JavaScript is disabled in your browser. Please enable JavaScript to view this website.
AB134922

重组Anti-DPD抗体[EPR8811]

Anti-DPD antibody [EPR8811]

Be the first to review this product! Submit a review

|

(7 Publications)

Rabbit Recombinant Monoclonal DPD antibody. Suitable for IHC-P, WB, ICC/IF, Flow Cyt (Intra) and reacts with Human samples. Cited in 7 publications.

查看别名

Dihydropyrimidine dehydrogenase [NADP(+)], DHPDHase, DPD, Dihydrothymine dehydrogenase, Dihydrouracil dehydrogenase, DPYD

8 Images
Immunohistochemistry (Formalin/PFA-fixed paraffin-embedded sections) - Anti-DPD antibody [EPR8811] (AB134922)
  • IHC-P

Unknown

Immunohistochemistry (Formalin/PFA-fixed paraffin-embedded sections) - Anti-DPD antibody [EPR8811] (AB134922)

Immunohistochemical analysis of paraffin-embedded Human colon tissue staining DPD with unpurified ab134922 at 1/250 dilution.

Perform heat mediated antigen retrieval with citrate buffer pH 6 before commencing with IHC staining protocol.

Flow Cytometry (Intracellular) - Anti-DPD antibody [EPR8811] (AB134922)
  • Flow Cyt (Intra)

Unknown

Flow Cytometry (Intracellular) - Anti-DPD antibody [EPR8811] (AB134922)

Intracellular Flow Cytometry analysis of THP-1 (Human monocytic leukemia monocyte) cells labeling DPD with Purified ab134922 at 1/50 dilution (10 μg/ml) (Red). Cells were fixed with 4% Paraformaldehyde and permeabilised with 90% Methanol. A Goat anti rabbit IgG (Alexa Fluor® 488, ab150077) secondary antibody was used at 1/2000. Isotype control - Rabbit monoclonal IgG (Black). Unlabeled control - Cell without incubation with primary antibody and secondary antibody (Blue).

Immunohistochemistry (Formalin/PFA-fixed paraffin-embedded sections) - Anti-DPD antibody [EPR8811] (AB134922)
  • IHC-P

Unknown

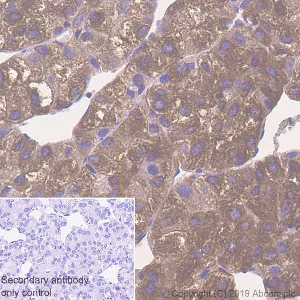
Immunohistochemistry (Formalin/PFA-fixed paraffin-embedded sections) - Anti-DPD antibody [EPR8811] (AB134922)

Immunohistochemistry (Formalin/PFA-fixed paraffin-embedded sections) analysis of human hepatocellular carcinoma tissue sections labeling DPD with Purified ab134922 at 1 : 500 dilution (0.998 µg/ml). Heat mediated antigen retrieval using Bond™ Epitope Retrieval Solution 1 (pH 6.0). Rabbit specific IHC polymer detection kit HRP/DAB (ab209101) was used for detection. Negative control : PBS instead of the primary antibody. Hematoxylin was used as a counterstain.

Immunocytochemistry/ Immunofluorescence - Anti-DPD antibody [EPR8811] (AB134922)
  • ICC/IF

Lab

Immunocytochemistry/ Immunofluorescence - Anti-DPD antibody [EPR8811] (AB134922)

Immunocytochemistry/Immunofluorescence analysis Jurkat (human acute T cell leukaemia) cells labelling DPD with purified ab134922 at a dilution of 1/500. Cells were fixed with 100% methanol. An Alexa Fluor® 488-conjugated goat anti-rabbit IgG (ab150077) at dilution of 1/1000 was used as the secondary antibody. Nuclei counterstained with DAPI (blue).

Secondary Only Control : PBS was used instead of the primary antibody as the negative control.

