Theodore J Price

Advanced science (Weinheim, Baden-Wurttemberg, Germany) 11:e2308072 PubMed38239021

2024

Opsin-Free Activation of Bmp Receptors by a Femtosecond Laser.

Applications

Unspecified application

Species

Unspecified reactive species

Manjun Xu,Haipeng Wang,Xiaoying Tian,Bingyi Li,Shaoyang Wang,Xiaohui Zhao,Hao He

iScience 26:107754 PubMed37731617

2023

Aggravated hepatic fibrosis induced by phenylalanine and tyrosine was ameliorated by chitooligosaccharides supplementation.

Applications

Unspecified application

Species

Unspecified reactive species

Peng Liu,Heng Li,Hongyu Xu,Jinsong Gong,Min Jiang,Zhenghong Xu,Jinsong Shi

Frontiers in endocrinology 14:1139874 PubMed37305050

2023

ZIP9 mediates the effects of DHT on learning, memory and hippocampal synaptic plasticity of male Tfm and APP/PS1 mice.

Applications

Unspecified application

Species

Unspecified reactive species

Leigang Song,Huan Chen,Dan Qiao,Bohan Zhang,Fangzhen Guo,Yizhou Zhang,Chang Wang,Sha Li,Huixian Cui
View all publications

Abcam Product Promise

我们致力于为您的研究提供高质量的试剂,为您科研的每一步提供支持。若我们的产品未能达到预期性能,我们向您提供 Abcam Product Promise 保障。
详情请参阅我们的条款与条件。

Please note: All products are 'FOR RESEARCH USE ONLY. NOT FOR USE IN DIAGNOSTIC OR THERAPEUTIC PROCEDURES'.

For licensing inquiries, please contact partnerships@abcam.com