JavaScript is disabled in your browser. Please enable JavaScript to view this website.
AB19905

Anti-Dnmt1抗体

Anti-Dnmt1 antibody

4

(11 Reviews)

|

(84 Publications)

Rabbit Polyclonal DNMT1 antibody. Suitable for IP, WB, IHC-P, ICC/IF and reacts with Human samples. Cited in 84 publications.

查看别名

AIM, CXXC9, DNMT, DNMT1, DNA (cytosine-5)-methyltransferase 1, Dnmt1, CXXC-type zinc finger protein 9, DNA methyltransferase HsaI, MCMT, DNA MTase HsaI, M.HsaI

8 Images
Immunohistochemistry (Formalin/PFA-fixed paraffin-embedded sections) - Anti-Dnmt1 antibody (AB19905)
  • IHC-P

AbReview11955****

Immunohistochemistry (Formalin/PFA-fixed paraffin-embedded sections) - Anti-Dnmt1 antibody (AB19905)

ab19905 (1/100) staining Dnmt1 in paraffin-embbeded mouse testis tissue sections. Tissue underwent fixation in formaldehyde, heat-mediated antigen retrieval in 10mM citrate buffer pH 6.0 and blocking (30 minutes, 8% milk). A biotinylated anti-rabbit IgG (H+L) antibody was used as the secondary. For further experimental details please refer to abreview.

This image is courtesy of an anonymous Abreview

Functional Studies - Anti-Dnmt1 antibody (AB19905)
  • FuncS

Unknown

Functional Studies - Anti-Dnmt1 antibody (AB19905)

Jurkat cells were incubated at 37°C for 5 days with vehicle control (0 μM) and different concentrations of hydralazine hydrochloride (ab120863). Decreased expression of DNMT1 (ab19905) in Jurkat cells correlates with an increase in hydralazine hydrochloride concentration, as described in literature.

Whole cell lysates were prepared with RIPA buffer (containing protease inhibitors and sodium orthovanadate), 20μg of each were loaded on the gel and the WB was run under reducing conditions. After transfer the membrane was blocked for an hour using 5% BSA before being incubated with ab19905 at 1 μg/ml and ab8227 at 1 μg/ml overnight at 4°C. Antibody binding was detected using an anti-rabbit antibody conjugated to HRP (ab97051) at 1/10000 dilution and visualised using ECL development solution.

Western blot - Anti-Dnmt1 antibody (AB19905)
  • WB

Project

Western blot - Anti-Dnmt1 antibody (AB19905)

ab19905 specifically recognises Dnmt1 at 183 kDa in HeLa nuclear extracts (lane1), which is efficiently blocked using the immunising peptide (ab21999) (lane2).

All lanes:

Western blot - Anti-Dnmt1 antibody (ab19905) at 1 µg/mL

Lane 1:

HeLa nuclear lysate at 20 µg

Lane 2:

HeLa nuclear lysate at 20 µg with Human Dnmt1 peptide (<a href='/products/unavailable/human-dnmt1-peptide-ab21999'>ab21999</a>)

Secondary

All lanes:

Goat polyclonal to Rabbit IgG (Alexa Fluor® 680) at 1/10000 dilution

Predicted band size: 183 kDa

Observed band size: 183 kDa

false

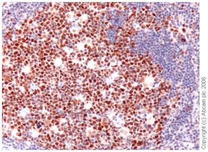
Immunohistochemistry (Formalin/PFA-fixed paraffin-embedded sections) - Anti-Dnmt1 antibody (AB19905)
  • IHC-P

Unknown

Immunohistochemistry (Formalin/PFA-fixed paraffin-embedded sections) - Anti-Dnmt1 antibody (AB19905)

Staining of human tonsil tissue was performed using ab19905. Strong nuclear staining was observed in germinal center cells and scattered cells in the interfollicular area. T cells were weakly to moderately positive and endothelial cells were positive.

