JavaScript is disabled in your browser. Please enable JavaScript to view this website.
AB150382

Anti-Desmocollin 1 抗体 [EPR8220]

Anti-Desmocollin 1 antibody [EPR8220]

3

(1 Review)

|

(3 Publications)

Rabbit Recombinant Monoclonal Desmocollin 1 antibody. Suitable for WB and reacts with Mouse, Rat, Human samples. Cited in 3 publications.

查看别名

CDHF1, DSC1, Desmocollin-1, Cadherin family member 1, Desmosomal glycoprotein 2/3, DG2/DG3

2 Images
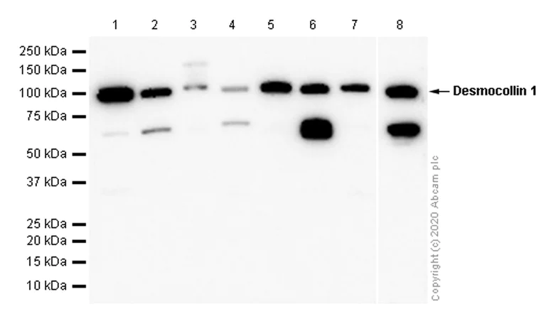
Western blot - Anti-Desmocollin 1 antibody [EPR8220] (AB150382)
  • WB

Unknown

Western blot - Anti-Desmocollin 1 antibody [EPR8220] (AB150382)

We are unsure about the extra bands. They might be the deglycosylated forms as described in PMID : 25918164.

All lanes:

Western blot - Anti-Desmocollin 1 antibody [EPR8220] (ab150382) at 1/10000 dilution

Lane 1:

A375 (Human malignant melanoma epithelial cell) whole cell lysate at 20 µg

Lane 2:

A431 (Human epidermoid carcinoma epithelial cell) whole cell lysate at 20 µg

Lane 3:

Human skin lysate at 20 µg

Lane 4:

Mouse brain lysate at 20 µg

Lane 5:

Mouse spleen lysate at 20 µg

Lane 6:

Mouse kidney lysate at 20 µg

Lane 7:

Rat brain lysate at 20 µg

Lane 8:

Rat kidney lysate at 20 µg

Secondary

All lanes:

Goat Anti-Rabbit IgG (HRP) with minimal cross-reactivity with human IgG at 1/2000 dilution

Predicted band size: 100 kDa

Observed band size: 100 kDa

false

Western blot - Anti-Desmocollin 1 antibody [EPR8220] (AB150382)
  • WB

Lab

Western blot - Anti-Desmocollin 1 antibody [EPR8220] (AB150382)

Blocking and diluting buffer and concentration : 5% NFDM/TBST

All lanes:

Western blot - Anti-Desmocollin 1 antibody [EPR8220] (ab150382) at 1/500000 dilution

Lane 1:

Empty vector transfected 293T (Human embryonic kidney epithelial cell) whole cell lysate

Lane 2:

293T cells transfected with myc-his tagged full length Desmocollin-1 expression vector, whole cell lysate

Lane 3:

293T cells transfected with myc-his tagged full length Desmocollin-2 expression vector, whole cell lysate

Lane 4:

293T cells transfected with myc-his tagged full length Desmocollin-3 expression vector, whole cell lysate

Secondary

All lanes:

Western blot - Goat Anti-Rabbit IgG H&L (HRP) (<a href='/products/secondary-antibodies/goat-rabbit-igg-h-l-hrp-ab97051'>ab97051</a>) at 1/20000 dilution

Predicted band size: 100 kDa

Observed band size: 100 kDa

false

Exposure time: 7s

不同偶联物与剂型 (1)

  • Carrier free

    Anti-Desmocollin 1 antibody [EPR8220] - BSA and Azide free

关键信息

宿主种属

Rabbit

克隆

Monoclonal

克隆号

EPR8220

亚型

IgG

不含载体蛋白

No

反应种属

Mouse, Rat, Human

应用

WB

applications

免疫原

The exact immunogen used to generate this antibody is proprietary information.

反应性数据

{ "title": "Reactivity Data", "filters": { "stats": ["", "Species", "Dilution Info", "Notes"], "tabs": { "all-applications": {"fullname" : "All Applications", "shortname": "All Applications"}, "WB" : {"fullname" : "Western blot", "shortname":"WB"} }, "product-promise": { "all": "all", "testedAndGuaranteed": "tested", "guaranteed": "expected", "predicted": "predicted", "notRecommended": "not-recommended" } }, "values": { "Human": { "WB-species-checked": "testedAndGuaranteed", "WB-species-dilution-info": "1/10000", "WB-species-notes": "<p><strong>For unpurified use at 1/1000 - 1/10000.</strong></p>" }, "Mouse": { "WB-species-checked": "testedAndGuaranteed", "WB-species-dilution-info": "1/10000", "WB-species-notes": "<p><strong>For unpurified use at 1/1000 - 1/10000.</strong></p>" }, "Rat": { "WB-species-checked": "testedAndGuaranteed", "WB-species-dilution-info": "1/10000", "WB-species-notes": "<p><strong>For unpurified use at 1/1000 - 1/10000.</strong></p>" } } }

产品详情

Patented technology
Our RabMAb® technology is a patented hybridoma-based technology for making rabbit monoclonal antibodies. For details on our patents, please refer to RabMAb® patents.

