JavaScript is disabled in your browser. Please enable JavaScript to view this website.
AB209263

重组Anti-E3 ubiquitin-protein ligase MUL1抗体[EPR20241]

Anti-E3 ubiquitin-protein ligase MUL1 antibody [EPR20241]

5

(2 Reviews)

|

(13 Publications)

Rabbit Recombinant Monoclonal E3 ubiquitin-protein ligase MUL1 antibody. Suitable for IP, WB and reacts with Human samples. Cited in 13 publications.

查看别名

C1orf166, GIDE, MAPL, MULAN, RNF218, MUL1, Mitochondrial ubiquitin ligase activator of NFKB 1, E3 SUMO-protein ligase MUL1, E3 ubiquitin-protein ligase MUL1, Growth inhibition and death E3 ligase, Mitochondrial-anchored protein ligase, Protein Hades, Putative NF-kappa-B-activating protein 266, RING finger protein 218, RING-type E3 ubiquitin transferase NFKB 1

3 Images
Immunoprecipitation - Anti-E3 ubiquitin-protein ligase MUL1 antibody [EPR20241] (AB209263)
  • IP

Supplier Data

Immunoprecipitation - Anti-E3 ubiquitin-protein ligase MUL1 antibody [EPR20241] (AB209263)

E3 ubiquitin-protein ligase MUL1 was immunoprecipitated from 0.35 mg of HeLa (Human epithelial cell line from cervix adenocarcinoma) whole cell lysate with ab209263 at 1/30 dilution.

Western blot was performed from the immunoprecipitate using ab209263 at 1/1000 dilution.

VeriBlot for IP Detection Reagent (HRP) (ab131366), was used for detection at 1/10000 dilution.

Lane 1 : HeLa whole cell lysate, 10 μg (Input).

Lane 2 : ab209263 IP in HeLa whole cell lysate.

Lane 3 : Rabbit monoclonal IgG (ab172730) instead of ab209263 in HeLa whole cell lysate.

Blocking and dilution buffer and concentration : 5% NFDM/TBST.

Exposure time : 3 minutes.

All lanes:

Immunoprecipitation - Anti-E3 ubiquitin-protein ligase MUL1 antibody [EPR20241] (ab209263)

Predicted band size: 40 kDa

Observed band size: 39 kDa

false

Western blot - Anti-E3 ubiquitin-protein ligase MUL1 antibody [EPR20241] (AB209263)
  • WB

Supplier Data

Western blot - Anti-E3 ubiquitin-protein ligase MUL1 antibody [EPR20241] (AB209263)

Blocking/Dilution buffer : 5% NFDM/TBST.

All lanes:

Western blot - Anti-E3 ubiquitin-protein ligase MUL1 antibody [EPR20241] (ab209263) at 1/1000 dilution

All lanes:

A431 (Human epidermoid carcinoma cell line) whole cell lysate at 20 µg

Secondary

All lanes:

Western blot - Goat Anti-Rabbit IgG H&L (HRP) (<a href='/products/secondary-antibodies/goat-rabbit-igg-h-l-hrp-ab97051'>ab97051</a>) at 1/100000 dilution

Predicted band size: 40 kDa

Observed band size: 39 kDa

false

Exposure time: 15s

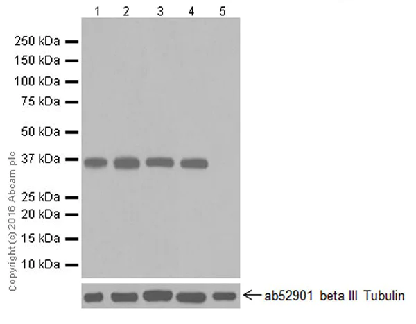
Western blot - Anti-E3 ubiquitin-protein ligase MUL1 antibody [EPR20241] (AB209263)
  • WB

Supplier Data

Western blot - Anti-E3 ubiquitin-protein ligase MUL1 antibody [EPR20241] (AB209263)

Blocking/Dilution buffer : 5% NFDM/TBST.

Negative control : Human thymus (PMID : 18591963).

