JavaScript is disabled in your browser. Please enable JavaScript to view this website.
AB271913

重组Anti-Desmoglein 2/DSG2抗体[EPR6768] - BSA and Azide free

Anti-Desmoglein 2/DSG2 antibody [EPR6768] - BSA and Azide free

Be the first to review this product! Submit a review

|

(0 Publication)

Rabbit Recombinant Monoclonal Desmoglein 2/DSG2 antibody. Carrier free. Suitable for WB, IHC-P and reacts with Human, Mouse, Rat samples.

查看别名

CDHF5, DSG2, Desmoglein-2, Cadherin family member 5, HDGC

2 Images
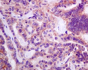
Immunohistochemistry (Formalin/PFA-fixed paraffin-embedded sections) - Anti-Desmoglein 2/DSG2 antibody [EPR6768] - BSA and Azide free (AB271913)
  • IHC-P

Unknown

Immunohistochemistry (Formalin/PFA-fixed paraffin-embedded sections) - Anti-Desmoglein 2/DSG2 antibody [EPR6768] - BSA and Azide free (AB271913)

Immunohistochemical analysis of paraffin embedded Human thyroid gland papillary carcinoma tissue labeling Desmoglein 2/DSG2 with ab150372 at a 1/250 dilution.

Perform heat mediated antigen retrieval before commencing with IHC staining protocol.

This data was developed using the same antibody clone in a different buffer formulation containing PBS, BSA, glycerol, and sodium azide (ab150372).

Western blot - Anti-Desmoglein 2/DSG2 antibody [EPR6768] - BSA and Azide free (AB271913)
  • WB

Lab

Western blot - Anti-Desmoglein 2/DSG2 antibody [EPR6768] - BSA and Azide free (AB271913)

This data was developed using the same antibody clone in a different buffer formulation (ab150372).

Lanes 1 - 6 : Merged signal (red and green). Green - ab150372 observed at 95 kDa. Red - loading control ab8245 (Mouse anti-GAPDH antibody [6C5]) observed at 37kDa.

ab150372 was shown to react with Desmoglein 2 in wild-type HAP1 cells in western blot with loss of signal observed in DSG2 knockout sample. Wild-type and DSG2 knockout HAP1 cell lysates were subjected to SDS-PAGE. Membranes were blocked in 3% milk in TBS-T (0.1% Tween®) before incubation with ab150372 and ab8245 (Mouse anti-GAPDH antibody [6C5]) overnight at 4°C at a 1 in 10000 dilution and a 1 in 20000 dilution respectively. Blots were incubated with Goat anti-Rabbit IgG H&L (IRDye® 800CW) preabsorbed (ab216773) and Goat anti-Mouse IgG H&L (IRDye® 680RD) preabsorbed (ab216776) secondary antibodies at 1 in 20000 dilution for 1 hour at room temperature before imaging.

All lanes:

Western blot - Anti-Desmoglein 2/DSG2 antibody [EPR6768] (<a href='/products/primary-antibodies/desmoglein-2-dsg2-antibody-epr6768-ab150372'>ab150372</a>) at 1/10000 dilution

Lane 1:

Trypsinised HAP1 cell lysate at 40 µg

Lane 2:

Scraped HAP1 cell lysate at 40 µg

Lane 3:

Trypsinised DSG2 knockout HAP1 cell lysate at 40 µg

Lane 4:

Scraped DSG2 knockout HAP1 cell lysate at 40 µg

Lane 5:

Trypsinised A431 cell lysate at 40 µg

Lane 6:

Scraped A431 cell lysate at 40 µg

Predicted band size: 122 kDa

Observed band size: 95 kDa

false

不同偶联物与剂型 (4)

  • Unconjugated

    Anti-Desmoglein 2/DSG2 antibody [EPR6768]

  • 665 Alexa Fluor® 647

    Alexa Fluor® 647 Anti-Desmoglein 2/DSG2 antibody [EPR6768]

  • 519 Alexa Fluor® 488

    Alexa Fluor® 488 Anti-Desmoglein 2/DSG2 antibody [EPR6768]

  • Carrier free

    Anti-Desmoglein 2/DSG2 antibody [EPR6768] - Low endotoxin, Azide free

关键信息

宿主种属

Rabbit

克隆

Monoclonal

克隆号

EPR6768

亚型

IgG

不含载体蛋白

Yes

反应种属

Mouse, Rat, Human

应用

IHC-P, WB

applications

免疫原

The exact immunogen used to generate this antibody is proprietary information.

