JavaScript is disabled in your browser. Please enable JavaScript to view this website.
AB124778

重组Anti-eIF3B抗体[EPR5805]

Anti-eIF3B antibody [EPR5805]

Be the first to review this product! Submit a review

|

(3 Publications)

Rabbit Recombinant Monoclonal EIF3B antibody. Suitable for IHC-P, WB and reacts with Human samples. Cited in 3 publications.

查看别名

EIF3S9, EIF3B, Eukaryotic translation initiation factor 3 subunit B, eIF3b, Eukaryotic translation initiation factor 3 subunit 9, Prt1 homolog, eIF-3-eta, eIF3 p110, eIF3 p116, hPrt1

2 Images
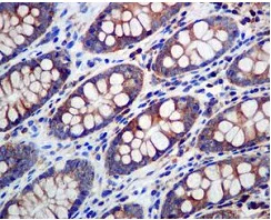
Immunohistochemistry (Formalin/PFA-fixed paraffin-embedded sections) - Anti-eIF3B antibody [EPR5805] (AB124778)
  • IHC-P

Unknown

Immunohistochemistry (Formalin/PFA-fixed paraffin-embedded sections) - Anti-eIF3B antibody [EPR5805] (AB124778)

ab124778 at 1/50 staining eIF3B in formalin fixed paraffin embedded Human colon tissue using immunohistochemistry.

Perform heat mediated antigen retrieval with citrate buffer pH 6 before commencing with IHC staining protocol.

Western blot - Anti-eIF3B antibody [EPR5805] (AB124778)
  • WB

Unknown

Western blot - Anti-eIF3B antibody [EPR5805] (AB124778)

All lanes:

Western blot - Anti-eIF3B antibody [EPR5805] (ab124778) at 1/1000 dilution

Lane 1:

293T cell lysate at 10 µg

Lane 2:

Jurkat cell lysate at 10 µg

Lane 3:

HeLa cell lysate at 10 µg

Lane 4:

Caco 2 cell lysate at 10 µg

Secondary

All lanes:

HRP labelled Goat anti Rabbit at 1/2000 dilution

Predicted band size: 92 kDa

false

不同偶联物与剂型 (1)

  • Carrier free

    Anti-eIF3B antibody [EPR5805] - BSA and Azide free

关键信息

宿主种属

Rabbit

克隆

Monoclonal

克隆号

EPR5805

亚型

IgG

不含载体蛋白

No

反应种属

Human

应用

IHC-P, WB

applications

免疫原

The exact immunogen used to generate this antibody is proprietary information.

反应性数据

{ "title": "Reactivity Data", "filters": { "stats": ["", "Species", "Dilution Info", "Notes"], "tabs": { "all-applications": {"fullname" : "All Applications", "shortname": "All Applications"}, "IHCP" : {"fullname" : "Immunohistochemistry (Formalin/PFA-fixed paraffin-embedded sections)", "shortname":"IHC-P"}, "IP" : {"fullname" : "Immunoprecipitation", "shortname":"IP"}, "FlowCyt" : {"fullname" : "Flow Cytometry", "shortname":"Flow Cyt"}, "WB" : {"fullname" : "Western blot", "shortname":"WB"}, "ICCIF" : {"fullname" : "Immunocytochemistry/ Immunofluorescence", "shortname":"ICC/IF"} }, "product-promise": { "all": "all", "testedAndGuaranteed": "tested", "guaranteed": "expected", "predicted": "predicted", "notRecommended": "not-recommended" } }, "values": { "Human": { "IHCP-species-checked": "testedAndGuaranteed", "IHCP-species-dilution-info": "1/50 - 1/100", "IHCP-species-notes": "<p>Antigen retrieval is recommended.</p>", "IP-species-checked": "notRecommended", "IP-species-dilution-info": "", "IP-species-notes": "<p></p>", "FlowCyt-species-checked": "notRecommended", "FlowCyt-species-dilution-info": "", "FlowCyt-species-notes": "<p></p>", "WB-species-checked": "testedAndGuaranteed", "WB-species-dilution-info": "1/1000 - 1/10000", "WB-species-notes": "<p></p>", "ICCIF-species-checked": "notRecommended", "ICCIF-species-dilution-info": "", "ICCIF-species-notes": "<p></p>" } } }

产品详情

Species reactivity
Mouse, Rat: We have preliminary internal testing data to indicate this antibody may not react with these species.
Please contact us for more information.

Patented technology
Our RabMAb® technology is a patented hybridoma-based technology for making rabbit monoclonal antibodies. For details on our patents, please refer to RabMAb® patents.

What are the advantages of a recombinant monoclonal antibody?
This product is a recombinant monoclonal antibody, which offers several advantages including:

  • - High batch-to-batch consistency and reproducibility
  • - Improved sensitivity and specificity
  • - Long-term security of supply
  • - Animal-free batch production

For more information, read more on recombinant antibodies.