All lanes:

Western blot - Anti-E3 ubiquitin-protein ligase MUL1 antibody [EPR20241] (ab209263) at 1/1000 dilution

Lane 1:

HEK-293 (Human epithelial cell line from embryonic kidney) whole cell lysate at 20 µg

Lane 2:

HeLa (Human epithelial cell line from cervix adenocarcinoma) whole cell lysate at 20 µg

Lane 3:

PC-3 (Human prostate adenocarcinoma cell line) whole cell lysate at 20 µg

Lane 4:

Human fetal heart tissue lysate at 20 µg

Lane 5:

Human thymus tissue lysate at 20 µg

Secondary

All lanes:

Western blot - Goat Anti-Rabbit IgG H&L (HRP) (<a href='/products/secondary-antibodies/goat-rabbit-igg-h-l-hrp-ab97051'>ab97051</a>) at 1/100000 dilution

Predicted band size: 40 kDa

Observed band size: 39 kDa

false

Exposure time: 15min

不同偶联物与剂型 (1)

  • Carrier free

    Anti-E3 ubiquitin-protein ligase MUL1 antibody [EPR20241] - BSA and Azide free

关键信息

宿主种属

Rabbit

克隆

Monoclonal

克隆号

EPR20241

亚型

IgG

不含载体蛋白

No

反应种属

Human

应用

IP, WB

applications

免疫原

The exact immunogen used to generate this antibody is proprietary information.

反应性数据

{ "title": "Reactivity Data", "filters": { "stats": ["", "Species", "Dilution Info", "Notes"], "tabs": { "all-applications": {"fullname" : "All Applications", "shortname": "All Applications"}, "IP" : {"fullname" : "Immunoprecipitation", "shortname":"IP"}, "WB" : {"fullname" : "Western blot", "shortname":"WB"}, "ICC" : {"fullname" : "Immunocytochemistry", "shortname":"ICC"} }, "product-promise": { "all": "all", "testedAndGuaranteed": "tested", "guaranteed": "expected", "predicted": "predicted", "notRecommended": "not-recommended" } }, "values": { "Human": { "IP-species-checked": "testedAndGuaranteed", "IP-species-dilution-info": "1/30", "IP-species-notes": "<p></p>", "WB-species-checked": "testedAndGuaranteed", "WB-species-dilution-info": "1/1000", "WB-species-notes": "<p></p>", "ICC-species-checked": "notRecommended", "ICC-species-dilution-info": "", "ICC-species-notes": "" }, "Mouse": { "IP-species-checked": "notRecommended", "IP-species-dilution-info": "", "IP-species-notes": "", "WB-species-checked": "notRecommended", "WB-species-dilution-info": "1/1000", "WB-species-notes": "<p></p>", "ICC-species-checked": "notRecommended", "ICC-species-dilution-info": "", "ICC-species-notes": "<p></p>" } } }

产品详情

Patented technology
Our RabMAb® technology is a patented hybridoma-based technology for making rabbit monoclonal antibodies. For details on our patents, please refer to RabMAb® patents.

What are the advantages of a recombinant monoclonal antibody?
This product is a recombinant monoclonal antibody, which offers several advantages including:

  • - High batch-to-batch consistency and reproducibility
  • - Improved sensitivity and specificity
  • - Long-term security of supply
  • - Animal-free batch production

For more information, read more on recombinant antibodies.

性能和储存信息

形式
Liquid
纯化工艺
Affinity purification Protein A
存储溶液
pH: 7.2 - 7.4 Preservative: 0.01% Sodium azide Constituents: PBS, 40% Glycerol (glycerin, glycerine), 0.05% BSA
运输条件
Blue Ice
推荐的短期储存时间
1-2 weeks
推荐的短期储存条件
+4°C
推荐的长期储存条件
-20°C
分装信息
Upon delivery aliquot
储存信息
Avoid freeze / thaw cycle

补充信息

This supplementary information is collated from multiple sources and compiled automatically.

E3 ubiquitin-protein ligase MUL1 also known as MULAN or MAPL is an important enzyme in cellular processes. It possesses a mass of approximately 45 kDa and functions as an E3 ligase which facilitates the transfer of ubiquitin to specific substrate proteins. This tagging mechanism plays a critical role in directing proteins for degradation through the proteasome pathway. MUL1 is expressed in various tissues including the heart brain and skeletal muscle highlighting its broad biological relevance. As a mitochondrial membrane protein MUL1 helps maintain mitochondrial integrity by targeting specific proteins for ubiquitination.
Biological function summary

MUL1 regulates numerous cellular processes such as apoptosis mitophagy and the mitochondrial dynamics by modulating the stability of target proteins. MUL1 operates independently and does not require a specific E2 enzyme for its function. Additionally it participates in cellular homeostasis by mediating the degradation of proteins that impact mitochondrial fusion and fission events. Since MUL1 forms part of the regulatory mechanisms governing cellular adaptation and survival its levels and activity are finely controlled within the cell.

