JavaScript is disabled in your browser. Please enable JavaScript to view this website.
AB200351

重组Anti-DRIP130抗体[EPR17418]

Anti-DRIP130 antibody [EPR17418]

Be the first to review this product! Submit a review

|

(5 Publications)

Rabbit Recombinant Monoclonal DRIP130 antibody. Suitable for WB, ICC/IF, IHC-P and reacts with Mouse, Rat, Human samples. Cited in 5 publications.

查看别名

ARC130, CRSP3, DRIP130, KIAA1216, SUR2, MED23, Mediator of RNA polymerase II transcription subunit 23, Activator-recruited cofactor 130 kDa component, Cofactor required for Sp1 transcriptional activation subunit 3, Mediator complex subunit 23, Protein sur-2 homolog, Transcriptional coactivator CRSP130, Vitamin D3 receptor-interacting protein complex 130 kDa component, CRSP complex subunit 3, hSur-2

7 Images
Immunohistochemistry (Formalin/PFA-fixed paraffin-embedded sections) - Anti-DRIP130 antibody [EPR17418] (AB200351)
  • IHC-P

Supplier Data

Immunohistochemistry (Formalin/PFA-fixed paraffin-embedded sections) - Anti-DRIP130 antibody [EPR17418] (AB200351)

Immunohistochemical analysis of paraffin-embedded Human breast carcinoma tissue labeling DRIP130 with ab200351 at 1/250 dilution, followed by Goat Anti-Rabbit IgG H&L (HRP) (ab97051) secondary antibody at 1/500 dilution. Nuclear staining on Human breast carcinoma tissue is observed. Counter stained with Hematoxylin.

Secondary antibody only control : Used PBS instead of primary antibody, secondary antibody is Goat Anti-Rabbit IgG H&L (HRP) (ab97051) at 1/500 dilution.

Perform heat mediated antigen retrieval with Tris/EDTA buffer pH 9.0 before commencing with IHC staining protocol.

Immunocytochemistry/ Immunofluorescence - Anti-DRIP130 antibody [EPR17418] (AB200351)
  • ICC/IF

Supplier Data

Immunocytochemistry/ Immunofluorescence - Anti-DRIP130 antibody [EPR17418] (AB200351)

Immunofluorescent analysis of 4% paraformaldehyde-fixed, 0.1% Triton X-100 permeabilized MCF7 (Human breast adenocarcinoma cell line) cells labeling DRIP130 with ab200351 at 1/1000 dilution, followed by Goat anti-rabbit IgG (Alexa Fluor® 488) (ab150077) secondary antibody at 1/500 dilution (green). Confocal image showing nuclear staining on MCF7 cell line. The nuclear counter stain is DAPI (blue). Tubulin is detected with ab7291 (anti-Tubulin mouse mAb) at 1/1000 dilution and ab150120 (AlexaFluor®594 Goat anti-Mouse secondary) at 1/500 dilution (red).

The negative controls are as follows :
-ve control 1 : ab200351 at 1/1000 dilution followed by ab150120 (AlexaFluor®594 Goat anti-Mouse secondary) at 1/500 dilution.
-ve control 2 : ab7291 (anti-Tubulin mouse mAb) at 1/1000 dilution followed by ab150077 (Alexa Fluor®488 Goat Anti-Rabbit IgG H&L) at 1/500 dilution.

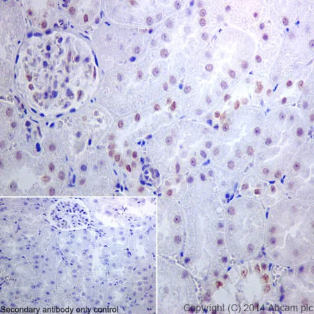
Immunohistochemistry (Formalin/PFA-fixed paraffin-embedded sections) - Anti-DRIP130 antibody [EPR17418] (AB200351)
  • IHC-P

Supplier Data

Immunohistochemistry (Formalin/PFA-fixed paraffin-embedded sections) - Anti-DRIP130 antibody [EPR17418] (AB200351)

Immunohistochemical analysis of paraffin-embedded rat kidney tissue labeling DRIP130 with ab200351 at 1/250 dilution, followed by Goat Anti-Rabbit IgG H&L (HRP) (ab97051) secondary antibody at 1/500 dilution. Nuclear staining on rat kidney tissue is observed. Counter stained with Hematoxylin.

