JavaScript is disabled in your browser. Please enable JavaScript to view this website.
AB223499

Anti-EGFR (phospho Y1068)抗体[SP353]

Anti-EGFR (phospho Y1068) antibody [SP353]

Be the first to review this product! Submit a review

|

(2 Publications)

Rabbit Recombinant Monoclonal EGFR phospho Y1068 antibody. Suitable for IHC-P, Flow Cyt, WB, ICC/IF and reacts with Human samples. Cited in 2 publications.

查看别名

ERBB, ERBB1, HER1, EGFR, Epidermal growth factor receptor, Proto-oncogene c-ErbB-1, Receptor tyrosine-protein kinase erbB-1

6 Images
Immunohistochemistry (Formalin/PFA-fixed paraffin-embedded sections) - Anti-EGFR (phospho Y1068) antibody [SP353] (AB223499)
  • IHC-P

Supplier Data

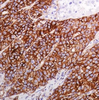
Immunohistochemistry (Formalin/PFA-fixed paraffin-embedded sections) - Anti-EGFR (phospho Y1068) antibody [SP353] (AB223499)

PFA-fixed, paraffin-embedded human lung cancer tissue stained for EGFR using ab223499 at 1/100 dilution in immunohistochemical analysis.

Immunocytochemistry/ Immunofluorescence - Anti-EGFR (phospho Y1068) antibody [SP353] (AB223499)
  • ICC/IF

Unknown

Immunocytochemistry/ Immunofluorescence - Anti-EGFR (phospho Y1068) antibody [SP353] (AB223499)

Immunocytochemistry/ Immunofluorescence analysis of A431 (human epidermoid carcinoma epithelial cell) cells labeling EGFR with purified ab223499 at 1 : 100 (4.3 µg/ml). Cells were fixed in 4% paraformaldehyde and permeabilized with 0.1% Triton X-100. Cells were counterstained with ab195889 Anti-alpha Tubulin antibody [DM1A] - Microtubule Marker (Alexa Fluor® 594) 1 : 200 (2.5 µg/ml). Goat anti rabbit IgG (Alexa Fluor® 488, ab150077) was used as the secondary antibody at 1 : 1000 (2 µg/ml) dilution. DAPI nuclear counterstain. PBS instead of the primary antibody was used as the secondary antibody only control.

Immunohistochemistry (Formalin/PFA-fixed paraffin-embedded sections) - Anti-EGFR (phospho Y1068) antibody [SP353] (AB223499)
  • IHC-P

Supplier Data

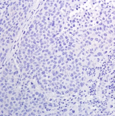
Immunohistochemistry (Formalin/PFA-fixed paraffin-embedded sections) - Anti-EGFR (phospho Y1068) antibody [SP353] (AB223499)

PFA-fixed paraffin-embedded human lung squamous cell carcinoma tissue stained for EGFR using ab223499 at 1/100 dilution in immunohistochemical analysis.

Flow Cytometry - Anti-EGFR (phospho Y1068) antibody [SP353] (AB223499)
  • Flow Cyt

Supplier Data

Flow Cytometry - Anti-EGFR (phospho Y1068) antibody [SP353] (AB223499)

Flow cytometric analysis of ab223499 in A431 (human epidermoid carcinoma cell line) + EGF cells (green) at 1/400 dilution compared to negative control of rabbit IgG (blue).

Flow Cytometry - Anti-EGFR (phospho Y1068) antibody [SP353] (AB223499)
  • Flow Cyt

Unknown

Flow Cytometry - Anti-EGFR (phospho Y1068) antibody [SP353] (AB223499)

Flow Cytometry analysis of A431 cells treated with 100ng/ml EGF for 10mins cells labeling EGFR with purified ab223499 at 1 : 4200 dilution (0.10 µg/ml) - Red. Cells were fixed with 4% paraformaldehyde . A Goat anti rabbit IgG (Alexa Fluor® 488, ab150081) secondary antibody was used at 1 : 2000 dilution. Isotype control - Rabbit monoclonal IgG (ab172730) - Black. Unlabeled control - Blue. Untreated cells - Green

Western blot - Anti-EGFR (phospho Y1068) antibody [SP353] (AB223499)
  • WB

Supplier Data

Western blot - Anti-EGFR (phospho Y1068) antibody [SP353] (AB223499)

