JavaScript is disabled in your browser. Please enable JavaScript to view this website.
AB175197

重组Anti-DNA Polymerase beta抗体[EPR12722(B)]

Anti-DNA Polymerase beta antibody [EPR12722(B)]

4

(4 Reviews)

|

(9 Publications)

Rabbit Recombinant Monoclonal DNA Polymerase beta antibody. Suitable for IHC-P, Flow Cyt, WB, ICC/IF and reacts with Human, Mouse samples. Cited in 9 publications.

查看别名

DNA polymerase beta, 5'-deoxyribose-phosphate lyase, AP lyase, 5'-dRP lyase, POLB

6 Images
Flow Cytometry - Anti-DNA Polymerase beta antibody [EPR12722(B)] (AB175197)
  • Flow Cyt

Lab

Flow Cytometry - Anti-DNA Polymerase beta antibody [EPR12722(B)] (AB175197)

Flow Cytometry analysis of A431 (Human epidermoid carcinoma epithelial cell) cells labelling DNA Polymerase beta with Purified ab175197 at 1 : 200 dilution (1 μg/ml) (Red). Cells were fixed with 4% Paraformaldehyde and permeabilised with 90% Methanol. A Goat anti rabbit IgG (Alexa Fluor™ 488, ab150077) secondary antibody was used at 1 : 2000. Isotype control - Rabbit monoclonal IgG (Black). Unlabelled control - Cell without incubation with primary antibody and secondary antibody (Blue).

Immunocytochemistry/ Immunofluorescence - Anti-DNA Polymerase beta antibody [EPR12722(B)] (AB175197)
  • ICC/IF

Lab

Immunocytochemistry/ Immunofluorescence - Anti-DNA Polymerase beta antibody [EPR12722(B)] (AB175197)

Immunocytochemistry analysis of K-562 (Human chronic myelogenous leukemia lymphoblast) cells labeling DNA Polymerase beta with Purified ab175197 at 1 : 50 dilution (3.1 ?g/ml). Cells were fixed in 100% Methanol and permeabilized with 0.1% tritonX-100. Cells were counterstained with ab195889 Anti-alpha Tubulin antibody [DM1A] - Microtubule Marker (Alexa Fluor® 594) 1 : 200 (2.5 μg/ml). Goat anti rabbit IgG (Alexa Fluor® 488, ab150077) was used as the secondary antibody at 1 : 1000 (2 μg/ml) dilution. DAPI (blue) was used as nuclear counterstain. PBS instead of the primary antibody was used as the secondary antibody only control.

Immunocytochemistry/ Immunofluorescence - Anti-DNA Polymerase beta antibody [EPR12722(B)] (AB175197)
  • ICC/IF

Lab

Immunocytochemistry/ Immunofluorescence - Anti-DNA Polymerase beta antibody [EPR12722(B)] (AB175197)

Immunocytochemistry analysis of Neuro-2a (mouse neuroblastoma neuroblast) cells labeling DNA Polymerase beta with ab175197 at 1/50 dilution (1.57 μg/mL). Cells were fixed in 4% Paraformaldehyde and permeabilized with 0.1% tritonX-100. Cells were counterstained with ab195889 Anti-alpha Tubulin antibody [DM1A] - Microtubule Marker (Alexa Fluor® 594) 1/200 (2.5 µg/mL). Goat anti rabbit IgG (Alexa Fluor® 488, ab150077) was used as the secondary antibody at 1/1000 (2 µg/mL) dilution. PBS instead of the primary antibody was used as the secondary antibody only control. Confocal image showing nuclear staining in Neuro-2a cell line (shown in green). The counterstain was observed in red. Nuclear DNA was labelled with DAPI (shown in blue). Image was taken with a confocal microscope (Leica-Microsystems, TCS SP8).