Immunohistochemistry (Formalin/PFA-fixed paraffin-embedded sections) - Anti-DPD antibody [EPR8811] (AB134922)
  • IHC-P

Unknown

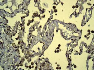
Immunohistochemistry (Formalin/PFA-fixed paraffin-embedded sections) - Anti-DPD antibody [EPR8811] (AB134922)

Immunohistochemical analysis of paraffin-embedded Human lung tissue staining DPD with unpurified ab134922 at 1/250 dilution.

Perform heat mediated antigen retrieval with citrate buffer pH 6 before commencing with IHC staining protocol.

Western blot - Anti-DPD antibody [EPR8811] (AB134922)
  • WB

Lab

Western blot - Anti-DPD antibody [EPR8811] (AB134922)

We are unsure how to define the extra bands.

All lanes:

Western blot - Anti-DPD antibody [EPR8811] (ab134922) at 1/1000 dilution

Lane 1:

HeLa (Human cervix adenocarcinoma epithelial cell) whole cell lysates at 20 µg

Lane 2:

MCF7 (Human breast adenocarcinoma epithelial cell) whole cell lysates at 20 µg

Lane 3:

Human liver lysates at 20 µg

Secondary

All lanes:

Goat Anti-Rabbit IgG (HRP) with minimal cross-reactivity with human IgG at 1/2000 dilution

Predicted band size: 111 kDa

Observed band size: 110 kDa

false

Western blot - Anti-DPD antibody [EPR8811] (AB134922)
  • WB

Unknown

Western blot - Anti-DPD antibody [EPR8811] (AB134922)

All lanes:

Western blot - Anti-DPD antibody [EPR8811] (ab134922) at 1/1000 dilution

Lane 1:

Fetal kidney cell lysate at 10 µg

Lane 2:

THP1 cell lysate at 10 µg

Lane 3:

HeLa cell lysate at 10 µg

Secondary

All lanes:

Goat-anti-rabbit HRP at 1/2000 dilution

Predicted band size: 111 kDa

true

Western blot - Anti-DPD antibody [EPR8811] (AB134922)
  • WB

Lab

Western blot - Anti-DPD antibody [EPR8811] (AB134922)

All lanes:

Western blot - Anti-DPD antibody [EPR8811] (ab134922) at 1/10000 dilution

All lanes:

THP-1 (Human monocytic leukemia monocyte) whole cell lysates at 15 µg

Secondary

All lanes:

Western blot - Goat Anti-Rabbit IgG H&L (HRP) (<a href='/products/secondary-antibodies/goat-rabbit-igg-h-l-hrp-ab97051'>ab97051</a>) at 1/20000 dilution

Predicted band size: 111 kDa

Observed band size: 110 kDa

false

不同偶联物与剂型 (2)

关键信息

宿主种属

Rabbit

克隆

Monoclonal

克隆号

EPR8811

亚型

IgG

不含载体蛋白

No

反应种属

Human

应用

Flow Cyt (Intra), ICC/IF, WB, IHC-P

applications

免疫原

The exact immunogen used to generate this antibody is proprietary information.

反应性数据

{ "title": "Reactivity Data", "filters": { "stats": ["", "Species", "Dilution Info", "Notes"], "tabs": { "all-applications": {"fullname" : "All Applications", "shortname": "All Applications"}, "IHCP" : {"fullname" : "Immunohistochemistry (Formalin/PFA-fixed paraffin-embedded sections)", "shortname":"IHC-P"}, "WB" : {"fullname" : "Western blot", "shortname":"WB"}, "ICCIF" : {"fullname" : "Immunocytochemistry/ Immunofluorescence", "shortname":"ICC/IF"}, "FlowCytIntra" : {"fullname" : "Flow Cytometry (Intracellular)", "shortname":"Flow Cyt (Intra)"} }, "product-promise": { "all": "all", "testedAndGuaranteed": "tested", "guaranteed": "expected", "predicted": "predicted", "notRecommended": "not-recommended" } }, "values": { "Human": { "IHCP-species-checked": "testedAndGuaranteed", "IHCP-species-dilution-info": "1/250 - 1/500", "IHCP-species-notes": "<p></p>", "WB-species-checked": "testedAndGuaranteed", "WB-species-dilution-info": "1/1000 - 1/10000", "WB-species-notes": "<p></p>", "ICCIF-species-checked": "testedAndGuaranteed", "ICCIF-species-dilution-info": "1/250 - 1/500", "ICCIF-species-notes": "<p></p>", "FlowCytIntra-species-checked": "testedAndGuaranteed", "FlowCytIntra-species-dilution-info": "1/50", "FlowCytIntra-species-notes": "<p></p>" } } }

产品详情

Species reactivity
Mouse, Rat: We have preliminary internal testing data to indicate this antibody may not react with these species.
Please contact us for more information.

