JavaScript is disabled in your browser. Please enable JavaScript to view this website.
AB182618

重组Anti-EGFR (phospho Y1068)抗体[EP774Y] - BSA and Azide free

Anti-EGFR (phospho Y1068) antibody [EP774Y] - BSA and Azide free

Be the first to review this product! Submit a review

|

(13 Publications)

Rabbit Recombinant Monoclonal EGFR phospho Y1068 antibody. Carrier free. Suitable for ICC/IF, Dot, WB, Flow Cyt (Intra), IHC-P and reacts with Human, Mouse, Synthetic peptide samples. Cited in 13 publications.

查看别名

ERBB, ERBB1, HER1, EGFR, Epidermal growth factor receptor, Proto-oncogene c-ErbB-1, Receptor tyrosine-protein kinase erbB-1

15 Images
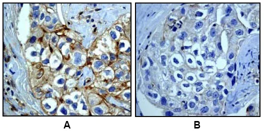
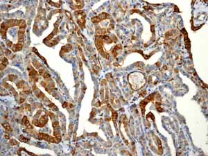
Immunohistochemistry (Formalin/PFA-fixed paraffin-embedded sections) - Anti-EGFR (phospho Y1068) antibody [EP774Y] - BSA and Azide free (AB182618)
  • IHC-P

Unknown

Immunohistochemistry (Formalin/PFA-fixed paraffin-embedded sections) - Anti-EGFR (phospho Y1068) antibody [EP774Y] - BSA and Azide free (AB182618)

Immunohistochemistry (Formalin/PFA-fixed paraffin-embedded sections) analysis of Human breast cancer tissue sections labeling EGFR with purified ab40815 at 1/500 dilution (1.75 μg/ml). Heat mediated antigen retrieval was performed using ab93684 (Tris/EDTA buffer, pH 9.0). ImmunoHistoProbe one step HRP Polymer (ready to use) was used as the secondary antibody. Negative control : PBS instead of the primary antibody. Hematoxylin was used as a counterstain.

This data was developed using the same antibody clone in a different buffer formulation containing PBS, BSA, glycerol, and sodium azide (ab40815).

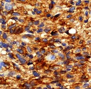
Immunohistochemistry (Formalin/PFA-fixed paraffin-embedded sections) - Anti-EGFR (phospho Y1068) antibody [EP774Y] - BSA and Azide free (AB182618)
  • IHC-P

AbReview55755****

Immunohistochemistry (Formalin/PFA-fixed paraffin-embedded sections) - Anti-EGFR (phospho Y1068) antibody [EP774Y] - BSA and Azide free (AB182618)

Formaldehyde-fixed, paraffin-embedded human prostate cancer tissue stained for EGFR (phospho Y1068) using ab40815 (unpurified) at 1/200 dilution in immunohistochemical analysis, followed by Goat anti Rabbit IgG (Biotin).

This data was developed using the same antibody clone in a different buffer formulation containing PBS, BSA, glycerol, and sodium azide (ab40815).

This image is courtesy of an anonymous Abreview.

Immunocytochemistry/ Immunofluorescence - Anti-EGFR (phospho Y1068) antibody [EP774Y] - BSA and Azide free (AB182618)
  • ICC/IF

Unknown

Immunocytochemistry/ Immunofluorescence - Anti-EGFR (phospho Y1068) antibody [EP774Y] - BSA and Azide free (AB182618)

Clone EP774Y (ab182618) has been successfully conjugated by Abcam. This image was generated using Anti-EGFR (phospho Y1068) antibody [EP774Y] (Alexa Fluor® 488). Please refer to ab205827 for protocol details.

ab205827 staining EGFR (phospho Y1068) in A431 cells +/-EGF (100ng/ml, 5min). The cells were fixed with 4% formaldehyde (10 min), permeabilized with 0.1% Triton X-100 for 5 minutes and then blocked with 1% BSA/10% normal goat serum/0.3M glycine in 0.1% PBS-Tween for 1h.

