JavaScript is disabled in your browser. Please enable JavaScript to view this website.
AB109311

重组Anti-EHD1抗体[EPR4954]

Anti-EHD1 antibody [EPR4954]

3

(1 Review)

|

(26 Publications)

Rabbit Recombinant Monoclonal EHD1 antibody. Suitable for IHC-P, IP, WB and reacts with Mouse, Rat, Human samples. Cited in 26 publications.

查看别名

PAST, PAST1, CDABP0131, EHD1, EH domain-containing protein 1, PAST homolog 1, Testilin, hPAST1

9 Images
Immunohistochemistry (Formalin/PFA-fixed paraffin-embedded sections) - Anti-EHD1 antibody [EPR4954] (AB109311)
  • IHC-P

Unknown

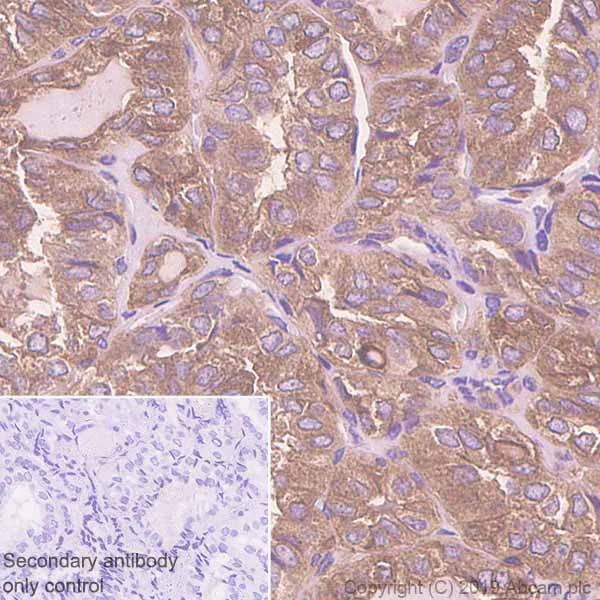
Immunohistochemistry (Formalin/PFA-fixed paraffin-embedded sections) - Anti-EHD1 antibody [EPR4954] (AB109311)

Immunohistochemistry (Formalin/PFA-fixed paraffin-embedded sections) analysis of human thyroid carcinoma tissue sections labeling EHD1 with purified ab109311 at 1/120 dilution (2.85 μg/ml). Heat mediated antigen retrieval using Bond™ Epitope Retrieval Solution 2 (pH 9.0). Rabbit specific IHC polymer detection kit HRP/DAB (ab209101) was used as the secondary antibody. Negative control : PBS instead of the primary antibody. Hematoxylin was used as a counterstain.

Immunohistochemistry (Formalin/PFA-fixed paraffin-embedded sections) - Anti-EHD1 antibody [EPR4954] (AB109311)
  • IHC-P

Unknown

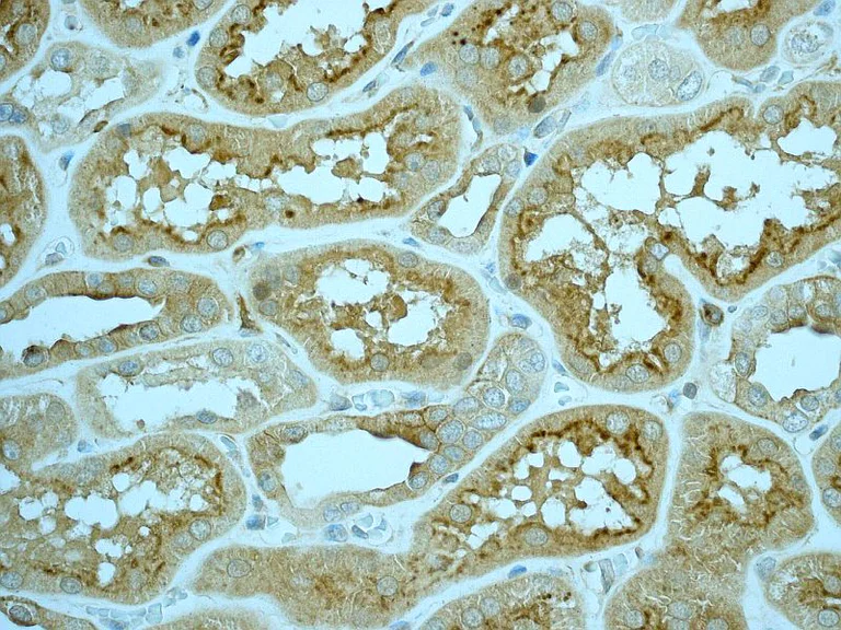
Immunohistochemistry (Formalin/PFA-fixed paraffin-embedded sections) - Anti-EHD1 antibody [EPR4954] (AB109311)