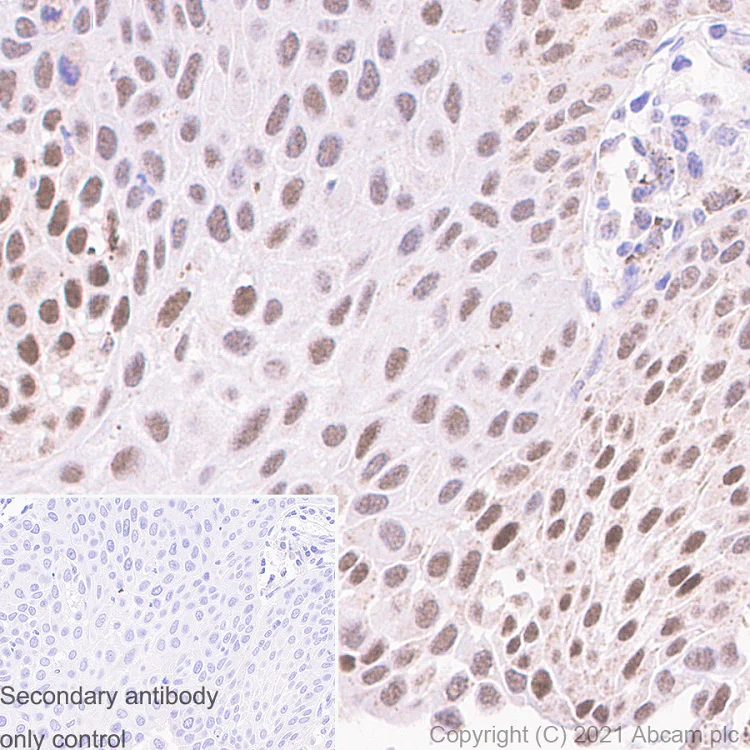
Immunohistochemistry (Formalin/PFA-fixed paraffin-embedded sections) - Anti-DNA Polymerase beta antibody [EPR12722(B)] (AB175197)
  • IHC-P

Lab

Immunohistochemistry (Formalin/PFA-fixed paraffin-embedded sections) - Anti-DNA Polymerase beta antibody [EPR12722(B)] (AB175197)

Immunohistochemistry (Formalin/PFA-fixed paraffin-embedded sections) analysis of human lung carcinoma tissue sections labeling with Purified ab175197 at 1 : 500 dilution (0.31 μg/ml). Heat mediated antigen retrieval was performed using Heat mediated antigen retrieval using Bond™ Epitope Retrieval Solution 2 (pH 9.0) . Tissue was counterstained with Hematoxylin. Rabbit specific IHC polymer detection kit HRP/DAB (ab209101) secondary antibody was used at 1 : 0 dilution. PBS instead of the primary antibody was used as the negative control. M3

Western blot - Anti-DNA Polymerase beta antibody [EPR12722(B)] (AB175197)
  • WB

Unknown

Western blot - Anti-DNA Polymerase beta antibody [EPR12722(B)] (AB175197)

All lanes:

Western blot - Anti-DNA Polymerase beta antibody [EPR12722(B)] (ab175197) at 1/1000 dilution

Lane 1:

HeLa (Human cervix adenocarcinoma epithelial cell) whole cell lysate at 20 µg

Lane 2:

Jurkat (Human T cell leukemia T lymphocyte) whole cell lysate at 20 µg

Lane 3:

K-562 (Human chronic myelogenous leukemia lymphoblast) whole cell lysate at 20 µg

Lane 4:

A431 (Human epidermoid carcinoma epithelial cell) whole cell lysate at 20 µg

Lane 5:

Mouse brain lysate at 20 µg

Lane 6:

Mouse spleen lysate at 20 µg

Lane 7:

Rat brain lysate at 20 µg

Lane 8:

Rat spleen lysate

Lane 9:

C6 (Rat glial tumor glial cell) whole cell lysate

Secondary

All lanes:

Western blot - Goat Anti-Rabbit IgG H&L (HRP) (<a href='/products/secondary-antibodies/goat-rabbit-igg-h-l-hrp-ab97051'>ab97051</a>) at 1/20000 dilution

Predicted band size: 38 kDa

Observed band size: 38 kDa

false

Western blot - Anti-DNA Polymerase beta antibody [EPR12722(B)] (AB175197)
  • WB

CiteAb

Western blot - Anti-DNA Polymerase beta antibody [EPR12722(B)] (AB175197)

DNA Polymerase beta western blot using anti-DNA Polymerase beta antibody [EPR12722(B)] ab175197. Publication image and figure legend from Wang, H., Chen, Y., et al., 2014, PLoS One, PubMed 25303312.

ab175197 was used in this publication in western blot. This may not be the same as the application(s) guaranteed by Abcam. For a full list of applications guaranteed by Abcam for ab175197 please see the product overview.