The cells were then incubated overnight at +4°C with ab205827 at 1 : 100 dilution (shown in green) and ab195889, Mouse monoclonal to alpha Tubulin (Alexa Fluor® 594), at 1/250 dilution (shown in red). Nuclear DNA was labelled with DAPI (shown in blue).

Image was taken with a confocal microscope (Leica-Microsystems, TCS SP8).

Immunocytochemistry/ Immunofluorescence - Anti-EGFR (phospho Y1068) antibody [EP774Y] - BSA and Azide free (AB182618)
  • ICC/IF

Unknown

Immunocytochemistry/ Immunofluorescence - Anti-EGFR (phospho Y1068) antibody [EP774Y] - BSA and Azide free (AB182618)

Immunocytochemistry/ Immunofluorescence analysis of A431 (Human epidermoid carcinoma epithelial cell) treated with 100 ng/ml EGF for 10 minutes cells labeling EGFR with purified ab40815 at 1/500 dilution (1.8 μg/ml). Cells were fixed in 4% Paraformaldehyde and permeabilized with 0.1% tritonX-100. Cells were counterstained with ab195889 Anti-alpha Tubulin antibody [DM1A] - Microtubule Marker (Alexa Fluor® 594) at 1/200 (2.5 μg/ml). Goat anti rabbit IgG (Alexa Fluor® 488, ab150077) was used as the secondary antibody at 1/1000 (2 μg/ml) dilution. DAPI (blue) was used as nuclear counterstain. PBS instead of the primary antibody was used as the secondary antibody only control.

This data was developed using the same antibody clone in a different buffer formulation containing PBS, BSA, glycerol, and sodium azide (ab40815).

Immunocytochemistry/ Immunofluorescence - Anti-EGFR (phospho Y1068) antibody [EP774Y] - BSA and Azide free (AB182618)
  • ICC/IF

Unknown

Immunocytochemistry/ Immunofluorescence - Anti-EGFR (phospho Y1068) antibody [EP774Y] - BSA and Azide free (AB182618)

Clone EP774Y (ab182618) has been successfully conjugated by Abcam. This image was generated using Anti-EGFR (phospho Y1068) antibody [EP774Y] (Alexa Fluor® 647). Please refer to ab205828 for protocol details.

ab205828 staining EGFR (phospho Y1092) in A431 cells +/-EGF (100ng/ml, 5min). The cells were fixed with 4% formaldehyde (10 min), permeabilized with 0.1% Triton X-100 for 5 minutes and then blocked with 1% BSA/10% normal goat serum/0.3M glycine in 0.1% PBS-Tween for 1h.

The cells were then incubated overnight at +4°C with ab205828 at 1 : 100 dilution (shown in red) and ab195887, Mouse monoclonal to alpha Tubulin (Alexa Fluor® 488), at 1/250 dilution (shown in green). Nuclear DNA was labelled with DAPI (shown in blue).

Image was taken with a confocal microscope (Leica-Microsystems, TCS SP8).

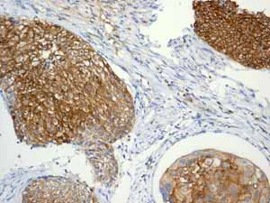
Immunohistochemistry (Formalin/PFA-fixed paraffin-embedded sections) - Anti-EGFR (phospho Y1068) antibody [EP774Y] - BSA and Azide free (AB182618)
  • IHC-P

Unknown

Immunohistochemistry (Formalin/PFA-fixed paraffin-embedded sections) - Anti-EGFR (phospho Y1068) antibody [EP774Y] - BSA and Azide free (AB182618)

ab40815 (unpurified) showing positive staining in Cervical carcinoma tissue.

This data was developed using the same antibody clone in a different buffer formulation containing PBS, BSA, glycerol, and sodium azide (ab40815).