Immunohistochemical analysis of EHD1 in paraffin embedded Human kidney tissue, using unpurified ab109311 at a 1/100 dilution.

Perform heat mediated antigen retrieval before commencing with IHC staining protocol.

Immunohistochemistry (Formalin/PFA-fixed paraffin-embedded sections) - Anti-EHD1 antibody [EPR4954] (AB109311)
  • IHC-P

Unknown

Immunohistochemistry (Formalin/PFA-fixed paraffin-embedded sections) - Anti-EHD1 antibody [EPR4954] (AB109311)

Immunohistochemical analysis of EHD1 in paraffin embedded Human tonsil tissue, using unpurified ab109311 at a 1/100 dilution.

Perform heat mediated antigen retrieval before commencing with IHC staining protocol.

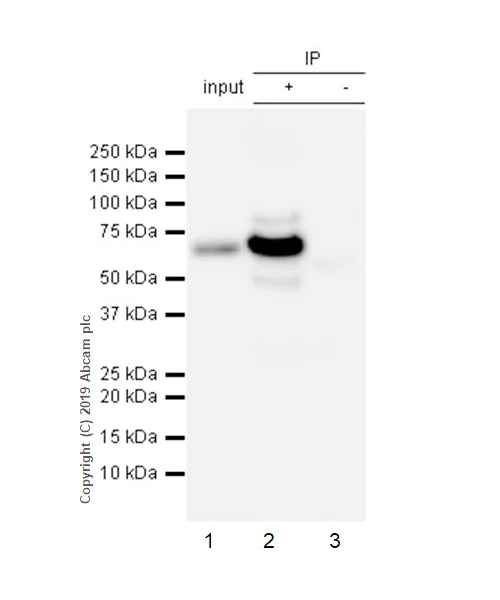
Immunoprecipitation - Anti-EHD1 antibody [EPR4954] (AB109311)
  • IP

Unknown

Immunoprecipitation - Anti-EHD1 antibody [EPR4954] (AB109311)

ab109311 (purified ) at 1/30 dilution (2ug) immunoprecipitating EHD1 in HeLa whole cell lysate.
Lane 1 (input) : HeLa (Human cervix adenocarcinoma epithelial cell) whole cell lysate 10ug
Lane 2 (+) : ab109311 & HeLa whole cell lysate
Lane 3 (-) : Rabbit monoclonal IgG (ab172730) instead of ab109311 in HeLa whole cell lysate
For western blotting, VeriBlot for IP Detection Reagent (HRP) (ab131366) was used at 1/1000 dilution.
Blocking and diluting buffer : 5% NFDM/TBST.

All lanes:

Immunoprecipitation - Anti-EHD1 antibody [EPR4954] (ab109311)

Predicted band size: 61 kDa

Observed band size: 68 kDa

false

Immunohistochemistry (Formalin/PFA-fixed paraffin-embedded sections) - Anti-EHD1 antibody [EPR4954] (AB109311)
  • IHC-P

