JavaScript is disabled in your browser. Please enable JavaScript to view this website.
AB11068

Anti-Drebrin 抗体

Anti-Drebrin antibody

5

(5 Reviews)

|

(27 Publications)

Rabbit Polyclonal Drebrin antibody. Suitable for ICC, WB, IHC-P, ICC/IF and reacts with Mouse, Rat, Chicken, Human samples. Cited in 27 publications. Immunogen corresponding to Synthetic Peptide within Human DBN1 aa 1-50 conjugated to Keyhole Limpet Haemocyanin.

查看别名

D0S117E, DBN1, Drebrin, Developmentally-regulated brain protein

3 Images
Immunocytochemistry/ Immunofluorescence - Anti-Drebrin antibody (AB11068)
  • ICC/IF

Unknown

Immunocytochemistry/ Immunofluorescence - Anti-Drebrin antibody (AB11068)

ICC/IF image of ab11068 stained Hek293 cells. The cells were 4% formaldehyde fixed (10 min) and then incubated in 1%BSA / 10% normal goat serum / 0.3M glycine in 0.1% PBS-Tween for 1h to permeabilise the cells and block non-specific protein-protein interactions. The cells were then incubated with the antibody (ab11068, 1µg/ml) overnight at +4°C. The secondary antibody (green) was Alexa Fluor® 488 goat anti-rabbit IgG (H+L) used at a 1/1000 dilution for 1h. Alexa Fluor® 594 WGA was used to label plasma membranes (red) at a 1/200 dilution for 1h. DAPI was used to stain the cell nuclei (blue) at a concentration of 1.43µM.

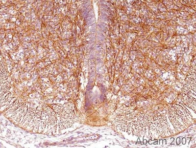
Immunohistochemistry (Formalin/PFA-fixed paraffin-embedded sections) - Anti-Drebrin antibody (AB11068)
  • IHC-P

Collaborator

Immunohistochemistry (Formalin/PFA-fixed paraffin-embedded sections) - Anti-Drebrin antibody (AB11068)

Rabbit polyclonal to Drebrin (ab11068) used in IHC(Formalin/PFA-fixed paraffin-embedded sections; Standard stABCpx-DAB detection). ab11068 detecting Drebrin protein on Rat spinal cord E16 embryo sections fixed in formaldehyde. Antigen retrieval step : Heat mediated. 1% BSA as blocking agent for 10 mins at RT. ab11068 was used at a dilution of 1/2500 incubated for 16 hours. Secondary Antibody is biotin labeled anti rabbit IgG (1/300). Drebrin positivity conformed to published localisation : essentially, many non-neuronal developing tissues were positive, eg : skeletal primary myotubes. This picture is of spinal cord floor plate region (x20). Nuclei were counterstained using Mayer's Haemalum.

This image is courtesy of Carl Hobbs, King's College London, United Kingdom

Immunocytochemistry/ Immunofluorescence - Anti-Drebrin antibody (AB11068)
  • ICC/IF

AbReview14977****

Immunocytochemistry/ Immunofluorescence - Anti-Drebrin antibody (AB11068)

ab11068 staining Drebrin in mouse COR-1 cells by Immunocytochemistry/ Immunofluorescence. Cells were fixed with paraformaldehyde, permeabilized with Triton x100 and blocking with 2% BSA was done at 250C for 15 minutes. Samples were incubated with primary antibody (1/100 : in 1% BSA, 0.25% gelatin in PBS) for 3 hours at 25°C. An Alexa Fluor®488-conjugated goat polyclonal to rabbit IgG was used at dilution at 1/200 as secondary antibody.

This image is a courtesy of Anonymous Abreview

关键信息

宿主种属

Rabbit

克隆

Polyclonal

亚型

IgG

不含载体蛋白

No

反应种属

Rat, Human, Mouse, Chicken

应用

ICC, ICC/IF, IHC-P, WB

applications

免疫原

Synthetic Peptide within Human DBN1 aa 1-50 conjugated to Keyhole Limpet Haemocyanin. The exact immunogen used to generate this antibody is proprietary information.

