JavaScript is disabled in your browser. Please enable JavaScript to view this website.
AB183732

重组Anti-Drosha抗体[EPR12794]

Anti-Drosha antibody [EPR12794]

5

(2 Reviews)

|

(13 Publications)

Rabbit Recombinant Monoclonal Drosha antibody. Suitable for WB, IHC-P and reacts with Human samples. Cited in 13 publications.

查看别名

RN3, RNASE3L, RNASEN, DROSHA, Ribonuclease 3, Protein Drosha, Ribonuclease III, p241, RNase III

6 Images
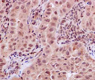
Immunohistochemistry (Formalin/PFA-fixed paraffin-embedded sections) - Anti-Drosha antibody [EPR12794] (AB183732)
  • IHC-P

Supplier Data

Immunohistochemistry (Formalin/PFA-fixed paraffin-embedded sections) - Anti-Drosha antibody [EPR12794] (AB183732)

Immunohistochemical analysis of paraffin-embedded Human lung adenocarcinoma tissue labeling Drosha with ab183732 at 1/100 dilution followed by prediluted HRP Polymer for Rabbit IgG. Counter stained with Hematoxylin.

Perform heat mediated antigen retrieval with EDTA buffer pH 9 before commencing with IHC staining protocol.

Western blot - Anti-Drosha antibody [EPR12794] (AB183732)
  • WB

Unknown

Western blot - Anti-Drosha antibody [EPR12794] (AB183732)

Lanes 1-3 : Merged signal (red and green). Green - ab183732 observed at 159 kDa. Red - loading control, ab8245 observed at 37 kDa.

ab183732 Anti-Drosha antibody [EPR12794] was shown to specifically react with Drosha in wild-type HEK293T cells. Loss of signal was observed when knockout cell line ab266217 (knockout cell lysate ab257171) was used. Wild-type and Drosha knockout samples were subjected to SDS-PAGE. ab183732 and Anti-GAPDH antibody [6C5] - Loading Control (ab8245) were incubated overnight at 4°C at 1 in 1000 dilution and 1 in 20000 dilution respectively. Blots were developed with Goat anti-Rabbit IgG H&L (IRDye® 800CW) preadsorbed (ab216773) and Goat anti-Mouse IgG H&L (IRDye® 680RD) preadsorbed (ab216776) secondary antibodies at 1 in 10000 dilution for 1 hour at room temperature before imaging.

All lanes:

Western blot - Anti-Drosha antibody [EPR12794] (ab183732) at 1/1000 dilution

Lane 1:

Wild-type HEK293T cell lysate at 20 µg

Lane 2:

DROSHA knockout HEK293T cell lysate at 20 µg

Lane 3:

HeLa cell lysate at 20 µg

Predicted band size: 159 kDa

false

Western blot - Anti-Drosha antibody [EPR12794] (AB183732)
  • WB

Lab

Western blot - Anti-Drosha antibody [EPR12794] (AB183732)

Lanes 1-3 : Merged signal (red and green). Green - ab183732 observed at 159 kDa. Red - loading control, ab8245 observed at 37 kDa. ab183732 Anti-Drosha antibody [EPR12794] was shown to specifically react with Drosha in wild-type HEK293T cells. Loss of signal was observed when knockout cell line ab266217 (knockout cell lysate ab257171) was used. Wild-type and Drosha knockout samples were subjected to SDS-PAGE. ab183732 and Anti-GAPDH antibody [6C5] - Loading Control (ab8245) were incubated overnight at 4°C at 1 in 1000 dilution and 1 in 20000 dilution respectively. Blots were developed with Goat anti-Rabbit IgG H&L (IRDye® 800CW) preadsorbed (ab216773) and Goat anti-Mouse IgG H&L (IRDye® 680RD) preadsorbed (ab216776) secondary antibodies at 1 in 10000 dilution for 1 hour at room temperature before imaging.

All lanes:

Western blot - Anti-Drosha antibody [EPR12794] (ab183732)

Lane 1:

Wild-type A549 cell lysate at 20 µg

Lane 2:

DROSHA knockout HEK-293T cell lysate, at 20 µg

Lane 2:

Western blot - Human DROSHA knockout A549 cell line (<a href='/products/cell-lines/human-drosha-knockout-a549-cell-line-ab287377'>ab287377</a>)

false

Western blot - Anti-Drosha antibody [EPR12794] (AB183732)
  • WB

Lab

Western blot - Anti-Drosha antibody [EPR12794] (AB183732)

Lanes 1-3 : Merged signal (red and green). Green - ab183732 observed at 159 kDa. Red - loading control, ab8245 observed at 37 kDa.

ab183732 Anti-Drosha antibody [EPR12794] was shown to specifically react with Drosha in wild-type HEK293T cells. Loss of signal was observed when knockout cell line ab266217 (knockout cell lysate ab257171) was used. Wild-type and Drosha knockout samples were subjected to SDS-PAGE. ab183732 and Anti-GAPDH antibody [6C5] - Loading Control (ab8245) were incubated overnight at 4°C at 1 in 1000 dilution and 1 in 20000 dilution respectively. Blots were developed with Goat anti-Rabbit IgG H&L (IRDye® 800CW) preadsorbed (ab216773) and Goat anti-Mouse IgG H&L (IRDye® 680RD) preadsorbed (ab216776) secondary antibodies at 1 in 10000 dilution for 1 hour at room temperature before imaging.

