JavaScript is disabled in your browser. Please enable JavaScript to view this website.
AB249852

重组Anti-DNA Polymerase beta抗体[EPR12722(B)] - BSA and Azide free

Anti-DNA Polymerase beta antibody [EPR12722(B)] - BSA and Azide free

Be the first to review this product! Submit a review

|

(1 Publication)

Rabbit Recombinant Monoclonal DNA Polymerase beta antibody. Carrier free. Suitable for Flow Cyt, WB, IHC-P, ICC/IF and reacts with Human, Mouse samples. Cited in 1 publication.

查看别名

DNA polymerase beta, 5'-deoxyribose-phosphate lyase, AP lyase, 5'-dRP lyase, POLB

5 Images
Flow Cytometry - Anti-DNA Polymerase beta antibody [EPR12722(B)] - BSA and Azide free (AB249852)
  • Flow Cyt

Lab

Flow Cytometry - Anti-DNA Polymerase beta antibody [EPR12722(B)] - BSA and Azide free (AB249852)

This data was developed using ab249852, the same antibody clone in a different buffer formulation.
Flow Cytometry analysis of A431 (Human epidermoid carcinoma epithelial cell) cells labelling DNA Polymerase beta with Purified ab249852 at 1 : 200 dilution (1 μg/ml) (Red). Cells were fixed with 4% Paraformaldehyde and permeabilised with 90% Methanol. A Goat anti rabbit IgG (Alexa Fluor™ 488, ab150077) secondary antibody was used at 1 : 2000. Isotype control - Rabbit monoclonal IgG (Black). Unlabelled control - Cell without incubation with primary antibody and secondary antibody (Blue).

Immunocytochemistry/ Immunofluorescence - Anti-DNA Polymerase beta antibody [EPR12722(B)] - BSA and Azide free (AB249852)
  • ICC/IF

Lab

Immunocytochemistry/ Immunofluorescence - Anti-DNA Polymerase beta antibody [EPR12722(B)] - BSA and Azide free (AB249852)

This data was developed using ab175197, the same antibody clone in a different buffer formulation.
Immunocytochemistry analysis of K-562 (Human chronic myelogenous leukemia lymphoblast) cells labeling DNA Polymerase beta with Purified ab175197 at 1 : 50 dilution (3.1 ?g/ml). Cells were fixed in 100% Methanol and permeabilized with 0.1% tritonX-100. Cells were counterstained with ab195889 Anti-alpha Tubulin antibody [DM1A] - Microtubule Marker (Alexa Fluor® 594) 1 : 200 (2.5 μg/ml). Goat anti rabbit IgG (Alexa Fluor® 488, ab150077) was used as the secondary antibody at 1 : 1000 (2 μg/ml) dilution. DAPI (blue) was used as nuclear counterstain. PBS instead of the primary antibody was used as the secondary antibody only control.

Immunocytochemistry/ Immunofluorescence - Anti-DNA Polymerase beta antibody [EPR12722(B)] - BSA and Azide free (AB249852)
  • ICC/IF

Lab

Immunocytochemistry/ Immunofluorescence - Anti-DNA Polymerase beta antibody [EPR12722(B)] - BSA and Azide free (AB249852)

This data was developed using ab175197, the same antibody clone in a different buffer formulation. Immunocytochemistry analysis of Neuro-2a (mouse neuroblastoma neuroblast) cells labeling DNA Polymerase beta with ab175197 at 1/50 dilution (1.57 μg/mL). Cells were fixed in 4% Paraformaldehyde and permeabilized with 0.1% tritonX-100. Cells were counterstained with ab195889 Anti-alpha Tubulin antibody [DM1A] - Microtubule Marker (Alexa Fluor® 594) 1/200 (2.5 µg/mL). Goat anti rabbit IgG (Alexa Fluor® 488, ab150077) was used as the secondary antibody at 1/1000 (2 µg/mL) dilution. PBS instead of the primary antibody was used as the secondary antibody only control. Confocal image showing nuclear staining in Neuro-2a cell line (shown in green). The counterstain was observed in red. Nuclear DNA was labelled with DAPI (shown in blue). Image was taken with a confocal microscope (Leica-Microsystems, TCS SP8).

