JavaScript is disabled in your browser. Please enable JavaScript to view this website.
AB2851

Anti-Dnmt3b 抗体

Anti-Dnmt3b antibody

4

(5 Reviews)

|

(162 Publications)

Anti-Dnmt3b antibody (ab2851) is a rabbit polyclonal antibody detecting Dnmt3b in Western Blot, IHC-P. Suitable for Human, Mouse.

- Over 130 publications
- Trusted since 2003

查看别名

DNA (cytosine-5)-methyltransferase 3B, Dnmt3b, DNA methyltransferase HsaIIIB, DNA MTase HsaIIIB, M.HsaIIIB, DNMT3B

5 Images
Western blot - Anti-Dnmt3b antibody (AB2851)
  • WB

Unknown

Western blot - Anti-Dnmt3b antibody (AB2851)

All lanes:

Western blot - Anti-Dnmt3b antibody (ab2851) at 1 µg/mL

Lane 1:

A498 (Human Kidney Carcinoma) Whole Cell Lysate at 10 µg

Lane 2:

JEG-3 (Human placental choriocarcinoma cell line) Whole Cell Lysate at 10 µg

Secondary

All lanes:

Western blot - Goat Anti-Rabbit IgG H&L (HRP) preadsorbed (<a href='/products/secondary-antibodies/goat-rabbit-igg-h-l-hrp-preadsorbed-ab97080'>ab97080</a>) at 1/5000 dilution

Predicted band size: 96 kDa

Observed band size: 32 kDa,46 kDa,97.5 kDa

true

Exposure time: 2min

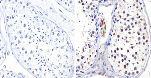
Immunohistochemistry (Formalin/PFA-fixed paraffin-embedded sections) - Anti-Dnmt3b antibody (AB2851)
  • IHC-P

Supplier Data

Immunohistochemistry (Formalin/PFA-fixed paraffin-embedded sections) - Anti-Dnmt3b antibody (AB2851)

ab2851 labellling Dnmt3b in the nucleus of Human testis tissue (right) compared with a negative control (left) by Immunohistochemistry (formalin/PFA-fixed paraffin-embedded sections). To expose target proteins, antigen retrieval method was performed using 10mM sodium citrate (pH 6.0) microwaved for 8-15 min. Tissues were blocked in 3% H2O2-methanol for 15 min at room temperature, washed with ddH2O and PBS. Tissue sections were incubated with primary antibody (1 : 500 in 3% BSA-PBS) overnight at 4°C. A HRP-conjugated anti-rabbit was used as the secondary antibody, followed by colorimetric detection using a DAB kit. Tissues were counterstained with hematoxylin and dehydrated with ethanol and xylene to prep for mounting.

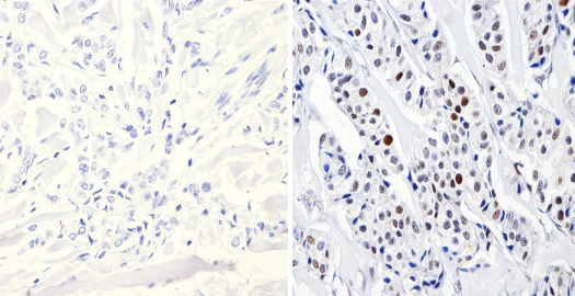
Immunohistochemistry (Formalin/PFA-fixed paraffin-embedded sections) - Anti-Dnmt3b antibody (AB2851)
  • IHC-P

Supplier Data

Immunohistochemistry (Formalin/PFA-fixed paraffin-embedded sections) - Anti-Dnmt3b antibody (AB2851)

ab2851 labellling Dnmt3b in the nucleus and cytoplasm of Human breast carcinoma (right) compared with a negative control (left) by Immunohistochemistry (formalin/PFA-fixed paraffin-embedded sections). To expose target proteins, antigen retrieval method was performed using 10mM sodium citrate (pH 6.0) microwaved for 8-15 min. Tissues were blocked in 3% H2O2-methanol for 15 min at room temperature, washed with ddH2O and PBS. Tissue sections were incubated with primary antibody (1 : 500 in 3% BSA-PBS) overnight at 4°C. A HRP-conjugated anti-rabbit was used as the secondary antibody, followed by colorimetric detection using a DAB kit. Tissues were counterstained with hematoxylin and dehydrated with ethanol and xylene to prep for mounting.

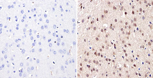
Immunohistochemistry (Formalin/PFA-fixed paraffin-embedded sections) - Anti-Dnmt3b antibody (AB2851)
  • IHC-P

Supplier Data

Immunohistochemistry (Formalin/PFA-fixed paraffin-embedded sections) - Anti-Dnmt3b antibody (AB2851)

ab2851 labellling Dnmt3b in the nucleus of Mouse brain tissue (right) compared with a negative control (left) by Immunohistochemistry (formalin/PFA-fixed paraffin-embedded sections). To expose target proteins, antigen retrieval method was performed using 10mM sodium citrate (pH 6.0) microwaved for 8-15 min. Tissues were blocked in 3% H2O2-methanol for 15 min at room temperature, washed with ddH2O and PBS. Tissue sections were incubated with primary antibody (1 : 200 in 3% BSA-PBS) overnight at 4°C. A HRP-conjugated anti-rabbit was used as the secondary antibody, followed by colorimetric detection using a DAB kit. Tissues were counterstained with hematoxylin and dehydrated with ethanol and xylene to prep for mounting.