Secondary antibody only control : Used PBS instead of primary antibody, secondary antibody is Goat Anti-Rabbit IgG H&L (HRP) (ab97051) at 1/500 dilution.

Perform heat mediated antigen retrieval with Tris/EDTA buffer pH 9.0 before commencing with IHC staining protocol.

Western blot - Anti-DRIP130 antibody [EPR17418] (AB200351)
  • WB

Supplier Data

Western blot - Anti-DRIP130 antibody [EPR17418] (AB200351)

Blocking/Dilution buffer : 5% NFDM/TBST.

All lanes:

Western blot - Anti-DRIP130 antibody [EPR17418] (ab200351) at 1/10000 dilution

Lane 1:

MCF7 (Human breast adenocarcinoma cell line) whole cell lysate at 10 µg

Lane 2:

HeLa (Human epithelial cells from cervix adenocarcinoma) whole cell lysate at 10 µg

Lane 3:

HEK-293 (Human epithelial cells from embryonic kidney) whole cell lysate at 10 µg

Secondary

All lanes:

Goat Anti-Rabbit IgG, (H+L), Peroxidase conjugated at 1/1000 dilution

Predicted band size: 156 kDa

Observed band size: 130 kDa

false

Exposure time: 3min

Western blot - Anti-DRIP130 antibody [EPR17418] (AB200351)
  • WB

Supplier Data

Western blot - Anti-DRIP130 antibody [EPR17418] (AB200351)

Blocking/Dilution buffer : 5% NFDM/TBST.

All lanes:

Western blot - Anti-DRIP130 antibody [EPR17418] (ab200351) at 1/1000 dilution

Lane 1:

Human fetal brain lysate at 10 µg

Lane 2:

Human fetal kidney lysate at 10 µg

Secondary

All lanes:

Anti-Rabbit IgG (HRP), specific to the non-reduced form of IgG at 1/1000 dilution

Predicted band size: 156 kDa

Observed band size: 130 kDa

false

Exposure time: 3min

Western blot - Anti-DRIP130 antibody [EPR17418] (AB200351)
  • WB

Supplier Data

Western blot - Anti-DRIP130 antibody [EPR17418] (AB200351)

Blocking/Dilution buffer : 5% NFDM/TBST.

All lanes:

Western blot - Anti-DRIP130 antibody [EPR17418] (ab200351) at 1/1000 dilution

Lane 1:

Mouse kidney lysate at 10 µg

Lane 2:

Mouse spleen lysate at 10 µg

Lane 3:

C6 (Rat glial tumor cells) whole cell lysate at 10 µg

Lane 4:

RAW 264.7 (Mouse macrophage cells transformed with Abelson murine leukemia virus ) whole cell lysate at 10 µg

Lane 5:

PC-12 (Rat adrenal gland pheochromocytoma) whole cell lysate at 10 µg

Lane 6:

NIH/3T3 (Mouse embyro fibroblast cells ) whole cell lysate at 10 µg

Secondary

All lanes:

Goat Anti-Rabbit IgG, (H+L), Peroxidase conjugated at 1/1000 dilution

Predicted band size: 156 kDa

Observed band size: 130 kDa

false

Exposure time: 15s

Western blot - Anti-DRIP130 antibody [EPR17418] (AB200351)
  • WB

Supplier Data

Western blot - Anti-DRIP130 antibody [EPR17418] (AB200351)

The observed MW is consistent with what has been described in the literature (PMID : 12242338).

Blocking/Dilution buffer : 5% NFDM/TBST.

All lanes:

Western blot - Anti-DRIP130 antibody [EPR17418] (ab200351) at 1/1000 dilution

All lanes:

Rat kidney lysate at 10 µg

Secondary

All lanes:

Goat Anti-Rabbit IgG, (H+L), Peroxidase conjugated at 1/1000 dilution

Predicted band size: 156 kDa

Observed band size: 130 kDa

false

Exposure time: 3min

关键信息

宿主种属

Rabbit

克隆

Monoclonal

克隆号

EPR17418

亚型

IgG

不含载体蛋白

No

反应种属

Mouse, Rat, Human

应用

ICC/IF, IHC-P, WB

applications

免疫原

The exact immunogen used to generate this antibody is proprietary information.

