JavaScript is disabled in your browser. Please enable JavaScript to view this website.
AB270736

Anti-ds DNA抗体[SPM603]

Anti-ds DNA antibody [SPM603]

Be the first to review this product! Submit a review

|

(0 Publication)

Mouse Monoclonal ds DNA antibody. Suitable for IHC-P and reacts with Nucleic Acid samples. Immunogen corresponding to Cell preparation containing ds DNA protein.

查看别名

Double stranded DNA, Double stranded deoxyribonucleic acid, dsDNA

1 Images
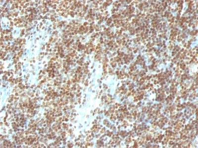
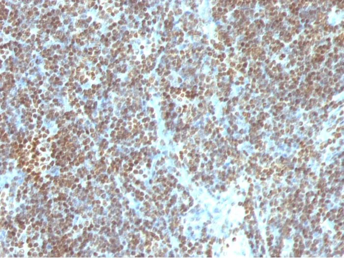
Immunohistochemistry (Formalin/PFA-fixed paraffin-embedded sections) - Anti-ds DNA antibody [SPM603] (AB270736)
  • IHC-P

Supplier Data

Immunohistochemistry (Formalin/PFA-fixed paraffin-embedded sections) - Anti-ds DNA antibody [SPM603] (AB270736)

Formalin-fixed, paraffin-embedded human tonsil tissue stained for ds DNA using ab270736 at 2 μg/ml in immunohistochemical analysis.

关键信息

宿主种属

Mouse

克隆

Monoclonal

克隆号

SPM603

亚型

IgG3

轻链类型

kappa

不含载体蛋白

No

应用

IHC-P

applications

免疫原

The exact immunogen used to generate this antibody is proprietary information.

反应性数据

{ "title": "Reactivity Data", "filters": { "stats": ["", "Species", "Dilution Info", "Notes"], "tabs": { "all-applications": {"fullname" : "All Applications", "shortname": "All Applications"}, "IHCP" : {"fullname" : "Immunohistochemistry (Formalin/PFA-fixed paraffin-embedded sections)", "shortname":"IHC-P"} }, "product-promise": { "all": "all", "testedAndGuaranteed": "tested", "guaranteed": "expected", "predicted": "predicted", "notRecommended": "not-recommended" } }, "values": { "Nucleic Acid": { "IHCP-species-checked": "testedAndGuaranteed", "IHCP-species-dilution-info": "1-2 µg/mL", "IHCP-species-notes": "<p></p> Perform heat-mediated antigen retrieval with Tris/EDTA buffer pH 9.0 before commencing with IHC staining protocol." } } }

性能和储存信息

形式
Liquid
纯化说明
Purified from Bioreactor Concentrate.
存储溶液
pH: 7.2 - 7.4 Preservative: 0.05% Sodium azide Constituents: PBS, 0.05% BSA
运输条件
Blue Ice
推荐的短期储存时间
1-2 weeks
推荐的短期储存条件
+4°C
推荐的长期储存条件
-20°C
分装信息
Upon delivery aliquot
储存信息
Avoid freeze / thaw cycle

产品实验方案

For this product, it's our understanding that no specific protocols are required. You can visit:

Abcam Product Promise

我们致力于为您的研究提供高质量的试剂,为您科研的每一步提供支持。若我们的产品未能达到预期性能,我们向您提供 Abcam Product Promise 保障。
详情请参阅我们的条款与条件。

Please note: All products are 'FOR RESEARCH USE ONLY. NOT FOR USE IN DIAGNOSTIC OR THERAPEUTIC PROCEDURES'.

For licensing inquiries, please contact partnerships@abcam.com