Western blot - Anti-Dnmt3b antibody (AB2851)
  • WB

Supplier Data

Western blot - Anti-Dnmt3b antibody (AB2851)

All lanes:

Western blot - Anti-Dnmt3b antibody (ab2851) at 1/1000 dilution

Lane 1:

HeLa cell lysate at 25 µg

Lane 2:

A549 cell lysate at 25 µg

Lane 3:

NIH-3T3 cell lysate at 25 µg

Predicted band size: 96 kDa

Observed band size: 97 kDa

false

关键信息

宿主种属

Rabbit

克隆

Polyclonal

亚型

IgG

不含载体蛋白

No

反应种属

Mouse, Human

应用

IHC-P, WB

applications

免疫原

Synthetic Peptide within Mouse Dnmt3b aa 1-50. The exact immunogen used to generate this antibody is proprietary information.

O88509

特异性

This antibody detects DNA methyltransferase 3b (Dnmt3b) from human and mouse tissues and cells as well as recombinant human Dnmt3b. This antibody detects, to a lesser extent, full-length human recombinant Dnmt3a.

反应性数据

{ "title": "Reactivity Data", "filters": { "stats": ["", "Species", "Dilution Info", "Notes"], "tabs": { "all-applications": {"fullname" : "All Applications", "shortname": "All Applications"}, "WB" : {"fullname" : "Western blot", "shortname":"WB"}, "IHCP" : {"fullname" : "Immunohistochemistry (Formalin/PFA-fixed paraffin-embedded sections)", "shortname":"IHC-P"} }, "product-promise": { "all": "all", "testedAndGuaranteed": "tested", "guaranteed": "expected", "predicted": "predicted", "notRecommended": "not-recommended" } }, "values": { "Human": { "WB-species-checked": "testedAndGuaranteed", "WB-species-dilution-info": "2 µg/mL", "WB-species-notes": "<p></p>", "IHCP-species-checked": "testedAndGuaranteed", "IHCP-species-dilution-info": "1/100 - 1/1000", "IHCP-species-notes": "<p></p>" }, "Mouse": { "WB-species-checked": "guaranteed", "WB-species-dilution-info": "", "WB-species-notes": "", "IHCP-species-checked": "testedAndGuaranteed", "IHCP-species-dilution-info": "1/100 - 1/1000", "IHCP-species-notes": "<p></p>" } } }

产品详情

What is this antibody validated in?
Anti-Dnmt3b antibody (ab2851) is a rabbit polyclonal antibody and is validated for use in Western Blot (WB), Immunohistochemistry (IHC-P) in Human, Mouse samples.

What is the molecular weight of Dnmt3b?
Anti-Dnmt3b (ab2851) specifically detects a band for Dnmt3b (UniProt: O88509) at a molecular weight of 97.5kDa.

Trusted by the scientific community
Anti-Dnmt3b (ab2851) was first used in a scientific publication in 2003 and has been cited over 130 times in peer-reviewed journals.

Reviewed by scientists
Anti-Dnmt3b (ab2851) has over 5 independent reviews from customers.

性能和储存信息

形式
Liquid
纯化工艺
Affinity purification Immunogen
存储溶液
Preservative: 0.05% Sodium azide Constituents: PBS, 0.1% BSA
运输条件
Blue Ice
推荐的短期储存时间
1-2 weeks
推荐的短期储存条件
+4°C
推荐的长期储存条件
-20°C
分装信息
Upon delivery aliquot
储存信息
Avoid freeze / thaw cycle

产品实验方案

For this product, it's our understanding that no specific protocols are required. You can visit:

靶点信息

Required for genome-wide de novo methylation and is essential for the establishment of DNA methylation patterns during development. DNA methylation is coordinated with methylation of histones. May preferentially methylates nucleosomal DNA within the nucleosome core region. May function as transcriptional co-repressor by associating with CBX4 and independently of DNA methylation. Seems to be involved in gene silencing (By similarity). In association with DNMT1 and via the recruitment of CTCFL/BORIS, involved in activation of BAG1 gene expression by modulating dimethylation of promoter histone H3 at H3K4 and H3K9. Isoforms 4 and 5 are probably not functional due to the deletion of two conserved methyltransferase motifs. Functions as a transcriptional corepressor by associating with ZHX1. Required for DUX4 silencing in somatic cells (PubMed : 27153398).
See full target information DNMT3B

文献 (162)

Recent publications for all applications. Explore the full list and refine your search

The EMBO journal 44:4962-4983 PubMed40702315

2025

Deletion of EP3 prostaglandin receptor in murine macrophages aggravates diet-induced obesity by suppressing SPARC.

