JavaScript is disabled in your browser. Please enable JavaScript to view this website.
AB75049

Anti-DOK7抗体

Anti-DOK7 antibody

3

(1 Review)

|

(6 Publications)

Rabbit Polyclonal DOK7 antibody. Suitable for WB, IHC-P, ICC/IF and reacts with Mouse, Human samples. Cited in 6 publications. Immunogen corresponding to Synthetic Peptide within Human DOK7.

查看别名

C4orf25, DOK7, Protein Dok-7, Downstream of tyrosine kinase 7

3 Images
Immunocytochemistry/ Immunofluorescence - Anti-DOK7 antibody (AB75049)
  • ICC/IF

Unknown

Immunocytochemistry/ Immunofluorescence - Anti-DOK7 antibody (AB75049)

HepG2 cells with ab75049 at 1/500 dilution, in the absence and presence of the immunising peptide.

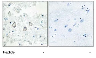
Immunohistochemistry (Formalin/PFA-fixed paraffin-embedded sections) - Anti-DOK7 antibody (AB75049)
  • IHC-P

Unknown

Immunohistochemistry (Formalin/PFA-fixed paraffin-embedded sections) - Anti-DOK7 antibody (AB75049)

Human brain tissue with ab75049 at 1/50 dilution, in the absence and presence of the immunising peptide.

Western blot - Anti-DOK7 antibody (AB75049)
  • WB

Unknown

Western blot - Anti-DOK7 antibody (AB75049)

All lanes:

Western blot - Anti-DOK7 antibody (ab75049) at 1/500 dilution

Lane 1:

extracts from mouse brain cells at 5 µg

Lane 2:

extracts from mouse brain cells at 5 µg with immunising peptide

Predicted band size: 53 kDa

Observed band size: 46 kDa,53 kDa,80 kDa

false

关键信息

宿主种属

Rabbit

克隆

Polyclonal

亚型

IgG

不含载体蛋白

No

反应种属

Mouse, Human

应用

IHC-P, ICC/IF, WB

applications

免疫原

Synthetic Peptide within Human DOK7. The exact immunogen used to generate this antibody is proprietary information.

Q18PE1

反应性数据

{ "title": "Reactivity Data", "filters": { "stats": ["", "Species", "Dilution Info", "Notes"], "tabs": { "all-applications": {"fullname" : "All Applications", "shortname": "All Applications"}, "WB" : {"fullname" : "Western blot", "shortname":"WB"}, "IHCP" : {"fullname" : "Immunohistochemistry (Formalin/PFA-fixed paraffin-embedded sections)", "shortname":"IHC-P"}, "ICCIF" : {"fullname" : "Immunocytochemistry/ Immunofluorescence", "shortname":"ICC/IF"} }, "product-promise": { "all": "all", "testedAndGuaranteed": "tested", "guaranteed": "expected", "predicted": "predicted", "notRecommended": "not-recommended" } }, "values": { "Human": { "WB-species-checked": "guaranteed", "WB-species-dilution-info": "", "WB-species-notes": "", "IHCP-species-checked": "testedAndGuaranteed", "IHCP-species-dilution-info": "1/50 - 1/100", "IHCP-species-notes": "<p></p>", "ICCIF-species-checked": "testedAndGuaranteed", "ICCIF-species-dilution-info": "1/500 - 1/1000", "ICCIF-species-notes": "<p></p>" }, "Mouse": { "WB-species-checked": "testedAndGuaranteed", "WB-species-dilution-info": "1/500 - 1/1000", "WB-species-notes": "<p></p>", "IHCP-species-checked": "guaranteed", "IHCP-species-dilution-info": "", "IHCP-species-notes": "", "ICCIF-species-checked": "guaranteed", "ICCIF-species-dilution-info": "", "ICCIF-species-notes": "" } } }

性能和储存信息

形式
Liquid
纯化工艺
Affinity purification Immunogen
存储溶液
pH: 7.4 Preservative: 0.02% Sodium azide Constituents: PBS, 50% Glycerol (glycerin, glycerine), 0.87% Sodium chloride
运输条件
Blue Ice
推荐的短期储存条件
+4°C
推荐的长期储存条件
-20°C
分装信息
Upon delivery aliquot
储存信息
Avoid freeze / thaw cycle

补充信息

This supplementary information is collated from multiple sources and compiled automatically.