Immunohistochemistry (Formalin/PFA-fixed paraffin-embedded sections) - Anti-EGFR (phospho Y1068) antibody [EP774Y] - BSA and Azide free (AB182618)
  • IHC-P

Unknown

Immunohistochemistry (Formalin/PFA-fixed paraffin-embedded sections) - Anti-EGFR (phospho Y1068) antibody [EP774Y] - BSA and Azide free (AB182618)

ab40815 (unpurified) showing positive staining in Glioma tissue.

This data was developed using the same antibody clone in a different buffer formulation containing PBS, BSA, glycerol, and sodium azide (ab40815).

Flow Cytometry (Intracellular) - Anti-EGFR (phospho Y1068) antibody [EP774Y] - BSA and Azide free (AB182618)
  • Flow Cyt (Intra)

Unknown

Flow Cytometry (Intracellular) - Anti-EGFR (phospho Y1068) antibody [EP774Y] - BSA and Azide free (AB182618)

Intracellular Flow Cytometry analysis of A431 (Human epidermoid carcinoma epithelial cell) treated with 200 ng/ml EGF for 15 minutes cells labeling EGFR with purified ab40815 at 1/800 dilution (1μg/ml) (red). Cells were fixed with 4% Paraformaldehyde and permeabilised with 90% Methanol. A Goat anti rabbit IgG (Alexa Fluor® 488, ab150077) secondary antibody was used at 1/2000. Isotype control - Rabbit monoclonal IgG (Black). Unlabeled control - Cell without incubation with primary antibody and secondary antibody (Blue). Untreated A431 cells (Green).

This data was developed using the same antibody clone in a different buffer formulation containing PBS, BSA, glycerol, and sodium azide (ab40815).

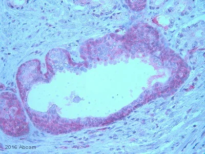
Immunohistochemistry (Formalin/PFA-fixed paraffin-embedded sections) - Anti-EGFR (phospho Y1068) antibody [EP774Y] - BSA and Azide free (AB182618)
  • IHC-P

Unknown

Immunohistochemistry (Formalin/PFA-fixed paraffin-embedded sections) - Anti-EGFR (phospho Y1068) antibody [EP774Y] - BSA and Azide free (AB182618)

ab40815 (unpurified) showing positive staining in Papillary carcinoma of thyroid gland tissue.

This data was developed using the same antibody clone in a different buffer formulation containing PBS, BSA, glycerol, and sodium azide (ab40815).

Immunocytochemistry/ Immunofluorescence - Anti-EGFR (phospho Y1068) antibody [EP774Y] - BSA and Azide free (AB182618)
  • ICC/IF

Unknown

Immunocytochemistry/ Immunofluorescence - Anti-EGFR (phospho Y1068) antibody [EP774Y] - BSA and Azide free (AB182618)

WD-PBEC cultures were infected with RSV clinical isolate BT2a and stained for EGFR (red) and RSV F (RSV F, green) expression.

For WD-PBECs, pediatric bronchial epithelial cells (PBEC) were obtained, via written parental consent, from bronchial brushings of children undergoing elective surgery at the Royal Belfast Hospital for Sick Children, and the procedures were approved by the Office of Research Ethics Committees Northern Ireland. PBEC were expanded in collagen-coated flasks using airway epithelial cell media and supplements (Lonza), then seeded onto transwell inserts (Corning), and then air-liquid interface (ALI) cultures were initiated and maintained 21 days in order to establish well-differentiated (WD)-PBECs. Paraformaldehyde-fixed and permeabilized WD-PBEC were stained for RSV F protein expression and were stained with anti-phospho-(p)-EGFR (Abcam, ab40815). WD-PBEC cultures were infected with RSV subgroup A clinical isolate BT2a. Fluorescent images were obtained with a SP5 confocal DMI 6000 inverted microscope (Leica).

This data was developed using the same antibody clone in a different buffer formulation containing PBS, BSA, glycerol, and sodium azide (ab40815).