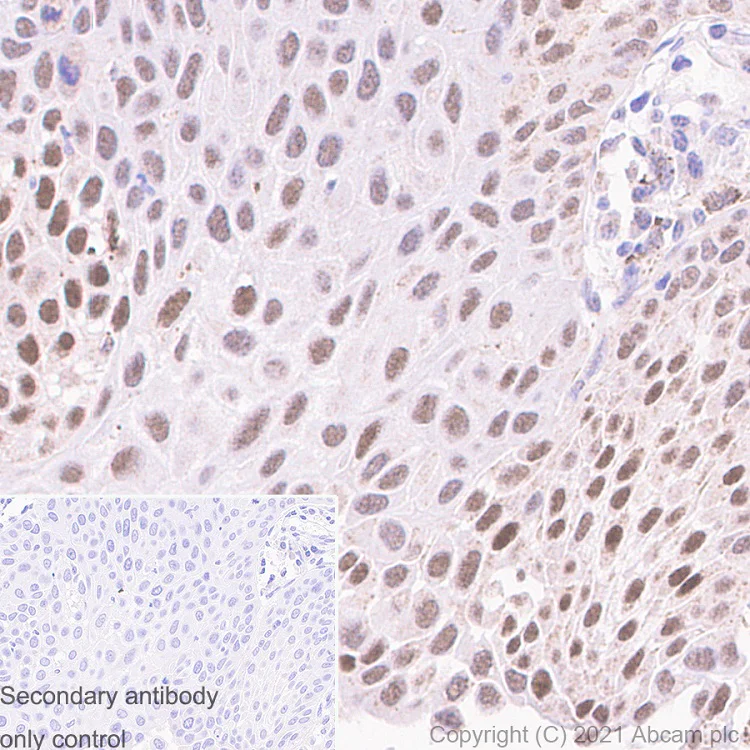
Immunohistochemistry (Formalin/PFA-fixed paraffin-embedded sections) - Anti-DNA Polymerase beta antibody [EPR12722(B)] - BSA and Azide free (AB249852)
  • IHC-P

Lab

Immunohistochemistry (Formalin/PFA-fixed paraffin-embedded sections) - Anti-DNA Polymerase beta antibody [EPR12722(B)] - BSA and Azide free (AB249852)

This data was developed using ab249852, the same antibody clone in a different buffer formulation.
Immunohistochemistry (Formalin/PFA-fixed paraffin-embedded sections) analysis of human lung carcinoma tissue sections labeling DNA Polymerase beta with Purified ab249852 at 1 : 500 dilution (0.31 μg/ml). Heat mediated antigen retrieval was performed using Heat mediated antigen retrieval using Bond™ Epitope Retrieval Solution 2 (pH 9.0) . Tissue was counterstained with Hematoxylin. Rabbit specific IHC polymer detection kit HRP/DAB (ab209101) secondary antibody was used at 1 : 0 dilution. PBS instead of the primary antibody was used as the negative control. M3

Western blot - Anti-DNA Polymerase beta antibody [EPR12722(B)] - BSA and Azide free (AB249852)
  • WB

Unknown

Western blot - Anti-DNA Polymerase beta antibody [EPR12722(B)] - BSA and Azide free (AB249852)

All lanes:

Western blot - Anti-DNA Polymerase beta antibody [EPR12722(B)] (<a href='/products/primary-antibodies/dna-polymerase-beta-antibody-epr12722b-ab175197'>ab175197</a>) at 1/1000 dilution

Lane 1:

HeLa (Human cervix adenocarcinoma epithelial cell) whole cell lysate at 20 µg

Lane 2:

Jurkat (Human T cell leukemia T lymphocyte) whole cell lysate at 20 µg

Lane 3:

K-562 (Human chronic myelogenous leukemia lymphoblast) whole cell lysate at 20 µg

Lane 4:

A431 (Human epidermoid carcinoma epithelial cell) whole cell lysate at 20 µg

Lane 5:

Mouse brain lysate at 20 µg

Lane 6:

Mouse spleen lysate at 20 µg

Lane 7:

Rat brain lysate at 20 µg

Lane 8:

Rat spleen lysate

Lane 9:

C6 (Rat glial tumor glial cell) whole cell lysate

Secondary

All lanes:

Western blot - Goat Anti-Rabbit IgG H&L (HRP) (<a href='/products/secondary-antibodies/goat-rabbit-igg-h-l-hrp-ab97051'>ab97051</a>) at 1/20000 dilution

Predicted band size: 38 kDa

Observed band size: 38 kDa

false

不同偶联物与剂型 (2)

  • Unconjugated

    Anti-DNA Polymerase beta antibody [EPR12722(B)]

  • 775 Alexa Fluor® 750

    Alexa Fluor® 750 Anti-DNA Polymerase beta antibody [EPR12722(B)]

关键信息

宿主种属

Rabbit

克隆

Monoclonal

克隆号

EPR12722(B)

亚型

IgG

不含载体蛋白

Yes

反应种属

Mouse, Human

应用

ICC/IF, IHC-P, Flow Cyt, WB

applications

免疫原

The exact immunogen used to generate this antibody is proprietary information.