Q16643

反应性数据

{ "title": "Reactivity Data", "filters": { "stats": ["", "Species", "Dilution Info", "Notes"], "tabs": { "all-applications": {"fullname" : "All Applications", "shortname": "All Applications"}, "ICC" : {"fullname" : "Immunocytochemistry", "shortname":"ICC"}, "WB" : {"fullname" : "Western blot", "shortname":"WB"}, "IHCP" : {"fullname" : "Immunohistochemistry (Formalin/PFA-fixed paraffin-embedded sections)", "shortname":"IHC-P"}, "ICCIF" : {"fullname" : "Immunocytochemistry/ Immunofluorescence", "shortname":"ICC/IF"} }, "product-promise": { "all": "all", "testedAndGuaranteed": "tested", "guaranteed": "expected", "predicted": "predicted", "notRecommended": "not-recommended" } }, "values": { "Human": { "ICC-species-checked": "guaranteed", "ICC-species-dilution-info": "", "ICC-species-notes": "<p></p>", "WB-species-checked": "guaranteed", "WB-species-dilution-info": "", "WB-species-notes": "<p>ab11068 recognizes drebrin E/A isoforms (95 -120 kDa) and s-drebrin/A2 (approximately 45 kDa) by immunoblotting. An additional unknown band of 20 kDa may be observed in some preparations.</p>", "IHCP-species-checked": "guaranteed", "IHCP-species-dilution-info": "", "IHCP-species-notes": "", "ICCIF-species-checked": "testedAndGuaranteed", "ICCIF-species-dilution-info": "1 µg/mL", "ICCIF-species-notes": "<p></p>" }, "Mouse": { "ICC-species-checked": "guaranteed", "ICC-species-dilution-info": "", "ICC-species-notes": "<p></p>", "WB-species-checked": "guaranteed", "WB-species-dilution-info": "", "WB-species-notes": "<p>ab11068 recognizes drebrin E/A isoforms (95 -120 kDa) and s-drebrin/A2 (approximately 45 kDa) by immunoblotting. An additional unknown band of 20 kDa may be observed in some preparations.</p>", "IHCP-species-checked": "predicted", "IHCP-species-dilution-info": "", "IHCP-species-notes": "", "ICCIF-species-checked": "predicted", "ICCIF-species-dilution-info": "", "ICCIF-species-notes": "" }, "Rat": { "ICC-species-checked": "guaranteed", "ICC-species-dilution-info": "", "ICC-species-notes": "<p></p>", "WB-species-checked": "guaranteed", "WB-species-dilution-info": "", "WB-species-notes": "<p>ab11068 recognizes drebrin E/A isoforms (95 -120 kDa) and s-drebrin/A2 (approximately 45 kDa) by immunoblotting. An additional unknown band of 20 kDa may be observed in some preparations.</p>", "IHCP-species-checked": "testedAndGuaranteed", "IHCP-species-dilution-info": "", "IHCP-species-notes": "<p></p>", "ICCIF-species-checked": "guaranteed", "ICCIF-species-dilution-info": "", "ICCIF-species-notes": "" }, "Chicken": { "ICC-species-checked": "guaranteed", "ICC-species-dilution-info": "", "ICC-species-notes": "<p></p>", "WB-species-checked": "guaranteed", "WB-species-dilution-info": "", "WB-species-notes": "<p>ab11068 recognizes drebrin E/A isoforms (95 -120 kDa) and s-drebrin/A2 (approximately 45 kDa) by immunoblotting. An additional unknown band of 20 kDa may be observed in some preparations.</p>", "IHCP-species-checked": "predicted", "IHCP-species-dilution-info": "", "IHCP-species-notes": "", "ICCIF-species-checked": "predicted", "ICCIF-species-dilution-info": "", "ICCIF-species-notes": "" } } }

产品详情

Storage in frost-free freezers is not recommended. If slight turbidity occurs upon prolonged storage, clarify the solution by centrifugation before use. Working dilutions should be discarded if not used within 12 hours.

性能和储存信息

形式
Liquid
纯度
IgG fraction
纯化说明
Whole antiserum is fractionated and then further purified by ion-exchange chromatography to provide the IgG fraction of antiserum that is essentially free of other rabbit serum proteins.
存储溶液
pH: 7.4 Preservative: 0.097% Sodium azide Constituents: PBS
运输条件
Blue Ice
推荐的短期储存时间
1-2 weeks
推荐的短期储存条件
+4°C
推荐的长期储存条件
-20°C
分装信息
Upon delivery aliquot
储存信息
Avoid freeze / thaw cycle

产品实验方案

For this product, it's our understanding that no specific protocols are required. You can visit:

靶点信息

Actin cytoskeleton-organizing protein that plays a role in the formation of cell projections (PubMed : 20215400). Required for actin polymerization at immunological synapses (IS) and for the recruitment of the chemokine receptor CXCR4 to IS (PubMed : 20215400). Plays a role in dendritic spine morphogenesis and organization, including the localization of the dopamine receptor DRD1 to the dendritic spines (By similarity). Involved in memory-related synaptic plasticity in the hippocampus (By similarity).
See full target information DBN1

文献 (27)

Recent publications for all applications. Explore the full list and refine your search

Neoplasia (New York, N.Y.) 43:100921 PubMed37603953

2023

Therapeutic HDAC inhibition in hypermutant diffuse intrinsic pontine glioma.