Pathways

MUL1 is actively involved in the mitophagy and DNA damage response pathways. Its role in the mitophagy pathway links MUL1 to PINK1 and PARKIN proteins that are critical for the removal of damaged mitochondria. In the context of the DNA damage response MUL1 functions to reprogram metabolic pathways yielding protection against cellular stress. This activity associates it with proteins like p53 a well-known tumor suppressor anchoring its presence in mechanisms of cellular defense.

MUL1 presents potential connections to neurodegenerative diseases and cancer. In Parkinson's disease dysfunction in MUL1 activity can disrupt mitochondrial quality control especially when interacting with PINK1 and PARKIN aggravating neuronal damage. Moreover alterations in MUL1 expression can influence cancer progression by impacting the p53 pathway therefore affecting cell cycle and apoptosis regulation. These associations reveal the importance of MUL1's activity for cellular health and its potential as a therapeutic target for disease intervention.

产品实验方案

For this product, it's our understanding that no specific protocols are required. You can visit:

靶点信息

Exhibits weak E3 ubiquitin-protein ligase activity (PubMed : 18591963, PubMed : 19407830, PubMed : 22410793). E3 ubiquitin ligases accept ubiquitin from an E2 ubiquitin-conjugating enzyme in the form of a thioester and then directly transfer the ubiquitin to targeted substrates (PubMed : 18591963, PubMed : 19407830, PubMed : 22410793). Can ubiquitinate AKT1 preferentially at 'Lys-284' involving 'Lys-48'-linked polyubiquitination and seems to be involved in regulation of Akt signaling by targeting phosphorylated Akt to proteasomal degradation (PubMed : 22410793). Mediates polyubiquitination of cytoplasmic TP53 at 'Lys-24' which targets TP53 for proteasomal degradation, thus reducing TP53 levels in the cytoplasm and mitochondrion (PubMed : 21597459). Proposed to preferentially act as a SUMO E3 ligase at physiological concentrations (PubMed : 19407830). Plays a role in the control of mitochondrial morphology by promoting mitochondrial fragmentation, and influences mitochondrial localization (PubMed : 18207745, PubMed : 18213395, PubMed : 19407830). Likely to promote mitochondrial fission through negatively regulating the mitochondrial fusion proteins MFN1 and MFN2, acting in a pathway that is parallel to the PRKN/PINK1 regulatory pathway (PubMed : 24898855). May also be involved in the sumoylation of the membrane fission protein DNM1L (PubMed : 18207745, PubMed : 19407830). Inhibits cell growth (PubMed : 18591963, PubMed : 22410793). When overexpressed, activates JNK through MAP3K7/TAK1 and induces caspase-dependent apoptosis (PubMed : 23399697). Involved in the modulation of innate immune defense against viruses by inhibiting RIGI-dependent antiviral response (PubMed : 23399697). Can mediate RIGI sumoylation and disrupt its polyubiquitination (PubMed : 23399697).
See full target information MUL1

文献 (13)

Recent publications for all applications. Explore the full list and refine your search

Histology and histopathology 40:1295-1307 PubMed39698827

2024

TRIM22 mechanism promoting KAT2A ubiquitination degradation to regulate ferroptosis in hepatocellular carcinoma cell invasion and metastasis.

Applications

Unspecified application

Species

Unspecified reactive species

Wei Wang,Xiaoshan Chen,Wei Wei

Proceedings of the National Academy of Sciences of the United States of America 121:e2408649121 PubMed38980909

2024

-targeted IcosL controls tumor rejection.

Applications

Unspecified application

Species

Unspecified reactive species

Esmerina Tili,Hajime Otsu,Teresa L Commisso,Alexey Palamarchuk,Veronica Balatti,Jean-Jacques Michaille,Gerard James Nuovo,Carlo M Croce

Nature communications 15:2264 PubMed38480688

2024

NME3 is a gatekeeper for DRP1-dependent mitophagy in hypoxia.

