JavaScript is disabled in your browser. Please enable JavaScript to view this website.
AB15148

Anti-E Cadherin抗体- Intercellular Junction Marker

Anti-E Cadherin antibody - Intercellular Junction Marker

4

(14 Reviews)

|

(503 Publications)

Rabbit Polyclonal E Cadherin antibody. Intercellular Junction marker. Suitable for IHC-P and reacts with Human samples. Cited in 503 publications.

查看别名

CD324, CDHE, UVO, CDH1, Cadherin-1, CAM 120/80, Epithelial cadherin, Uvomorulin, E-cadherin

3 Images
Immunohistochemistry (Formalin/PFA-fixed paraffin-embedded sections) - Anti-E Cadherin antibody - Intercellular Junction Marker (AB15148)
  • IHC-P

Unknown

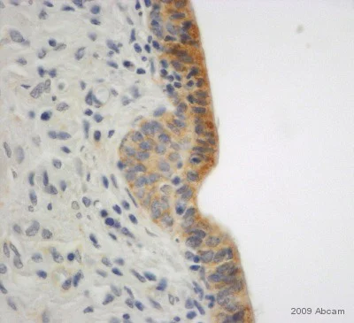
Immunohistochemistry (Formalin/PFA-fixed paraffin-embedded sections) - Anti-E Cadherin antibody - Intercellular Junction Marker (AB15148)

Immunohistochemical staining of formalin fixed paraffin embedded human skin using ab15148.

Immunohistochemistry (Formalin/PFA-fixed paraffin-embedded sections) - Anti-E Cadherin antibody - Intercellular Junction Marker (AB15148)
  • IHC-P

AbReview15543****

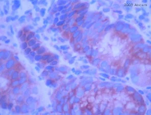
Immunohistochemistry (Formalin/PFA-fixed paraffin-embedded sections) - Anti-E Cadherin antibody - Intercellular Junction Marker (AB15148)

ab15148 staining E Cadherin in human stomach tissue section by Immunohistochemistry (Formalin/PFA-fixed paraffin-embedded sections). Tissue underwent formaldehyde fixation before heat mediated antigen retrieval in Citrate pH 6.0 and then blocking with 5% serum for 1 hour at 23°C was performed. The primary antibody was used diluted 1/50 and incubated with sample for 1 hour at 23°C. A HRP conjugated goat polyclonal to rabbit IgG was used undiluted as secondary antibody.

This image is a courtesy of Anonymous Abreview

Immunohistochemistry (Formalin/PFA-fixed paraffin-embedded sections) - Anti-E Cadherin antibody - Intercellular Junction Marker (AB15148)
  • IHC-P

AbReview15873****

Immunohistochemistry (Formalin/PFA-fixed paraffin-embedded sections) - Anti-E Cadherin antibody - Intercellular Junction Marker (AB15148)

ab15148 staining E Cadherin in Pig Cervix uteri tissue sections by IHC-P (Formaldehyde-fixed, Paraffin-embedded sections). Tissue samples were fixed with formaldehyde and blocked with 10% goat serum for 1 hour at 37°C; antigen retrieval was by heat mediation in 10mM citrate at pH 6 for 2 minutes. The sample was incubated with primary antibody (1/50) at 4°C for 12 hours. An HRP-conjugated goat polyclonal to rabbit IgG (undiluted) was used as secondary antibody.

This image is courtesy of an anonymous Abreview

关键信息

宿主种属

Rabbit

克隆

Polyclonal

亚型

IgG

不含载体蛋白

No

反应种属

Human

应用

IHC-P

applications

免疫原

The exact immunogen used to generate this antibody is proprietary information.