Immunocytochemistry/ Immunofluorescence - Anti-Dnmt1 antibody (AB19905)
  • ICC/IF

Unknown

Immunocytochemistry/ Immunofluorescence - Anti-Dnmt1 antibody (AB19905)

ICC/IF image of ab19905 stained HeLa cells. The cells were 4% PFA fixed (10 min) and then incubated in 1%BSA / 10% normal goat serum / 0.3M glycine in 0.1% PBS-Tween for 1h to permeabilise the cells and block non-specific protein-protein interactions. The cells were then incubated with the antibody (ab19905, 1µg/ml) overnight at +4°C. The secondary antibody (green) was Alexa Fluor® 488 goat anti-rabbit IgG (H+L) used at a 1/1000 dilution for 1h. Alexa Fluor® 594 WGA was used to label plasma membranes (red) at a 1/200 dilution for 1h. DAPI was used to stain the cell nuclei (blue) at a concentration of 1.43µM. This antibody also gave a positive result in 1% PFA fixed (10 min) Hek293, HepG2 and MCF7 cells at 1µg/ml.

Immunocytochemistry/ Immunofluorescence - Anti-Dnmt1 antibody (AB19905)
  • ICC/IF

AbReview4840****

Immunocytochemistry/ Immunofluorescence - Anti-Dnmt1 antibody (AB19905)

ab19905 at a 1/200 dilution staining paraformaldehyde fixed asynchronous HeLa cells by ICC/IF. The antibody was incubated with the cells for 30 minutes and then bound antibody was detected using a Cy3 conjugated goat anti-rabbit antibody. Nuclei were visualised using DAPI staining. ab19905 gives a pattern that is predominantly enriched within nuclei.

This image is courtesy of an Abreview submitted by Kirk McManus.

Immunoprecipitation - Anti-Dnmt1 antibody (AB19905)
  • IP

Unknown

Immunoprecipitation - Anti-Dnmt1 antibody (AB19905)

Dnmt1 was immunoprecipitated using 0.5mg Hela whole cell extract, 5µg of Rabbit polyclonal to Dnmt1 and 50µl of protein G magnetic beads (+). No antibody was added to the control (-).
The antibody was incubated under agitation with Protein G beads for 10min, Hela whole cell extract lysate diluted in RIPA buffer was added to each sample and incubated for a further 10min under agitation.
Proteins were eluted by addition of 40µl SDS loading buffer and incubated for 10min at 70oC; 10µl of each sample was separated on a SDS PAGE gel, transferred to a nitrocellulose membrane, blocked with 5% BSA and probed with ab19905.
Secondary : Mouse monoclonal [SB62a] Secondary Antibody to Rabbit IgG light chain (HRP) (ab99697).
Band : 183kDa : Dnmt1.

All lanes:

Immunoprecipitation - Anti-Dnmt1 antibody (ab19905)

Predicted band size: 183 kDa

false

Western blot - Anti-Dnmt1 antibody (AB19905)
  • WB

Lab

Western blot - Anti-Dnmt1 antibody (AB19905)

Lane 1 : Wild type HAP1 whole cell lysate (20 μg)
Lane 2 : DNMT1 knockout HAP1 whole cell lysate (20 μg)
Lane 3 : HeLa whole cell lysate (20 μg)
Lane 4 : Hek293 whole cell lysate (20 μg)
Lanes 1 - 4 : Merged signal (red and green). Green - ab19905 observed at 170 kDa. Red - loading control, ab18058, observed at 130 kDa.

ab19905 was shown to recognize DNMT1 when DNMT1 knockout samples were used, along with additional cross-reactive bands. Wild-type and DNMT1 knockout samples were subjected to SDS-PAGE. ab19905 and ab18058 (Mouse anti Vinculin loading control) were incubated overnight at 4°C at 1 ug/ml and 1/10000 dilution respectively. Blots were developed with 800CW Goat anti Rabbit and 680CW Goat anti Mouse secondary antibodies at 1/10010 dilution for 1 hour at room temperature before imaging.