Immunocytochemistry/ Immunofluorescence - Anti-EGFR (phospho Y1068) antibody [EP774Y] - BSA and Azide free (AB182618)
  • ICC/IF

Unknown

Immunocytochemistry/ Immunofluorescence - Anti-EGFR (phospho Y1068) antibody [EP774Y] - BSA and Azide free (AB182618)

Immunofluorescent staining of untreated (C) and Phosphatase- treated (D) A431 cells using ab40815 (unpurified).

This data was developed using the same antibody clone in a different buffer formulation containing PBS, BSA, glycerol, and sodium azide (ab40815).

Immunohistochemistry (Formalin/PFA-fixed paraffin-embedded sections) - Anti-EGFR (phospho Y1068) antibody [EP774Y] - BSA and Azide free (AB182618)
  • IHC-P

Unknown

Immunohistochemistry (Formalin/PFA-fixed paraffin-embedded sections) - Anti-EGFR (phospho Y1068) antibody [EP774Y] - BSA and Azide free (AB182618)

Immunohistochemical staining of untreated (A) and Phosphatase- treated (B) paraffin-embedded breast adenocarcinoma tissue using ab40815 (unpurified).

This data was developed using the same antibody clone in a different buffer formulation containing PBS, BSA, glycerol, and sodium azide (ab40815).

Western blot - Anti-EGFR (phospho Y1068) antibody [EP774Y] - BSA and Azide free (AB182618)
  • WB

Supplier Data

Western blot - Anti-EGFR (phospho Y1068) antibody [EP774Y] - BSA and Azide free (AB182618)

***Blocking and dilution buffer : *** 5% NFDM/TBST. This data was developed using the same antibody clone in a different buffer formulation containing PBS, BSA, glycerol, and sodium azide (ab40815).

Lanes 1 - 3:

Western blot - Anti-EGFR (phospho Y1068) antibody [EP774Y] (<a href='/products/primary-antibodies/egfr-phospho-y1068-antibody-ep774y-ab40815'>ab40815</a>) at 1/1000 dilution

Lanes 1 - 3:

Western blot - Anti-EGFR (phospho Y1068) antibody [EP774Y] - BSA and Azide free (ab182618) at 1/1000 dilution

Lane 1:

C2C12 (Mouse myoblasts myoblast) whole cell lysate at 20 µg

Lane 2:

C2C12 (Mouse myoblasts myoblast) treated with 100 ng/ml EGF for 24 hours whole cell lysate at 20 µg

Lane 3:

C2C12 (Mouse myoblasts myoblast) treated with 100 ng/ml EGF for 24hours whole cell lysate, then the membrane was incubated with phosphatase at 20 µg

Secondary

All lanes:

Western blot - Goat Anti-Rabbit IgG H&L (HRP) (<a href='/products/secondary-antibodies/goat-rabbit-igg-h-l-hrp-ab97051'>ab97051</a>) at 1/20000 dilution

false

Exposure time: 30s

OI-RD Scanning - Anti-EGFR (phospho Y1068) antibody [EP774Y] - BSA and Azide free (AB182618)
  • OI-RD Scanning

Unknown

OI-RD Scanning - Anti-EGFR (phospho Y1068) antibody [EP774Y] - BSA and Azide free (AB182618)

We have systematically measured KD (the equilibrium dissociation constant between the antibody and its antigen), of more than 840 recombinant antibodies to assess not only their individual KD values but also to see the average affinity of antibody. Based on the comparison with published literature values for mouse monoclonal antibodies, Recombinant antibodies appear to be on average 1-2 order of magnitude higher affinity.

Dot Blot - Anti-EGFR (phospho Y1068) antibody [EP774Y] - BSA and Azide free (AB182618)
  • Dot

Unknown

Dot Blot - Anti-EGFR (phospho Y1068) antibody [EP774Y] - BSA and Azide free (AB182618)

Dot blot analysis of EGFR (pY1068) peptide (Lane 1), SMAD5 (unmodified) peptide labelling EGFR (pY1068) with ab40815 (unpurified) at a dilution of 1/1000. Peroxidase conjugated goat anti-rabbit IgG (H+L) was used as the secondary antibody at a dilution of 1/2500.

