JavaScript is disabled in your browser. Please enable JavaScript to view this website.
AB272393

重组Anti-Dhh抗体[EPR23386-212] - BSA and Azide free

Anti-Dhh antibody [EPR23386-212] - BSA and Azide free

Be the first to review this product! Submit a review

|

(0 Publication)

Rabbit Recombinant Monoclonal DHH antibody. Carrier free. Suitable for WB, IHC-P and reacts with Human, Mouse, Rat samples.

查看别名

Desert hedgehog protein, DHH, HHG-3

2 Images
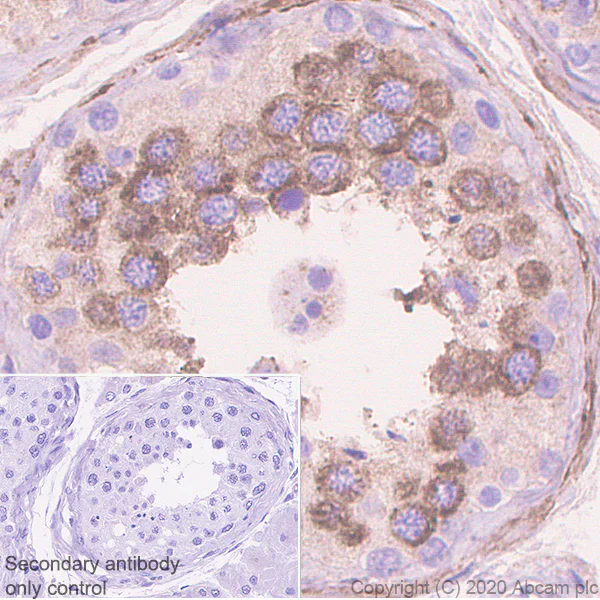
Immunohistochemistry (Formalin/PFA-fixed paraffin-embedded sections) - Anti-Dhh antibody [EPR23386-212] - BSA and Azide free (AB272393)
  • IHC-P

Unknown

Immunohistochemistry (Formalin/PFA-fixed paraffin-embedded sections) - Anti-Dhh antibody [EPR23386-212] - BSA and Azide free (AB272393)

Immunohistochemical analysis of paraffin-embedded Human testis tissue labeling Dhh with ab270453 at 1/500 dilution followed by a ready to use Rabbit specific IHC polymer detection kit HRP/DAB (ab209101). Positive staining in human testis (PMID : 22132805). The section was incubated with ab270453 for 30 mins at room temperature.The immunostaining was performed on a Leica Biosystems BOND® RX instrument. Counterstained with Hematoxylin.

Secondary antibody only control : Secondary antibody is a ready to use Rabbit specific IHC polymer detection kit HRP/DAB (ab209101).

Heat mediated antigen retrieval with Tris-EDTA buffer (pH 9.0, epitope retrieval solution2) for 20 mins

This data was developed using the same antibody clone in a different buffer formulation containing PBS, BSA, glycerol, and sodium azide (ab270453).

Western blot - Anti-Dhh antibody [EPR23386-212] - BSA and Azide free (AB272393)
  • WB

Supplier Data

Western blot - Anti-Dhh antibody [EPR23386-212] - BSA and Azide free (AB272393)

Blocking buffer and concentration : 5% NFDM/TBST. Diluting buffer and concentration : 5% NFDM/TBST. Negative control : colon (PMID : 22132805). ab181602 was used as a loading control. This data was developed using the same antibody clone in a different buffer formulation containing PBS, BSA, glycerol, and sodium azide (ab270453).

All lanes:

Western blot - Anti-Dhh antibody [EPR23386-212] (<a href='/products/primary-antibodies/dhh-antibody-epr23386-212-ab270453'>ab270453</a>) at 1/1000 dilution

Lane 1:

Mouse testis tissue lysat at 40 µg

Lane 2:

Mouse colon tissue lysate at 40 µg

Lane 3:

Rat testis tissue lysate at 40 µg

Lane 4:

Rat colon tissue lysate at 40 µg

Secondary

All lanes:

Goat Anti-Rabbit IgG (HRP) with minimal cross-reactivity with human IgG at 1/2000 dilution

Predicted band size: 44 kDa

Observed band size: 19 kDa

false

Exposure time: 80s

不同偶联物与剂型 (1)

关键信息

宿主种属

Rabbit

克隆

Monoclonal

克隆号

EPR23386-212

亚型

IgG

不含载体蛋白

Yes

反应种属

Human, Mouse, Rat

应用

IHC-P, WB

applications

免疫原

The exact immunogen used to generate this antibody is proprietary information.