反应性数据

{ "title": "Reactivity Data", "filters": { "stats": ["", "Species", "Dilution Info", "Notes"], "tabs": { "all-applications": {"fullname" : "All Applications", "shortname": "All Applications"}, "IP" : {"fullname" : "Immunoprecipitation", "shortname":"IP"}, "FlowCyt" : {"fullname" : "Flow Cytometry", "shortname":"Flow Cyt"}, "WB" : {"fullname" : "Western blot", "shortname":"WB"}, "IHCP" : {"fullname" : "Immunohistochemistry (Formalin/PFA-fixed paraffin-embedded sections)", "shortname":"IHC-P"}, "ICCIF" : {"fullname" : "Immunocytochemistry/ Immunofluorescence", "shortname":"ICC/IF"} }, "product-promise": { "all": "all", "testedAndGuaranteed": "tested", "guaranteed": "expected", "predicted": "predicted", "notRecommended": "not-recommended" } }, "values": { "Human": { "IP-species-checked": "notRecommended", "IP-species-dilution-info": "", "IP-species-notes": "<p></p>", "FlowCyt-species-checked": "notRecommended", "FlowCyt-species-dilution-info": "", "FlowCyt-species-notes": "<p></p>", "WB-species-checked": "testedAndGuaranteed", "WB-species-dilution-info": "", "WB-species-notes": "<p></p>", "IHCP-species-checked": "testedAndGuaranteed", "IHCP-species-dilution-info": "", "IHCP-species-notes": "<p></p>", "ICCIF-species-checked": "notRecommended", "ICCIF-species-dilution-info": "", "ICCIF-species-notes": "<p></p>" }, "Mouse": { "IP-species-checked": "notRecommended", "IP-species-dilution-info": "", "IP-species-notes": "<p></p>", "FlowCyt-species-checked": "notRecommended", "FlowCyt-species-dilution-info": "", "FlowCyt-species-notes": "<p></p>", "WB-species-checked": "testedAndGuaranteed", "WB-species-dilution-info": "", "WB-species-notes": "<p></p>", "IHCP-species-checked": "guaranteed", "IHCP-species-dilution-info": "", "IHCP-species-notes": "", "ICCIF-species-checked": "notRecommended", "ICCIF-species-dilution-info": "", "ICCIF-species-notes": "<p></p>" }, "Rat": { "IP-species-checked": "notRecommended", "IP-species-dilution-info": "", "IP-species-notes": "<p></p>", "FlowCyt-species-checked": "notRecommended", "FlowCyt-species-dilution-info": "", "FlowCyt-species-notes": "<p></p>", "WB-species-checked": "testedAndGuaranteed", "WB-species-dilution-info": "", "WB-species-notes": "<p></p>", "IHCP-species-checked": "guaranteed", "IHCP-species-dilution-info": "", "IHCP-species-notes": "", "ICCIF-species-checked": "notRecommended", "ICCIF-species-dilution-info": "", "ICCIF-species-notes": "<p></p>" }, "Monkey": { "IP-species-checked": "notRecommended", "IP-species-dilution-info": "", "IP-species-notes": "", "FlowCyt-species-checked": "notRecommended", "FlowCyt-species-dilution-info": "", "FlowCyt-species-notes": "", "WB-species-checked": "predicted", "WB-species-dilution-info": "", "WB-species-notes": "", "IHCP-species-checked": "predicted", "IHCP-species-dilution-info": "", "IHCP-species-notes": "", "ICCIF-species-checked": "notRecommended", "ICCIF-species-dilution-info": "", "ICCIF-species-notes": "" } } }

产品详情

ab271913 is the carrier-free version of ab150372.