Blocking and dilution buffer : 5% NFDM/TBST.

Exposure time : 3 minutes.

This data was developed using the same antibody clone in a different buffer formulation containing PBS, BSA, glycerol, and sodium azide (ab40815).

不同偶联物与剂型 (4)

  • Unconjugated

    Anti-EGFR (phospho Y1068) antibody [EP774Y]

  • 519 Alexa Fluor® 488

    Alexa Fluor® 488 Anti-EGFR (phospho Y1068) antibody [EP774Y]

  • 665 Alexa Fluor® 647

    Alexa Fluor® 647 Anti-EGFR (phospho Y1068) antibody [EP774Y]

  • 578 PE

    PE Anti-EGFR (phospho Y1068) antibody [EP774Y]

关键信息

宿主种属

Rabbit

克隆

Monoclonal

克隆号

EP774Y

亚型

IgG

不含载体蛋白

Yes

反应种属

Mouse, Human

应用

Flow Cyt (Intra), ICC/IF, Dot, WB, IHC-P

applications

免疫原

The exact immunogen used to generate this antibody is proprietary information.

特异性

Recognises EGFR phosphorylated on Tyrosine 1068 of the mature human isoform 1 (corresponding to Y1092 from the precursor form P00533-1/p170)

The mouse recommendation is based on the WB results. We do not guarantee IHC-P for mouse.

反应性数据

{ "title": "Reactivity Data", "filters": { "stats": ["", "Species", "Dilution Info", "Notes"], "tabs": { "all-applications": {"fullname" : "All Applications", "shortname": "All Applications"}, "ICCIF" : {"fullname" : "Immunocytochemistry/ Immunofluorescence", "shortname":"ICC/IF"}, "Dot" : {"fullname" : "Dot Blot", "shortname":"Dot"}, "WB" : {"fullname" : "Western blot", "shortname":"WB"}, "FlowCytIntra" : {"fullname" : "Flow Cytometry (Intracellular)", "shortname":"Flow Cyt (Intra)"}, "IHCP" : {"fullname" : "Immunohistochemistry (Formalin/PFA-fixed paraffin-embedded sections)", "shortname":"IHC-P"} }, "product-promise": { "all": "all", "testedAndGuaranteed": "tested", "guaranteed": "expected", "predicted": "predicted", "notRecommended": "not-recommended" } }, "values": { "Human": { "ICCIF-species-checked": "testedAndGuaranteed", "ICCIF-species-dilution-info": "", "ICCIF-species-notes": "<p></p>", "Dot-species-checked": "guaranteed", "Dot-species-dilution-info": "", "Dot-species-notes": "", "WB-species-checked": "testedAndGuaranteed", "WB-species-dilution-info": "", "WB-species-notes": "<p>Can be blocked with EGFR (phospho Y1092) peptide (<a href='/products/unavailable/egfr-phospho-y1068-peptide-ab190788'>ab190788</a>).</p>", "FlowCytIntra-species-checked": "testedAndGuaranteed", "FlowCytIntra-species-dilution-info": "", "FlowCytIntra-species-notes": "<p></p>", "IHCP-species-checked": "testedAndGuaranteed", "IHCP-species-dilution-info": "", "IHCP-species-notes": "<p>The mouse recommendation is based on the WB results. We do not guarantee IHC-P for mouse.</p>" }, "Mouse": { "ICCIF-species-checked": "guaranteed", "ICCIF-species-dilution-info": "", "ICCIF-species-notes": "", "Dot-species-checked": "guaranteed", "Dot-species-dilution-info": "", "Dot-species-notes": "", "WB-species-checked": "testedAndGuaranteed", "WB-species-dilution-info": "", "WB-species-notes": "<p>Can be blocked with EGFR (phospho Y1092) peptide (<a href='/products/unavailable/egfr-phospho-y1068-peptide-ab190788'>ab190788</a>).</p>", "FlowCytIntra-species-checked": "guaranteed", "FlowCytIntra-species-dilution-info": "", "FlowCytIntra-species-notes": "", "IHCP-species-checked": "guaranteed", "IHCP-species-dilution-info": "", "IHCP-species-notes": "" }, "Synthetic peptide": { "ICCIF-species-checked": "notRecommended", "ICCIF-species-dilution-info": "", "ICCIF-species-notes": "", "Dot-species-checked": "testedAndGuaranteed", "Dot-species-dilution-info": "", "Dot-species-notes": "<p></p>", "WB-species-checked": "notRecommended", "WB-species-dilution-info": "", "WB-species-notes": "", "FlowCytIntra-species-checked": "notRecommended", "FlowCytIntra-species-dilution-info": "", "FlowCytIntra-species-notes": "", "IHCP-species-checked": "notRecommended", "IHCP-species-dilution-info": "", "IHCP-species-notes": "" } } }