反应性数据

{ "title": "Reactivity Data", "filters": { "stats": ["", "Species", "Dilution Info", "Notes"], "tabs": { "all-applications": {"fullname" : "All Applications", "shortname": "All Applications"}, "IHCP" : {"fullname" : "Immunohistochemistry (Formalin/PFA-fixed paraffin-embedded sections)", "shortname":"IHC-P"} }, "product-promise": { "all": "all", "testedAndGuaranteed": "tested", "guaranteed": "expected", "predicted": "predicted", "notRecommended": "not-recommended" } }, "values": { "Human": { "IHCP-species-checked": "testedAndGuaranteed", "IHCP-species-dilution-info": "1/30", "IHCP-species-notes": "<p>for 10 min at RT. Staining of formalin-fixed tissues requires boiling tissue sections in 10mM citrate buffer, pH 6.0 for 10 min followed by cooling at RT for 20 min.</p>" }, "Pig": { "IHCP-species-checked": "predicted", "IHCP-species-dilution-info": "", "IHCP-species-notes": "" } } }

性能和储存信息

形式
Liquid
纯化工艺
Affinity purification Immunogen
存储溶液
pH: 7.6 Preservative: 0.1% Sodium azide Constituents: PBS, 1% BSA
运输条件
Blue Ice
推荐的短期储存条件
+4°C
推荐的长期储存条件
-20°C
分装信息
Upon delivery aliquot
储存信息
Avoid freeze / thaw cycle

补充信息

This supplementary information is collated from multiple sources and compiled automatically.

E-Cadherin sometimes called CDH1 or Cadherin-1 is a protein that plays a role in cell-to-cell adhesion. This transmembrane protein has a molecular weight of approximately 120 kDa. E-Cadherin is mainly expressed in epithelial tissues of various organs including the skin and gut. Its adhesive function is made possible by its extracellular domain that facilitates homophilic binding between cells contributing to the maintenance of tissue architecture and cellular integrity.
Biological function summary

E-Cadherin participates in establishing and maintaining adherens junctions which are vital for tissue structure. E-Cadherin operates as a core component of the cadherin-catenin complex which links the protein to the actin cytoskeleton. Through this linkage E-Cadherin plays an important role in signaling pathways that influence cellular growth and differentiation. The protein's ability to mediate intercellular connections also regulates cellular motility and supports basic aspects of cell behavior in epithelial tissues.

Pathways

E-Cadherin influences both the Wnt signaling pathway and the epithelial-to-mesenchymal transition (EMT). Within the Wnt signaling pathway E-Cadherin partners with β-catenin a significant player in transcription regulation and cell signaling. Disruption in E-Cadherin's adhesive functionality can lead to increased β-catenin availability affecting downstream transcriptional control. In the EMT process E-Cadherin loss characterizes an important step in which cells gain migratory and invasive properties typically seen during metastasis in cancer progression.

E-Cadherin's role is prominent in cancer particularly in the context of gastric and breast cancers. Mutations or altered expression of E-Cadherin lead to diminished cell adhesion promoting tumorigenesis and metastatic spread. In gastric cancer for instance mutated E-Cadherin often associates with loss of epithelial function facilitating cancer cell dissemination. Additionally its loss or dysfunction may correlate with proteins such as β-catenin further impacting cancer progression and pathology.

产品实验方案

For this product, it's our understanding that no specific protocols are required. You can visit:

靶点信息

CDH1 encodes a protein that is a calcium-dependent cell adhesion molecule, playing a role in cell-cell adhesion, mobility, and proliferation in epithelial cells. It acts as a potent invasive suppressor and serves as a ligand for integrin alpha-E/beta-7. The protein contributes to the sorting of heterogeneous cell types due to its homophilic interactions. E-Cad/CTF2, a product of CDH1, promotes the non-amyloidogenic degradation of Abeta precursors and strongly inhibits the production of APP C99 and C83. Additionally, in the context of microbial infection, it functions as a receptor for Listeria monocytogenes, with internalin A binding to it to promote bacterial uptake. This supplementary information is collated from multiple sources and compiled automatically.
See full target information CDH1

文献 (503)

Recent publications for all applications. Explore the full list and refine your search

Cell communication and signaling : CCS 23:331 PubMed40640803

2025

NASP implication in the androgen receptor associated with castration resistance in prostate cancer.

Applications

Unspecified application

Species

Unspecified reactive species

Yun Feng,Jin Sun,Xuan Kang,Yining Wang,Kai Liu,Wenfei Wang,Chen Wang,Yabin Li,Qian Zhao,Kaile Li,Fang-Lin Sun,Jianfeng Chang

International journal of molecular sciences 26: PubMed40362376

2025

Exploring the Genetic and Clinical Landscape of Dedifferentiated Endometrioid Carcinoma.