Patented technology
Our RabMAb® technology is a patented hybridoma-based technology for making rabbit monoclonal antibodies. For details on our patents, please refer to RabMAb® patents.

What are the advantages of a recombinant monoclonal antibody?
This product is a recombinant monoclonal antibody, which offers several advantages including:

  • - High batch-to-batch consistency and reproducibility
  • - Improved sensitivity and specificity
  • - Long-term security of supply
  • - Animal-free batch production

For more information, read more on recombinant antibodies.

性能和储存信息

形式
Liquid
纯化工艺
Affinity purification Protein A
存储溶液
pH: 7.2 - 7.4 Preservative: 0.01% Sodium azide Constituents: PBS, 40% Glycerol (glycerin, glycerine), 0.05% BSA
运输条件
Blue Ice
推荐的短期储存时间
1-2 weeks
推荐的短期储存条件
+4°C
推荐的长期储存条件
-20°C
分装信息
Upon delivery aliquot
储存信息
Avoid freeze / thaw cycle

补充信息

This supplementary information is collated from multiple sources and compiled automatically.

DPD also known as dihydropyrimidine dehydrogenase is an enzyme important for the breakdown of pyrimidines particularly uracil and thymine. The DPD protein has an important role in the initial step of pyrimidine catabolism. It catalyzes the NADPH-dependent reduction of these pyrimidines to dihydrouracil and dihydrothymine. It consists of 1025 amino acids giving it a mass of approximately 111 kDa. DPD is expressed in various tissues with significant expression in the liver and to a lesser extent in peripheral blood lymphocytes.
Biological function summary

Dihydropyrimidine dehydrogenase impacts nucleotide metabolism which is significant for cellular replication and repair processes. DPD exists as part of a multi-enzyme complex that handles pyrimidine metabolism. It serves an important regulatory function by controlling the level of pyrimidines within cells. This regulation keeps the balance of free nucleotides which is critical for DNA synthesis and overall cellular homeostasis.

Pathways

DPD holds an important position in pyrimidine metabolism pathways and the drug metabolism pathway specifically influencing fluoropyrimidine-based chemotherapeutic agents. Within the pyrimidine metabolic pathway DPD links to other enzymes that further breakdown pyrimidines into more basic compounds. In drug metabolism DPD plays a vital role by metabolizing drugs like 5-fluorouracil. Its activity affects how individuals process these medications linking it to enzymes like thymidylate synthase that share pathways in cancer treatment drug action.

DPD deficiency relates to a genetic disorder that causes an excessive build-up of uracil and thymine leading to developmental disorders and neurological problems. Additionally abnormalities in DPD activity influence the efficacy and toxicity of fluorouracil chemotherapy in cancer treatments. DPD enzymatic activity when not properly regulated can lead to severe toxic reactions especially in relation to therapies reliant on enzymes such as thymidylate synthase emphasizing the critical interplay between these proteins in the management of fluoropyrimidine drug treatments.

产品实验方案

For this product, it's our understanding that no specific protocols are required. You can visit:

靶点信息

Involved in pyrimidine base degradation (PubMed : 1512248). Catalyzes the reduction of uracil and thymine (PubMed : 1512248). Also involved the degradation of the chemotherapeutic drug 5-fluorouracil (PubMed : 1512248).
See full target information Dihydropyrimidine dehydrogenase [NADP(+)]

文献 (7)

Recent publications for all applications. Explore the full list and refine your search

Nature communications 15:10005 PubMed39562821

2024

Proteomic profiling of gliomas unveils immune and metabolism-driven subtypes with implications for anti-nucleotide metabolism therapy.