Applications

Unspecified application

Species

Unspecified reactive species

Alyssa Noll,Carrie Myers,Matthew C Biery,Michael Meechan,Sophie Tahiri,Asmitha Rajendran,Michael E Berens,Danyelle Paine,Sara Byron,Jiaming Zhang,Conrad Winter,Fiona Pakiam,Sarah E S Leary,Bonnie L Cole,Evangeline R Jackson,Matthew D Dun,Jessica B Foster,Myron K Evans,Siobhan S Pattwell,James M Olson,Nicholas A Vitanza

Cell reports 40:111188 PubMed35977504

2022

Neuronal paxillin and drebrin mediate BDNF-induced force transduction and growth cone turning in a soft-tissue-like environment.

Applications

Unspecified application

Species

Unspecified reactive species

Chen Chen,Chien-Hsin Chu,Ying Chu,Ting-Ya Chang,Sheng-Wen Chen,Shu-Yang Liang,Yun-Chi Tsai,Bi-Chang Chen,Hsiung-Lin Tu,Pei-Lin Cheng

Anesthesiology 137:212-231 PubMed35504002

2022

Isoflurane Disrupts Postsynaptic Density-95 Protein Interactions Causing Neuronal Synapse Loss and Cognitive Impairment in Juvenile Mice via Canonical NO-mediated Protein Kinase-G Signaling.

Applications

Unspecified application

Species

Unspecified reactive species

Swati Agarwal,Michele L Schaefer,Caroline Krall,Roger A Johns

Cells 10: PubMed34685539

2021

Nano-Infrared Imaging of Primary Neurons.

Applications

Unspecified application

Species

Unspecified reactive species

Raul O Freitas,Adrian Cernescu,Anders Engdahl,Agnes Paulus,João E Levandoski,Isak Martinsson,Elke Hebisch,Christophe Sandt,Gunnar Keppler Gouras,Christelle N Prinz,Tomas Deierborg,Ferenc Borondics,Oxana Klementieva

Frontiers in cell and developmental biology 9:634347 PubMed33777942

2021

Cerebral Ischemia-Reperfusion Is Associated With Upregulation of Cofilin-1 in the Motor Cortex.

Applications

Unspecified application

Species

Unspecified reactive species

Ming-Shu Xu,Lei-Miao Yin,Ai-Fang Cheng,Ying-Jie Zhang,Di Zhang,Miao-Miao Tao,Yun-Yi Deng,Lin-Bao Ge,Chun-Lei Shan

Acta neuropathologica communications 9:22 PubMed33546775

2021

Non-cell autonomous astrocyte-mediated neuronal toxicity in prion diseases.

Applications

Unspecified application

Species

Unspecified reactive species

Rajesh Kushwaha,Anshuman Sinha,Natallia Makarava,Kara Molesworth,Ilia V Baskakov

The EMBO journal 39:e104870 PubMed32896909

2020

HIV-1 capsids mimic a microtubule regulator to coordinate early stages of infection.

Applications

Unspecified application

Species

Unspecified reactive species

Eveline Santos da Silva,Shanmugapriya Shanmugapriya,Viacheslav Malikov,Feng Gu,M Keegan Delaney,Mojgan H Naghavi

Nutrients 12: PubMed31963684

2020

The Preparation of Ginsenoside Rg5, Its Antitumor Activity against Breast Cancer Cells and Its Targeting of PI3K.

Applications

Unspecified application

Species

Unspecified reactive species

Yannan Liu,Daidi Fan

Molecular and cellular neurosciences 95:86-95 PubMed30763689

2019

APP depletion alters selective pre- and post-synaptic proteins.

Applications

Unspecified application

Species

Unspecified reactive species

Isak Martinsson,Estibaliz Capetillo-Zarate,Mathilde Faideau,Katarina Willén,Noemi Esteras,Susanne Frykman,Lars O Tjernberg,Gunnar K Gouras

Current biology : CB 28:2081-2093.e6 PubMed29910073

2018

Activity-Dependent Actin Remodeling at the Base of Dendritic Spines Promotes Microtubule Entry.

Applications

Unspecified application

Species

Unspecified reactive species

Philipp Schätzle,Marta Esteves da Silva,Roderick P Tas,Eugene A Katrukha,Hai Yin Hu,Corette J Wierenga,Lukas C Kapitein,Casper C Hoogenraad
View all publications

Abcam Product Promise

我们致力于为您的研究提供高质量的试剂,为您科研的每一步提供支持。若我们的产品未能达到预期性能,我们向您提供 Abcam Product Promise 保障。
详情请参阅我们的条款与条件。

Please note: All products are 'FOR RESEARCH USE ONLY. NOT FOR USE IN DIAGNOSTIC OR THERAPEUTIC PROCEDURES'.

For licensing inquiries, please contact partnerships@abcam.com