All lanes:

Western blot - Anti-EGFR (phospho Y1068) antibody [SP353] (ab223499) at 1/400 dilution

Lane 1:

A431 (human epidermoid carcinoma cell line) + EGF cell lysate

Lane 2:

A431 (human epidermoid carcinoma cell line) cell lysate

Predicted band size: 134 kDa

false

不同偶联物与剂型 (1)

  • Carrier free

    Anti-EGFR (phospho Y1068) antibody [SP353] - BSA and Azide free

关键信息

宿主种属

Rabbit

克隆

Monoclonal

克隆号

SP353

亚型

IgG

不含载体蛋白

No

反应种属

Human

应用

WB, Flow Cyt, IHC-P, ICC/IF

applications

免疫原

The exact immunogen used to generate this antibody is proprietary information.

反应性数据

{ "title": "Reactivity Data", "filters": { "stats": ["", "Species", "Dilution Info", "Notes"], "tabs": { "all-applications": {"fullname" : "All Applications", "shortname": "All Applications"}, "IHCP" : {"fullname" : "Immunohistochemistry (Formalin/PFA-fixed paraffin-embedded sections)", "shortname":"IHC-P"}, "FlowCyt" : {"fullname" : "Flow Cytometry", "shortname":"Flow Cyt"}, "WB" : {"fullname" : "Western blot", "shortname":"WB"}, "ICCIF" : {"fullname" : "Immunocytochemistry/ Immunofluorescence", "shortname":"ICC/IF"} }, "product-promise": { "all": "all", "testedAndGuaranteed": "tested", "guaranteed": "expected", "predicted": "predicted", "notRecommended": "not-recommended" } }, "values": { "Human": { "IHCP-species-checked": "testedAndGuaranteed", "IHCP-species-dilution-info": "1/100", "IHCP-species-notes": "<p></p> Perform heat-mediated antigen retrieval before commencing with IHC staining protocol.", "FlowCyt-species-checked": "testedAndGuaranteed", "FlowCyt-species-dilution-info": "1/400", "FlowCyt-species-notes": "<p></p>", "WB-species-checked": "testedAndGuaranteed", "WB-species-dilution-info": "1/400", "WB-species-notes": "<p></p>", "ICCIF-species-checked": "testedAndGuaranteed", "ICCIF-species-dilution-info": "", "ICCIF-species-notes": "<p></p>" } } }

性能和储存信息

形式
Liquid
纯化工艺
Affinity purification Protein A/G
存储溶液
pH: 7.6 Preservative: 0.1% Sodium azide Constituents: PBS, 1% BSA
运输条件
Blue Ice
推荐的短期储存时间
1-2 weeks
推荐的短期储存条件
+4°C
推荐的长期储存条件
-20°C
分装信息
Upon delivery aliquot
储存信息
Avoid freeze / thaw cycle

补充信息

This supplementary information is collated from multiple sources and compiled automatically.

EGFR or Epidermal Growth Factor Receptor is a transmembrane glycoprotein that acts as a receptor for members of the epidermal growth factor family. Known alternatively as ErbB1 or HER1 this receptor has an approximate molecular weight of 170 kDa. EGFR is expressed in various cell types notably on epithelial cells and can influence multiple cellular processes through its kinase activity. It participates in the regulation of cell growth multiplication and survival by activating its kinase domain upon ligand binding.
Biological function summary

The EGFR protein plays an important role in cellular communication and signaling processes. EGFR pairs with other receptor family members to form active dimers or even higher-order complexes which in turn initiate intracellular signaling cascades. Through these complexes EGFR influences many processes including cell differentiation and repair. This function of EGFR makes it an integral part of mammalian biology affecting how cells respond to their environment by mediating changes in gene expression.

Pathways

EGFR is a central player in the MAPK and PI3K/Akt signaling pathways. Alongside other protein partners like KRAS and PI3 kinase it contributes to transmitting signals from the cell surface to the nucleus affecting gene transcription and cell behavior. These pathways are important for normal cell growth and division and aberrations in these pathways can lead to excessive or insufficient cell proliferation.