Unknown

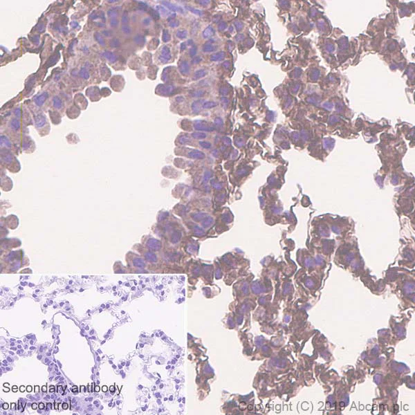
Immunohistochemistry (Formalin/PFA-fixed paraffin-embedded sections) - Anti-EHD1 antibody [EPR4954] (AB109311)

Immunohistochemistry (Formalin/PFA-fixed paraffin-embedded sections) analysis of mouse lung tissue sections labeling EHD1 with purified ab109311 at 1/1600 dilution (0.21 μg/ml). Heat mediated antigen retrieval using Bond™ Epitope Retrieval Solution 2 (pH 9.0). Rabbit specific IHC polymer detection kit HRP/DAB (ab209101) was used as the secondary antibody. Negative control : PBS instead of the primary antibody. Hematoxylin was used as a counterstain.

Immunohistochemistry (Formalin/PFA-fixed paraffin-embedded sections) - Anti-EHD1 antibody [EPR4954] (AB109311)
  • IHC-P

Unknown

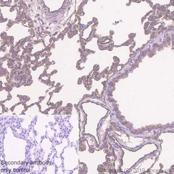
Immunohistochemistry (Formalin/PFA-fixed paraffin-embedded sections) - Anti-EHD1 antibody [EPR4954] (AB109311)

Immunohistochemistry (Formalin/PFA-fixed paraffin-embedded sections) analysis of rat lung tissue sections labeling EHD1 with purified ab109311 at 1/1600 dilution (0.21 μg/ml). Heat mediated antigen retrieval using Bond™ Epitope Retrieval Solution 2 (pH 9.0). Rabbit specific IHC polymer detection kit HRP/DAB (ab209101) was used as the secondary antibody. Negative control : PBS instead of the primary antibody. Hematoxylin was used as a counterstain.

Western blot - Anti-EHD1 antibody [EPR4954] (AB109311)
  • WB

Unknown

Western blot - Anti-EHD1 antibody [EPR4954] (AB109311)

All lanes:

Western blot - Anti-EHD1 antibody [EPR4954] (ab109311) at 1/1000 dilution

Lane 1:

HepG2 cell lysates at 10 µg

Lane 2:

Human testis lysates at 10 µg

Lane 3:

SW480 cell lysates at 10 µg

Lane 4:

SK-OV-3 cell lysates at 10 µg

Lane 5:

HeLa cell lysates at 10 µg

Predicted band size: 61 kDa

Observed band size: 60 kDa

false

Western blot - Anti-EHD1 antibody [EPR4954] (AB109311)
  • WB

Lab

Western blot - Anti-EHD1 antibody [EPR4954] (AB109311)

All lanes:

Western blot - Anti-EHD1 antibody [EPR4954] (ab109311) at 1/10000 dilution

All lanes:

Human brain lysates at 15 µg

Secondary

All lanes:

Goat Anti-Rabbit IgG (HRP) with minimal cross-reactivity with human IgG at 1/2000 dilution

Predicted band size: 61 kDa

Observed band size: 60 kDa

false

Western blot - Anti-EHD1 antibody [EPR4954] (AB109311)
  • WB

Lab

Western blot - Anti-EHD1 antibody [EPR4954] (AB109311)

All lanes:

Western blot - Anti-EHD1 antibody [EPR4954] (ab109311) at 1/10000 dilution

Lane 1:

HeLa (Human cervix adenocarcinoma epithelial cell) whole cell lysates at 15 µg

Lane 2:

Mouse brain lysates at 15 µg

Lane 3:

Rat brain lysates at 15 µg

Secondary

All lanes:

Western blot - Goat Anti-Rabbit IgG H&L (HRP) (<a href='/products/secondary-antibodies/goat-rabbit-igg-h-l-hrp-ab97051'>ab97051</a>) at 1/20000 dilution

Predicted band size: 61 kDa

Observed band size: 60 kDa

false

不同偶联物与剂型 (1)

  • Carrier free

    Anti-EHD1 antibody [EPR4954] - BSA and Azide free

关键信息

宿主种属

Rabbit

克隆

Monoclonal

克隆号

EPR4954

亚型

IgG

不含载体蛋白

No

反应种属

Mouse, Rat, Human

应用

IHC-P, IP, WB

applications

免疫原

The exact immunogen used to generate this antibody is proprietary information.

