JavaScript is disabled in your browser. Please enable JavaScript to view this website.
AB5369

Anti-EIF2S1 抗体 [EIF2a]

Anti-EIF2S1 antibody [EIF2a]

5

(4 Reviews)

|

(76 Publications)

Anti-EIF2S1 antibody [EIF2a] (ab5369) is a mouse monoclonal antibody detecting EIF2S1 in Western Blot, IHC-P. Suitable for African green monkey, Human, Mouse, Rat.

- Over 60 publications
- Trusted since 2003

查看别名

EIF2A, EIF2S1, Eukaryotic translation initiation factor 2 subunit 1, Eukaryotic translation initiation factor 2 subunit alpha, eIF-2-alpha, eIF-2A, eIF-2alpha, eIF2-alpha

6 Images
Western blot - Anti-EIF2S1 antibody [EIF2a] (AB5369)
  • WB

Supplier Data

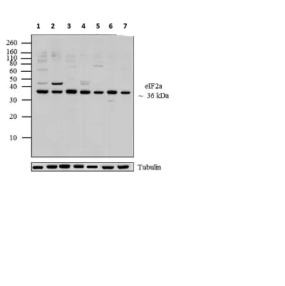
Western blot - Anti-EIF2S1 antibody [EIF2a] (AB5369)

All lanes:

Western blot - Anti-EIF2S1 antibody [EIF2a] (ab5369)

Lane 1:

COS-7 (african green monkey kidney fibroblast-like cell line) whole cell lysate at 20 µg

Lane 2:

MCF7 (human breast adenocarcinoma cell line) whole cell lysate at 20 µg

Lane 3:

PC-12 (rat adrenal gland pheochromocytoma cell line) whole cell lysate at 20 µg

Lane 4:

HeLa (human epithelial cell line from cervix adenocarcinoma) whole cell lysate

Lane 5:

Jurkat (human T cell leukemia cell line from peripheral blood) whole cell lysate

Lane 6:

NIH/3T3 (mouse embryonic fibroblast cell line) whole cell lysate

Lane 7:

A431 (human epidermoid carcinoma cell line) whole cell lysate

Secondary

Lanes 1, 2, 3, 4, 6 and 7:

Goat anti-Mouse IgG (H+L) Secondary Antibody, HRP conjugate at 1/4000 dilution

Lane 5:

Goat anti-Mouse IgG (H+L) Secondary Antibody, HRP conjugate

Predicted band size: 36 kDa

false

Immunocytochemistry - Anti-EIF2S1 antibody [EIF2a] (AB5369)
  • ICC

Unknown

Immunocytochemistry - Anti-EIF2S1 antibody [EIF2a] (AB5369)

Immunofluorescence analysis of eIF2a was done on 70% confluent log phase A549 cells. The cells were fixed with 4% paraformaldehyde for 15 minutes, permeabilized with 0.25% Triton™ X-100 for 10 minutes, and blocked with 5% BSA for 1 hour at room temperature. The cells were labeled with ab5369 1 : 250 dilution in1% BSA and incubated for 3 hours at room temperature and then labeled with Goat anti-Mouse IgG (H+L) Superclonal Secondary Antibody, Alexa Fluor® 488 conjugate at a dilution of 1 : 2000 for 45 minutes at room temperature (Panel a : green). Nuclei (Panel b : blue) were stained with SlowFade® Gold Antifade Mountant with DAPI. F-actin (Panel c : red) was stained with Rhodamine Phalloidin (1 : 300). Panel d is a merged image showing Cytoplasmic localization. Panel e is a no primary antibody control. The images were captured at 60X magnification.