All lanes:

Western blot - Anti-Dnmt1 antibody (ab19905)

Predicted band size: 183 kDa

false

关键信息

宿主种属

Rabbit

克隆

Polyclonal

亚型

IgG

不含载体蛋白

No

反应种属

Human

应用

WB, ICC/IF, IHC-P, IP

applications

免疫原

The exact immunogen used to generate this antibody is proprietary information.

特异性

Replenishment batches of our polyclonal antibody, ab19905 are tested in WB. Previous batches were additionally validated in ICC/IF, IHC-P and IP. These applications are still expected to work and are covered by our Abpromise guarantee. You may also be interested in our alternative recombinant antibody, ab188453.

反应性数据

{ "title": "Reactivity Data", "filters": { "stats": ["", "Species", "Dilution Info", "Notes"], "tabs": { "all-applications": {"fullname" : "All Applications", "shortname": "All Applications"}, "IP" : {"fullname" : "Immunoprecipitation", "shortname":"IP"}, "WB" : {"fullname" : "Western blot", "shortname":"WB"}, "IHCP" : {"fullname" : "Immunohistochemistry (Formalin/PFA-fixed paraffin-embedded sections)", "shortname":"IHC-P"}, "ICCIF" : {"fullname" : "Immunocytochemistry/ Immunofluorescence", "shortname":"ICC/IF"} }, "product-promise": { "all": "all", "testedAndGuaranteed": "tested", "guaranteed": "expected", "predicted": "predicted", "notRecommended": "not-recommended" } }, "values": { "Human": { "IP-species-checked": "testedAndGuaranteed", "IP-species-dilution-info": "", "IP-species-notes": "<p></p>", "WB-species-checked": "testedAndGuaranteed", "WB-species-dilution-info": "1 µg/mL", "WB-species-notes": "<p></p>", "IHCP-species-checked": "testedAndGuaranteed", "IHCP-species-dilution-info": "1-10 µg/mL", "IHCP-species-notes": "<p></p>", "ICCIF-species-checked": "testedAndGuaranteed", "ICCIF-species-dilution-info": "1 µg/mL", "ICCIF-species-notes": "<p></p>" }, "Mouse": { "IP-species-checked": "predicted", "IP-species-dilution-info": "", "IP-species-notes": "", "WB-species-checked": "predicted", "WB-species-dilution-info": "", "WB-species-notes": "", "IHCP-species-checked": "predicted", "IHCP-species-dilution-info": "", "IHCP-species-notes": "", "ICCIF-species-checked": "predicted", "ICCIF-species-dilution-info": "", "ICCIF-species-notes": "" } } }

您是否考虑以下替代产品?

AB188453

Anti-Dnmt1 antibody [EPR18453]

5
7 Reviews
查看产品
为什么推荐这个?

为向您提供最高品质的产品,我们在不断升级产品范围。我们选择了这个替代产品供您参考,因为它提供了更好的性能,更容易和更方便的使用,或交期更快。

产品详情

性能和储存信息

形式
Liquid
纯化工艺
Affinity purification Immunogen
存储溶液
pH: 7.4 Preservative: 0.02% Sodium azide Constituents: 98.98% PBS, 1% BSA
运输条件
Blue Ice
推荐的短期储存时间
1-2 weeks
推荐的短期储存条件
+4°C
推荐的长期储存条件
-20°C
分装信息
Upon delivery aliquot
储存信息
Avoid freeze / thaw cycle

产品实验方案

For this product, it's our understanding that no specific protocols are required. You can visit:

靶点信息

Methylates CpG residues. Preferentially methylates hemimethylated DNA. Associates with DNA replication sites in S phase maintaining the methylation pattern in the newly synthesized strand, that is essential for epigenetic inheritance. Associates with chromatin during G2 and M phases to maintain DNA methylation independently of replication. It is responsible for maintaining methylation patterns established in development. DNA methylation is coordinated with methylation of histones. Mediates transcriptional repression by direct binding to HDAC2. In association with DNMT3B and via the recruitment of CTCFL/BORIS, involved in activation of BAG1 gene expression by modulating dimethylation of promoter histone H3 at H3K4 and H3K9. Probably forms a corepressor complex required for activated KRAS-mediated promoter hypermethylation and transcriptional silencing of tumor suppressor genes (TSGs) or other tumor-related genes in colorectal cancer (CRC) cells (PubMed : 24623306). Also required to maintain a transcriptionally repressive state of genes in undifferentiated embryonic stem cells (ESCs) (PubMed : 24623306). Associates at promoter regions of tumor suppressor genes (TSGs) leading to their gene silencing (PubMed : 24623306). Promotes tumor growth (PubMed : 24623306).
See full target information DNMT1

文献 (84)

Recent publications for all applications. Explore the full list and refine your search

Journal of translational medicine 21:882 PubMed38057853

2023

GATA6-AS1 suppresses epithelial-mesenchymal transition of pancreatic cancer under hypoxia through regulating SNAI1 mRNA stability.

Applications

Unspecified application

Species

Unspecified reactive species

Yunhui Zhou,Xinyi Zhou,Qiwen Ben,Ningning Liu,Jiahui Wang,Yongpeng Zhai,Yichen Bao,Lin Zhou

Drug design, development and therapy 17:1819-1829 PubMed37360572

2023

Luteolin Alleviates Liver Fibrosis in Rat Hepatic Stellate Cell HSC-T6: A Proteomic Analysis.

Applications

Unspecified application

Species

Unspecified reactive species

Batudeligen,Zhiqiang Han,Hongmei Chen, Narisu,Yanhua Xu, Anda,Gegentaoli Han

Scientific reports 13:4363 PubMed36928068

2023

Unchanged PCNA and DNMT1 dynamics during replication in DNA ligase I-deficient cells but abnormal chromatin levels of non-replicative histone H1.

Applications

Unspecified application

Species

Unspecified reactive species

Seema Khattri Bhandari,Nathaniel Wiest,Annahita Sallmyr,Ruofei Du,Laure Ferry,Pierre-Antoine Defossez,Alan E Tomkinson

Cell death & disease 14:146 PubMed36810730

2023

Melatonin-mediated FKBP4 downregulation protects against stress-induced neuronal mitochondria dysfunctions by blocking nuclear translocation of GR.

Applications

Unspecified application

Species

Unspecified reactive species

Min Jeong Kim,Gee Euhn Choi,Chang Woo Chae,Jae Ryong Lim,Young Hyun Jung,Jee Hyeon Yoon,Ji Yong Park,Ho Jae Han

Microbiology spectrum 10:e0143222 PubMed36374094

2022

Hepatitis B Virus X Protein Stimulates Hepatitis C Virus (HCV) Replication by Protecting HCV Core Protein from E6AP-Mediated Proteasomal Degradation.

Applications

Unspecified application

Species

Unspecified reactive species

Hyunyoung Yoon,Jiwoo Han,Kyung Lib Jang

Frontiers in oncology 12:877219 PubMed35719957

2022

High DNMT1 Expression in Stromal Fibroblasts Promotes Angiogenesis and Unfavorable Outcome in Locally Advanced Breast Cancer Patients.

Applications

Unspecified application

Species

Unspecified reactive species

Layla A Al-Kharashi,Asma Tulbah,Maria Arafah,Abdelmonneim M Eldali,Taher Al-Tweigeri,Abdelilah Aboussekhra

BMC cancer 22:605 PubMed35655145

2022

Global DNA hypomethylation of colorectal tumours detected in tissue and liquid biopsies may be related to decreased methyl-donor content.