反应性数据

{ "title": "Reactivity Data", "filters": { "stats": ["", "Species", "Dilution Info", "Notes"], "tabs": { "all-applications": {"fullname" : "All Applications", "shortname": "All Applications"}, "IHCP" : {"fullname" : "Immunohistochemistry (Formalin/PFA-fixed paraffin-embedded sections)", "shortname":"IHC-P"}, "IP" : {"fullname" : "Immunoprecipitation", "shortname":"IP"}, "WB" : {"fullname" : "Western blot", "shortname":"WB"} }, "product-promise": { "all": "all", "testedAndGuaranteed": "tested", "guaranteed": "expected", "predicted": "predicted", "notRecommended": "not-recommended" } }, "values": { "Human": { "IHCP-species-checked": "testedAndGuaranteed", "IHCP-species-dilution-info": "", "IHCP-species-notes": "<p>(heat to 98°C, allow to cool for 10-20 minutes)</p><p>1:120 in human tissues / 1:1600 in mouse and rat tissues</p>", "IP-species-checked": "testedAndGuaranteed", "IP-species-dilution-info": "1/10 - 1/100", "IP-species-notes": "<p></p>", "WB-species-checked": "testedAndGuaranteed", "WB-species-dilution-info": "1/1000 - 1/10000", "WB-species-notes": "<p></p>" }, "Mouse": { "IHCP-species-checked": "testedAndGuaranteed", "IHCP-species-dilution-info": "", "IHCP-species-notes": "<p>(heat to 98°C, allow to cool for 10-20 minutes)</p><p>1:120 in human tissues / 1:1600 in mouse and rat tissues</p>", "IP-species-checked": "guaranteed", "IP-species-dilution-info": "", "IP-species-notes": "", "WB-species-checked": "guaranteed", "WB-species-dilution-info": "", "WB-species-notes": "" }, "Rat": { "IHCP-species-checked": "testedAndGuaranteed", "IHCP-species-dilution-info": "", "IHCP-species-notes": "<p>(heat to 98°C, allow to cool for 10-20 minutes)</p><p>1:120 in human tissues / 1:1600 in mouse and rat tissues</p>", "IP-species-checked": "guaranteed", "IP-species-dilution-info": "", "IP-species-notes": "", "WB-species-checked": "guaranteed", "WB-species-dilution-info": "", "WB-species-notes": "" } } }

产品详情

Patented technology
Our RabMAb® technology is a patented hybridoma-based technology for making rabbit monoclonal antibodies. For details on our patents, please refer to RabMAb® patents.

What are the advantages of a recombinant monoclonal antibody?
This product is a recombinant monoclonal antibody, which offers several advantages including:

  • - High batch-to-batch consistency and reproducibility
  • - Improved sensitivity and specificity
  • - Long-term security of supply
  • - Animal-free batch production

For more information, read more on recombinant antibodies.

性能和储存信息

形式
Liquid
纯化工艺
Affinity purification Protein A
存储溶液
pH: 7.2 - 7.4 Preservative: 0.01% Sodium azide Constituents: PBS, 40% Glycerol (glycerin, glycerine), 0.05% BSA
运输条件
Blue Ice
推荐的短期储存时间
1-2 weeks
推荐的短期储存条件
+4°C
推荐的长期储存条件
-20°C
分装信息
Upon delivery aliquot
储存信息
Stable for 12 months at -20°C

补充信息

This supplementary information is collated from multiple sources and compiled automatically.