您可能对以下产品感兴趣:

AB126439

Human EGFR (pY1068) + total EGFR ELISA Kit

0

0 Reviews

查看产品
为什么推荐这个?

我们推荐这个产品,因为它经常被用于相同的实验或相关的研究。

我们建议您务必查阅产品说明书,以确认其是否符合您的实验需求;若有疑问,也可联系我们的技术团队获取协助。

产品详情

性能和储存信息

形式
Liquid
纯化工艺
Affinity purification Protein A
存储溶液
pH: 7.2 Constituents: PBS
运输条件
Blue Ice
推荐的短期储存条件
+4°C
推荐的长期储存条件
+4°C
储存信息
Do Not Freeze

补充信息

This supplementary information is collated from multiple sources and compiled automatically.

EGFR or Epidermal Growth Factor Receptor is a transmembrane glycoprotein that acts as a receptor for members of the epidermal growth factor family. Known alternatively as ErbB1 or HER1 this receptor has an approximate molecular weight of 170 kDa. EGFR is expressed in various cell types notably on epithelial cells and can influence multiple cellular processes through its kinase activity. It participates in the regulation of cell growth multiplication and survival by activating its kinase domain upon ligand binding.
Biological function summary

The EGFR protein plays an important role in cellular communication and signaling processes. EGFR pairs with other receptor family members to form active dimers or even higher-order complexes which in turn initiate intracellular signaling cascades. Through these complexes EGFR influences many processes including cell differentiation and repair. This function of EGFR makes it an integral part of mammalian biology affecting how cells respond to their environment by mediating changes in gene expression.

Pathways

EGFR is a central player in the MAPK and PI3K/Akt signaling pathways. Alongside other protein partners like KRAS and PI3 kinase it contributes to transmitting signals from the cell surface to the nucleus affecting gene transcription and cell behavior. These pathways are important for normal cell growth and division and aberrations in these pathways can lead to excessive or insufficient cell proliferation.

EGFR is pertinent to cancer biology including non-small cell lung cancer and glioblastoma where mutations or overexpression of the receptor frequently occur. It connects to proteins such as PTEN and BRAF which influence tumor progression and response to targeted therapies. EGFR's involvement in these disorders highlights its significance as a therapeutic target since it can be manipulated to alter disease progression.