DNA poly β, cyclin E and cyclin D expression were detected after treatment with low and high concentrations of rotenone.The expression of DNA poly β, cyclin E and cyclin D were investigated by western blot. * P<0.05 compared to the control group; # P>0.05 compared to the control group.

false

关键信息

宿主种属

Rabbit

克隆

Monoclonal

克隆号

EPR12722(B)

亚型

IgG

不含载体蛋白

No

反应种属

Human, Mouse

应用

ICC/IF, Flow Cyt, IHC-P, WB

applications

免疫原

The exact immunogen used to generate this antibody is proprietary information.

特异性

The human recommendation is based on the WB results. We do not guarantee IHC-P for human

反应性数据

{ "title": "Reactivity Data", "filters": { "stats": ["", "Species", "Dilution Info", "Notes"], "tabs": { "all-applications": {"fullname" : "All Applications", "shortname": "All Applications"}, "IHCP" : {"fullname" : "Immunohistochemistry (Formalin/PFA-fixed paraffin-embedded sections)", "shortname":"IHC-P"}, "IP" : {"fullname" : "Immunoprecipitation", "shortname":"IP"}, "FlowCyt" : {"fullname" : "Flow Cytometry", "shortname":"Flow Cyt"}, "WB" : {"fullname" : "Western blot", "shortname":"WB"}, "ICCIF" : {"fullname" : "Immunocytochemistry/ Immunofluorescence", "shortname":"ICC/IF"} }, "product-promise": { "all": "all", "testedAndGuaranteed": "tested", "guaranteed": "expected", "predicted": "predicted", "notRecommended": "not-recommended" } }, "values": { "Human": { "IHCP-species-checked": "testedAndGuaranteed", "IHCP-species-dilution-info": "1/2000", "IHCP-species-notes": "<p>The human recommendation is based on the WB results. We do not guarantee IHC-P for human</p>", "IP-species-checked": "notRecommended", "IP-species-dilution-info": "", "IP-species-notes": "<p></p>", "FlowCyt-species-checked": "testedAndGuaranteed", "FlowCyt-species-dilution-info": "1/200", "FlowCyt-species-notes": "<p></p>", "WB-species-checked": "testedAndGuaranteed", "WB-species-dilution-info": "1/1000", "WB-species-notes": "<p></p>", "ICCIF-species-checked": "testedAndGuaranteed", "ICCIF-species-dilution-info": "1/50", "ICCIF-species-notes": "<p></p>" }, "Mouse": { "IHCP-species-checked": "guaranteed", "IHCP-species-dilution-info": "", "IHCP-species-notes": "", "IP-species-checked": "notRecommended", "IP-species-dilution-info": "", "IP-species-notes": "", "FlowCyt-species-checked": "guaranteed", "FlowCyt-species-dilution-info": "", "FlowCyt-species-notes": "", "WB-species-checked": "guaranteed", "WB-species-dilution-info": "", "WB-species-notes": "", "ICCIF-species-checked": "testedAndGuaranteed", "ICCIF-species-dilution-info": "1/100", "ICCIF-species-notes": "<p></p>" }, "Rat": { "IHCP-species-checked": "predicted", "IHCP-species-dilution-info": "", "IHCP-species-notes": "", "IP-species-checked": "notRecommended", "IP-species-dilution-info": "", "IP-species-notes": "", "FlowCyt-species-checked": "predicted", "FlowCyt-species-dilution-info": "", "FlowCyt-species-notes": "", "WB-species-checked": "predicted", "WB-species-dilution-info": "", "WB-species-notes": "", "ICCIF-species-checked": "predicted", "ICCIF-species-dilution-info": "", "ICCIF-species-notes": "" } } }

产品详情

We are constantly working hard to ensure we provide our customers with best in class antibodies. As a result of this work we are pleased to now offer this antibody in purified format. We are in the process of updating our datasheets. The purified format is designated 'PUR' on our product labels. If you have any questions regarding this update, please contact our Scientific Support team.