All lanes:

Western blot - Anti-Drosha antibody [EPR12794] (ab183732) at 1/1000 dilution

Lane 1:

Wild-type HEK-293T cell lysate at 20 µg

Lane 2:

DROSHA knockout HEK-293T cell lysate at 20 µg

Lane 2:

Western blot - Human DROSHA knockout HEK-293T cell line (<a href='/products/cell-lines/human-drosha-knockout-hek-293t-cell-line-ab266217'>ab266217</a>)

Lane 3:

HeLa cell lysate at 20 µg

Predicted band size: 159 kDa

Observed band size: 159 kDa

false

Western blot - Anti-Drosha antibody [EPR12794] (AB183732)
  • WB

Supplier Data

Western blot - Anti-Drosha antibody [EPR12794] (AB183732)

All lanes:

Western blot - Anti-Drosha antibody [EPR12794] (ab183732) at 1/50000 dilution

Lane 1:

Jurkat cell lysate at 10 µg

Lane 2:

293 cell lysate at 10 µg

Lane 3:

HeLa cell lysate at 10 µg

Secondary

All lanes:

Goat Anti-Rabbit IgG, (H+L), Peroxidase conjugate at 1/1000 dilution

Predicted band size: 159 kDa

Observed band size: 159 kDa

false

Western blot - Anti-Drosha antibody [EPR12794] (AB183732)
  • WB

CiteAb

Western blot - Anti-Drosha antibody [EPR12794] (AB183732)

Drosha western blot using anti-Drosha antibody [EPR12794] ab183732. Publication image and figure legend from Mantel, P. Y., Hjelmqvist, D., et al., 2016, Nat Commun, PubMed 27721445.

ab183732 was used in this publication in western blot. This may not be the same as the application(s) guaranteed by Abcam. For a full list of applications guaranteed by Abcam for ab183732 please see the product overview.

Detection of human Ago2 in RBCs and iRBCs.(a) Expression of RNAi machinery during RBC development. Cell lysates from different developmental stages of erythropoiesis were prepared (day 11 : basophilic and polychromatic erythroblasts, day 18 : orthochromatic erythroblasts and reticulocytes, day 21 : reticulocytes and normocytes; representative images are shown). Ago2 is detectable in mature RBCs while dicer, drosha (and human histone H3) are not present. Stomatin is present in all preparations. (b) IFA of Ago2 in RBCs and iRBCs. Ago2 is localized to the RBC periphery in uninfected and infected RBCs, however, labelling is reduced in later parasite stages. Notably, ring stage parasites also show Ago2 accumulation in the parasite. Scale bar; 1 μm. (c) Flow cytometry analysis of Ago2 labelling in RBCs and iRBCs. Uninfected RBCs and iRBCs were gated based on SYBR staining (nuclear content, n) and Ago2 labelling. Young iRBCs (rings, and trophozoites with n=1) show the highest Ago2 labelling, confirming IFA data. (d) Sequential fractionation of purified infected parasites analysed by western blot. iRBC samples were collected at four time points post invasion, separated from uninfected RBCs and fractionated. The host cytosol was released with 1 HU of tetanolysin (TTL) and subsequently the PV contents were released with 0.035% of saponin (SAP). The pellet contains parasite material and host membranes while the TTL supernatant contains RBC cytosol and the SAP supernatant contains soluble parasitophorous vacuole material. The parasitophorous vacuole membrane marker PfExp-1 and parasite nuclear histone H3 are detectable in the pellet fraction across the asexual parasite cycle. Ago2 is present in cytosol (SAP, TTL) across the cycle but only present in the pellet fraction in early parasite stages, supporting the dynamic distribution observed by IFA. Host stomatin is present in cytosol (SAp, TTL) and membranes (pellet) throughout the cycle. Data are representative of three independent experiments. pi : post invasion.

false

不同偶联物与剂型 (1)

  • Carrier free

    Anti-Drosha antibody [EPR12794] - BSA and Azide free

关键信息

宿主种属

Rabbit

克隆

Monoclonal

克隆号

EPR12794

亚型

IgG

不含载体蛋白

No

反应种属

Human

应用

WB, IHC-P

applications

免疫原

The exact immunogen used to generate this antibody is proprietary information.