反应性数据

{ "title": "Reactivity Data", "filters": { "stats": ["", "Species", "Dilution Info", "Notes"], "tabs": { "all-applications": {"fullname" : "All Applications", "shortname": "All Applications"}, "IP" : {"fullname" : "Immunoprecipitation", "shortname":"IP"}, "FlowCyt" : {"fullname" : "Flow Cytometry", "shortname":"Flow Cyt"}, "WB" : {"fullname" : "Western blot", "shortname":"WB"}, "IHCP" : {"fullname" : "Immunohistochemistry (Formalin/PFA-fixed paraffin-embedded sections)", "shortname":"IHC-P"}, "ICCIF" : {"fullname" : "Immunocytochemistry/ Immunofluorescence", "shortname":"ICC/IF"}, "IHCFr" : {"fullname" : "Immunohistochemistry (Frozen sections)", "shortname":"IHC-Fr"} }, "product-promise": { "all": "all", "testedAndGuaranteed": "tested", "guaranteed": "expected", "predicted": "predicted", "notRecommended": "not-recommended" } }, "values": { "Human": { "IP-species-checked": "notRecommended", "IP-species-dilution-info": "", "IP-species-notes": "<p></p>", "FlowCyt-species-checked": "notRecommended", "FlowCyt-species-dilution-info": "", "FlowCyt-species-notes": "<p></p>", "WB-species-checked": "testedAndGuaranteed", "WB-species-dilution-info": "", "WB-species-notes": "<p></p>", "IHCP-species-checked": "testedAndGuaranteed", "IHCP-species-dilution-info": "", "IHCP-species-notes": "<p></p>", "ICCIF-species-checked": "notRecommended", "ICCIF-species-dilution-info": "", "ICCIF-species-notes": "<p></p>", "IHCFr-species-checked": "notRecommended", "IHCFr-species-dilution-info": "", "IHCFr-species-notes": "" }, "Mouse": { "IP-species-checked": "notRecommended", "IP-species-dilution-info": "", "IP-species-notes": "", "FlowCyt-species-checked": "notRecommended", "FlowCyt-species-dilution-info": "", "FlowCyt-species-notes": "<p></p>", "WB-species-checked": "testedAndGuaranteed", "WB-species-dilution-info": "", "WB-species-notes": "<p></p>", "IHCP-species-checked": "notRecommended", "IHCP-species-dilution-info": "", "IHCP-species-notes": "<p></p>", "ICCIF-species-checked": "notRecommended", "ICCIF-species-dilution-info": "", "ICCIF-species-notes": "", "IHCFr-species-checked": "notRecommended", "IHCFr-species-dilution-info": "", "IHCFr-species-notes": "<p></p>" }, "Rat": { "IP-species-checked": "notRecommended", "IP-species-dilution-info": "", "IP-species-notes": "", "FlowCyt-species-checked": "notRecommended", "FlowCyt-species-dilution-info": "", "FlowCyt-species-notes": "", "WB-species-checked": "testedAndGuaranteed", "WB-species-dilution-info": "", "WB-species-notes": "<p></p>", "IHCP-species-checked": "notRecommended", "IHCP-species-dilution-info": "", "IHCP-species-notes": "<p></p>", "ICCIF-species-checked": "notRecommended", "ICCIF-species-dilution-info": "", "ICCIF-species-notes": "", "IHCFr-species-checked": "notRecommended", "IHCFr-species-dilution-info": "", "IHCFr-species-notes": "<p></p>" } } }

产品详情

ab272393 is the carrier-free version of ab270453.

Patented technology
Our RabMAb® technology is a patented hybridoma-based technology for making rabbit monoclonal antibodies. For details on our patents, please refer to RabMAb® patents.

What are the advantages of a recombinant monoclonal antibody?
This product is a recombinant monoclonal antibody, which offers several advantages including:

  • - High batch-to-batch consistency and reproducibility
  • - Improved sensitivity and specificity
  • - Long-term security of supply
  • - Animal-free batch production

For more information, read more on recombinant antibodies.