Applications

Unspecified application

Species

Unspecified reactive species

Chih-Wei Chen,Chi Su,Chang-Yu Huang,Xuan-Rong Huang,Xiaojing Cuili,Tung Chao,Chun-Hsiang Fan,Cheng-Wei Ting,Yi-Wei Tsai,Kai-Chien Yang,Ti-Yen Yeh,Sung-Tsang Hsieh,Yi-Ju Chen,Yuxi Feng,Tony Hunter,Zee-Fen Chang

Journal of cachexia, sarcopenia and muscle 15:292-305 PubMed38183352

2024

A single chemotherapy administration induces muscle atrophy, mitochondrial alterations and apoptosis in breast cancer patients.

Applications

Unspecified application

Species

Unspecified reactive species

Joris Mallard,Elyse Hucteau,Laura Bender,Fabien Moinard-Butot,Emma Rochelle,Lauréline Boutonnet,Antoine Grandperrin,Roland Schott,Carole Pflumio,Philippe Trensz,Michal Kalish-Weindling,Anne-Laure Charles,Bernard Gény,Fabrice Favret,Xavier Pivot,Thomas J Hureau,Allan F Pagano

Cells 11: PubMed36496979

2022

The Role of Extracellular Vesicles in Optic Nerve Injury: Neuroprotection and Mitochondrial Homeostasis.

Applications

Unspecified application

Species

Unspecified reactive species

Mira Park,Hyun Ah Shin,Van-An Duong,Hookeun Lee,Helen Lew

Experimental & molecular medicine 54:2007-2021 PubMed36385558

2022

Simultaneous treatment with sorafenib and glucose restriction inhibits hepatocellular carcinoma in vitro and in vivo by impairing SIAH1-mediated mitophagy.

Applications

Unspecified application

Species

Unspecified reactive species

Jing Zhou,Ji Feng,Yong Wu,Hui-Qi Dai,Guang-Zhi Zhu,Pan-Hong Chen,Li-Ming Wang,Guang Lu,Xi-Wen Liao,Pei-Zhi Lu,Wen-Jing Su,Shing Chuan Hooi,Xin-Pin Ye,Han-Ming Shen,Tao Peng,Guo-Dong Lu

Cell death discovery 8:244 PubMed35508474

2022

YTHDF1 alleviates sepsis by upregulating WWP1 to induce NLRP3 ubiquitination and inhibit caspase-1-dependent pyroptosis.

Applications

Unspecified application

Species

Unspecified reactive species

Shuyao Zhang,Xinmin Guan,Wei Liu,Zhe Zhu,Hong Jin,Youfeng Zhu,Yun Chen,Min Zhang,Chengcheng Xu,Xu Tang,Jing Wang,Wang Cheng,Weihua Lin,Xiaoke Ma,Jianliang Chen

Journal of cachexia, sarcopenia and muscle 13:1896-1907 PubMed35373507

2022

Chemotherapy impairs skeletal muscle mitochondrial homeostasis in early breast cancer patients.

Applications

Unspecified application

Species

Unspecified reactive species

Joris Mallard,Elyse Hucteau,Anne-Laure Charles,Laura Bender,Claire Baeza,Mathilde Pélissie,Philippe Trensz,Carole Pflumio,Michal Kalish-Weindling,Bernard Gény,Roland Schott,Fabrice Favret,Xavier Pivot,Thomas J Hureau,Allan F Pagano

International journal of biological sciences 17:3320-3330 PubMed34512149

2021

NEDD4L-induced β-catenin ubiquitination suppresses the formation and progression of interstitial pulmonary fibrosis inhibiting the CTHRC1/HIF-1α axis.

Applications

Unspecified application

Species

Unspecified reactive species

Lin Chen,Yang Yang,Haiying Yan,Xiaying Peng,Jun Zou

Autophagy 17:961-979 PubMed32164484

2020

Crosstalk between HSPA5 arginylation and sequential ubiquitination leads to AKT degradation through autophagy flux.

Applications

Unspecified application

Species

Unspecified reactive species

Hyo Jeong Kim,Sun-Yong Kim,Dae-Ho Kim,Joon Seong Park,Seong Hyun Jeong,Young Won Choi,Chul-Ho Kim
View all publications

Abcam Product Promise

我们致力于为您的研究提供高质量的试剂,为您科研的每一步提供支持。若我们的产品未能达到预期性能,我们向您提供 Abcam Product Promise 保障。
详情请参阅我们的条款与条件。

Please note: All products are 'FOR RESEARCH USE ONLY. NOT FOR USE IN DIAGNOSTIC OR THERAPEUTIC PROCEDURES'.

For licensing inquiries, please contact partnerships@abcam.com