产品实验方案

For this product, it's our understanding that no specific protocols are required. You can visit:

靶点信息

The protein expressed by the EGFR gene functions as a receptor tyrosine kinase, binding with ligands from the EGF family to activate several signaling cascades that translate extracellular signals into cellular responses. Known ligands include EGF, TGFA/TGF-alpha, AREG, epigen, BTC/betacellulin, epiregulin, and HBEGF. Ligand binding triggers receptor dimerization and autophosphorylation, recruiting adapter proteins like GRB2 and activating complex downstream signaling pathways such as RAS-RAF-MEK-ERK, PI3 kinase-AKT, PLCgamma-PKC, and STATs, and possibly the NF-kappa-B cascade. EGFR also directly phosphorylates proteins like RGS16 and MUC1, influencing various cellular processes including its coupling with G protein-coupled receptor signaling and cell migration through interaction with CCDC88A/GIV. Isoform 2 of EGFR may act as an antagonist to EGF actions. In microbial infection, EGFR also serves as a receptor facilitating hepatitis C virus (HCV) entry into hepatocytes by promoting CD81-CLDN1 receptor complexes and enhancing membrane fusion with HCV envelope glycoproteins. This supplementary information is collated from multiple sources and compiled automatically.
See full target information EGFR phospho Y1068

文献 (13)

Recent publications for all applications. Explore the full list and refine your search

MedComm 4:e237 PubMed37035133

2023

Targeted therapy for cisplatin-resistant lung cancer via aptamer-guided nano-zinc carriers containing USP14 siRNA.

Applications

Unspecified application

Species

Unspecified reactive species

Xinmin Zhao,Xianghua Wu,Huijie Wang,Songtao Lai,Jialei Wang

Neurotoxicity research 40:1057-1069 PubMed35699893

2022

Geniposide Alleviates Neuropathic Pain in CCI Rats by Inhibiting the EGFR/PI3K/AKT Pathway And Ca Channels.

Applications

Unspecified application

Species

Unspecified reactive species

Dan-Dan Zhang,Qiao-Qiao Chen,Li Yao

American journal of physiology. Heart and circulatory physiology 320:H772-H786 PubMed33337962

2020

TNF-α-induced sympathetic excitation requires EGFR and ERK1/2 signaling in cardiovascular regulatory regions of the forebrain.

Applications

Unspecified application

Species

Unspecified reactive species

Shun-Guang Wei,Yang Yu,Robert B Felder

American journal of translational research 12:2295-2304 PubMed32509220

2020

Ellagic acid inhibits cell proliferation, migration, and invasion in melanoma via EGFR pathway.

Applications

Unspecified application

Species

Unspecified reactive species

Fan Wang,Jiangyan Chen,Debing Xiang,Xiaojuan Lian,Chunrong Wu,Jin Quan

The Journal of pharmacology and experimental therapeutics 368:401-413 PubMed30591531

2018

Inhibition of COX-2 and EGFR by Melafolone Improves Anti-PD-1 Therapy through Vascular Normalization and PD-L1 Downregulation in Lung Cancer.

Applications

Unspecified application

Species

Unspecified reactive species

Honglin Tang,Yanzhuo Liu,Chenlong Wang,Hao Zheng,Yaxin Chen,Wen Liu,Xuewei Chen,Jing Zhang,Honglei Chen,Yuqing Yang,Jing Yang

Cancer discovery 3:168-81 PubMed23229345

2012

Noncovalent wild-type-sparing inhibitors of EGFR T790M.

Applications

Unspecified application

Species

Unspecified reactive species

Ho-June Lee,Gabriele Schaefer,Timothy P Heffron,Lily Shao,Xiaofen Ye,Steve Sideris,Shiva Malek,Emily Chan,Mark Merchant,Hank La,Savita Ubhayakar,Robert L Yauch,Valentina Pirazzoli,Katerina Politi,Jeff Settleman

Nature cell biology 14:401-8 PubMed22388892

2012

Lrig1 controls intestinal stem-cell homeostasis by negative regulation of ErbB signalling.

Applications

Unspecified application

Species

Unspecified reactive species

Vivian W Y Wong,Daniel E Stange,Mahalia E Page,Simon Buczacki,Agnieszka Wabik,Satoshi Itami,Marc van de Wetering,Richard Poulsom,Nicholas A Wright,Matthew W B Trotter,Fiona M Watt,Doug J Winton,Hans Clevers,Kim B Jensen

Clinical cancer research : an official journal of 17:4367-77 PubMed21562037

2011

EGFR signaling regulates tumor cell migration in craniopharyngiomas.