Applications

Unspecified application

Species

Unspecified reactive species

Krisztina A Szigeti,Alexandra Kalmár,Orsolya Galamb,Gábor Valcz,Barbara K Barták,Zsófia B Nagy,Sára Zsigrai,Ildikó Felletár,Árpád V Patai,Tamás Micsik,Márton Papp,Eszter Márkus,Zsolt Tulassay,Peter Igaz,István Takács,Béla Molnár

Disease models & mechanisms 15: PubMed35243489

2022

Physiological tissue-specific and age-related reduction of mouse TDP-43 levels is regulated by epigenetic modifications.

Applications

Unspecified application

Species

Unspecified reactive species

Miriam Pacetti,Laura De Conti,Luciano E Marasco,Maurizio Romano,Mohammad M Rashid,Martina Nubiè,Francisco E Baralle,Marco Baralle

Bioengineered 13:9369-9386 PubMed35387565

2022

Dexmedetomidine prevents cardiomyocytes from hypoxia/reoxygenation injury via modulating tetmethylcytosine dioxygenase 1-mediated DNA demethylation of Sirtuin1.

Applications

Unspecified application

Species

Unspecified reactive species

Li Wang,Shaowei Wang,Tong Jia,Xiaojia Sun,Zhen Xing,Hui Liu,Jie Yao,Yanlin Chen

British journal of pharmacology 179:1304-1318 PubMed34378791

2022

Inhibition of DNA methylation de-represses peroxisome proliferator-activated receptor-γ and attenuates pulmonary fibrosis.

Applications

Unspecified application

Species

Unspecified reactive species

Ai Wei,Qi Gao,Fang Chen,Xiaobo Zhu,Xingren Chen,Lijun Zhang,Xin Su,Jinghong Dai,Yi Shi,Wangsen Cao
View all publications

Abcam Product Promise

我们致力于为您的研究提供高质量的试剂,为您科研的每一步提供支持。若我们的产品未能达到预期性能,我们向您提供 Abcam Product Promise 保障。
详情请参阅我们的条款与条件。

关联产品

Select an associated product type
Alternative Product
Primary Antibodies

AB197272

Alexa Fluor® 488 Anti-Dnmt1 antibody [EPR3521(2)]

primary-antibodies

alexa-fluor-488-dnmt1-antibody-epr35212-ab197272

0

(0 reviews)

Alternative Product
Primary Antibodies

AB208999

PE Anti-Dnmt1 antibody [EPR3522]

primary-antibodies

pe-dnmt1-antibody-epr3522-ab208999

0

(0 reviews)

Alternative Product
Primary Antibodies

AB217991

Alexa Fluor® 488 Anti-Dnmt1 antibody [EPR18453]

primary-antibodies

alexa-fluor-488-dnmt1-antibody-epr18453-ab217991

0

(0 reviews)

Alternative Product
Primary Antibodies

AB92314

Anti-Dnmt1 antibody [EPR3522]

primary-antibodies

dnmt1-antibody-epr3522-ab92314

0

(0 reviews)

Alternative Product
Primary Antibodies

AB191382

Anti-Dnmt1 antibody [EPR3521(2)] - BSA and Azide free

primary-antibodies

dnmt1-antibody-epr35212-bsa-and-azide-free-ab191382

0

(0 reviews)

Alternative Product
Primary Antibodies

AB134148

Anti-Dnmt1 antibody [EPR3521(2)]

primary-antibodies

dnmt1-antibody-epr35212-ab134148

5

(1 reviews)

Alternative Product
Primary Antibodies

AB218290

Alexa Fluor® 594 Anti-Dnmt1 antibody [EPR18453]

primary-antibodies

alexa-fluor-594-dnmt1-antibody-epr18453-ab218290

0

(0 reviews)

Please note: All products are 'FOR RESEARCH USE ONLY. NOT FOR USE IN DIAGNOSTIC OR THERAPEUTIC PROCEDURES'.

For licensing inquiries, please contact partnerships@abcam.com