Applications

Unspecified application

Species

Unspecified reactive species

Hikaru Haraga,Kentaro Nakayama,Sultana Razia,Masako Ishikawa,Hitomi Yamashita,Kosuke Kanno,Mamiko Nagase,Tomoka Ishibashi,Hiroshi Katagiri,Ryoichi Shimomura,Yoshiro Otsuki,Satoru Nakayama,Satoru Kyo

PloS one 20:e0316834 PubMed39787183

2025

Canine urothelial cell model to study intracellular bacterial community development by uropathogenic Escherichia coli.

Applications

Unspecified application

Species

Unspecified reactive species

Jessica M Gilbertie,Breanna J Sheahan,Shelly L Vaden,Megan E Jacob

Life science alliance 8: PubMed39741006

2025

NSD3 protein methylation and stabilization transforms human ES cells into variant state.

Applications

Unspecified application

Species

Unspecified reactive species

Vignesh K Krishnamoorthy,Fariha Hamdani,Pooja Shukla,Radhika Arasala Rao,Shaikh Anaitullah,Kriti Kestur Biligiri,Rajashekar Varma Kadumuri,Purushotham Reddy Pothula,Sreenivas Chavali,Shravanti Rampalli

Translational oncology 51:102204 PubMed39631207

2024

Indirect targeting of MYC and direct targeting in combination with chemotherapies are more effective than direct mono-targeting in triple negative breast cancer.

Applications

Unspecified application

Species

Unspecified reactive species

Negesse Mekonnen,Hobin Yang,Nirmal Rajasekaran,Kyoung Song,Yoon-La Choi,Young Kee Shin

Immunity, inflammation and disease 12:e70005 PubMed39267471

2024

B7-H3 promotes nasopharyngeal carcinoma progression by regulating CD8+ T cell exhaustion.

Applications

Unspecified application

Species

Unspecified reactive species

Zhaoen Ma,Gui Chen,Hao Li,Saixuan Yang,Yali Xu,Bolin Pan,Wuping Lai,Guangui Chen,Wenjing Liao,Xiaowen Zhang

Veterinary research communications 48:3773-3791 PubMed39269670

2024

Dietary supplementation with a blend composed of carvacrol, tannic acid derived from Castanea sativa and Glycyrrhiza glabra, and glycerides of medium chain fatty acids for weanling piglets raised in commercial farm.

Applications

Unspecified application

Species

Unspecified reactive species

Luca Marchetti,Raffaella Rebucci,Davide Lanzoni,Carlotta Giromini,Lucia Aidos,Alessia Di Giancamillo,Paola Cremonesi,Filippo Biscarini,Bianca Castiglioni,Valentino Bontempo

Heliyon 10:e33255 PubMed39021998

2024

Role of ADP ribosylation factor guanylate kinase 1 in the malignant biological behavior of gastric cancer.

Applications

Unspecified application

Species

Unspecified reactive species

Qiong Luo,Suyun Zhang,Fan Yang,Rui Feng,Qian Xu,Xiangqi Chen,Sheng Yang

Molecular biology of the cell 35:ar111 PubMed38985526

2024

Unveiling epithelial plasticity regulation in lung cancer: Exploring the cross-talk among Tks4 scaffold protein partners.

Applications

Unspecified application

Species

Unspecified reactive species

Loretta László,Anita Kurilla,Álmos Tilajka,Rita Pancsa,Tamás Takács,Julianna Novák,László Buday,Virag Vas

Journal of cancer research and clinical oncology 150:335 PubMed38969831

2024

UBQLN4 promotes the proliferation and invasion of non-small cell lung cancer cell by regulating PI3K/AKT pathway.

Applications

Unspecified application

Species

Unspecified reactive species

Li He,Heng Chen,Bin Ruan,Li He,Ming Luo,Yulun Fu,Rui Zou
View all publications

Abcam Product Promise

我们致力于为您的研究提供高质量的试剂,为您科研的每一步提供支持。若我们的产品未能达到预期性能,我们向您提供 Abcam Product Promise 保障。
详情请参阅我们的条款与条件。

Please note: All products are 'FOR RESEARCH USE ONLY. NOT FOR USE IN DIAGNOSTIC OR THERAPEUTIC PROCEDURES'.

For licensing inquiries, please contact partnerships@abcam.com