JavaScript is disabled in your browser. Please enable JavaScript to view this website.
AB198292

重组Anti-DMGDH抗体[EPR16908]

Anti-DMGDH antibody [EPR16908]

Be the first to review this product! Submit a review

|

(1 Publication)

Rabbit Recombinant Monoclonal DMGDH antibody. Suitable for IP, WB, IHC-P and reacts with Human samples. Cited in 1 publication.

查看别名

ME2GLYDH, DMGDH

5 Images
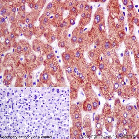
Immunohistochemistry (Formalin/PFA-fixed paraffin-embedded sections) - Anti-DMGDH antibody [EPR16908] (AB198292)
  • IHC-P

Supplier Data

Immunohistochemistry (Formalin/PFA-fixed paraffin-embedded sections) - Anti-DMGDH antibody [EPR16908] (AB198292)

Immunohistochemical analysis of paraffin-embedded Human liver tissue labeling DMGDH with ab198292 at 1/100 dilution followed by Goat Anti-Rabbit IgG H&L (HRP) (ab97051) at 1/500 dilution and counter-stained with Hematoxylin.

Inset image : negative control obtained using PBS instead of ab198292 and secondary antibody only.
Note : Cytoplasm staining on human liver tissue was observed.

Perform heat mediated antigen retrieval with Tris/EDTA buffer pH 9.0 before commencing with IHC staining protocol.

Immunohistochemistry (Formalin/PFA-fixed paraffin-embedded sections) - Anti-DMGDH antibody [EPR16908] (AB198292)
  • IHC-P

Supplier Data

Immunohistochemistry (Formalin/PFA-fixed paraffin-embedded sections) - Anti-DMGDH antibody [EPR16908] (AB198292)

Immunohistochemical analysis of paraffin-embedded Human kidney tissue labeling DMGDH with ab198292 at 1/100 dilution followed by Goat Anti-Rabbit IgG H&L (HRP) (ab97051) at 1/500 dilution and counter-stained with Hematoxylin.

Inset image : negative control obtained using PBS instead of ab198292 and secondary antibody only.
Note : Cytoplasm staining on human kidney tissue was observed.

Perform heat mediated antigen retrieval with Tris/EDTA buffer pH 9.0 before commencing with IHC staining protocol.

Immunoprecipitation - Anti-DMGDH antibody [EPR16908] (AB198292)
  • IP

Unknown

Immunoprecipitation - Anti-DMGDH antibody [EPR16908] (AB198292)

DMGDH protein was immunoprecipitation from 1mg of Human fetal liver whole cell lysate with ab198292 at 1/50 dilution. Western blot was performed from the immunoprecipitate using ab198292 at 1/1000 dilution. Anti-Rabbit IgG (HRP), specific to the non-reduced form of IgG, was used as secondary antibody at 1/1000 dilution. Lane 1 : Input, Human fetal liver whole cell lysate, 10ug. Lane 2 : IP of DMGDH from Human fetal liver whole cell lysate. Lane 3 : IP using Rabbit monoclonal IgG (ab172730) instead of ab198292 in Human fetal liver whole cell lysate.

Blocking and dilution buffer and concentration : 5% NFDM/TBST.

All lanes:

Immunoprecipitation - Anti-DMGDH antibody [EPR16908] (ab198292)

Predicted band size: 97 kDa

Observed band size: 97 kDa

false

Exposure time: 10s

Western blot - Anti-DMGDH antibody [EPR16908] (AB198292)
  • WB

Supplier Data

Western blot - Anti-DMGDH antibody [EPR16908] (AB198292)

5% NFDM/TBST : Blocking and diluting buffer.

All lanes:

Western blot - Anti-DMGDH antibody [EPR16908] (ab198292) at 1/1000 dilution

All lanes:

HepG2 (Human liver hepatocellular carcinoma) cell lysate at 10 µg

Secondary

All lanes:

Goat Anti-Rabbit IgG, (H+L), Peroxidase conjugate at 1/1000 dilution

Predicted band size: 97 kDa

true

Exposure time: 3min

Western blot - Anti-DMGDH antibody [EPR16908] (AB198292)
  • WB

Supplier Data

Western blot - Anti-DMGDH antibody [EPR16908] (AB198292)

5% NFDM/TBST : Blocking and diluting buffer.

All lanes:

Western blot - Anti-DMGDH antibody [EPR16908] (ab198292) at 1/10000 dilution

Lane 1:

Human fetal kidney tissue lysate at 10 µg

Lane 2:

Human fetal liver tissue lysate at 10 µg

Secondary

All lanes:

Goat Anti-Rabbit IgG, (H+L), Peroxidase conjugated at 1/1000 dilution

Predicted band size: 97 kDa

true

Exposure time: 2s

关键信息

宿主种属

Rabbit

克隆

Monoclonal

克隆号

EPR16908

亚型

IgG

不含载体蛋白

No

反应种属

Human

应用

WB, IHC-P, IP

applications

免疫原

The exact immunogen used to generate this antibody is proprietary information.

