JavaScript is disabled in your browser. Please enable JavaScript to view this website.
AB140079

Anti-EGFL6 抗体

Anti-EGFL6 antibody

Be the first to review this product! Submit a review

|

(9 Publications)

Rabbit Polyclonal EGFL6 antibody. Suitable for WB, IHC-P, ICC/IF and reacts with Human samples. Cited in 9 publications. Immunogen corresponding to Recombinant Fragment Protein within Human EGFL6 aa 1-250.

查看别名

MAEG, PP648, UNQ281/PRO320, EGFL6, Epidermal growth factor-like protein 6, EGF-like protein 6, MAM and EGF domains-containing gene protein

2 Images
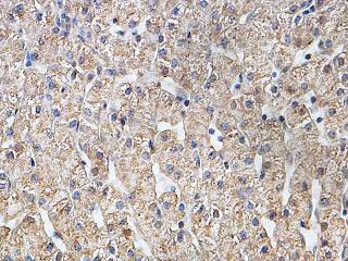
Immunohistochemistry (Formalin/PFA-fixed paraffin-embedded sections) - Anti-EGFL6 antibody (AB140079)
  • IHC-P

Unknown

Immunohistochemistry (Formalin/PFA-fixed paraffin-embedded sections) - Anti-EGFL6 antibody (AB140079)

Immunohistochemical analysis of formalin-fixed, paraffin-embedded, Human fetal liver tissue labelling EGFL6 with ab140079 at 1/100 dilution.

Western blot - Anti-EGFL6 antibody (AB140079)
  • WB

Unknown

Western blot - Anti-EGFL6 antibody (AB140079)

All lanes:

Western blot - Anti-EGFL6 antibody (ab140079) at 1/1000 dilution

All lanes:

Human fetal kidney lysate

Predicted band size: 61 kDa

false

关键信息

宿主种属

Rabbit

克隆

Polyclonal

亚型

IgG

不含载体蛋白

No

反应种属

Human

应用

ICC/IF, IHC-P, WB

applications

免疫原

Recombinant Fragment Protein within Human EGFL6 aa 1-250. The exact immunogen used to generate this antibody is proprietary information.

Q8IUX8

反应性数据

{ "title": "Reactivity Data", "filters": { "stats": ["", "Species", "Dilution Info", "Notes"], "tabs": { "all-applications": {"fullname" : "All Applications", "shortname": "All Applications"}, "WB" : {"fullname" : "Western blot", "shortname":"WB"}, "IHCP" : {"fullname" : "Immunohistochemistry (Formalin/PFA-fixed paraffin-embedded sections)", "shortname":"IHC-P"}, "ICCIF" : {"fullname" : "Immunocytochemistry/ Immunofluorescence", "shortname":"ICC/IF"} }, "product-promise": { "all": "all", "testedAndGuaranteed": "tested", "guaranteed": "expected", "predicted": "predicted", "notRecommended": "not-recommended" } }, "values": { "Human": { "WB-species-checked": "testedAndGuaranteed", "WB-species-dilution-info": "1/1000 - 1/2000", "WB-species-notes": "<p></p>", "IHCP-species-checked": "testedAndGuaranteed", "IHCP-species-dilution-info": "1/100 - 1/500", "IHCP-species-notes": "<p></p>", "ICCIF-species-checked": "guaranteed", "ICCIF-species-dilution-info": "", "ICCIF-species-notes": "<p></p>" }, "Mouse": { "WB-species-checked": "predicted", "WB-species-dilution-info": "", "WB-species-notes": "", "IHCP-species-checked": "predicted", "IHCP-species-dilution-info": "", "IHCP-species-notes": "", "ICCIF-species-checked": "predicted", "ICCIF-species-dilution-info": "", "ICCIF-species-notes": "" }, "Rat": { "WB-species-checked": "predicted", "WB-species-dilution-info": "", "WB-species-notes": "", "IHCP-species-checked": "predicted", "IHCP-species-dilution-info": "", "IHCP-species-notes": "", "ICCIF-species-checked": "predicted", "ICCIF-species-dilution-info": "", "ICCIF-species-notes": "" } } }

性能和储存信息

形式
Lyophilized
复溶
Reconstitute in 200 µL of water
纯化工艺
Affinity purification Immunogen
存储溶液
pH: 7.2 Preservative: 0.02% Sodium azide Constituents: PBS, 1% BSA
运输条件
Blue Ice
推荐的短期储存条件
+4°C
推荐的长期储存条件
-20°C
分装信息
Upon delivery aliquot
储存信息
Avoid freeze / thaw cycle

补充信息

This supplementary information is collated from multiple sources and compiled automatically.

EGFL6 also known as Epidermal Growth Factor-Like Protein 6 or MAEG is a secreted protein that plays a role in the regulation of cell growth. It belongs to the epidermal growth factor (EGF) repeat superfamily and has an approximate mass of 70 kDa. EGFL6 is expressed in various tissues with higher expression noted in fetal tissues particularly the lung and kidney as well as in certain adult tissues like the ovary.
Biological function summary

This protein influences cell proliferation and differentiation. EGFL6 is not a part of a larger protein complex but functions through its interactions with other cellular components. Its activity affects cell behavior which is especially noted during development and tissue regeneration processes. EGFL6 modulates the extracellular environment through binding to receptor tyrosine kinases mediating signaling that promotes cellular motility and survival.