反应性数据

{ "title": "Reactivity Data", "filters": { "stats": ["", "Species", "Dilution Info", "Notes"], "tabs": { "all-applications": {"fullname" : "All Applications", "shortname": "All Applications"}, "FlowCyt" : {"fullname" : "Flow Cytometry", "shortname":"Flow Cyt"}, "WB" : {"fullname" : "Western blot", "shortname":"WB"}, "ICCIF" : {"fullname" : "Immunocytochemistry/ Immunofluorescence", "shortname":"ICC/IF"}, "IHCP" : {"fullname" : "Immunohistochemistry (Formalin/PFA-fixed paraffin-embedded sections)", "shortname":"IHC-P"} }, "product-promise": { "all": "all", "testedAndGuaranteed": "tested", "guaranteed": "expected", "predicted": "predicted", "notRecommended": "not-recommended" } }, "values": { "Human": { "FlowCyt-species-checked": "notRecommended", "FlowCyt-species-dilution-info": "", "FlowCyt-species-notes": "<p><a href='/products/primary-antibodies/rabbit-igg-monoclonal-epr25a-isotype-control-ab172730'>ab172730</a> - Rabbit monoclonal IgG, is suitable for use as an isotype control with this antibody.</p>", "WB-species-checked": "testedAndGuaranteed", "WB-species-dilution-info": "1/10000 - 1/50000", "WB-species-notes": "<p></p>", "ICCIF-species-checked": "notRecommended", "ICCIF-species-dilution-info": "1/500", "ICCIF-species-notes": "<p></p>", "IHCP-species-checked": "testedAndGuaranteed", "IHCP-species-dilution-info": "1/50 - 1/100", "IHCP-species-notes": "<p></p> Perform heat-mediated antigen retrieval with Tris/EDTA buffer pH 9.0 before commencing with IHC staining protocol." } } }

产品详情

Patented technology
Our RabMAb® technology is a patented hybridoma-based technology for making rabbit monoclonal antibodies. For details on our patents, please refer to RabMAb® patents.

What are the advantages of a recombinant monoclonal antibody?
This product is a recombinant monoclonal antibody, which offers several advantages including:

  • - High batch-to-batch consistency and reproducibility
  • - Improved sensitivity and specificity
  • - Long-term security of supply
  • - Animal-free batch production

For more information, read more on recombinant antibodies.

性能和储存信息

形式
Liquid
纯化工艺
Affinity purification Protein A
存储溶液
pH: 7.2 Preservative: 0.01% Sodium azide Constituents: PBS, 40% Glycerol (glycerin, glycerine), 0.05% BSA
运输条件
Blue Ice
推荐的短期储存时间
1-2 weeks
推荐的短期储存条件
+4°C
推荐的长期储存条件
-20°C
分装信息
Upon delivery aliquot
储存信息
Avoid freeze / thaw cycle

产品实验方案

For this product, it's our understanding that no specific protocols are required. You can visit:

靶点信息

Ribonuclease III double-stranded (ds) RNA-specific endoribonuclease that is involved in the initial step of microRNA (miRNA) biogenesis. Component of the microprocessor complex that is required to process primary miRNA transcripts (pri-miRNAs) to release precursor miRNA (pre-miRNA) in the nucleus. Within the microprocessor complex, DROSHA cleaves the 3' and 5' strands of a stem-loop in pri-miRNAs (processing center 11 bp from the dsRNA-ssRNA junction) to release hairpin-shaped pre-miRNAs that are subsequently cut by the cytoplasmic DICER to generate mature miRNAs. Involved also in pre-rRNA processing. Cleaves double-strand RNA and does not cleave single-strand RNA. Involved in the formation of GW bodies. Plays a role in growth homeostasis in response to autophagy in motor neurons (By similarity).
See full target information DROSHA

文献 (13)

Recent publications for all applications. Explore the full list and refine your search

Experimental dermatology 34:e70110 PubMed40344283

2025

Characteristics of the MicroRNA-Processing Enzymes in Melanocytic Skin Lesions: Dicer and DGCR8 Are Potential Biomarkers for Primary Cutaneous Melanomas.

Applications

Unspecified application

Species

Unspecified reactive species

Fabiola Schafer,Enrique Bellolio,Tatiana Sepúlveda,Mirta Espinoza,Juan-José Orellana,Isabel Bellolio,Miguel Angel Villaseca,Rodrigo Miranda

International journal of molecular sciences 24: PubMed37762595

2023

PLK1 Regulates MicroRNA Biogenesis through Drosha Phosphorylation.

Applications

Unspecified application

Species

Unspecified reactive species

Claire Emily Fletcher,Molly Ann Taylor,Charlotte Lynne Bevan

Genome research 32:1808-1825 PubMed36180233

2022

Physiological intron retaining transcripts in the cytoplasm abound during human motor neurogenesis.