Applications

Unspecified application

Species

Unspecified reactive species

Wenlong Shang,Yinxiu Li,Lu Wang,Jiao Liu,Huiwen Ren,Qian Liu,Shumin Guo,Yuhong Wang,Yubo Ma,Tianyi You,Yujun Shen,Yu Zhou,Danyang Tian,Ying Yu

Clinical epigenetics 17:129 PubMed40696470

2025

Targeting PRMT1-mediated methylation of TAF15 to protect against myocardial infarction by inhibiting ferroptosis via the GPX4/NRF2 pathway.

Applications

Unspecified application

Species

Unspecified reactive species

Guanshen Huang,Liwei He,Bishan Liang,Mingjian Gao,Jianming Huang,Hao Xia,Xinyu Li,Hai Li,Yunjun Ruan

Scientific reports 15:21070 PubMed40595027

2025

DNMT3B aggravated renal fibrosis in diabetic kidney disease via activating Wnt/β-catenin signaling pathway.

Applications

Unspecified application

Species

Unspecified reactive species

Lingling Qu,Tong Wang,Jing Kong,Xin Wu,Qingxuan Li,Tianhua Long,Xiaomin An,Yuwei Lu,Yao Mu,Yao Ran,Bing Guo,Mingjun Shi

Epigenetics & chromatin 18:29 PubMed40346661

2025

DNMT3B promotes the progression of pheochromocytoma by mediating the hypermethylation of LRP1B promoter.

Applications

Unspecified application

Species

Unspecified reactive species

Min Sun,Yanrong Ma,Jing Wan,Bingli Zheng,Zhenfeng Shi,Jiuzhi Li

Acta neuropathologica communications 12:125 PubMed39107797

2024

Genome-wide CRISPR-Cas9 knockout screens identify DNMT1 as a druggable dependency in sonic hedgehog medulloblastoma.

Applications

Unspecified application

Species

Unspecified reactive species

Foteini Tsiami,Chiara Lago,Noemi Pozza,Federica Piccioni,Xuesong Zhao,Fabienne Lülsberg,David E Root,Luca Tiberi,Marcel Kool,Jens Schittenhelm,Pratiti Bandopadhayay,Rosalind A Segal,Ghazaleh Tabatabai,Daniel J Merk

American journal of cancer research 14:1768-1783 PubMed38726285

2024

Roles of RNA mC modification patterns in prognosis and tumor microenvironment infiltration of diffuse large B-cell lymphoma.

Applications

Unspecified application

Species

Unspecified reactive species

Wenting Cui,Cancan Luo,Lili Zhou,Tiantian Yu,Yongsheng Meng,Qianqian Yu,Zhixiang Lei,Ya Wang,Lijuan Peng,Qingqing Luo,Duozhuang Tang,Ruifang Sun,Li Yu

Biomarker research 12:43 PubMed38654298

2024

Immune escape of multiple myeloma cells results from low miR29b and the ensuing epigenetic silencing of proteasome genes.

Applications

Unspecified application

Species

Unspecified reactive species

Patrizia Leone,Eleonora Malerba,Marcella Prete,Antonio Giovanni Solimando,Giorgio Alberto Croci,Paolo Ditonno,Marco Tucci,Nicola Susca,Afshin Derakhshani,Antoine Dufour,Valli De Re,Nicola Silvestris,Vito Racanelli

BMC musculoskeletal disorders 25:180 PubMed38413962

2024

Dnmt3b ablation affects fracture repair process by regulating apoptosis.

Applications

Unspecified application

Species

Unspecified reactive species

Xu Wang,Qinwen Ge,Qinghe Zeng,Kaiao Zou,Zhengsheng Bao,Jun Ying,Zhen Wu,Hongting Jin,Jiali Chen,Taotao Xu

Journal of translational medicine 21:882 PubMed38057853

2023

GATA6-AS1 suppresses epithelial-mesenchymal transition of pancreatic cancer under hypoxia through regulating SNAI1 mRNA stability.

Applications

Unspecified application

Species

Unspecified reactive species

Yunhui Zhou,Xinyi Zhou,Qiwen Ben,Ningning Liu,Jiahui Wang,Yongpeng Zhai,Yichen Bao,Lin Zhou

ChemMedChem 19:e202300467 PubMed38031642

2023

Exploring Derivatives of Quinolizidine Alkaloid Sophoridine in the Design and Biological Mechanistic Evaluation of Histone Deacetylase Inhibitors against Triple-Negative Breast Cancer.

Applications

Unspecified application

Species

Unspecified reactive species

Linlin Dai,Cheng Tan,Hui Wang,Luyao Wang,Ting Zhang,Shuang Zhi,Zibo Yang,Xiumei Zhao,Dongdong Li
View all publications

Abcam Product Promise

我们致力于为您的研究提供高质量的试剂,为您科研的每一步提供支持。若我们的产品未能达到预期性能,我们向您提供 Abcam Product Promise 保障。
详情请参阅我们的条款与条件。

Please note: All products are 'FOR RESEARCH USE ONLY. NOT FOR USE IN DIAGNOSTIC OR THERAPEUTIC PROCEDURES'.

For licensing inquiries, please contact partnerships@abcam.com