EHD1 also known as Eps15 homology domain-containing protein 1 or EH domain-containing protein 1 is an important component in the process of endocytic recycling. EHD1 belongs to the C-terminal EHD protein family and it has a molecular mass of approximately 61 kDa. Expression of EHD1 occurs in various tissues with significant levels in the brain heart and skeletal muscle. As a member of this family EHD1 plays an authoritative role in membrane trafficking specifically in the cycling of endosomes back to the plasma membrane.
Biological function summary

In cellular transport and organization EHD1 regulates the recycling and sorting of endocytic vesicles. It functions in concert with other partners including Rab proteins and syndapin forming a complex that promotes the tubulation and fission of recycling carriers. This involvement is fundamental for maintaining cell surface receptor levels and proper cell signaling. EHD1's role is necessary to ensure cellular homeostasis and receptor-mediated processes.

Pathways

EHD1 plays an influential role in intracellular trafficking pathways particularly the endocytic recycling pathway and the trafficking of GLUT4 in adipocytes and muscle cells. In collaboration with proteins such as Rab11 and SNX5 it supports the movement of recycled membrane proteins and receptors back to the cell surface. In the GLUT4 pathway EHD1 assists in glucose uptake by facilitating the correct localization of glucose transporters on the plasma membrane which is critical for maintaining glucose homeostasis.

EHD1's dysfunction has been linked to neurodegenerative diseases and cancer. Abnormal EHD1 activity can impact neuronal signaling pathways contributing to conditions such as Alzheimer's disease. The alteration of its function can also promote disrupted recycling of growth factor receptors therefore potentially contributing to oncogenic processes. EHD1’s interactions with proteins like Rab11 and SNX5 in these contexts highlight its involvement in maintaining cellular integrity and normal function.

产品实验方案

For this product, it's our understanding that no specific protocols are required. You can visit:

靶点信息

ATP- and membrane-binding protein that controls membrane reorganization/tubulation upon ATP hydrolysis. In vitro causes vesiculation of endocytic membranes (PubMed : 24019528). Acts in early endocytic membrane fusion and membrane trafficking of recycling endosomes (PubMed : 15020713, PubMed : 17233914, PubMed : 20801876). Recruited to endosomal membranes upon nerve growth factor stimulation, indirectly regulates neurite outgrowth (By similarity). Plays a role in myoblast fusion (By similarity). Involved in the unidirectional retrograde dendritic transport of endocytosed BACE1 and in efficient sorting of BACE1 to axons implicating a function in neuronal APP processing (By similarity). Plays a role in the formation of the ciliary vesicle (CV), an early step in cilium biogenesis (PubMed : 31615969). Proposed to be required for the fusion of distal appendage vesicles (DAVs) to form the CV by recruiting SNARE complex component SNAP29. Is required for recruitment of transition zone proteins CEP290, RPGRIP1L, TMEM67 and B9D2, and of IFT20 following DAV reorganization before Rab8-dependent ciliary membrane extension. Required for the loss of CCP110 form the mother centriole essential for the maturation of the basal body during ciliogenesis (PubMed : 25686250).
See full target information EHD1

文献 (26)

Recent publications for all applications. Explore the full list and refine your search

Cell reports 43:114955 PubMed39520683

2024

Rab11-Rab8 cascade dynamics in primary cilia and membrane tubules.

Applications

Unspecified application

Species

Unspecified reactive species

Ipsita Saha,Christine Insinna,Christopher J Westlake

Frontiers in cell and developmental biology 11:1240558 PubMed37900275

2023

A missense mutation in associated with defective spermatogenesis and male infertility.

Applications

Unspecified application

Species

Unspecified reactive species

Katrin Meindl,Naomi Issler,Sara Afonso,Alberto Cebrian-Serrano,Karin Müller,Christina Sterner,Helga Othmen,Ines Tegtmeier,Ralph Witzgall,Enriko Klootwijk,Benjamin Davies,Robert Kleta,Richard Warth

Communications biology 6:758 PubMed37474760

2023

EHD1-dependent traffic of IGF-1 receptor to the cell surface is essential for Ewing sarcoma tumorigenesis and metastasis.