性能和储存信息

形式
Liquid
纯化工艺
Affinity purification Protein A
存储溶液
pH: 7.2 - 7.4 Preservative: 0.05% Sodium azide Constituents: 50% Tissue culture supernatant, 40% Glycerol (glycerin, glycerine), 9.85% Tris glycine
运输条件
Blue Ice
推荐的短期储存条件
+4°C
推荐的长期储存条件
-20°C
储存信息
Stable for 12 months at -20°C

补充信息

This supplementary information is collated from multiple sources and compiled automatically.

The eukaryotic initiation factor 3 subunit B (eIF3B) also known as EIF3S9 or p116 plays a central role in the initiation of translation. This protein has a mass of approximately 97 kDa and serves as an important component of the eIF3 complex important for assembling the 40S ribosomal subunit with mRNA and initiator tRNA. eIF3B is ubiquitously expressed in various tissues indicating its fundamental role in cellular protein synthesis.
Biological function summary

EIF3B functions as part of the large eIF3 complex which consists of 13 subunits. This complex is important for the recruitment of mRNA to the 40S ribosomal subunit playing an essential role in the start of translation. eIF3B directly contributes to stabilizing the interaction between mRNA and the ribosome promoting the accurate and efficient formation of the translation initiation complex. This function highlights the importance of eIF3B in regulating cellular protein levels.

Pathways

EIF3B participates in key processes of mRNA translation and is integral to the translation initiation pathway. It interacts with other translation initiation factors including eIF4F and eIF5 orchestrating the assembly and positioning of the ribosome for translation initiation. Moreover eIF3B is also involved in the mTOR signaling pathway linking nutrient sensing to protein synthesis regulation.

EIF3B has been associated with various types of cancer such as breast and prostate cancer where its increased expression correlates with tumor progression and poor prognosis. The dysfunction of eIF3B affects protein synthesis and cell proliferation contributing to oncogenesis. Furthermore eIF3B's role is connected to the dysregulation of mTOR pathways which is significant in cancer development. Its interaction with other proteins like eIF4E and eIF5 signifies its impact on cancer progression pathways.

产品实验方案

For this product, it's our understanding that no specific protocols are required. You can visit:

靶点信息

RNA-binding component of the eukaryotic translation initiation factor 3 (eIF-3) complex, which is required for several steps in the initiation of protein synthesis (PubMed : 17581632, PubMed : 25849773, PubMed : 27462815, PubMed : 9388245). The eIF-3 complex associates with the 40S ribosome and facilitates the recruitment of eIF-1, eIF-1A, eIF-2 : GTP : methionyl-tRNAi and eIF-5 to form the 43S pre-initiation complex (43S PIC). The eIF-3 complex stimulates mRNA recruitment to the 43S PIC and scanning of the mRNA for AUG recognition. The eIF-3 complex is also required for disassembly and recycling of post-termination ribosomal complexes and subsequently prevents premature joining of the 40S and 60S ribosomal subunits prior to initiation (PubMed : 17581632, PubMed : 9388245). The eIF-3 complex specifically targets and initiates translation of a subset of mRNAs involved in cell proliferation, including cell cycling, differentiation and apoptosis, and uses different modes of RNA stem-loop binding to exert either translational activation or repression (PubMed : 25849773).. (Microbial infection) In case of FCV infection, plays a role in the ribosomal termination-reinitiation event leading to the translation of VP2 (PubMed : 18056426).
See full target information EIF3B

文献 (3)

Recent publications for all applications. Explore the full list and refine your search

Cell death discovery 11:333 PubMed40691141

2025

EIF3B stabilizes MAP2K2 to activate the ERK pathway and promote the progression of laryngeal squamous cell carcinoma.

Applications

Unspecified application

Species

Unspecified reactive species

Jie Tan,Xueshi Li,Yuguang Wang,Lin Wang,Xingguo Zhao,Yixu Wang,Meng Cui

Frontiers in oncology 11:644156 PubMed33996561

2021

Eukaryotic Translation Initiation Factor 3 Subunit B Is a Promoter in the Development and Progression of Pancreatic Cancer.

Applications

Unspecified application

Species

Unspecified reactive species

Haoyuan Ren,Gang Mai,Yong Liu,Rongchao Xiang,Chong Yang,Wenjie Su

Journal of Cancer 8:3049-3061 PubMed28928896

2017

Eukaryotic Translation Initiation Factor 3b is both a Promising Prognostic Biomarker and a Potential Therapeutic Target for Patients with Clear Cell Renal Cell Carcinoma.

Applications

Unspecified application

Species

Unspecified reactive species

Yuanwei Zang,Xiang Zhang,Lei Yan,Gangli Gu,Dawei Li,Yongzhen Zhang,Liang Fang,Shanshan Fu,Juchao Ren,Zhonghua Xu
View all publications

Abcam Product Promise

我们致力于为您的研究提供高质量的试剂,为您科研的每一步提供支持。若我们的产品未能达到预期性能,我们向您提供 Abcam Product Promise 保障。
详情请参阅我们的条款与条件。

Please note: All products are 'FOR RESEARCH USE ONLY. NOT FOR USE IN DIAGNOSTIC OR THERAPEUTIC PROCEDURES'.

For licensing inquiries, please contact partnerships@abcam.com