JavaScript is disabled in your browser. Please enable JavaScript to view this website.
AB167080

Anti-DUSP9抗体

Anti-DUSP9 antibody

5

(1 Review)

|

(2 Publications)

Rabbit Polyclonal DUSP9 antibody. Suitable for WB, IHC-P, ICC/IF and reacts with Human samples. Cited in 2 publications. Immunogen corresponding to Synthetic Peptide within Human DUSP9.

查看别名

MKP4, DUSP9, Dual specificity protein phosphatase 9, Mitogen-activated protein kinase phosphatase 4, MAP kinase phosphatase 4, MKP-4

3 Images
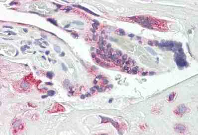
Immunohistochemistry (Formalin/PFA-fixed paraffin-embedded sections) - Anti-DUSP9 antibody (AB167080)
  • IHC-P

Unknown

Immunohistochemistry (Formalin/PFA-fixed paraffin-embedded sections) - Anti-DUSP9 antibody (AB167080)

Immunohistochemical analysis of formalin-fixed, paraffin-embedded Human placenta tissue labeling DUSP9 with ab167080 at 5 µg/ml.

Immunocytochemistry/ Immunofluorescence - Anti-DUSP9 antibody (AB167080)
  • ICC/IF

Unknown

Immunocytochemistry/ Immunofluorescence - Anti-DUSP9 antibody (AB167080)

Immunofluorescent analysis of HeLa cells labeling DUSP9 with ab167080 at 1/100 dilution in the absence (left panel) or presence (right panel) of immunizing peptide.

Western blot - Anti-DUSP9 antibody (AB167080)
  • WB

Unknown

Western blot - Anti-DUSP9 antibody (AB167080)

All lanes:

Western blot - Anti-DUSP9 antibody (ab167080) at 1/500 dilution

Lane 1:

HeLa cell extract

Lane 2:

HeLa cell extract with immuninizing peptide

Predicted band size: 42 kDa

false

关键信息

宿主种属

Rabbit

克隆

Polyclonal

亚型

IgG

不含载体蛋白

No

反应种属

Human

应用

WB, ICC/IF, IHC-P

applications

免疫原

Synthetic Peptide within Human DUSP9. The exact immunogen used to generate this antibody is proprietary information.

Q99956

反应性数据

{ "title": "Reactivity Data", "filters": { "stats": ["", "Species", "Dilution Info", "Notes"], "tabs": { "all-applications": {"fullname" : "All Applications", "shortname": "All Applications"}, "WB" : {"fullname" : "Western blot", "shortname":"WB"}, "IHCP" : {"fullname" : "Immunohistochemistry (Formalin/PFA-fixed paraffin-embedded sections)", "shortname":"IHC-P"}, "ICCIF" : {"fullname" : "Immunocytochemistry/ Immunofluorescence", "shortname":"ICC/IF"} }, "product-promise": { "all": "all", "testedAndGuaranteed": "tested", "guaranteed": "expected", "predicted": "predicted", "notRecommended": "not-recommended" } }, "values": { "Human": { "WB-species-checked": "testedAndGuaranteed", "WB-species-dilution-info": "1/500 - 1/1000", "WB-species-notes": "<p></p>", "IHCP-species-checked": "testedAndGuaranteed", "IHCP-species-dilution-info": "1/200", "IHCP-species-notes": "<p></p>", "ICCIF-species-checked": "testedAndGuaranteed", "ICCIF-species-dilution-info": "1/100 - 1/500", "ICCIF-species-notes": "<p></p>" } } }

性能和储存信息

形式
Liquid
纯化工艺
Affinity purification Immunogen
存储溶液
pH: 7.4 Preservative: 0.02% Sodium azide Constituents: PBS, 50% Glycerol (glycerin, glycerine), 0.88% Sodium chloride
运输条件
Blue Ice
推荐的短期储存时间
1-2 weeks
推荐的短期储存条件
+4°C
推荐的长期储存条件
-20°C
分装信息
Upon delivery aliquot

产品实验方案

For this product, it's our understanding that no specific protocols are required. You can visit:

靶点信息

Inactivates MAP kinases. Has a specificity for the ERK family.
See full target information DUSP9

文献 (2)

Recent publications for all applications. Explore the full list and refine your search

Frontiers in oncology 10:547011 PubMed33072575

2020

Downregulation of DUSP9 Promotes Tumor Progression and Contributes to Poor Prognosis in Human Colorectal Cancer.

Applications

Unspecified application

Species

Unspecified reactive species

Zhaoyan Qiu,Ning Liang,Qian Huang,Tao Sun,Hongyuan Xue,Tianyu Xie,Xinxin Wang,Qian Wang

Cell stem cell 20:706-719.e7 PubMed28366588

2017

DUSP9 Modulates DNA Hypomethylation in Female Mouse Pluripotent Stem Cells.

Applications

Unspecified application

Species

Unspecified reactive species

Jiho Choi,Kendell Clement,Aaron J Huebner,Jamie Webster,Christopher M Rose,Justin Brumbaugh,Ryan M Walsh,Soohyun Lee,Andrej Savol,Jean-Pierre Etchegaray,Hongcang Gu,Patrick Boyle,Ulrich Elling,Raul Mostoslavsky,Ruslan Sadreyev,Peter J Park,Steven P Gygi,Alexander Meissner,Konrad Hochedlinger
View all publications

Abcam Product Promise

我们致力于为您的研究提供高质量的试剂,为您科研的每一步提供支持。若我们的产品未能达到预期性能,我们向您提供 Abcam Product Promise 保障。
详情请参阅我们的条款与条件。

Please note: All products are 'FOR RESEARCH USE ONLY. NOT FOR USE IN DIAGNOSTIC OR THERAPEUTIC PROCEDURES'.

For licensing inquiries, please contact partnerships@abcam.com