Patented technology
Our RabMAb® technology is a patented hybridoma-based technology for making rabbit monoclonal antibodies. For details on our patents, please refer to RabMAb® patents.

What are the advantages of a recombinant monoclonal antibody?
This product is a recombinant monoclonal antibody, which offers several advantages including:

  • - High batch-to-batch consistency and reproducibility
  • - Improved sensitivity and specificity
  • - Long-term security of supply
  • - Animal-free batch production

For more information, read more on recombinant antibodies.

性能和储存信息

形式
Liquid
纯化工艺
Affinity purification Protein A
存储溶液
pH: 7.2 - 7.4 Preservative: 0.01% Sodium azide Constituents: PBS, 40% Glycerol (glycerin, glycerine), 0.05% BSA
运输条件
Blue Ice
推荐的短期储存时间
1-2 weeks
推荐的短期储存条件
+4°C
推荐的长期储存条件
-20°C
分装信息
Upon delivery aliquot
储存信息
Avoid freeze / thaw cycle

补充信息

This supplementary information is collated from multiple sources and compiled automatically.

DNA polymerase beta often abbreviated as pol β serves as a repair enzyme that plays a role in the base excision repair (BER) pathway. This protein's mechanical function involves filling small gaps in the DNA created during repair processes by adding nucleotides. Its molecular weight is approximately 39 kDa. DNA polymerase beta is expressed extensively in the brain liver and testis indicating its importance in DNA repair in various cells. Other names for this protein include DNA pol beta and pol β. It synthesizes DNA using deoxyribonucleotide triphosphates as substrates and requires magnesium ions for activity.
Biological function summary

DNA polymerase beta helps to maintain genome integrity by repairing DNA lesions caused by oxidation alkylation or deamination. This protein often collaborates with other components of the DNA repair pathways but it does not directly form a larger protein complex focusing instead on its important function in BER. When DNA damage like single-strand breaks occur pol β carries out important gap-filling synthesis steps preparing the strand for subsequent ligation.

Pathways

DNA polymerase beta functions critically in base excision repair and acts alongside other important proteins like XRCC1. The BER pathway operates to correct DNA damage from endogenous sources preventing harmful mutations. This pathway is essential for maintaining cellular stability and protecting cells from apoptosis or malignant transformation that might occur if DNA damage propagates.

Mutations or dysfunctional activity within DNA polymerase beta have links to cancer and neurodegenerative diseases. For example errors in pol β's repair functions can lead to the persistence of DNA damage which can contribute to tumorigenesis. Furthermore its relationship with beta-actin has implications in cellular structural integrity and cancer metastasis. Dysfunctions within the BER pathway indicate potential contributions to neurodegenerative disorders where an accumulation of DNA damage is a common feature.

产品实验方案

For this product, it's our understanding that no specific protocols are required. You can visit:

靶点信息

Repair polymerase that plays a key role in base-excision repair (PubMed : 10556592, PubMed : 9207062, PubMed : 9572863). During this process, the damaged base is excised by specific DNA glycosylases, the DNA backbone is nicked at the abasic site by an apurinic/apyrimidic (AP) endonuclease, and POLB removes 5'-deoxyribose-phosphate from the preincised AP site acting as a 5'-deoxyribose-phosphate lyase (5'-dRP lyase); through its DNA polymerase activity, it adds one nucleotide to the 3' end of the arising single-nucleotide gap (PubMed : 10556592, PubMed : 17526740, PubMed : 9556598, PubMed : 9572863, PubMed : 9614142). Conducts 'gap-filling' DNA synthesis in a stepwise distributive fashion rather than in a processive fashion as for other DNA polymerases. It is also able to cleave sugar-phosphate bonds 3' to an intact AP site, acting as an AP lyase (PubMed : 9614142).
See full target information POLB

文献 (9)

Recent publications for all applications. Explore the full list and refine your search

DNA repair 150:103853 PubMed40472742

2025

DNA polymerase beta expression in head & neck cancer modulates the poly(ADP-ribose)-mediated replication checkpoint.