Immunocytochemistry - Anti-EIF2S1 antibody [EIF2a] (AB5369)
  • ICC

Unknown

Immunocytochemistry - Anti-EIF2S1 antibody [EIF2a] (AB5369)

ICC/IF image of ab5369 stained HepG2 cells. The cells were 4% formaldehyde fixed (10 min) and then incubated in 1%BSA / 10% normal goat serum / 0.3M glycine in 0.1% PBS-Tween for 1h to permeabilise the cells and block non-specific protein-protein interactions. The cells were then incubated with the antibody (ab5369, 5µg/ml) overnight at +4°C. The secondary antibody (green) was Alexa Fluor® 488 goat anti-mouse IgG (H+L) used at a 1/1000 dilution for 1h. Alexa Fluor® 594 WGA was used to label plasma membranes (red) at a 1/200 dilution for 1h. DAPI was used to stain the cell nuclei (blue) at a concentration of 1.43µM.

Immunohistochemistry (Formalin/PFA-fixed paraffin-embedded sections) - Anti-EIF2S1 antibody [EIF2a] (AB5369)
  • IHC-P

Supplier Data

Immunohistochemistry (Formalin/PFA-fixed paraffin-embedded sections) - Anti-EIF2S1 antibody [EIF2a] (AB5369)

Immunohistochemical analysis of human colon carcinoma (right) compared to a negative control (left) using ab5369 at the dilution 1/10.

Immunohistochemistry (Formalin/PFA-fixed paraffin-embedded sections) - Anti-EIF2S1 antibody [EIF2a] (AB5369)
  • IHC-P

Unknown

Immunohistochemistry (Formalin/PFA-fixed paraffin-embedded sections) - Anti-EIF2S1 antibody [EIF2a] (AB5369)

ab5369 staining EIF2S1 in human placenta. Staining is localised to the cytoplasm.
Left panel : with primary antibody at 2 ug/ml. Right panel : isotype control.
Sections were stained using an automated system DAKO Autostainer Plus , at room temperature. Sections were rehydrated and antigen retrieved with the Dako 3-in-1 AR buffer citrate pH 6.0 in a DAKO PT Link. Slides were peroxidase blocked in 3% H2O2 in methanol for 10 minutes. They were then blocked with Dako Protein block for 10 minutes (containing casein 0.25% in PBS), then incubated with primary antibody for 20 minutes, and detected with Dako Envision Flex amplification kit for 30 minutes. Colorimetric detection was completed with diaminobenzidine for 5 minutes. Slides were counterstained with Haematoxylin and coverslipped under DePeX. Please note that for manual staining we recommend to optimize the primary antibody concentration and incubation time (overnight incubation), and amplification may be required.

Immunohistochemistry (Formalin/PFA-fixed paraffin-embedded sections) - Anti-EIF2S1 antibody [EIF2a] (AB5369)
  • IHC-P

Unknown

Immunohistochemistry (Formalin/PFA-fixed paraffin-embedded sections) - Anti-EIF2S1 antibody [EIF2a] (AB5369)

Immunohistochemistry analysis of EIF 2ALPHA (EIF2A) showing staining in the cytoplasm of paraffin-embedded human colon carcinoma (right) compared to a negative control without primary antibody (left). To expose target proteins, antigen retrieval was performed using 10mM sodium citrate (pH 6.0), microwaved for 8-15 min. Following antigen retrieval, tissues were blocked in 3% H2O2-methanol for 15 min at room temperature, washed with ddH2O and PBS, and then probed with ab5369.

关键信息

宿主种属

Mouse

克隆

Monoclonal

克隆号

EIF2a

亚型

IgG1

不含载体蛋白

No

反应种属

Mouse, Rat, Human, African green monkey

应用

IHC-P, WB, ICC

applications

免疫原

Recombinant Full Length Protein corresponding to Human EIF2S1.

P05198

表位

not mapped.