EGFR is pertinent to cancer biology including non-small cell lung cancer and glioblastoma where mutations or overexpression of the receptor frequently occur. It connects to proteins such as PTEN and BRAF which influence tumor progression and response to targeted therapies. EGFR's involvement in these disorders highlights its significance as a therapeutic target since it can be manipulated to alter disease progression.

产品实验方案

For this product, it's our understanding that no specific protocols are required. You can visit:

靶点信息

Receptor tyrosine kinase binding ligands of the EGF family and activating several signaling cascades to convert extracellular cues into appropriate cellular responses (PubMed : 10805725, PubMed : 27153536, PubMed : 2790960, PubMed : 35538033). Known ligands include EGF, TGFA/TGF-alpha, AREG, epigen/EPGN, BTC/betacellulin, epiregulin/EREG and HBEGF/heparin-binding EGF (PubMed : 12297049, PubMed : 15611079, PubMed : 17909029, PubMed : 20837704, PubMed : 27153536, PubMed : 2790960, PubMed : 7679104, PubMed : 8144591, PubMed : 9419975). Ligand binding triggers receptor homo- and/or heterodimerization and autophosphorylation on key cytoplasmic residues. The phosphorylated receptor recruits adapter proteins like GRB2 which in turn activates complex downstream signaling cascades. Activates at least 4 major downstream signaling cascades including the RAS-RAF-MEK-ERK, PI3 kinase-AKT, PLCgamma-PKC and STATs modules (PubMed : 27153536). May also activate the NF-kappa-B signaling cascade (PubMed : 11116146). Also directly phosphorylates other proteins like RGS16, activating its GTPase activity and probably coupling the EGF receptor signaling to the G protein-coupled receptor signaling (PubMed : 11602604). Also phosphorylates MUC1 and increases its interaction with SRC and CTNNB1/beta-catenin (PubMed : 11483589). Positively regulates cell migration via interaction with CCDC88A/GIV which retains EGFR at the cell membrane following ligand stimulation, promoting EGFR signaling which triggers cell migration (PubMed : 20462955). Plays a role in enhancing learning and memory performance (By similarity). Plays a role in mammalian pain signaling (long-lasting hypersensitivity) (By similarity).. Isoform 2 may act as an antagonist of EGF action.. (Microbial infection) Acts as a receptor for hepatitis C virus (HCV) in hepatocytes and facilitates its cell entry. Mediates HCV entry by promoting the formation of the CD81-CLDN1 receptor complexes that are essential for HCV entry and by enhancing membrane fusion of cells expressing HCV envelope glycoproteins.
See full target information EGFR phospho Y1068

其他靶点

MAPK1 phospho T185 + Y187

文献 (2)

Recent publications for all applications. Explore the full list and refine your search

Acta pharmacologica Sinica 45:1287-1304 PubMed38360930

2024

Quantitative systems pharmacology modeling of HER2-positive metastatic breast cancer for translational efficacy evaluation and combination assessment across therapeutic modalities.

Applications

Unspecified application

Species

Unspecified reactive species

Ya-Ting Zhou,Jia-Hui Chu,Shu-Han Zhao,Ge-Li Li,Zi-Yi Fu,Su-Jie Zhang,Xue-Hu Gao,Wen Ma,Kai Shen,Yuan Gao,Wei Li,Yong-Mei Yin,Chen Zhao

Frontiers in oncology 13:1106434 PubMed37081973

2023

Tumor immune microenvironment of cutaneous angiosarcoma with cancer testis antigens and the formation of tertiary lymphoid structures.

Applications

Unspecified application

Species

Unspecified reactive species

Tetsuya Magara,Motoki Nakamura,Yuka Nojiri,Maki Yoshimitsu,Shinji Kano,Hiroshi Kato,Akimichi Morita
View all publications

Abcam Product Promise

我们致力于为您的研究提供高质量的试剂,为您科研的每一步提供支持。若我们的产品未能达到预期性能,我们向您提供 Abcam Product Promise 保障。
详情请参阅我们的条款与条件。

Please note: All products are 'FOR RESEARCH USE ONLY. NOT FOR USE IN DIAGNOSTIC OR THERAPEUTIC PROCEDURES'.

For licensing inquiries, please contact partnerships@abcam.com