Applications

Unspecified application

Species

Unspecified reactive species

Md Maruf Khan,Wynand P Roos,Charlotte R Pearson,Stefan M Leonard,Anusha Angajala,Denise Y Gibbs,Jeffrey C Liu,Camille Ragin,Robert W Sobol

Journal of molecular biology 436:168672 PubMed38908783

2024

Human CST Stimulates Base Excision Repair to Prevent the Accumulation of Oxidative DNA Damage.

Applications

Unspecified application

Species

Unspecified reactive species

Brandon C Wysong,P Logan Schuck,Madhumita Sridharan,Sophie Carrison,Yuichihiro Murakami,Lata Balakrishnan,Jason A Stewart

Nature 606:930-936 PubMed35477155

2022

Breakage of cytoplasmic chromosomes by pathological DNA base excision repair.

Applications

Unspecified application

Species

Unspecified reactive species

Shangming Tang,Ema Stokasimov,Yuxiang Cui,David Pellman

Cell reports 37:109917 PubMed34731617

2021

Temporal dynamics of base excision/single-strand break repair protein complex assembly/disassembly are modulated by the PARP/NAD/SIRT6 axis.

Applications

Unspecified application

Species

Unspecified reactive species

Christopher A Koczor,Kate M Saville,Joel F Andrews,Jennifer Clark,Qingming Fang,Jianfeng Li,Rasha Q Al-Rahahleh,Md Ibrahim,Steven McClellan,Mikhail V Makarov,Marie E Migaud,Robert W Sobol

Redox biology 46:102083 PubMed34371368

2021

Ageing-associated effects of a long-term dietary modulation of four trace elements in mice.

Applications

Unspecified application

Species

Unspecified reactive species

Viktoria K Wandt,Nicola Winkelbeiner,Kristina Lossow,Johannes F Kopp,Maria Schwarz,Wiebke Alker,Merle M Nicolai,Luise Simon,Caroline Dietzel,Barbara Hertel,Gabriele Pohl,Franziska Ebert,Lutz Schomburg,Julia Bornhorst,Hajo Haase,Anna P Kipp,Tanja Schwerdtle

Cells 9: PubMed31963223

2020

Oxidative DNA Damage Modulates DNA Methylation Pattern in Human Breast Cancer 1 (BRCA1) Gene via the Crosstalk between DNA Polymerase β and a DNA Methyltransferase.

Applications

Unspecified application

Species

Unspecified reactive species

Zhongliang Jiang,Yanhao Lai,Jill M Beaver,Pawlos S Tsegay,Ming-Lang Zhao,Julie K Horton,Marco Zamora,Hayley L Rein,Frank Miralles,Mohammad Shaver,Joshua D Hutcheson,Irina Agoulnik,Samuel H Wilson,Yuan Liu

The Journal of biological chemistry 292:14016-14025 PubMed28684413

2017

A CRISPR/Cas9 approach reveals that the polymerase activity of DNA polymerase β is dispensable for HIV-1 infection in dividing and nondividing cells.

Applications

Unspecified application

Species

Unspecified reactive species

Russell W Goetze,Dong-Hyun Kim,Raymond F Schinazi,Baek Kim

Nature communications 7:12465 PubMed27546332

2016

Crosstalk between MSH2-MSH3 and polβ promotes trinucleotide repeat expansion during base excision repair.

Applications

Unspecified application

Species

Unspecified reactive species

Yanhao Lai,Helen Budworth,Jill M Beaver,Nelson L S Chan,Zunzhen Zhang,Cynthia T McMurray,Yuan Liu

PloS one 9:e109697 PubMed25303312

2014

Cell cycle regulation of DNA polymerase beta in rotenone-based Parkinson's disease models.

Applications

Unspecified application

Species

Human

Hongcai Wang,Yan Chen,Jinbo Chen,Zhentao Zhang,Wansheng Lao,Xizhi Li,Jinsha Huang,Tao Wang
View all publications

Abcam Product Promise

我们致力于为您的研究提供高质量的试剂,为您科研的每一步提供支持。若我们的产品未能达到预期性能,我们向您提供 Abcam Product Promise 保障。
详情请参阅我们的条款与条件。

Please note: All products are 'FOR RESEARCH USE ONLY. NOT FOR USE IN DIAGNOSTIC OR THERAPEUTIC PROCEDURES'.

For licensing inquiries, please contact partnerships@abcam.com