DOK7 also known as Downstream of tyrosine kinase 7 functions as an adaptor protein involved in the activation of muscle-specific kinase (MuSK). The protein has a molecular weight of approximately 55 kDa. DOK7 is mainly expressed in skeletal muscle tissue and is most active at neuromuscular junctions. By facilitating the assembly of receptor complexes DOK7 supports the signaling required for neuromuscular synapse formation and maintenance.
Biological function summary

This adaptor protein contributes to agrin-induced MuSK activation playing an important role in the neuromuscular junction during synaptogenesis. DOK7 is essential for the recruitment and stabilization of the kinase and its interaction partners by helping in receptor clustering and phosphorylation events. It forms part of a transient complex that regulates the spatial arrangement of essential signaling proteins required to mediate synaptic differentiation.

Pathways

DOK7 is involved in the agrin/MuSK/DOK7 signaling pathway which is critical for neuromuscular junction development and maintenance. This pathway involves interactions with proteins like agrin and rapsyn as well as with non-receptor tyrosine kinase Src. These interactions help in clustering acetylcholine receptors on muscle cell surfaces an essential process for efficient neuromuscular synapse function.

Mutations or disruptions in DOK7 can lead to congenital myasthenic syndromes (CMS) a group of genetic disorders affecting the neuromuscular transmission. This condition is characterized by muscle weakness that can vary in severity among patients. DOK7 mutations can affect the interaction with MuSK disrupting the signaling process at the neuromuscular junction. Understanding the function and relevance of DOK7 in neuromuscular health helps in developing therapeutic strategies for managing disorders associated with neuromuscular transmission issues.

产品实验方案

For this product, it's our understanding that no specific protocols are required. You can visit:

靶点信息

Probable muscle-intrinsic activator of MUSK that plays an essential role in neuromuscular synaptogenesis. Acts in aneural activation of MUSK and subsequent acetylcholine receptor (AchR) clustering in myotubes. Induces autophosphorylation of MUSK.
See full target information DOK7

文献 (6)

Recent publications for all applications. Explore the full list and refine your search

Function (Oxford, England) 5:zqae011 PubMed38706958

2024

Long-term Musculoskeletal Consequences of Chemotherapy in Pediatric Mice.

Applications

Unspecified application

Species

Unspecified reactive species

Joshua R Huot,Patrick D Livingston,Fabrizio Pin,Connor R Thomas,Nicholas A Jamnick,Chandler S Callaway,Andrea Bonetto

American journal of cancer research 11:2990-3001 PubMed34249440

2021

Muscle weakness caused by cancer and chemotherapy is associated with loss of motor unit connectivity.

Applications

Unspecified application

Species

Unspecified reactive species

Joshua R Huot,Fabrizio Pin,Andrea Bonetto

Journal of oncology 2021:4035257 PubMed33552156

2021

DOK7 Inhibits Cell Proliferation, Migration, and Invasion of Breast Cancer via the PI3K/PTEN/AKT Pathway.

Applications

Unspecified application

Species

Unspecified reactive species

Changli Yue,Yuping Bai,Yingshi Piao,Honggang Liu

Medicine and science in sports and exercise 52:1477-1484 PubMed31985575

2020

Modification of Neuromuscular Junction Protein Expression by Exercise and Doxorubicin.

Applications

Unspecified application

Species

Unspecified reactive species

Andres Mor Huertas,Aaron B Morton,J Matthew Hinkey,Noriko Ichinoseki-Sekine,Ashley J Smuder

International journal of oncology 54:381-389 PubMed30431081

2018

DOK7V1 influences the malignant phenotype of lung cancer cells through PI3K/AKT/mTOR and FAK/paxillin signaling pathways.

Applications

Unspecified application

Species

Unspecified reactive species

Huishan Zhao,Gang Chen,Lin Ye,Hefen Yu,Shenglan Li,Wen G Jiang

Journal of Alzheimer's disease : JAD 50:101-10 PubMed26639969

2015

Decreased Levels of VAMP2 and Monomeric Alpha-Synuclein Correlate with Duration of Dementia.

Applications

Unspecified application

Species

Unspecified reactive species

Julie Vallortigara,David Whitfield,William Quelch,Amani Alghamdi,David Howlett,Tibor Hortobágyi,Mary Johnson,Johannes Attems,John T O'Brien,Alan Thomas,Clive G Ballard,Dag Aarsland,Paul T Francis
View all publications

Abcam Product Promise

我们致力于为您的研究提供高质量的试剂,为您科研的每一步提供支持。若我们的产品未能达到预期性能,我们向您提供 Abcam Product Promise 保障。
详情请参阅我们的条款与条件。

Please note: All products are 'FOR RESEARCH USE ONLY. NOT FOR USE IN DIAGNOSTIC OR THERAPEUTIC PROCEDURES'.

For licensing inquiries, please contact partnerships@abcam.com