反应性数据

{ "title": "Reactivity Data", "filters": { "stats": ["", "Species", "Dilution Info", "Notes"], "tabs": { "all-applications": {"fullname" : "All Applications", "shortname": "All Applications"}, "IHCP" : {"fullname" : "Immunohistochemistry (Formalin/PFA-fixed paraffin-embedded sections)", "shortname":"IHC-P"}, "ICC" : {"fullname" : "Immunocytochemistry", "shortname":"ICC"}, "WB" : {"fullname" : "Western blot", "shortname":"WB"} }, "product-promise": { "all": "all", "testedAndGuaranteed": "tested", "guaranteed": "expected", "predicted": "predicted", "notRecommended": "not-recommended" } }, "values": { "Human": { "IHCP-species-checked": "testedAndGuaranteed", "IHCP-species-dilution-info": "1/10 - 1/50", "IHCP-species-notes": "<p></p> Perform heat-mediated antigen retrieval before commencing with IHC staining protocol.", "ICC-species-checked": "testedAndGuaranteed", "ICC-species-dilution-info": "1 µg/mL", "ICC-species-notes": "<p></p>", "WB-species-checked": "testedAndGuaranteed", "WB-species-dilution-info": "1/500 - 1/1000", "WB-species-notes": "<p></p>" }, "Mouse": { "IHCP-species-checked": "guaranteed", "IHCP-species-dilution-info": "", "IHCP-species-notes": "", "ICC-species-checked": "guaranteed", "ICC-species-dilution-info": "", "ICC-species-notes": "", "WB-species-checked": "testedAndGuaranteed", "WB-species-dilution-info": "1/500 - 1/1000", "WB-species-notes": "<p></p>" }, "Rat": { "IHCP-species-checked": "guaranteed", "IHCP-species-dilution-info": "", "IHCP-species-notes": "", "ICC-species-checked": "guaranteed", "ICC-species-dilution-info": "", "ICC-species-notes": "", "WB-species-checked": "testedAndGuaranteed", "WB-species-dilution-info": "1/500 - 1/1000", "WB-species-notes": "<p></p>" }, "African green monkey": { "IHCP-species-checked": "guaranteed", "IHCP-species-dilution-info": "", "IHCP-species-notes": "", "ICC-species-checked": "guaranteed", "ICC-species-dilution-info": "", "ICC-species-notes": "", "WB-species-checked": "testedAndGuaranteed", "WB-species-dilution-info": "1/500 - 1/1000", "WB-species-notes": "<p></p>" } } }

产品详情

What is this antibody validated in?
Anti-EIF2S1 antibody [EIF2a] (ab5369) is a mouse monoclonal antibody and is validated for use in Western Blot (WB), Immunohistochemistry (IHC-P) in African green monkey, Human, Mouse, Rat samples.

What is the molecular weight of EIF2S1?
Anti-EIF2S1 [EIF2a] (ab5369) specifically detects a band for EIF2S1 (UniProt: P05198) at a molecular weight of 36kDa.

Trusted by the scientific community
Anti-EIF2S1 [EIF2a] (ab5369) was first used in a scientific publication in 2003 and has been cited over 60 times in peer-reviewed journals.

性能和储存信息

形式
Liquid
纯化工艺
Affinity purification Protein A
存储溶液
pH: 7.4 Preservative: 0.1% Sodium azide Constituents: PBS
运输条件
Blue Ice
推荐的短期储存条件
+4°C
推荐的长期储存条件
-20°C
分装信息
Upon delivery aliquot
储存信息
Avoid freeze / thaw cycle

补充信息

This supplementary information is collated from multiple sources and compiled automatically.

EIF2S1 also called eIF2α is a subunit of the eukaryotic translation initiation factor 2 (eIF2) complex. This protein plays an important role in the initiation of protein synthesis by regulating the binding of the initiator methionyl-tRNA to the 40S ribosomal subunit. Its molecular weight is approximately 36 kDa. EIF2S1 is widely expressed in various tissues providing a fundamental function in protein biosynthesis across different cell types.
Biological function summary

EIF2α acts as a regulatory component of the eIF2 complex which is central to initiating translation in eukaryotic cells. Phosphorylation of eIF2α leads to inhibition of the exchange of GDP to GTP on eIF2 effectively reducing global protein synthesis while allowing the translation of specific mRNAs involved in stress responses. The eIF2α forms part of the eIF2 complex working closely with other subunits to exert its regulatory functions.