Applications

IHC-P

Species

Human

Annett Hölsken,Matthias Gebhardt,Michael Buchfelder,Rudolf Fahlbusch,Ingmar Blümcke,Rolf Buslei

Neoplasia (New York, N.Y.) 13:461-71 PubMed21532887

2011

Identification of an exon 4-deletion variant of epidermal growth factor receptor with increased metastasis-promoting capacity.

Applications

Unspecified application

Species

Unspecified reactive species

Hai Wang,Min Zhou,Bizhi Shi,Qingli Zhang,Hua Jiang,Yinghao Sun,Jianhua Liu,Keke Zhou,Ming Yao,Jianren Gu,Shengli Yang,Ying Mao,Zonghai Li

Cancer research 71:2582-9 PubMed21427358

2011

MicroRNA-95 promotes cell proliferation and targets sorting Nexin 1 in human colorectal carcinoma.

Applications

Unspecified application

Species

Unspecified reactive species

Zhaohui Huang,Shenglin Huang,Qifeng Wang,Linhui Liang,Shujuan Ni,Lisha Wang,Weiqi Sheng,Xianghuo He,Xiang Du
View all publications

Abcam Product Promise

我们致力于为您的研究提供高质量的试剂,为您科研的每一步提供支持。若我们的产品未能达到预期性能,我们向您提供 Abcam Product Promise 保障。
详情请参阅我们的条款与条件。

关联产品

Select an associated product type
Alternative Product
Primary Antibodies

AB32578

Anti-EGFR (phospho Y1173) antibody [E124]

primary-antibodies

egfr-phospho-y1173-antibody-e124-ab32578

0

(0 reviews)

Alternative Product
Primary Antibodies

AB76153

Anti-EGFR antibody [EPR39Y]

primary-antibodies

egfr-antibody-epr39y-ab76153

0

(0 reviews)

Alternative Product
Primary Antibodies

AB32430

Anti-EGFR (phospho Y1068) antibody [Y38]

primary-antibodies

egfr-phospho-y1068-antibody-y38-ab32430

0

(0 reviews)

Alternative Product
Primary Antibodies

AB32077

Anti-EGFR antibody [E235]

primary-antibodies

egfr-antibody-e235-ab32077

5

(4 reviews)

Alternative Product
Primary Antibodies

AB32562

Anti-EGFR antibody [E114]

primary-antibodies

egfr-antibody-e114-ab32562

0

(0 reviews)

Alternative Product
Primary Antibodies

AB227737

Anti-EGFR (deleted E746 + L747 + R748 + E749 + A750) antibody [SP111]

primary-antibodies

egfr-deleted-e746-l747-r748-e749-a750-antibody-sp111-ab227737

0

(0 reviews)

Alternative Version
Primary Antibodies

AB205827

Alexa Fluor® 488 Anti-EGFR (phospho Y1068) antibody [EP774Y]

primary-antibodies

alexa-fluor-488-egfr-phospho-y1068-antibody-ep774y-ab205827

5

(1 reviews)

Alternative Version
Primary Antibodies

AB205828

Alexa Fluor® 647 Anti-EGFR (phospho Y1068) antibody [EP774Y]

primary-antibodies

alexa-fluor-647-egfr-phospho-y1068-antibody-ep774y-ab205828

0

(0 reviews)

Alternative Version
Primary Antibodies

AB303574

PE Anti-EGFR (phospho Y1068) antibody [EP774Y]

primary-antibodies

pe-egfr-phospho-y1068-antibody-ep774y-ab303574

0

(0 reviews)

Please note: All products are 'FOR RESEARCH USE ONLY. NOT FOR USE IN DIAGNOSTIC OR THERAPEUTIC PROCEDURES'.

For licensing inquiries, please contact partnerships@abcam.com