反应性数据

{ "title": "Reactivity Data", "filters": { "stats": ["", "Species", "Dilution Info", "Notes"], "tabs": { "all-applications": {"fullname" : "All Applications", "shortname": "All Applications"}, "WB" : {"fullname" : "Western blot", "shortname":"WB"}, "ICCIF" : {"fullname" : "Immunocytochemistry/ Immunofluorescence", "shortname":"ICC/IF"}, "IHCP" : {"fullname" : "Immunohistochemistry (Formalin/PFA-fixed paraffin-embedded sections)", "shortname":"IHC-P"} }, "product-promise": { "all": "all", "testedAndGuaranteed": "tested", "guaranteed": "expected", "predicted": "predicted", "notRecommended": "not-recommended" } }, "values": { "Human": { "WB-species-checked": "testedAndGuaranteed", "WB-species-dilution-info": "1/1000", "WB-species-notes": "<p></p>", "ICCIF-species-checked": "testedAndGuaranteed", "ICCIF-species-dilution-info": "1/1000", "ICCIF-species-notes": "<p></p>", "IHCP-species-checked": "testedAndGuaranteed", "IHCP-species-dilution-info": "1/250", "IHCP-species-notes": "<p></p> Perform heat-mediated antigen retrieval with Tris/EDTA buffer pH 9.0 before commencing with IHC staining protocol." }, "Mouse": { "WB-species-checked": "testedAndGuaranteed", "WB-species-dilution-info": "1/1000", "WB-species-notes": "<p></p>", "ICCIF-species-checked": "guaranteed", "ICCIF-species-dilution-info": "", "ICCIF-species-notes": "", "IHCP-species-checked": "guaranteed", "IHCP-species-dilution-info": "", "IHCP-species-notes": "" }, "Rat": { "WB-species-checked": "testedAndGuaranteed", "WB-species-dilution-info": "1/1000", "WB-species-notes": "<p></p>", "ICCIF-species-checked": "guaranteed", "ICCIF-species-dilution-info": "", "ICCIF-species-notes": "", "IHCP-species-checked": "testedAndGuaranteed", "IHCP-species-dilution-info": "1/250", "IHCP-species-notes": "<p></p> Perform heat-mediated antigen retrieval with Tris/EDTA buffer pH 9.0 before commencing with IHC staining protocol." } } }

产品详情

Patented technology
Our RabMAb® technology is a patented hybridoma-based technology for making rabbit monoclonal antibodies. For details on our patents, please refer to RabMAb® patents.

What are the advantages of a recombinant monoclonal antibody?
This product is a recombinant monoclonal antibody, which offers several advantages including:

  • - High batch-to-batch consistency and reproducibility
  • - Improved sensitivity and specificity
  • - Long-term security of supply
  • - Animal-free batch production

For more information, read more on recombinant antibodies.

性能和储存信息

形式
Liquid
纯化工艺
Affinity purification Protein A
存储溶液
pH: 7.2 - 7.4 Preservative: 0.01% Sodium azide Constituents: PBS, 40% Glycerol (glycerin, glycerine), 0.05% BSA
运输条件
Blue Ice
推荐的短期储存时间
1-2 weeks
推荐的短期储存条件
+4°C
推荐的长期储存条件
-20°C
分装信息
Upon delivery aliquot
储存信息
Avoid freeze / thaw cycle

补充信息

This supplementary information is collated from multiple sources and compiled automatically.

DRIP130 also known as MED23 is a component of the Mediator complex. It plays a significant role as a transcriptional co-activator for RNA polymerase II transcription. DRIP130 has a molecular mass of approximately 130 kDa. Expression of DRIP130 occurs in various tissues more notably in the liver and heart indicating its widespread biological roles in the body.
Biological function summary

DRIP130 integrates signals from activators and repressors to facilitate transcription regulation. It is a part of the larger Mediator complex which is essential for conveying instructions from transcription factors to RNA polymerase II. By acting at promoters DRIP130 helps modulate gene expression impacting processes like cell growth and differentiation. Its function within this multi-subunit complex emphasizes its importance in cellular communication and transcriptional regulation.

Pathways

DRIP130 contributes to the MAPK/ERK signaling pathway and the Wnt signaling pathway. Within these pathways it interacts with proteins such as MAPK and β-catenin to influence cell cycle progression and cellular responses. These pathways are critical for controlling growth and maintaining cellular functions indicating DRIP130's vital role in pathway integration and cellular homeostasis.