What are the advantages of a recombinant monoclonal antibody?
This product is a recombinant monoclonal antibody, which offers several advantages including:

  • - High batch-to-batch consistency and reproducibility
  • - Improved sensitivity and specificity
  • - Long-term security of supply
  • - Animal-free batch production

For more information, read more on recombinant antibodies.

性能和储存信息

形式
Liquid
纯化工艺
Affinity purification Protein A
存储溶液
Preservative: 0.01% Sodium azide Constituents: PBS, 40% Glycerol (glycerin, glycerine), 0.05% BSA
运输条件
Blue Ice
推荐的短期储存时间
1-2 weeks
推荐的短期储存条件
+4°C
推荐的长期储存条件
-20°C
分装信息
Upon delivery aliquot
储存信息
Avoid freeze / thaw cycle

补充信息

This supplementary information is collated from multiple sources and compiled automatically.

Desmocollin 1 also known as DSC1 belongs to the desmocollin subfamily of cadherin proteins. It acts mechanically by facilitating cell-cell adhesion within epithelial tissue. DSC1 is a desmosomal cadherin playing a fundamental role in maintaining the structural integrity of tissues that undergo mechanical stress. This protein displays an approximate specific mass of 100 kDa. Its expression typically localizes to the suprabasal layers of stratified squamous epithelia such as the skin.
Biological function summary

Desmocollin 1 contributes by linking the extracellular matrix with the cellular cytoskeleton through desmosomal plaques. It takes part in desmosome complexes by partnering with other cadherins including desmogleins and linker proteins like plakoglobin and plakophilins. This linkage strengthens adhesion between keratinocytes which enhances the resilience of epithelial barriers.

Pathways

Desmocollin 1 plays an important role in the regulation of cell adhesion pathways and intracellular signaling. It interacts within the desmosome assembly pathway which is responsible for forming stable cell-cell junctions. Another related pathway includes the signal transduction pathways where desmocollin 1 associates with proteins like plakoglobin which links desmosomes to cytoplasmic signaling networks that can influence cell behavior.

Desmocollin 1 connects mainly to skin-related issues like pemphigus foliaceus and certain types of skin carcinomas. Pemphigus foliaceus involves autoantibodies targeting components of the desmosome like desmogleins disrupting desmocollin 1's adhesion role leading to blistering. In skin carcinomas alterations in the expression or function of desmocollin 1 may lead to structural integrity loss contributing to cancer invasion. Understanding these associations helps in developing therapeutic strategies targeting the interplay between desmocollin 1 and associated proteins within affected tissues.

产品实验方案

For this product, it's our understanding that no specific protocols are required. You can visit:

靶点信息

A component of desmosome cell-cell junctions which are required for positive regulation of cellular adhesion (By similarity). Required for desmosome adhesion strength between the granular layers of the epidermis, as a result moderates epidermal proliferation and differentiation (By similarity). Is therefore required to maintain postnatal epidermal barrier function and normal hair follicle morphology into adulthood (By similarity).
See full target information DSC1

文献 (3)

Recent publications for all applications. Explore the full list and refine your search

The Journal of cell biology 223: PubMed38477878

2024

DPM1 modulates desmosomal adhesion and epidermal differentiation through SERPINB5.

Applications

Unspecified application

Species

Unspecified reactive species

Maitreyi Rathod,Henriette Franz,Vivien Beyersdorfer,Marie-Therès Wanuske,Karen Leal-Fischer,Pauline Hanns,Chiara Stüdle,Aude Zimmermann,Katarzyna Buczak,Camilla Schinner,Volker Spindler

The Journal of biological chemistry 294:16198-16213 PubMed31515267

2019

Ligand-dependent spatiotemporal signaling profiles of the μ-opioid receptor are controlled by distinct protein-interaction networks.

Applications

Unspecified application

Species

Unspecified reactive species

Srgjan Civciristov,Cheng Huang,Bonan Liu,Elsa A Marquez,Arisbel B Gondin,Ralf B Schittenhelm,Andrew M Ellisdon,Meritxell Canals,Michelle L Halls

Bioscience trends 13:216-224 PubMed31168022

2019

MLS128 antibody-induced suppression of colon cancer cell growth is mediated by a desmocollin and a 110 kDa glycoprotein.

Applications

Unspecified application

Species

Unspecified reactive species

Sarah C Shuck,Teresa Hong,Markus Kalkum,Ryo Igarashi,Kota Kajiya,John Termini,Kazuo Yamamoto,Yoko Fujita-Yamaguchi
View all publications

Abcam Product Promise

我们致力于为您的研究提供高质量的试剂,为您科研的每一步提供支持。若我们的产品未能达到预期性能,我们向您提供 Abcam Product Promise 保障。
详情请参阅我们的条款与条件。

Please note: All products are 'FOR RESEARCH USE ONLY. NOT FOR USE IN DIAGNOSTIC OR THERAPEUTIC PROCEDURES'.

For licensing inquiries, please contact partnerships@abcam.com