Conjugation ready
Our carrier-free antibodies are typically supplied in a PBS-only formulation, purified and free of BSA, sodium azide and glycerol. This conjugation-ready format is designed for use with fluorochromes, metal isotopes, oligonucleotides, and enzymes, which makes them ideal for antibody labelling, functional and cell-based assays, flow-based assays (e.g. mass cytometry) and Multiplex Imaging applications.

Use our conjugation kits for antibody conjugates that are ready-to-use in as little as 20 minutes with 1 minute hands-on-time and 100% antibody recovery: available for fluorescent dyes, HRP, biotin and gold.

Compatibility
This product is compatible with the Maxpar® Antibody Labeling Kit from Fluidigm, without the need for antibody preparation. Maxpar® is a trademark of Fluidigm Canada Inc.

性能和储存信息

形式
Liquid
纯化工艺
Affinity purification Protein A
存储溶液
pH: 7.2 - 7.4 Constituents: PBS
运输条件
Blue Ice
推荐的短期储存条件
+4°C
推荐的长期储存条件
+4°C
储存信息
Do Not Freeze

补充信息

This supplementary information is collated from multiple sources and compiled automatically.

The protein 'Desert Hedgehog' (Dhh) also known as DHH weighs approximately 42 kDa and plays an important role in signaling pathways. Dhh functions mechanically by sending signals that control cell growth and differentiation during embryonic development. This protein expresses in specific tissues such as the gonads and is especially associated with Sertoli cells in the testes.
Biological function summary

Dhh contributes to the regulation of morphogenesis and tissue patterning. Dhh forms part of the Hedgehog signaling pathway a critical signaling complex needed for the communication between cells. This interaction is important for cellular processes such as growth survival and differentiation. The protein is critical in development and is significant for the proper formation of various organs and tissues.

Pathways

Its involvement with the Hedgehog signaling pathway is essential. This pathway impacts the development of several structures and organs by regulating gene expression. Other proteins involved in this pathway include Patched1 (PTCH1) and Smoothened (SMO). Pathway deregulation can lead to issues and is a significant area of study in several types of biological research.

Dhh has links to conditions like gonadal dysgenesis and peripheral neuropathy. Abnormal function or expression of the Dhh protein can lead to developmental defects or contribute toward disease progression. The interaction with other proteins such as PTCH1 further highlights its involvement in the pathogenesis of these conditions. Understanding Dhh’s role offers potential insights into therapeutic interventions for these diseases.

产品实验方案

For this product, it's our understanding that no specific protocols are required. You can visit:

靶点信息

Desert hedgehog protein. The C-terminal part of the desert hedgehog protein precursor displays an autoproteolysis and a cholesterol transferase activity (By similarity). Both activities result in the cleavage of the full-length protein into two parts (N-product and C-product) followed by the covalent attachment of a cholesterol moiety to the C-terminal of the newly generated N-product (By similarity). Both activities occur in the reticulum endoplasmic (By similarity). Functions in cell-cell mediated juxtacrine signaling (PubMed : 24342078). Promotes endothelium integrity (PubMed : 33063110). Binds to PTCH1 receptor, which functions in association with smoothened (SMO), to activate the transcription of target genes in endothelial cells (PubMed : 33063110). In Schwann cells, controls the development of the peripheral nerve sheath and the transition of mesenchymal cells to form the epithelium-like structure of the perineurial tube (By similarity).. Desert hedgehog protein N-product. The dually lipidated desert hedgehog protein N-product is essential for a variety of patterning events during development (By similarity). Binds to the patched (PTCH1) receptor, which functions in association with smoothened (SMO), to activate the transcription of target genes (PubMed : 11472839, PubMed : 33063110). Required for normal testis development and spermatogenesis, namely for the formation of adult-type Leydig cells and normal development of peritubular cells and seminiferous tubules (By similarity). Activates primary cilia signaling on neighboring valve interstitial cells through a paracrine mechanism (By similarity). May induce motor neurons in lateral neural tube and may have a polarizing activity (PubMed : 11472839). Prevents the desert hedgehog protein precursor binding to PTCH1 (PubMed : 33063110).
See full target information DHH

Abcam Product Promise

我们致力于为您的研究提供高质量的试剂,为您科研的每一步提供支持。若我们的产品未能达到预期性能,我们向您提供 Abcam Product Promise 保障。
详情请参阅我们的条款与条件。

Please note: All products are 'FOR RESEARCH USE ONLY. NOT FOR USE IN DIAGNOSTIC OR THERAPEUTIC PROCEDURES'.

For licensing inquiries, please contact partnerships@abcam.com