Pathways

EGFL6 integrates into significant pathways such as the PI3K/AKT and MAPK signaling pathways. Through these pathways it maintains cellular processes related to growth and survival by interacting with proteins like AKT1 and MAPK1. These signaling cascades are fundamental in mediating responses to growth factors and adjusting cell fate decisions.

Aberrant expression of EGFL6 associates with conditions such as cancer specifically ovarian cancer and melanoma. In these contexts EGFL6 interplays with proteins like VEGF contributing to tumor growth and angiogenesis. Its role in disease suggests potential as a therapeutic target for interventions designed to modulate cancer progression.

产品实验方案

For this product, it's our understanding that no specific protocols are required. You can visit:

靶点信息

May bind integrin alpha-8/beta-1 and play a role in hair follicle morphogenesis. Promotes matrix assembly (By similarity).
See full target information EGFL6

文献 (9)

Recent publications for all applications. Explore the full list and refine your search

In vivo (Athens, Greece) 38:2455-2463 PubMed39187367

2024

Cytoplasmic Expression of the EGFL6 Protein Is an Independent Prognostic Factor for Shortened Patient Survival in Human Hepatocellular Carcinoma.

Applications

Unspecified application

Species

Unspecified reactive species

Hui-Ting Hsu,Yueh-Min Lin,Ming-Tai Hsing,Kun-Tu Yeh,Jeng-Wei Lu,Shun-Fa Yang

Clinical & experimental metastasis 40:357-371 PubMed37378837

2023

EGFL6 promotes bone metastasis of lung adenocarcinoma by increasing cancer cell malignancy and bone resorption.

Applications

Unspecified application

Species

Unspecified reactive species

Xiaoting Song,Xu Cheng,Xiangang Jin,Shengyu Ruan,Xianquan Xu,Feng Lu,Xinhui Wu,Fangying Lu,Mingxuan Feng,Liwei Zhang,Renshan Ge,Haixiao Chen,Zhenghua Hong,Dun Hong

Theranostics 11:9738-9751 PubMed34815781

2021

Osteoblast-derived EGFL6 couples angiogenesis to osteogenesis during bone repair.

Applications

Unspecified application

Species

Unspecified reactive species

Kai Chen,Shijie Liao,Yicheng Li,Haibo Jiang,Yun Liu,Chao Wang,Vincent Kuek,Jacob Kenny,Boxiang Li,Qian Huang,Jianxin Hong,Yan Huang,Shek Man Chim,Jennifer Tickner,Nathan J Pavlos,Jinmin Zhao,Qian Liu,An Qin,Jiake Xu

Frontiers in oncology 10:1451 PubMed32983976

2020

Knockout of by CRISPR/Cas9 Mediated Inhibition of Tumor Angiogenesis in Ovarian Cancer.

Applications

Unspecified application

Species

Unspecified reactive species

Wenhui Zhu,Chunyan Liu,Tongyi Lu,Yinmei Zhang,Simin Zhang,Qi Chen,Ning Deng

Cell death & disease 11:345 PubMed32393810

2020

miR-6086 inhibits ovarian cancer angiogenesis by downregulating the OC2/VEGFA/EGFL6 axis.

Applications

Unspecified application

Species

Unspecified reactive species

Binhua Wu,Ligang Zhang,Yunfei Yu,Tongyi Lu,Yinmei Zhang,Wenhui Zhu,Qifang Song,Chengding Lv,Jiaying Guo,Yiqiao Tian,Ning Deng

The Kaohsiung journal of medical sciences 35:550-558 PubMed31162822

2019

HMGB1 promotes bone fracture healing through activation of ERK signaling pathway in a rat tibial fracture model.

Applications

Unspecified application

Species

Unspecified reactive species

Ming-Qi Chen,Jing-Jie Luan

Molecular carcinogenesis 58:967-979 PubMed30693973

2019

EGFL6 promotes cell proliferation in colorectal cancer via regulation of the WNT/β-catenin pathway.

Applications

Unspecified application

Species

Unspecified reactive species

Qing-Wei Zhang,Xin-Tian Zhang,Chao-Tao Tang,Xiao-Lu Lin,Zhi-Zheng Ge,Xiao-Bo Li

Cancer medicine 7:6281-6289 PubMed30444069

2018

Elevated EGFL6 modulates cell metastasis and growth via AKT pathway in nasopharyngeal carcinoma.

Applications

Unspecified application

Species

Unspecified reactive species

Ziyu Zhu,Haosheng Ni,Bo You,Si Shi,Ying Shan,Lili Bao,Bingyue Duan,Yiwen You

BMJ open 8:e021385 PubMed29934389

2018

Validation of EGFL6 expression as a prognostic marker in patients with lung adenocarcinoma in Taiwan: a retrospective study.

Applications

Unspecified application

Species

Unspecified reactive species

Chun-Chi Chang,Wen-Wei Sung,Hui-Ting Hsu,Chung-Min Yeh,Chien-Hsun Lee,Ya-Ling Chen,Ta-Chih Liu,Kun-Tu Yeh
View all publications

Abcam Product Promise

我们致力于为您的研究提供高质量的试剂,为您科研的每一步提供支持。若我们的产品未能达到预期性能,我们向您提供 Abcam Product Promise 保障。
详情请参阅我们的条款与条件。

Please note: All products are 'FOR RESEARCH USE ONLY. NOT FOR USE IN DIAGNOSTIC OR THERAPEUTIC PROCEDURES'.

For licensing inquiries, please contact partnerships@abcam.com