Applications

Unspecified application

Species

Unspecified reactive species

Marija Petrić Howe,Hamish Crerar,Jacob Neeves,Jasmine Harley,Giulia E Tyzack,Pierre Klein,Andres Ramos,Rickie Patani,Raphaëlle Luisier

Cell reports 37:110127 PubMed34936874

2021

PAK5 promotes RNA helicase DDX5 sumoylation and miRNA-10b processing in a kinase-dependent manner in breast cancer.

Applications

Unspecified application

Species

Unspecified reactive species

Yang Li,Yao Xing,Xu Wang,Bingtao Hu,Xin Zhao,Hongyan Zhang,Fuyi Han,Nanxi Geng,Fei Wang,Yanshu Li,Jiabin Li,Feng Jin,Feng Li

Molecular therapy. Nucleic acids 26:1318-1335 PubMed34853730

2021

TGFB3-AS1 promotes Hcy-induced inflammationof macrophages via inhibiting the maturityof miR-144 and upregulating Rap1a.

Applications

Unspecified application

Species

Unspecified reactive species

Hui Zhang,Yinju Hao,Anning Yang,Lin Xie,Ning Ding,Lingbo Xu,Yanhua Wang,Yong Yang,Yongsheng Bai,Huiping Zhang,Yideng Jiang

Aging 13:3060-3079 PubMed33479185

2021

Human umbilical cord mesenchymal stem cell-derived exosomal miR-146a-5p reduces microglial-mediated neuroinflammation via suppression of the IRAK1/TRAF6 signaling pathway after ischemic stroke.

Applications

Unspecified application

Species

Unspecified reactive species

Zhongfei Zhang,Xiaoxiong Zou,Run Zhang,Yu Xie,Zhiming Feng,Feng Li,Jianbang Han,Haitao Sun,Qian Ouyang,Shiting Hua,Bingke Lv,Tian Hua,Zhizheng Liu,Yingqian Cai,Yuxi Zou,Yanping Tang,Xiaodan Jiang

Cell research 31:345-361 PubMed32859993

2020

Oncogenic AURKA-enhanced N-methyladenosine modification increases DROSHA mRNA stability to transactivate STC1 in breast cancer stem-like cells.

Applications

Unspecified application

Species

Unspecified reactive species

Fei Peng,Jie Xu,Bai Cui,Qilan Liang,Sai Zeng,Bin He,Hong Zou,Manman Li,Huan Zhao,Yuting Meng,Jin Chen,Bing Liu,Shasha Lv,Peng Chu,Fan An,Zifeng Wang,Junxiu Huang,Yajing Zhan,Yuwei Liao,Jinxin Lu,Lingzhi Xu,Jin Zhang,Zhaolin Sun,Zhiguang Li,Fangjun Wang,Eric W-F Lam,Quentin Liu

Scientific reports 9:8823 PubMed31217548

2019

Human endometriotic lesion expression of the miR-144-3p/miR-451a cluster, its correlation with markers of cell survival and origin of lesion content.

Applications

Unspecified application

Species

Unspecified reactive species

Warren B Nothnick,Kimberly Swan,Rebecca Flyckt,Tommaso Falcone,Amanda Graham

Nature cell biology 21:348-358 PubMed30742093

2019

MicroRNA-dependent regulation of biomechanical genes establishes tissue stiffness homeostasis.

Applications

Unspecified application

Species

Unspecified reactive species

Albertomaria Moro,Tristan P Driscoll,Liana C Boraas,William Armero,Dionna M Kasper,Nicolas Baeyens,Charlene Jouy,Venkatesh Mallikarjun,Joe Swift,Sang Joon Ahn,Donghoon Lee,Jing Zhang,Mengting Gu,Mark Gerstein,Martin Schwartz,Stefania Nicoli

International journal of cancer 144:1391-1400 PubMed30367465

2018

Loss or oncogenic mutation of DROSHA impairs kidney development and function, but is not sufficient for Wilms tumor formation.

Applications

Unspecified application

Species

Unspecified reactive species

Philip Kruber,Oguzhan Angay,Anja Winkler,Michael R Bösl,Susanne Kneitz,Katrin G Heinze,Manfred Gessler
View all publications

Abcam Product Promise

我们致力于为您的研究提供高质量的试剂,为您科研的每一步提供支持。若我们的产品未能达到预期性能,我们向您提供 Abcam Product Promise 保障。
详情请参阅我们的条款与条件。

Please note: All products are 'FOR RESEARCH USE ONLY. NOT FOR USE IN DIAGNOSTIC OR THERAPEUTIC PROCEDURES'.

For licensing inquiries, please contact partnerships@abcam.com