Applications

Unspecified application

Species

Unspecified reactive species

Sukanya Chakraborty,Aaqib M Bhat,Insha Mushtaq,Haitao Luan,Achyuth Kalluchi,Sameer Mirza,Matthew D Storck,Nagendra Chaturvedi,Jose Antonio Lopez-Guerrero,Antonio Llombart-Bosch,Isidro Machado,Katia Scotlandi,Jane L Meza,Gargi Ghosal,Donald W Coulter,M Jordan Rowley,Vimla Band,Bhopal C Mohapatra,Hamid Band

EMBO reports 24:e56317 PubMed37074924

2023

EHD1 promotes CP110 ubiquitination by centriolar satellite delivery of HERC2 to the mother centriole.

Applications

Unspecified application

Species

Unspecified reactive species

Shuwei Xie,Naava Naslavsky,Steve Caplan

Science advances 9:eadd2671 PubMed36867706

2023

CREB3L2-ATF4 heterodimerization defines a transcriptional hub of Alzheimer's disease gene expression linked to neuropathology.

Applications

Unspecified application

Species

Unspecified reactive species

Cláudio Gouveia Roque,Kyung Min Chung,Ethan P McCurdy,Radhika Jagannathan,Lisa K Randolph,Krystal Herline-Killian,Jimena Baleriola,Ulrich Hengst

Frontiers in cell and developmental biology 11:1113656 PubMed36776558

2023

A targeted multi-proteomics approach generates a blueprint of the ciliary ubiquitinome.

Applications

Unspecified application

Species

Unspecified reactive species

Mariam G Aslanyan,Cenna Doornbos,Gaurav D Diwan,Zeinab Anvarian,Tina Beyer,Katrin Junger,Sylvia E C van Beersum,Robert B Russell,Marius Ueffing,Alexander Ludwig,Karsten Boldt,Lotte B Pedersen,Ronald Roepman

Traffic (Copenhagen, Denmark) 23:360-373 PubMed35510564

2022

Differential requirements for the Eps15 homology domain proteins EHD4 and EHD2 in the regulation of mammalian ciliogenesis.

Applications

Unspecified application

Species

Unspecified reactive species

Tyler Jones,Naava Naslavsky,Steve Caplan

PloS one 15:e0239657 PubMed32966336

2020

Eps15 Homology Domain Protein 4 (EHD4) is required for Eps15 Homology Domain Protein 1 (EHD1)-mediated endosomal recruitment and fission.

Applications

Unspecified application

Species

Unspecified reactive species

Tyler Jones,Naava Naslavsky,Steve Caplan

Molecular and cellular biology 40: PubMed31932478

2020

EHD1 and RUSC2 Control Basal Epidermal Growth Factor Receptor Cell Surface Expression and Recycling.

Applications

Unspecified application

Species

Unspecified reactive species

Eric C Tom,Insha Mushtaq,Bhopal C Mohapatra,Haitao Luan,Aaqib M Bhat,Neha Zutshi,Sukanya Chakraborty,Namista Islam,Priyanka Arya,Timothy A Bielecki,Fany M Iseka,Sohinee Bhattacharyya,Luke R Cypher,Benjamin T Goetz,Simarjeet K Negi,Matthew D Storck,Sandeep Rana,Angelika Barnekow,Pankaj K Singh,Guoguang Ying,Chittibabu Guda,Amarnath Natarajan,Vimla Band,Hamid Band

The Journal of biological chemistry 295:3837-3850 PubMed32041776

2020

Sorting nexin 17 (SNX17) links endosomal sorting to Eps15 homology domain protein 1 (EHD1)-mediated fission machinery.

Applications

Unspecified application

Species

Unspecified reactive species

Kanika Dhawan,Naava Naslavsky,Steve Caplan
View all publications

Abcam Product Promise

我们致力于为您的研究提供高质量的试剂,为您科研的每一步提供支持。若我们的产品未能达到预期性能,我们向您提供 Abcam Product Promise 保障。
详情请参阅我们的条款与条件。

Please note: All products are 'FOR RESEARCH USE ONLY. NOT FOR USE IN DIAGNOSTIC OR THERAPEUTIC PROCEDURES'.

For licensing inquiries, please contact partnerships@abcam.com