Patented technology
Our RabMAb® technology is a patented hybridoma-based technology for making rabbit monoclonal antibodies. For details on our patents, please refer to RabMAb® patents.

What are the advantages of a recombinant monoclonal antibody?
This product is a recombinant monoclonal antibody, which offers several advantages including:

  • - High batch-to-batch consistency and reproducibility
  • - Improved sensitivity and specificity
  • - Long-term security of supply
  • - Animal-free batch production

For more information, read more on recombinant antibodies.

Conjugation ready
Our carrier-free antibodies are typically supplied in a PBS-only formulation, purified and free of BSA, sodium azide and glycerol. This conjugation-ready format is designed for use with fluorochromes, metal isotopes, oligonucleotides, and enzymes, which makes them ideal for antibody labelling, functional and cell-based assays, flow-based assays (e.g. mass cytometry) and Multiplex Imaging applications.

Use our conjugation kits for antibody conjugates that are ready-to-use in as little as 20 minutes with 1 minute hands-on-time and 100% antibody recovery: available for fluorescent dyes, HRP, biotin and gold.

Compatibility
This product is compatible with the Maxpar® Antibody Labeling Kit from Fluidigm, without the need for antibody preparation. Maxpar® is a trademark of Fluidigm Canada Inc.

性能和储存信息

形式
Liquid
纯化工艺
Affinity purification Protein A
存储溶液
pH: 7.2 - 7.4 Constituents: PBS
运输条件
Blue Ice
推荐的短期储存条件
+4°C
推荐的长期储存条件
+4°C
储存信息
Do Not Freeze

补充信息

This supplementary information is collated from multiple sources and compiled automatically.

Desmoglein 2 (DSG2) is a member of the desmoglein family of proteins sometimes referred to as desmoglein-2 or DSG 2. This protein is a calcium-binding transmembrane glycoprotein and part of the cadherin family with a molecular mass of approximately 122 kDa. DSG2 plays a mechanical role in cell-cell adhesion by forming desmosomes which are specialized structures for maintaining the integrity of tissues. DSG2 is mainly expressed in epithelial cells including those found in the heart skin and certain internal organs.
Biological function summary

DSG2 contributes to the structural stability of tissues by locking cells together forming a mechanical and signaling function. The protein is integral to the composition of desmosomes complexes that include other components such as plakoglobin and desmoplakin. These complexes strengthen intercellular adhesion which is essential for tissues that experience constant physical stress like the heart and skin. DSG2 actively participates in cell signaling impacting cellular behavior and communication.

Pathways

DSG2 plays significant roles in the heart development and epidermal differentiation pathways. DSG2 interacts with several other proteins including plakoglobin and desmoplakin to maintain cellular adhesion and tissue morphogenesis. In the cardiac setting the heart development pathway connects DSG2 with other proteins essential for maintaining the integrity and signaling within the cardiac muscle. This interaction helps modulate pathways that ensure proper cardiac function and repair processes.

DSG2 is linked to arrhythmogenic right ventricular cardiomyopathy (ARVC) which affects the heart's rhythm and muscle structure. DSG2 mutations can disrupt desmosomal structure weakening cell adhesion and leading to disease. Another related disorder is pemphigus vulgaris an autoimmune disease where antibodies target DSG2 among other desmogleins disrupting cell adhesion in the skin and mucous membranes. In ARVC DSG2 frequently connects with other proteins like plakoglobin that are involved in desmosomal interactions leading to the structural and functional deficits seen in the disease.

产品实验方案

For this product, it's our understanding that no specific protocols are required. You can visit:

靶点信息

Component of intercellular desmosome junctions. Involved in the interaction of plaque proteins and intermediate filaments mediating cell-cell adhesion.
See full target information DSG2

Abcam Product Promise

我们致力于为您的研究提供高质量的试剂,为您科研的每一步提供支持。若我们的产品未能达到预期性能,我们向您提供 Abcam Product Promise 保障。
详情请参阅我们的条款与条件。

Please note: All products are 'FOR RESEARCH USE ONLY. NOT FOR USE IN DIAGNOSTIC OR THERAPEUTIC PROCEDURES'.

For licensing inquiries, please contact partnerships@abcam.com