反应性数据

{ "title": "Reactivity Data", "filters": { "stats": ["", "Species", "Dilution Info", "Notes"], "tabs": { "all-applications": {"fullname" : "All Applications", "shortname": "All Applications"}, "IP" : {"fullname" : "Immunoprecipitation", "shortname":"IP"}, "WB" : {"fullname" : "Western blot", "shortname":"WB"}, "IHCP" : {"fullname" : "Immunohistochemistry (Formalin/PFA-fixed paraffin-embedded sections)", "shortname":"IHC-P"} }, "product-promise": { "all": "all", "testedAndGuaranteed": "tested", "guaranteed": "expected", "predicted": "predicted", "notRecommended": "not-recommended" } }, "values": { "Human": { "IP-species-checked": "testedAndGuaranteed", "IP-species-dilution-info": "1/50", "IP-species-notes": "<p></p>", "WB-species-checked": "testedAndGuaranteed", "WB-species-dilution-info": "1/1000", "WB-species-notes": "<p></p>", "IHCP-species-checked": "testedAndGuaranteed", "IHCP-species-dilution-info": "1/100", "IHCP-species-notes": "<p></p>" } } }

产品详情

Patented technology
Our RabMAb® technology is a patented hybridoma-based technology for making rabbit monoclonal antibodies. For details on our patents, please refer to RabMAb® patents.

What are the advantages of a recombinant monoclonal antibody?
This product is a recombinant monoclonal antibody, which offers several advantages including:

  • - High batch-to-batch consistency and reproducibility
  • - Improved sensitivity and specificity
  • - Long-term security of supply
  • - Animal-free batch production

For more information, read more on recombinant antibodies.

性能和储存信息

形式
Liquid
纯化工艺
Affinity purification Protein A
存储溶液
pH: 7.2 - 7.4 Preservative: 0.01% Sodium azide Constituents: PBS, 40% Glycerol (glycerin, glycerine), 0.05% BSA
运输条件
Blue Ice
推荐的短期储存时间
1-2 weeks
推荐的短期储存条件
+4°C
推荐的长期储存条件
-20°C
分装信息
Upon delivery aliquot
储存信息
Avoid freeze / thaw cycle

补充信息

This supplementary information is collated from multiple sources and compiled automatically.

DMGDH also known as dimethylglycine dehydrogenase is a mitochondrial enzyme with a mass of approximately 103 kDa. This protein is expressed predominantly in liver and kidney tissues. DMGDH plays an important role in the degradation of choline where it catalyzes the oxidative demethylation of dimethylglycine into sarcosine while producing formaldehyde and hydrogen peroxide. This process is an important step in the choline oxidation pathway which helps maintain the methylation balance in the cell.
Biological function summary

DMGDH contributes to the one-carbon metabolism pathway which involves the transfer of one-carbon units essential for various biosynthetic reactions. It does not form part of a larger enzymatic complex but operates as an independent enzyme within the mitochondrial matrix. Its activity is important for methyl cycle function influencing processes like nucleotide synthesis and amino acid metabolism. The enzyme helps connect choline metabolism to broader metabolic networks impacting cellular methyl group availability.

Pathways

DMGDH is integral to the choline metabolism pathway and the one-carbon metabolic pathway. Choline is oxidized to produce substrates for the methionine cycle affecting homocysteine levels and S-adenosylmethionine production. DMGDH's function is closely linked to other enzymes like dimethylglycine N-methyltransferase (DNMT) which also engages in methyl group transfer. Together these enzymes collaborate to maintain cellular methylation and detoxification pathways.

DMGDH dysfunction has been associated with metabolic conditions such as homocystinuria and cardiovascular disease. Impaired DMGDH activity can lead to increased levels of dimethylglycine which in turn may disrupt methylation balance and contribute to metabolic abnormalities. While DMGDH does not directly interact with any known disease-specific proteins its role in maintaining proper methylation highlights its importance in disease pathology. By influencing levels of substrates like homocysteine DMGDH indirectly connects to disorders linked to methylation dysregulation.

产品实验方案

For this product, it's our understanding that no specific protocols are required. You can visit:

靶点信息

Catalyzes the demethylation of N,N-dimethylglycine to sarcosine. Also has activity with sarcosine in vitro.
See full target information Dimethylglycine dehydrogenase, mitochondrial

文献 (1)

Recent publications for all applications. Explore the full list and refine your search

iScience 28:113113 PubMed40792019

2025

NXF1 suppresses progression of endometrial cancer by interacting with the SRSF3 to regulate SP4 splicing.

Applications

Unspecified application

Species

Unspecified reactive species

Nan Meng,Lingjun Li,Xueqin Yang,Hui Tang,Jizhong Wang,Songbai Zhang,Zongbao Xia,Jia Yao,Qi Zhang,Changrong Hu,Chunjie Su,Rui Duan
View all publications

Abcam Product Promise

我们致力于为您的研究提供高质量的试剂,为您科研的每一步提供支持。若我们的产品未能达到预期性能,我们向您提供 Abcam Product Promise 保障。
详情请参阅我们的条款与条件。

Please note: All products are 'FOR RESEARCH USE ONLY. NOT FOR USE IN DIAGNOSTIC OR THERAPEUTIC PROCEDURES'.

For licensing inquiries, please contact partnerships@abcam.com