Pathways

EIF2α is involved in the integrated stress response (ISR) and other protein synthesis pathways. The phosphorylation state of eIF2α is important in ISR linking it to proteins such as PERK and GCN2 which respond to various stress signals. Phospho-eIF2α plays a significant role in modulating the translation response to cellular stress ensuring cells can adapt or initiate apoptosis depending on the conditions.

EIF2α connects to diseases like Alzheimer's and diabetes. Alterations in phosphorylation of eIF2α are linked to endoplasmic reticulum stress in Alzheimer's affecting protein homeostasis. Connecting to diabetes dysregulated eIF2α signaling interferes with insulin synthesis and secretion. Proteins like ATF4 also intersect with eIF2α in these diseases highlighting eIF2α's involvement in critical pathological processes.

产品实验方案

For this product, it's our understanding that no specific protocols are required. You can visit:

靶点信息

Member of the eIF2 complex that functions in the early steps of protein synthesis by forming a ternary complex with GTP and initiator tRNA (PubMed : 16289705, PubMed : 38340717). This complex binds to a 40S ribosomal subunit, followed by mRNA binding to form a 43S pre-initiation complex (43S PIC) (PubMed : 16289705). Junction of the 60S ribosomal subunit to form the 80S initiation complex is preceded by hydrolysis of the GTP bound to eIF2 and release of an eIF2-GDP binary complex (PubMed : 16289705). In order for eIF2 to recycle and catalyze another round of initiation, the GDP bound to eIF2 must exchange with GTP by way of a reaction catalyzed by eIF2B (PubMed : 16289705). EIF2S1/eIF2-alpha is a key component of the integrated stress response (ISR), required for adaptation to various stress : phosphorylation by metabolic-stress sensing protein kinases (EIF2AK1/HRI, EIF2AK2/PKR, EIF2AK3/PERK and EIF2AK4/GCN2) in response to stress converts EIF2S1/eIF2-alpha in a global protein synthesis inhibitor, leading to an attenuation of cap-dependent translation, while concomitantly initiating the preferential translation of ISR-specific mRNAs, such as the transcriptional activators ATF4 and QRICH1, and hence allowing ATF4- and QRICH1-mediated reprogramming (PubMed : 19131336, PubMed : 33384352, PubMed : 38340717). EIF2S1/eIF2-alpha also acts as an activator of mitophagy in response to mitochondrial damage : phosphorylation by EIF2AK1/HRI promotes relocalization to the mitochondrial surface, thereby triggering PRKN-independent mitophagy (PubMed : 38340717).
See full target information EIF2S1

文献 (76)

Recent publications for all applications. Explore the full list and refine your search

RNA (New York, N.Y.) 31:1599-1618 PubMed40803890

2025

PACT suppresses PKR activation through dsRNA binding and dimerization, and is a therapeutic target for triple-negative breast cancer.

Applications

Unspecified application

Species

Unspecified reactive species

Addison A Young,Isabelle G Juhler,Jackson R Pierce,Holly E Bohlin,Haley A Harper,David S Onishile,Renee N Chua,Madison E Liu,Estelle N Gardner,Bennett D Elzey,Kyle A Cottrell

Science advances 11:eadt3142 PubMed40138418

2025

The clinical antiprotozoal drug halofuginone promotes weight loss by elevating GDF15 and FGF21.

Applications

Unspecified application

Species

Unspecified reactive species

Suowen Xu,Zhenghong Liu,Tian Tian,Wenqi Zhao,Zhihua Wang,Monan Liu,Mengyun Xu,Fanshun Zhang,Zhidan Zhang,Meijie Chen,Yanjun Yin,Meiming Su,Wenxiang Fang,Wenhao Pan,Shiyong Liu,Min-Dian Li,Peter J Little,Danielle Kamato,Songyang Zhang,Dongdong Wang,Stefan Offermanns,John R Speakman,Jianping Weng

Scientific reports 14:23533 PubMed39384561

2024

Activation of PKR by a short-hairpin RNA.