特异性

The human recommendation is based on the WB results. We do not guarantee IHC-P for human.

反应性数据

{ "title": "Reactivity Data", "filters": { "stats": ["", "Species", "Dilution Info", "Notes"], "tabs": { "all-applications": {"fullname" : "All Applications", "shortname": "All Applications"}, "IP" : {"fullname" : "Immunoprecipitation", "shortname":"IP"}, "FlowCyt" : {"fullname" : "Flow Cytometry", "shortname":"Flow Cyt"}, "WB" : {"fullname" : "Western blot", "shortname":"WB"}, "IHCP" : {"fullname" : "Immunohistochemistry (Formalin/PFA-fixed paraffin-embedded sections)", "shortname":"IHC-P"}, "ICCIF" : {"fullname" : "Immunocytochemistry/ Immunofluorescence", "shortname":"ICC/IF"} }, "product-promise": { "all": "all", "testedAndGuaranteed": "tested", "guaranteed": "expected", "predicted": "predicted", "notRecommended": "not-recommended" } }, "values": { "Human": { "IP-species-checked": "notRecommended", "IP-species-dilution-info": "", "IP-species-notes": "<p></p>", "FlowCyt-species-checked": "testedAndGuaranteed", "FlowCyt-species-dilution-info": "", "FlowCyt-species-notes": "<p></p>", "WB-species-checked": "testedAndGuaranteed", "WB-species-dilution-info": "", "WB-species-notes": "<p></p>", "IHCP-species-checked": "testedAndGuaranteed", "IHCP-species-dilution-info": "", "IHCP-species-notes": "<p>The human recommendation is based on the WB results. We do not guarantee IHC-P for human.</p>", "ICCIF-species-checked": "testedAndGuaranteed", "ICCIF-species-dilution-info": "", "ICCIF-species-notes": "<p></p>" }, "Mouse": { "IP-species-checked": "notRecommended", "IP-species-dilution-info": "", "IP-species-notes": "", "FlowCyt-species-checked": "guaranteed", "FlowCyt-species-dilution-info": "", "FlowCyt-species-notes": "", "WB-species-checked": "guaranteed", "WB-species-dilution-info": "", "WB-species-notes": "", "IHCP-species-checked": "guaranteed", "IHCP-species-dilution-info": "", "IHCP-species-notes": "", "ICCIF-species-checked": "testedAndGuaranteed", "ICCIF-species-dilution-info": "", "ICCIF-species-notes": "<p></p>" }, "Rat": { "IP-species-checked": "notRecommended", "IP-species-dilution-info": "", "IP-species-notes": "", "FlowCyt-species-checked": "predicted", "FlowCyt-species-dilution-info": "", "FlowCyt-species-notes": "", "WB-species-checked": "predicted", "WB-species-dilution-info": "", "WB-species-notes": "", "IHCP-species-checked": "predicted", "IHCP-species-dilution-info": "", "IHCP-species-notes": "", "ICCIF-species-checked": "predicted", "ICCIF-species-dilution-info": "", "ICCIF-species-notes": "" } } }

产品详情

ab249852 is the carrier-free version of ab175197.

We are constantly working hard to ensure we provide our customers with best in class antibodies. As a result of this work we are pleased to now offer this antibody in purified format. We are in the process of updating our datasheets. The purified format is designated 'PUR' on our product labels. If you have any questions regarding this update, please contact our Scientific Support team.

Patented technology
Our RabMAb® technology is a patented hybridoma-based technology for making rabbit monoclonal antibodies. For details on our patents, please refer to RabMAb® patents.

What are the advantages of a recombinant monoclonal antibody?
This product is a recombinant monoclonal antibody, which offers several advantages including:

  • - High batch-to-batch consistency and reproducibility
  • - Improved sensitivity and specificity
  • - Long-term security of supply
  • - Animal-free batch production

For more information, read more on recombinant antibodies.

Conjugation ready
Our carrier-free antibodies are typically supplied in a PBS-only formulation, purified and free of BSA, sodium azide and glycerol. This conjugation-ready format is designed for use with fluorochromes, metal isotopes, oligonucleotides, and enzymes, which makes them ideal for antibody labelling, functional and cell-based assays, flow-based assays (e.g. mass cytometry) and Multiplex Imaging applications.