DRIP130 has connections to cancer and neurological disorders. Alterations in DRIP130 expression or function can lead to aberrant cell proliferation contributing to cancer development. Moreover DRIP130's interaction with proteins like β-catenin in the Wnt pathway may influence neurological conditions by affecting neural cell signaling or development. Understanding these links provides insight into potential therapeutic targets for managing such disorders.

产品实验方案

For this product, it's our understanding that no specific protocols are required. You can visit:

靶点信息

Required for transcriptional activation subsequent to the assembly of the pre-initiation complex (By similarity). Component of the Mediator complex, a coactivator involved in the regulated transcription of nearly all RNA polymerase II-dependent genes. Mediator functions as a bridge to convey information from gene-specific regulatory proteins to the basal RNA polymerase II transcription machinery. Mediator is recruited to promoters by direct interactions with regulatory proteins and serves as a scaffold for the assembly of a functional pre-initiation complex with RNA polymerase II and the general transcription factors. Required for transcriptional activation by adenovirus E1A protein. Required for ELK1-dependent transcriptional activation in response to activated Ras signaling.
See full target information MED23

文献 (5)

Recent publications for all applications. Explore the full list and refine your search

Cell discovery 11:69 PubMed40825935

2025

A phosphorylation switch in the Mediator MED15 controls cellular senescence and cognitive decline.

Applications

Unspecified application

Species

Unspecified reactive species

Haozheng Li,Yuanming Zheng,Chunlei Yuan,Jiayi Wang,Xiaying Zhao,Ming Yang,Defei Xiong,Yenan Yang,Yunpeng Dai,Yiming Gao,Yuqi Wang,Lei Xue,Gang Wang

Neuropsychopharmacology : official publication of the American College of Neuropsychopharmacology 50:1224-1236 PubMed40114018

2025

Central Med23 deficiency leads to malformation of dentate gyrus and ADHD-like behaviors in mice.

Applications

Unspecified application

Species

Unspecified reactive species

Bing-Yao Zhou,Ze-Xuan Li,Yi-Wei Li,Jin-Nan Li,Wei-Tang Liu,Xi-Yue Liu,Zhi-Bin Hu,Li Zhao,Jia-Yin Chen,Ling Hu,Ning-Ning Song,Xue Feng,Gang Wang,Lin Xu,Yu-Qiang Ding

iScience 26:107143 PubMed37456852

2023

Selective activation of PPARα maintains thermogenic capacity of beige adipocytes.

Applications

Unspecified application

Species

Unspecified reactive species

Gentaro Egusa,Haruya Ohno,Gaku Nagano,Junji Sagawa,Hiroko Shinjo,Yutaro Yamamoto,Natsumi Himeno,Yoshimi Morita,Akinori Kanai,Ryuta Baba,Kazuhiro Kobuke,Kenji Oki,Masayasu Yoneda,Noboru Hattori

Nucleic acids research 51:2137-2150 PubMed36718943

2023

An intellectual disability-related MED23 mutation dysregulates gene expression by altering chromatin conformation and enhancer activities.

Applications

Unspecified application

Species

Unspecified reactive species

Yenan Yang,Chonghui Li,Ziyin Chen,Yiyang Zhang,Qing Tian,Meiling Sun,Shuai Zhang,Miao Yu,Gang Wang

Autophagy 17:3592-3606 PubMed33629929

2021

Cannabidiol inhibits human glioma by induction of lethal mitophagy through activating TRPV4.

Applications

Unspecified application

Species

Unspecified reactive species

Tengfei Huang,Tianqi Xu,Yangfan Wang,Yan Zhou,Dandan Yu,Zhiyuan Wang,Linfang He,Zhangpeng Chen,Yaliang Zhang,Don Davidson,Yuyuan Dai,Chunhua Hang,Xiangyu Liu,Chao Yan
View all publications

Abcam Product Promise

我们致力于为您的研究提供高质量的试剂,为您科研的每一步提供支持。若我们的产品未能达到预期性能,我们向您提供 Abcam Product Promise 保障。
详情请参阅我们的条款与条件。

Please note: All products are 'FOR RESEARCH USE ONLY. NOT FOR USE IN DIAGNOSTIC OR THERAPEUTIC PROCEDURES'.

For licensing inquiries, please contact partnerships@abcam.com