Applications

Unspecified application

Species

Unspecified reactive species

Kyle A Cottrell,Sua Ryu,Helen Donelick,Hung Mai,Addison A Young,Jackson R Pierce,Brenda L Bass,Jason D Weber

iScience 27:110851 PubMed39310746

2024

eIF2B localization and its regulation during the integrated stress response is cell-type specific.

Applications

Unspecified application

Species

Unspecified reactive species

Filipe M Hanson,Madalena I Ribeiro de Oliveira,Alison K Cross,K Elizabeth Allen,Susan G Campbell

Cell proliferation 58:e13741 PubMed39212334

2024

Splicing control by PHF5A is crucial for melanoma cell survival.

Applications

Unspecified application

Species

Unspecified reactive species

Tina Meißgeier,Melanie Kappelmann-Fenzl,Sebastian Staebler,Ata Jadid Ahari,Christian Mertes,Julien Gagneur,Lisa Linck-Paulus,Anja Katrin Bosserhoff

The EMBO journal 43:3587-3603 PubMed38951609

2024

LINE-1 RNA triggers matrix formation in bone cells via a PKR-mediated inflammatory response.

Applications

Unspecified application

Species

Unspecified reactive species

Arianna Mangiavacchi,Gabriele Morelli,Sjur Reppe,Alfonso Saera-Vila,Peng Liu,Benjamin Eggerschwiler,Huoming Zhang,Dalila Bensaddek,Elisa A Casanova,Carolina Medina Gomez,Vid Prijatelj,Francesco Della Valle,Nazerke Atinbayeva,Juan Carlos Izpisua Belmonte,Fernando Rivadeneira,Paolo Cinelli,Kaare Morten Gautvik,Valerio Orlando

International journal of molecular sciences 25: PubMed38612761

2024

Intranasal Administration of GRP78 Protein (HSPA5) Confers Neuroprotection in a Lactacystin-Induced Rat Model of Parkinson's Disease.

Applications

Unspecified application

Species

Unspecified reactive species

Maria B Pazi,Daria V Belan,Elena Y Komarova,Irina V Ekimova

Cancer research communications 4:986-1003 PubMed38530197

2024

Induction of Viral Mimicry Upon Loss of DHX9 and ADAR1 in Breast Cancer Cells.

Applications

Unspecified application

Species

Unspecified reactive species

Kyle A Cottrell,Sua Ryu,Jackson R Pierce,Luisangely Soto Torres,Holly E Bohlin,Angela M Schab,Jason D Weber

Frontiers in molecular biosciences 10:1178439 PubMed37426420

2023

Sequence- and structure-specific RNA oligonucleotide binding attenuates heterogeneous nuclear ribonucleoprotein A1 dysfunction.

Applications

Unspecified application

Species

Unspecified reactive species

Joseph P Clarke,Patricia A Thibault,Sakina Fatima,Hannah E Salapa,Subha Kalyaanamoorthy,Aravindhan Ganesan,Michael C Levin

Genes 14: PubMed37239403

2023

TRNT-1 Deficiency Is Associated with Loss of tRNA Integrity and Imbalance of Distinct Proteins.

Applications

Unspecified application

Species

Unspecified reactive species

Thet Fatica,Turaya Naas,Urszula Liwak,Hannah Slaa,Maryam Souaid,Brianna Frangione,Ribal Kattini,Antoine Gaudreau-Lapierre,Laura Trinkle-Mulcahy,Pranesh Chakraborty,Martin Holcik
View all publications

Abcam Product Promise

我们致力于为您的研究提供高质量的试剂,为您科研的每一步提供支持。若我们的产品未能达到预期性能,我们向您提供 Abcam Product Promise 保障。
详情请参阅我们的条款与条件。

Please note: All products are 'FOR RESEARCH USE ONLY. NOT FOR USE IN DIAGNOSTIC OR THERAPEUTIC PROCEDURES'.

For licensing inquiries, please contact partnerships@abcam.com