Applications

Unspecified application

Species

Unspecified reactive species

Jinsen Zhang,Rui Sun,Yingying Lyu,Chaxian Liu,Ying Liu,Yuan Feng,Minjie Fu,Peter Jih Cheng Wong,Zunguo Du,Tianming Qiu,Yi Zhang,Dongxiao Zhuang,Zhiyong Qin,Yu Yao,Wei Zhu,Tiannan Guo,Wei Hua,Hui Yang,Ying Mao

Cancer cell 40:957-972.e10 PubMed35985342

2022

A druggable addiction to de novo pyrimidine biosynthesis in diffuse midline glioma.

Applications

Unspecified application

Species

Unspecified reactive species

Sharmistha Pal,Jakub P Kaplan,Huy Nguyen,Sylwia A Stopka,Milan R Savani,Michael S Regan,Quang-De Nguyen,Kristen L Jones,Lisa A Moreau,Jingyu Peng,Marina G Dipiazza,Andrew J Perciaccante,Xiaoting Zhu,Bradley R Hunsel,Kevin X Liu,Sanda Alexandrescu,Rachid Drissi,Mariella G Filbin,Samuel K McBrayer,Nathalie Y R Agar,Dipanjan Chowdhury,Daphne A Haas-Kogan

PloS one 16:e0252822 PubMed34101751

2021

Tamoxifen resistance alters sensitivity to 5-fluorouracil in a subset of estrogen receptor-positive breast cancer.

Applications

Unspecified application

Species

Unspecified reactive species

Takayuki Watanabe,Takaaki Oba,Keiji Tanimoto,Tomohiro Shibata,Shinobu Kamijo,Ken-Ichi Ito

Ecancermedicalscience 14:1054 PubMed32582369

2020

Chemotherapy-induced necrotising tumour lysis and perforation of a huge gastric cancer simulating emphysematous pancreatitis.

Applications

Unspecified application

Species

Unspecified reactive species

Frank S Fan,Chung-Fan Yang

Cell death and differentiation 26:2223-2236 PubMed30737477

2019

Thymidylate synthase maintains the de-differentiated state of triple negative breast cancers.

Applications

Unspecified application

Species

Unspecified reactive species

Aarif Siddiqui,Paradesi Naidu Gollavilli,Annemarie Schwab,Maria Eleni Vazakidou,Pelin G Ersan,Mallika Ramakrishnan,Dick Pluim,Si'Ana Coggins,Ozge Saatci,Laura Annaratone,Jan Hm Schellens,Baek Kim,Irfan Ahmed Asangani,Suhail Ahmed Kabeer Rasheed,Caterina Marchiò,Ozgur Sahin,Paolo Ceppi

The International journal of biological markers 33:180-188 PubMed29799355

2018

Deciphering the potential value of 5-fluorouracil metabolic enzymes in predicting prognosis and treatment response of colorectal cancer patients.

Applications

Unspecified application

Species

Unspecified reactive species

Kinjal K Gajjar,Hemangini H Vora,Toral P Kobawala,Trupti I Trivedi,Nandita R Ghosh

Journal of oral and maxillofacial surgery : official journal of the American Association of Oral and Maxillofacial Surgeons 75:514-524 PubMed27789270

2016

Topical 5-Fluorouracil is a Novel Targeted Therapy for the Keratocystic Odontogenic Tumor.

Applications

Unspecified application

Species

Unspecified reactive species

Nicholas J Ledderhof,Marco F Caminiti,Grace Bradley,David K Lam
View all publications

Abcam Product Promise

我们致力于为您的研究提供高质量的试剂,为您科研的每一步提供支持。若我们的产品未能达到预期性能,我们向您提供 Abcam Product Promise 保障。
详情请参阅我们的条款与条件。

Please note: All products are 'FOR RESEARCH USE ONLY. NOT FOR USE IN DIAGNOSTIC OR THERAPEUTIC PROCEDURES'.

For licensing inquiries, please contact partnerships@abcam.com