Use our conjugation kits for antibody conjugates that are ready-to-use in as little as 20 minutes with 1 minute hands-on-time and 100% antibody recovery: available for fluorescent dyes, HRP, biotin and gold.

Compatibility
This product is compatible with the Maxpar® Antibody Labeling Kit from Fluidigm, without the need for antibody preparation. Maxpar® is a trademark of Fluidigm Canada Inc.

性能和储存信息

形式
Liquid
纯化工艺
Affinity purification Protein A
存储溶液
pH: 7.2 - 7.4 Constituents: PBS
运输条件
Blue Ice
推荐的短期储存条件
+4°C
推荐的长期储存条件
+4°C
储存信息
Do Not Freeze

补充信息

This supplementary information is collated from multiple sources and compiled automatically.

DNA polymerase beta often abbreviated as pol β serves as a repair enzyme that plays a role in the base excision repair (BER) pathway. This protein's mechanical function involves filling small gaps in the DNA created during repair processes by adding nucleotides. Its molecular weight is approximately 39 kDa. DNA polymerase beta is expressed extensively in the brain liver and testis indicating its importance in DNA repair in various cells. Other names for this protein include DNA pol beta and pol β. It synthesizes DNA using deoxyribonucleotide triphosphates as substrates and requires magnesium ions for activity.
Biological function summary

DNA polymerase beta helps to maintain genome integrity by repairing DNA lesions caused by oxidation alkylation or deamination. This protein often collaborates with other components of the DNA repair pathways but it does not directly form a larger protein complex focusing instead on its important function in BER. When DNA damage like single-strand breaks occur pol β carries out important gap-filling synthesis steps preparing the strand for subsequent ligation.

Pathways

DNA polymerase beta functions critically in base excision repair and acts alongside other important proteins like XRCC1. The BER pathway operates to correct DNA damage from endogenous sources preventing harmful mutations. This pathway is essential for maintaining cellular stability and protecting cells from apoptosis or malignant transformation that might occur if DNA damage propagates.

Mutations or dysfunctional activity within DNA polymerase beta have links to cancer and neurodegenerative diseases. For example errors in pol β's repair functions can lead to the persistence of DNA damage which can contribute to tumorigenesis. Furthermore its relationship with beta-actin has implications in cellular structural integrity and cancer metastasis. Dysfunctions within the BER pathway indicate potential contributions to neurodegenerative disorders where an accumulation of DNA damage is a common feature.

产品实验方案

For this product, it's our understanding that no specific protocols are required. You can visit:

靶点信息

Repair polymerase that plays a key role in base-excision repair (PubMed : 10556592, PubMed : 9207062, PubMed : 9572863). During this process, the damaged base is excised by specific DNA glycosylases, the DNA backbone is nicked at the abasic site by an apurinic/apyrimidic (AP) endonuclease, and POLB removes 5'-deoxyribose-phosphate from the preincised AP site acting as a 5'-deoxyribose-phosphate lyase (5'-dRP lyase); through its DNA polymerase activity, it adds one nucleotide to the 3' end of the arising single-nucleotide gap (PubMed : 10556592, PubMed : 17526740, PubMed : 9556598, PubMed : 9572863, PubMed : 9614142). Conducts 'gap-filling' DNA synthesis in a stepwise distributive fashion rather than in a processive fashion as for other DNA polymerases. It is also able to cleave sugar-phosphate bonds 3' to an intact AP site, acting as an AP lyase (PubMed : 9614142).
See full target information POLB

文献 (1)

Recent publications for all applications. Explore the full list and refine your search

Frontiers in cell and developmental biology 9:775642 PubMed35004677

2021

HIF-1α Induces HECTD2 Up-Regulation and Aggravates the Malignant Progression of Renal Cell Cancer Repressing miR-320a.

Applications

Unspecified application

Species

Unspecified reactive species

Dong Lv,Taimin Shen,Juncheng Yao,Qi Yang,Ying Xiang,Zhiwei Ma
View all publications

Abcam Product Promise

我们致力于为您的研究提供高质量的试剂,为您科研的每一步提供支持。若我们的产品未能达到预期性能,我们向您提供 Abcam Product Promise 保障。
详情请参阅我们的条款与条件。

Please note: All products are 'FOR RESEARCH USE ONLY. NOT FOR USE IN DIAGNOSTIC OR THERAPEUTIC PROCEDURES'.

For licensing inquiries, please contact partnerships@abcam.com